Tailor-made Antibodies
and Tools for Life Science
Home | | | | | Technical Support

CD11b antibody mouse specific - HS-384 008

CD11b is a component of the macrophage-1 antigen (Mac-1)
Rabbit monoclonal recombinant IgG
Cat. No.: HS-384 008
Amount: 100 µl
Price: $420.00
Cat. No. HS-384 008 100 µl purified recombinant IgG, lyophilized. Albumin and azide were added for stabilization. For reconstitution add 100 µl H2O. Then aliquot and store at -20°C to -80°C until use.
Antibodies should be stored at +4°C when still lyophilized. Do not freeze!
Applications
 
WB: 1 : 1000 (AP staining) gallery  
IP: not tested yet
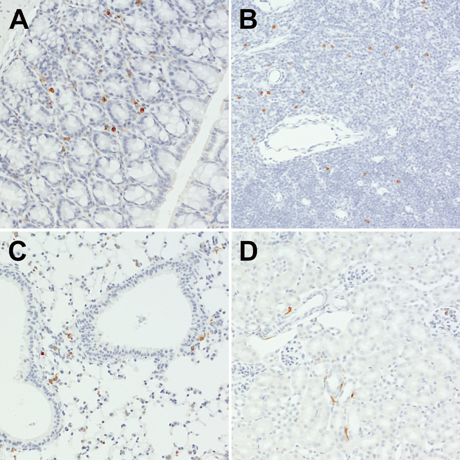
IHC: 1 : 500 (see remarks) gallery  
IHC-P: 1 : 1000 gallery  
IHC-Fr: 1 : 200 up to 1 : 1000 (see remarks) gallery  

Western blot (WB); separation of proteins by PAGE and subsequent transfer to a membrane. Detection of target molecules is carried out with antibodies. Some antibodies require special sample preparation steps. For details, please refer to the “Remarks” section.

Immunoprecipitation (IP); Immunoisolation or pulldown of a target molecule using an antibody. For details and product specific hints, please refer to the ”Remarks” section.

Immunohistochemistry (IHC) on 4% PFA perfusion fixed tissue with 24h PFA post fixation. Immunoreactivity is usually revealed by fluorescence or a chromogenic substrate. Some antibodies require special fixation methods or antigen retrieval steps. For details, please refer to the ”Remarks” section.

Immunohistochemistry (IHC-P) of formalin fixed, paraffin embedded (FFPE) tissue (some antibodies require special antigen retrieval steps, please refer to the ”Remarks” section). Immunoreactivity is usually revealed by fluorescence or a chromogenic substrate.

Immunohistochemistry on fresh frozen (IHC-Fr) cryo-tissue-sections. In contrast to standard PFA perfusion fixed tissues, fresh frozen cryo-tissue-sections can be variably postfixed with alcohols, acetone or PFA. Alcohol or acetone fixation is e.g. of advantage for antigens masked by PFA crosslinking. For recommended postfixation, please refer to the ”Remarks” section. Immunoreactivity is usually revealed by fluorescence or a chromogenic substrate.

Clone Rb298G2
Subtype IgG1 (κ light chain)
Immunogen synthetic peptide corresponding to residues surrounding AA 1000 of mouse CD11b (UniProt Id: P05555)
Reactivity Reacts with: mouse (P05555).
No signal: human (P11215), rat (G3V8L7).
Other species not tested yet.
Remarks

This antibody is a chimeric antibody based on the monoclonal rat antibody clone 298G2H5. The constant regions of the heavy and light chains have been replaced by rabbit specific sequences. Therefore, the antibody can be used with standard anti-rabbit secondary reagents. The antibody has been expressed in mammalian cells.
IHC: Antigen retrieval with citrate buffer pH 6 is required.
IHC-Fr: 4% formaldehyde/PFA fixation is recommended.

Data sheet Datasheet hs-384_008
Important information
This product belongs to the HistoSure product line of antibodies developed for and extensively tested in FFPE tissues.
For more information please visit our HistoSure brand website.
Cat. No.: HS-384 008
Amount: 100 µl
Price: $420.00

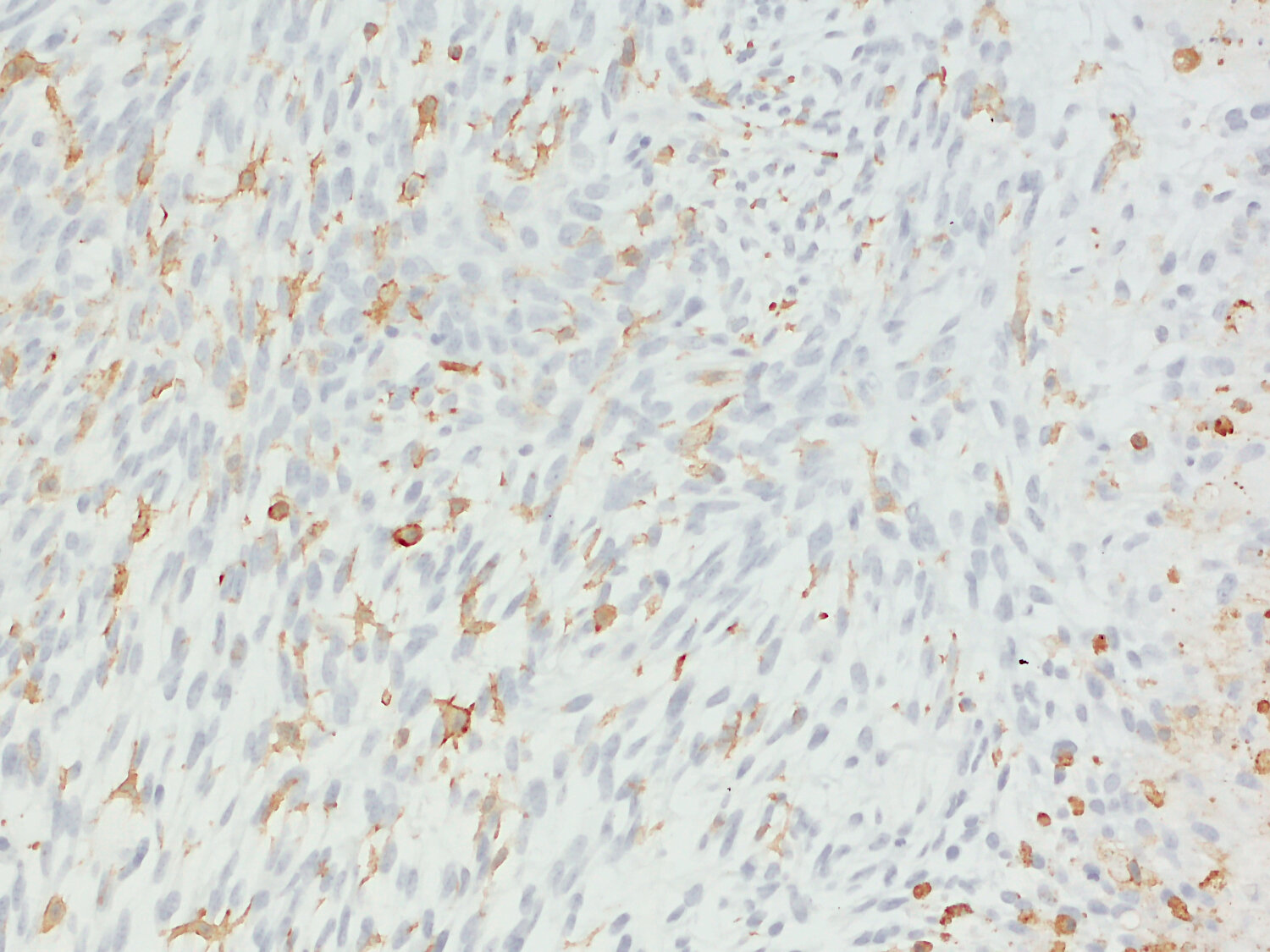
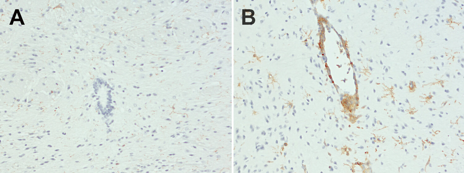
Increased CD11b expression represents microglial activation in virus infected mouse brain

Background

CD11b also called integrin alpha-M (ITGAM) is one protein subunit that forms together with CD18 the heterodimeric integrin αMβ2 complex, also known as macrophage-1 antigen (Mac-1) or complement receptor 3 (CR3) (1). αMβ2 is expressed on polymorphonuclear neutrophils (PMN), monocytes, macrophages, some subsets of cytotoxic T lymphocytes, and NK cells. Antibodies against CD11b are frequently used to identify macrophages and microglia, however not all tissue-resident macrophages are CD11b positive. In the murine liver CD11b expression is rare and almost exclusively found on F4/80 negative cells (2). In the murine spleen CD11b+ cells are less numerous than F4/80+ cells, co-expression of CD11b and F4/80 is also rare and CD11b+ cells tend to be closer to the marginal zone (2). CD11b upregulation on residential alveolar macrophages is a marker of acute and chronic lung inflammation in mice (3). Also, in the brain CD11b is markedly increased during microglial activation (4).

Certificates

ISO 9001 2015 Quality Management System and Green Lab Platinum certification level for sustaining laboratory processes.

Newsletter

Sign up for our newsletter and get the latest updates and news.
 

Please provide a valid E-Mail-Address
Please provide a valid First name
Please provide a valid Last name