Tailor-made Antibodies
and Tools for Life Science
Home | | | | | Technical Support

CD11c – more than a Marker for Dendritic Cells in Histopathology

 

Overview

CD11c Histosure antibodies

CD11c is a widely established marker for dendritic cells (see CD11c protein and function). It can be employed to determine the subsets of dendritic cells (DC) in the immune system (see CD11c expression in human and murine immune system), but CD11c may be more than a marker for DC cells (see CD11c and inflammation). Furthermore, CD11c is utilized in cancer research and diagnosis (see CD11c Expression in normal and neoplastic tissues).

SYSY|HistoSure offers three polyclonal antibody products for detection of CD11c in paraffin-embedded sections and in PFA-fixed vibratome sections of mouse organs:

The SYSY|HistoSure CD11c antibodies are mouse-specific, i.e. they do not cross-react with human CD11c and are therefore particularly suited to distinguish murine from human cells in humanized mouse models. In accordance with our SYSY|HistoSure Quality Guidelines the CD11c antibodies have been tested in a broad, comprehensive FFPE tissue panel.

murine formalin-fixed paraffin embedded mouse spleen section with Guinea-pig anti-CD11c
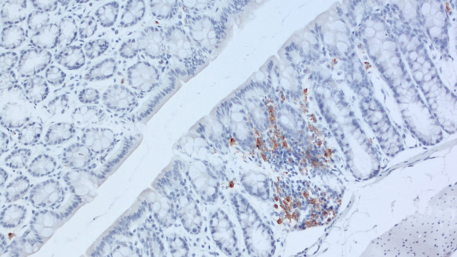
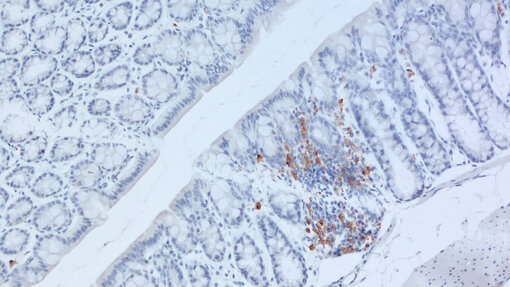
murine formalin-fixed paraffin embedded mouse colon section with rabbit anti-CD11c

Figure 1: Immunohistochemical staining of murine formalin-fixed paraffin embedded mouse spleen section with Guinea-pig anti-CD11c (HS-375 004, 1:1000, DAB). Nuclei were counterstained with hematoxylin (blue).

Figure 2: Immunohistochemical staining of murine formalin-fixed paraffin embedded mouse colon section with rabbit anti-CD11c (HS-375 003, 1:100, DAB). Nuclei were counterstained with hematoxylin (blue).

 

Antigen Background: CD11c protein and function

CD11c is an approximately 150 kDa type I transmembrane glycoprotein protein and part of the complement receptor 4 (CR4). Together with CR3, named also Mac-1 or CD11b/CD18, CR4 belongs to the β2 integrin family of adhesion molecules. CR3 and CR4 form heterodimeric integral membrane proteins composed of one CD18 beta chain (β2) and either one integrin alpha M chain (ITGAM, CD11b) or one integrin alpha X chain (ITGAX, CD11c), respectively. CR3 and CR4 have overlapping ligand binding specificity and share 87% sequence homology in their extracellular domains (Corbi et al., 1988). Complement receptors make an important link between cellular functions and soluble components, factors and other related proteins. Therefore, CR3 and CR4 are able to bind multiple ligands as for example fibrinogen or heparin (Vorup-Jensen et al., 2018). Both, CR3 and CR4 are involved in cellular adherence, migration and phagocytosis. However, whereas CR3 is involved in phagocytosis of iC3b opsonized bacteria, CR4 dominates cell adhesion to fibrinogen of human monocyte-derived macrophages and human monocyte-derived dendritic cells (Sándor et al., 2016; Lukácsi et al., 2017). Recent data implicates a role of CD11c in the regulation of hematopoietic stem and progenitor cells (HSPSs) under stress (Hou et al., 2020).

CD11c expression in normal and neoplastic tissues

CD11c is commonly used as mouse DC marker. However, CD11c is not restricted to DCs, but also expressed by other immune cells, such as macrophages in the alveoli (Gonzalez-Juarrero et al., 2003) and adipose tissues (Brake et al., 2006). In humans, both monocytes and dendritic cells express CD11c (Collin et al., 2012). CD11c expression is also detected in intestinal macrophages (reviewed in Gross et al., 2015), in neutrophil subpopulations in inflammation (Rosales, 2018), in a small subset of B cells mainly in autoimmune diseases such as rheumatoid arthritis or multiple sclerosis (Golinski et al., 2020) and in NK cell and T-cell subpopulations. In diseased brain activated microglia express CD11c (reviewed in Benmamar-Badel et al., 2020) and CD11c expression has also been detected on short-term hematopoietic stem and progenitor cells in the mouse (Hou et al., 2020). In oncology, CD11c is an important marker for the diagnosis of hairy cell leukemia (Maitre et al., 2019), acute myeloid leukemia (Master et al., 1989) and some chronic lymphocytic leukemias (Umit et al., 2017).

Usage of CD11c expression in discrimination of murine and human DC subtypes

Dendritic cells (DC) represent a heterogeneous population of bone-marrow-derived cells found in the blood, epithelial and lymphoid tissues. DCs are implicated in pathogen recognition and guide the specificity, magnitude and polarity of immune responses (Collin et al., 2012). According to phenotype, cytokine secretion, tissue distribution and function human and mouse DCs can be classified in different subsets.

In mice, distinct subtypes were initially more evident than among human DCs because of expression of markers not present on human DCs. ‘Mature’ mouse DCs express CD11c and the co-stimulator molecules CD80, CD86 and CD40, and they have moderate to high surface levels of MHC class II (Shortman et al., 2002). Therefore, CD11c is commonly used as a mouse DC marker. However, as CD11c is not restricted to dendritic cells co-staining of other markers is useful. Furthermore, there is evidence that CD11c expression may be regulated in murine DCs in response to different stimuli. Thus, activated mouse DCs may be transiently CD11c-negative in vivo, hampering the identification of those cells (Singh-Jasula et al., 2013).

CD11c expression in murine DC subsets

In murine lymphoid tissue DCs consist at least of three main populations: CD11c+ CD45R (B220)+ plasmacytoid DCs (pDCs), also called ‘natural type I interferon-producing cells’, and two subsets of conventional DCs (cDCs), namely CD11c+ CD8a+ CD103+ cDC1s and CD11c+ CD11b+ CD4+ cDC2s (Onai et al., 2007; Singh-Jasuja et al., 2013; Schlitzer et al., 2015). Furthermore, murine pDCs can be differentiated from cDCs by expression of the surface markers CD45RA, Ly-6C, Siglec-H and CD317 (BST2) (Musumeci et a., 2019). Murine cDCs and pDCs derive from a common Lin- c-Kitint Flt3+ M-CSFR+ progenitor (Onai et al., 2007).

pDCs are highly effective in sensing intracellular viral or self-DNA and RNA mainly via Toll-like receptors (TLRs), rapidly produce large amounts of type I and III interferons (IFNs) and therefore play an important role in antiviral immunity and systemic autoimmunity.

cDC1s efficiently cross-present antigens to CD8+ T-cells and promote cytotoxic T-cell and Th1 cell response though production of high levels of IL-12p70. cDC2s are superior in MHCII antigen presentation and support Th1, TH2 and Th17 polarization (reviewed in Musumeci et al., 2019).

Langerhans cells (LC) are unique in their development compared to other DC subtypes. Long-term LCs self-renew in the epidermis and are exceptionally long-lived cells. A second LC population, namely short-term LCs develop under inflammatory conditions from Gr-1high monocytes (Seré et al., 2012). LCs express CD11c, langerin (CD207) and a range of myeloid markers, such as CD11b and CD205 and stain at low levels for CD8a (Shortman et al., 2002, Seré et al., 2012).

Monocyte derived DCs (mo-DCs), also called ‘inflammatory dendritic cells’, are a DC population induced by infection and inflammation settings. They are described to express CD11c, Ly6C, F4/80, CCR2, DC-SIGN (CD209), CD206, FcɛRI and CD64 (FcγRI). CD64+ moDCs show a more robust inflammatory response program serving the elimination of pathogens than CD64+ cDCs which are also detected in inflamed tissues (Min et al., 2018).

CD11c expression in human DC subsets

In humans, all DCs express high levels of MHC class II (HLA-DR) and lack typical lineage markers such as CD3e, a marker of T-cells, CD19 and CD20, markers of B-cells, and CD56, a marker of human natural killer cells. Human DCs are also classified into the three major DC subsets cDC1, cDC2 and pDC. Human cDCs correspond to the murine CD11c+ conventional DCs and express typical myeloid antigens such as CD11c, CD13, CD33 and CD11b. The two human cDC subsets are distinguished by expression of CD141 (cDC1) or CD1 (cDC2). The cDC1 subset is less frequent than the cDC2 subset in blood and tissues (~ 10 % of total myeloid cDCs) and promotes T helper type 1 and natural killer responses. The cDC2 subset expresses many different lectins and promotes a wide range of immune responses (Collin et al., 2013; Collin et al., 2018).

pDCs typically lack myeloid antigens and are distinguished by expression of CD123 (IL-3R), CD303 (BDCA2), CD304 (BDCA4) and CD45RA. pDCs have an eccentric nucleus and prominent endoplasmic reticulum and golgi, thereby resembling a plasma cell and were first identified in human blood and tonsil. Like all human DCs they express CD4, but at a higher level than cDCs. Human pDCs are specialized to sense and to respond to viral infections (Collin et al., 2013; Collin et al., 2018).

Human Langerhans cells (LCs) show in common with cDC1 cells lower CD11c expression than cDC2 cells. Human LCs express high levels of C-type Langerin, CD1a, E-cadherin and EpCAM. Langerhans cells maintain epidermal health and tolerance to commensals (Collin et al., 2018).

Human monocyte derived DCs (mo-DCs) have been described in inflamed conditions, e.g., skin sensitization, allergic rhinitis or coeliac disease. Human monocytes already express CD11c and MHCII, thus these markers are not helpful to separate monocytes from DCs. Mo-DCs are CD11c+, CD1c+, FcεR1+, CD206+ and IRF4+. Human mo-DCs probably function mainly at the site of inflammation rather than migration to lymph nodes (reviewed in Collin et al., 2018).

Dendritic cell type Cell markers in mouse Cell markers in human Function
Plasmacytoid dendritic cell (pDC)

CD11clow (HS-375 003, HS-375 004)

CD45R (B220), MHC class II, CD45RA, Ly-6C, Siglec-H, CD317 (BST2 / PDCA-1)
CD123 (IL-3R), CD303 (BDCA2), CD304 (BDCA4), CD45RA, MHC II, CD123 (IL-3R), CD303 (BDCA2), CD304 (BDCA4), CD45RA, MHC II,
Conventional dendritic cell 1 (cDC1)

CD11chigh (HS-375 003, HS-375 004),

CD8a (HS-361 003, HS-361 008,
HS-361 017), CD103, MHC class II
CD11c, CD141, CD11b (HS-384 017), MHC class II, CD13, CD33 promote cytotoxic T-cell and Th1 cell response
Conventional dendritic cell 2 (cDC2)

CD11chigh (HS-375 003, HS-375 004),

CD11b (HS-384 103, HS-384 117),

CD4 (HS-360 004, HS-360 017, HS-360 108, HS-360 117, MHC class II
CD11c, CD1, CD11b (HS-384 017), MHC class II, CD13, CD33 Superior antigen presentation; induced Th17 responses
Langerhans cells (LC) CD11c (HS-375 003, HS-375 004), langerin (CD207) CD11clow, CD1a, E-Cadherin, EpCAM maintain epidermal health and tolerance to commensals
Monocyte-derived DC

CD11c (HS-375 003, HS-375 004), CD209, CD11b (HS-384 103, HS-384 117),

Ly6C, CD64
CD11c, CD1c, CD206 elimination of pathogens

 

 

CD11c Products

Dear Customer,
thank you for your interest in our products. Our high-quality antibodies are featured in the DNA-PAINT Neuro-Imaging Kits, which are developed and distributed by Massive Photonics GmbH.

To ensure your request is handled efficiently, please use the provided input form to contact Massive Photonics directly.

With kind regards,
Your SYSY Antibodies Team


Cat. No. Product Description Application Quantity Price Cart
375-0P
CD11c, control peptidecontrol peptide100 µg$110.00
HS-375 003
CD11c, rabbit, polyclonal, affinity purifiedaffinity
mouse specific
WB IHC IHC-P (FFPE) 200 µl$375.00
HS-375 004
CD11c, Guinea pig, polyclonal, antiserumantiserum
mouse specific
WB IHC IHC-P (FFPE) 100 µl$355.00
HS-375 008
CD11c, rabbit, monoclonal, recombinant IgGrecombinant IgG
mouse specific
IHC IHC-P (FFPE) 50 µg$420.00
HS-375 017
CD11c, rat, monoclonal, purified IgG IgG
mouse specific
IHC IHC-P (FFPE) IHC-Fr 100 µg$420.00
HS-466 003
CD86, rabbit, polyclonal, affinity purifiedaffinity
mouse specific
WB IHC IHC-P (FFPE) IHC-Fr 50 µg$375.00
HS-516 003
CX3CR1, rabbit, polyclonal, affinity purifiedaffinity WB ICC IHC IHC-P (FFPE) 50 µg$375.00
HS-516 017
CX3CR1, rat, monoclonal, purified IgG IgGIHC IHC-P (FFPE) 100 µg$420.00
391 004LAMP3, Guinea pig, polyclonal, antiserumantiserum K.O.Dot blot IHC IHC-P (FFPE) 100 µl$455.00
391 005LAMP3, Guinea pig, polyclonal, affinity purifiedaffinity K.O.IHC IHC-P (FFPE) 50 µg$470.00
391 008LAMP3, rabbit, monoclonal, recombinant IgGrecombinant IgG K.O.Dot blot IHC IHC-P (FFPE) 50 µg$420.00
HS-391 017
LAMP3, rat, monoclonal, affinity purifiedaffinity K.O.IHC-P (FFPE) 100 µg$420.00
Result count: 12
 

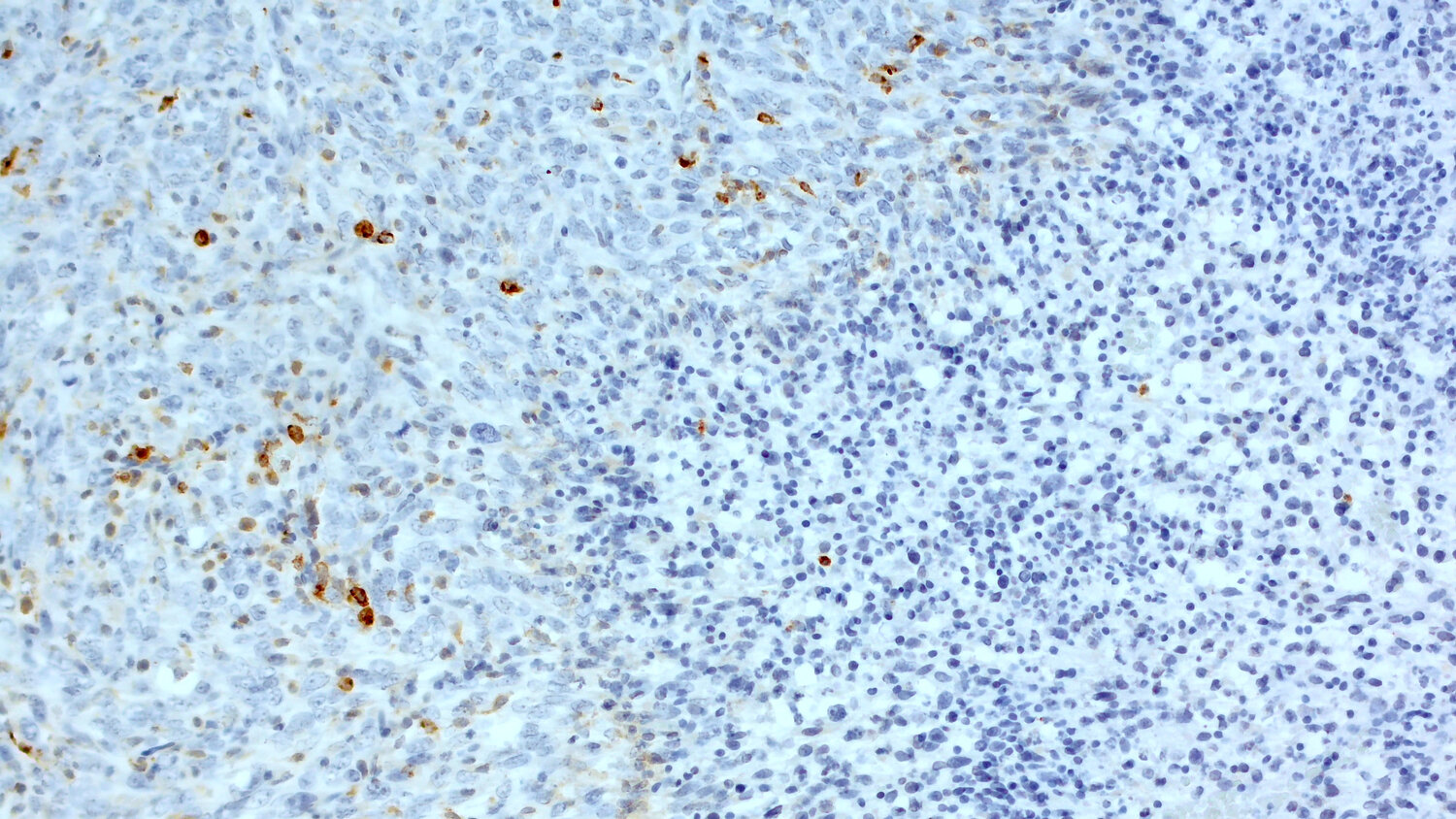
CD11c as marker for liver inflammation

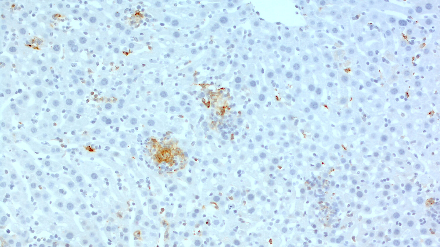
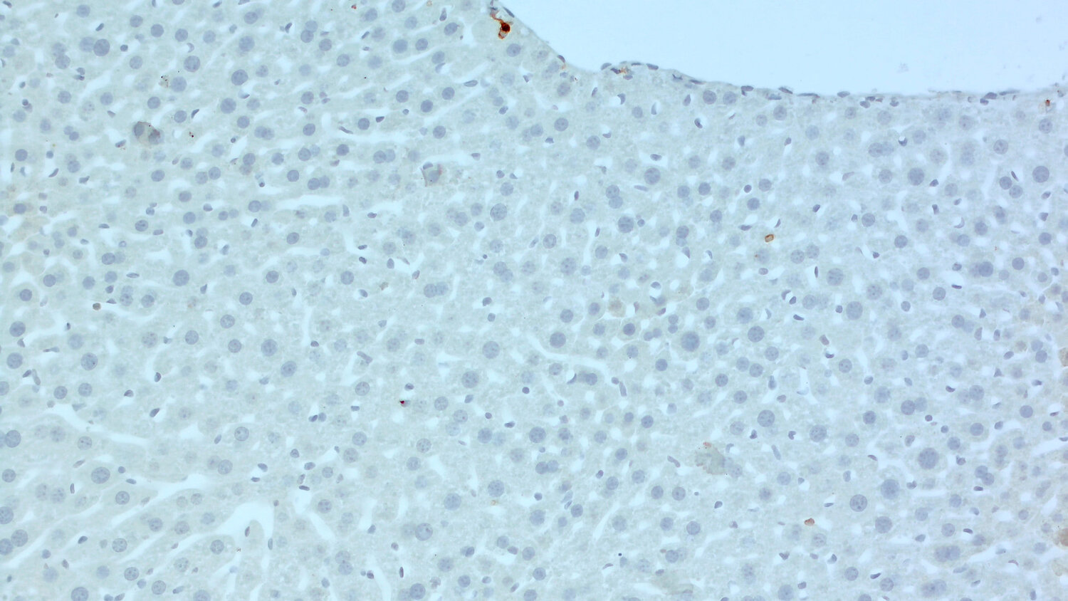
In the naïve mouse liver, CD11c+ cells are located around the liver sinusoids, these cells are CD11b-. Under inflammatory conditions frequent inflammatory clusters are detected in the liver. These clusters contain T-cells, CD11b+ neutrophils, monocyte/macrophage lineage cells and CD11c+ dendritic cells (Lloyd et al., 2008). Mice infected with cysts of Toxoplasmosis gondii via oral gavage develop a systemic inflammation, with parasites even crossing the blood-brain barrier at day 14 post infection (French et al., 2019). Inflammatory clusters containing CD11c+ cells are detected in infected mouse livers, but not in liver from control animals housed in specific pathogen-free (SPF) conditions (figure 3).

Immunohistochemical staining of FFPE mouse liver sections of A a naïve control mouse and B a mouse with systemic T. gondii infection using rabbit anti-CD11c

Figure 3: Immunohistochemical staining of formalin-fixed paraffin embedded mouse liver sections of A a naïve control mouse and B a mouse with systemic T. gondii infection using rabbit anti-CD11c (HS-375 003, 1:100, DAB). Nuclei were counterstained with hematoxylin (blue).

 

CD11c as marker for microglial activation

Microglia are the key immune effector cells of the central nervous system (CNS) and play an essential role in brain infection but also in maintenance of the CNS. Activation of Microglia is a common feature in many neurological disorders including inflammatory, demyelinating, and degenerative diseases, as well as glioma and injury. CD11c expression is a marker of microglia activation and the presence of CD11c+ microglia around Aβ plaques in Alzheimer’s disease (AD) has been shown in several studies (reviewed in Benmamar-Badel et al., 2020). Microglial CD11c expression near plaques is also detected in the APP/PS1 AD models as confirmed through co-staining with the microglia marker IBA-1 (figure 4).

Indirect immunostaining of PFA fixed wild-type (left) and triple transgenic Alzheimer’s disease mouse (right) brain cortex sections with Guinea pig anti-CD11c

Figure 4: Indirect immunostaining of PFA fixed wild-type (left) and triple transgenic Alzheimer’s disease mouse (right) brain cortex sections with Guinea pig anti-CD11c (cat. no. HS-375 004, dilution 1 : 1000, red) and rabbit anti-IBA 1 (cat. no. HS-234 013, dilution 1 : 1000, green). Nuclei have been visualized by DAPI staining (blue).

 

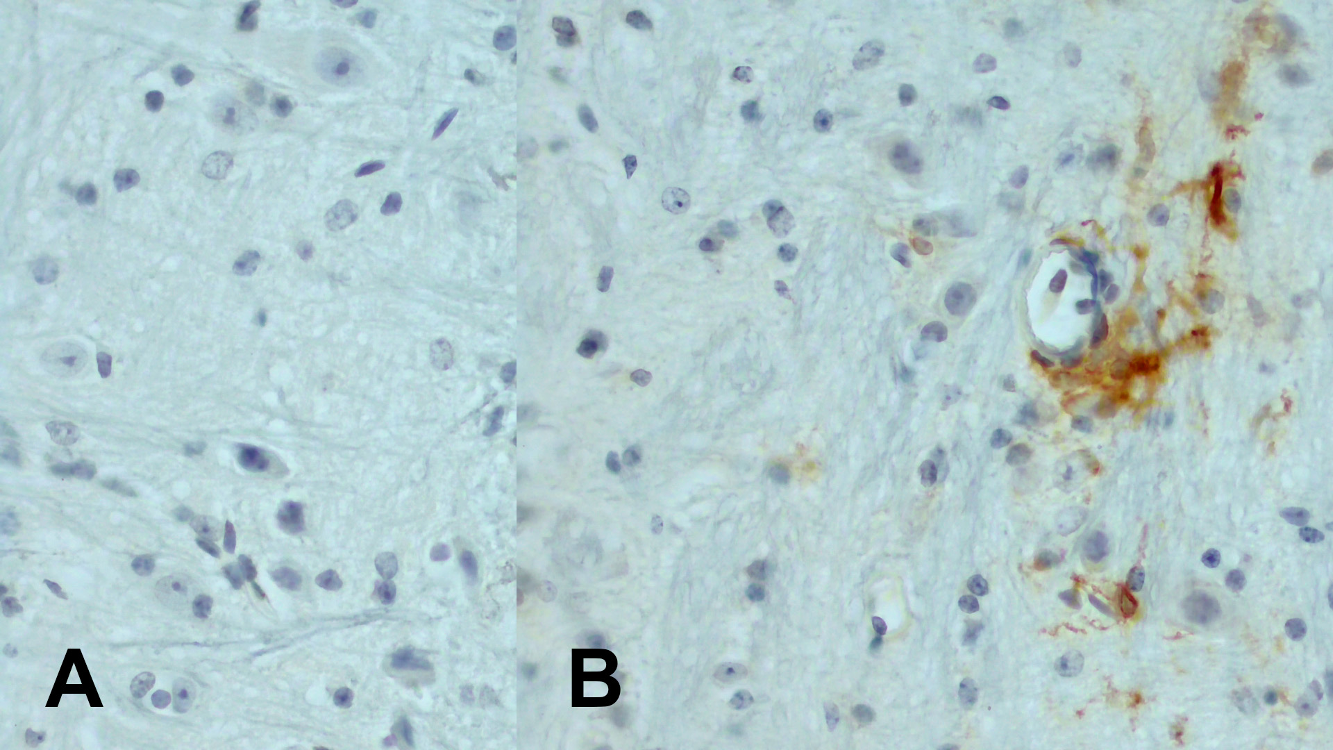
Neuroinflammation induced by Toxoplasmosis gondii is also associated with increased microglia activation and infiltration of diverse immune cell subsets (French et al., 2019). In accordance with this, CD11c+ cells are detected in the brain of a Toxoplasmosis gondii infected mouse but not in the brain of a non-infected control mouse (figure 5).

Figure 5 - FFPE mouse brain section

Figure 5: Immunohistochemical staining of formalin fixed paraffin embedded (FFPE) mouse brain sections of A a naïve control mouse and B a mouse with systemic T. gondii infection using guinea pig anti-CD11c (HS-375 004, 1:1000, DAB). Nuclei were counterstained with hematoxylin (blue).

 

Detection of CD11c positive cells in human and murine cancer

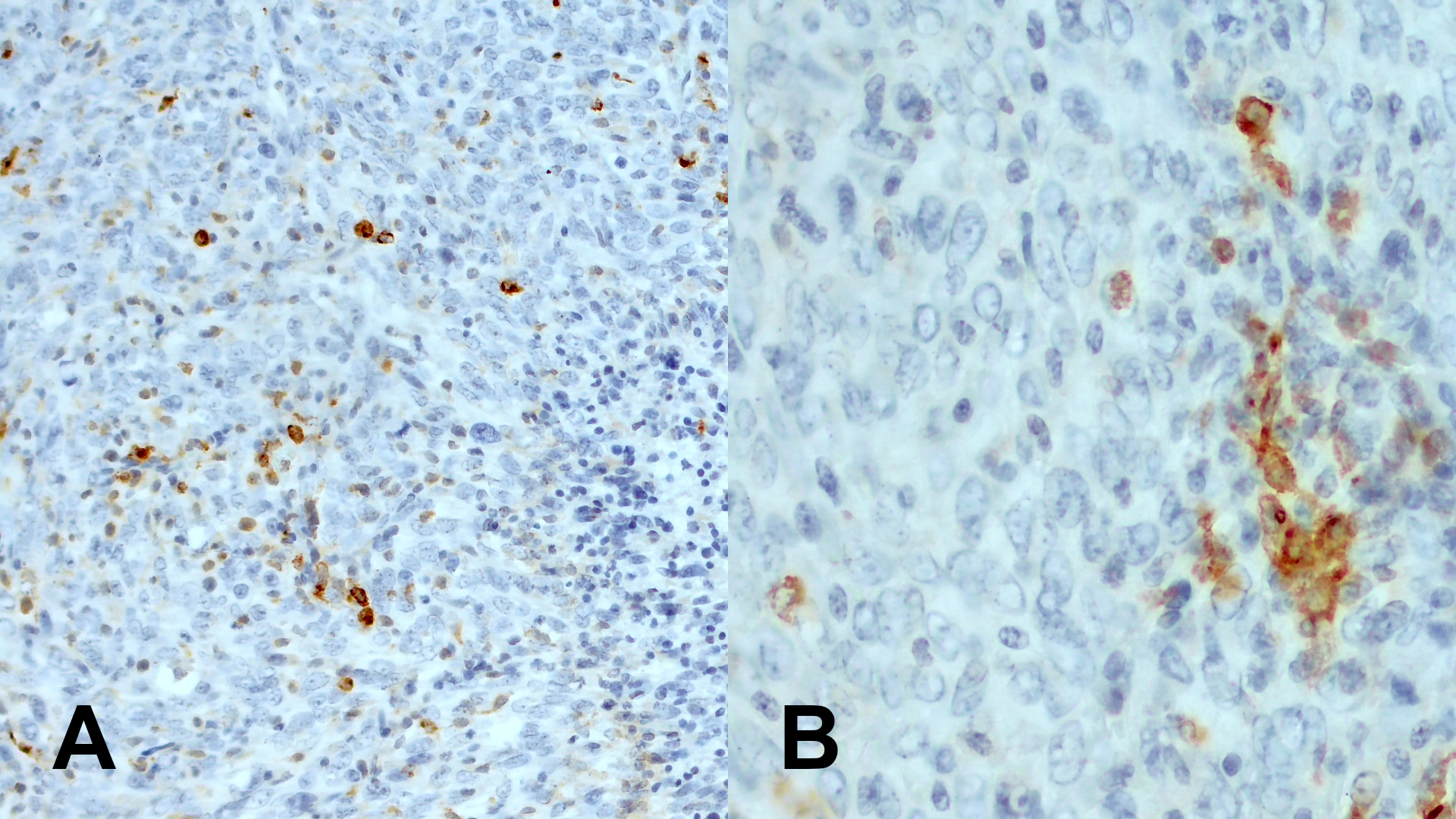
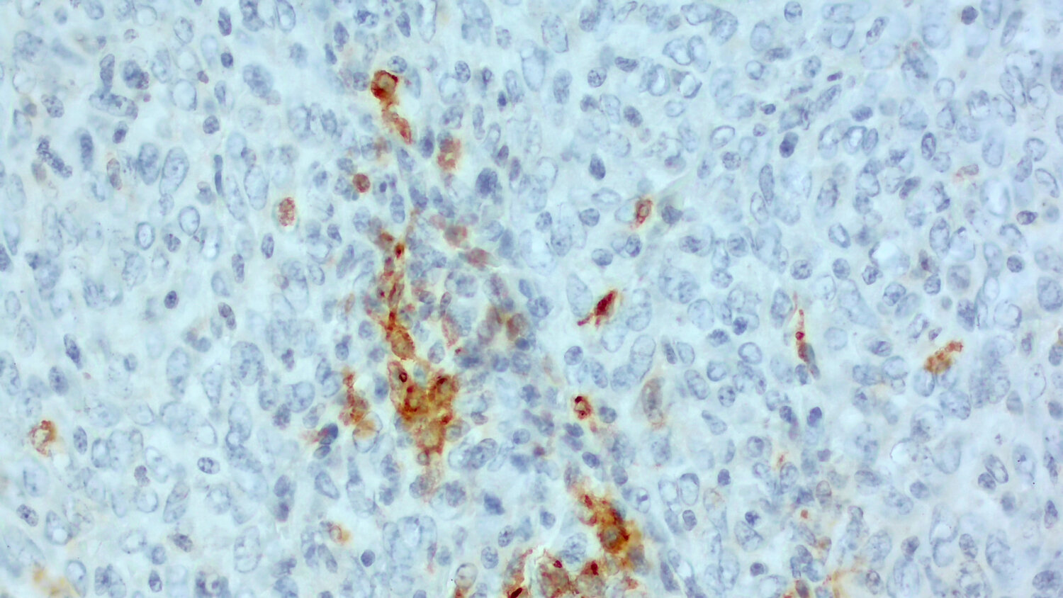
Antigen-presenting cells are important for the induction of anti-tumor immunity by priming naïve T-cells to differentiate into effector cells. As CD11c is highly expressed in human monocyte derived and in human conventional DCs, CD11c+ cells can be found in human tumors to be located in areas with high numbers of tumor-infiltrating lymphocytes (TILs). Therefore, high CD11c expression is associated with a longer median overall survival in patients e.g., with gastric cancer (Wang et al., 2015) or high-grade serous ovarian cancer (Corvigno et al., 2020). Furthermore, experiments in syngeneic mouse models in immunocompetent mice show that CD11c+ dendritic cells play a critical role in the tumoricidal activity of antibody therapies (Haynes et al., 2010). Therefore, histological detection of CD11c+ cells in syngeneic mouse models is an essential biomarker in pre-clinical oncology (figure 6).

Immunohistochemical staining for CD11c in formalin-fixed paraffin embedded sections of a murine breast cancer

Figure 6: Immunohistochemical staining for CD11c in formalin fixed paraffin embedded (FFPE) sections of a murine breast cancer (EMT6; kindly provided by Charles River, Freiburg, Germany) using A rabbit anti-CD11c (HS-375 003, 1:100, DAB) or B guinea pig anti-CD11c (HS-375 004, 1:1000, DAB). Nuclei were counterstained with hematoxylin (blue).

 

Literature:

Vorup-Jensen et al., 2018. Structural Immunology of Complement Receptors 3 and 4. PMID: 30534123

Collin et al., 2013. Human dendritic cell subsets. PMID: 23621371

Collin et al., 2018. Human dendritic cell subsets: an update. PMID: 29313948

Onai et al., 2007. Identification of clonogenic common Flt3+M-CSFR+ plasmacytoid and conventional dendritic cell progenitors in mouse bone marrow. PMID: 17922016

Singh-Jasuja et al., 2013. The mouse dendritic cell marker CD11c is down-regulated upon cell activation through Toll-like receptor triggering. PMID: 22445076

Gonzalez-Juarrero et al., 2003. Dynamics of macrophage cell populations during murine pulmonary tuberculosis. PMID: 12960339

Brake et al., 2006. ICAM-1 expression in adipose tissue: effects of diet-induced obesity in mice. PMID: 16807303

Shortman et al., 2002. Mouse and human dendritic cell subtypes. PMID: 11913066

Musumeci et al., 2019. What Makes a pDC: Recent Advances in Understanding Plasmacytoid DC Development and Heterogeneity. PMID: 31191558

Schlitzer et al., 2015. Identification of cDC1- and cDC2-committed DC progenitors reveals early lineage priming at the common DC progenitor stage in the bone marrow. PMID: 26054720

Seré et al., 2012. Two distinct types of Langerhans cells populate the skin during steady state and inflammation. PMID: 23159228

Min et al., 2018. Inflammation induces two types of inflammatory dendritic cells in inflamed lymph nodes. PMID: 29546878

Lloyd et al., 2008. Three-colour fluorescence immunohistochemistry reveals the diversity of cells staining for macrophage markers in murine spleen and liver. PMID: 18367204

French et al., 2019. Neuronal impairment following chronic Toxoplasma gondii infection is aggravated by intestinal nematode challenge in an IFN-γ-dependent manner. PMID: 31352901

Benmamar-Badel et al., 2020. Protective Microglial Subset in Development, Aging, and Disease: Lessons From Transcriptomic Studies. PMID: 32318054

Gross et al., 2015. Guardians of the Gut - Murine Intestinal Macrophages and Dendritic Cells. PMID: 26082775

Rosales, 2018. Neutrophil: A Cell with Many Roles in Inflammation or Several Cell Types? PMID: 29515456

Golinski et al., 2020. CD11c + B Cells Are Mainly Memory Cells, Precursors of Antibody Secreting Cells in Healthy Donors. PMID: 32158442

Maitre et al., 2019. Hairy cell leukemia: 2020 update on diagnosis, risk stratification, and treatment. PMID: 31591741

Master et al., 1989. Diagnostic application of monoclonal antibody KB90 (CD11c) in acute myeloid leukaemia. PMID: 2477088

Umit et al., 2017. CD11c expression in chronic lymphocytic leukemia revisited, related with complications and survival. PMID: 28603911

Hou et al., 2020. CD11c regulates hematopoietic stem and progenitor cells under stress. PMID: 33351105

Corbi et al., 1988. The human leukocyte adhesion glycoprotein Mac-1 (complement receptor type 3, CD11b) alpha subunit. Cloning, primary structure, and relation to the integrins, von Willebrand factor and factor B. PMID: 2457584

Sándor et al., 2016. CD11c/CD18 Dominates Adhesion of Human Monocytes, Macrophages and Dendritic Cells over CD11b/CD18. PMID: 27658051

Lukácsi et al., 2017. The role of CR3 (CD11b/CD18) and CR4 (CD11c/CD18) in complement-mediated phagocytosis and podosome formation by human phagocytes. PMID: 28554712

Wang et al., 2015. High expression of CD11c indicates favorable prognosis in patients with gastric cancer. PMID: 26309367

Corvigno et al. 2020. High density of stroma-localized CD11c-positive macrophages is associated with longer overall survival in high-grade serous ovarian cancer. PMID: 33032823

Haynes et al. 2010. CD11c+ dendritic cells and B cells contribute to the tumoricidal activity of anti-DR5 antibody therapy in established tumors. PMID: 20505139

Certificates

ISO 9001 2015 Quality Management System and Green Lab Platinum certification level for sustaining laboratory processes.

Newsletter

Sign up for our newsletter and get the latest updates and news.
 

Please provide a valid E-Mail-Address
Please provide a valid First name
Please provide a valid Last name