Tailor-made Antibodies
and Tools for Life Science
Home | | | | | Technical Support

Rat Anti-ms CD3e

 

The T‐cell receptor (TCR)–CD3 complex, expressed on T cells, is responsible for the recognition of antigens bound to major histocompatibility complex (MHC) molecules and determines the outcome of T-cell responses. It helps to activate both the CD8+ cytotoxic T cells and the CD4+ T helper cells.

Each T cell contains a unique αβ T-cell receptor (TCR), which does not possess intracellular signaling domains itself. Instead the TCR is noncovalently associated with a multisubunit signaling apparatus, consisting of CD3γ, CD3δ chain, CD3ε chains and CD3ζζ-chains.

TCR/CD3 signaling is central to the initiation of antigen-specific T cell responses to pathogens and vaccines, as well as transplanted tissues, tumors, and autoantigens. CD3 is initially expressed in the cytoplasm of pro-thymocytes. During T cell maturation the expression of CD3 migrates to the cell-membrane. The specific appearance at all stages of T cell development make CD3 a useful immunohistochemical marker for T cells in tissue sections.

In the clinical setting, CD3 is a relevant marker for the classification of malignant lymphomas and leukemias as the antigen remains present in almost all T-cell lymphomas and leukemias. It can also be used to detect T cells in celiac disease, lymphocytic and collagenous colitis.

 

The SYSY|HistoSure rat anti-mouse CD3e antibody has been generated against an epitope unique for mouse CD3e. Specificity for mouse CD3e has been tested in a broad panel of mouse and human tissues. No cross-reactivity was detected with human CD3e. Therefore, it is a unique tool to study the incidence of leaky T cells in humanized mice engrafted with human bone marrow, cord blood, or G-CSF cytokine-mobilized peripheral blood mononuclear cells. Leakiness, in which T and B cells develop in aging mice, occurs for example at high frequency in the immunodeficient mouse strains SCID and NOD/SCID (Bosma, 1992).

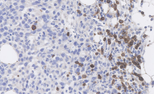
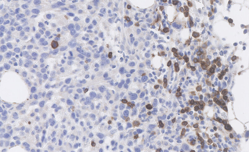
Immunohistochemical staining of FFPE mouse spleen and human tonsil using rat anti-mouse CD3e

Figure 1: Immunohistochemical staining of FFPE mouse spleen and human tonsil using rat anti-mouse CD3e (cat. no. HS-413 117). Nuclei have been counterstained with haematoxylin (blue).

The SYSY|HistoSure rat anti-mouse CD3e antibody has been generated against an epitope unique for mouse CD3e. Specificity for mouse CD3e has been tested in a broad panel of mouse and human tissues. No cross-reactivity was detected with human CD3e. Therefore, it is a unique tool to study the incidence of leaky T cells in humanized mice engrafted with human bone marrow, cord blood, or G-CSF cytokine-mobilized peripheral blood mononuclear cells. Leakiness, in which T and B cells develop in aging mice, occurs for example at high frequency in the immunodeficient mouse strains SCID and NOD/SCID (Bosma, 1992).

Figure 1: Immunohistochemical staining of FFPE mouse spleen and human tonsil using rat anti-mouse CD3e (cat. no. HS-413 117). Nuclei have been counterstained with haematoxylin (blue).

 

The SYSY|HistoSure rat anti-mouse CD3e antibody has been specifically developed for use in formalin fixed paraffin embedded (FFPE) tissue sections. Therefore, it is a powerful tool to study T cell biology in preclinical mouse models, such as preclinical mouse cancer models.

Staining for anti-mouse CD3e
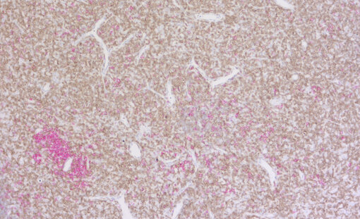
Immunohistochemical doublestaining of formalin-fixed paraffin-embedded mouse thymus using rabbit anti-mouse CD19

Figure 2: Staining for anti-mouse CD3e (cat. no. HS-413 117) in FFPE breast cancer model was performed on a Dako Autostainer, Courtesy: Discovery Services, Charles River, Freiburg, Germany.

Figure 3: Immunohistochemical doublestaining of formalin fixed paraffin embedded (FFPE) mouse thymus using rabbit anti-mouse CD19 (cat. no. HS-439 003, AP-RED, red color) and rat anti-mouse CD3e (cat. no. HS-413 117, DAB, brown color). Nuclei have been counterstained with haematoxylin (blue).

Products

Dear Customer,
thank you for your interest in our products. Our high-quality antibodies are featured in the DNA-PAINT Neuro-Imaging Kits, which are developed and distributed by Massive Photonics GmbH.

To ensure your request is handled efficiently, please use the provided input form to contact Massive Photonics directly.

With kind regards,
Your SYSY Antibodies Team


Cat. No. Product Description Application Quantity Price Cart
HS-439 003
CD19, rabbit, polyclonal, affinity purifiedaffinity
mouse specific
WB ICC IHC IHC-P (FFPE) 200 µl$375.00
HS-413 117
CD3e, rat, monoclonal, purified IgG IgG
mouse specific
IHC-P (FFPE) 200 µl$420.00
Result count: 2
 

Literature

  • Bosma, 1992: B and T Cell Leakiness in the Scid Mouse Mutant. PMID: 1449786

Certificates

ISO 9001 2015 Quality Management System and Green Lab Platinum certification level for sustaining laboratory processes.

Newsletter

Sign up for our newsletter and get the latest updates and news.
 

Please provide a valid E-Mail-Address
Please provide a valid First name
Please provide a valid Last name