Tailor-made Antibodies
and Tools for Life Science
Home | | | | | Technical Support

CX3CR1 antibody - HS-516 003

CX3CR1 is a receptor for the C-X3-C chemokine fractalkine
Rabbit polyclonal purified antibody
Cat. No.: HS-516 003
Amount: 50 µg
Price: $375.00
Cat. No. HS-516 003 50 µg specific antibody, lyophilized. Affinity purified with the immunogen. Albumin and azide were added for stabilization. For reconstitution add 50 µl H2O to get a 1mg/ml solution in PBS. Then aliquot and store at -20°C to -80°C until use.
Antibodies should be stored at +4°C when still lyophilized. Do not freeze!
Applications
 
WB: 1 : 500 up to 1 : 1000 (AP staining) (see remarks) gallery  
IP: not tested yet
ICC: 1 : 500 gallery  
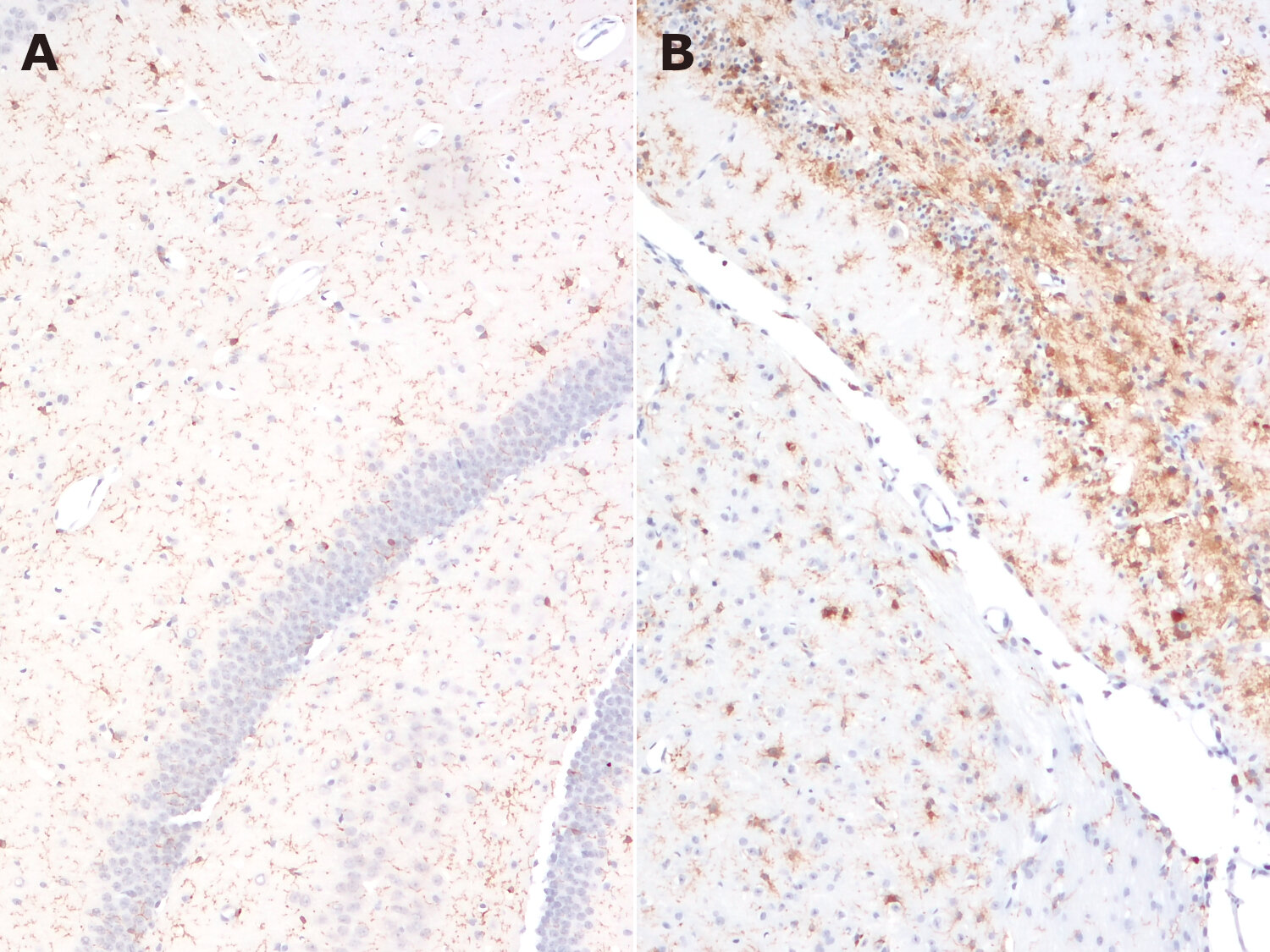
IHC: 1 : 500 (see remarks) gallery  
IHC-P: 1 : 750 gallery  

Western blot (WB); separation of proteins by PAGE and subsequent transfer to a membrane. Detection of target molecules is carried out with antibodies. Some antibodies require special sample preparation steps. For details, please refer to the “Remarks” section.

Immunoprecipitation (IP); Immunoisolation or pulldown of a target molecule using an antibody. For details and product specific hints, please refer to the ”Remarks” section.

Immunocytochemistry (ICC) on 4% PFA fixed cells. Immunoreactivity is usually revealed by fluorescence. Some antibodies require special fixation methods. For details, please refer to the “Remarks” section.

Immunohistochemistry (IHC) on 4% PFA perfusion fixed tissue with 24h PFA post fixation. Immunoreactivity is usually revealed by fluorescence or a chromogenic substrate. Some antibodies require special fixation methods or antigen retrieval steps. For details, please refer to the ”Remarks” section.

Immunohistochemistry (IHC-P) of formalin fixed, paraffin embedded (FFPE) tissue (some antibodies require special antigen retrieval steps, please refer to the ”Remarks” section). Immunoreactivity is usually revealed by fluorescence or a chromogenic substrate.

Immunogen Synthetic peptide corresponding to residues near the carboxy terminus of mouse CX3CR1 (UniProt Id: Q9Z0D9)
Reactivity Reacts with: mouse (Q9Z0D9).
No signal: human (P49238).
Other species not tested yet.
Remarks

WB: To avoid protein aggregation, do not heat samples for SDS-PAGE.
IHC: Antigen retrieval with citrate buffer pH 6 is required.

Data sheet Datasheet hs-516_003
Important information
This product belongs to the HistoSure product line of antibodies developed for and extensively tested in FFPE tissues.
For more information please visit our HistoSure brand website.
Cat. No.: HS-516 003
Amount: 50 µg
Price: $375.00

Staining of the brain of a CX3CR1-EGFP transgene mouse with rabbit anti-CX3CR1 (red) and guinea pig anti-GFP (green).

Background

CX3CR1 is a member of the seven-transmembrane G-protein coupled receptor (GPCR) family. Its ligand CX3CL1, also known as fractalkine or neurotactin, is expressed by neurons, dendritic cells and inflamed endothelial cells, among others.
CX3CR1 is expressed by several cell types, including monocytes, macrophages and microglia in the brain, dendritic cells, natural killer (NK) cells and some T lymphocytes. This receptor is crucial for regulating cell adhesion and migration, and plays an important role in immune response and inflammation. Recent literature highlights the importance of the receptor in several diseases, including cardiovascular disorders (1), neurodegenerative diseases e.g. influencing the progression of Alzheimer's disease (2), liver fibrosis (3) and cancer (4). It is a promising therapeutic target not only in cancer but also in chronic kidney disease (5).

Certificates

ISO 9001 2015 Quality Management System and Green Lab Platinum certification level for sustaining laboratory processes.

Newsletter

Sign up for our newsletter and get the latest updates and news.
 

Please provide a valid E-Mail-Address
Please provide a valid First name
Please provide a valid Last name