Tailor-made Antibodies
and Tools for Life Science
Home | | | | | Technical Support

Vimentin antibody - 172 004

Vimentin is a type III intermediate filament
Guinea pig polyclonal antiserum
Cat. No.: 172 004
Amount: 100 µl
Price: $370.00
Cat. No. 172 004 100 µl antiserum, lyophilized. For reconstitution add 100 µl H2O, then aliquot and store at -20°C until use.
Antibodies should be stored at +4°C when still lyophilized. Do not freeze!
Applications
 
WB: 1 : 1000 (AP staining) gallery  
IP: not tested yet
ICC: 1 : 500 gallery  
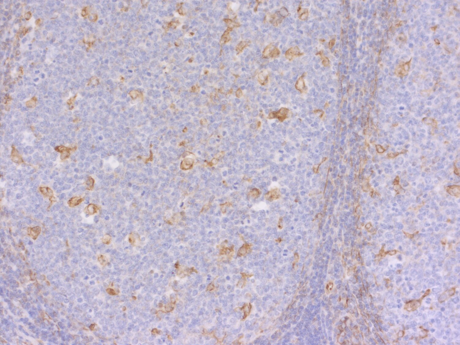
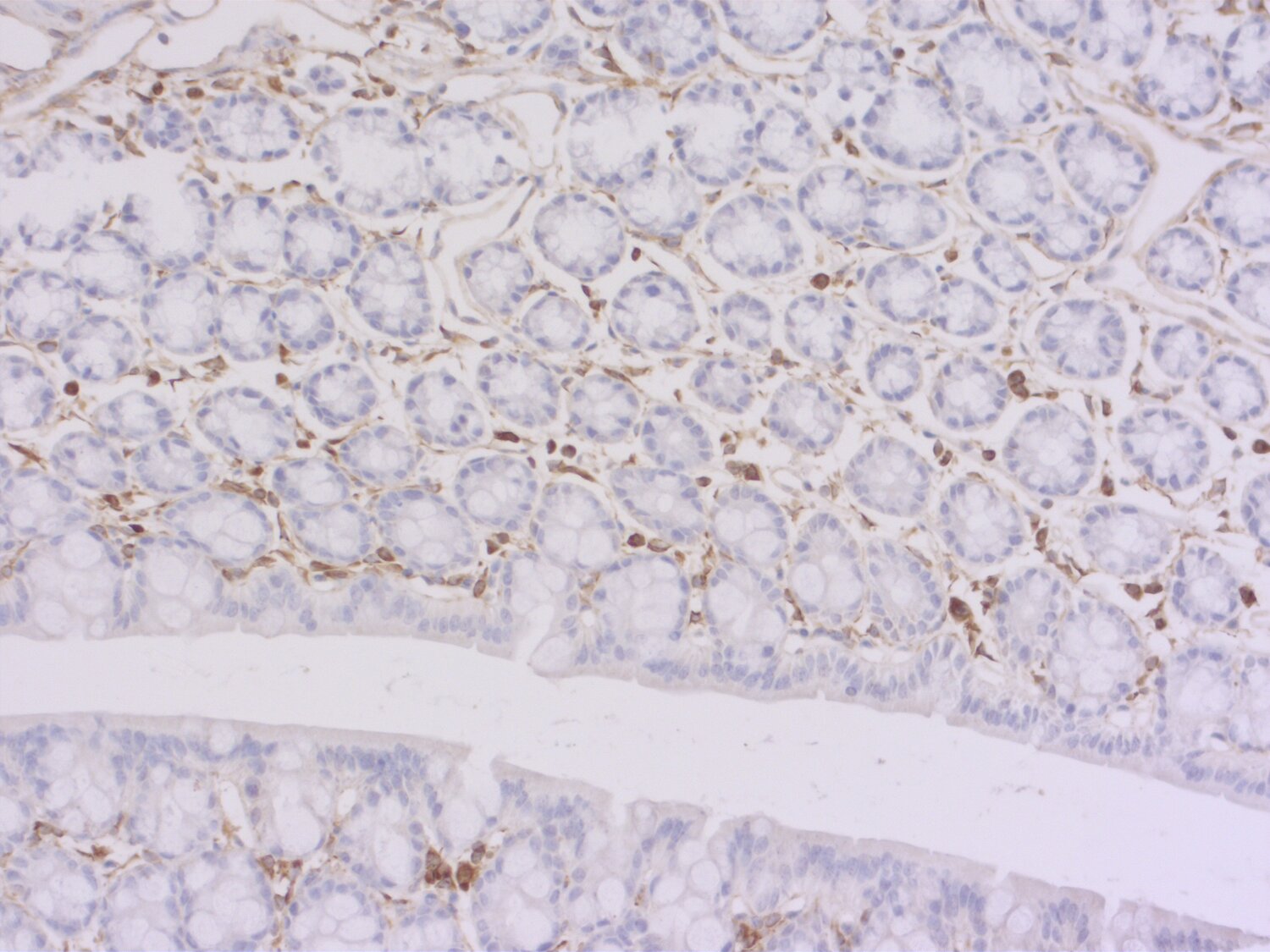
IHC: 1 : 500 gallery  
IHC-P: 1 : 250 up to 1 : 1000 gallery  
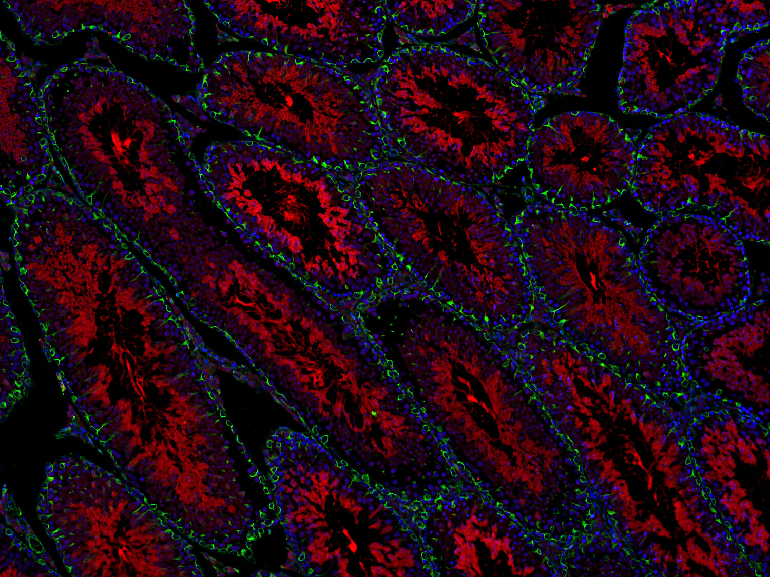
ExM: external data (see remarks)

Western blot (WB); separation of proteins by PAGE and subsequent transfer to a membrane. Detection of target molecules is carried out with antibodies. Some antibodies require special sample preparation steps. For details, please refer to the “Remarks” section.

Immunoprecipitation (IP); Immunoisolation or pulldown of a target molecule using an antibody. For details and product specific hints, please refer to the ”Remarks” section.

Immunocytochemistry (ICC) on 4% PFA fixed cells. Immunoreactivity is usually revealed by fluorescence. Some antibodies require special fixation methods. For details, please refer to the “Remarks” section.

Immunohistochemistry (IHC) on 4% PFA perfusion fixed tissue with 24h PFA post fixation. Immunoreactivity is usually revealed by fluorescence or a chromogenic substrate. Some antibodies require special fixation methods or antigen retrieval steps. For details, please refer to the ”Remarks” section.

Immunohistochemistry (IHC-P) of formalin fixed, paraffin embedded (FFPE) tissue (some antibodies require special antigen retrieval steps, please refer to the ”Remarks” section). Immunoreactivity is usually revealed by fluorescence or a chromogenic substrate.

Expansion Microscopy (ExM) is a sample preparation and imaging method which employs a dense interconnected web of swellable polymer within a biological specimen. A significantly higher effective resolution can be achieved with a standard microscope setup. For additional experimental details, please refer to the Remarks section.

Immunogen Recombinant protein corresponding to AA 1 to 466 from mouse Vimentin (UniProt Id: P20152)
Reactivity Reacts with: mouse (P20152), rat (P31000), human (P08670).
Other species not tested yet.
Remarks

ExM: This antibody has been successfully applied and published for this method by customers (see application-specific references).

Data sheet Datasheet 172_004

References for Vimentin - 172 004

Oxygen-free metabolism in the bird inner retina supported by the pecten.
Damsgaard C, Skøtt MV, Williams CJA, Malte H, Kidmose CK, Busk M, Dedek K, Konradsen AH, Rasmussen ASS, Thomsen JS, Mikkelsen AVGT, et al.
Nature (2026) : . 172 004 IHC
Light-microscopy-based connectomic reconstruction of mammalian brain tissue.
Tavakoli MR, Lyudchik J, Januszewski M, Vistunou V, Agudelo Dueñas N, Vorlaufer J, Sommer C, Kreuzinger C, Oliveira B, Cenameri A, Novarino G, et al.
Nature (2025) 6428067: 398-410. 172 004 ExM; tested species: mouse
Cat. No.: 172 004
Amount: 100 µl
Price: $370.00
Oxygen-free metabolism in the bird inner retina supported by the pecten.
Damsgaard C, Skøtt MV, Williams CJA, Malte H, Kidmose CK, Busk M, Dedek K, Konradsen AH, Rasmussen ASS, Thomsen JS, Mikkelsen AVGT, et al.
Nature (2026) : . 172 004 IHC
Light-microscopy-based connectomic reconstruction of mammalian brain tissue.
Tavakoli MR, Lyudchik J, Januszewski M, Vistunou V, Agudelo Dueñas N, Vorlaufer J, Sommer C, Kreuzinger C, Oliveira B, Cenameri A, Novarino G, et al.
Nature (2025) 6428067: 398-410. 172 004 ExM; tested species: mouse
Background
Vimentin belongs to the family of intermediate filaments that can be subdivided into six major groups based on sequence similarity. Vimentin belongs to the type III category and is the predominant subunit protein of intermediate filaments in tissues of mesenchymal origin.
Like other intermediate filaments it plays a role in the cytoskeletal organization and maintenance of cell shape and morphology.

Certificates

ISO 9001 2015 Quality Management System and Green Lab Platinum certification level for sustaining laboratory processes.

Newsletter

Sign up for our newsletter and get the latest updates and news.
 

Please provide a valid E-Mail-Address
Please provide a valid First name
Please provide a valid Last name