Tailor-made Antibodies
and Tools for Life Science
Home | | | | | Technical Support

CD19 antibody mouse specific - HS-439 003

CD19 is a B-lymphocyte antigen
Rabbit polyclonal purified antibody
Cat. No.: HS-439 003
Amount: 200 µl
Price: $375.00
Cat. No. HS-439 003 200 µl specific antibody, lyophilized. Affinity purified with the immunogen. Albumin and azide were added for stabilization. For reconstitution add 200 µl H2O. Then aliquot and store at -20°C to -80°C until use.
Antibodies should be stored at +4°C when still lyophilized. Do not freeze!
Applications
 
WB: 1 : 250 (AP staining) gallery  
IP: not tested yet
ICC: 1 : 1000 gallery  
IHC: 1 : 500 gallery  
IHC-P: 1 : 100 gallery  

Western blot (WB); separation of proteins by PAGE and subsequent transfer to a membrane. Detection of target molecules is carried out with antibodies. Some antibodies require special sample preparation steps. For details, please refer to the “Remarks” section.

Immunoprecipitation (IP); Immunoisolation or pulldown of a target molecule using an antibody. For details and product specific hints, please refer to the ”Remarks” section.

Immunocytochemistry (ICC) on 4% PFA fixed cells. Immunoreactivity is usually revealed by fluorescence. Some antibodies require special fixation methods. For details, please refer to the “Remarks” section.

Immunohistochemistry (IHC) on 4% PFA perfusion fixed tissue with 24h PFA post fixation. Immunoreactivity is usually revealed by fluorescence or a chromogenic substrate. Some antibodies require special fixation methods or antigen retrieval steps. For details, please refer to the ”Remarks” section.

Immunohistochemistry (IHC-P) of formalin fixed, paraffin embedded (FFPE) tissue (some antibodies require special antigen retrieval steps, please refer to the ”Remarks” section). Immunoreactivity is usually revealed by fluorescence or a chromogenic substrate.

Immunogen Synthetic peptide corresponding to AA 527 to 547 from mouse CD19 (UniProt Id: P25918)
Reactivity Reacts with: mouse (P25918).
No signal: human (P15391), rat.
Other species not tested yet.
Data sheet Datasheet hs-439_003
Important information
This product belongs to the HistoSure product line of antibodies developed for and extensively tested in FFPE tissues.
For more information please visit our HistoSure brand website.

References for CD19 - HS-439 003

Nano-modified viruses prime the tumor microenvironment and promote the photodynamic virotherapy in liver cancer.
Ou DL, Liao ZX, Kempson IM, Li L, Yang PC, Tseng SJ
Journal of biomedical science (2024) 311: 1. HS-439 003 IHC-P; tested species: mouse
Genomic and Transcriptomic Landscape of an Oral Squamous Cell Carcinoma Mouse Model for Immunotherapy.
Lee YM, Hsu CL, Chen YH, Ou DL, Hsu C, Tan CT
Cancer immunology research (2023) : . HS-439 003 IHC-P; tested species: mouse
Cat. No.: HS-439 003
Amount: 200 µl
Price: $375.00

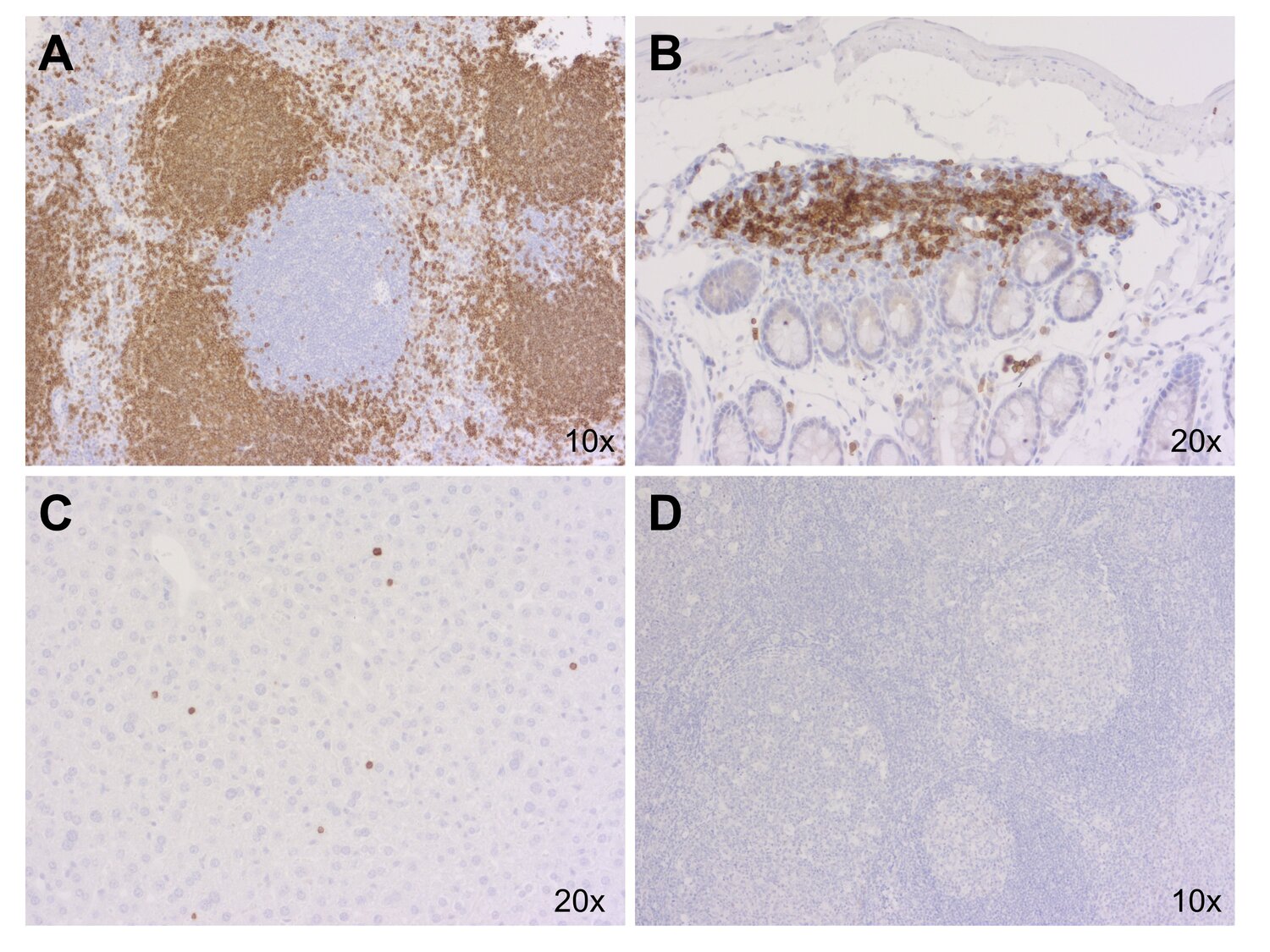
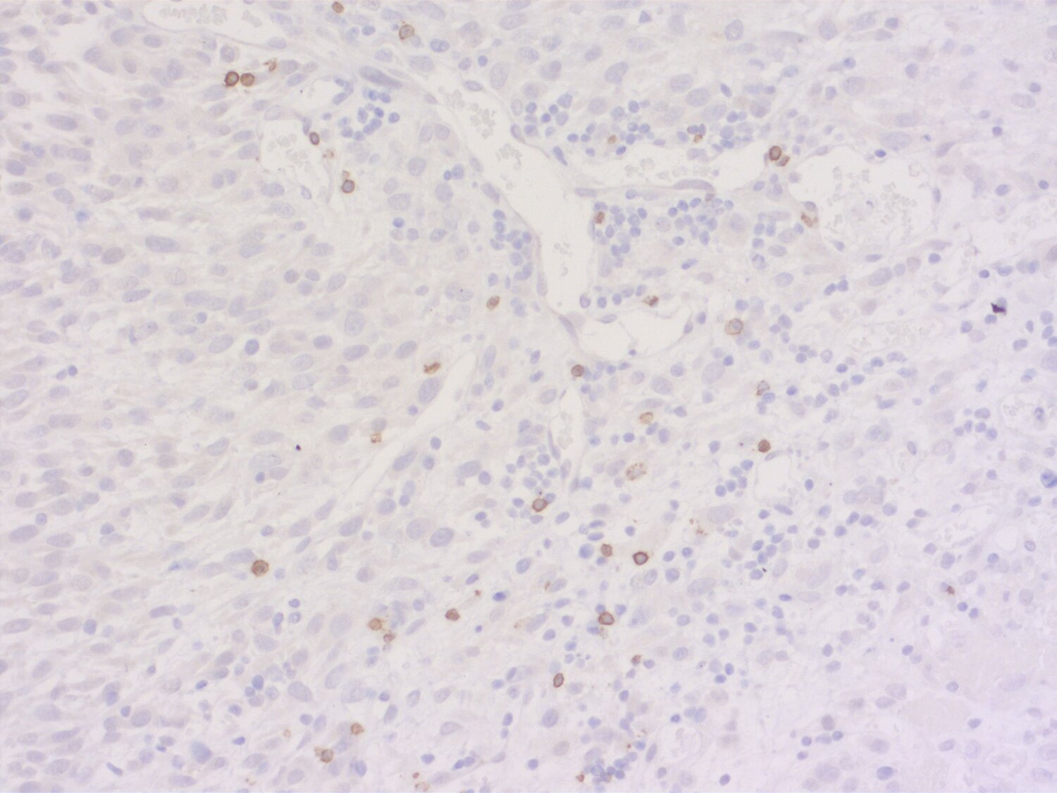
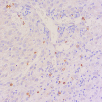
Indirect immunostaining of a formalin fixed paraffin-embedded mouse breast cancer model with rabbit anti-mouse CD19 (cat. no.: HS-439 003; DAB). Nuclei have been visualized by haematoxylin staining (blue).

Nano-modified viruses prime the tumor microenvironment and promote the photodynamic virotherapy in liver cancer.
Ou DL, Liao ZX, Kempson IM, Li L, Yang PC, Tseng SJ
Journal of biomedical science (2024) 311: 1. HS-439 003 IHC-P; tested species: mouse
Genomic and Transcriptomic Landscape of an Oral Squamous Cell Carcinoma Mouse Model for Immunotherapy.
Lee YM, Hsu CL, Chen YH, Ou DL, Hsu C, Tan CT
Cancer immunology research (2023) : . HS-439 003 IHC-P; tested species: mouse
Background

CD19 (Cluster of Differentiation 19) is a B cell-restricted signal-transduction molecule that plays an important role in the regulation of development, activation, and differentiation of B-lymphocytes. CD19 is considered as a biomarker for B-cells because of its continued expression from very early B cell development stages, being evident already on pro-B cells and on all later B cell stages, until plasma cell terminal differentiation, when its expression is lost. In complex with CD21 (complement receptor-2), CD81 and CD225 (Leu-13), CD19 functions as a dominant signaling receptor on the surface of mature B cells (1). CD19 is instrumental in B cell homeostasis and lowers the threshold of B cell receptor crosslinking necessary to effect B-cell activation and sustain proliferation upon antigen encounter (2). Dysregulated CD19 expression has been implicated in several autoimmune diseases and CD19 is expressed in most acute lymphoblastic leukemias (ALL), chronic lymphocytic leukemias (CLL) and other B cell lymphomas (3). Therefore, CD19 has gained attention as a potential target in the therapy of B-cell malignancies (4).

Certificates

ISO 9001 2015 Quality Management System and Green Lab Platinum certification level for sustaining laboratory processes.

Newsletter

Sign up for our newsletter and get the latest updates and news.
 

Please provide a valid E-Mail-Address
Please provide a valid First name
Please provide a valid Last name