Tailor-made Antibodies
and Tools for Life Science
Home | | | | | Technical Support

CD11b antibody mouse specific - HS-384 117

CD11b is a component of the macrophage-1 antigen (Mac-1)
Rat monoclonal purified IgG
Cat. No.: HS-384 117
Amount: 200 µl
Price: $420.00
Cat. No. HS-384 117 200 µl purified IgG, lyophilized. Albumin and azide were added for stabilization. For reconstitution add 200 µl H2O. Then aliquot and store at -20°C to -80°C until use.
Antibodies should be stored at +4°C when still lyophilized. Do not freeze!
Applications
 
WB: 1 : 1000 (AP staining) gallery  
IP: not tested yet
IHC: 1 : 500 (see remarks) gallery  
IHC-P: 1 : 100 up to 1 : 200 gallery  
IHC-Fr: 1 : 500 (see remarks) gallery  

Western blot (WB); separation of proteins by PAGE and subsequent transfer to a membrane. Detection of target molecules is carried out with antibodies. Some antibodies require special sample preparation steps. For details, please refer to the “Remarks” section.

Immunoprecipitation (IP); Immunoisolation or pulldown of a target molecule using an antibody. For details and product specific hints, please refer to the ”Remarks” section.

Immunohistochemistry (IHC) on 4% PFA perfusion fixed tissue with 24h PFA post fixation. Immunoreactivity is usually revealed by fluorescence or a chromogenic substrate. Some antibodies require special fixation methods or antigen retrieval steps. For details, please refer to the ”Remarks” section.

Immunohistochemistry (IHC-P) of formalin fixed, paraffin embedded (FFPE) tissue (some antibodies require special antigen retrieval steps, please refer to the ”Remarks” section). Immunoreactivity is usually revealed by fluorescence or a chromogenic substrate.

Immunohistochemistry on fresh frozen (IHC-Fr) cryo-tissue-sections. In contrast to standard PFA perfusion fixed tissues, fresh frozen cryo-tissue-sections can be variably postfixed with alcohols, acetone or PFA. Alcohol or acetone fixation is e.g. of advantage for antigens masked by PFA crosslinking. For recommended postfixation, please refer to the ”Remarks” section. Immunoreactivity is usually revealed by fluorescence or a chromogenic substrate.

Clone 298G2H5
Subtype IgG2a (κ light chain)
Immunogen synthetic peptide corresponding to residues surrounding AA 1000 of mouse CD11b (UniProt Id: P05555)
Reactivity Reacts with: mouse (P05555).
No signal: human (P11215), rat (G3V8L7).
Other species not tested yet.
Remarks

IHC: Antigen retrieval with citrate buffer pH 6 is required.
Antibody incubation over-night at room temperature is recommended.
IHC-Fr: 4% formaldehyde/PFA fixation is recommended.

Data sheet Datasheet hs-384_117
Important information
This product belongs to the HistoSure product line of antibodies developed for and extensively tested in FFPE tissues.
For more information please visit our HistoSure brand website.

References for CD11b - HS-384 117

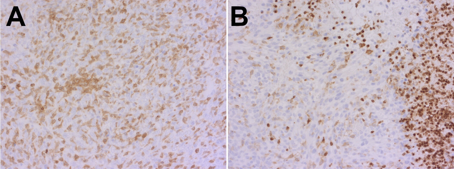
INSIHGT: an accessible multi-scale, multi-modal 3D spatial biology platform.
Yau CN, Hung JTS, Campbell RAA, Wong TCY, Huang B, Wong BTY, Chow NKN, Zhang L, Tsoi EPL, Tan Y, Li JJX, et al.
Nature communications (2024) 151: 10888. HS-384 117 IHC; tested species: mouse
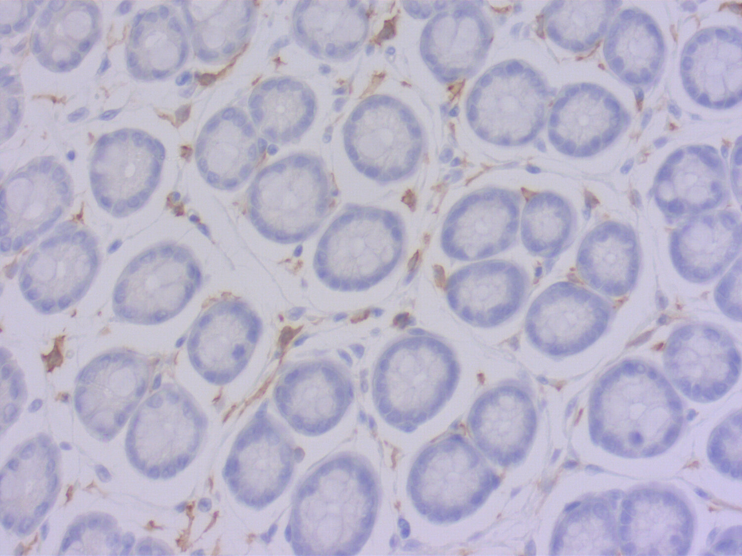
Rescue of Alzheimer's disease phenotype in a mouse model by transplantation of wild-type hematopoietic stem and progenitor cells.
Mishra P, Silva A, Sharma J, Nguyen J, Pizzo DP, Hinz D, Sahoo D, Cherqui S
Cell reports (2023) 428: 112956. HS-384 117 IHC-P; tested species: mouse
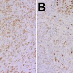
Influenza A Virus (H1N1) Infection Induces Microglial Activation and Temporal Dysbalance in Glutamatergic Synaptic Transmission.
Düsedau HP, Steffen J, Figueiredo CA, Boehme JD, Schultz K, Erck C, Korte M, Faber-Zuschratter H, Smalla KH, Dieterich D, Kröger A, et al.
mBio (2021) 125: e0177621. HS-384 117 IHC-P; tested species: mouse
Cat. No.: HS-384 117
Amount: 200 µl
Price: $420.00

Increased CD11b expression represents microglial activation in virus infected mouse brain.

INSIHGT: an accessible multi-scale, multi-modal 3D spatial biology platform.
Yau CN, Hung JTS, Campbell RAA, Wong TCY, Huang B, Wong BTY, Chow NKN, Zhang L, Tsoi EPL, Tan Y, Li JJX, et al.
Nature communications (2024) 151: 10888. HS-384 117 IHC; tested species: mouse
Rescue of Alzheimer's disease phenotype in a mouse model by transplantation of wild-type hematopoietic stem and progenitor cells.
Mishra P, Silva A, Sharma J, Nguyen J, Pizzo DP, Hinz D, Sahoo D, Cherqui S
Cell reports (2023) 428: 112956. HS-384 117 IHC-P; tested species: mouse
Influenza A Virus (H1N1) Infection Induces Microglial Activation and Temporal Dysbalance in Glutamatergic Synaptic Transmission.
Düsedau HP, Steffen J, Figueiredo CA, Boehme JD, Schultz K, Erck C, Korte M, Faber-Zuschratter H, Smalla KH, Dieterich D, Kröger A, et al.
mBio (2021) 125: e0177621. HS-384 117 IHC-P; tested species: mouse
Background

CD11b also called integrin alpha-M (ITGAM) is one protein subunit that forms together with CD18 the heterodimeric integrin αMβ2 complex, also known as macrophage-1 antigen (Mac-1) or complement receptor 3 (CR3) (1). αMβ2 is expressed on polymorphonuclear neutrophils (PMN), monocytes, macrophages, some subsets of cytotoxic T lymphocytes, and NK cells. Antibodies against CD11b are frequently used to identify macrophages and microglia, however not all tissue-resident macrophages are CD11b positive. In the murine liver CD11b expression is rare and almost exclusively found on F4/80 negative cells (2). In the murine spleen CD11b+ cells are less numerous than F4/80+ cells, co-expression of CD11b and F4/80 is also rare and CD11b+ cells tend to be closer to the marginal zone (2). CD11b upregulation on residential alveolar macrophages is a marker of acute and chronic lung inflammation in mice (3). Also, in the brain CD11b is markedly increased during microglial activation (4).

Certificates

ISO 9001 2015 Quality Management System and Green Lab Platinum certification level for sustaining laboratory processes.

Newsletter

Sign up for our newsletter and get the latest updates and news.
 

Please provide a valid E-Mail-Address
Please provide a valid First name
Please provide a valid Last name