Tailor-made Antibodies
and Tools for Life Science
Home | | | | | Technical Support

VAChT (SLC18A3) antibody - 139 017

VAChT is the acetylcholine transporter in the membrane of synaptic vesicles
Rat monoclonal purified IgG
Cat. No.: 139 017
Amount: 100 µg
Price: $420.00
Cat. No. 139 017 100 µg purified IgG, lyophilized. Albumin and azide were added for stabilization. For reconstitution add 100 µl H2O to get a 1mg/ml solution in PBS. Then aliquot and store at -20°C to -80°C until use.
Antibodies should be stored at +4°C when still lyophilized. Do not freeze!
Applications
 
WB: 1 : 1000 (AP staining) (see remarks) gallery  
IP: not tested yet
ICC: 1 : 500 gallery  
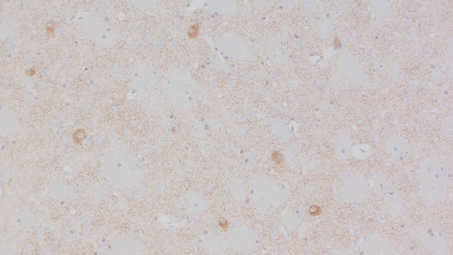
IHC: 1 : 2000 up to 1 : 5000 gallery  
IHC-P: 1 : 100 gallery  

Western blot (WB); separation of proteins by PAGE and subsequent transfer to a membrane. Detection of target molecules is carried out with antibodies. Some antibodies require special sample preparation steps. For details, please refer to the “Remarks” section.

Immunoprecipitation (IP); Immunoisolation or pulldown of a target molecule using an antibody. For details and product specific hints, please refer to the ”Remarks” section.

Immunocytochemistry (ICC) on 4% PFA fixed cells. Immunoreactivity is usually revealed by fluorescence. Some antibodies require special fixation methods. For details, please refer to the “Remarks” section.

Immunohistochemistry (IHC) on 4% PFA perfusion fixed tissue with 24h PFA post fixation. Immunoreactivity is usually revealed by fluorescence or a chromogenic substrate. Some antibodies require special fixation methods or antigen retrieval steps. For details, please refer to the ”Remarks” section.

Immunohistochemistry (IHC-P) of formalin fixed, paraffin embedded (FFPE) tissue (some antibodies require special antigen retrieval steps, please refer to the ”Remarks” section). Immunoreactivity is usually revealed by fluorescence or a chromogenic substrate.

Clone 15A11
Subtype IgG2a (κ light chain)
Immunogen Recombinant protein corresponding to residues near the carboxy terminus of rat VAChT (UniProt Id: Q62666)
Reactivity Reacts with: mouse (O35304), rat (Q62666), human (Q16572).
Other species not tested yet.
Matching control protein/peptide 139-1P
Remarks

WB: To avoid protein aggregation, do not heat samples for SDS-PAGE.

Data sheet Datasheet 139_017

References for VAChT - 139 017

Spinal microcircuits go through multiphasic homeostatic compensations in a mouse model of motoneuron degeneration.
Nascimento F, Özyurt MG, Halablab K, Bhumbra GS, Caron G, Bączyk M, Zytnicki D, Manuel M, Roselli F, Brownstone R, Beato M, et al.
Cell reports (2024) 4312: 115046. 139 017 IHC; tested species: mouse
Cat. No.: 139 017
Amount: 100 µg
Price: $420.00
Spinal microcircuits go through multiphasic homeostatic compensations in a mouse model of motoneuron degeneration.
Nascimento F, Özyurt MG, Halablab K, Bhumbra GS, Caron G, Bączyk M, Zytnicki D, Manuel M, Roselli F, Brownstone R, Beato M, et al.
Cell reports (2024) 4312: 115046. 139 017 IHC; tested species: mouse
Background
The vesicular acetylcholine transporter VAChT is an integral membrane protein with 12 putative trans-membrane domains. VAChT and choline acetyltransferase (ChAT) are encoded by genes organized in a single gene locus, and coregulation of the two genes has been reported several times.
VAChT translocates acetylcholine from the cytoplasm into synaptic vesicles where it stays until release. After release from the presynaptic nerve terminal acetylcholine is hydrolyzed by acetylcholine esterase. During Alzheimer´s disease acetylcholine is one of the first neurotransmitters to be reduced.

Certificates

ISO 9001 2015 Quality Management System and Green Lab Platinum certification level for sustaining laboratory processes.

Newsletter

Sign up for our newsletter and get the latest updates and news.
 

Please provide a valid E-Mail-Address
Please provide a valid First name
Please provide a valid Last name