Tailor-made Antibodies
and Tools for Life Science
Home | | | | | Technical Support

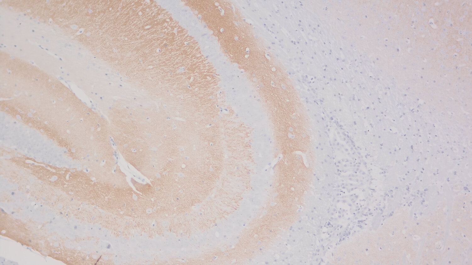
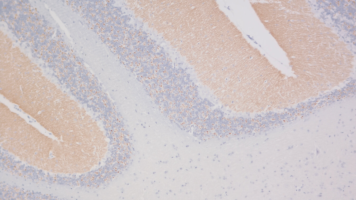
VGLUT1 (SLC17A7) antibody - 135 311 K.O.

VGluT1 is a glutamate transporter in the membrane of synaptic vesicles
Mouse monoclonal purified IgG
Cat. No.: 135 311
Amount: 100 µg
Price: $425.00
Cat. No. 135 311 100 µg purified IgG, lyophilized. Albumin and azide were added for stabilization. For reconstitution add 100 µl H2O to get a 1mg/ml solution in PBS. Then aliquot and store at -20°C to -80°C until use.
Antibodies should be stored at +4°C when still lyophilized. Do not freeze!
Applications
 
WB: 1 : 500 up to 1 : 2000 (AP staining) (see remarks) gallery  
IP: yes (see remarks)
ICC: 1 : 100 gallery  
IHC: 1 : 100 up to 1 : 500 gallery  
IHC-P (FFPE): 1 : 400 up to 1 : 1000 gallery  
EM: external data (see remarks)
ELISA: yes (see remarks)

Western blot (WB); separation of proteins by PAGE and subsequent transfer to a membrane. Detection of target molecules is carried out with antibodies. Some antibodies require special sample preparation steps. For details, please refer to the “Remarks” section.

Immunoprecipitation (IP); Immunoisolation or pulldown of a target molecule using an antibody. For details and product specific hints, please refer to the ”Remarks” section.

Immunocytochemistry (ICC) on 4% PFA fixed cells. Immunoreactivity is usually revealed by fluorescence. Some antibodies require special fixation methods. For details, please refer to the “Remarks” section.

Immunohistochemistry (IHC) on 4% PFA perfusion fixed tissue with 24h PFA post fixation. Immunoreactivity is usually revealed by fluorescence or a chromogenic substrate. Some antibodies require special fixation methods or antigen retrieval steps. For details, please refer to the ”Remarks” section.

Immunohistochemistry (IHC-P) of formalin fixed, paraffin embedded (FFPE) tissue (some antibodies require special antigen retrieval steps, please refer to the ”Remarks” section). Immunoreactivity is usually revealed by fluorescence or a chromogenic substrate.

Electron microscopy (EM) is a microscopy technique that detects the scatter of electrons through thin tissue sections. In Immuno-EM the antigen is usually revealed by colloidal gold conjugated secondary antibodies linking electron dense structures to antigen-bound primary antibodies.

Enzyme-linked immunosorbent assay (ELISA); a frequently employed method to quantify target-molecules in solution. The detection of some proteins requires special solubilization steps. For further information, please refer to the „Remarks“ section.

Clone 317D5
Subtype IgG2a (κ light chain)
Immunogen Recombinant protein corresponding to residues near the carboxy terminus of rat VGLUT 1 (UniProt Id: Q62634)
Epitop AA 542 to 560 from rat VGLUT1 (UniProt Id: Q62634)
Reactivity Reacts with: rat (Q62634), mouse (Q3TXX4), human (Q9P2U7).
Other species not tested yet.
Specificity K.O. validated
Matching control protein/peptide 135-3P
Remarks

WB: To avoid protein aggregation, do not heat samples for SDS-PAGE.
This antibody yields stronger signals in Western blot experiments than cat. no. 135 511 but is less sensitive than 135 011 and our polyclonal and recombinant antibodies.
IP: Coupling to protein A is recommended for IP, since covalent coupling to activated sepharose leads to considerable loss of activity.
EM: This antibody has been successfully applied and published for this method by customers (see application-specific references).
ELISA: The ELISA-protocol for membrane proteins is required.
Suitable as capture antibody for sandwich-ELISA. Please refer to the protocol for suitable detector antibodies.

Data sheet Datasheet 135_311

References for VGLUT1 - 135 311

The TMEM132B-GABAA receptor complex controls alcohol actions in the brain.
Wang G, Peng S, Reyes Mendez M, Keramidas A, Castellano D, Wu K, Han W, Tian Q, Dong L, Li Y, Lu W, et al.
Cell (2024) 18723: 6649-6668.e35. 135 311 WB, ICC; tested species: mouse
Structure and topography of the synaptic V-ATPase-synaptophysin complex.
Wang C, Jiang W, Leitz J, Yang K, Esquivies L, Wang X, Shen X, Held RG, Adams DJ, Basta T, Hampton L, et al.
Nature (2024) 6318022: 899-904. 135 311 WB, IP; tested species: mouse
Loss of microglial MCT4 leads to defective synaptic pruning and anxiety-like behavior in mice.
Monsorno K, Ginggen K, Ivanov A, Buckinx A, Lalive AL, Tchenio A, Benson S, Vendrell M, D'Alessandro A, Beule D, Pellerin L, et al.
Nature communications (2023) 141: 5749. 135 311 WB; tested species: mouse
Visual Cortex Engagement in Retinitis Pigmentosa.
Pietra G, Bonifacino T, Talamonti D, Bonanno G, Sale A, Galli L, Baroncelli L
International journal of molecular sciences (2021) 2217: . 135 311 WB; tested species: mouse
VGLUT1 Binding to Endophilin or Intersectin1 and Dynamin Phosphorylation in a Diurnal Context.
Richter K, Schmutz I, Darna M, Zander JF, Chavan R, Albrecht U, Ahnert-Hilger G
Neuroscience (2018) 371: 29-37. 135 311 WB; tested species: mouse
Mass spectrometric analysis of synaptosomal membrane preparations for the determination of brain receptors, transporters and channels.
Sialana FJ, Gulyassy P, Májek P, Sjöstedt E, Kis V, Müller AC, Rudashevskaya EL, Mulder J, Bennett KL, Lubec G
Proteomics (2016) 1622: 2911-2920. 135 311 WB
Vesicular Synaptobrevin/VAMP2 Levels Guarded by AP180 Control Efficient Neurotransmission.
Koo SJ, Kochlamazashvili G, Rost B, Puchkov D, Gimber N, Lehmann M, Tadeus G, Schmoranzer J, Rosenmund C, Haucke V, Maritzen T, et al.
Neuron (2015) 882: 330-44. 135 311 WB; tested species: mouse
EphA4 is localized in clathrin-coated and synaptic vesicles in adult mouse brain.
Bouvier D, Tremblay ME, Riad M, Corera AT, Gingras D, Horn KE, Fotouhi M, Girard M, Murai KK, Kennedy TE, McPherson PS, et al.
Journal of neurochemistry (2010) 1131: 153-65. 135 311 WB, IP, ICC, EM
Expression and function of SNAP-25 as a universal SNARE component in GABAergic neurons.
Tafoya LC, Mameli M, Miyashita T, Guzowski JF, Valenzuela CF, Wilson MC
The Journal of neuroscience : the official journal of the Society for Neuroscience (2006) 2630: 7826-38. 135 311 WB, ICC, IHC
Differential sorting of the vesicular glutamate transporter 1 into a defined vesicular pool is regulated by light signaling involving the clock gene Period2.
Yelamanchili SV, Pendyala G, Brunk I, Darna M, Albrecht U, Ahnert-Hilger G
The Journal of biological chemistry (2006) 28123: 15671-9. 135 311 WB; tested species: mouse
Structure and topography of the synaptic V-ATPase-synaptophysin complex.
Wang C, Jiang W, Leitz J, Yang K, Esquivies L, Wang X, Shen X, Held RG, Adams DJ, Basta T, Hampton L, et al.
Nature (2024) 6318022: 899-904. 135 311 WB, IP; tested species: mouse
Beyond the MUN domain, Munc13 controls priming and depriming of synaptic vesicles.
Leitz J, Wang C, Esquivies L, Pfuetzner RA, Peters JJ, Couoh-Cardel S, Wang AL, Brunger AT
Cell reports (2024) 435: 114026. 135 311 IP; tested species: mouse
Observing isolated synaptic vesicle association and fusion ex vivo.
Leitz J, Wang C, Esquivies L, Peters JJ, Gopal N, Pfuetzner RA, Wang AL, Brunger AT
Nature protocols (2024) 1911: 3139-3161. 135 311 IP; tested species: mouse
EphA4 is localized in clathrin-coated and synaptic vesicles in adult mouse brain.
Bouvier D, Tremblay ME, Riad M, Corera AT, Gingras D, Horn KE, Fotouhi M, Girard M, Murai KK, Kennedy TE, McPherson PS, et al.
Journal of neurochemistry (2010) 1131: 153-65. 135 311 WB, IP, ICC, EM
Human milk oligosaccharides promote synaptogenesis and neurite outgrowth in human cortical organoids.
Bulcão V C L, Moreira NCS, Carvalho PC, Luz IS, de S da G Fischer J, Tsu BL, Sejane K, Savo C, Martins AMA, Bode L, Muotri AR, et al.
Biochemistry and biophysics reports (2026) 45: 102529. 135 311 ICC; tested species: human
Nonapoptotic caspase-3 guides C1q-dependent synaptic phagocytosis by microglia.
Andoh M, Shinoda N, Taira Y, Araki T, Kasahara Y, Takeuchi H, Miura M, Ikegaya Y, Koyama R
Nature communications (2025) 161: 918. 135 311 ICC, IHC; tested species: mouse
Regulation of hippocampal mossy fiber-CA3 synapse function by a Bcl11b/C1ql2/Nrxn3(25b+) pathway.
Koumoundourou A, Rannap M, De Bruyckere E, Nestel S, Reissner C, Egorov AV, Liu P, Missler M, Heimrich B, Draguhn A, Britsch S, et al.
eLife (2024) 12: . 135 311 ICC, IHC; tested species: mouse
The TMEM132B-GABAA receptor complex controls alcohol actions in the brain.
Wang G, Peng S, Reyes Mendez M, Keramidas A, Castellano D, Wu K, Han W, Tian Q, Dong L, Li Y, Lu W, et al.
Cell (2024) 18723: 6649-6668.e35. 135 311 WB, ICC; tested species: mouse
Human microglial cells as a therapeutic target in a neurodevelopmental disease model.
Mesci P, LaRock CN, Jeziorski JJ, Nakashima H, Chermont N, Ferrasa A, Herai RH, Ozaki T, Saleh A, Snethlage CE, Sanchez S, et al.
Stem cell reports (2024) : . 135 311 ICC; tested species: mouse
Loss of GTF2I promotes neuronal apoptosis and synaptic reduction in human cellular models of neurodevelopment.
Adams JW, Vinokur A, de Souza JS, Austria C, Guerra BS, Herai RH, Wahlin KJ, Muotri AR
Cell reports (2024) 433: 113867. 135 311 ICC; tested species: human
Synaptic-like transmission between neural axons and arteriolar smooth muscle cells drives cerebral neurovascular coupling.
Zhang D, Ruan J, Peng S, Li J, Hu X, Zhang Y, Zhang T, Ge Y, Zhu Z, Xiao X, Zhu Y, et al.
Nature neuroscience (2024) : . 135 311 ICC; tested species: mouse
hiPSC-derived GRN-deficient astrocytes delay spiking activity of developing neurons.
Lee C, Frew J, Weilinger NL, Wendt S, Cai W, Sorrentino S, Wu X, MacVicar BA, Willerth SM, Nygaard HB
Neurobiology of disease (2023) : 106124. 135 311 ICC; tested species: human
Cannabidiol modulates excitatory-inhibitory ratio to counter hippocampal hyperactivity.
Rosenberg EC, Chamberland S, Bazelot M, Nebet ER, Wang X, McKenzie S, Jain S, Greenhill S, Wilson M, Marley N, Salah A, et al.
Neuron (2023) : . 135 311 ICC, IHC; tested species: mouse,rat
Transcription Factor 4 loss-of-function is associated with deficits in progenitor proliferation and cortical neuron content.
Papes F, Camargo AP, de Souza JS, Carvalho VMA, Szeto RA, LaMontagne E, Teixeira JR, Avansini SH, Sánchez-Sánchez SM, Nakahara TS, Santo CN, et al.
Nature communications (2022) 131: 2387. 135 311 ICC; tested species: human
SARS-CoV-2 infects human brain organoids causing cell death and loss of synapses that can be rescued by treatment with Sofosbuvir.
Mesci P, de Souza JS, Martin-Sancho L, Macia A, Saleh A, Yin X, Snethlage C, Adams JW, Avansini SH, Herai RH, Almenar-Queralt A, et al.
PLoS biology (2022) 2011: e3001845. 135 311 ICC; tested species: human
Aβ1-16 controls synaptic vesicle pools at excitatory synapses via cholinergic modulation of synapsin phosphorylation.
Anni D, Weiss EM, Guhathakurta D, Akdas YE, Klueva J, Zeitler S, Andres-Alonso M, Huth T, Fejtova A
Cellular and molecular life sciences : CMLS (2021) : . 135 311 ICC; tested species: mouse
Generation of Human Neurons by microRNA-Mediated Direct Conversion of Dermal Fibroblasts.
Church VA, Cates K, Capano L, Aryal S, Kim WK, Yoo AS
Methods in molecular biology (Clifton, N.J.) (2021) 2239: 77-100. 135 311 ICC; tested species: human
Dysregulation of BRD4 Function Underlies the Functional Abnormalities of MeCP2 Mutant Neurons.
Xiang Y, Tanaka Y, Patterson B, Hwang SM, Hysolli E, Cakir B, Kim KY, Wang W, Kang YJ, Clement EM, Zhong M, et al.
Molecular cell (2020) 791: 84-98.e9. 135 311 ICC; tested species: human
LAR-RPTPs Directly Interact with Neurexins to Coordinate Bidirectional Assembly of Molecular Machineries.
Han KA, Kim YJ, Yoon TH, Kim H, Bae S, Um JW, Choi SY, Ko J
The Journal of neuroscience : the official journal of the Society for Neuroscience (2020) : . 135 311 ICC; tested species: mouse
Receptor protein tyrosine phosphatase delta is not essential for synapse maintenance or transmission at hippocampal synapses.
Han KA, Lee HY, Lim D, Shin J, Yoon TH, Liu X, Um JW, Choi SY, Ko J
Molecular brain (2020) 131: 94. 135 311 ICC; tested species: mouse
TSPAN5 Enriched Microdomains Provide a Platform for Dendritic Spine Maturation through Neuroligin-1 Clustering.
Moretto E, Longatti A, Murru L, Chamma I, Sessa A, Zapata J, Hosy E, Sainlos M, Saint-Pol J, Rubinstein E, Choquet D, et al.
Cell reports (2019) 295: 1130-1146.e8. 135 311 ICC; tested species: mouse
PTPσ Drives Excitatory Presynaptic Assembly via Various Extracellular and Intracellular Mechanisms.
Han KA, Ko JS, Pramanik G, Kim JY, Tabuchi K, Um JW, Ko J
The Journal of neuroscience : the official journal of the Society for Neuroscience (2018) 3830: 6700-6721. 135 311 ICC; tested species: rat
Loss of the mitochondrial i-AAA protease YME1L leads to ocular dysfunction and spinal axonopathy.
Sprenger HG, Wani G, Hesseling A, König T, Patron M, MacVicar T, Ahola S, Wai T, Barth E, Rugarli EI, Bergami M, et al.
EMBO molecular medicine (2018) : . 135 311 ICC; tested species: mouse
LuTHy: a double-readout bioluminescence-based two-hybrid technology for quantitative mapping of protein-protein interactions in mammalian cells.
Trepte P, Kruse S, Kostova S, Hoffmann S, Buntru A, Tempelmeier A, Secker C, Diez L, Schulz A, Klockmeier K, Zenkner M, et al.
Molecular systems biology (2018) 147: e8071. 135 311 ICC; tested species: mouse
Open Chromatin Profiling in hiPSC-Derived Neurons Prioritizes Functional Noncoding Psychiatric Risk Variants and Highlights Neurodevelopmental Loci.
Forrest MP, Zhang H, Moy W, McGowan H, Leites C, Dionisio LE, Xu Z, Shi J, Sanders AR, Greenleaf WJ, Cowan CA, et al.
Cell stem cell (2017) 213: 305-318.e8. 135 311 ICC; tested species: human
Transient oxytocin signaling primes the development and function of excitatory hippocampal neurons.
Ripamonti S, Ambrozkiewicz MC, Guzzi F, Gravati M, Biella G, Bormuth I, Hammer M, Tuffy LP, Sigler A, Kawabe H, Nishimori K, et al.
eLife (2017) 6: . 135 311 ICC; tested species: mouse
Intrinsic up-regulation of 2-AG favors an area specific neuronal survival in different in vitro models of neuronal damage.
Kallendrusch S, Hobusch C, Ehrlich A, Nowicki M, Ziebell S, Bechmann I, Geisslinger G, Koch M, Dehghani F
PloS one (2012) 712: e51208. 135 311 ICC; tested species: rat
A possible role of the non-GAT1 GABA transporters in transfer of GABA from GABAergic to glutamatergic neurons in mouse cerebellar neuronal cultures.
Suñol C, Babot Z, Cristòfol R, Sonnewald U, Waagepetersen HS, Schousboe A
Neurochemical research (2010) 359: 1384-90. 135 311 ICC
EphA4 is localized in clathrin-coated and synaptic vesicles in adult mouse brain.
Bouvier D, Tremblay ME, Riad M, Corera AT, Gingras D, Horn KE, Fotouhi M, Girard M, Murai KK, Kennedy TE, McPherson PS, et al.
Journal of neurochemistry (2010) 1131: 153-65. 135 311 WB, IP, ICC, EM
Expression and function of SNAP-25 as a universal SNARE component in GABAergic neurons.
Tafoya LC, Mameli M, Miyashita T, Guzowski JF, Valenzuela CF, Wilson MC
The Journal of neuroscience : the official journal of the Society for Neuroscience (2006) 2630: 7826-38. 135 311 WB, ICC, IHC
Functional synapses between neurons and small cell lung cancer.
Sakthivelu V, Schmitt A, Odenthal F, Ndoci K, Touet M, Shaib AH, Chihab A, Wani GA, Nieper P, Hartmann GG, Pintelon I, et al.
Nature (2025) 6468087: 1243-1253. 135 311 IHC; tested species: mouse
Graphene-polymer nanofibers enable optically induced electrical responses in stem cell-derived electrically excitable cells and brain organoids.
LaMontagne E, Savchenko A, Gonzalez G, Vatsyayan R, Martin-Burgos B, Puppo F, Biagi D, Papes F, Dayeh SA, Muotri AR, Engler AJ, et al.
Biomaterials (2025) 323: 123430. 135 311 IHC; tested species: human
Nonapoptotic caspase-3 guides C1q-dependent synaptic phagocytosis by microglia.
Andoh M, Shinoda N, Taira Y, Araki T, Kasahara Y, Takeuchi H, Miura M, Ikegaya Y, Koyama R
Nature communications (2025) 161: 918. 135 311 ICC, IHC; tested species: mouse
Anatomy of superior olivary complex and lateral lemniscus in Etruscan shrew.
Zacher AC, Felmy F
Scientific reports (2024) 141: 14734. 135 311 IHC
Regulation of hippocampal mossy fiber-CA3 synapse function by a Bcl11b/C1ql2/Nrxn3(25b+) pathway.
Koumoundourou A, Rannap M, De Bruyckere E, Nestel S, Reissner C, Egorov AV, Liu P, Missler M, Heimrich B, Draguhn A, Britsch S, et al.
eLife (2024) 12: . 135 311 ICC, IHC; tested species: mouse
Cannabidiol modulates excitatory-inhibitory ratio to counter hippocampal hyperactivity.
Rosenberg EC, Chamberland S, Bazelot M, Nebet ER, Wang X, McKenzie S, Jain S, Greenhill S, Wilson M, Marley N, Salah A, et al.
Neuron (2023) : . 135 311 ICC, IHC; tested species: mouse,rat
Genetic dissection identifies Necdin as a driver gene in a mouse model of paternal 15q duplications.
Tamada K, Fukumoto K, Toya T, Nakai N, Awasthi JR, Tanaka S, Okabe S, Spitz F, Saitow F, Suzuki H, Takumi T, et al.
Nature communications (2021) 121: 4056. 135 311 IHC; tested species: mouse
Synaptic organisation and behaviour-dependent activity of mGluR8a-innervated GABAergic trilaminar cells projecting from the hippocampus to the subiculum.
Katona L, Hartwich K, Tomioka R, Somogyi J, Roberts JDB, Wagner K, Joshi A, Klausberger T, Rockland KS, Somogyi P
Brain structure & function (2020) 2252: 705-734. 135 311 IHC; tested species: mouse,rat
The Ncoa7 locus regulates V-ATPase formation and function, neurodevelopment and behaviour.
Castroflorio E, den Hoed J, Svistunova D, Finelli MJ, Cebrian-Serrano A, Corrochano S, Bassett AR, Davies B, Oliver PL
Cellular and molecular life sciences : CMLS (2020) : . 135 311 IHC; tested species: mouse
Glutamatergic projections from homeostatic to hedonic brain nuclei regulate intake of highly palatable food.
Smith AE, Ogunseye KO, DeBenedictis JN, Peris J, Kasper JM, Hommel JD
Scientific reports (2020) 101: 22093. 135 311 IHC; tested species: rat
Uncoupling endosomal CLC chloride/proton exchange causes severe neurodegeneration.
Weinert S, Gimber N, Deuschel D, Stuhlmann T, Puchkov D, Farsi Z, Ludwig CF, Novarino G, López-Cayuqueo KI, Planells-Cases R, Jentsch TJ, et al.
The EMBO journal (2020) : e103358. 135 311 IHC; tested species: mouse
Glutamatergic Input Varies with Phrenic Motor Neuron Size.
Rana S, Mantilla CB, Sieck GC
Journal of neurophysiology (2019) : . 135 311 IHC; tested species: rat
Merlin modulates process outgrowth and synaptogenesis in the cerebellum.
Toledo A, Lang F, Doengi M, Morrison H, Stein V, Baader SL
Brain structure & function (2019) : . 135 311 IHC; tested species: mouse
A Fragment of Adhesion Molecule L1 Binds to Nuclear Receptors to Regulate Synaptic Plasticity and Motor Coordination.
Kraus K, Kleene R, Henis M, Braren I, Kataria H, Sharaf A, Loers G, Schachner M, Lutz D
Molecular neurobiology (2018) 559: 7164-7178. 135 311 IHC; tested species: mouse
Aspects of excitatory/inhibitory synapses in multiple brain regions are correlated with levels of brain-derived neurotrophic factor/neurotrophin-3.
Shinoda Y, Sadakata T, Yagishita K, Kinameri E, Katoh-Semba R, Sano Y, Furuichi T
Biochemical and biophysical research communications (2018) : . 135 311 IHC; tested species: mouse
Synaptic distribution of individually labeled mitral cells in the external plexiform layer of the mouse olfactory bulb.
Matsuno T, Kiyokage E, Toida K
The Journal of comparative neurology (2017) 5257: 1633-1648. 135 311 IHC; tested species: mouse
Growth Associated Protein 43 (GAP-43) as a Novel Target for the Diagnosis, Treatment and Prevention of Epileptogenesis.
Nemes AD, Ayasoufi K, Ying Z, Zhou QG, Suh H, Najm IM
Scientific reports (2017) 71: 17702. 135 311 IHC; tested species: rat
Region-specific integration of embryonic stem cell-derived neuronal precursors into a pre-existing neuronal circuit.
Neuser F, Polack M, Annaheim C, Tucker KL, Korte M
PloS one (2013) 86: e66497. 135 311 IHC; tested species: mouse
The density of EAAC1 (EAAT3) glutamate transporters expressed by neurons in the mammalian CNS.
Holmseth S, Dehnes Y, Huang YH, Follin-Arbelet VV, Grutle NJ, Mylonakou MN, Plachez C, Zhou Y, Furness DN, Bergles DE, Lehre KP, et al.
The Journal of neuroscience : the official journal of the Society for Neuroscience (2012) 3217: 6000-13. 135 311 IHC
Tail spasms in rat spinal cord injury: changes in interneuronal connectivity.
Kapitza S, Zörner B, Weinmann O, Bolliger M, Filli L, Dietz V, Schwab ME
Experimental neurology (2012) 2361: 179-89. 135 311 IHC; tested species: rat
Evidence for anterograde transport and transcytosis of botulinum neurotoxin A (BoNT/A).
Restani L, Antonucci F, Gianfranceschi L, Rossi C, Rossetto O, Caleo M
The Journal of neuroscience : the official journal of the Society for Neuroscience (2011) 3144: 15650-9. 135 311 IHC; tested species: rat
Expression and function of SNAP-25 as a universal SNARE component in GABAergic neurons.
Tafoya LC, Mameli M, Miyashita T, Guzowski JF, Valenzuela CF, Wilson MC
The Journal of neuroscience : the official journal of the Society for Neuroscience (2006) 2630: 7826-38. 135 311 WB, ICC, IHC
EphA4 is localized in clathrin-coated and synaptic vesicles in adult mouse brain.
Bouvier D, Tremblay ME, Riad M, Corera AT, Gingras D, Horn KE, Fotouhi M, Girard M, Murai KK, Kennedy TE, McPherson PS, et al.
Journal of neurochemistry (2010) 1131: 153-65. 135 311 WB, IP, ICC, EM
Synapsin-dependent reserve pool of synaptic vesicles supports replenishment of the readily releasable pool under intense synaptic transmission.
Vasileva M, Horstmann H, Geumann C, Gitler D, Kuner T
The European journal of neuroscience (2012) 368: 3005-20. 135 311 ELISA
Cat. No.: 135 311
Amount: 100 µg
Price: $425.00
The TMEM132B-GABAA receptor complex controls alcohol actions in the brain.
Wang G, Peng S, Reyes Mendez M, Keramidas A, Castellano D, Wu K, Han W, Tian Q, Dong L, Li Y, Lu W, et al.
Cell (2024) 18723: 6649-6668.e35. 135 311 WB, ICC; tested species: mouse
Structure and topography of the synaptic V-ATPase-synaptophysin complex.
Wang C, Jiang W, Leitz J, Yang K, Esquivies L, Wang X, Shen X, Held RG, Adams DJ, Basta T, Hampton L, et al.
Nature (2024) 6318022: 899-904. 135 311 WB, IP; tested species: mouse
Loss of microglial MCT4 leads to defective synaptic pruning and anxiety-like behavior in mice.
Monsorno K, Ginggen K, Ivanov A, Buckinx A, Lalive AL, Tchenio A, Benson S, Vendrell M, D'Alessandro A, Beule D, Pellerin L, et al.
Nature communications (2023) 141: 5749. 135 311 WB; tested species: mouse
Visual Cortex Engagement in Retinitis Pigmentosa.
Pietra G, Bonifacino T, Talamonti D, Bonanno G, Sale A, Galli L, Baroncelli L
International journal of molecular sciences (2021) 2217: . 135 311 WB; tested species: mouse
VGLUT1 Binding to Endophilin or Intersectin1 and Dynamin Phosphorylation in a Diurnal Context.
Richter K, Schmutz I, Darna M, Zander JF, Chavan R, Albrecht U, Ahnert-Hilger G
Neuroscience (2018) 371: 29-37. 135 311 WB; tested species: mouse
Mass spectrometric analysis of synaptosomal membrane preparations for the determination of brain receptors, transporters and channels.
Sialana FJ, Gulyassy P, Májek P, Sjöstedt E, Kis V, Müller AC, Rudashevskaya EL, Mulder J, Bennett KL, Lubec G
Proteomics (2016) 1622: 2911-2920. 135 311 WB
Vesicular Synaptobrevin/VAMP2 Levels Guarded by AP180 Control Efficient Neurotransmission.
Koo SJ, Kochlamazashvili G, Rost B, Puchkov D, Gimber N, Lehmann M, Tadeus G, Schmoranzer J, Rosenmund C, Haucke V, Maritzen T, et al.
Neuron (2015) 882: 330-44. 135 311 WB; tested species: mouse
EphA4 is localized in clathrin-coated and synaptic vesicles in adult mouse brain.
Bouvier D, Tremblay ME, Riad M, Corera AT, Gingras D, Horn KE, Fotouhi M, Girard M, Murai KK, Kennedy TE, McPherson PS, et al.
Journal of neurochemistry (2010) 1131: 153-65. 135 311 WB, IP, ICC, EM
Expression and function of SNAP-25 as a universal SNARE component in GABAergic neurons.
Tafoya LC, Mameli M, Miyashita T, Guzowski JF, Valenzuela CF, Wilson MC
The Journal of neuroscience : the official journal of the Society for Neuroscience (2006) 2630: 7826-38. 135 311 WB, ICC, IHC
Differential sorting of the vesicular glutamate transporter 1 into a defined vesicular pool is regulated by light signaling involving the clock gene Period2.
Yelamanchili SV, Pendyala G, Brunk I, Darna M, Albrecht U, Ahnert-Hilger G
The Journal of biological chemistry (2006) 28123: 15671-9. 135 311 WB; tested species: mouse
Structure and topography of the synaptic V-ATPase-synaptophysin complex.
Wang C, Jiang W, Leitz J, Yang K, Esquivies L, Wang X, Shen X, Held RG, Adams DJ, Basta T, Hampton L, et al.
Nature (2024) 6318022: 899-904. 135 311 WB, IP; tested species: mouse
Beyond the MUN domain, Munc13 controls priming and depriming of synaptic vesicles.
Leitz J, Wang C, Esquivies L, Pfuetzner RA, Peters JJ, Couoh-Cardel S, Wang AL, Brunger AT
Cell reports (2024) 435: 114026. 135 311 IP; tested species: mouse
Observing isolated synaptic vesicle association and fusion ex vivo.
Leitz J, Wang C, Esquivies L, Peters JJ, Gopal N, Pfuetzner RA, Wang AL, Brunger AT
Nature protocols (2024) 1911: 3139-3161. 135 311 IP; tested species: mouse
EphA4 is localized in clathrin-coated and synaptic vesicles in adult mouse brain.
Bouvier D, Tremblay ME, Riad M, Corera AT, Gingras D, Horn KE, Fotouhi M, Girard M, Murai KK, Kennedy TE, McPherson PS, et al.
Journal of neurochemistry (2010) 1131: 153-65. 135 311 WB, IP, ICC, EM
Human milk oligosaccharides promote synaptogenesis and neurite outgrowth in human cortical organoids.
Bulcão V C L, Moreira NCS, Carvalho PC, Luz IS, de S da G Fischer J, Tsu BL, Sejane K, Savo C, Martins AMA, Bode L, Muotri AR, et al.
Biochemistry and biophysics reports (2026) 45: 102529. 135 311 ICC; tested species: human
Nonapoptotic caspase-3 guides C1q-dependent synaptic phagocytosis by microglia.
Andoh M, Shinoda N, Taira Y, Araki T, Kasahara Y, Takeuchi H, Miura M, Ikegaya Y, Koyama R
Nature communications (2025) 161: 918. 135 311 ICC, IHC; tested species: mouse
Regulation of hippocampal mossy fiber-CA3 synapse function by a Bcl11b/C1ql2/Nrxn3(25b+) pathway.
Koumoundourou A, Rannap M, De Bruyckere E, Nestel S, Reissner C, Egorov AV, Liu P, Missler M, Heimrich B, Draguhn A, Britsch S, et al.
eLife (2024) 12: . 135 311 ICC, IHC; tested species: mouse
The TMEM132B-GABAA receptor complex controls alcohol actions in the brain.
Wang G, Peng S, Reyes Mendez M, Keramidas A, Castellano D, Wu K, Han W, Tian Q, Dong L, Li Y, Lu W, et al.
Cell (2024) 18723: 6649-6668.e35. 135 311 WB, ICC; tested species: mouse
Human microglial cells as a therapeutic target in a neurodevelopmental disease model.
Mesci P, LaRock CN, Jeziorski JJ, Nakashima H, Chermont N, Ferrasa A, Herai RH, Ozaki T, Saleh A, Snethlage CE, Sanchez S, et al.
Stem cell reports (2024) : . 135 311 ICC; tested species: mouse
Loss of GTF2I promotes neuronal apoptosis and synaptic reduction in human cellular models of neurodevelopment.
Adams JW, Vinokur A, de Souza JS, Austria C, Guerra BS, Herai RH, Wahlin KJ, Muotri AR
Cell reports (2024) 433: 113867. 135 311 ICC; tested species: human
Synaptic-like transmission between neural axons and arteriolar smooth muscle cells drives cerebral neurovascular coupling.
Zhang D, Ruan J, Peng S, Li J, Hu X, Zhang Y, Zhang T, Ge Y, Zhu Z, Xiao X, Zhu Y, et al.
Nature neuroscience (2024) : . 135 311 ICC; tested species: mouse
hiPSC-derived GRN-deficient astrocytes delay spiking activity of developing neurons.
Lee C, Frew J, Weilinger NL, Wendt S, Cai W, Sorrentino S, Wu X, MacVicar BA, Willerth SM, Nygaard HB
Neurobiology of disease (2023) : 106124. 135 311 ICC; tested species: human
Cannabidiol modulates excitatory-inhibitory ratio to counter hippocampal hyperactivity.
Rosenberg EC, Chamberland S, Bazelot M, Nebet ER, Wang X, McKenzie S, Jain S, Greenhill S, Wilson M, Marley N, Salah A, et al.
Neuron (2023) : . 135 311 ICC, IHC; tested species: mouse,rat
Transcription Factor 4 loss-of-function is associated with deficits in progenitor proliferation and cortical neuron content.
Papes F, Camargo AP, de Souza JS, Carvalho VMA, Szeto RA, LaMontagne E, Teixeira JR, Avansini SH, Sánchez-Sánchez SM, Nakahara TS, Santo CN, et al.
Nature communications (2022) 131: 2387. 135 311 ICC; tested species: human
SARS-CoV-2 infects human brain organoids causing cell death and loss of synapses that can be rescued by treatment with Sofosbuvir.
Mesci P, de Souza JS, Martin-Sancho L, Macia A, Saleh A, Yin X, Snethlage C, Adams JW, Avansini SH, Herai RH, Almenar-Queralt A, et al.
PLoS biology (2022) 2011: e3001845. 135 311 ICC; tested species: human
Aβ1-16 controls synaptic vesicle pools at excitatory synapses via cholinergic modulation of synapsin phosphorylation.
Anni D, Weiss EM, Guhathakurta D, Akdas YE, Klueva J, Zeitler S, Andres-Alonso M, Huth T, Fejtova A
Cellular and molecular life sciences : CMLS (2021) : . 135 311 ICC; tested species: mouse
Generation of Human Neurons by microRNA-Mediated Direct Conversion of Dermal Fibroblasts.
Church VA, Cates K, Capano L, Aryal S, Kim WK, Yoo AS
Methods in molecular biology (Clifton, N.J.) (2021) 2239: 77-100. 135 311 ICC; tested species: human
Dysregulation of BRD4 Function Underlies the Functional Abnormalities of MeCP2 Mutant Neurons.
Xiang Y, Tanaka Y, Patterson B, Hwang SM, Hysolli E, Cakir B, Kim KY, Wang W, Kang YJ, Clement EM, Zhong M, et al.
Molecular cell (2020) 791: 84-98.e9. 135 311 ICC; tested species: human
LAR-RPTPs Directly Interact with Neurexins to Coordinate Bidirectional Assembly of Molecular Machineries.
Han KA, Kim YJ, Yoon TH, Kim H, Bae S, Um JW, Choi SY, Ko J
The Journal of neuroscience : the official journal of the Society for Neuroscience (2020) : . 135 311 ICC; tested species: mouse
Receptor protein tyrosine phosphatase delta is not essential for synapse maintenance or transmission at hippocampal synapses.
Han KA, Lee HY, Lim D, Shin J, Yoon TH, Liu X, Um JW, Choi SY, Ko J
Molecular brain (2020) 131: 94. 135 311 ICC; tested species: mouse
TSPAN5 Enriched Microdomains Provide a Platform for Dendritic Spine Maturation through Neuroligin-1 Clustering.
Moretto E, Longatti A, Murru L, Chamma I, Sessa A, Zapata J, Hosy E, Sainlos M, Saint-Pol J, Rubinstein E, Choquet D, et al.
Cell reports (2019) 295: 1130-1146.e8. 135 311 ICC; tested species: mouse
PTPσ Drives Excitatory Presynaptic Assembly via Various Extracellular and Intracellular Mechanisms.
Han KA, Ko JS, Pramanik G, Kim JY, Tabuchi K, Um JW, Ko J
The Journal of neuroscience : the official journal of the Society for Neuroscience (2018) 3830: 6700-6721. 135 311 ICC; tested species: rat
Loss of the mitochondrial i-AAA protease YME1L leads to ocular dysfunction and spinal axonopathy.
Sprenger HG, Wani G, Hesseling A, König T, Patron M, MacVicar T, Ahola S, Wai T, Barth E, Rugarli EI, Bergami M, et al.
EMBO molecular medicine (2018) : . 135 311 ICC; tested species: mouse
LuTHy: a double-readout bioluminescence-based two-hybrid technology for quantitative mapping of protein-protein interactions in mammalian cells.
Trepte P, Kruse S, Kostova S, Hoffmann S, Buntru A, Tempelmeier A, Secker C, Diez L, Schulz A, Klockmeier K, Zenkner M, et al.
Molecular systems biology (2018) 147: e8071. 135 311 ICC; tested species: mouse
Open Chromatin Profiling in hiPSC-Derived Neurons Prioritizes Functional Noncoding Psychiatric Risk Variants and Highlights Neurodevelopmental Loci.
Forrest MP, Zhang H, Moy W, McGowan H, Leites C, Dionisio LE, Xu Z, Shi J, Sanders AR, Greenleaf WJ, Cowan CA, et al.
Cell stem cell (2017) 213: 305-318.e8. 135 311 ICC; tested species: human
Transient oxytocin signaling primes the development and function of excitatory hippocampal neurons.
Ripamonti S, Ambrozkiewicz MC, Guzzi F, Gravati M, Biella G, Bormuth I, Hammer M, Tuffy LP, Sigler A, Kawabe H, Nishimori K, et al.
eLife (2017) 6: . 135 311 ICC; tested species: mouse
Intrinsic up-regulation of 2-AG favors an area specific neuronal survival in different in vitro models of neuronal damage.
Kallendrusch S, Hobusch C, Ehrlich A, Nowicki M, Ziebell S, Bechmann I, Geisslinger G, Koch M, Dehghani F
PloS one (2012) 712: e51208. 135 311 ICC; tested species: rat
A possible role of the non-GAT1 GABA transporters in transfer of GABA from GABAergic to glutamatergic neurons in mouse cerebellar neuronal cultures.
Suñol C, Babot Z, Cristòfol R, Sonnewald U, Waagepetersen HS, Schousboe A
Neurochemical research (2010) 359: 1384-90. 135 311 ICC
EphA4 is localized in clathrin-coated and synaptic vesicles in adult mouse brain.
Bouvier D, Tremblay ME, Riad M, Corera AT, Gingras D, Horn KE, Fotouhi M, Girard M, Murai KK, Kennedy TE, McPherson PS, et al.
Journal of neurochemistry (2010) 1131: 153-65. 135 311 WB, IP, ICC, EM
Expression and function of SNAP-25 as a universal SNARE component in GABAergic neurons.
Tafoya LC, Mameli M, Miyashita T, Guzowski JF, Valenzuela CF, Wilson MC
The Journal of neuroscience : the official journal of the Society for Neuroscience (2006) 2630: 7826-38. 135 311 WB, ICC, IHC
Functional synapses between neurons and small cell lung cancer.
Sakthivelu V, Schmitt A, Odenthal F, Ndoci K, Touet M, Shaib AH, Chihab A, Wani GA, Nieper P, Hartmann GG, Pintelon I, et al.
Nature (2025) 6468087: 1243-1253. 135 311 IHC; tested species: mouse
Graphene-polymer nanofibers enable optically induced electrical responses in stem cell-derived electrically excitable cells and brain organoids.
LaMontagne E, Savchenko A, Gonzalez G, Vatsyayan R, Martin-Burgos B, Puppo F, Biagi D, Papes F, Dayeh SA, Muotri AR, Engler AJ, et al.
Biomaterials (2025) 323: 123430. 135 311 IHC; tested species: human
Nonapoptotic caspase-3 guides C1q-dependent synaptic phagocytosis by microglia.
Andoh M, Shinoda N, Taira Y, Araki T, Kasahara Y, Takeuchi H, Miura M, Ikegaya Y, Koyama R
Nature communications (2025) 161: 918. 135 311 ICC, IHC; tested species: mouse
Anatomy of superior olivary complex and lateral lemniscus in Etruscan shrew.
Zacher AC, Felmy F
Scientific reports (2024) 141: 14734. 135 311 IHC
Regulation of hippocampal mossy fiber-CA3 synapse function by a Bcl11b/C1ql2/Nrxn3(25b+) pathway.
Koumoundourou A, Rannap M, De Bruyckere E, Nestel S, Reissner C, Egorov AV, Liu P, Missler M, Heimrich B, Draguhn A, Britsch S, et al.
eLife (2024) 12: . 135 311 ICC, IHC; tested species: mouse
Cannabidiol modulates excitatory-inhibitory ratio to counter hippocampal hyperactivity.
Rosenberg EC, Chamberland S, Bazelot M, Nebet ER, Wang X, McKenzie S, Jain S, Greenhill S, Wilson M, Marley N, Salah A, et al.
Neuron (2023) : . 135 311 ICC, IHC; tested species: mouse,rat
Genetic dissection identifies Necdin as a driver gene in a mouse model of paternal 15q duplications.
Tamada K, Fukumoto K, Toya T, Nakai N, Awasthi JR, Tanaka S, Okabe S, Spitz F, Saitow F, Suzuki H, Takumi T, et al.
Nature communications (2021) 121: 4056. 135 311 IHC; tested species: mouse
Synaptic organisation and behaviour-dependent activity of mGluR8a-innervated GABAergic trilaminar cells projecting from the hippocampus to the subiculum.
Katona L, Hartwich K, Tomioka R, Somogyi J, Roberts JDB, Wagner K, Joshi A, Klausberger T, Rockland KS, Somogyi P
Brain structure & function (2020) 2252: 705-734. 135 311 IHC; tested species: mouse,rat
The Ncoa7 locus regulates V-ATPase formation and function, neurodevelopment and behaviour.
Castroflorio E, den Hoed J, Svistunova D, Finelli MJ, Cebrian-Serrano A, Corrochano S, Bassett AR, Davies B, Oliver PL
Cellular and molecular life sciences : CMLS (2020) : . 135 311 IHC; tested species: mouse
Glutamatergic projections from homeostatic to hedonic brain nuclei regulate intake of highly palatable food.
Smith AE, Ogunseye KO, DeBenedictis JN, Peris J, Kasper JM, Hommel JD
Scientific reports (2020) 101: 22093. 135 311 IHC; tested species: rat
Uncoupling endosomal CLC chloride/proton exchange causes severe neurodegeneration.
Weinert S, Gimber N, Deuschel D, Stuhlmann T, Puchkov D, Farsi Z, Ludwig CF, Novarino G, López-Cayuqueo KI, Planells-Cases R, Jentsch TJ, et al.
The EMBO journal (2020) : e103358. 135 311 IHC; tested species: mouse
Glutamatergic Input Varies with Phrenic Motor Neuron Size.
Rana S, Mantilla CB, Sieck GC
Journal of neurophysiology (2019) : . 135 311 IHC; tested species: rat
Merlin modulates process outgrowth and synaptogenesis in the cerebellum.
Toledo A, Lang F, Doengi M, Morrison H, Stein V, Baader SL
Brain structure & function (2019) : . 135 311 IHC; tested species: mouse
A Fragment of Adhesion Molecule L1 Binds to Nuclear Receptors to Regulate Synaptic Plasticity and Motor Coordination.
Kraus K, Kleene R, Henis M, Braren I, Kataria H, Sharaf A, Loers G, Schachner M, Lutz D
Molecular neurobiology (2018) 559: 7164-7178. 135 311 IHC; tested species: mouse
Aspects of excitatory/inhibitory synapses in multiple brain regions are correlated with levels of brain-derived neurotrophic factor/neurotrophin-3.
Shinoda Y, Sadakata T, Yagishita K, Kinameri E, Katoh-Semba R, Sano Y, Furuichi T
Biochemical and biophysical research communications (2018) : . 135 311 IHC; tested species: mouse
Synaptic distribution of individually labeled mitral cells in the external plexiform layer of the mouse olfactory bulb.
Matsuno T, Kiyokage E, Toida K
The Journal of comparative neurology (2017) 5257: 1633-1648. 135 311 IHC; tested species: mouse
Growth Associated Protein 43 (GAP-43) as a Novel Target for the Diagnosis, Treatment and Prevention of Epileptogenesis.
Nemes AD, Ayasoufi K, Ying Z, Zhou QG, Suh H, Najm IM
Scientific reports (2017) 71: 17702. 135 311 IHC; tested species: rat
Region-specific integration of embryonic stem cell-derived neuronal precursors into a pre-existing neuronal circuit.
Neuser F, Polack M, Annaheim C, Tucker KL, Korte M
PloS one (2013) 86: e66497. 135 311 IHC; tested species: mouse
The density of EAAC1 (EAAT3) glutamate transporters expressed by neurons in the mammalian CNS.
Holmseth S, Dehnes Y, Huang YH, Follin-Arbelet VV, Grutle NJ, Mylonakou MN, Plachez C, Zhou Y, Furness DN, Bergles DE, Lehre KP, et al.
The Journal of neuroscience : the official journal of the Society for Neuroscience (2012) 3217: 6000-13. 135 311 IHC
Tail spasms in rat spinal cord injury: changes in interneuronal connectivity.
Kapitza S, Zörner B, Weinmann O, Bolliger M, Filli L, Dietz V, Schwab ME
Experimental neurology (2012) 2361: 179-89. 135 311 IHC; tested species: rat
Evidence for anterograde transport and transcytosis of botulinum neurotoxin A (BoNT/A).
Restani L, Antonucci F, Gianfranceschi L, Rossi C, Rossetto O, Caleo M
The Journal of neuroscience : the official journal of the Society for Neuroscience (2011) 3144: 15650-9. 135 311 IHC; tested species: rat
Expression and function of SNAP-25 as a universal SNARE component in GABAergic neurons.
Tafoya LC, Mameli M, Miyashita T, Guzowski JF, Valenzuela CF, Wilson MC
The Journal of neuroscience : the official journal of the Society for Neuroscience (2006) 2630: 7826-38. 135 311 WB, ICC, IHC
EphA4 is localized in clathrin-coated and synaptic vesicles in adult mouse brain.
Bouvier D, Tremblay ME, Riad M, Corera AT, Gingras D, Horn KE, Fotouhi M, Girard M, Murai KK, Kennedy TE, McPherson PS, et al.
Journal of neurochemistry (2010) 1131: 153-65. 135 311 WB, IP, ICC, EM
Synapsin-dependent reserve pool of synaptic vesicles supports replenishment of the readily releasable pool under intense synaptic transmission.
Vasileva M, Horstmann H, Geumann C, Gitler D, Kuner T
The European journal of neuroscience (2012) 368: 3005-20. 135 311 ELISA
Background

The vesicular glutamate transporter 1 VGLUT1, also referred to as BNPI and SLC17A7, was originally identified as a brain specific phosphate transporter. Like the related VGLUT2, VGLUT1 is both necessary and sufficient for uptake and storage of glutamate and thus comprises the sole determinant for a glutamatergic phenotype. Both VGLUTs are different from the plasma membrane transporters in that they are driven by a proton electrochemical gradient across the vesicle membrane.
VGLUT1 and VGLUT2 show complementary expression patterns. Together, they are currently the best markers for glutamatergic nerve terminals and glutamatergic synapses.

Certificates

ISO 9001 2015 Quality Management System and Green Lab Platinum certification level for sustaining laboratory processes.

Newsletter

Sign up for our newsletter and get the latest updates and news.
 

Please provide a valid E-Mail-Address
Please provide a valid First name
Please provide a valid Last name