Tailor-made Antibodies
and Tools for Life Science
Home | | | | | Technical Support

PSD95 antibody - N3783 K.O.

PSD 95 is a component of postsynaptic densities in central synapses

This product was developed by   

NanoTag-Biotechnologies

Camelid single domain antibodies consist only of one antigen binding site of a Alpaka heavy chain antibody. This antibody is a chimeric construct consisting of the anti-PSD 95 single-domain antibody genetically fused to rabbit IgG1 Fc domain.

Rabbit monoclonal recombinant IgG
Cat. No.: N3783
Amount: 100 µg
Price: $540.00
Cat. No. N3783 100 µg purified recombinant IgG, lyophilized. Albumin was added for stabilization. For reconstitution refer to the NanoTag reconstitution and storage instructions.
Antibodies should be stored at +4°C when still lyophilized. Do not freeze!
Applications
 
WB: 1 : 1000 (AP staining) gallery  
IP: not tested yet
ICC: 1 : 500 (see remarks) gallery  
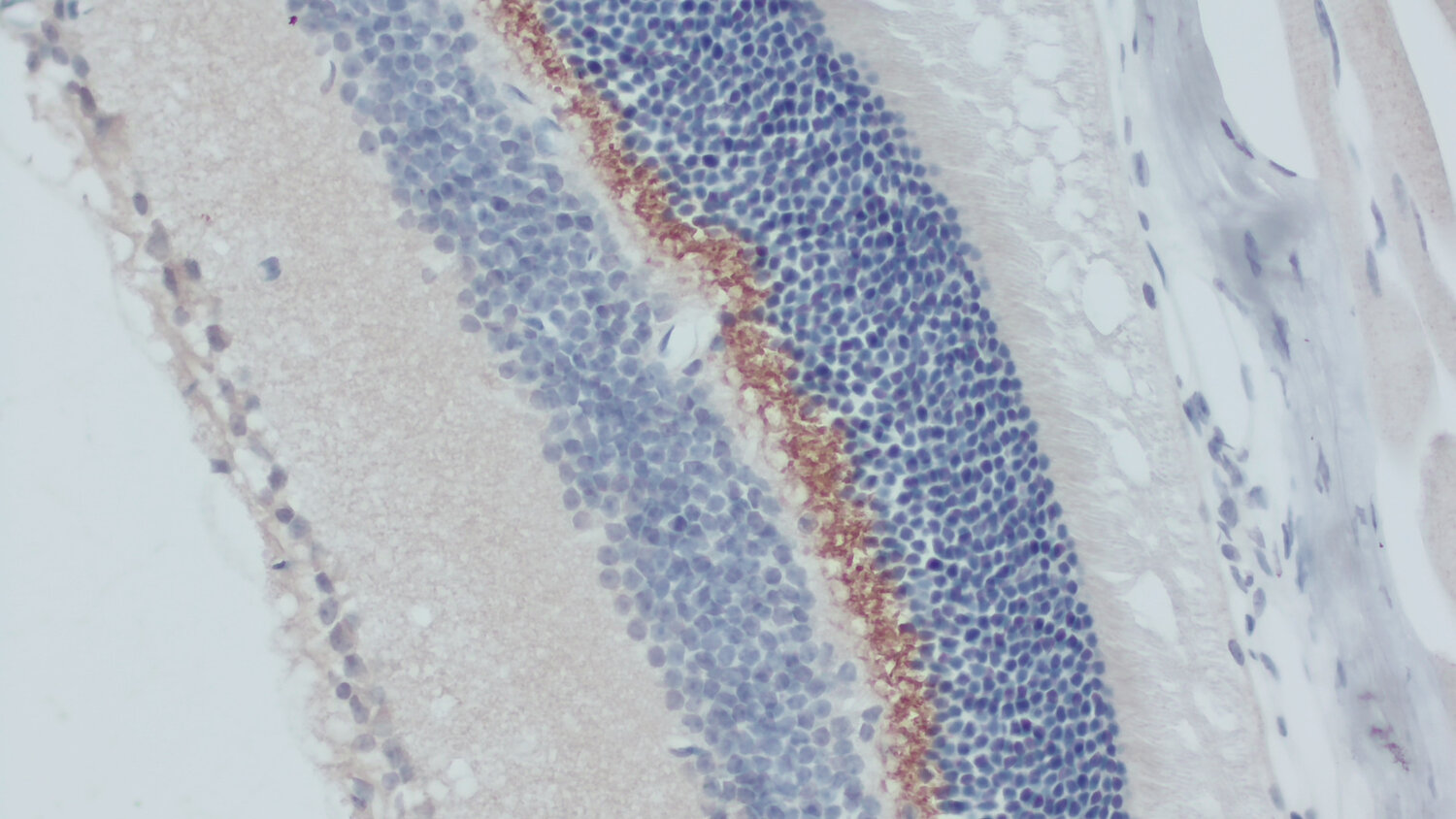
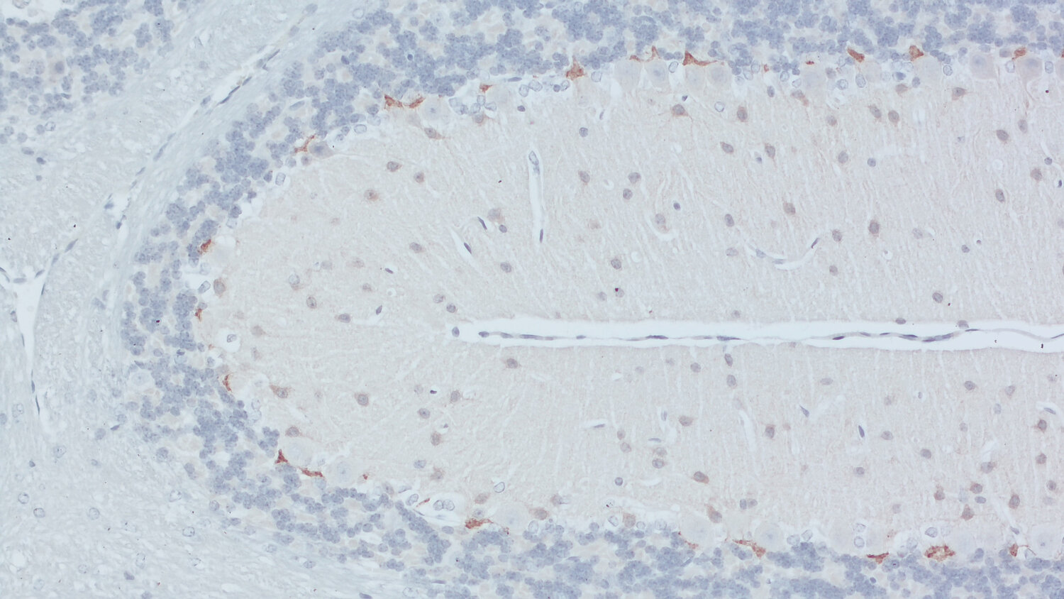
IHC: 1 : 200 up to 1 : 500 (see remarks) gallery  
IHC-P: 1 : 200 gallery  
ExM: external data (see remarks) gallery  

Western blot (WB); separation of proteins by PAGE and subsequent transfer to a membrane. Detection of target molecules is carried out with antibodies. Some antibodies require special sample preparation steps. For details, please refer to the “Remarks” section.

Immunoprecipitation (IP); Immunoisolation or pulldown of a target molecule using an antibody. For details and product specific hints, please refer to the ”Remarks” section.

Immunocytochemistry (ICC) on 4% PFA fixed cells. Immunoreactivity is usually revealed by fluorescence. Some antibodies require special fixation methods. For details, please refer to the “Remarks” section.

Immunohistochemistry (IHC) on 4% PFA perfusion fixed tissue with 24h PFA post fixation. Immunoreactivity is usually revealed by fluorescence or a chromogenic substrate. Some antibodies require special fixation methods or antigen retrieval steps. For details, please refer to the ”Remarks” section.

Immunohistochemistry (IHC-P) of formalin fixed, paraffin embedded (FFPE) tissue (some antibodies require special antigen retrieval steps, please refer to the ”Remarks” section). Immunoreactivity is usually revealed by fluorescence or a chromogenic substrate.

Expansion Microscopy (ExM) is a sample preparation and imaging method which employs a dense interconnected web of swellable polymer within a biological specimen. A significantly higher effective resolution can be achieved with a standard microscope setup. For additional experimental details, please refer to the Remarks section.

Clone 1B2
Subtype IgG1
Immunogen Recombinant protein corresponding to AA 68 to 251 from mouse PSD95 (UniProt Id: Q62108)
Reactivity Reacts with: mouse (Q62108), rat (P31016).
Other species not tested yet.
Predicted to cross-react with human (P78352) due to high sequence homology.
Specificity K.O. validated
Matching control protein/peptide 124-01P
Remarks

This antibody is a chimeric construct consisting of the anti-PSD 95 single-domain antibody 1B2 genetically fused to rabbit IgG1 Fc domain. It can be used in combination with standard anti-rabbit secondary reagents binding the IgG Fc-domain.
ICC: We recommend the PSD95 FluoTags N3702 for best results. 
IHC: We recommend the PSD95 FluoTags N3702 for best results. 
ExM: This antibody has been successfully applied and published for this method by customers (see application-specific references).

References for PSD95 - N3783

Simple and Highly Efficient Detection of PSD95 Using a Nanobody and Its Recombinant Heavy-Chain Antibody Derivatives.
Kilisch M, Gere-Becker M, Wüstefeld L, Bonnas C, Crauel A, Mechmershausen M, Martens H, Götzke H, Opazo F, Frey S
International journal of molecular sciences (2023) 248: . N3783 WB, ICC, IHC-P; tested species: mouse,rat
A Screen of Plant-Based Natural Products Revealed That Quercetin Prevents Pyroglutamylated Amyloid-β (Aβ3(pE)-42) Uptake in Astrocytes As Well As Resulting Astrogliosis and Synaptic Dysfunction.
Arndt H, Bachurski M, Yuanxiang P, Franke K, Wessjohann LA, Kreutz MR, Grochowska KM
Molecular neurobiology (2024) : . N3783 ICC; tested species: rat
Simple and Highly Efficient Detection of PSD95 Using a Nanobody and Its Recombinant Heavy-Chain Antibody Derivatives.
Kilisch M, Gere-Becker M, Wüstefeld L, Bonnas C, Crauel A, Mechmershausen M, Martens H, Götzke H, Opazo F, Frey S
International journal of molecular sciences (2023) 248: . N3783 WB, ICC, IHC-P; tested species: mouse,rat
Simple and Highly Efficient Detection of PSD95 Using a Nanobody and Its Recombinant Heavy-Chain Antibody Derivatives.
Kilisch M, Gere-Becker M, Wüstefeld L, Bonnas C, Crauel A, Mechmershausen M, Martens H, Götzke H, Opazo F, Frey S
International journal of molecular sciences (2023) 248: . N3783 WB, ICC, IHC-P; tested species: mouse,rat
Cat. No.: N3783
Amount: 100 µg
Price: $540.00
Simple and Highly Efficient Detection of PSD95 Using a Nanobody and Its Recombinant Heavy-Chain Antibody Derivatives.
Kilisch M, Gere-Becker M, Wüstefeld L, Bonnas C, Crauel A, Mechmershausen M, Martens H, Götzke H, Opazo F, Frey S
International journal of molecular sciences (2023) 248: . N3783 WB, ICC, IHC-P; tested species: mouse,rat
A Screen of Plant-Based Natural Products Revealed That Quercetin Prevents Pyroglutamylated Amyloid-β (Aβ3(pE)-42) Uptake in Astrocytes As Well As Resulting Astrogliosis and Synaptic Dysfunction.
Arndt H, Bachurski M, Yuanxiang P, Franke K, Wessjohann LA, Kreutz MR, Grochowska KM
Molecular neurobiology (2024) : . N3783 ICC; tested species: rat
Simple and Highly Efficient Detection of PSD95 Using a Nanobody and Its Recombinant Heavy-Chain Antibody Derivatives.
Kilisch M, Gere-Becker M, Wüstefeld L, Bonnas C, Crauel A, Mechmershausen M, Martens H, Götzke H, Opazo F, Frey S
International journal of molecular sciences (2023) 248: . N3783 WB, ICC, IHC-P; tested species: mouse,rat
Simple and Highly Efficient Detection of PSD95 Using a Nanobody and Its Recombinant Heavy-Chain Antibody Derivatives.
Kilisch M, Gere-Becker M, Wüstefeld L, Bonnas C, Crauel A, Mechmershausen M, Martens H, Götzke H, Opazo F, Frey S
International journal of molecular sciences (2023) 248: . N3783 WB, ICC, IHC-P; tested species: mouse,rat
Background

PSD95 (postsynaptic density protein 95 kDa, also called SAP 90: synapse associated protein of 90 kDa and DLG 4) is a component of postsynaptic densities in central synapses. It contains three PDZ domains. The first and second PDZ domain localizes NMDA receptors and K+ channels to synapses, the third binds to neuroligins which are neuronal cell adhesion molecules that interact with β-neurexins and form intercellular junctions. Thus different PDZ domains of PSD95 might be specialized for distinct functions. Read more: PSD95-antibody

Certificates

ISO 9001 2015 Quality Management System and Green Lab Platinum certification level for sustaining laboratory processes.

Newsletter

Sign up for our newsletter and get the latest updates and news.
 

Please provide a valid E-Mail-Address
Please provide a valid First name
Please provide a valid Last name