Tailor-made Antibodies
and Tools for Life Science
Home | | | | | Technical Support

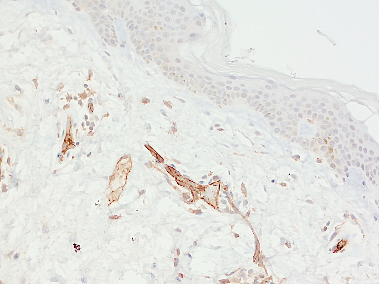
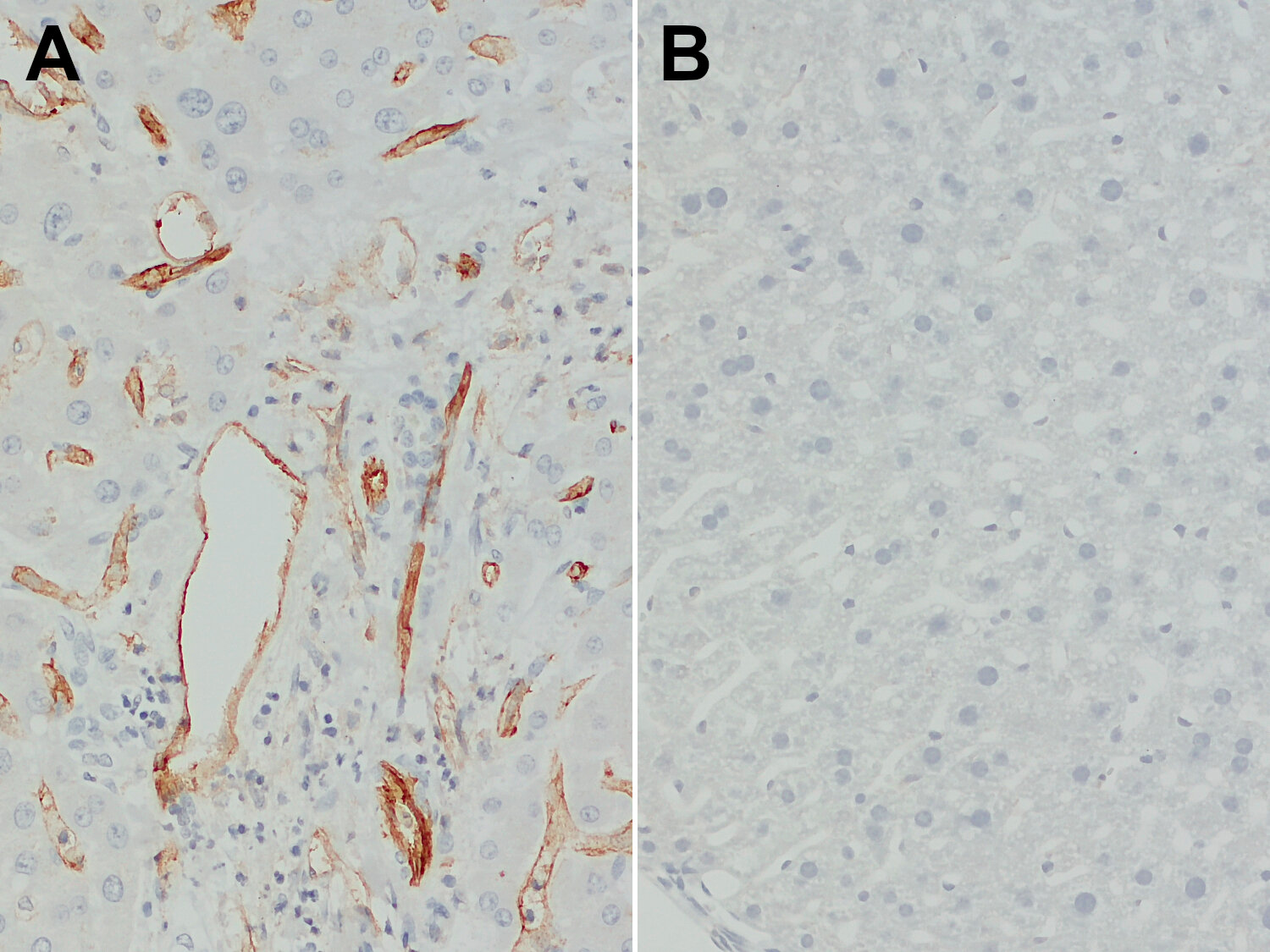
CD31 antibody human specific - HS-351 111

CD31 is an endothelial cell marker
Mouse monoclonal purified IgG
Cat. No.: HS-351 111
Amount: 100 µg
Price: $420.00
Cat. No. HS-351 111 100 µg purified IgG, lyophilized. Albumin and azide were added for stabilization. For reconstitution add 100 µl H2O to get a 1mg/ml solution in PBS. Then aliquot and store at -20°C to -80°C until use.
Antibodies should be stored at +4°C when still lyophilized. Do not freeze!
Applications
 
WB: not recommended
IP: not tested yet
ICC: not tested yet
IHC: not tested yet
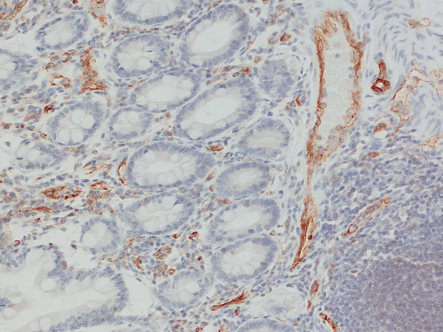
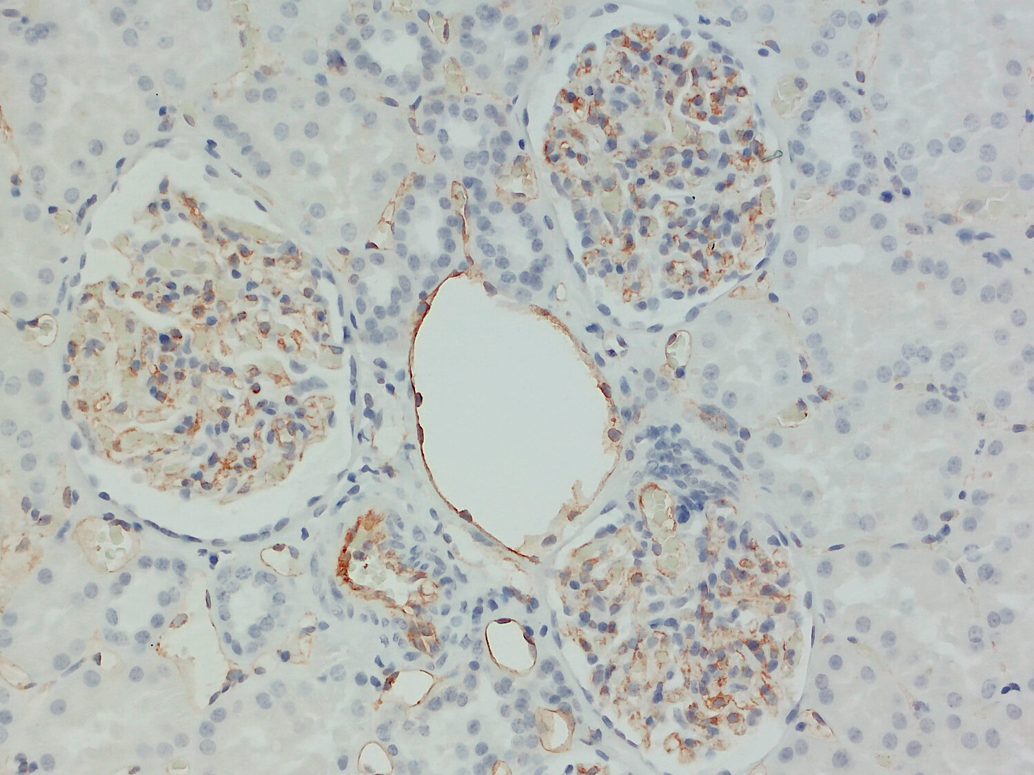
IHC-P: 1 : 1000 gallery  

Western blot (WB); separation of proteins by PAGE and subsequent transfer to a membrane. Detection of target molecules is carried out with antibodies. Some antibodies require special sample preparation steps. For details, please refer to the “Remarks” section.

Immunoprecipitation (IP); Immunoisolation or pulldown of a target molecule using an antibody. For details and product specific hints, please refer to the ”Remarks” section.

Immunocytochemistry (ICC) on 4% PFA fixed cells. Immunoreactivity is usually revealed by fluorescence. Some antibodies require special fixation methods. For details, please refer to the “Remarks” section.

Immunohistochemistry (IHC) on 4% PFA perfusion fixed tissue with 24h PFA post fixation. Immunoreactivity is usually revealed by fluorescence or a chromogenic substrate. Some antibodies require special fixation methods or antigen retrieval steps. For details, please refer to the ”Remarks” section.

Immunohistochemistry (IHC-P) of formalin fixed, paraffin embedded (FFPE) tissue (some antibodies require special antigen retrieval steps, please refer to the ”Remarks” section). Immunoreactivity is usually revealed by fluorescence or a chromogenic substrate.

Clone SY-203D1E1
Subtype IgG1 (κ light chain)
Immunogen Recombinant protein corresponding to the extracellular domain of human CD31 (UniProt Id: P16284)
Reactivity Reacts with: human (P16284).
No signal: mouse (Q08481), rat.
Other species not tested yet.
Data sheet Datasheet hs-351_111
Important information
This product belongs to the HistoSure product line of antibodies developed for and extensively tested in FFPE tissues.
For more information please visit our HistoSure brand website.
Cat. No.: HS-351 111
Amount: 100 µg
Price: $420.00

Immunodetection of CD31-positive endothelial cells (red) and Cytokeratin7-positive trophoblasts (green) in a human FFPE placenta section.

Background

CD31 or platelet/endothelial cell adhesion molecule-1 (PECAM-1) is a cell adhesion molecule that contains a single trans-membrane domain and 6 Ig-like C2-type (immunoglobulin-like) domains (1). It is expressed on the surface of leukocytes and platelets and is primarily concentrated at endothelial cell-cell junctions (2). CD31 plays a role in several important biological processes, such as vascular development, maintenance of vascular endothelial barrier function and leukocyte emigration at inflammatory sites. In addition, CD31 promotes cancer metastasis by inducing epithelial-mesenchymal transition (3).

Certificates

ISO 9001 2015 Quality Management System and Green Lab Platinum certification level for sustaining laboratory processes.

Newsletter

Sign up for our newsletter and get the latest updates and news.
 

Please provide a valid E-Mail-Address
Please provide a valid First name
Please provide a valid Last name