Tailor-made Antibodies
and Tools for Life Science
Home | | | | | Technical Support

CD11b - a Marker of Activated Microglia

 

Overview

 

Linked Products

  • anti-CD11b, HS-384 008, rabbit mAb, mouse specific
  • anti-CD11b, HS-384 103, rabbit pAb, mouse specific
  • anti-CD11b, HS-384 117, rat mAb, mouse specific
  • anti-CD11b, HS-384 308, guinea pig mAb, mouse specific
  • anti-CD11b, HS-384 017, rat mAb, human specific
  • anti-CD11b, HS-384 018, rabbit mAb, human specific

Microglia are the key immune effector cells of the central nervous system (CNS), including the brain, spinal cord, retina and olfactory bulb. Microglia function in the support of CNS development, in sustaining homeostasis and in immune response. Surveying or ‘resting’ microglia are ramified and build a dense network spanning the CNS. Through highly motile long cellular processes they actively screen the microenvironment for disruptions in homeostasis (Kabba et al., 2018). In surveying state, microglia express the markers IBA-1, CD68, CD11b, CD40, CD45, CD80, CD86, F4/80, TREM-2b, CXCR3 and CCR9 (Bachiller et al., 2018; Jurga et al., 2020). However, regional differences have been described. For example, hippocampal microglia express higher levels of F4/80, and CD11b on microglia from cerebral cortex is repeatedly lower than from spinal cord (Bachiller et al., 2018).

Figure 1: Schematic representation of microglial activation (adapted from Pinto et al., 2020) Microglial activation in response to pathogens or alterations in brain homeostasis leads to morphological and molecular changes. Activated cells partially retract their processes evolving from a ramified, to an intermediate 'bushy' and to a final phagocytic amoeboid state.  Morphological changes are accompanied by an increase in IBA-1 and CD11b expression.

Figure 1: Schematic representation of microglial activation (adapted from Pinto et al., 2020) Microglial activation in response to pathogens or alterations in brain homeostasis leads to morphological and molecular changes. Activated cells partially retract their processes evolving from a ramified, to an intermediate 'bushy' and to a final phagocytic amoeboid state.  Morphological changes are accompanied by an increase in IBA-1 and CD11b expression.

Schematic representation of microglial activation
 

In response to infectious pathogens, injurious protein aggregates (e.g., Aβ, α-synuclein, mutant huntingtin, prions) or tumor cells, microglia can initiate a neuroinflammatory response (Hickman et al., 2018). Profound morphological and molecular changes accompany microglial activation (figure 1) (Pinto et al., 2020). Upon stimulation, microglia retract and thicken processes evolving from a ramified state, to an intermediate 'bushy' state and finally converting to an amoeboid state (Yang et al., 2016; Pinto et al. 2020) (figure 2). Microglia activation leads to increased expression of IBA-1, MHCII, CD68 and CD11b, also known as integrin alpha M (ITGAM) (Pinto et al., 2020, Jurga et al., 2020).

IBA-1 and CD11b staining identifies morphological changes in microglia

Figure 2: IBA-1 and CD11b staining identifies morphological changes in microglia. Ramified microglia in a wild-type mouse brain (upper row). Microglia with a 'bushy' appearence in a virus-infected FFPE mouse brain (lower row). Immunohistochemical staining of FFPE mouse brains with rat anti-CD11b (cat. no. HS-384 117, dilution 1:100, red) and guinea-pig anti-IBA-1 (cat. no. HS-234 004, 1:500, green). Nuclei have been visualized by DAPI staining (blue).

Figure 2: IBA-1 and CD11b staining identifies morphological changes in microglia. Ramified microglia in a wild-type mouse brain (upper row). Microglia with a 'bushy' appearence in a virus-infected FFPE mouse brain (lower row). Immunohistochemical staining of FFPE mouse brains with rat anti-CD11b (cat. no. HS-384 117, dilution 1:100, red) and guinea-pig anti-IBA-1 (cat. no. HS-234 004, 1:500, green). Nuclei have been visualized by DAPI staining (blue).

CD11b expression in microglia is induced in response to Nitric Oxide (NO) produced by the inducible nitric-oxide synthase iNOS (Roy et al., 2006). Together with CD18, also named integrin beta chain-2 (ITGB2), CD11b forms the integrin complement receptor 3 (CR3), which is involved in adhesion processes, phagocytic elimination of pathogens, induction of both inflammatory and tolerogenic responses, and modulation of parallel or downstream host defense pathways (Jurga et al., 2020; Lamers et al., 2021). CR3 expression is not restricted to microglial cells, but also found in neutrophils and other myeloid cells, including macrophages, monocytes and eosinophils (Lamers et al., 2021).

 

Neuroinflammation in Sars-CoV-2 infected K18-hACE2 transgenic mouse

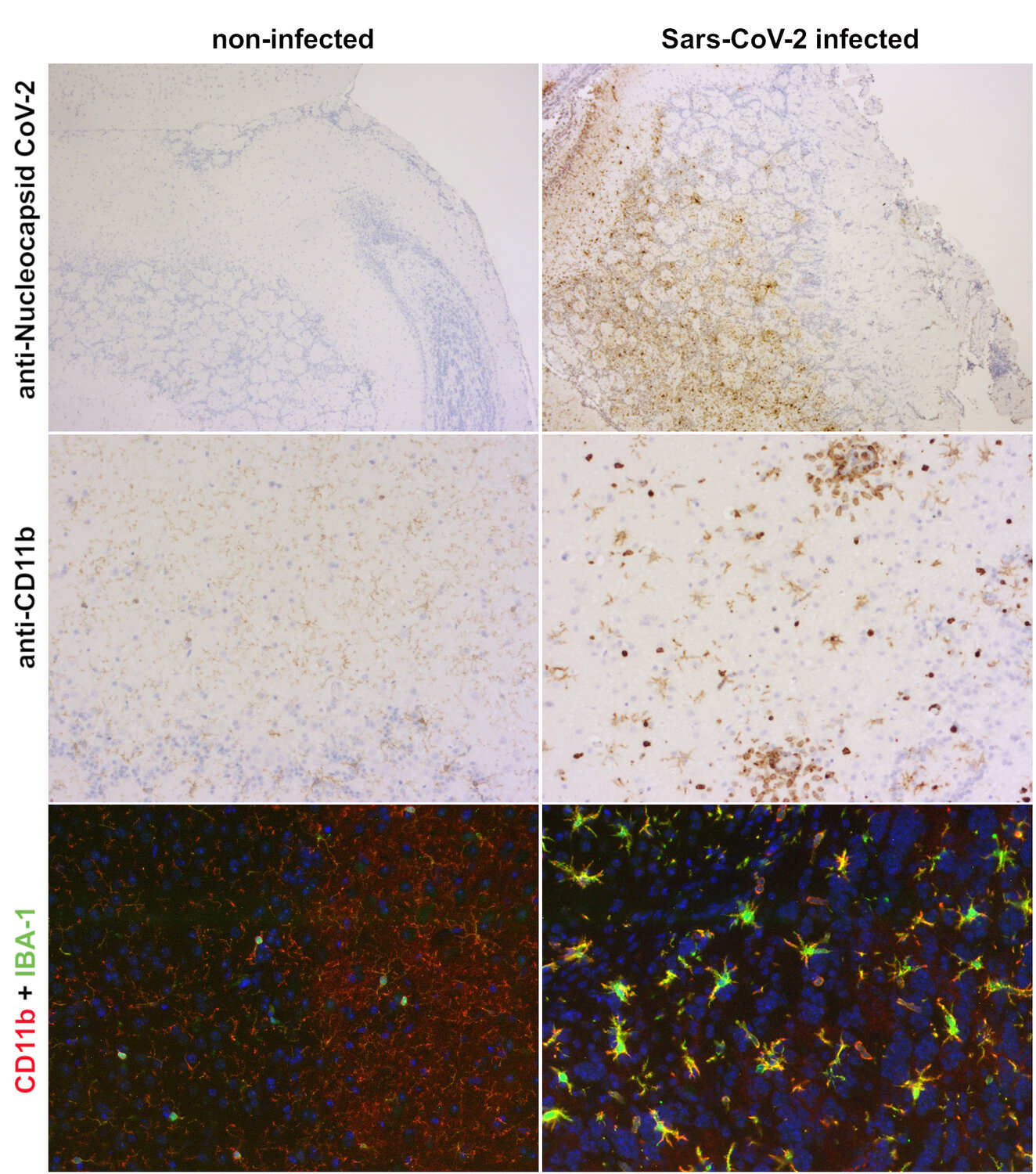
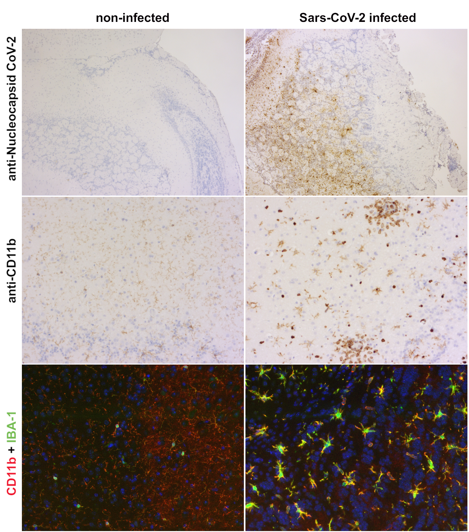
Intranasal infection of K18-hACE2 mice with Sars-CoV-2 results in a lethal disease with severe inflammation in the CNS (Kumari et al., 2021). Similar to SARS-CoV-1 (Netland et al., 2008), SARS-CoV-2 spreads rapidly within the brain and high virus titers are detected in the olfactory bulb and brain of the infected K18-hACE2 mice (Kumari et al. 2021). Viral infection leads to microglia activation, which is accompanied by an increase in CD11b and IBA-1 expression (figure 3). CD11b staining additionally reveals infiltration of CD11bhigh neutrophils and / or monocytes.

Microglia activation in Sars-CoV-2 infected hACE2 transgenic mouse brain

Figure 3: Microglia activation in Sars-CoV-2 infected hACE2 transgenic mouse brain. 1st row: Cells infected with Sars-CoV-2 virus are detected in the olfactory bulb of a K18 hACE2 transgenic mouse using anti-Nucleocapsid CoV-2 (cat. no. HS-452 011, 1:1000, DAB) (right column). No viral proteins are detected in a non-infected control K18 hACE2 transgenic mouse (left column). 2nd row: Anti-CD11b staining reveals increased CD11b expression in microglia and infiltration of CD11b positive leukocytes in the brain of a Sars-CoV-2 infected mouse, whereas low CD11b is detected in microglia of a non-infected control  (cat. no. HS-384 117, 1:200, DAB). 3rd row: Immunohistochemical staining with CD11b (cat. no. HS-384 117, dilution 1:100, red) and IBA1 (cat. no. HS-234 004, 1:500, green) identifies upregulation of CD11b and IBA-1 expression in olfactory bulb microglia of the Sars-CoV-2 infected mouse. Microglial activation results also in a morphological change.

 

Sepsis mouse mode

Sepsis remains a significant clinical challenge in intensive care units, which leads to multi-organ dysfunction and affects also the CNS. Pro-inflammatory microglia activation is observed in the white matter of septic patients (Zrzavy et al., 2019) and in mouse models of severe sepsis (Michels et al., 2020). Sepsis-associated encephalopathy (SAE) and sepsis-associated chronic pain are thought to be the consequences of inflammation in the brain (reviewed in Li et al., 2020). To mimic systemic inflammation in humans, different animal models have been developed, including lipopolysaccharide (LPS) treatment, cecal ligation and puncture (CLP) and peritoneal contamination and infection (PCI) (Seemann et al., 2017). Microglia activation in the brain of a PCI mouse model can be detected using CD11b (figure 4).

PFA fixed brain sections from a from a wild-type mouse and a sepsis mouse model

Figure 4: PFA fixed brain sections from a from a wild-type mouse (control brain; upper row) and a sepsis mouse model (PCI brain; lower row). Sections were immunostained with rat anti-CD11b (cat. no. HS-384 117, dilution 1:500, red) and guinea pig anti-IBA1 (cat. no. HS-234 004, dilution 1:500, green). Nuclei have been visualized by DAPI staining (blue).

 

Products

Dear Customer,
thank you for your interest in our products. Our high-quality antibodies are featured in the DNA-PAINT Neuro-Imaging Kits, which are developed and distributed by Massive Photonics GmbH.

To ensure your request is handled efficiently, please use the provided input form to contact Massive Photonics directly.

With kind regards,
Your SYSY Antibodies Team


Cat. No. Product Description Application Quantity Price Cart
HS-384 008
CD11b, rabbit, monoclonal, recombinant IgGrecombinant IgG
mouse specific
WB IHC IHC-P (FFPE) IHC-Fr 100 µl$420.00
HS-384 017
CD11b, rat, monoclonal, purified IgG IgG
human specific
WB IHC-P (FFPE) 200 µl$420.00
HS-384 018
CD11b, rabbit, monoclonal, recombinant IgGrecombinant IgG
human specific
WB IHC-P (FFPE) IHC-Fr 100 µl$420.00
HS-384 103
CD11b, rabbit, polyclonal, affinity purifiedaffinity
mouse specific
WB ICC IHC IHC-P (FFPE) 200 µl$455.00
HS-384 117
CD11b, rat, monoclonal, purified IgG IgG
mouse specific
WB IHC IHC-P (FFPE) IHC-Fr 200 µl$420.00
HS-384 117BT
CD11b, rat, monoclonal, purified IgG IgG, biotin
mouse specific
WB IHC-P (FFPE) 100 µg$470.00
HS-384 308
CD11b, Guinea pig, monoclonal, recombinant IgGrecombinant IgG
mouse specific
WB IHC IHC-P (FFPE) IHC-Fr 100 µl$420.00
375-0P
CD11c, control peptidecontrol peptide100 µg$110.00
HS-375 003
CD11c, rabbit, polyclonal, affinity purifiedaffinity
mouse specific
WB IHC IHC-P (FFPE) 200 µl$375.00
HS-375 004
CD11c, Guinea pig, polyclonal, antiserumantiserum
mouse specific
WB IHC IHC-P (FFPE) 100 µl$355.00
HS-375 008
CD11c, rabbit, monoclonal, recombinant IgGrecombinant IgG
mouse specific
IHC IHC-P (FFPE) 50 µg$420.00
HS-375 017
CD11c, rat, monoclonal, purified IgG IgG
mouse specific
IHC IHC-P (FFPE) IHC-Fr 100 µg$420.00
HS-493 017
CD39, rat, monoclonal, purified IgG IgG
mouse specific
WB IHC IHC-P (FFPE) 100 µg$420.00
HS-493 117
CD39, rat, monoclonal, purified IgG IgG
human specific
ICC IHC-P (FFPE) 100 µg$420.00
HS-427 003
CD45, rabbit, polyclonal, affinity purifiedaffinity
human specific
WB ICC IHC-P (FFPE) 50 µg$375.00
Result count: 68
 

Literature

  • Kabba et al., 2018: Microglia: Housekeeper of the Central Nervous System. PMID: 28534246
  • Bachiller et al. 2018: Microglia in Neurological Diseases: A Road Map to Brain-Disease Dependent-Inflammatory Response. PMID: 30618635
  • Hickman et al., 2018: Microglia in neurodegeneration. PMID: 30258234
  • Jurga et al., 2020: Overview of General and Discriminating Markers of Differential Microglia Phenotypes. PMID: 32848611
  • Pinto et al. 2020: Microglial Phagocytosis – Rational but Challenging Therapeutic Target in Multiple Sclerosis. PMID: 32825077
  • Yang et al., 2016: High Morphological Plasticity of Microglia/Macrophages Following Experimental Intracerebral Hemorrhage in Rats. PMID: 27455236
  • Jurga et al., 2020: Overview of General and Discriminating Markers of Differential Microglia Phenotypes. PMID: 32848611
  • Roy et al., 2006: Up-regulation of Microglial CD11b Expression by Nitric Oxide. PMID: 16551637
  • Lamers et al., 2021: The Promiscuous Profile of Complement Receptor 3 in Ligand Binding, Immune Modulation, and Pathophysiology. PMID: 33995387
  • Kumari et al., 2021: Neuroinvasion and Encephalitis Following Intranasal Inoculation of SARS-CoV-2 in K18-hACE2 Mice. PMID: 33477869
  • Zrzavy et al. 2019: Pro-inflammatory activation of microglia in the brain of patients with sepsis. PMID: 29804289
  • Michels et al. 2020: Characterization and modulation of microglial phenotypes in an animal model of severe sepsis. PMID: 31654493
  • Li et al. 2020: Microglia: A Potential Therapeutic Target for Sepsis-Associated Encephalopathy and Sepsis-Associated Chronic Pain. PMID: 33329005
  • Seemann et al. 2017: Comprehensive comparison of three different animal models for systemic inflammation. PMID: 28836970

Certificates

ISO 9001 2015 Quality Management System and Green Lab Platinum certification level for sustaining laboratory processes.

Newsletter

Sign up for our newsletter and get the latest updates and news.
 

Please provide a valid E-Mail-Address
Please provide a valid First name
Please provide a valid Last name