Tailor-made Antibodies
and Tools for Life Science
Home | | | | | Technical Support

Antibodies against Tubulins for Scientific Research

 

Overview

 

Introduction

The cytoskeleton is the major mechanical structure of a cell and consists of different protein biopolymers. It is a complex and dynamic network and in eukaryoptes it is composed of three main components, actin-microfilaments, intermediate filaments and microtubules. All three kinds of filaments can grow and shrink rapidly according to the cell’s requirements by polymerization and disassembly (Fletcher and Mullins, 2010).
Microtubules are composed of α-tubulin and β-tubulin dimers. These assemble to protofilaments that finally associate and form the hollow microtubule. Microtubules are an important part of the cytoskeleton and provide shape and structure to eukaryotic cells.
In addition, they are involved in processes like cell division, intracellular transport and cell motility (Goodson and Jonasson, 2018).

Indirect immunostaining of methanol fixed mouse fibroblasts with anti-α-tubulin
Indirect immunostaining of PFA fixed paraffin embedded mouse eye section with mouse anti-α-tubulin

Figure 1: Indirect immunostaining of methanol fixed mouse fibroblasts with anti-α-tubulin (cat. no. 302 008, dilution 1 : 500, red) and guinea pig anti-Giantin (cat. no. 263 005, dilution 1 : 500, green). Nuclei have been visualized by DAPI staining (blue).

Figure 2: Indirect immunostaining of PFA fixed paraffin embedded mouse eye section with mouse anti-α-tubulin (cat. no. 302 211, dilution 1 : 1000, AP-RED). Nuclei have been visualized by haematoxylin staining (blue).​

As housekeeping genes, tubulins are abundantly expressed in all cell types and are therefore frequently used as loading controls in westernblot experiments. They are also commonly used marker-proteins to visualize the microtubular network in immunocytochemistry (ICC) (figure 1) and immunohistochemistry (IHC / IHC-P) (figure 2).

SYSY Antibodies offers a broad species panel of monoclonal, polyclonal and recombinant antibodies against α-tubulin that do not discriminate between different posttranslational modifications.
This gives you maximum freedom to use our α-tubulin antibodies in combination with other antibodies of your choice in multiplex experiments.

Products alpha tubulin

Dear Customer,
thank you for your interest in our products. Our high-quality antibodies are featured in the DNA-PAINT Neuro-Imaging Kits, which are developed and distributed by Massive Photonics GmbH.

To ensure your request is handled efficiently, please use the provided input form to contact Massive Photonics directly.

With kind regards,
Your SYSY Antibodies Team


Cat. No. Product Description Application Quantity Price Cart
302 008α-Tubulin, rabbit, monoclonal, recombinant IgGrecombinant IgGWB ICC IHC 100 µg$420.00
302 203α-Tubulin, rabbit, polyclonal, affinity purifiedaffinity WB ICC IHC ELISA 100 µg$380.00
302 206α-Tubulin, chicken, polyclonal, affinity purifiedaffinity WB ICC IHC IHC-P (FFPE) 50 µg$385.00
302 209α-Tubulin, chicken, monoclonal, recombinant IgYrecombinant IgYWB ICC IHC IHC-P (FFPE) 50 µg$420.00
302 217α-Tubulin, rat, monoclonal, purified IgG IgGWB ICC IHC 100 µg$420.00
302 218α-Tubulin, rabbit, monoclonal, recombinant IgGrecombinant IgGWB ICC IHC IHC-P (FFPE) 50 µg$420.00
302 411α-Tubulin, mouse, monoclonal, purified IgM IgM K.O.WB ICC IHC 100 µg$420.00
302 204α-Tubulin , Guinea pig, polyclonal, antiserumantiserumWB ICC IHC 100 µl$370.00
Result count: 8
 

Posttranslational modifications of tubulins

In general, microtubules have a rather short half-life of 5-10 min. However, some posttranslationally modified tubulin variants can persist for hours. In general, posttranslational modifications modulate the polymerization and depolymerization of microtubules and play an important role in the fine-tuning of cytoskeleton dynamics (Infante, 2000).

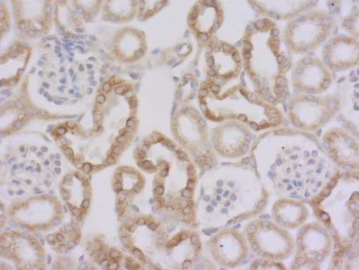
Detyrosination / Tyrosination: The C-terminal tyrosine of α-tubulin is genetically encoded but can be posttranslationally removed by Vasohibins leading to the exposition of a free glutamate at the newly created C-terminus (Aillaud et al., 2017). This tubulin variant is often referred to as Glu-tubulin and is for example found in neurons or kidney glomeruli (figure 3). This detyrosination reaction can be reversed by the tubulin-tyrosine ligase (TTL). Tyrosinated α-tubulin is referred to as Tyr-tubulin and is essential for survival of mouse embryos after birth (Erck et al., 2005).

Polyglutamylation: Several glutamates (typically 4-6) are added to glutamate residues located in the C-terminal part of α-and β-tubulin (Edde et al., 1990, Wehland et al., 1992). This polyglutamylated tubulin occurs for example in neurons and the mitotic spindle.

SYSY Antibodies offers well characterized monoclonal antibodies specific for Glu-tubulin, polyglutamylated tubulin and Tyr-tubulin.

Indirect immunostaining of PFA fixed paraffin embedded mouse kidney section with rat anti-Tyr-α-Tubulin (left, cat. no. 302 117, dilution 1 : 1000; DAB)
Figure 3b: mouse anti-Glu-α-Tubulin (cat. no. 302 011, dilution 1 : 1000; DAB). Nuclei have been visualized by haematoxylin staining (blue).

Figure 3a: Indirect immunostaining of PFA fixed paraffin embedded mouse kidney section with rat anti-Tyr-α-tubulin (left, cat. no. 302 117, dilution 1 : 1000, DAB)

Figure 3b: mouse anti-Glu-α-tubulin (cat. no. 302 011, dilution 1 : 1000, DAB). Nuclei have been visualized by haematoxylin staining (blue).

 

Delta2: The irreversible removal of the last two residues of α-tubulin leads to the formation of delta2 or D2-tubulin. This highly stabilized alpha-tubulin variant is restricted to neurons and therefore frequently used as a marker for the labeling of the neuronal cytoskeleton (Paturle-Lafanechère et al., 1994) (figure 4).

Indirect immunostaining of rat hippocampus neurons and astrocytes with anti-Δ2-tubulin.

Figure 4: Indirect immunostaining of rat hippocampus neurons and astrocytes with anti-Δ2-tubulin (cat. no. 302 213, dilution 1 : 500, red), mouse anti-synaptotagmin 1 (cat. no. 105 011, dilution 1 : 500, blue) and guinea pig anti-GFAP (cat. no. 173 004, dilution 1 : 500, green).

 

Other tubulins

b3 tubulin

Class III β-tubulin also known as TuJ1 is abundant in the central and peripheral nervous systems (CNS and PNS) where it is prominently expressed during fetal and postnatal development (Katsetos et al., 2003). It has also been reported to be expressed in certain tumours of non-neuronal origin (Dráberovà et al., 1998) (figure 5).

Figure 5: Indirect immunostaining of PFA fixed mouse cortex section with mouse anti-β3-Tubulin

Figure 5: Indirect immunostaining of PFA fixed mouse cortex section with mouse anti-β3-tubulin (cat. no. 302 311, dilution 1 : 5000, red). Nuclei have been visualized by DAPI staining (blue).​

 

Products other tubulins

Dear Customer,
thank you for your interest in our products. Our high-quality antibodies are featured in the DNA-PAINT Neuro-Imaging Kits, which are developed and distributed by Massive Photonics GmbH.

To ensure your request is handled efficiently, please use the provided input form to contact Massive Photonics directly.

With kind regards,
Your SYSY Antibodies Team


Cat. No. Product Description Application Quantity Price Cart
302 302β3-Tubulin, rabbit, polyclonal, antiserumantiserumWB IP ICC IHC IHC-P (FFPE) 200 µl$365.00
302 304β3-Tubulin, Guinea pig, polyclonal, antiserumantiserumWB IP ICC IHC IHC-P (FFPE) 100 µl$375.00
302 306β3-Tubulin, chicken, polyclonal, IgY fractionIgY fractionWB ICC IHC IHC-P (FFPE) 200 µl$365.00
302 311β3-Tubulin, mouse, monoclonal, purified IgG IgGWB IP ICC IHC IHC-P (FFPE) 100 µg$420.00
302 213Δ2-tubulin, rabbit, polyclonal, affinity purifiedaffinity WB ICC IHC IHC-P (FFPE) 50 µg$380.00
302 011Glu-Tubulin, mouse, monoclonal, purified IgG IgGWB ICC IHC IHC-P (FFPE) 100 µg$420.00
302 117Tyr-α-tubulin, rat, monoclonal, purified IgG IgG K.O.WB IP ICC IHC IHC-P (FFPE) 100 µg$420.00
Result count: 7
 

Literature

Aillaud et al., 2017: Vasohibins/SVBP are tubulin carboxypeptidases (TCPs) that regulate neuron differentiation. PMID: 29146868

Dráberovà et al., 1998: Expression of class III beta-tubulin in normal and neoplastic human tissues. PMID: 9541471

Edde et al., 1990: Posttranslational glutamylation of alpha-tubulin. PMID: 1967194

Erck et al., 2005: A vital role of tubulin-tyrosine-ligase for neuronal organization. PMID: 15899979

Fletcher and Mullins, 2010: Cell mechanics and the cytoskeleton. PMID: 20110992

Goodson and Jonasson, 2018: Microtubules and Microtubule-Associated Proteins. PMID: 29858272

Infante, 2000: Detyrosinated (Glu) microtubules are stabilized by an ATP-sensitive plus-end cap. PMID: 11058078

Katsetos et al. 2003: Class III beta-tubulin in human development and cancer. PMID: 12740870

Paturle-Lafanechère et al., 1994: Accumulation of delta 2-tubulin, a major tubulin variant that cannot be tyrosinated, in neuronal tissues and in stable microtubule assemblies. PMID: 7962195

Wehland et al., 1992: Class II tubulin, the major brain β tubulin isotype is polyglutamylated on glutamic acid residue. PMID: 1379548

Certificates

ISO 9001 2015 Quality Management System and Green Lab Platinum certification level for sustaining laboratory processes.

Newsletter

Sign up for our newsletter and get the latest updates and news.
 

Please provide a valid E-Mail-Address
Please provide a valid First name
Please provide a valid Last name