Tailor-made Antibodies
and Tools for Life Science
Home | | | | | Technical Support

Humanized Mouse Models

 

Humanized mice – immunodeficient mice engrafted with functional human cells – have become increasingly important for the study of human diseases (Walsh et al, 2017).

Although “classical” mouse studies are extremely important to understand basic biological processes, there are limitations to mouse studies when investigating human biology (Mestas et al., 2004). Especially cancer and cancer immunotherapy research lead to a growing need for faithful mouse models that recapitulate the complexity of human malignancy and immune contexture within the tumor microenvironment (Olson et al., 2018). Human xenograft models, using human cell lines injected into immunodeficient mice, are common models to evaluate cytotoxic therapies in cancer, but do not reflect intra-tumor heterogeneity and should preferably be used in relatively early stages of drug development (Murayama, 2019). PDX models, in which tumor samples obtained from patients are transplanted into immunodeficient mice, resemble better the original tumors in patients and have therefore higher predictive value in drug development studies (Murayama, 2019). Next generation PDX models are additionally engrafted with human immune cells and are valuable models for immune-based therapies (Murayama, 2019).

Histological analysis of humanized mouse models is impeded, as widely used antibodies have often been developed to function in many species and thus do not discriminate between human and mouse components in humanized mouse models.

HistoSure Xenograft Pathology antibodies are specially designed and developed to fill this antibody gap.

 
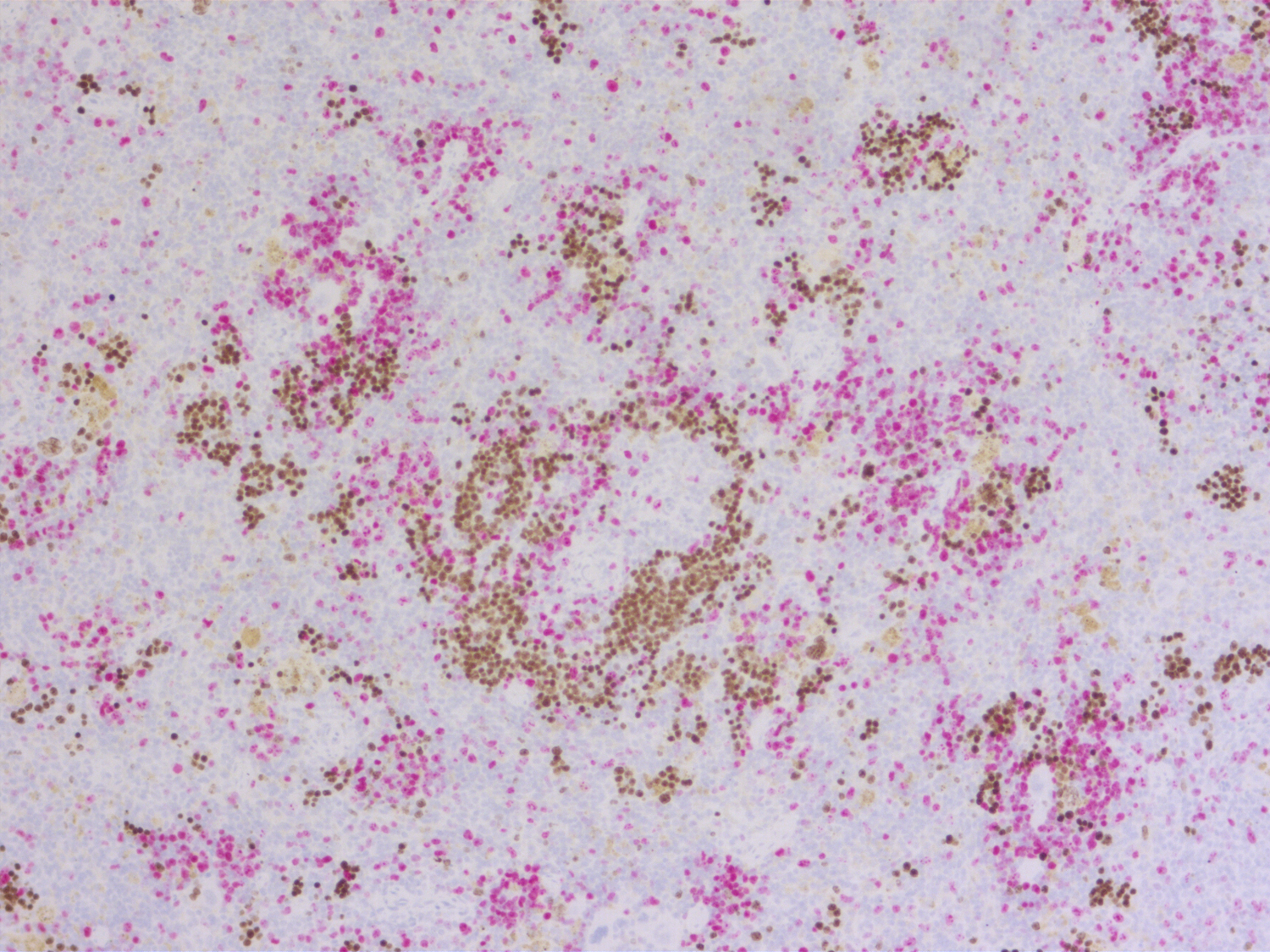
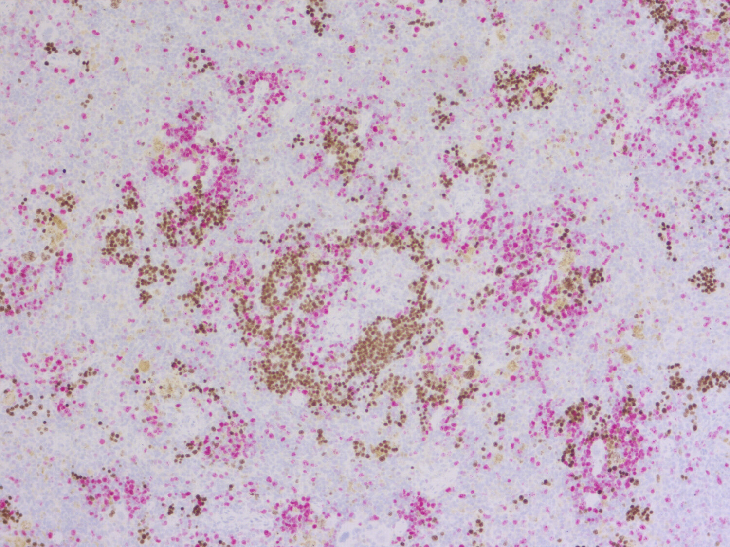
Immunohistochemical doublestaining of formalin-fixed paraffin embedded mouse spleen engrafted with human CD34+-cells using rabbit anti-human Ki67

Figure 1: Immunohistochemical doublestaining of formalin fixed paraffin embedded (FFPE) mouse spleen engrafted with human CD34+-cells using rabbit anti-human Ki67 (cat. no. HS-398 003, AP-RED, red color) and rat anti-mouse Ki67 (cat. no. HS-398 117, DAB, brown color). Nuclei have been counterstained with hematoxylin (blue). Tissue provided by Charles River

 

Products

Dear Customer,
thank you for your interest in our products. Our high-quality antibodies are featured in the DNA-PAINT Neuro-Imaging Kits, which are developed and distributed by Massive Photonics GmbH.

To ensure your request is handled efficiently, please use the provided input form to contact Massive Photonics directly.

With kind regards,
Your SYSY Antibodies Team


Cat. No. Product Description Application Quantity Price Cart
HS-398 003
Ki67, rabbit, polyclonal, affinity purifiedaffinity
human specific
IHC-P 200 µl$455.00
HS-398 117
Ki67, rat, monoclonal, purified IgG IgG
mouse specific
ICC IHC IHC-P 200 µl$420.00
Result count: 2
 

Literature

  • Walsh et al., 2017: Humanized mouse models of clinical disease. PMID: 27959627
  • Mestas et al., 2004: Of Mice and Not Men: Differences between Mouse and Human Immunology. PMID: 14978070
  • Olson et al., 2018: Mouse Models for Cancer Immunotherapy Research. PMID: 30309862
  • Murayama 2019: Patient-Derived Xenograft Models of Breast Cancer and Their Application. PMID: 31226846

Certificates

ISO 9001 2015 Quality Management System and Green Lab Platinum certification level for sustaining laboratory processes.

Newsletter

Sign up for our newsletter and get the latest updates and news.
 

Please provide a valid E-Mail-Address
Please provide a valid First name
Please provide a valid Last name