Tailor-made Antibodies
and Tools for Life Science
Home | | | | | Technical Support

Pyruvate carboxylase antibody - 494 005 K.D.

Pyruvate carboxylase is a critical enzyme for metabolism and whole-body energetics
Guinea pig polyclonal purified antibody
Cat. No.: 494 005
Amount: 50 µg
Price: $465.00
Cat. No. 494 005 50 µg specific antibody, lyophilized. Affinity purified with the immunogen. Albumin and azide were added for stabilization. For reconstitution add 50 µl H2O to get a 1mg/ml solution in PBS. Then aliquot and store at -20°C to -80°C until use.
Antibodies should be stored at +4°C when still lyophilized. Do not freeze!
Applications
 
WB: 1 : 1000 (AP staining) gallery  
IP: not tested yet
ICC: 1 : 500 gallery  
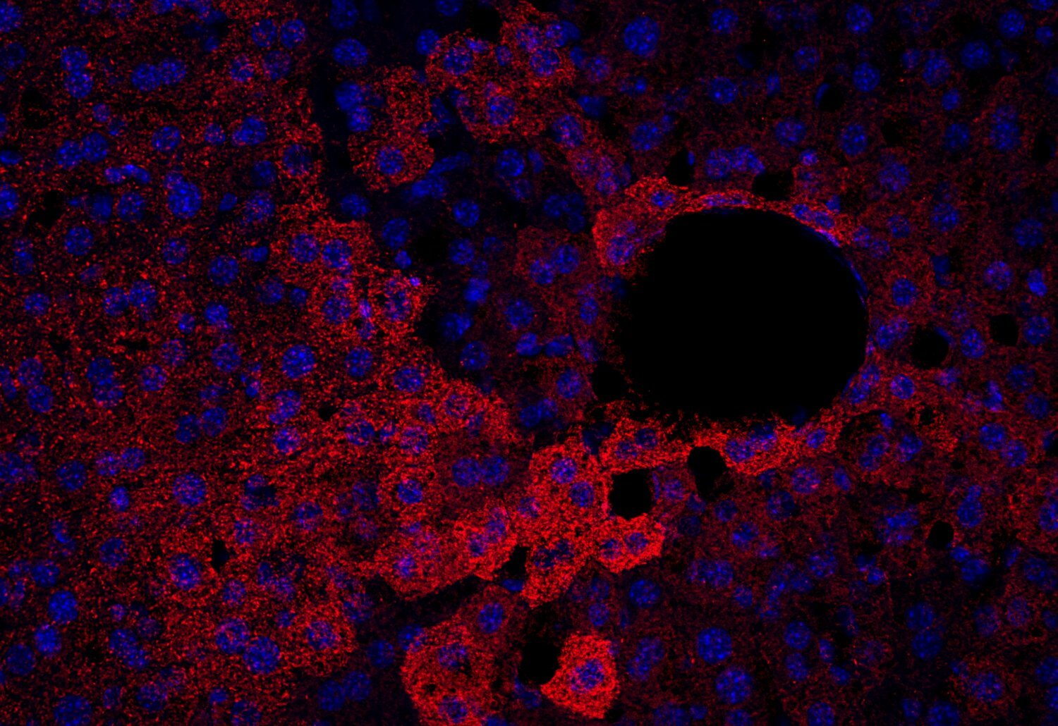
IHC: 1 : 500 up to 1 : 1000 gallery  
IHC-P (FFPE): not tested yet

Western blot (WB); separation of proteins by PAGE and subsequent transfer to a membrane. Detection of target molecules is carried out with antibodies. Some antibodies require special sample preparation steps. For details, please refer to the “Remarks” section.

Immunoprecipitation (IP); Immunoisolation or pulldown of a target molecule using an antibody. For details and product specific hints, please refer to the ”Remarks” section.

Immunocytochemistry (ICC) on 4% PFA fixed cells. Immunoreactivity is usually revealed by fluorescence. Some antibodies require special fixation methods. For details, please refer to the “Remarks” section.

Immunohistochemistry (IHC) on 4% PFA perfusion fixed tissue with 24h PFA post fixation. Immunoreactivity is usually revealed by fluorescence or a chromogenic substrate. Some antibodies require special fixation methods or antigen retrieval steps. For details, please refer to the ”Remarks” section.

Immunohistochemistry (IHC-P) of formalin fixed, paraffin embedded (FFPE) tissue (some antibodies require special antigen retrieval steps, please refer to the ”Remarks” section). Immunoreactivity is usually revealed by fluorescence or a chromogenic substrate.

Immunogen Synthetic peptide corresponding to residues near the carboxy terminus of mouse Pyruvate carboxylase (UniProt Id: Q05920)
Reactivity Reacts with: mouse (Q05920), rat (P52873), human (P11498).
Other species not tested yet.
Specificity K.D. validated
Data sheet Datasheet 494_005
Cat. No.: 494 005
Amount: 50 µg
Price: $465.00
Background

Pyruvate carboxylase (PC) is a mitochondrial enzyme catalyzing the ATP-dependent carboxylation of pyruvate to oxaloacetate (1). This is a central biochemical reaction controlling whole-body energetics (2). It is the first step of gluconeogenesis and the main anaplerotic reaction to replenish tricarboxylic acid (TCA) cycle intermediates. Additionally, it  is involved in e.g. lipogenesis or insulin secretion.
PC shows high expression in liver and kidney, the primary organs of gluconeogenesis, which synthesize and export glucose into the bloodstream (3).
In the brain, PC plays a critical anaplerotic role during metabolism as well. It is predominately expressed in astrocytes and is needed for the de novo synthesis of glutamate, the main excitatory neurotransmitter (see Featured Topic The Glutamatergic Synapse). Recent literature indicates that PC is also expressed in a subpopulation of neurons (4). There is evidence that gluconeogenesis exists in brain astrocytes (5) and this is becoming more recognized as an important alternative glucose source for neurons, specifically in ischemic stroke and brain tumors. PC has been associated with metabolic reprogramming of cancer cells and tumor progression in a variety of cancer models (2).

Certificates

ISO 9001 2015 Quality Management System and Green Lab Platinum certification level for sustaining laboratory processes.

Newsletter

Sign up for our newsletter and get the latest updates and news.
 

Please provide a valid E-Mail-Address
Please provide a valid First name
Please provide a valid Last name