Tailor-made Antibodies
and Tools for Life Science
Home | | | | | Customer Support

mGluR1-alpha antibody - 191 003

mGluRs are metabotropic glutamate receptors involved in excitatory neurotransmission
Rabbit polyclonal purified antibody
Cat. No.: 191 003
Amount: 50 µg
Price: $460.00
Cat. No. 191 003 50 µg specific antibody, lyophilized. Affinity purified with the immunogen. Albumin and azide were added for stabilization. For reconstitution add 50 µl H2O to get a 1mg/ml solution in PBS. Then aliquot and store at -20°C to -80°C until use.
Antibodies should be stored at +4°C when still lyophilized. Do not freeze!
Applications
 
WB: 1 : 1000 (AP staining) gallery  
IP: not tested yet
ICC: 1 : 500 gallery  
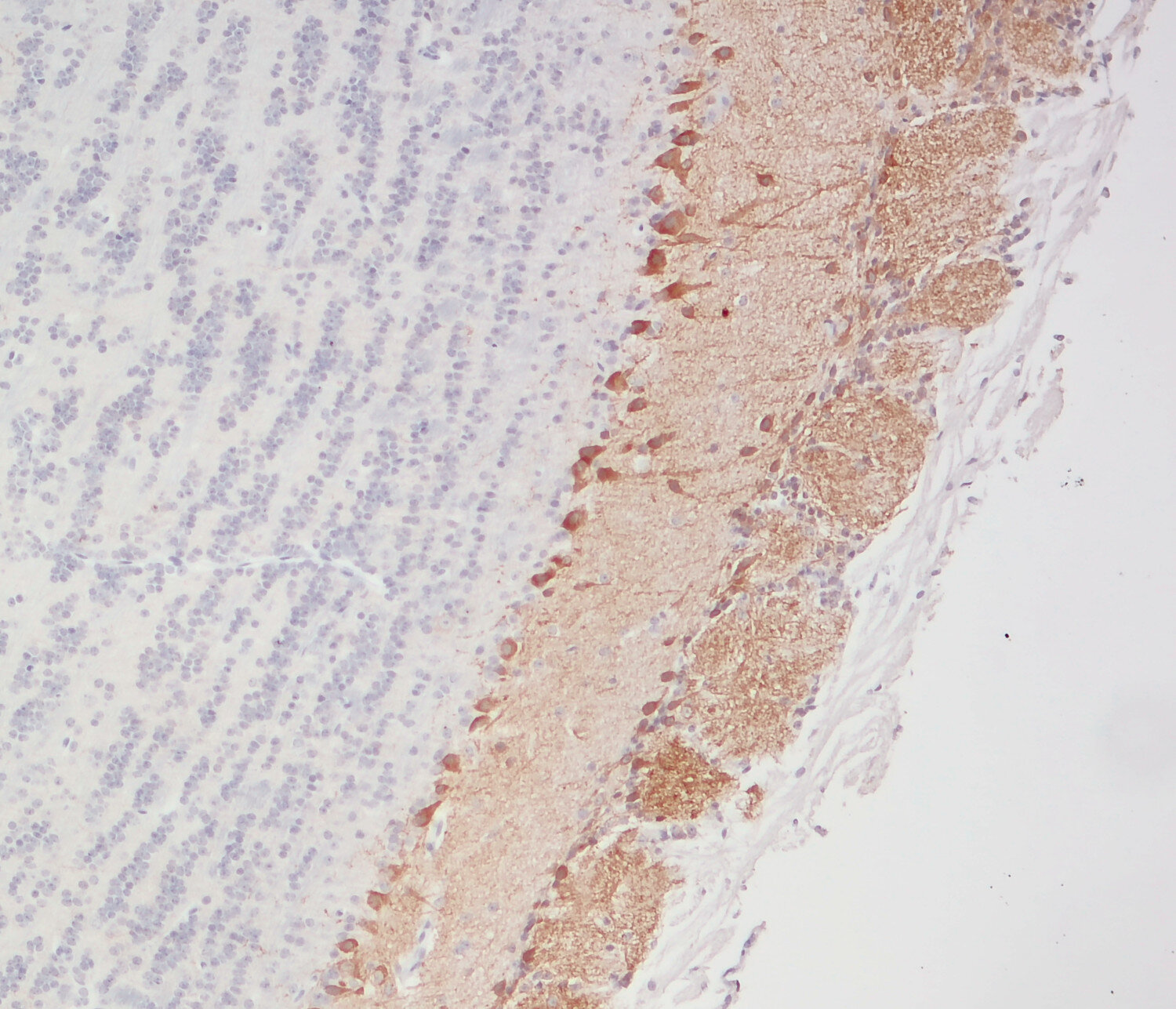
IHC: 1 : 500 (see remarks) gallery  
IHC-P (FFPE): 1 : 200 gallery  

Western blot (WB); separation of proteins by PAGE and subsequent transfer to a membrane. Detection of target molecules is carried out with antibodies. Some antibodies require special sample preparation steps. For details, please refer to the “Remarks” section.

Immunoprecipitation (IP); Immunoisolation or pulldown of a target molecule using an antibody. For details and product specific hints, please refer to the ”Remarks” section.

Immunocytochemistry (ICC) on 4% PFA fixed cells. Immunoreactivity is usually revealed by fluorescence. Some antibodies require special fixation methods. For details, please refer to the “Remarks” section.

Immunohistochemistry (IHC) on 4% PFA perfusion fixed tissue with 24h PFA post fixation. Immunoreactivity is usually revealed by fluorescence or a chromogenic substrate. Some antibodies require special fixation methods or antigen retrieval steps. For details, please refer to the ”Remarks” section.

Immunohistochemistry (IHC-P) of formalin fixed, paraffin embedded (FFPE) tissue (some antibodies require special antigen retrieval steps, please refer to the ”Remarks” section). Immunoreactivity is usually revealed by fluorescence or a chromogenic substrate.

Immunogen Recombinant protein corresponding to residues near the carboxy terminus of mouse mGluR1-α (UniProt Id: P97772)
Reactivity Reacts with: mouse (P97772), rat (P23385).
Other species not tested yet.
Specificity This antibody is specific for mGluR1-α and shows no cross-reactivity to mGluR1-β
Remarks

IHC: Antigen retrieval with citrate buffer pH 6 can be applied to improve the signal to noise ratio.

Data sheet Datasheet 191_003
Cat. No.: 191 003
Amount: 50 µg
Price: $460.00
Background

Glutamate is the main excitatory neurotransmitter in the vertebrate nervous system and regulates a number of cellular signaling pathways. In addition to the ionotropic glutamate receptors of the NMDA, AMPA and kainate type, eight metabotropic receptors (mGluR1-8) have been described so far (1). This receptor family can be subdivided into three groups (2): Group I receptors (mGluR1, mGluR5) are activated by dihydroxyphenylglycine (DHPG) (3), group II receptors (mGluR2, mGluR3) by dicarboxycyclopropylglycine (DCG-IV), and group III receptors (mGluR4, mGluR6, mGluR7, mGluR8) by aminophosphonobutyrate (L-AP4) (4).

 

For more information on protein expression pattern, please refer to the overview image in our SYSY Antibodies ATLAS.

Certificates

ISO 9001 2015 Quality Management System and Green Lab Platinum certification level for sustaining laboratory processes.

Newsletter

Sign up for our newsletter and get the latest updates and news.
 

Please provide a valid E-Mail-Address
Please provide a valid First name
Please provide a valid Last name