Tailor-made Antibodies
and Tools for Life Science
Home | | | | | Technical Support

Improved Immunohistochemical Detection of Mouse CD31

 

Overview

 

CD31 as a marker for endothelial cells

CD31 or Platelet/endothelial cell adhesion molecule-1 (PECAM-1) is a 130-kDa cell adhesion molecule that is highly expressed on the surface of endothelial cells and to a lesser extent on a range of hematopoietic cells, such as platelets, monocytes, neutrophils and T-cell subsets. At endothelial cell-cell borders, CD31 forms homophilic interactions and functions as a regulator of both the vascular permeability barrier and of leukocyte trafficking (reviewed in Lertkiatmongkol et al., 2016). Mature CD31 consists of a 574-amino acid extracellular domain comprising 6 immunoglobulin (Ig)-like homology domains and a complex cytoplasmic domain encoded by 8 short exons (exon 9 – exon 16) that are susceptible to alternative splicing (Newman et al., 2003). Exon 15 deletion leads to CD31 / PECAM-1 mRNA species encoding isoforms with a C-terminus that is shorter and has a different amino acid sequence (Newman et al., 2003) (Figure 1). Although full-length PECAM-1 is the most abundant species, alternatively spliced exon 15 deleted mRNAs (Δ15 and Δ14,15) are frequently expressed in mouse and human tissues (Newman et al., 2003; Sheibani et al., 1999). Importantly, PECAM-1 Δ15 protein isoforms are also detected at protein level in murine and humane tissues and cell lines (Bergom et al., 2008). The new rat monoclonal anti-mouse CD31 antibody (HS-351 117) from HistoSure has been designed to recognize the exon 15 containing PECAM-1 isoforms as well as the protein isoforms Δ15 and Δ14,15.

Schematic diagram illustrating cDNA and resulting amino acid sequences for Δ15-containing isoforms of mouse CD31 / PECAM-1.

Figure 1: Schematic diagram illustrating cDNA and resulting amino acid sequences for Δ15-containing isoforms of mouse CD31 / PECAM-1. Adapted from Bergom et al., 2008.

 

In immunohistochemistry (IHC), CD31 is primarily used to demonstrate the presence of endothelial cells (Figure 2), to measure vessel density or to quantify (neo-)angiogenesis. Increasing evidence is showing that angiogenesis and inflammation are linked and play a cooperative role in various inflammatory diseases (reviewed in Jeong et al., 2020). On the one hand, angiogenesis plays a crucial role in improving neurobehavioral recovery after stroke and proangiogenic substances are investigated in murine ischemia-reperfusion injury models (Chen et al., 2019). On the other hand, pathological angiogenesis contributes to Alzheimer’s disease (reviewed in Jeong et al., 2020) and is an important step in tumorigenesis. Anti-angiogenic therapy in combination with chemotherapy or immune checkpoint inhibitors is a promising strategy for a number of advanced cancers (reviewed in Majidpoor et al., 2021). Species-specific vascular labeling is especially relevant when human antiangiogenic strategies are evaluated in preclinical mouse models. Co-implantation of human tumor cells along with human primary endothelial cells (ECs) into immunodeficient mice raises the need to discriminate human ECs from murine angiogenesis (Sanz et al., 2008). 

We therefore tested the performance of the new rat monoclonal anti-mouse CD31 antibody HS-351 117 in immunohistochemical staining of tissues preserved through different preservation methods (cryopreservation, formaldehyde (FA) perfusion fixed, formalin fixed paraffin embedded (FFPE)) and its ability to detect CD31 in a species-specific manner for use in chimeric mouse-human models.

CD31 visualizes blood vessels in mouse small intestine

Figure 2: CD31 visualizes blood vessels in mouse small intestine (HS-351 117, 1:1000, turquoise color). Anti-mouse E-cadherin staining has been used to detect epithelial cells (HS-467 003, 1:100, pink color). Nuclei have been stained in light blue. 

 

IHC on 4% FA perfusion fixed and fresh frozen mouse brain sections 

We compared our new rat monoclonal anti-mouse CD31 antibody (HS-351 117) to most cited competitor antibodies in fluorescent IHC on mouse brain sections using either free-floating 4% FA perfusion fixed sections or fresh frozen cryo-tissue-sections. 

In brief, transcardially perfused mouse brains were either postfixed in 4% formaldehyde for 24h at 4°C or immediately fresh frozen on liquid nitrogen pre-cooled isopentane. Fixed brains were cut into 25 – 50 µm sections with a vibratome. Fresh frozen brains were cut into 12 µm sections with a cryostat and mounted on slides. Fresh frozen sections were post-fixed with 4% formaldehyde for 15 min at RT before staining. Staining was done following SYSYs IHC standard protocols for free-floating and fresh frozen tissues (click here for protocols). The rat monoclonal anti-mouse CD31 antibody (HS-351 117) was used at a 1:500-dilution. The competitor antibodies were diluted as specified by the respective providers (SZ31, 1:10, rabbit polyclonal antibody, 1:50).

Blood vessels in free-floating FA perfusion fixed mouse brain sections (Figure 3, first row) were selectively stained with the rat monoclonal antibodies (rat mAbs) HS-351 117 and SZ31. However, SZ31 showed weak nuclear background staining, which was not present in the brain section stained with rat mAb HS-351 117. The polyclonal rabbit antibody (rabbit pAb) failed to stain blood vessels in free-floating FA perfusion fixed mouse brain sections. In post-fixed fresh frozen mouse brain sections, all tested antibodies revealed clean blood vessel staining (Figure 3, second row), although staining with the rb pAb was significantly weaker.
 

Three columns of pictures showing results in CD31 stainings

Figure 3: First row: Anti-CD31 staining in 4% FA perfusion fixed mouse brain sections. Second row: Anti-CD31 staining in fresh frozen mouse brain sections. First column: anti-mouse CD31 rat mAb HS-351 117 (1:500). Second column: anti-mouse CD31 rat mAb SZ31 (competitor antibody; 1:10). Third column: anti-mouse CD31 rb pAb (competitor antibody; 1:50). 

 

IHC on formalin-fixed paraffin-embedded mouse tissues (FFPE)

Antibody performance in IHC staining of FFPE tissues was tested on sections of FFPE mouse liver, mouse brain and a syngeneic murine breast tumor. An additional anti-mouse CD31 competitor antibody (rabbit mAb, clone D8V9E) was included to the previous antibody panel. Heat-induced epitope retrieval in 10 mM Citrate buffer (pH 6.0) was applied using a vegetable steamer. Staining was done following SYSYs IHC-P standard protocol for chromogenic detection (see protocols here) with 3,3′-Diaminobenzidin (DAB). The rat monoclonal anti-mouse CD31 antibody HS-351 117 was used at a 1:1000-dilution, the competitor antibodies were diluted as specified by the respective providers (SZ31, 1:10; rabbit polyclonal antibody, 1:50 dilution; rabbit mAb clone D8V9E, 1:100). 

Only the rat mAbs HS-351 117 and SZ31 and the rabbit mAb D8V9E revealed moderate to strong specific blood vessel staining in the FFPE mouse organ sections (Figure 4). The rb pAb showed only very weak staining in larger vessels and was not sensitive enough using our standard staining protocol. As in fluorescent IHC on vibratome sections, rat mAb SZ31 showed some nuclear background staining in mouse brain.
 

Three rows of  anti-CD31 stainings in FFPE mouse liver sections

Figure 4: First row: Anti-CD31 staining in FFPE mouse liver sections. Second row: Anti-CD31 staining in FFPE mouse brain sections. Third row: Anti-CD31 staining in FFPE sections of mouse breast syngeneic tumor. First column: anti-mouse CD31 rat mAb HS-351 117 (1:1000), Second column: anti-mouse CD31 rat mAb SZ31 (competitor antibody; 1:10). Third column: anti-mouse CD31 rb pAb (competitor antibody; 1:50). Fourth column: anti-mouse CD31 rabbit mAb D8V9E (competitor antibody; 1:100). 

 

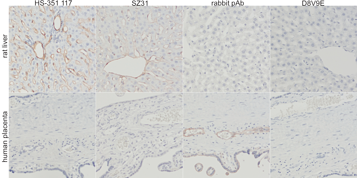
Cross-reactivity to rat and human CD31

The anti-CD31 antibodies were then tested for cross-reactivity to rat and human CD31 in rat liver (Figure 5, first row) and human placenta (Figure 5, second row), respectively. Only the rat mAbs HS-351 117 and SZ31 were cross-reactive to rat CD31. The rabbit mAb clone D8V9E showed no staining in either rat liver or human placenta. Only the rabbit polyclonal antibody was cross-reactive to human CD31, but not to rat CD31.

Two rows showing images of anti-CD31 stings in rat liver sections

Figure 5: First row: Anti-CD31 staining in FFPE rat liver sections. Second row: Anti-CD31 staining in FFPE human placenta sections. First column: anti-mouse CD31 rat mAb HS-351 117 (1:1000). Second column: anti-mouse CD31 rat mAb SZ31 (competitor antibody; 1:10). Third column: anti-mouse CD31 rb pAb (competitor antibody; 1:50). Fourth column: anti-mouse CD31 rabbit mAb D8V9E (competitor antibody; 1:100). 

 

Performance in Western Blot

Finally, the anti-CD31 antibodies were tested in Western Blot application on mouse lung lysate. Chromogenic alkaline phosphatase (AP) staining was used for detection (see protocols here). The rabbit mAb clone D8V9E showed the highest sensitivity, followed by HS-351 117 and SZ31 (Figure 6). The rabbit polyclonal antibody showed no staining. 

Detection of mouse CD31/PECAM 1 by Western Blot

Figure 6: Detection of mouse CD31/PECAM 1 by Western Blot. Western blot shows lysates of mouse lung. The membrane was incubated with lane 1: anti-mouse CD31 rat mAb HS-351 117 (1:1000); lane 2: anti-mouse CD31 rat mAb SZ31 (competitor antibody; 1:10); lane 3: anti-mouse CD31 rb pAb (competitor antibody; 1:50); lane 4: anti-mouse CD31 rabbit mAb D8V9E (competitor antibody; 1:500). A specific band was detected for CD31/PECAM-1 at approximately 130 kDa.

 

Further development: Rabbit recombinant anti-mouse CD31 antibody

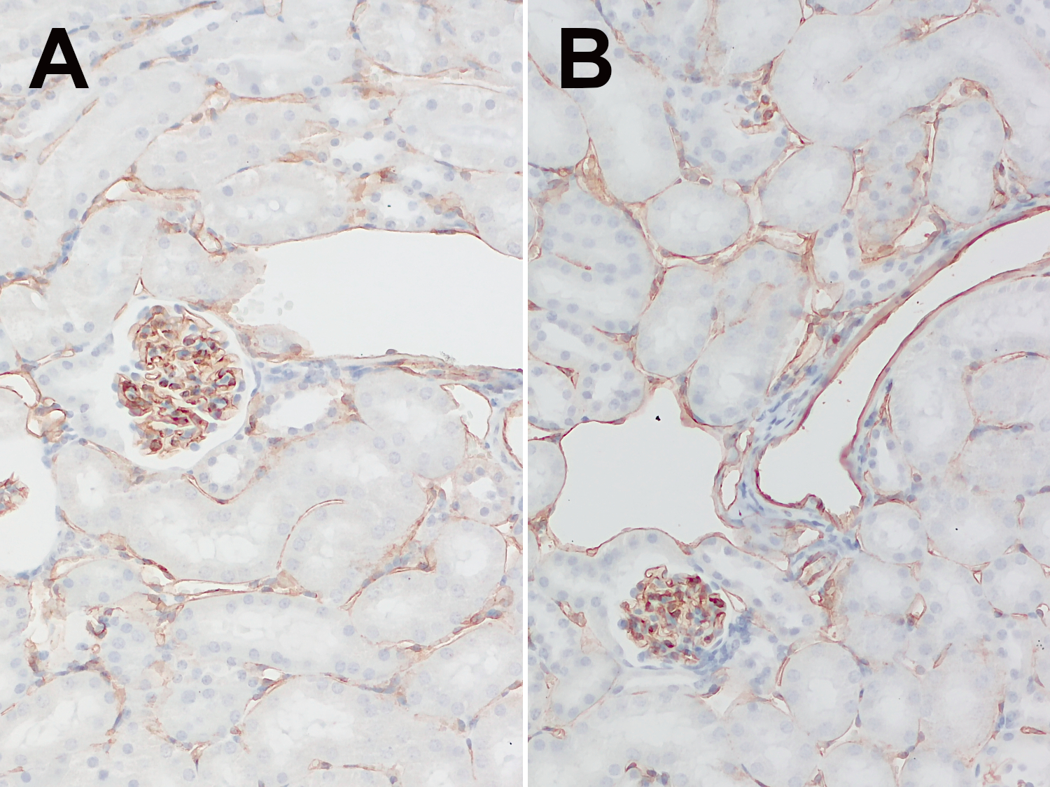
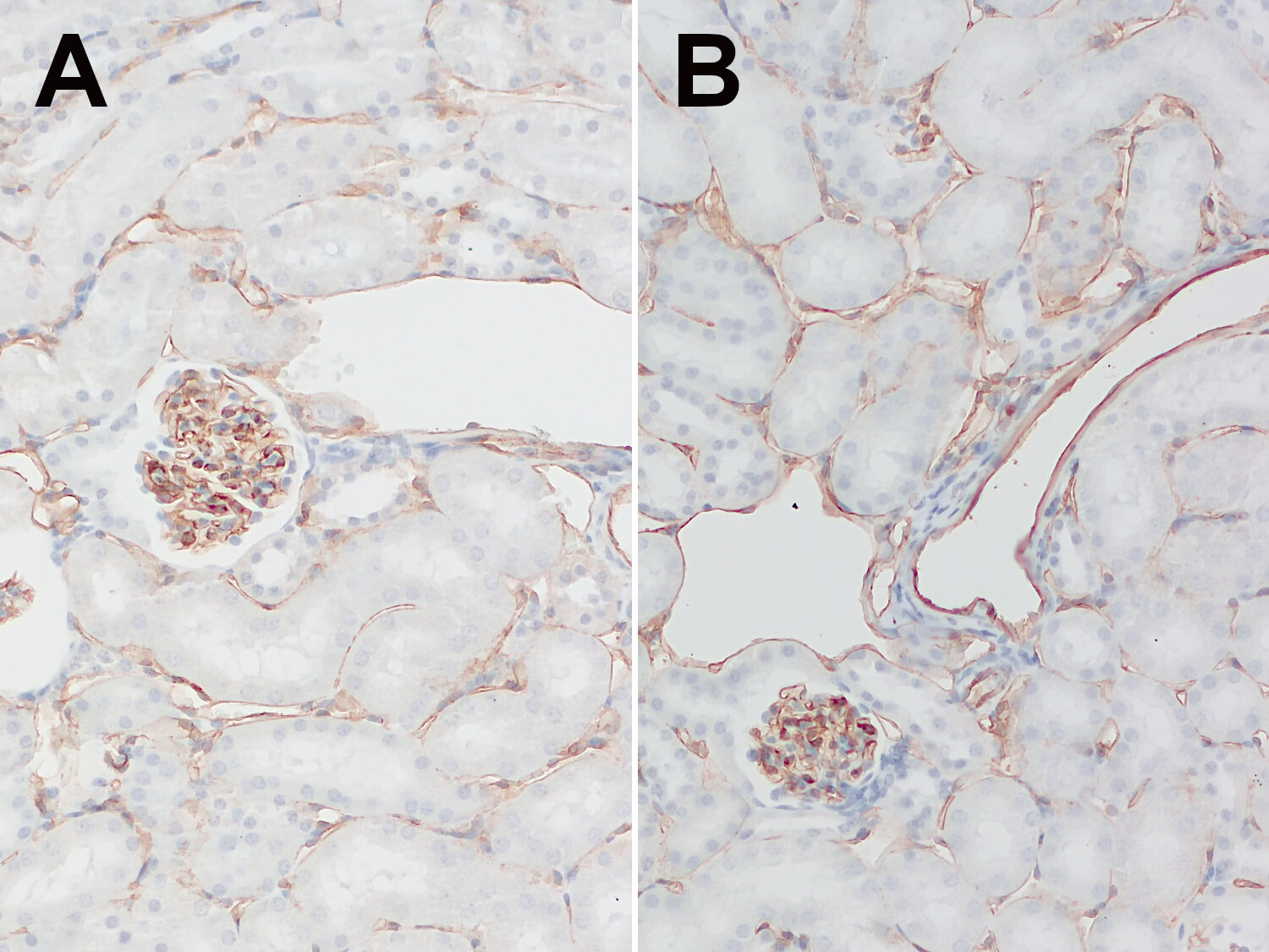
Recombinant antibodies are monoclonal antibodies that are produced in vitro by using known antibody-encoding genes. The constant regions of one species can be replaced by constant sequences from another species, resulting in a chimeric antibody (Sahagan et al., 1986; Zalutsky et al., 1996). The introduction of other species derivatives of an antibody allows a wider range of antibody combinations in multiplex staining. The constant regions of the rat clone SY-53A2 were replaced by constant regions from a rabbit antibody. The resulting rabbit recombinant antibody HS-351 008 achieves identical staining results in IHC-P, IHC and WB as the original antibody with higher dilutability (Figure 7).

Anti-mouse CD31 staining in FFPE mouse kidney sections. A: anti-mouse CD31 rat mAb HS-351 117 (1:1000). B: anti-mouse CD31 rb recombinant mAb HS-351 008

Figure 7: Anti-mouse CD31 staining in FFPE mouse kidney sections. A: anti-mouse CD31 rat mAb HS-351 117 (1:1000). B: anti-mouse CD31 rb recombinant mAb HS-351 008 (1:4000). 

 

Conclusion

The rat monoclonal anti-mouse CD31 antibody (HS-351 117) and its rabbit monoclonal recombinant derivative (HS-351 008) are perfectly suited to explore the presence of endothelial cells and to quantify (neo-)angiogenesis in immunohistochemical applications in mouse and rat tissues as well as in humanized mouse models:

  • HS-351 117 binds full-length PECAM-1 and PECAM-1 Δ15 protein isoforms (Δ15 and Δ14,15).
  • HS-351 117 shows superior results in immunohistochemistry in fresh frozen tissues, in PFA fixed vibratome section and in FFPE tissue sections.
  • HS-351 117 is suitable for mouse and rat CD31 detection.
  • HS-351 117 does not bind to human CD31 and thus is suited to discriminate murine CD31 from human CD31 in humanized mouse models.
  • HS-351 117 shows superior sensitivity and cost efficiency compared to competitor products.
  • The introduction of a rabbit monoclonal recombinant derivative (HS-351 008) with identical performance in IHC-P and IHC allows a wider range of antibody combinations in multiplex staining.

Discover the full range of species-specific CD31 antibodies SYSY│HistoSure offers. They are thoroughly tested in Western Blot and different immunohistochemistry applications to achieve excellent results in your experiments.

Products

Dear Customer,
thank you for your interest in our products. Our high-quality antibodies are featured in the DNA-PAINT Neuro-Imaging Kits, which are developed and distributed by Massive Photonics GmbH.

To ensure your request is handled efficiently, please use the provided input form to contact Massive Photonics directly.

With kind regards,
Your SYSY Antibodies Team


Cat. No. Product Description Application Quantity Price Cart
HS-351 004
CD31, Guinea pig, polyclonal, antiserumantiserum
human specific
WB ICC IHC IHC-P iDISCO 100 µl$355.00
HS-351 008
CD31, rabbit, monoclonal, recombinant IgGrecombinant IgG
mouse specific
WB IHC IHC-P 50 µg$420.00
HS-351 111
CD31, mouse, monoclonal, purified IgG IgG
human specific
IHC-P 100 µg$420.00
HS-351 117
CD31, rat, monoclonal, purified IgG IgG
mouse specific
WB IHC IHC-P IHC-Fr 100 µg$420.00
HS-351 211
CD31, mouse, monoclonal, purified IgG IgG
human specific
WB IHC-P 100 µg$420.00
Result count: 5
 

Author: Dr. Christel Bonnas
Scientific Director of HistoSure

Christel has a strong background in immunology and histopathology. She is responsible for antibody development, validation and quality control of our HistoSure product line.

 

Literature

Lertkiatmongkol et al., 2016. Endothelial functions of platelet/endothelial cell adhesion molecule-1 (CD31). PMID: 27055047

Newman et al., 2003. Signal transduction pathways mediated by PECAM-1: new roles for an old molecule in platelet and vascular cell biology. PMID: 12689916

Sheibani et al., 1999. Tissue Specific Expression of Alternatively Spliced MurinePECAM-1 Isoforms. PMID: 9915575

Bergom et al., 2008. An alternatively spliced isoform of PECAM-1 is expressed at high levels in human and murine tissues, and suggests a novel role for the C-terminus of PECAM-1 in cytoprotective signaling. PMID: 18388311

Jeong et al., 2020. Pathological angiogenesis and inflammation in tissues. PMID: 33230600

Chen et al., 2019. Ginsenoside Rg1 promotes cerebral angiogenesis via the PI3K/Akt/mTOR signaling pathway in ischemic mice. PMID: 31132356

Majidpoor et al., 2021. Angiogenesis as a hallmark of solid tumors – clinical perspectives. PMID: 33835425

Sahagan et al., 1986: A genetically engineered murine/human chimeric antibody retains specificity for human tumor-associated antigen. PMID: 3088107

Sanz et al., 2008. Differential transplantability of human endothelial cells in colorectal cancer and renal cell carcinoma primary xenografts. PMID: 19002108

Zalutsky et al., 1996: Chimeric anti-tenascin antibody 81C6: increased tumor localization compared with its murine parent. PMID: 8832699

 

Certificates

ISO 9001 2015 Quality Management System and Green Lab Platinum certification level for sustaining laboratory processes.

Newsletter

Sign up for our newsletter and get the latest updates and news.
 

Please provide a valid E-Mail-Address
Please provide a valid First name
Please provide a valid Last name