Tailor-made Antibodies
and Tools for Life Science
Home | | | | | Technical Support

CD86 (B7.2) antibody mouse specific - HS-466 003

CD86 is a costimulatory molecule expressed by antigen-presenting cells
Rabbit polyclonal purified antibody
Cat. No.: HS-466 003
Amount: 50 µg
Price: $375.00
Cat. No. HS-466 003 50 µg specific antibody, lyophilized. Affinity purified with the immunogen. Albumin and azide were added for stabilization. For reconstitution add 50 µl H2O to get a 1mg/ml solution in PBS. Then aliquot and store at -20°C to -80°C until use.
Antibodies should be stored at +4°C when still lyophilized. Do not freeze!
Applications
 
WB: 1 : 250 (AP staining) gallery  
IP: not tested yet
ICC: not tested yet
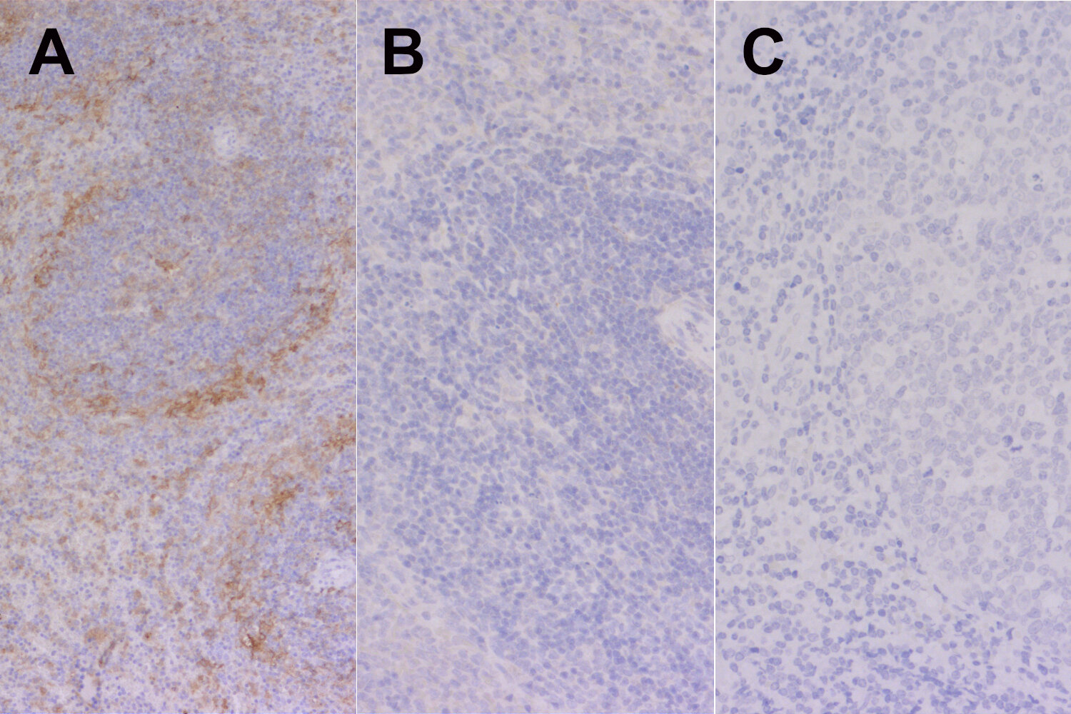
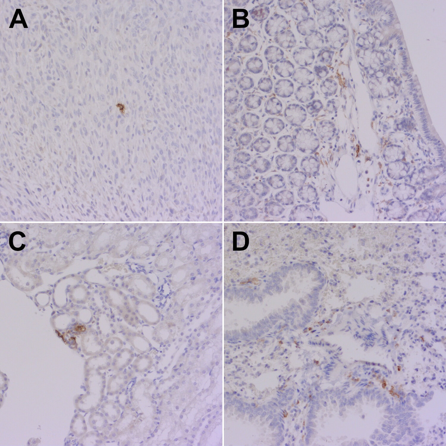
IHC: 1 : 500 (see remarks) gallery  
IHC-P: 1 : 400 gallery  
IHC-Fr: 1 : 500 (see remarks) gallery  

Western blot (WB); separation of proteins by PAGE and subsequent transfer to a membrane. Detection of target molecules is carried out with antibodies. Some antibodies require special sample preparation steps. For details, please refer to the “Remarks” section.

Immunoprecipitation (IP); Immunoisolation or pulldown of a target molecule using an antibody. For details and product specific hints, please refer to the ”Remarks” section.

Immunocytochemistry (ICC) on 4% PFA fixed cells. Immunoreactivity is usually revealed by fluorescence. Some antibodies require special fixation methods. For details, please refer to the “Remarks” section.

Immunohistochemistry (IHC) on 4% PFA perfusion fixed tissue with 24h PFA post fixation. Immunoreactivity is usually revealed by fluorescence or a chromogenic substrate. Some antibodies require special fixation methods or antigen retrieval steps. For details, please refer to the ”Remarks” section.

Immunohistochemistry (IHC-P) of formalin fixed, paraffin embedded (FFPE) tissue (some antibodies require special antigen retrieval steps, please refer to the ”Remarks” section). Immunoreactivity is usually revealed by fluorescence or a chromogenic substrate.

Immunohistochemistry on fresh frozen (IHC-Fr) cryo-tissue-sections. In contrast to standard PFA perfusion fixed tissues, fresh frozen cryo-tissue-sections can be variably postfixed with alcohols, acetone or PFA. Alcohol or acetone fixation is e.g. of advantage for antigens masked by PFA crosslinking. For recommended postfixation, please refer to the ”Remarks” section. Immunoreactivity is usually revealed by fluorescence or a chromogenic substrate.

Immunogen Synthetic peptide corresponding to AA 291 to 309 from mouse Cd86 (UniProt Id: P42082)
Reactivity Reacts with: mouse (P42082).
No signal: human (P42081), rat.
Other species not tested yet.
Remarks

IHC: Antigen retrieval with citrate buffer pH 6 is required.
IHC-Fr: Methanol fixation is recommended.

Data sheet Datasheet hs-466_003
Important information
This product belongs to the HistoSure product line of antibodies developed for and extensively tested in FFPE tissues.
For more information please visit our HistoSure brand website.
Cat. No.: HS-466 003
Amount: 50 µg
Price: $375.00

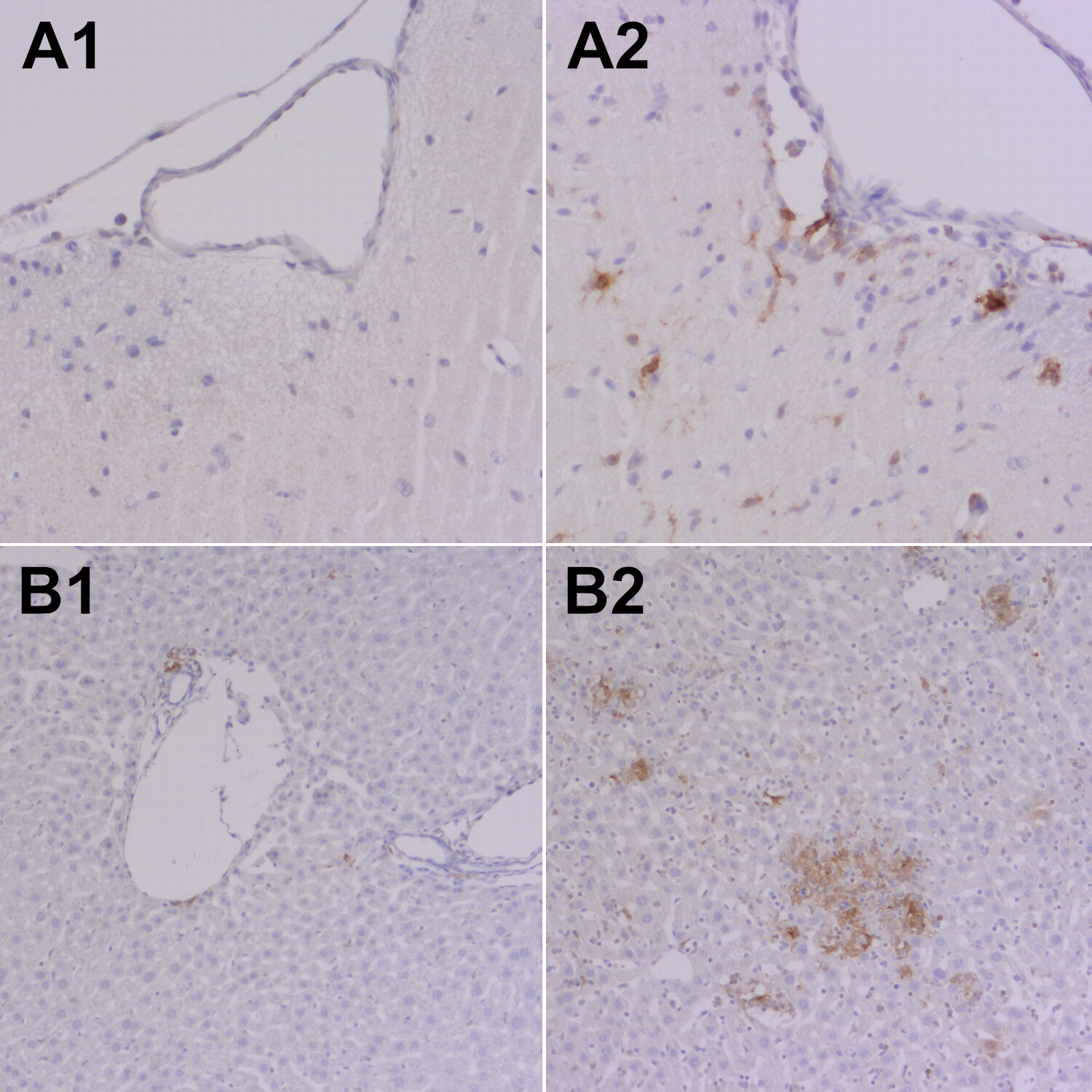
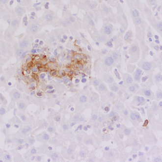
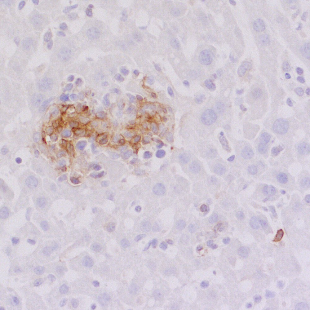
CD86 positive cells in a Toxoplasmose gondii infected mouse liver section

Background

CD86 (Cluster of Differentiation 86, also known as B7.2) belongs to the B7 family of immune-regulatory cell-surface protein ligands (1). CD86 and the genetically closely linked CD80 protein (also known as B7.1) are expressed by antigen presenting cells and provide costimulatory signals necessary for T cell activation and tolerance via interaction with CD28 and cytotoxic T-lymphocyte antigen 4 (CTLA-4) expressed on T-cells. However, CD80 and CD86 have non-equivalent roles in immune modulation: CD86 is the dominant ligand for proliferation and survival of regulatory T cells (Tregs) (2) and shows in comparison with CD80 very high efficiency at increasing T cell killing capacity (3). CD86 is expressed only at low levels on resting B cells, dendritic cells and macrophages; activation results in enhanced CD86 expression (Collins et al., 2005). In the CNS, CD86 upregulation is a marker of activated pro-inflammatory M1 microglia (4). In oncology research, CD86 is a biomarker to phenotypically differentiate classically activated M1 macrophages from alternatively activated M2 macrophages in the tumor microenvironment (5).

Certificates

ISO 9001 2015 Quality Management System and Green Lab Platinum certification level for sustaining laboratory processes.

Newsletter

Sign up for our newsletter and get the latest updates and news.
 

Please provide a valid E-Mail-Address
Please provide a valid First name
Please provide a valid Last name