Tailor-made Antibodies
and Tools for Life Science
Home | | | | | Technical Support
- will be discontinued soon
Polyclonal antibodies are a finite resource. We have now started to sell the last lots of our well received rabbit polyclonal Abeta-pE3 antibody 218 003.

Abeta-pE3 antibody - 218 003

Abeta peptides are major components of neuritic plaques in Alzheimer's disease
Rabbit polyclonal purified antibody
Cat. No.: 218 003
Amount: 50 µg
Price: $380.00
Cat. No. 218 003 50 µg specific antibody, lyophilized. Affinity purified with the immunogen. Albumin and azide were added for stabilization. For reconstitution add 50 µl H2O to get a 1mg/ml solution in PBS. Then aliquot and store at -20°C to -80°C until use.
Antibodies should be stored at +4°C when still lyophilized. Do not freeze!
Applications
 
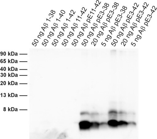
WB: 1 : 1000 (ECL detection) (see remarks) gallery  
IP: not tested yet
ICC: not tested yet
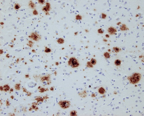
IHC: 1 : 500 (see remarks) gallery  
IHC-P: 1 : 200 (see remarks) gallery  

Western blot (WB); separation of proteins by PAGE and subsequent transfer to a membrane. Detection of target molecules is carried out with antibodies. Some antibodies require special sample preparation steps. For details, please refer to the “Remarks” section.

Immunoprecipitation (IP); Immunoisolation or pulldown of a target molecule using an antibody. For details and product specific hints, please refer to the ”Remarks” section.

Immunocytochemistry (ICC) on 4% PFA fixed cells. Immunoreactivity is usually revealed by fluorescence. Some antibodies require special fixation methods. For details, please refer to the “Remarks” section.

Immunohistochemistry (IHC) on 4% PFA perfusion fixed tissue with 24h PFA post fixation. Immunoreactivity is usually revealed by fluorescence or a chromogenic substrate. Some antibodies require special fixation methods or antigen retrieval steps. For details, please refer to the ”Remarks” section.

Immunohistochemistry (IHC-P) of formalin fixed, paraffin embedded (FFPE) tissue (some antibodies require special antigen retrieval steps, please refer to the ”Remarks” section). Immunoreactivity is usually revealed by fluorescence or a chromogenic substrate.

Immunogen Synthetic peptide corresponding to the amino terminal part of human Abeta-pE3 (UniProt Id: P05067)
Reactivity Reacts with: human (P05067), rat (P08592), mouse (P12023).
Other species not tested yet.
Specificity Specific for Abeta-pE3.
Remarks

WB: Due to the small size of this protein/peptide, we recommend a 16% Schaegger gel system.
Detects purified Abeta pE3. Complex samples like brain extracts still have to be tested.  Boil membrane in PBS after blotting for 3min.
IHC: Antigen retrieval with formic acid is required.
IHC-P: Antigen retrieval with citrate buffer pH 6, followed by formic acid treatment, is required for chromogenic detection.
For chromogenic detection, an optimized AGR time of 20 minutes is recommended for best results.

Data sheet Datasheet 218_003

References for Abeta-pE3 - 218 003

A Screen of Plant-Based Natural Products Revealed That Quercetin Prevents Pyroglutamylated Amyloid-β (Aβ3(pE)-42) Uptake in Astrocytes As Well As Resulting Astrogliosis and Synaptic Dysfunction.
Arndt H, Bachurski M, Yuanxiang P, Franke K, Wessjohann LA, Kreutz MR, Grochowska KM
Molecular neurobiology (2024) : . 218 003 WB, ICC; tested species: rat
Prion-like behaviour and tau-dependent cytotoxicity of pyroglutamylated amyloid-β.
Nussbaum JM, Schilling S, Cynis H, Silva A, Swanson E, Wangsanut T, Tayler K, Wiltgen B, Hatami A, Rönicke R, Reymann K, et al.
Nature (2012) 4857400: 651-5. 218 003 WB, IHC
A Screen of Plant-Based Natural Products Revealed That Quercetin Prevents Pyroglutamylated Amyloid-β (Aβ3(pE)-42) Uptake in Astrocytes As Well As Resulting Astrogliosis and Synaptic Dysfunction.
Arndt H, Bachurski M, Yuanxiang P, Franke K, Wessjohann LA, Kreutz MR, Grochowska KM
Molecular neurobiology (2024) : . 218 003 WB, ICC; tested species: rat
Posttranslational modification impact on the mechanism by which amyloid-β induces synaptic dysfunction.
Grochowska KM, Yuanxiang P, Bär J, Raman R, Brugal G, Sahu G, Schweizer M, Bikbaev A, Schilling S, Demuth HU, Kreutz MR, et al.
EMBO reports (2017) 186: 962-981. 218 003 ICC; tested species: rat
Novel Vaccine against Pathological Pyroglutamate-Modified Amyloid Beta for Prevention of Alzheimer's Disease.
Zagorski K, King O, Hovakimyan A, Petrushina I, Antonyan T, Chailyan G, Ghazaryan M, Hyrc KL, Chadarevian JP, Davtyan H, Blurton-Jones M, et al.
International journal of molecular sciences (2023) 2412: . 218 003 IHC; tested species: mouse
Brain pyroglutamate amyloid-β is produced by cathepsin B and is reduced by the cysteine protease inhibitor E64d, representing a potential Alzheimer's disease therapeutic.
Hook G, Yu J, Toneff T, Kindy M, Hook V
Journal of Alzheimer's disease : JAD (2014) 411: 129-49. 218 003 IHC; tested species: mouse
Glutaminyl cyclase in human cortex: correlation with (pGlu)-amyloid-β load and cognitive decline in Alzheimer's disease.
Morawski M, Schilling S, Kreuzberger M, Waniek A, Jäger C, Koch B, Cynis H, Kehlen A, Arendt T, Hartlage-Rübsamen M, Demuth HU, et al.
Journal of Alzheimer's disease : JAD (2014) 392: 385-400. 218 003 IHC; tested species: human
Glutaminyl cyclase-mediated toxicity of pyroglutamate-beta amyloid induces striatal neurodegeneration.
Becker A, Kohlmann S, Alexandru A, Jagla W, Canneva F, Bäuscher C, Cynis H, Sedlmeier R, Graubner S, Schilling S, Demuth HU, et al.
BMC neuroscience (2013) 14: 108. 218 003 IHC; tested species: human
Prion-like behaviour and tau-dependent cytotoxicity of pyroglutamylated amyloid-β.
Nussbaum JM, Schilling S, Cynis H, Silva A, Swanson E, Wangsanut T, Tayler K, Wiltgen B, Hatami A, Rönicke R, Reymann K, et al.
Nature (2012) 4857400: 651-5. 218 003 WB, IHC
Involvement of perineuronal and perisynaptic extracellular matrix in Alzheimer's disease neuropathology.
Morawski M, Brückner G, Jäger C, Seeger G, Matthews RT, Arendt T
Brain pathology (Zurich, Switzerland) (2012) 224: 547-61. 218 003 IHC; tested species: human
Selective hippocampal neurodegeneration in transgenic mice expressing small amounts of truncated Aβ is induced by pyroglutamate-Aβ formation.
Alexandru A, Jagla W, Graubner S, Becker A, Bäuscher C, Kohlmann S, Sedlmeier R, Raber KA, Cynis H, Rönicke R, Reymann KG, et al.
The Journal of neuroscience : the official journal of the Society for Neuroscience (2011) 3136: 12790-801. 218 003 IHC
Glutaminyl cyclase contributes to the formation of focal and diffuse pyroglutamate (pGlu)-Aβ deposits in hippocampus via distinct cellular mechanisms.
Hartlage-Rübsamen M, Morawski M, Waniek A, Jäger C, Zeitschel U, Koch B, Cynis H, Schilling S, Schliebs R, Demuth HU, Rossner S, et al.
Acta neuropathologica (2011) 1216: 705-19. 218 003 IHC
Cat. No.: 218 003
Amount: 50 µg
Price: $380.00
A Screen of Plant-Based Natural Products Revealed That Quercetin Prevents Pyroglutamylated Amyloid-β (Aβ3(pE)-42) Uptake in Astrocytes As Well As Resulting Astrogliosis and Synaptic Dysfunction.
Arndt H, Bachurski M, Yuanxiang P, Franke K, Wessjohann LA, Kreutz MR, Grochowska KM
Molecular neurobiology (2024) : . 218 003 WB, ICC; tested species: rat
Prion-like behaviour and tau-dependent cytotoxicity of pyroglutamylated amyloid-β.
Nussbaum JM, Schilling S, Cynis H, Silva A, Swanson E, Wangsanut T, Tayler K, Wiltgen B, Hatami A, Rönicke R, Reymann K, et al.
Nature (2012) 4857400: 651-5. 218 003 WB, IHC
A Screen of Plant-Based Natural Products Revealed That Quercetin Prevents Pyroglutamylated Amyloid-β (Aβ3(pE)-42) Uptake in Astrocytes As Well As Resulting Astrogliosis and Synaptic Dysfunction.
Arndt H, Bachurski M, Yuanxiang P, Franke K, Wessjohann LA, Kreutz MR, Grochowska KM
Molecular neurobiology (2024) : . 218 003 WB, ICC; tested species: rat
Posttranslational modification impact on the mechanism by which amyloid-β induces synaptic dysfunction.
Grochowska KM, Yuanxiang P, Bär J, Raman R, Brugal G, Sahu G, Schweizer M, Bikbaev A, Schilling S, Demuth HU, Kreutz MR, et al.
EMBO reports (2017) 186: 962-981. 218 003 ICC; tested species: rat
Novel Vaccine against Pathological Pyroglutamate-Modified Amyloid Beta for Prevention of Alzheimer's Disease.
Zagorski K, King O, Hovakimyan A, Petrushina I, Antonyan T, Chailyan G, Ghazaryan M, Hyrc KL, Chadarevian JP, Davtyan H, Blurton-Jones M, et al.
International journal of molecular sciences (2023) 2412: . 218 003 IHC; tested species: mouse
Brain pyroglutamate amyloid-β is produced by cathepsin B and is reduced by the cysteine protease inhibitor E64d, representing a potential Alzheimer's disease therapeutic.
Hook G, Yu J, Toneff T, Kindy M, Hook V
Journal of Alzheimer's disease : JAD (2014) 411: 129-49. 218 003 IHC; tested species: mouse
Glutaminyl cyclase in human cortex: correlation with (pGlu)-amyloid-β load and cognitive decline in Alzheimer's disease.
Morawski M, Schilling S, Kreuzberger M, Waniek A, Jäger C, Koch B, Cynis H, Kehlen A, Arendt T, Hartlage-Rübsamen M, Demuth HU, et al.
Journal of Alzheimer's disease : JAD (2014) 392: 385-400. 218 003 IHC; tested species: human
Glutaminyl cyclase-mediated toxicity of pyroglutamate-beta amyloid induces striatal neurodegeneration.
Becker A, Kohlmann S, Alexandru A, Jagla W, Canneva F, Bäuscher C, Cynis H, Sedlmeier R, Graubner S, Schilling S, Demuth HU, et al.
BMC neuroscience (2013) 14: 108. 218 003 IHC; tested species: human
Prion-like behaviour and tau-dependent cytotoxicity of pyroglutamylated amyloid-β.
Nussbaum JM, Schilling S, Cynis H, Silva A, Swanson E, Wangsanut T, Tayler K, Wiltgen B, Hatami A, Rönicke R, Reymann K, et al.
Nature (2012) 4857400: 651-5. 218 003 WB, IHC
Involvement of perineuronal and perisynaptic extracellular matrix in Alzheimer's disease neuropathology.
Morawski M, Brückner G, Jäger C, Seeger G, Matthews RT, Arendt T
Brain pathology (Zurich, Switzerland) (2012) 224: 547-61. 218 003 IHC; tested species: human
Selective hippocampal neurodegeneration in transgenic mice expressing small amounts of truncated Aβ is induced by pyroglutamate-Aβ formation.
Alexandru A, Jagla W, Graubner S, Becker A, Bäuscher C, Kohlmann S, Sedlmeier R, Raber KA, Cynis H, Rönicke R, Reymann KG, et al.
The Journal of neuroscience : the official journal of the Society for Neuroscience (2011) 3136: 12790-801. 218 003 IHC
Glutaminyl cyclase contributes to the formation of focal and diffuse pyroglutamate (pGlu)-Aβ deposits in hippocampus via distinct cellular mechanisms.
Hartlage-Rübsamen M, Morawski M, Waniek A, Jäger C, Zeitschel U, Koch B, Cynis H, Schilling S, Schliebs R, Demuth HU, Rossner S, et al.
Acta neuropathologica (2011) 1216: 705-19. 218 003 IHC
Background

Amyloid deposits, also called plaques, of Alzheimer's patients consist of several protein components like the amyloid beta-peptides (Abeta, ) 1-40/42 and additional C- and N-terminally truncated and modified fragments. Very abundant are the isoaspartate (isoAsp)-Abeta and pyroglutamyl (pGlu)-Abeta peptides. The latter are formed by cyclization of the N-terminal glutamate at position 3 or 11 catalyzed by glutaminyl cyclase (QC) resulting in very amyloidogenic and neurotoxic variants of Abeta; Abeta-pE3 and Abeta pE11.
In contrast to extracellular plaques that do not perfectly correlate with Alzheimer´s disease intraneuronal Abeta accumulation and vascular Abeta deposits have gained more and more evidence to be among the crucial factors responsible for progressive neuron loss.

Certificates

ISO 9001 2015 Quality Management System and Green Lab Platinum certification level for sustaining laboratory processes.

Newsletter

Sign up for our newsletter and get the latest updates and news.
 

Please provide a valid E-Mail-Address
Please provide a valid First name
Please provide a valid Last name