Tailor-made Antibodies
and Tools for Life Science
Home | | | | | Technical Support

beta3-Tubulin (TuJ1) antibody - 302 311

beta3-Tubulin also known as TuJ1 is a neuron specific Tubulin
Mouse monoclonal purified IgG
Cat. No.: 302 311
Amount: 100 µg
Price: $420.00
Cat. No. 302 311 100 µg purified IgG, lyophilized. Albumin and azide were added for stabilization. For reconstitution add 100 µl H2O to get a 1mg/ml solution in PBS. Then aliquot and store at -20°C to -80°C until use.
Antibodies should be stored at +4°C when still lyophilized. Do not freeze!
Applications
 
WB: 1 : 5000 up to 1 : 10000 (AP staining) gallery  
IP: yes
ICC: 1 : 500 up to 1 : 2000 gallery  
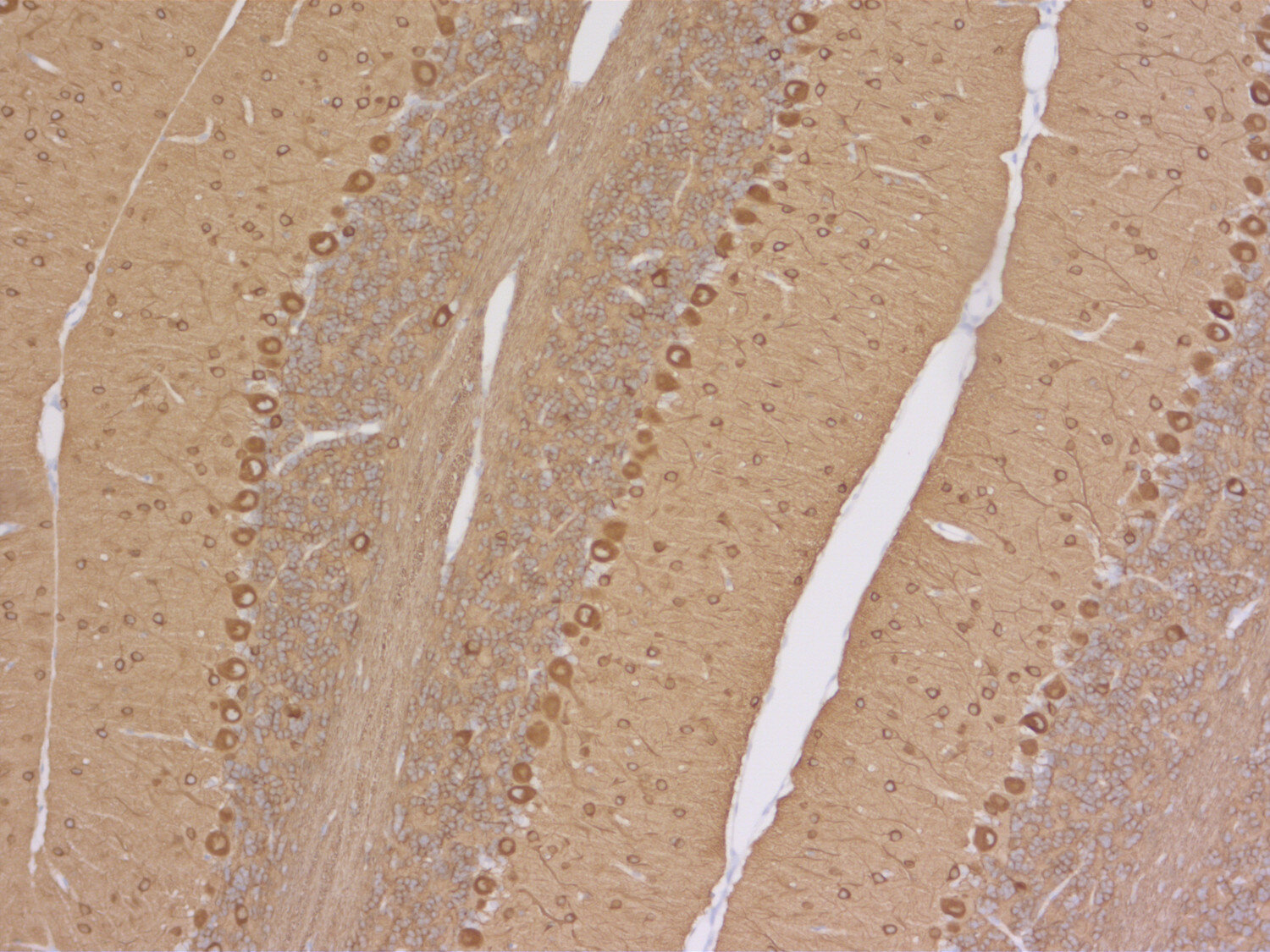
IHC: 1 : 5000 up to 1 : 10000 gallery  
IHC-P: 1 : 2000 gallery  

Western blot (WB); separation of proteins by PAGE and subsequent transfer to a membrane. Detection of target molecules is carried out with antibodies. Some antibodies require special sample preparation steps. For details, please refer to the “Remarks” section.

Immunoprecipitation (IP); Immunoisolation or pulldown of a target molecule using an antibody. For details and product specific hints, please refer to the ”Remarks” section.

Immunocytochemistry (ICC) on 4% PFA fixed cells. Immunoreactivity is usually revealed by fluorescence. Some antibodies require special fixation methods. For details, please refer to the “Remarks” section.

Immunohistochemistry (IHC) on 4% PFA perfusion fixed tissue with 24h PFA post fixation. Immunoreactivity is usually revealed by fluorescence or a chromogenic substrate. Some antibodies require special fixation methods or antigen retrieval steps. For details, please refer to the ”Remarks” section.

Immunohistochemistry (IHC-P) of formalin fixed, paraffin embedded (FFPE) tissue (some antibodies require special antigen retrieval steps, please refer to the ”Remarks” section). Immunoreactivity is usually revealed by fluorescence or a chromogenic substrate.

Clone 356E3D10
Subtype IgG2a (κ light chain)
Immunogen Synthetic peptide corresponding to residues near the carboxy terminus of mouse β3-tubulin (UniProt Id: Q9ERD7)
Reactivity Reacts with: rat (Q4QRB4), mouse (Q9ERD7), human (Q13509).
Other species not tested yet.
Specificity Specific for β3-tubulin.
Matching control protein/peptide 302-3P
Data sheet Datasheet 302_311

References for beta3-Tubulin - 302 311

Development of oxidized hyaluronic acid based hydrogels for neuronal tissue engineering: Effects of matrix stiffness on primary neurons.
Lorke M, Kuth S, Frischknecht R, Boccaccini AR
Acta biomaterialia (2025) 205: 454-466. 302 311 ICC; tested species: rat
Cat. No.: 302 311
Amount: 100 µg
Price: $420.00
Development of oxidized hyaluronic acid based hydrogels for neuronal tissue engineering: Effects of matrix stiffness on primary neurons.
Lorke M, Kuth S, Frischknecht R, Boccaccini AR
Acta biomaterialia (2025) 205: 454-466. 302 311 ICC; tested species: rat
Background

Microtubules are involved in a wide variety of cellular activities ranging from mitosis and transport events to cell movement and the maintainance of cell shape (1).
Tubulin itself is a globular protein which consists of two polypeptides, α-tubulin and β-tubulin. α- and β-tubulin dimers are assembled to 13 protofilaments that form a microtubule of 25 nm diameter (1).
Class III β-tubulin is abundant in the central and peripheral nervous systems (CNS and PNS) where it is prominently expressed during fetal and postnatal development (2).
It is widely used as a neuronal marker in normal and neoplastic tissues but has also been reported to be expressed in certain tumors of non-neuronal origin (3).

Certificates

ISO 9001 2015 Quality Management System and Green Lab Platinum certification level for sustaining laboratory processes.

Newsletter

Sign up for our newsletter and get the latest updates and news.
 

Please provide a valid E-Mail-Address
Please provide a valid First name
Please provide a valid Last name