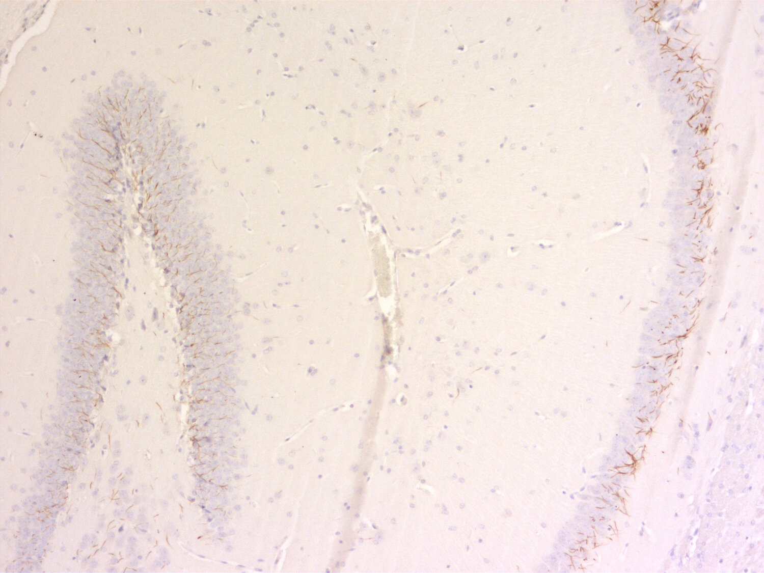
TRIM46 antibody - 377 308 K.O.

TRIM46 is involved in establishing neuronal polarity
Guinea pig monoclonal recombinant IgG
Cat. No.: 377 308
Amount: 50 µg
Price: $420.00
Cat. No. 377 308 50 µg purified recombinant IgG, lyophilized. Albumin and azide were added for stabilization. For reconstitution add 50 µl H2O to get a 1mg/ml solution in PBS. Then aliquot and store at -20°C to -80°C until use.
Antibodies should be stored at +4°C when still lyophilized. Do not freeze!
Applications
 
WB: not tested yet
IP: not tested yet
ICC: 1 : 500 gallery  
IHC: 1 : 1000 up to 1 : 2000 gallery  
IHC-P (FFPE): 1 : 1000 gallery  

Western blot (WB); separation of proteins by PAGE and subsequent transfer to a membrane. Detection of target molecules is carried out with antibodies. Some antibodies require special sample preparation steps. For details, please refer to the “Remarks” section.

Immunoprecipitation (IP); Immunoisolation or pulldown of a target molecule using an antibody. For details and product specific hints, please refer to the ”Remarks” section.

Immunocytochemistry (ICC) on 4% PFA fixed cells. Immunoreactivity is usually revealed by fluorescence. Some antibodies require special fixation methods. For details, please refer to the “Remarks” section.

Immunohistochemistry (IHC) on 4% PFA perfusion fixed tissue with 24h PFA post fixation. Immunoreactivity is usually revealed by fluorescence or a chromogenic substrate. Some antibodies require special fixation methods or antigen retrieval steps. For details, please refer to the ”Remarks” section.

Immunohistochemistry (IHC-P) of formalin fixed, paraffin embedded (FFPE) tissue (some antibodies require special antigen retrieval steps, please refer to the ”Remarks” section). Immunoreactivity is usually revealed by fluorescence or a chromogenic substrate.

Clone Gp264D12
Subtype IgG2 (κ light chain)
Immunogen Recombinant protein comprising a major part of the protein (UniProt Id: A0A0G2JXN2)
Epitop AA 1 to 114 from rat Trim46 (UniProt Id: A0A0G2JXN2)
Reactivity Reacts with: mouse (Q7TNM2), rat (A0A0G2JXN2).
Other species not tested yet.
Predicted to cross-react with human (Q7Z4K8) due to high sequence homology.
Specificity K.O. validated
Remarks

This antibody is a chimeric antibody based on the monoclonal mouse antibody clone 264D12. The constant regions of the heavy and light chains have been replaced by Guinea pig specific sequences. Therefore, the antibody can be used with standard anti-Guinea pig secondary reagents. The antibody has been expressed in mammalian cells.

Data sheet Datasheet 377_308

References for TRIM46 - 377 308

Hide-and-Seek genome editing reveals that Gephyrin is required for axo-axonic synapse assembly.
Ogawa Y, Nguyen DVM, Ogawa A, Rasband MN
Proceedings of the National Academy of Sciences of the United States of America (2025) 12232: e2500726122. 377 308 ICC; tested species: rat
A hierarchy of PDZ domain scaffolding proteins clusters the Kv1 K+ channel protein complex at the axon initial segment.
Zhang W, Palfini VL, Wu Y, Ding X, Melton AJ, Gao Y, Ogawa Y, Rasband MN
Science advances (2025) 1121: eadv1281. 377 308 ICC; tested species: rat
An evolutionarily conserved AnkyrinG-dependent motif clusters axonal K2P K+ channels.
Escobedo G, Wu Y, Ogawa Y, Ding X, Rasband MN
The Journal of cell biology (2024) 22310: . 377 308 ICC; tested species: rat
Cat. No.: 377 308
Amount: 50 µg
Price: $420.00
Hide-and-Seek genome editing reveals that Gephyrin is required for axo-axonic synapse assembly.
Ogawa Y, Nguyen DVM, Ogawa A, Rasband MN
Proceedings of the National Academy of Sciences of the United States of America (2025) 12232: e2500726122. 377 308 ICC; tested species: rat
A hierarchy of PDZ domain scaffolding proteins clusters the Kv1 K+ channel protein complex at the axon initial segment.
Zhang W, Palfini VL, Wu Y, Ding X, Melton AJ, Gao Y, Ogawa Y, Rasband MN
Science advances (2025) 1121: eadv1281. 377 308 ICC; tested species: rat
An evolutionarily conserved AnkyrinG-dependent motif clusters axonal K2P K+ channels.
Escobedo G, Wu Y, Ogawa Y, Ding X, Rasband MN
The Journal of cell biology (2024) 22310: . 377 308 ICC; tested species: rat
Background

The tripartite motif containing protein TRIM46, also referred to as TRIFIC, is a member of the C-I TRIM family, a subfamily of the RBCC (N-terminal RING finger/B-box/coiled coil)/TRIM superfamily.
TRIM46 localizes to newly specified axons and, at later stages, to the axon initial segment (AIS). By forming closely spaced parallel microtubule bundles it plays a crucial role in the initial polarization of neuronal cells.

Certificates

ISO 9001 2015 Quality Management System and Green Lab Platinum certification level for sustaining laboratory processes.

Newsletter

Sign up for our newsletter and get the latest updates and news.
 

Please provide a valid E-Mail-Address
Please provide a valid First name
Please provide a valid Last name