Tailor-made Antibodies
and Tools for Life Science
Home | | | | | Technical Support

VAChT (SLC18A3) antibody - 139 009

VAChT is the acetylcholine transporter in the membrane of synaptic vesicles
Chicken monoclonal recombinant IgY
Cat. No.: 139 009
Amount: 50 µg
Price: $420.00
Cat. No. 139 009 50 µg purified recombinant IgY, lyophilized. Albumin and azide were added for stabilization. For reconstitution add 50 µl H2O to get a 1mg/ml solution in PBS. Then aliquot and store at -20°C to -80°C until use.
Antibodies should be stored at +4°C when still lyophilized. Do not freeze!
Applications
 
WB: 1 : 1000 up to 1 : 2000 (AP staining) (see remarks) gallery  
ICC: 1 : 500 up to 1 : 1000 gallery  
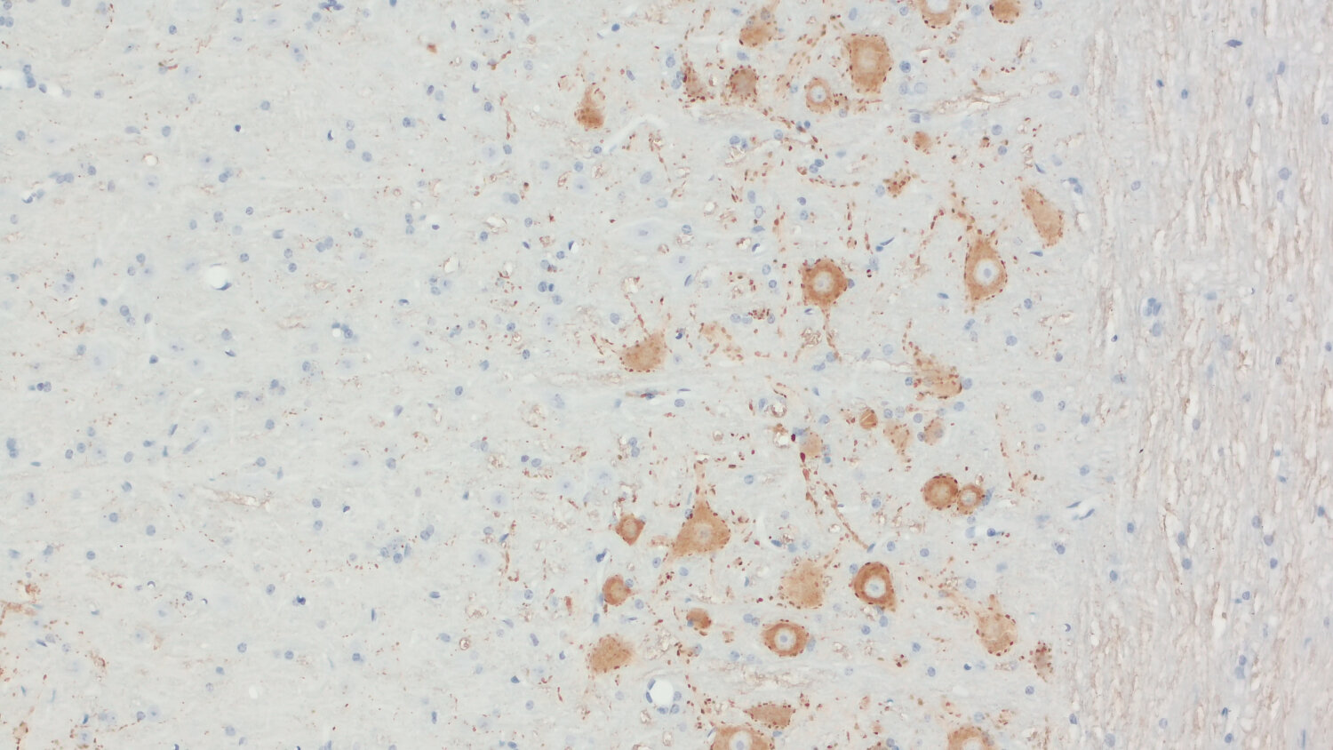
IHC: 1 : 2000 up to 1 : 5000 gallery  
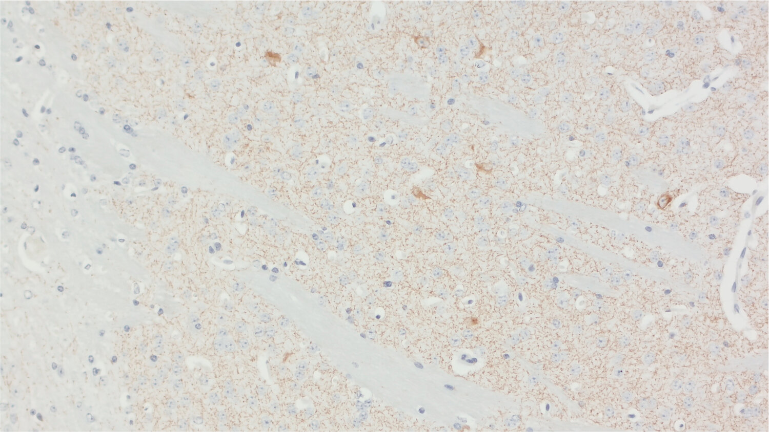
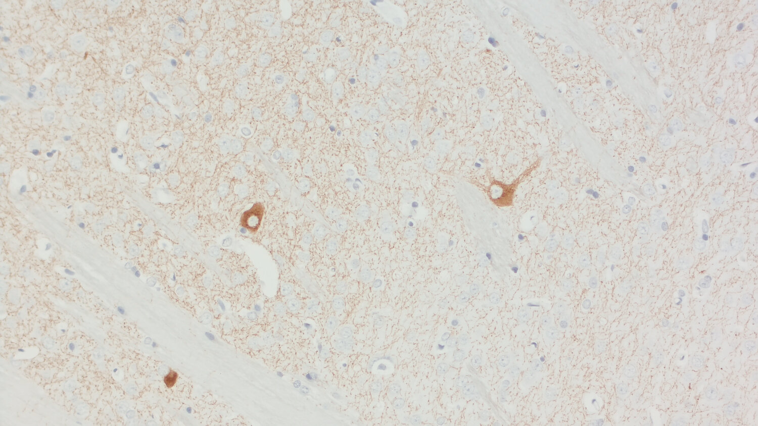
IHC-P: 1 : 500 up to 1 : 1000 gallery  

Western blot (WB); separation of proteins by PAGE and subsequent transfer to a membrane. Detection of target molecules is carried out with antibodies. Some antibodies require special sample preparation steps. For details, please refer to the “Remarks” section.

Immunocytochemistry (ICC) on 4% PFA fixed cells. Immunoreactivity is usually revealed by fluorescence. Some antibodies require special fixation methods. For details, please refer to the “Remarks” section.

Immunohistochemistry (IHC) on 4% PFA perfusion fixed tissue with 24h PFA post fixation. Immunoreactivity is usually revealed by fluorescence or a chromogenic substrate. Some antibodies require special fixation methods or antigen retrieval steps. For details, please refer to the ”Remarks” section.

Immunohistochemistry (IHC-P) of formalin fixed, paraffin embedded (FFPE) tissue (some antibodies require special antigen retrieval steps, please refer to the ”Remarks” section). Immunoreactivity is usually revealed by fluorescence or a chromogenic substrate.

Clone Ch15A11
Subtype IgY (λ light chain)
Immunogen Recombinant protein corresponding to residues near the carboxy terminus of rat VAChT (UniProt Id: Q62666)
Reactivity Reacts with: mouse (O35304), rat (Q62666), human (Q16572).
Other species not tested yet.
Remarks

This antibody is a chimeric antibody based on the well known monoclonal rat antibody clone 15A11. The constant regions of the heavy and light chains have been replaced with chicken specific sequences. Therefore, the antibody can be used with standard anti-chicken secondary reagents. The antibody has been expressed in mammalian cells.
WB: To avoid protein aggregation, do not heat samples for SDS-PAGE.

Data sheet Datasheet 139_009
Cat. No.: 139 009
Amount: 50 µg
Price: $420.00
Background
The vesicular acetylcholine transporter VAChT is an integral membrane protein with 12 putative trans-membrane domains. VAChT and choline acetyltransferase (ChAT) are encoded by genes organized in a single gene locus, and coregulation of the two genes has been reported several times.
VAChT translocates acetylcholine from the cytoplasm into synaptic vesicles where it stays until release. After release from the presynaptic nerve terminal acetylcholine is hydrolyzed by acetylcholine esterase. During Alzheimer´s disease acetylcholine is one of the first neurotransmitters to be reduced.

Certificates

ISO 9001 2015 Quality Management System and Green Lab Platinum certification level for sustaining laboratory processes.

Newsletter

Sign up for our newsletter and get the latest updates and news.
 

Please provide a valid E-Mail-Address
Please provide a valid First name
Please provide a valid Last name