Tailor-made Antibodies
and Tools for Life Science
Home | | | | | Technical Support

Tyr-alpha-tubulin antibody - 302 117 K.O.

alpha-Tubulin is a major cytoskeleton protein
Rat monoclonal purified IgG
Cat. No.: 302 117
Amount: 100 µg
Price: $420.00
Cat. No. 302 117 100 µg purified IgG, lyophilized. Albumin and azide were added for stabilization. For reconstitution add 100 µl H2O to get a 1mg/ml solution in PBS. Then aliquot and store at -20°C to -80°C until use.
Antibodies should be stored at +4°C when still lyophilized. Do not freeze!
Applications
 
WB: 1 : 1000 up to 1 : 5000 (AP staining) gallery  
IP: yes
ICC: 1 : 500 gallery  
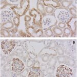
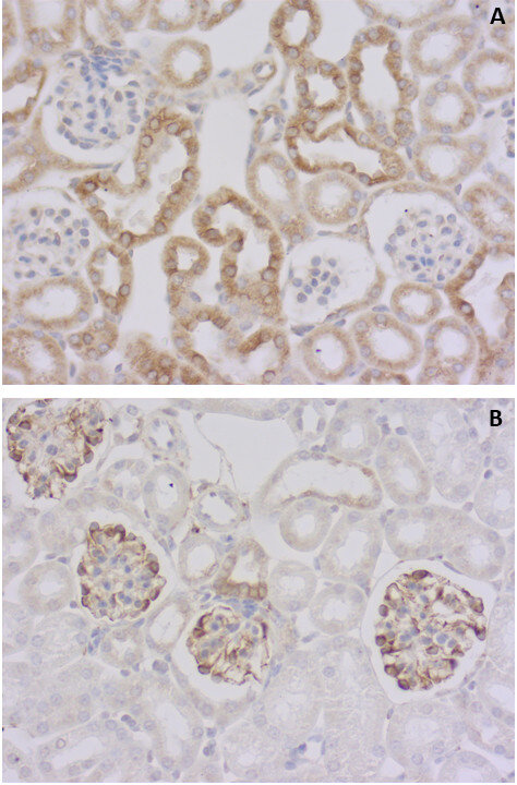
IHC: 1 : 500 gallery  
IHC-P: 1 : 200 up to 1 : 1000 gallery  

Western blot (WB); separation of proteins by PAGE and subsequent transfer to a membrane. Detection of target molecules is carried out with antibodies. Some antibodies require special sample preparation steps. For details, please refer to the “Remarks” section.

Immunoprecipitation (IP); Immunoisolation or pulldown of a target molecule using an antibody. For details and product specific hints, please refer to the ”Remarks” section.

Immunocytochemistry (ICC) on 4% PFA fixed cells. Immunoreactivity is usually revealed by fluorescence. Some antibodies require special fixation methods. For details, please refer to the “Remarks” section.

Immunohistochemistry (IHC) on 4% PFA perfusion fixed tissue with 24h PFA post fixation. Immunoreactivity is usually revealed by fluorescence or a chromogenic substrate. Some antibodies require special fixation methods or antigen retrieval steps. For details, please refer to the ”Remarks” section.

Immunohistochemistry (IHC-P) of formalin fixed, paraffin embedded (FFPE) tissue (some antibodies require special antigen retrieval steps, please refer to the ”Remarks” section). Immunoreactivity is usually revealed by fluorescence or a chromogenic substrate.

Clone YL1-2
Subtype IgG2a
Immunogen Recombinant protein corresponding to AA 1 to 447 from yeast Tyr-α-tubulin
Reactivity Reacts with: human, rat (P68370), mouse, vertebrates, invertebrates, yeast, Drosophila melanogaster.
Other species not tested yet.
Specificity Specific for tyrosinated α-tubulin (tyr-tubulin). No cross reaction to glu-α-tubulin. K.O. validated PubMed: 36340693
Data sheet Datasheet 302_117

References for Tyr-alpha-tubulin - 302 117

The role of α-tubulin tyrosination in controlling the structure and function of hippocampal neurons.
Hosseini S, van Ham M, Erck C, Korte M, Michaelsen-Preusse K
Frontiers in molecular neuroscience (2022) 15: 931859. 302 117 WB, IHC; KO verified; tested species: mouse
Parallel kinase pathways stimulate actin polymerization at depolarized mitochondria.
Fung TS, Chakrabarti R, Kollasser J, Rottner K, Stradal TEB, Kage F, Higgs HN
Current biology : CB (2022) 327: 1577-1592.e8. 302 117 WB; tested species: human,mouse
Unveiling the cell biology of hippocampal neurons with dendritic axon origin.
Han Y, Hacker D, Donders BC, Parperis C, Thuenauer R, Leterrier C, Grünewald K, Mikhaylova M
The Journal of cell biology (2025) 2241: . 302 117 ICC; tested species: rat
The role of α-tubulin tyrosination in controlling the structure and function of hippocampal neurons.
Hosseini S, van Ham M, Erck C, Korte M, Michaelsen-Preusse K
Frontiers in molecular neuroscience (2022) 15: 931859. 302 117 WB, IHC; KO verified; tested species: mouse
Cat. No.: 302 117
Amount: 100 µg
Price: $420.00
The role of α-tubulin tyrosination in controlling the structure and function of hippocampal neurons.
Hosseini S, van Ham M, Erck C, Korte M, Michaelsen-Preusse K
Frontiers in molecular neuroscience (2022) 15: 931859. 302 117 WB, IHC; KO verified; tested species: mouse
Parallel kinase pathways stimulate actin polymerization at depolarized mitochondria.
Fung TS, Chakrabarti R, Kollasser J, Rottner K, Stradal TEB, Kage F, Higgs HN
Current biology : CB (2022) 327: 1577-1592.e8. 302 117 WB; tested species: human,mouse
Unveiling the cell biology of hippocampal neurons with dendritic axon origin.
Han Y, Hacker D, Donders BC, Parperis C, Thuenauer R, Leterrier C, Grünewald K, Mikhaylova M
The Journal of cell biology (2025) 2241: . 302 117 ICC; tested species: rat
The role of α-tubulin tyrosination in controlling the structure and function of hippocampal neurons.
Hosseini S, van Ham M, Erck C, Korte M, Michaelsen-Preusse K
Frontiers in molecular neuroscience (2022) 15: 931859. 302 117 WB, IHC; KO verified; tested species: mouse
Background

Microtubules are involved in a wide variety of intracellular events including cell division, intracellular transport and secretion, axonal transport, and maintenance of cell morphology. They are composed of tubulin, a heterodimeric protein, consisting of two polypeptides, α-tubulin and β-tubulin (1). 
α Tubulin undergoes numerous post-translational modifications that include tyrosination-detyrosination and deglutamylation, phosphorylation, acetylation, polyglutamylation, and polyglycylation. In one of the major posttranslational modifications, the C-terminal tyrosine residue in α-tubulin is added or removed reversibly, producing Glu-tubulin (after detyrosination) and Tyr-tubulin (with re-added tyrosine). Early stages of cell development are often enriched in Tyr tubulin, whereas mature cells show increased Glu tubulin in stable structures. Some microtubule associated proteins (MAPs), motor proteins like kinesins, or stabilizing factors have different affinities for Glu- or Tyr-tubulin (2,3,4).
A third variant of detyrosinated α-tubulin is Δ2-tubulin which lacks the C-terminal glutamic acid. It cannot be tyrosinated by tyrosine ligase and is one of the dominant α-tubulin isoforms in neurons (5).

Certificates

ISO 9001 2015 Quality Management System and Green Lab Platinum certification level for sustaining laboratory processes.

Newsletter

Sign up for our newsletter and get the latest updates and news.
 

Please provide a valid E-Mail-Address
Please provide a valid First name
Please provide a valid Last name