Tailor-made Antibodies
and Tools for Life Science
Home | | | | | Technical Support

VGLUT1 (SLC17A7) antibody - 135 302 K.O.

VGluT1 is a glutamate transporter in the membrane of synaptic vesicles
Rabbit polyclonal antiserum
Cat. No.: 135 302
Amount: 200 µl
Price: $365.00
Cat. No. 135 302 200 µl antiserum, lyophilized. For reconstitution add 200 µl H2O, then aliquot and store at -20°C until use.
Antibodies should be stored at +4°C when still lyophilized. Do not freeze!
Applications
 
WB: 1 : 1000 up to 1 : 10000 (AP staining) (see remarks) gallery  
IP: yes
ICC: 1 : 1000 up to 1 : 10000 gallery  
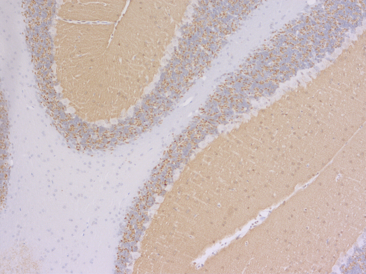
IHC: 1 : 500 up to 1 : 1000 gallery  
IHC-P (FFPE): 1 : 500 up to 1 : 5000 gallery  
ExM: external data (see remarks) gallery  

Western blot (WB); separation of proteins by PAGE and subsequent transfer to a membrane. Detection of target molecules is carried out with antibodies. Some antibodies require special sample preparation steps. For details, please refer to the “Remarks” section.

Immunoprecipitation (IP); Immunoisolation or pulldown of a target molecule using an antibody. For details and product specific hints, please refer to the ”Remarks” section.

Immunocytochemistry (ICC) on 4% PFA fixed cells. Immunoreactivity is usually revealed by fluorescence. Some antibodies require special fixation methods. For details, please refer to the “Remarks” section.

Immunohistochemistry (IHC) on 4% PFA perfusion fixed tissue with 24h PFA post fixation. Immunoreactivity is usually revealed by fluorescence or a chromogenic substrate. Some antibodies require special fixation methods or antigen retrieval steps. For details, please refer to the ”Remarks” section.

Immunohistochemistry (IHC-P) of formalin fixed, paraffin embedded (FFPE) tissue (some antibodies require special antigen retrieval steps, please refer to the ”Remarks” section). Immunoreactivity is usually revealed by fluorescence or a chromogenic substrate.

Expansion Microscopy (ExM) is a sample preparation and imaging method which employs a dense interconnected web of swellable polymer within a biological specimen. A significantly higher effective resolution can be achieved with a standard microscope setup. For additional experimental details, please refer to the Remarks section.

Immunogen Recombinant protein corresponding to residues near the carboxy terminus of rat VGLUT 1 (UniProt Id: Q62634)
Reactivity Reacts with: human (Q9P2U7), rat (Q62634), mouse (Q3TXX4), cow, goat, dog, sheep, ape.
Other species not tested yet.
Specificity K.O. validated
Matching control protein/peptide 135-3P
Remarks

This antibody is highly recommended as a marker for glutamatergic nerve terminals.
WB: To avoid protein aggregation, do not heat samples for SDS-PAGE.
ExM: This antibody has been successfully applied and published for this method by customers (see application-specific references).

Data sheet Datasheet 135_302

References for VGLUT1 - 135 302

A critical role of Neuroligin 2 C-terminus in OCD and social behavior.
Pandey S, Ostergren S, Li J, Peng S, Wang G, Tian Q, Dong L, Lu W
The Journal of neuroscience : the official journal of the Society for Neuroscience (2025) 4519: . 135 302 WB; tested species: mouse
Astragaloside IV ameliorates autism-like behaviors in BTBR mice by modulating Camk2n2-dependent OXPHOS and neurotransmission in the mPFC.
Chen M, Shi J, Liu T, Liu J, Liu Y, Li J, Luo Y, Luo J, Li X, Gong H, Fan X, et al.
Journal of advanced research (2025) : . 135 302 WB; tested species: mouse
The TrkC-PTPσ complex governs synapse maturation and anxiogenic avoidance via synaptic protein phosphorylation.
Khaled H, Ghasemi Z, Inagaki M, Patel K, Naito Y, Feller B, Yi N, Bourojeni FB, Lee AK, Chofflet N, Kania A, et al.
The EMBO journal (2024) : . 135 302 WB; tested species: mouse
Microglia mitochondrial complex I deficiency during development induces glial dysfunction and early lethality.
Mora-Romero B, Capelo-Carrasco N, Pérez-Moreno JJ, Alvarez-Vergara MI, Trujillo-Estrada L, Romero-Molina C, Martinez-Marquez E, Morano-Catalan N, Vizuete M, Lopez-Barneo J, Nieto-Gonzalez JL, et al.
Nature metabolism (2024) : . 135 302 WB; tested species: mouse
Adult-onset deactivation of autophagy leads to loss of synapse homeostasis and cognitive impairment, with implications for alzheimer disease.
Grosso Jasutkar H, Wasserlein EM, Ishola A, Litt N, Staniszewski A, Arancio O, Yamamoto A
Autophagy (2024) : 1-16. 135 302 WB; tested species: mouse
Postweaning Development Influences Endogenous VPAC1 Modulation of LTP Induced by Theta-Burst Stimulation: A Link to Maturation of the Hippocampal GABAergic System.
Gil M, Caulino-Rocha A, Bento M, Rodrigues NC, Silva-Cruz A, Ribeiro JA, Cunha-Reis D
Biomolecules (2024) 143: . 135 302 WB; tested species: rat
Suggestion of creatine as a new neurotransmitter by approaches ranging from chemical analysis and biochemistry to electrophysiology.
Bian X, Zhu J, Jia X, Liang W, Yu S, Li Z, Zhang W, Rao Y
eLife (2023) 12: . 135 302 WB; tested species: mouse
Presynapses contain distinct actin nanostructures.
Bingham D, Jakobs CE, Wernert F, Boroni-Rueda F, Jullien N, Schentarra EM, Friedl K, Da Costa Moura J, van Bommel DM, Caillol G, Ogawa Y, et al.
The Journal of cell biology (2023) 22210: . 135 302 WB; tested species: rat
Defective lipid signalling caused by mutations in PIK3C2B underlies focal epilepsy.
Gozzelino L, Kochlamazashvili G, Baldassari S, Mackintosh AI, Licchetta L, Iovino E, Liu YC, Bennett CA, Bennett MF, Damiano JA, Zsurka G, et al.
Brain : a journal of neurology (2022) 1457: 2313-2331. 135 302 WB, IHC; tested species: mouse
Cerebellar developmental deficits underlie neurodegenerative disorder spinocerebellar ataxia type 23.
Smeets CJLM, Ma KY, Fisher SE, Verbeek DS
Brain pathology (Zurich, Switzerland) (2021) 312: 239-252. 135 302 WB; tested species: mouse
Localization, proteomics, and metabolite profiling reveal a putative vesicular transporter for UDP-glucose.
Qian C, Wu Z, Sun R, Yu H, Zeng J, Rao Y, Li Y
eLife (2021) 10: . 135 302 WB; tested species: mouse
Vesicular Glutamate Transporters (SLCA17 A6, 7, 8) Control Synaptic Phosphate Levels.
Cheret C, Ganzella M, Preobraschenski J, Jahn R, Ahnert-Hilger G
Cell reports (2021) 342: 108623. 135 302 WB, ICC; tested species: human,mouse
A complement-microglial axis driving inhibitory synapse related protein loss might contribute to systemic inflammation-induced cognitive impairment.
Li SM, Li B, Zhang L, Zhang GF, Sun J, Ji MH, Yang JJ
International immunopharmacology (2020) 87: 106814. 135 302 WB, IHC; tested species: mouse
Mechanoceutics Alters Alzheimer's Disease Phenotypes in Transgenic Rats: A Pilot Study.
Tobey H, Lucas T, Paul S, Berr SS, Mehrkens B, Brolinson PG, Klein BG, Costa BM
Journal of Alzheimer's disease : JAD (2020) 742: 421-427. 135 302 WB; tested species: rat
GABA, but Not Bestrophin-1, Is Localized in Astroglial Processes in the Mouse Hippocampus and the Cerebellum.
Ormel L, Lauritzen KH, Schreiber R, Kunzelmann K, Gundersen V
Frontiers in molecular neuroscience (2020) 13: 135. 135 302 WB; tested species: mouse
Vesicle Tethering on the Surface of Phase-Separated Active Zone Condensates.
Wu X, Ganzella M, Zhou J, Zhu S, Jahn R, Zhang M
Molecular cell (2020) : . 135 302 WB
Protein changes in synaptosomes of Huntington's disease knock-in mice are dependent on age and brain region.
Sapp E, Seeley C, Iuliano M, Weisman E, Vodicka P, DiFiglia M, Kegel-Gleason KB
Neurobiology of disease (2020) 141: 104950. 135 302 WB; tested species: mouse
Merlin modulates process outgrowth and synaptogenesis in the cerebellum.
Toledo A, Lang F, Doengi M, Morrison H, Stein V, Baader SL
Brain structure & function (2019) : . 135 302 WB; tested species: mouse
SSRIs target prefrontal to raphe circuits during development modulating synaptic connectivity and emotional behavior.
Soiza-Reilly M, Meye FJ, Olusakin J, Telley L, Petit E, Chen X, Mameli M, Jabaudon D, Sze JY, Gaspar P
Molecular psychiatry (2018) : . 135 302 WB; tested species: mouse
Piperlongumine decreases cognitive impairment and improves hippocampal function in aged mice.
Go J, Park TS, Han GH, Park HY, Ryu YK, Kim YH, Hwang JH, Choi DH, Noh JR, Hwang DY, Kim S, et al.
International journal of molecular medicine (2018) 424: 1875-1884. 135 302 WB; tested species: mouse
VGLUT1 Binding to Endophilin or Intersectin1 and Dynamin Phosphorylation in a Diurnal Context.
Richter K, Schmutz I, Darna M, Zander JF, Chavan R, Albrecht U, Ahnert-Hilger G
Neuroscience (2018) 371: 29-37. 135 302 WB; tested species: mouse
IgSF21 promotes differentiation of inhibitory synapses via binding to neurexin2α.
Tanabe Y, Naito Y, Vasuta C, Lee AK, Soumounou Y, Linhoff MW, Takahashi H
Nature communications (2017) 81: 408. 135 302 WB
Regulation of the Hippocampal Network by VGLUT3-Positive CCK- GABAergic Basket Cells.
Fasano C, Rocchetti J, Pietrajtis K, Zander JF, Manseau F, Sakae DY, Marcus-Sells M, Ramet L, Morel LJ, Carrel D, Dumas S, et al.
Frontiers in cellular neuroscience (2017) 11: 140. 135 302 WB, IP; tested species: mouse
Humulus japonicus inhibits the progression of Alzheimer's disease in a APP/PS1 transgenic mouse model.
Park TS, Ryu YK, Park HY, Kim JY, Go J, Noh JR, Kim YH, Hwang JH, Choi DH, Oh WK, Lee CH, et al.
International journal of molecular medicine (2017) 391: 21-30. 135 302 WB
Olanzapine Reverses MK-801-Induced Cognitive Deficits and Region-Specific Alterations of NMDA Receptor Subunits.
Liu X, Li J, Guo C, Wang H, Sun Y, Wang H, Su YA, Li K, Si T
Frontiers in behavioral neuroscience (2017) 11: 260. 135 302 WB; tested species: rat
Molecular Dissection of Neuroligin 2 and Slitrk3 Reveals an Essential Framework for GABAergic Synapse Development.
Li J, Han W, Pelkey KA, Duan J, Mao X, Wang YX, Craig MT, Dong L, Petralia RS, McBain CJ, Lu W, et al.
Neuron (2017) 964: 808-826.e8. 135 302 WB; tested species: mouse
Cerebellar synaptogenesis is compromised in mouse models of DYT1 dystonia.
Vanni V, Puglisi F, Bonsi P, Ponterio G, Maltese M, Pisani A, Mandolesi G
Experimental neurology (2015) 271: 457-67. 135 302 WB, ICC, IHC; tested species: mouse
REST-Governed Gene Expression Profiling in a Neuronal Cell Model Reveals Novel Direct and Indirect Processes of Repression and Up-Regulation.
Garcia-Manteiga JM, Bonfiglio S, Folladori L, Malosio ML, Lazarevic D, Stupka E, Cittaro D, Meldolesi J
Frontiers in cellular neuroscience (2015) 9: 438. 135 302 WB
Distribution of SNAP25, VAMP1 and VAMP2 in mature and developing deep cerebellar nuclei after estrogen administration.
Manca P, Mameli O, Caria MA, Torrejón-Escribano B, Blasi J
Neuroscience (2014) 266: 102-15. 135 302 WB, IHC
Regulation of glutamate release by heteromeric nicotinic receptors in layer V of the secondary motor region (Fr2) in the dorsomedial shoulder of prefrontal cortex in mouse.
Aracri P, Amadeo A, Pasini ME, Fascio U, Becchetti A
Synapse (New York, N.Y.) (2013) 676: 338-57. 135 302 WB, IHC; tested species: mouse
Simultaneous monitoring of presynaptic transmitter release and postsynaptic receptor trafficking reveals an enhancement of presynaptic activity in metabotropic glutamate receptor-mediated long-term depression.
Xu W, Tse YC, Dobie FA, Baudry M, Craig AM, Wong TP, Wang YT
The Journal of neuroscience : the official journal of the Society for Neuroscience (2013) 3313: 5867-5877. 135 302 WB
CSPα knockout causes neurodegeneration by impairing SNAP-25 function.
Sharma M, Burré J, Bronk P, Zhang Y, Xu W, Südhof TC
The EMBO journal (2012) 314: 829-41. 135 302 WB; tested species: mouse
Neuronal and glial differentiation during lizard (Gallotia galloti) visual system ontogeny.
Romero-Alemán MM, Monzón-Mayor M, Santos E, Lang DM, Yanes C
The Journal of comparative neurology (2012) 52010: 2163-84. 135 302 WB, IHC
Differential sorting of the vesicular glutamate transporter 1 into a defined vesicular pool is regulated by light signaling involving the clock gene Period2.
Yelamanchili SV, Pendyala G, Brunk I, Darna M, Albrecht U, Ahnert-Hilger G
The Journal of biological chemistry (2006) 28123: 15671-9. 135 302 WB; tested species: mouse
Regulation of the Hippocampal Network by VGLUT3-Positive CCK- GABAergic Basket Cells.
Fasano C, Rocchetti J, Pietrajtis K, Zander JF, Manseau F, Sakae DY, Marcus-Sells M, Ramet L, Morel LJ, Carrel D, Dumas S, et al.
Frontiers in cellular neuroscience (2017) 11: 140. 135 302 WB, IP; tested species: mouse
Generation and Characterization of Anti-VGLUT Nanobodies Acting as Inhibitors of Transport.
Schenck S, Kunz L, Sahlender D, Pardon E, Geertsma ER, Savtchouk I, Suzuki T, Neldner Y, Štefanić S, Steyaert J, Volterra A, et al.
Biochemistry (2017) 5630: 3962-3971. 135 302 IP, ICC; tested species: mouse,rat
Microglia drive synaptic and functional connectivity deficits in the Ts65Dn mouse model of Down syndrome by affecting inhibition.
Tiberi A, Montagni E, Borgonovo G, Coulomb E, Restani L, Mascaro ALA, Capsoni S, Cattaneo A
Acta neuropathologica communications (2025) 141: 21. 135 302 ICC; tested species: mouse
Conversion of glioma cells into neuron-like cells by small molecules.
Yi Y, Che W, Xu P, Mao C, Li Z, Wang Q, Lyu J, Wang X
iScience (2024) 2711: 111091. 135 302 ICC; tested species: human
miRNA-mediated control of gephyrin synthesis drives sustained inhibitory synaptic plasticity.
Welle TM, Rajgor D, Kareemo DJ, Garcia JD, Zych SM, Wolfe SE, Gookin SE, Martinez TP, Dell'Acqua ML, Ford CP, Kennedy MJ, et al.
EMBO reports (2024) 2511: 5141-5168. 135 302 ICC; tested species: rat
Subtype-specific neurons from patient iPSCs display distinct neuropathological features of Alzheimer's disease.
Tao R, Yue C, Guo Z, Guo W, Yao Y, Yang X, Shao Z, Gao C, Ding J, Shen L, Chen S, et al.
Cell regeneration (London, England) (2024) 131: 21. 135 302 ICC; tested species: human
ZCCHC17 knockdown phenocopies Alzheimer's disease-related loss of synaptic proteins and hyperexcitability.
Cortese GP, Bartosch AMW, Xiao H, Gribkova Y, Lam TG, Argyrousi EK, Sivakumar S, Cardona C, Teich AF
Journal of neuropathology and experimental neurology (2024) : . 135 302 ICC; tested species: rat
Forskolin-driven conversion of human somatic cells into induced neurons through regulation of the cAMP-CREB1-JNK signaling.
Wang G, Zhang D, Qin L, Liu Q, Tang W, Liu M, Xu F, Tang F, Cheng L, Mo H, Yuan X, et al.
Theranostics (2024) 144: 1701-1719. 135 302 ICC; tested species: human
Programming of neural progenitors of the adult subependymal zone towards a glutamatergic neuron lineage by neurogenin 2.
Péron S, Miyakoshi LM, Brill MS, Manzano-Franco D, Serrano-López J, Fan W, Marichal N, Ghanem A, Conzelmann KK, Karow M, Ortega F, et al.
Stem cell reports (2023) : . 135 302 ICC; tested species: mouse
Developmental Pb exposure increases AD risk via altered intracellular Ca2+ homeostasis in hiPSC-derived cortical neurons.
Xie J, Wu S, Szadowski H, Min S, Yang Y, Bowman AB, Rochet JC, Freeman JL, Yuan C
The Journal of biological chemistry (2023) : 105023. 135 302 ICC; tested species: human
Multivesicular release favors short term synaptic depression in hippocampal autapses.
Martínez San Segundo P, Terni B, Llobet A
Frontiers in cellular neuroscience (2023) 17: 1057242. 135 302 ICC; tested species: rat
Reproducible and scalable differentiation of highly pure cortical neurons from human induced pluripotent stem cells.
Dannert A, Klimmt J, Cardoso Gonçalves C, Crusius D, Paquet D
STAR protocols (2023) 42: 102266. 135 302 ICC; tested species: human
Mutations in the transcriptional regulator MeCP2 severely impact key cellular and molecular signatures of human astrocytes during maturation.
Sun J, Osenberg S, Irwin A, Ma LH, Lee N, Xiang Y, Li F, Wan YW, Park IH, Maletic-Savatic M, Ballas N, et al.
Cell reports (2023) 421: 111942. 135 302 ICC, IHC; tested species: human
Population-based high-throughput toxicity screen of human iPSC-derived cardiomyocytes and neurons.
Huang CY, Nicholson MW, Wang JY, Ting CY, Tsai MH, Cheng YC, Liu CL, Chan DZH, Lee YC, Hsu CC, Hsu YH, et al.
Cell reports (2022) 391: 110643. 135 302 ICC; tested species: human
Endosomal phosphatidylinositol 3-phosphate controls synaptic vesicle cycling and neurotransmission.
Liu GT, Kochlamazashvili G, Puchkov D, Müller R, Schultz C, Mackintosh AI, Vollweiter D, Haucke V, Soykan T
The EMBO journal (2022) : e109352. 135 302 ICC; tested species: rat
Disruption of mTORC1 rescues neuronal overgrowth and synapse function dysregulated by Pten loss.
Tariq K, Cullen E, Getz SA, Conching AKS, Goyette AR, Prina ML, Wang W, Li M, Weston MC, Luikart BW
Cell reports (2022) 415: 111574. 135 302 ICC; tested species: mouse
α-Synuclein induced cholesterol lowering increases tonic and reduces depolarization-evoked synaptic vesicle recycling and glutamate release.
Lazarevic V, Yang Y, Paslawski W, Svenningsson P
NPJ Parkinson's disease (2022) 81: 71. 135 302 ICC; tested species: mouse
A bidirectional switch in the Shank3 phosphorylation state biases synapses toward up- or downscaling.
Wu CH, Tatavarty V, Jean Beltran PM, Guerrero AA, Keshishian H, Krug K, MacMullan MA, Li L, Carr SA, Cottrell JR, Turrigiano GG, et al.
eLife (2022) 11: . 135 302 ICC; tested species: rat
Dyshomeostatic modulation of Ca2+-activated K+ channels in a human neuronal model of KCNQ2 encephalopathy.
Simkin D, Marshall KA, Vanoye CG, Desai RR, Bustos BI, Piyevsky BN, Ortega JA, Forrest M, Robertson GL, Penzes P, Laux LC, et al.
eLife (2021) 10: . 135 302 ICC; tested species: human
Combining low-density cell culture, single-cell tracking, and patch-clamp to monitor the behavior of postnatal murine cerebellar neural stem cells.
Menéndez-Méndez A, Paniagua-Herranz L, Olivos-Oré LA, Gómez-Villafuertes R, Pérez-Sen R, Delicado EG, Artalejo AR, Ortega F
STAR protocols (2021) 24: 100964. 135 302 ICC; tested species: mouse
Single cell RNA sequencing detects persistent cell type- and methylmercury exposure paradigm-specific effects in a human cortical neurodevelopmental model.
Diana Neely M, Xie S, Prince LM, Kim H, Tukker AM, Aschner M, Thimmapuram J, Bowman AB
Food and chemical toxicology : an international journal published for the British Industrial Biological Research Association (2021) 154: 112288. 135 302 ICC; tested species: human
Hyperexcitability and pharmacological responsiveness of cortical neurons derived from human iPSCs carrying epilepsy-associated sodium channel Nav1.2-L1342P genetic variant.
Que Z, Olivero-Acosta MI, Zhang J, Eaton M, Tukker AM, Chen X, Wu J, Xie J, Xiao T, Wettschurack K, Yunis L, et al.
The Journal of neuroscience : the official journal of the Society for Neuroscience (2021) : . 135 302 ICC; tested species: human
Age-dependent instability of mature neuronal fate in induced neurons from Alzheimer's patients.
Mertens J, Herdy JR, Traxler L, Schafer ST, Schlachetzki JCM, Böhnke L, Reid DA, Lee H, Zangwill D, Fernandes DP, Agarwal RK, et al.
Cell stem cell (2021) : . 135 302 ICC; tested species: human
Cell-type-specific profiling of human cellular models of fragile X syndrome reveal PI3K-dependent defects in translation and neurogenesis.
Raj N, McEachin ZT, Harousseau W, Zhou Y, Zhang F, Merritt-Garza ME, Taliaferro JM, Kalinowska M, Marro SG, Hales CM, Berry-Kravis E, et al.
Cell reports (2021) 352: 108991. 135 302 ICC; tested species: human
Protocol for generating human induced neural progenitor cells from immobilized adult peripheral blood.
Zhang T, Tao R, Yue C, Jing N
STAR protocols (2021) 21: 100346. 135 302 ICC; tested species: human
Vesicular Glutamate Transporters (SLCA17 A6, 7, 8) Control Synaptic Phosphate Levels.
Cheret C, Ganzella M, Preobraschenski J, Jahn R, Ahnert-Hilger G
Cell reports (2021) 342: 108623. 135 302 WB, ICC; tested species: human,mouse
Disentangling the roles of RIM and Munc13 in synaptic vesicle localization and neurotransmission.
Zarebidaki F, Camacho M, Brockmann MM, Trimbuch T, Herman MA, Rosenmund C
The Journal of neuroscience : the official journal of the Society for Neuroscience (2020) : . 135 302 ICC; tested species: mouse
Post-tetanic potentiation lowers the energy barrier for synaptic vesicle fusion independently of Synaptotagmin-1.
Huson V, Meijer M, Dekker R, Ter Veer M, Ruiter M, van Weering JR, Verhage M, Cornelisse LN
eLife (2020) 9: . 135 302 ICC; tested species: mouse
Neuronal defects in a human cellular model of 22q11.2 deletion syndrome.
Khan TA, Revah O, Gordon A, Yoon SJ, Krawisz AK, Goold C, Sun Y, Kim CH, Tian Y, Li MY, Schaepe JM, et al.
Nature medicine (2020) : . 135 302 ICC; tested species: human
VAMP4 maintains a Ca2+-sensitive pool of spontaneously recycling synaptic vesicles.
Lin PY, Chanaday NL, Horvath PM, Ramirez DMO, Monteggia LM, Kavalali ET
The Journal of neuroscience : the official journal of the Society for Neuroscience (2020) : . 135 302 ICC; tested species: rat
Imbalance of Excitatory/Inhibitory Neuron Differentiation in Neurodevelopmental Disorders with an NR2F1 Point Mutation.
Zhang K, Yu F, Zhu J, Han S, Chen J, Wu X, Chen Y, Shen T, Liao J, Guo W, Yang X, et al.
Cell reports (2020) 313: 107521. 135 302 ICC; tested species: human
Genetic inactivation of mTORC1 or mTORC2 in neurons reveals distinct functions in glutamatergic synaptic transmission.
McCabe MP, Cullen ER, Barrows CM, Shore AN, Tooke KI, Laprade KA, Stafford JM, Weston MC
eLife (2020) 9: . 135 302 ICC; tested species: mouse
Distinct Pathogenic Genes Causing Intellectual Disability and Autism Exhibit a Common Neuronal Network Hyperactivity Phenotype.
Frega M, Selten M, Mossink B, Keller JM, Linda K, Moerschen R, Qu J, Koerner P, Jansen S, Oudakker A, Kleefstra T, et al.
Cell reports (2020) 301: 173-186.e6. 135 302 ICC; tested species: rat
Conversion of Astrocytes and Fibroblasts into Functional Noradrenergic Neurons.
Li S, Shi Y, Yao X, Wang X, Shen L, Rao Z, Yuan J, Liu Y, Zhou Z, Zhang Z, Liu F, et al.
Cell reports (2019) 283: 682-697.e7. 135 302 ICC; tested species: mouse
An Autaptic Culture System for Standardized Analyses of iPSC-Derived Human Neurons.
Rhee HJ, Shaib AH, Rehbach K, Lee C, Seif P, Thomas C, Gideons E, Guenther A, Krutenko T, Hebisch M, Peitz M, et al.
Cell reports (2019) 277: 2212-2228.e7. 135 302 ICC; tested species: human
Synaptic weight set by Munc13-1 supramolecular assemblies.
Sakamoto H, Ariyoshi T, Kimpara N, Sugao K, Taiko I, Takikawa K, Asanuma D, Namiki S, Hirose K
Nature neuroscience (2018) 211: 41-49. 135 302 ICC; tested species: rat
Bassoon Controls Presynaptic Autophagy through Atg5.
Okerlund ND, Schneider K, Leal-Ortiz S, Montenegro-Venegas C, Kim SA, Garner LC, Waites CL, Gundelfinger ED, Reimer RJ, Garner CC
Neuron (2018) 973: 727. 135 302 ICC; tested species: mouse
Proteolytic Processing of Neurexins by Presenilins Sustains Synaptic Vesicle Release.
Servián-Morilla E, Robles-Lanuza E, Sánchez-Hidalgo AC, Camacho-Garcia RJ, Paez-Gomez JA, Mavillard F, Saura CA, Martinez-Mir A, Scholl FG
The Journal of neuroscience : the official journal of the Society for Neuroscience (2018) 384: 901-917. 135 302 ICC; tested species: mouse
Direct pericyte-to-neuron reprogramming via unfolding of a neural stem cell-like program.
Karow M, Camp JG, Falk S, Gerber T, Pataskar A, Gac-Santel M, Kageyama J, Brazovskaja A, Garding A, Fan W, Riedemann T, et al.
Nature neuroscience (2018) : . 135 302 ICC; tested species: human
Cardiolipin exposure on the outer mitochondrial membrane modulates α-synuclein.
Ryan T, Bamm VV, Stykel MG, Coackley CL, Humphries KM, Jamieson-Williams R, Ambasudhan R, Mosser DD, Lipton SA, Harauz G, Ryan SD, et al.
Nature communications (2018) 91: 817. 135 302 ICC; tested species: human
A Chemical Recipe for Generation of Clinical-Grade Striatal Neurons from hESCs.
Wu M, Zhang D, Bi C, Mi T, Zhu W, Xia L, Teng Z, Hu B, Wu Y
Stem cell reports (2018) : . 135 302 ICC; tested species: human
Psoralidin Stimulates Expression of Immediate-Early Genes and Synapse Development in Primary Cortical Neurons.
Hwang S, Lee SE, Ahn SG, Lee GH
Neurochemical research (2018) : . 135 302 ICC; tested species: mouse
PTEN Loss Increases the Connectivity of Fast Synaptic Motifs and Functional Connectivity in a Developing Hippocampal Network.
Barrows CM, McCabe MP, Chen H, Swann JW, Weston MC
The Journal of neuroscience : the official journal of the Society for Neuroscience (2017) 3736: 8595-8611. 135 302 ICC; tested species: mouse
Bassoon Controls Presynaptic Autophagy through Atg5.
Okerlund ND, Schneider K, Leal-Ortiz S, Montenegro-Venegas C, Kim SA, Garner LC, Waites CL, Gundelfinger ED, Reimer RJ, Garner CC
Neuron (2017) 934: 897-913.e7. 135 302 ICC; tested species: mouse
Direct Reprogramming of Fibroblasts via a Chemically Induced XEN-like State.
Li X, Liu D, Ma Y, Du X, Jing J, Wang L, Xie B, Sun D, Sun S, Jin X, Zhang X, et al.
Cell stem cell (2017) 212: 264-273.e7. 135 302 ICC; tested species: mouse
Generation and Characterization of Anti-VGLUT Nanobodies Acting as Inhibitors of Transport.
Schenck S, Kunz L, Sahlender D, Pardon E, Geertsma ER, Savtchouk I, Suzuki T, Neldner Y, Štefanić S, Steyaert J, Volterra A, et al.
Biochemistry (2017) 5630: 3962-3971. 135 302 IP, ICC; tested species: mouse,rat
Glutamate and GABA in Vestibulo-Sympathetic Pathway Neurons.
Holstein GR, Friedrich VL, Martinelli GP
Frontiers in neuroanatomy (2016) 10: 7. 135 302 ICC
Optogenetic acidification of synaptic vesicles and lysosomes.
Rost BR, Schneider F, Grauel MK, Wozny C, Bentz C, Blessing A, Rosenmund T, Jentsch TJ, Schmitz D, Hegemann P, Rosenmund C, et al.
Nature neuroscience (2015) 1812: 1845-1852. 135 302 ICC; tested species: rat
Cerebellar synaptogenesis is compromised in mouse models of DYT1 dystonia.
Vanni V, Puglisi F, Bonsi P, Ponterio G, Maltese M, Pisani A, Mandolesi G
Experimental neurology (2015) 271: 457-67. 135 302 WB, ICC, IHC; tested species: mouse
A local, periactive zone endocytic machinery at photoreceptor synapses in close vicinity to synaptic ribbons.
Wahl S, Katiyar R, Schmitz F
The Journal of neuroscience : the official journal of the Society for Neuroscience (2013) 3325: 10278-300. 135 302 ICC
Efficient synaptic vesicle recycling after intense exocytosis concomitant with the accumulation of non-releasable endosomes at early developmental stages.
Bartolomé-Martín D, Ramírez-Franco J, Castro E, Sánchez-Prieto J, Torres M
Journal of cell science (2012) 125Pt 2: 422-34. 135 302 ICC; tested species: rat
Postsynaptic TrkC and presynaptic PTPσ function as a bidirectional excitatory synaptic organizing complex.
Takahashi H, Arstikaitis P, Prasad T, Bartlett TE, Wang YT, Murphy TH, Craig AM
Neuron (2011) 692: 287-303. 135 302 ICC; tested species: rat
Directing astroglia from the cerebral cortex into subtype specific functional neurons.
Heinrich C, Blum R, Gascón S, Masserdotti G, Tripathi P, Sánchez R, Tiedt S, Schroeder T, Götz M, Berninger B
PLoS biology (2010) 85: e1000373. 135 302 ICC
Cellular phenotypes of human model neurons (NT2) after differentiation in aggregate culture.
Podrygajlo G, Tegenge MA, Gierse A, Paquet-Durand F, Tan S, Bicker G, Stern M
Cell and tissue research (2009) 3363: 439-52. 135 302 ICC; tested species: human
Differential targeting of the L-type Ca2+ channel alpha 1C (CaV1.2) to synaptic and extrasynaptic compartments in hippocampal neurons.
Obermair GJ, Szabo Z, Bourinet E, Flucher BE
The European journal of neuroscience (2004) 198: 2109-22. 135 302 ICC; tested species: mouse
Dopamine neurons in culture express VGLUT2 explaining their capacity to release glutamate at synapses in addition to dopamine.
Dal Bo G, St-Gelais F, Danik M, Williams S, Cotton M, Trudeau LE
Journal of neurochemistry (2004) 886: 1398-405. 135 302 ICC; tested species: rat
Remodeling synaptic connections via engineered neuron-astrocyte interactions.
Kim SH, Won W, Kim GH, Kook YH, Son S, Choi S, Kang DY, Park MG, Choi YJ, Won SS, Shin J, et al.
Nature communications (2026) 171: . 135 302 IHC; tested species: mouse
Perinatal bisphenols combined exposure caused working memory impairment by disturbing the ventral hippocampus-medial prefrontal cortex circuit.
Lin N, Li Z, Zhang L, Tang H, Feng Y, Zhu X, Liu H, Wang M, Hu F
Ecotoxicology and environmental safety (2026) 316: 120126. 135 302 IHC; tested species: mouse
Single-cell proteomic landscape of the developing human brain.
Wu T, Jiang L, Mukhtar T, Wang L, Jian R, Wang C, Trinh T, Kriegstein AR, Snyder M, Li J
Nature biotechnology (2026) : . 135 302 IHC; tested species: human
A glycolytic shunt via the pentose phosphate pathway is a metabolic checkpoint for nervous system sensory homeostasis and axonal regeneration.
Song Y, Luengo-Gutierrez L, Sagi-Kiss V, Kong G, Huang H, Steinruecke M, Zhou L, Yuan Z, De Virgiliis F, Pap I, Decourt C, et al.
Cell (2026) : . 135 302 IHC; tested species: mouse
Disturbed engram network caused by NPTX downregulation underlies aging-related contextual fear memory deficits.
Jin T, Yang Y, Guo Y, Zhang Y, Le Q, Huang N, Liu X, Yu J, Ma L, Wang F
Cell research (2025) : . 135 302 IHC; tested species: mouse
Magnetically reshapable 3D multi-electrode arrays of liquid metals for electrophysiological analysis of brain organoids.
Kim E, Jeong E, Hong YM, Jeong I, Kim J, Kwon YW, Park YG, Lee J, Choi S, Kim JY, Lee JH, et al.
Nature communications (2025) 161: 2011. 135 302 IHC; tested species: human
Astroglial modulation of synaptic function in the non-demyelinated cerebellar cortex is dependent on MyD88 signaling in a model of toxic demyelination.
Lohrberg M, Mortensen LS, Thomas C, Fries F, van der Meer F, Götz A, Landt C, Rhee HJ, Rhee J, Gómez-Varela D, Schmidt M, et al.
Journal of neuroinflammation (2025) 221: 47. 135 302 IHC; tested species: mouse
Early-life stress of limited bedding/nesting material induced recognition memory loss and decreased hippocampal VGluT1 and nectin3 levels in aged male mice.
He ZC, Yu YJ, Wang T, Yin HR, Sun YX, Liu X, Xie XM, Wang HL, Su YA, Li JT, Si TM, et al.
Pharmacology, biochemistry, and behavior (2025) 249: 173980. 135 302 IHC; tested species: mouse
Decreased excitatory and increased inhibitory transmission in the hippocampal CA1 drive neuroinflammation-induced cognitive impairments in mice.
Wu XM, Shi CN, Liu K, Hu XY, He QL, Yao H, Fan D, Ma DQ, Yang JJ, Shen JC, Ji MH, et al.
Brain, behavior, and immunity (2025) 128: 416-428. 135 302 IHC; tested species: mouse
Pathogenic UNC13A variants cause a neurodevelopmental syndrome by impairing synaptic function.
Asadollahi R, Ahmad A, Boonsawat P, Shahanoor Hinzen J, Lohse M, Bouazza-Arostegui B, Sun S, Utesch T, Sommer JD, Ilic D, Padmanarayana M, et al.
Nature genetics (2025) 5711: 2691-2704. 135 302 IHC; tested species: mouse
miR-199a functions downstream of MeCP2 in neurons of MECP2 duplication syndrome models.
Akaba Y, Takahashi S, Adachi S, Nishimura M, Suzuki K, Nakashima H, Nakashima K, Kira R, Chong PF, Sakai Y, Hayashi Y, et al.
iScience (2025) 2811: 113789. 135 302 IHC; tested species: mouse
PKCγ-mediated Phosphorylation of Mtss1 Regulates the Dendritic Outgrowth and Spine Development of Cerebellar Purkinje Cells.
Torrents-Solé P, Sziber Z, Shimobayashi E, Kapfhammer JP
Molecular neurobiology (2025) 631: 168. 135 302 IHC; tested species: mouse
Creation of a novel CRISPR-generated allele to express HA epitope-tagged C1QL1 and improved methods for its detection at synapses.
Cheung HW, Schouw AD, Altunay ZM, Maddox JW, Kresic LC, McAllister BC, Caro K, Alam S, Huang A, Pijewski RS, Lee A, et al.
FEBS letters (2024) : . 135 302 IHC; tested species: mouse
4'-fluorocannabidiol associated with capsazepine restrains L-DOPA-induced dyskinesia in hemiparkinsonian mice: Contribution of anti-inflammatory and anti-glutamatergic mechanisms.
Dos Santos Pereira M, Dias de Abreu GH, Vanderlei LCA, Raisman-Vozari R, Guimarães FS, Lu HC, Michel PP, Del Bel E
Neuropharmacology (2024) 251: 109926. 135 302 IHC; tested species: mouse
Synaptic mechanisms for associative learning in the cerebellar nuclei.
Broersen R, Albergaria C, Carulli D, Carey MR, Canto CB, De Zeeuw CI
Nature communications (2023) 141: 7459. 135 302 IHC; tested species: mouse
Mutations in the transcriptional regulator MeCP2 severely impact key cellular and molecular signatures of human astrocytes during maturation.
Sun J, Osenberg S, Irwin A, Ma LH, Lee N, Xiang Y, Li F, Wan YW, Park IH, Maletic-Savatic M, Ballas N, et al.
Cell reports (2023) 421: 111942. 135 302 ICC, IHC; tested species: human
Reduced inhibitory and excitatory input onto parvalbumin interneurons mediated by perineuronal net might contribute to cognitive impairments in a mouse model of sepsis-associated encephalopathy.
Zhang L, Gao YZ, Zhao CJ, Xia JY, Yang JJ, Ji MH
Neuropharmacology (2023) 225: 109382. 135 302 IHC; tested species: mouse
Glutamatergic cerebellar neurons differentially contribute to the acquisition of motor and social behaviors.
van der Heijden ME, Rey Hipolito AG, Kim LH, Kizek DJ, Perez RM, Lin T, Sillitoe RV
Nature communications (2023) 141: 2771. 135 302 IHC; tested species: mouse
Loss of the parkinsonism-associated protein FBXO7 in glutamatergic forebrain neurons in mice leads to abnormal motor behavior and synaptic defects.
Wang J, Joseph S, Vingill S, Dere E, Tatenhorst L, Ronnenberg A, Lingor P, Preisinger C, Ehrenreich H, Schulz JB, Stegmüller J, et al.
Journal of neurochemistry (2023) : . 135 302 IHC; tested species: mouse
Heterogeneous complement and microglia activation mediates stress-induced synapse loss.
Soteros BM, Tillmon H, Wollet M, General J, Chin H, Lee JB, Carreno FR, Morilak DA, Kim JH, Sia GM
bioRxiv : the preprint server for biology (2023) : . 135 302 IHC; tested species: mouse
Trem2 expression in microglia is required to maintain normal neuronal bioenergetics during development.
Tagliatti E, Desiato G, Mancinelli S, Bizzotto M, Gagliani MC, Faggiani E, Hernández-Soto R, Cugurra A, Poliseno P, Miotto M, Argüello RJ, et al.
Immunity (2023) : . 135 302 IHC; tested species: mouse
Phospholipid scramblase Xkr8 is required for developmental axon pruning via phosphatidylserine exposure.
Neniskyte U, Kuliesiute U, Vadisiute A, Jevdokimenko K, Coletta L, Deivasigamani S, Pamedytyte D, Daugelaviciene N, Dabkeviciene D, Perlas E, Bali A, et al.
The EMBO journal (2023) 4214: e111790. 135 302 IHC; tested species: mouse
Synaptic circuits involving gastrin-releasing peptide receptor-expressing neurons in the dorsal horn of the mouse spinal cord.
Quillet R, Gutierrez-Mecinas M, Polgár E, Dickie AC, Boyle KA, Watanabe M, Todd AJ
Frontiers in molecular neuroscience (2023) 16: 1294994. 135 302 IHC; tested species: mouse
Massive Loss of Proprioceptive Ia Synapses in Rat Spinal Motoneurons after Nerve Crush Injuries in the Postnatal Period.
Arbat-Plana A, Bolívar S, Navarro X, Udina E, Alvarez FJ
eNeuro (2023) 102: . 135 302 IHC; tested species: rat
Spatiotemporal transcriptome atlas reveals the regional specification of the developing human brain.
Li Y, Li Z, Wang C, Yang M, He Z, Wang F, Zhang Y, Li R, Gong Y, Wang B, Fan B, et al.
Cell (2023) 18626: 5892-5909.e22. 135 302 IHC; tested species: human,mouse
Glutamatergic transmission and receptor expression in the synucleinopathy h-α-synL62 mouse model: Effects of hydromethylthionine.
Schwab K, Chasapopoulou Z, Frahm S, Magbagbeolu M, Cranston A, Harrington CR, Wischik CM, Theuring F, Riedel G
Cellular signalling (2022) 97: 110386. 135 302 IHC; tested species: mouse
When the front fails, the rear wins. Cerebellar correlates of prefrontal dysfunction in cocaine-induced memory in male rats.
Guarque-Chabrera J, Gil-Miravet I, Olucha-Bordonau F, Melchor-Eixea I, Miquel M
Progress in neuro-psychopharmacology & biological psychiatry (2022) 112: 110429. 135 302 IHC; tested species: rat
The neurons that restore walking after paralysis.
Kathe C, Skinnider MA, Hutson TH, Regazzi N, Gautier M, Demesmaeker R, Komi S, Ceto S, James ND, Cho N, Baud L, et al.
Nature (2022) 6117936: 540-547. 135 302 IHC; tested species: mouse
mTORC2 inhibition improves morphological effects of PTEN loss, but does not correct synaptic dysfunction or prevent seizures.
Cullen ER, Tariq K, Shore AN, Luikart BW, Weston MC
The Journal of neuroscience : the official journal of the Society for Neuroscience (2022) : . 135 302 IHC; tested species: mouse
CBP/p300 activation promotes axon growth, sprouting, and synaptic plasticity in chronic experimental spinal cord injury with severe disability.
Müller F, De Virgiliis F, Kong G, Zhou L, Serger E, Chadwick J, Sanchez-Vassopoulos A, Singh AK, Eswaramoorthy M, Kundu TK, Di Giovanni S, et al.
PLoS biology (2022) 209: e3001310. 135 302 IHC; tested species: mouse
Defective lipid signalling caused by mutations in PIK3C2B underlies focal epilepsy.
Gozzelino L, Kochlamazashvili G, Baldassari S, Mackintosh AI, Licchetta L, Iovino E, Liu YC, Bennett CA, Bennett MF, Damiano JA, Zsurka G, et al.
Brain : a journal of neurology (2022) 1457: 2313-2331. 135 302 WB, IHC; tested species: mouse
Concerted type I interferon signaling in microglia and neural cells promotes memory impairment associated with amyloid β plaques.
Roy ER, Chiu G, Li S, Propson NE, Kanchi R, Wang B, Coarfa C, Zheng H, Cao W
Immunity (2022) 555: 879-894.e6. 135 302 IHC; tested species: mouse
Alpha-Synuclein is Involved in DYT1 Dystonia Striatal Synaptic Dysfunction.
Ponterio G, Faustini G, El Atiallah I, Sciamanna G, Meringolo M, Tassone A, Imbriani P, Cerri S, Martella G, Bonsi P, Bellucci A, et al.
Movement disorders : official journal of the Movement Disorder Society (2022) : . 135 302 IHC; tested species: mouse
Differential vulnerability of adult neurogenic niches to dosage of the neurodevelopmental-disorder linked gene Foxg1.
Schäffner I, Wittmann MT, Vogel T, Lie DC
Molecular psychiatry (2022) : . 135 302 IHC; tested species: mouse
Oligophrenin-1 moderates behavioral responses to stress by regulating parvalbumin interneuron activity in the medial prefrontal cortex.
Wang M, Gallo NB, Tai Y, Li B, Van Aelst L
Neuron (2021) 10910: 1636-1656.e8. 135 302 IHC; tested species: mouse
Integrating pheromonal and spatial information in the amygdalo-hippocampal network.
Villafranca-Faus M, Vila-Martín ME, Esteve D, Merino E, Teruel-Sanchis A, Cervera-Ferri A, Martínez-Ricós J, Lloret A, Lanuza E, Teruel-Martí V
Nature communications (2021) 121: 5286. 135 302 IHC; tested species: mouse
Role of trace amine‑associated receptor 1 in the medial prefrontal cortex in chronic social stress-induced cognitive deficits in mice.
Zhang Y, Li JT, Wang H, Niu WP, Zhang CC, Zhang Y, Wang XD, Si TM, Su YA
Pharmacological research (2021) 167: 105571. 135 302 IHC; tested species: mouse
Characterizing the Retinal Phenotype of the Thy1-h[A30P]α-syn Mouse Model of Parkinson's Disease.
Veys L, Devroye J, Lefevere E, Cools L, Vandenabeele M, De Groef L
Frontiers in neuroscience (2021) 15: 726476. 135 302 IHC; tested species: mouse
Total Number and Ratio of GABAergic Neuron Types in the Mouse Lateral and Basal Amygdala.
Vereczki VK, Müller K, Krizsán É, Máté Z, Fekete Z, Rovira-Esteban L, Veres JM, Erdélyi F, Hájos N
The Journal of neuroscience : the official journal of the Society for Neuroscience (2021) 4121: 4575-4595. 135 302 IHC; tested species: mouse
Maturation of Purkinje cell firing properties relies on neurogenesis of excitatory neurons.
van der Heijden ME, Lackey EP, Perez R, Ișleyen FS, Brown AM, Donofrio SG, Lin T, Zoghbi HY, Sillitoe RV
eLife (2021) 10: . 135 302 IHC; tested species: mouse
Beneficial effects of dietary supplementation with green tea catechins and cocoa flavanols on aging-related regressive changes in the mouse neuromuscular system.
Gras S, Blasco A, Mòdol-Caballero G, Tarabal O, Casanovas A, Piedrafita L, Barranco A, Das T, Rueda R, Pereira SL, Navarro X, et al.
Aging (2021) 1314: 18051-18093. 135 302 IHC; tested species: mouse
Human spinal GABA neurons alleviate spasticity and improve locomotion in rats with spinal cord injury.
Gong C, Zheng X, Guo F, Wang Y, Zhang S, Chen J, Sun X, Shah SZA, Zheng Y, Li X, Yin Y, et al.
Cell reports (2021) 3412: 108889. 135 302 IHC; tested species: rat
Deleting Mecp2 from the cerebellum rather than its neuronal subtypes causes a delay in motor learning in mice.
Achilly NP, He LJ, Kim OA, Ohmae S, Wojaczynski GJ, Lin T, Sillitoe RV, Medina JF, Zoghbi HY
eLife (2021) 10: . 135 302 IHC; tested species: mouse
LKB1 coordinates neurite remodeling to drive synapse layer emergence in the outer retina.
Burger CA, Alevy J, Casasent AK, Jiang D, Albrecht NE, Liang JH, Hirano AA, Brecha N, Samuel MA
eLife (2020) 9: . 135 302 IHC; tested species: mouse
The mouse olfactory peduncle 4: Development of synapses, perineuronal nets, and capillaries.
Collins LN, Brunjes PC
The Journal of comparative neurology (2020) 5284: 637-649. 135 302 IHC; tested species: mouse
C1q Regulates Horizontal Cell Neurite Confinement in the Outer Retina.
Burger CA, Jiang D, Li F, Samuel MA
Frontiers in neural circuits (2020) 14: 583391. 135 302 IHC; tested species: mouse
Context-Specific Striatal Astrocyte Molecular Responses Are Phenotypically Exploitable.
Yu X, Nagai J, Marti-Solano M, Soto JS, Coppola G, Babu MM, Khakh BS
Neuron (2020) : . 135 302 IHC; tested species: mouse
A complement-microglial axis driving inhibitory synapse related protein loss might contribute to systemic inflammation-induced cognitive impairment.
Li SM, Li B, Zhang L, Zhang GF, Sun J, Ji MH, Yang JJ
International immunopharmacology (2020) 87: 106814. 135 302 WB, IHC; tested species: mouse
A High-Resolution Method for Quantitative Molecular Analysis of Functionally Characterized Individual Synapses.
Holderith N, Heredi J, Kis V, Nusser Z
Cell reports (2020) 324: 107968. 135 302 IHC; tested species: rat
Motoneuron deafferentation and gliosis occur in association with neuromuscular regressive changes during ageing in mice.
Blasco A, Gras S, Mòdol-Caballero G, Tarabal O, Casanovas A, Piedrafita L, Barranco A, Das T, Pereira SL, Navarro X, Rueda R, et al.
Journal of cachexia, sarcopenia and muscle (2020) : . 135 302 IHC; tested species: mouse
Induction of BDNF expression in layer II/III and layer V neurons of the motor cortex is essential for motor learning.
Andreska T, Rauskolb S, Scheffler N, Lüningschrör P, Sasi M, Signoret-Genest J, Behringer M, Blum R, Sauer M, Tovote P, Sendtner M, et al.
The Journal of neuroscience : the official journal of the Society for Neuroscience (2020) : . 135 302 IHC; tested species: mouse
Hyperactivity with Disrupted Attention by Activation of an Astrocyte Synaptogenic Cue.
Nagai J, Rajbhandari AK, Gangwani MR, Hachisuka A, Coppola G, Masmanidis SC, Fanselow MS, Khakh BS
Cell (2019) : . 135 302 IHC; tested species: mouse
Development of cone photoreceptors and their synapses in the human and monkey fovea.
Hendrickson A, Zhang C
The Journal of comparative neurology (2019) 5271: 38-51. 135 302 IHC; tested species: human,monkey
Regional differences in mitral cell development in mouse olfactory bulb.
Nguyen UP, Imamura F
The Journal of comparative neurology (2019) : . 135 302 IHC; tested species: mouse
Region-Restrict Astrocytes Exhibit Heterogeneous Susceptibility to Neuronal Reprogramming.
Hu X, Qin S, Huang X, Yuan Y, Tan Z, Gu Y, Cheng X, Wang D, Lian XF, He C, Su Z, et al.
Stem cell reports (2019) : . 135 302 IHC; tested species: mouse
Amot and Yap1 regulate neuronal dendritic tree complexity and locomotor coordination in mice.
Rojek KO, Krzemień J, Doleżyczek H, Boguszewski PM, Kaczmarek L, Konopka W, Rylski M, Jaworski J, Holmgren L, Prószyński TJ
PLoS biology (2019) 175: e3000253. 135 302 IHC; tested species: mouse
Early-life stress alters sleep structure and the excitatory-inhibitory balance in the nucleus accumbens in aged mice.
Wang T, Wang HL, Liu R, Wang H, Zhang Y, Sun YX, Su YA, Si TM, Li JT
Chinese medical journal (2019) 13213: 1582-1590. 135 302 IHC; tested species: mouse
Characterization of perinatally born glutamatergic neurons of the mouse olfactory bulb based on NeuroD6 expression reveals their resistance to sensory deprivation.
Angelova A, Platel JC, Béclin C, Cremer H, Coré N
The Journal of comparative neurology (2019) 5277: 1245-1260. 135 302 IHC; tested species: mouse
Reflex regulation of breathing by the paratrigeminal nucleus via multiple bulbar circuits.
Driessen AK, Farrell MJ, Dutschmann M, Stanic D, McGovern AE, Mazzone SB
Brain structure & function (2018) : . 135 302 IHC
Neurochemical fingerprinting of amygdalostriatal and intra-amygdaloid projections: a tracing-immunofluorescence study in the rat.
Wouterlood FG, van Oort S, Bloemhard L, Flierman NA, Spijkerman J, Wright CI, Beliën JAM, Groenewegen HJ
Journal of chemical neuroanatomy (2018) : . 135 302 IHC; tested species: rat
UBA1/GARS-dependent pathways drive sensory-motor connectivity defects in spinal muscular atrophy.
Shorrock HK, van der Hoorn D, Boyd PJ, Llavero Hurtado M, Lamont DJ, Wirth B, Sleigh JN, Schiavo G, Wishart TM, Groen EJN, Gillingwater TH, et al.
Brain : a journal of neurology (2018) : . 135 302 IHC; tested species: mouse
Ablation of the presynaptic organizer Bassoon in excitatory neurons retards dentate gyrus maturation and enhances learning performance.
Annamneedi A, Caliskan G, Müller S, Montag D, Budinger E, Angenstein F, Fejtova A, Tischmeyer W, Gundelfinger ED, Stork O
Brain structure & function (2018) : . 135 302 IHC; tested species: mouse
Hypothalamic CNTF volume transmission shapes cortical noradrenergic excitability upon acute stress.
Alpár A, Zahola P, Hanics J, Hevesi Z, Korchynska S, Benevento M, Pifl C, Zachar G, Perugini J, Severi I, Leitgeb P, et al.
The EMBO journal (2018) : . 135 302 IHC; tested species: mouse
Formation and Maintenance of Functional Spines in the Absence of Presynaptic Glutamate Release.
Sigler A, Oh WC, Imig C, Altas B, Kawabe H, Cooper BH, Kwon HB, Rhee JS, Brose N
Neuron (2017) 942: 304-311.e4. 135 302 IHC; tested species: mouse
Initial elevations in glutamate and dopamine neurotransmission decline with age, as does exploratory behavior, in LRRK2 G2019S knock-in mice.
Volta M, Beccano-Kelly DA, Paschall SA, Cataldi S, MacIsaac SE, Kuhlmann N, Kadgien CA, Tatarnikov I, Fox J, Khinda J, Mitchell E, et al.
eLife (2017) 6: . 135 302 IHC; tested species: mouse
Autism-like behaviours and enhanced memory formation and synaptic plasticity in Lrfn2/SALM1-deficient mice.
Morimura N, Yasuda H, Yamaguchi K, Katayama KI, Hatayama M, Tomioka NH, Odagawa M, Kamiya A, Iwayama Y, Maekawa M, Nakamura K, et al.
Nature communications (2017) 8: 15800. 135 302 IHC; tested species: mouse
Peripheral and central anatomical organization of cutaneous afferent subtypes in a rat nociceptive intersegmental spinal reflex.
Lee HJ, White JM, Chung J, Tansey KE
The Journal of comparative neurology (2017) 5259: 2216-2234. 135 302 IHC; tested species: rat
Mobile zinc increases rapidly in the retina after optic nerve injury and regulates ganglion cell survival and optic nerve regeneration.
Li Y, Andereggen L, Yuki K, Omura K, Yin Y, Gilbert HY, Erdogan B, Asdourian MS, Shrock C, de Lima S, Apfel UP, et al.
Proceedings of the National Academy of Sciences of the United States of America (2017) 1142: E209-E218. 135 302 IHC; tested species: mouse
Top2b is involved in the formation of outer segment and synapse during late-stage photoreceptor differentiation by controlling key genes of photoreceptor transcriptional regulatory network.
Li Y, Hao H, Swerdel MR, Cho HY, Lee KB, Hart RP, Lyu YL, Cai L
Journal of neuroscience research (2017) 9510: 1951-1964. 135 302 IHC; tested species: mouse
Local corticotropin releasing hormone (CRH) signals to its receptor CRHR1 during postnatal development of the mouse olfactory bulb.
Garcia I, Bhullar PK, Tepe B, Ortiz-Guzman J, Huang L, Herman AM, Chaboub L, Deneen B, Justice NJ, Arenkiel BR
Brain structure & function (2016) 2211: 1-20. 135 302 IHC
LAMP5 Fine-Tunes GABAergic Synaptic Transmission in Defined Circuits of the Mouse Brain.
Tiveron MC, Beurrier C, Céni C, Andriambao N, Combes A, Koehl M, Maurice N, Gatti E, Abrous DN, Kerkerian-Le Goff L, Pierre P, et al.
PloS one (2016) 116: e0157052. 135 302 IHC
Verification of the Cross Immunoreactivity of A60, a Mouse Monoclonal Antibody against Neuronal Nuclear Protein.
Mao S, Xiong G, Zhang L, Dong H, Liu B, Cohen NA, Cohen AS
Frontiers in neuroanatomy (2016) 10: 54. 135 302 IHC
Cerebellar synaptogenesis is compromised in mouse models of DYT1 dystonia.
Vanni V, Puglisi F, Bonsi P, Ponterio G, Maltese M, Pisani A, Mandolesi G
Experimental neurology (2015) 271: 457-67. 135 302 WB, ICC, IHC; tested species: mouse
NDRG2 as a marker protein for brain astrocytes.
Flügge G, Araya-Callis C, Garea-Rodriguez E, Stadelmann-Nessler C, Fuchs E
Cell and tissue research (2014) 3571: 31-41. 135 302 IHC; tested species: rat
Distribution of SNAP25, VAMP1 and VAMP2 in mature and developing deep cerebellar nuclei after estrogen administration.
Manca P, Mameli O, Caria MA, Torrejón-Escribano B, Blasi J
Neuroscience (2014) 266: 102-15. 135 302 WB, IHC
Regulation of glutamate release by heteromeric nicotinic receptors in layer V of the secondary motor region (Fr2) in the dorsomedial shoulder of prefrontal cortex in mouse.
Aracri P, Amadeo A, Pasini ME, Fascio U, Becchetti A
Synapse (New York, N.Y.) (2013) 676: 338-57. 135 302 WB, IHC; tested species: mouse
Immunocytochemical evidence of the localization of the Crumbs homologue 3 protein (CRB3) in the developing and mature mouse retina.
Herranz-Martín S, Jimeno D, Paniagua AE, Velasco A, Lara JM, Aijón J, Lillo C
PloS one (2012) 711: e50511. 135 302 IHC; tested species: mouse
Neuronal and glial differentiation during lizard (Gallotia galloti) visual system ontogeny.
Romero-Alemán MM, Monzón-Mayor M, Santos E, Lang DM, Yanes C
The Journal of comparative neurology (2012) 52010: 2163-84. 135 302 WB, IHC
Parasagittal compartmentation of cerebellar mossy fibers as revealed by the patterned expression of vesicular glutamate transporters VGLUT1 and VGLUT2.
Gebre SA, Reeber SL, Sillitoe RV
Brain structure & function (2012) 2172: 165-80. 135 302 IHC; tested species: mouse
Neuronal MHC class I molecules are involved in excitatory synaptic transmission at the hippocampal mossy fiber synapses of marmoset monkeys.
Ribic A, Zhang M, Schlumbohm C, Mätz-Rensing K, Uchanska-Ziegler B, Flügge G, Zhang W, Walter L, Fuchs E
Cellular and molecular neurobiology (2010) 306: 827-39. 135 302 IHC
GluRdelta2 expression in the mature cerebellum of hotfoot mice promotes parallel fiber synaptogenesis and axonal competition.
Mandolesi G, Autuori E, Cesa R, Premoselli F, Cesare P, Strata P
PloS one (2009) 44: e5243. 135 302 IHC
GABAergic terminals are required for postsynaptic clustering of dystrophin but not of GABA(A) receptors and gephyrin.
Brünig I, Suter A, Knuesel I, Lüscher B, Fritschy JM
The Journal of neuroscience : the official journal of the Society for Neuroscience (2002) 2212: 4805-13. 135 302 IHC; tested species: rat
APOE genotype determines cell-type-specific pathological landscape of Alzheimer's disease.
Li Z, Martens YA, Ren Y, Jin Y, Sekiya H, Doss SV, Kouri N, Castanedes-Casey M, Christensen TA, Miller Nevalainen LB, Takegami N, et al.
Neuron (2025) 1139: 1380-1397.e7. 135 302 IHC-P (FFPE); tested species: human
In vivo cerebellar circuit function is disrupted in an mdx mouse model of Duchenne muscular dystrophy.
Stay TL, Miterko LN, Arancillo M, Lin T, Sillitoe RV
Disease models & mechanisms (2019) : . 135 302 IHC-P (FFPE); tested species: mouse
The functional microscopic neuroanatomy of the human subthalamic nucleus.
Alkemade A, de Hollander G, Miletic S, Keuken MC, Balesar R, de Boer O, Swaab DF, Forstmann BU
Brain structure & function (2019) 2249: 3213-3227. 135 302 IHC-P (FFPE); tested species: human
Alpha-Synuclein transgenic mice, h-α-SynL62, display α-Syn aggregation and a dopaminergic phenotype reminiscent of Parkinson's disease.
Frahm S, Melis V, Horsley D, Rickard JE, Riedel G, Fadda P, Scherma M, Harrington CR, Wischik CM, Theuring F, Schwab K, et al.
Behavioural brain research (2018) 339: 153-168. 135 302 IHC-P (FFPE); tested species: mouse
Hippocampal distribution of vesicular glutamate transporter 1 in patients with temporal lobe epilepsy.
van der Hel WS, Verlinde SA, Meijer DH, de Wit M, Rensen MG, van Gassen KL, van Rijen PC, van Veelen CW, de Graan PN
Epilepsia (2009) 507: 1717-28. 135 302 IHC-P (FFPE); tested species: human
RIM-BP2 regulates Ca2+ channel abundance and neurotransmitter release at hippocampal mossy fiber terminals.
Miyano R, Sakamoto H, Hirose K, Sakaba T
eLife (2024) 12: . 135 302 IHC-Fr; tested species: mouse
Light-microscopy-based connectomic reconstruction of mammalian brain tissue.
Tavakoli MR, Lyudchik J, Januszewski M, Vistunou V, Agudelo Dueñas N, Vorlaufer J, Sommer C, Kreuzinger C, Oliveira B, Cenameri A, Novarino G, et al.
Nature (2025) 6428067: 398-410. 135 302 ExM; tested species: mouse
Intact corticostriatal function in aged system xc- - deficient mice.
De Pauw L, Villers A, Moore C, Lara O, Vanonckelen O, Verbruggen L, Sato H, Bentea E, Arckens L, Ris L, Ates G, et al.
Translational psychiatry (2025) 151: 471. 135 302 EM; tested species: mouse
Transplantation of neurons derived from human iPS cells cultured on collagen matrix into guinea-pig cochleae.
Ishikawa M, Ohnishi H, Skerleva D, Sakamoto T, Yamamoto N, Hotta A, Ito J, Nakagawa T
Journal of tissue engineering and regenerative medicine (2017) 116: 1766-1778. 135 302
Cat. No.: 135 302
Amount: 200 µl
Price: $365.00
A critical role of Neuroligin 2 C-terminus in OCD and social behavior.
Pandey S, Ostergren S, Li J, Peng S, Wang G, Tian Q, Dong L, Lu W
The Journal of neuroscience : the official journal of the Society for Neuroscience (2025) 4519: . 135 302 WB; tested species: mouse
Astragaloside IV ameliorates autism-like behaviors in BTBR mice by modulating Camk2n2-dependent OXPHOS and neurotransmission in the mPFC.
Chen M, Shi J, Liu T, Liu J, Liu Y, Li J, Luo Y, Luo J, Li X, Gong H, Fan X, et al.
Journal of advanced research (2025) : . 135 302 WB; tested species: mouse
The TrkC-PTPσ complex governs synapse maturation and anxiogenic avoidance via synaptic protein phosphorylation.
Khaled H, Ghasemi Z, Inagaki M, Patel K, Naito Y, Feller B, Yi N, Bourojeni FB, Lee AK, Chofflet N, Kania A, et al.
The EMBO journal (2024) : . 135 302 WB; tested species: mouse
Microglia mitochondrial complex I deficiency during development induces glial dysfunction and early lethality.
Mora-Romero B, Capelo-Carrasco N, Pérez-Moreno JJ, Alvarez-Vergara MI, Trujillo-Estrada L, Romero-Molina C, Martinez-Marquez E, Morano-Catalan N, Vizuete M, Lopez-Barneo J, Nieto-Gonzalez JL, et al.
Nature metabolism (2024) : . 135 302 WB; tested species: mouse
Adult-onset deactivation of autophagy leads to loss of synapse homeostasis and cognitive impairment, with implications for alzheimer disease.
Grosso Jasutkar H, Wasserlein EM, Ishola A, Litt N, Staniszewski A, Arancio O, Yamamoto A
Autophagy (2024) : 1-16. 135 302 WB; tested species: mouse
Postweaning Development Influences Endogenous VPAC1 Modulation of LTP Induced by Theta-Burst Stimulation: A Link to Maturation of the Hippocampal GABAergic System.
Gil M, Caulino-Rocha A, Bento M, Rodrigues NC, Silva-Cruz A, Ribeiro JA, Cunha-Reis D
Biomolecules (2024) 143: . 135 302 WB; tested species: rat
Suggestion of creatine as a new neurotransmitter by approaches ranging from chemical analysis and biochemistry to electrophysiology.
Bian X, Zhu J, Jia X, Liang W, Yu S, Li Z, Zhang W, Rao Y
eLife (2023) 12: . 135 302 WB; tested species: mouse
Presynapses contain distinct actin nanostructures.
Bingham D, Jakobs CE, Wernert F, Boroni-Rueda F, Jullien N, Schentarra EM, Friedl K, Da Costa Moura J, van Bommel DM, Caillol G, Ogawa Y, et al.
The Journal of cell biology (2023) 22210: . 135 302 WB; tested species: rat
Defective lipid signalling caused by mutations in PIK3C2B underlies focal epilepsy.
Gozzelino L, Kochlamazashvili G, Baldassari S, Mackintosh AI, Licchetta L, Iovino E, Liu YC, Bennett CA, Bennett MF, Damiano JA, Zsurka G, et al.
Brain : a journal of neurology (2022) 1457: 2313-2331. 135 302 WB, IHC; tested species: mouse
Cerebellar developmental deficits underlie neurodegenerative disorder spinocerebellar ataxia type 23.
Smeets CJLM, Ma KY, Fisher SE, Verbeek DS
Brain pathology (Zurich, Switzerland) (2021) 312: 239-252. 135 302 WB; tested species: mouse
Localization, proteomics, and metabolite profiling reveal a putative vesicular transporter for UDP-glucose.
Qian C, Wu Z, Sun R, Yu H, Zeng J, Rao Y, Li Y
eLife (2021) 10: . 135 302 WB; tested species: mouse
Vesicular Glutamate Transporters (SLCA17 A6, 7, 8) Control Synaptic Phosphate Levels.
Cheret C, Ganzella M, Preobraschenski J, Jahn R, Ahnert-Hilger G
Cell reports (2021) 342: 108623. 135 302 WB, ICC; tested species: human,mouse
A complement-microglial axis driving inhibitory synapse related protein loss might contribute to systemic inflammation-induced cognitive impairment.
Li SM, Li B, Zhang L, Zhang GF, Sun J, Ji MH, Yang JJ
International immunopharmacology (2020) 87: 106814. 135 302 WB, IHC; tested species: mouse
Mechanoceutics Alters Alzheimer's Disease Phenotypes in Transgenic Rats: A Pilot Study.
Tobey H, Lucas T, Paul S, Berr SS, Mehrkens B, Brolinson PG, Klein BG, Costa BM
Journal of Alzheimer's disease : JAD (2020) 742: 421-427. 135 302 WB; tested species: rat
GABA, but Not Bestrophin-1, Is Localized in Astroglial Processes in the Mouse Hippocampus and the Cerebellum.
Ormel L, Lauritzen KH, Schreiber R, Kunzelmann K, Gundersen V
Frontiers in molecular neuroscience (2020) 13: 135. 135 302 WB; tested species: mouse
Vesicle Tethering on the Surface of Phase-Separated Active Zone Condensates.
Wu X, Ganzella M, Zhou J, Zhu S, Jahn R, Zhang M
Molecular cell (2020) : . 135 302 WB
Protein changes in synaptosomes of Huntington's disease knock-in mice are dependent on age and brain region.
Sapp E, Seeley C, Iuliano M, Weisman E, Vodicka P, DiFiglia M, Kegel-Gleason KB
Neurobiology of disease (2020) 141: 104950. 135 302 WB; tested species: mouse
Merlin modulates process outgrowth and synaptogenesis in the cerebellum.
Toledo A, Lang F, Doengi M, Morrison H, Stein V, Baader SL
Brain structure & function (2019) : . 135 302 WB; tested species: mouse
SSRIs target prefrontal to raphe circuits during development modulating synaptic connectivity and emotional behavior.
Soiza-Reilly M, Meye FJ, Olusakin J, Telley L, Petit E, Chen X, Mameli M, Jabaudon D, Sze JY, Gaspar P
Molecular psychiatry (2018) : . 135 302 WB; tested species: mouse
Piperlongumine decreases cognitive impairment and improves hippocampal function in aged mice.
Go J, Park TS, Han GH, Park HY, Ryu YK, Kim YH, Hwang JH, Choi DH, Noh JR, Hwang DY, Kim S, et al.
International journal of molecular medicine (2018) 424: 1875-1884. 135 302 WB; tested species: mouse
VGLUT1 Binding to Endophilin or Intersectin1 and Dynamin Phosphorylation in a Diurnal Context.
Richter K, Schmutz I, Darna M, Zander JF, Chavan R, Albrecht U, Ahnert-Hilger G
Neuroscience (2018) 371: 29-37. 135 302 WB; tested species: mouse
IgSF21 promotes differentiation of inhibitory synapses via binding to neurexin2α.
Tanabe Y, Naito Y, Vasuta C, Lee AK, Soumounou Y, Linhoff MW, Takahashi H
Nature communications (2017) 81: 408. 135 302 WB
Regulation of the Hippocampal Network by VGLUT3-Positive CCK- GABAergic Basket Cells.
Fasano C, Rocchetti J, Pietrajtis K, Zander JF, Manseau F, Sakae DY, Marcus-Sells M, Ramet L, Morel LJ, Carrel D, Dumas S, et al.
Frontiers in cellular neuroscience (2017) 11: 140. 135 302 WB, IP; tested species: mouse
Humulus japonicus inhibits the progression of Alzheimer's disease in a APP/PS1 transgenic mouse model.
Park TS, Ryu YK, Park HY, Kim JY, Go J, Noh JR, Kim YH, Hwang JH, Choi DH, Oh WK, Lee CH, et al.
International journal of molecular medicine (2017) 391: 21-30. 135 302 WB
Olanzapine Reverses MK-801-Induced Cognitive Deficits and Region-Specific Alterations of NMDA Receptor Subunits.
Liu X, Li J, Guo C, Wang H, Sun Y, Wang H, Su YA, Li K, Si T
Frontiers in behavioral neuroscience (2017) 11: 260. 135 302 WB; tested species: rat
Molecular Dissection of Neuroligin 2 and Slitrk3 Reveals an Essential Framework for GABAergic Synapse Development.
Li J, Han W, Pelkey KA, Duan J, Mao X, Wang YX, Craig MT, Dong L, Petralia RS, McBain CJ, Lu W, et al.
Neuron (2017) 964: 808-826.e8. 135 302 WB; tested species: mouse
Cerebellar synaptogenesis is compromised in mouse models of DYT1 dystonia.
Vanni V, Puglisi F, Bonsi P, Ponterio G, Maltese M, Pisani A, Mandolesi G
Experimental neurology (2015) 271: 457-67. 135 302 WB, ICC, IHC; tested species: mouse
REST-Governed Gene Expression Profiling in a Neuronal Cell Model Reveals Novel Direct and Indirect Processes of Repression and Up-Regulation.
Garcia-Manteiga JM, Bonfiglio S, Folladori L, Malosio ML, Lazarevic D, Stupka E, Cittaro D, Meldolesi J
Frontiers in cellular neuroscience (2015) 9: 438. 135 302 WB
Distribution of SNAP25, VAMP1 and VAMP2 in mature and developing deep cerebellar nuclei after estrogen administration.
Manca P, Mameli O, Caria MA, Torrejón-Escribano B, Blasi J
Neuroscience (2014) 266: 102-15. 135 302 WB, IHC
Regulation of glutamate release by heteromeric nicotinic receptors in layer V of the secondary motor region (Fr2) in the dorsomedial shoulder of prefrontal cortex in mouse.
Aracri P, Amadeo A, Pasini ME, Fascio U, Becchetti A
Synapse (New York, N.Y.) (2013) 676: 338-57. 135 302 WB, IHC; tested species: mouse
Simultaneous monitoring of presynaptic transmitter release and postsynaptic receptor trafficking reveals an enhancement of presynaptic activity in metabotropic glutamate receptor-mediated long-term depression.
Xu W, Tse YC, Dobie FA, Baudry M, Craig AM, Wong TP, Wang YT
The Journal of neuroscience : the official journal of the Society for Neuroscience (2013) 3313: 5867-5877. 135 302 WB
CSPα knockout causes neurodegeneration by impairing SNAP-25 function.
Sharma M, Burré J, Bronk P, Zhang Y, Xu W, Südhof TC
The EMBO journal (2012) 314: 829-41. 135 302 WB; tested species: mouse
Neuronal and glial differentiation during lizard (Gallotia galloti) visual system ontogeny.
Romero-Alemán MM, Monzón-Mayor M, Santos E, Lang DM, Yanes C
The Journal of comparative neurology (2012) 52010: 2163-84. 135 302 WB, IHC
Differential sorting of the vesicular glutamate transporter 1 into a defined vesicular pool is regulated by light signaling involving the clock gene Period2.
Yelamanchili SV, Pendyala G, Brunk I, Darna M, Albrecht U, Ahnert-Hilger G
The Journal of biological chemistry (2006) 28123: 15671-9. 135 302 WB; tested species: mouse
Regulation of the Hippocampal Network by VGLUT3-Positive CCK- GABAergic Basket Cells.
Fasano C, Rocchetti J, Pietrajtis K, Zander JF, Manseau F, Sakae DY, Marcus-Sells M, Ramet L, Morel LJ, Carrel D, Dumas S, et al.
Frontiers in cellular neuroscience (2017) 11: 140. 135 302 WB, IP; tested species: mouse
Generation and Characterization of Anti-VGLUT Nanobodies Acting as Inhibitors of Transport.
Schenck S, Kunz L, Sahlender D, Pardon E, Geertsma ER, Savtchouk I, Suzuki T, Neldner Y, Štefanić S, Steyaert J, Volterra A, et al.
Biochemistry (2017) 5630: 3962-3971. 135 302 IP, ICC; tested species: mouse,rat
Microglia drive synaptic and functional connectivity deficits in the Ts65Dn mouse model of Down syndrome by affecting inhibition.
Tiberi A, Montagni E, Borgonovo G, Coulomb E, Restani L, Mascaro ALA, Capsoni S, Cattaneo A
Acta neuropathologica communications (2025) 141: 21. 135 302 ICC; tested species: mouse
Conversion of glioma cells into neuron-like cells by small molecules.
Yi Y, Che W, Xu P, Mao C, Li Z, Wang Q, Lyu J, Wang X
iScience (2024) 2711: 111091. 135 302 ICC; tested species: human
miRNA-mediated control of gephyrin synthesis drives sustained inhibitory synaptic plasticity.
Welle TM, Rajgor D, Kareemo DJ, Garcia JD, Zych SM, Wolfe SE, Gookin SE, Martinez TP, Dell'Acqua ML, Ford CP, Kennedy MJ, et al.
EMBO reports (2024) 2511: 5141-5168. 135 302 ICC; tested species: rat
Subtype-specific neurons from patient iPSCs display distinct neuropathological features of Alzheimer's disease.
Tao R, Yue C, Guo Z, Guo W, Yao Y, Yang X, Shao Z, Gao C, Ding J, Shen L, Chen S, et al.
Cell regeneration (London, England) (2024) 131: 21. 135 302 ICC; tested species: human
ZCCHC17 knockdown phenocopies Alzheimer's disease-related loss of synaptic proteins and hyperexcitability.
Cortese GP, Bartosch AMW, Xiao H, Gribkova Y, Lam TG, Argyrousi EK, Sivakumar S, Cardona C, Teich AF
Journal of neuropathology and experimental neurology (2024) : . 135 302 ICC; tested species: rat
Forskolin-driven conversion of human somatic cells into induced neurons through regulation of the cAMP-CREB1-JNK signaling.
Wang G, Zhang D, Qin L, Liu Q, Tang W, Liu M, Xu F, Tang F, Cheng L, Mo H, Yuan X, et al.
Theranostics (2024) 144: 1701-1719. 135 302 ICC; tested species: human
Programming of neural progenitors of the adult subependymal zone towards a glutamatergic neuron lineage by neurogenin 2.
Péron S, Miyakoshi LM, Brill MS, Manzano-Franco D, Serrano-López J, Fan W, Marichal N, Ghanem A, Conzelmann KK, Karow M, Ortega F, et al.
Stem cell reports (2023) : . 135 302 ICC; tested species: mouse
Developmental Pb exposure increases AD risk via altered intracellular Ca2+ homeostasis in hiPSC-derived cortical neurons.
Xie J, Wu S, Szadowski H, Min S, Yang Y, Bowman AB, Rochet JC, Freeman JL, Yuan C
The Journal of biological chemistry (2023) : 105023. 135 302 ICC; tested species: human
Multivesicular release favors short term synaptic depression in hippocampal autapses.
Martínez San Segundo P, Terni B, Llobet A
Frontiers in cellular neuroscience (2023) 17: 1057242. 135 302 ICC; tested species: rat
Reproducible and scalable differentiation of highly pure cortical neurons from human induced pluripotent stem cells.
Dannert A, Klimmt J, Cardoso Gonçalves C, Crusius D, Paquet D
STAR protocols (2023) 42: 102266. 135 302 ICC; tested species: human
Mutations in the transcriptional regulator MeCP2 severely impact key cellular and molecular signatures of human astrocytes during maturation.
Sun J, Osenberg S, Irwin A, Ma LH, Lee N, Xiang Y, Li F, Wan YW, Park IH, Maletic-Savatic M, Ballas N, et al.
Cell reports (2023) 421: 111942. 135 302 ICC, IHC; tested species: human
Population-based high-throughput toxicity screen of human iPSC-derived cardiomyocytes and neurons.
Huang CY, Nicholson MW, Wang JY, Ting CY, Tsai MH, Cheng YC, Liu CL, Chan DZH, Lee YC, Hsu CC, Hsu YH, et al.
Cell reports (2022) 391: 110643. 135 302 ICC; tested species: human
Endosomal phosphatidylinositol 3-phosphate controls synaptic vesicle cycling and neurotransmission.
Liu GT, Kochlamazashvili G, Puchkov D, Müller R, Schultz C, Mackintosh AI, Vollweiter D, Haucke V, Soykan T
The EMBO journal (2022) : e109352. 135 302 ICC; tested species: rat
Disruption of mTORC1 rescues neuronal overgrowth and synapse function dysregulated by Pten loss.
Tariq K, Cullen E, Getz SA, Conching AKS, Goyette AR, Prina ML, Wang W, Li M, Weston MC, Luikart BW
Cell reports (2022) 415: 111574. 135 302 ICC; tested species: mouse
α-Synuclein induced cholesterol lowering increases tonic and reduces depolarization-evoked synaptic vesicle recycling and glutamate release.
Lazarevic V, Yang Y, Paslawski W, Svenningsson P
NPJ Parkinson's disease (2022) 81: 71. 135 302 ICC; tested species: mouse
A bidirectional switch in the Shank3 phosphorylation state biases synapses toward up- or downscaling.
Wu CH, Tatavarty V, Jean Beltran PM, Guerrero AA, Keshishian H, Krug K, MacMullan MA, Li L, Carr SA, Cottrell JR, Turrigiano GG, et al.
eLife (2022) 11: . 135 302 ICC; tested species: rat
Dyshomeostatic modulation of Ca2+-activated K+ channels in a human neuronal model of KCNQ2 encephalopathy.
Simkin D, Marshall KA, Vanoye CG, Desai RR, Bustos BI, Piyevsky BN, Ortega JA, Forrest M, Robertson GL, Penzes P, Laux LC, et al.
eLife (2021) 10: . 135 302 ICC; tested species: human
Combining low-density cell culture, single-cell tracking, and patch-clamp to monitor the behavior of postnatal murine cerebellar neural stem cells.
Menéndez-Méndez A, Paniagua-Herranz L, Olivos-Oré LA, Gómez-Villafuertes R, Pérez-Sen R, Delicado EG, Artalejo AR, Ortega F
STAR protocols (2021) 24: 100964. 135 302 ICC; tested species: mouse
Single cell RNA sequencing detects persistent cell type- and methylmercury exposure paradigm-specific effects in a human cortical neurodevelopmental model.
Diana Neely M, Xie S, Prince LM, Kim H, Tukker AM, Aschner M, Thimmapuram J, Bowman AB
Food and chemical toxicology : an international journal published for the British Industrial Biological Research Association (2021) 154: 112288. 135 302 ICC; tested species: human
Hyperexcitability and pharmacological responsiveness of cortical neurons derived from human iPSCs carrying epilepsy-associated sodium channel Nav1.2-L1342P genetic variant.
Que Z, Olivero-Acosta MI, Zhang J, Eaton M, Tukker AM, Chen X, Wu J, Xie J, Xiao T, Wettschurack K, Yunis L, et al.
The Journal of neuroscience : the official journal of the Society for Neuroscience (2021) : . 135 302 ICC; tested species: human
Age-dependent instability of mature neuronal fate in induced neurons from Alzheimer's patients.
Mertens J, Herdy JR, Traxler L, Schafer ST, Schlachetzki JCM, Böhnke L, Reid DA, Lee H, Zangwill D, Fernandes DP, Agarwal RK, et al.
Cell stem cell (2021) : . 135 302 ICC; tested species: human
Cell-type-specific profiling of human cellular models of fragile X syndrome reveal PI3K-dependent defects in translation and neurogenesis.
Raj N, McEachin ZT, Harousseau W, Zhou Y, Zhang F, Merritt-Garza ME, Taliaferro JM, Kalinowska M, Marro SG, Hales CM, Berry-Kravis E, et al.
Cell reports (2021) 352: 108991. 135 302 ICC; tested species: human
Protocol for generating human induced neural progenitor cells from immobilized adult peripheral blood.
Zhang T, Tao R, Yue C, Jing N
STAR protocols (2021) 21: 100346. 135 302 ICC; tested species: human
Vesicular Glutamate Transporters (SLCA17 A6, 7, 8) Control Synaptic Phosphate Levels.
Cheret C, Ganzella M, Preobraschenski J, Jahn R, Ahnert-Hilger G
Cell reports (2021) 342: 108623. 135 302 WB, ICC; tested species: human,mouse
Disentangling the roles of RIM and Munc13 in synaptic vesicle localization and neurotransmission.
Zarebidaki F, Camacho M, Brockmann MM, Trimbuch T, Herman MA, Rosenmund C
The Journal of neuroscience : the official journal of the Society for Neuroscience (2020) : . 135 302 ICC; tested species: mouse
Post-tetanic potentiation lowers the energy barrier for synaptic vesicle fusion independently of Synaptotagmin-1.
Huson V, Meijer M, Dekker R, Ter Veer M, Ruiter M, van Weering JR, Verhage M, Cornelisse LN
eLife (2020) 9: . 135 302 ICC; tested species: mouse
Neuronal defects in a human cellular model of 22q11.2 deletion syndrome.
Khan TA, Revah O, Gordon A, Yoon SJ, Krawisz AK, Goold C, Sun Y, Kim CH, Tian Y, Li MY, Schaepe JM, et al.
Nature medicine (2020) : . 135 302 ICC; tested species: human
VAMP4 maintains a Ca2+-sensitive pool of spontaneously recycling synaptic vesicles.
Lin PY, Chanaday NL, Horvath PM, Ramirez DMO, Monteggia LM, Kavalali ET
The Journal of neuroscience : the official journal of the Society for Neuroscience (2020) : . 135 302 ICC; tested species: rat
Imbalance of Excitatory/Inhibitory Neuron Differentiation in Neurodevelopmental Disorders with an NR2F1 Point Mutation.
Zhang K, Yu F, Zhu J, Han S, Chen J, Wu X, Chen Y, Shen T, Liao J, Guo W, Yang X, et al.
Cell reports (2020) 313: 107521. 135 302 ICC; tested species: human
Genetic inactivation of mTORC1 or mTORC2 in neurons reveals distinct functions in glutamatergic synaptic transmission.
McCabe MP, Cullen ER, Barrows CM, Shore AN, Tooke KI, Laprade KA, Stafford JM, Weston MC
eLife (2020) 9: . 135 302 ICC; tested species: mouse
Distinct Pathogenic Genes Causing Intellectual Disability and Autism Exhibit a Common Neuronal Network Hyperactivity Phenotype.
Frega M, Selten M, Mossink B, Keller JM, Linda K, Moerschen R, Qu J, Koerner P, Jansen S, Oudakker A, Kleefstra T, et al.
Cell reports (2020) 301: 173-186.e6. 135 302 ICC; tested species: rat
Conversion of Astrocytes and Fibroblasts into Functional Noradrenergic Neurons.
Li S, Shi Y, Yao X, Wang X, Shen L, Rao Z, Yuan J, Liu Y, Zhou Z, Zhang Z, Liu F, et al.
Cell reports (2019) 283: 682-697.e7. 135 302 ICC; tested species: mouse
An Autaptic Culture System for Standardized Analyses of iPSC-Derived Human Neurons.
Rhee HJ, Shaib AH, Rehbach K, Lee C, Seif P, Thomas C, Gideons E, Guenther A, Krutenko T, Hebisch M, Peitz M, et al.
Cell reports (2019) 277: 2212-2228.e7. 135 302 ICC; tested species: human
Synaptic weight set by Munc13-1 supramolecular assemblies.
Sakamoto H, Ariyoshi T, Kimpara N, Sugao K, Taiko I, Takikawa K, Asanuma D, Namiki S, Hirose K
Nature neuroscience (2018) 211: 41-49. 135 302 ICC; tested species: rat
Bassoon Controls Presynaptic Autophagy through Atg5.
Okerlund ND, Schneider K, Leal-Ortiz S, Montenegro-Venegas C, Kim SA, Garner LC, Waites CL, Gundelfinger ED, Reimer RJ, Garner CC
Neuron (2018) 973: 727. 135 302 ICC; tested species: mouse
Proteolytic Processing of Neurexins by Presenilins Sustains Synaptic Vesicle Release.
Servián-Morilla E, Robles-Lanuza E, Sánchez-Hidalgo AC, Camacho-Garcia RJ, Paez-Gomez JA, Mavillard F, Saura CA, Martinez-Mir A, Scholl FG
The Journal of neuroscience : the official journal of the Society for Neuroscience (2018) 384: 901-917. 135 302 ICC; tested species: mouse
Direct pericyte-to-neuron reprogramming via unfolding of a neural stem cell-like program.
Karow M, Camp JG, Falk S, Gerber T, Pataskar A, Gac-Santel M, Kageyama J, Brazovskaja A, Garding A, Fan W, Riedemann T, et al.
Nature neuroscience (2018) : . 135 302 ICC; tested species: human
Cardiolipin exposure on the outer mitochondrial membrane modulates α-synuclein.
Ryan T, Bamm VV, Stykel MG, Coackley CL, Humphries KM, Jamieson-Williams R, Ambasudhan R, Mosser DD, Lipton SA, Harauz G, Ryan SD, et al.
Nature communications (2018) 91: 817. 135 302 ICC; tested species: human
A Chemical Recipe for Generation of Clinical-Grade Striatal Neurons from hESCs.
Wu M, Zhang D, Bi C, Mi T, Zhu W, Xia L, Teng Z, Hu B, Wu Y
Stem cell reports (2018) : . 135 302 ICC; tested species: human
Psoralidin Stimulates Expression of Immediate-Early Genes and Synapse Development in Primary Cortical Neurons.
Hwang S, Lee SE, Ahn SG, Lee GH
Neurochemical research (2018) : . 135 302 ICC; tested species: mouse
PTEN Loss Increases the Connectivity of Fast Synaptic Motifs and Functional Connectivity in a Developing Hippocampal Network.
Barrows CM, McCabe MP, Chen H, Swann JW, Weston MC
The Journal of neuroscience : the official journal of the Society for Neuroscience (2017) 3736: 8595-8611. 135 302 ICC; tested species: mouse
Bassoon Controls Presynaptic Autophagy through Atg5.
Okerlund ND, Schneider K, Leal-Ortiz S, Montenegro-Venegas C, Kim SA, Garner LC, Waites CL, Gundelfinger ED, Reimer RJ, Garner CC
Neuron (2017) 934: 897-913.e7. 135 302 ICC; tested species: mouse
Direct Reprogramming of Fibroblasts via a Chemically Induced XEN-like State.
Li X, Liu D, Ma Y, Du X, Jing J, Wang L, Xie B, Sun D, Sun S, Jin X, Zhang X, et al.
Cell stem cell (2017) 212: 264-273.e7. 135 302 ICC; tested species: mouse
Generation and Characterization of Anti-VGLUT Nanobodies Acting as Inhibitors of Transport.
Schenck S, Kunz L, Sahlender D, Pardon E, Geertsma ER, Savtchouk I, Suzuki T, Neldner Y, Štefanić S, Steyaert J, Volterra A, et al.
Biochemistry (2017) 5630: 3962-3971. 135 302 IP, ICC; tested species: mouse,rat
Glutamate and GABA in Vestibulo-Sympathetic Pathway Neurons.
Holstein GR, Friedrich VL, Martinelli GP
Frontiers in neuroanatomy (2016) 10: 7. 135 302 ICC
Optogenetic acidification of synaptic vesicles and lysosomes.
Rost BR, Schneider F, Grauel MK, Wozny C, Bentz C, Blessing A, Rosenmund T, Jentsch TJ, Schmitz D, Hegemann P, Rosenmund C, et al.
Nature neuroscience (2015) 1812: 1845-1852. 135 302 ICC; tested species: rat
Cerebellar synaptogenesis is compromised in mouse models of DYT1 dystonia.
Vanni V, Puglisi F, Bonsi P, Ponterio G, Maltese M, Pisani A, Mandolesi G
Experimental neurology (2015) 271: 457-67. 135 302 WB, ICC, IHC; tested species: mouse
A local, periactive zone endocytic machinery at photoreceptor synapses in close vicinity to synaptic ribbons.
Wahl S, Katiyar R, Schmitz F
The Journal of neuroscience : the official journal of the Society for Neuroscience (2013) 3325: 10278-300. 135 302 ICC
Efficient synaptic vesicle recycling after intense exocytosis concomitant with the accumulation of non-releasable endosomes at early developmental stages.
Bartolomé-Martín D, Ramírez-Franco J, Castro E, Sánchez-Prieto J, Torres M
Journal of cell science (2012) 125Pt 2: 422-34. 135 302 ICC; tested species: rat
Postsynaptic TrkC and presynaptic PTPσ function as a bidirectional excitatory synaptic organizing complex.
Takahashi H, Arstikaitis P, Prasad T, Bartlett TE, Wang YT, Murphy TH, Craig AM
Neuron (2011) 692: 287-303. 135 302 ICC; tested species: rat
Directing astroglia from the cerebral cortex into subtype specific functional neurons.
Heinrich C, Blum R, Gascón S, Masserdotti G, Tripathi P, Sánchez R, Tiedt S, Schroeder T, Götz M, Berninger B
PLoS biology (2010) 85: e1000373. 135 302 ICC
Cellular phenotypes of human model neurons (NT2) after differentiation in aggregate culture.
Podrygajlo G, Tegenge MA, Gierse A, Paquet-Durand F, Tan S, Bicker G, Stern M
Cell and tissue research (2009) 3363: 439-52. 135 302 ICC; tested species: human
Differential targeting of the L-type Ca2+ channel alpha 1C (CaV1.2) to synaptic and extrasynaptic compartments in hippocampal neurons.
Obermair GJ, Szabo Z, Bourinet E, Flucher BE
The European journal of neuroscience (2004) 198: 2109-22. 135 302 ICC; tested species: mouse
Dopamine neurons in culture express VGLUT2 explaining their capacity to release glutamate at synapses in addition to dopamine.
Dal Bo G, St-Gelais F, Danik M, Williams S, Cotton M, Trudeau LE
Journal of neurochemistry (2004) 886: 1398-405. 135 302 ICC; tested species: rat
Remodeling synaptic connections via engineered neuron-astrocyte interactions.
Kim SH, Won W, Kim GH, Kook YH, Son S, Choi S, Kang DY, Park MG, Choi YJ, Won SS, Shin J, et al.
Nature communications (2026) 171: . 135 302 IHC; tested species: mouse
Perinatal bisphenols combined exposure caused working memory impairment by disturbing the ventral hippocampus-medial prefrontal cortex circuit.
Lin N, Li Z, Zhang L, Tang H, Feng Y, Zhu X, Liu H, Wang M, Hu F
Ecotoxicology and environmental safety (2026) 316: 120126. 135 302 IHC; tested species: mouse
Single-cell proteomic landscape of the developing human brain.
Wu T, Jiang L, Mukhtar T, Wang L, Jian R, Wang C, Trinh T, Kriegstein AR, Snyder M, Li J
Nature biotechnology (2026) : . 135 302 IHC; tested species: human
A glycolytic shunt via the pentose phosphate pathway is a metabolic checkpoint for nervous system sensory homeostasis and axonal regeneration.
Song Y, Luengo-Gutierrez L, Sagi-Kiss V, Kong G, Huang H, Steinruecke M, Zhou L, Yuan Z, De Virgiliis F, Pap I, Decourt C, et al.
Cell (2026) : . 135 302 IHC; tested species: mouse
Disturbed engram network caused by NPTX downregulation underlies aging-related contextual fear memory deficits.
Jin T, Yang Y, Guo Y, Zhang Y, Le Q, Huang N, Liu X, Yu J, Ma L, Wang F
Cell research (2025) : . 135 302 IHC; tested species: mouse
Magnetically reshapable 3D multi-electrode arrays of liquid metals for electrophysiological analysis of brain organoids.
Kim E, Jeong E, Hong YM, Jeong I, Kim J, Kwon YW, Park YG, Lee J, Choi S, Kim JY, Lee JH, et al.
Nature communications (2025) 161: 2011. 135 302 IHC; tested species: human
Astroglial modulation of synaptic function in the non-demyelinated cerebellar cortex is dependent on MyD88 signaling in a model of toxic demyelination.
Lohrberg M, Mortensen LS, Thomas C, Fries F, van der Meer F, Götz A, Landt C, Rhee HJ, Rhee J, Gómez-Varela D, Schmidt M, et al.
Journal of neuroinflammation (2025) 221: 47. 135 302 IHC; tested species: mouse
Early-life stress of limited bedding/nesting material induced recognition memory loss and decreased hippocampal VGluT1 and nectin3 levels in aged male mice.
He ZC, Yu YJ, Wang T, Yin HR, Sun YX, Liu X, Xie XM, Wang HL, Su YA, Li JT, Si TM, et al.
Pharmacology, biochemistry, and behavior (2025) 249: 173980. 135 302 IHC; tested species: mouse
Decreased excitatory and increased inhibitory transmission in the hippocampal CA1 drive neuroinflammation-induced cognitive impairments in mice.
Wu XM, Shi CN, Liu K, Hu XY, He QL, Yao H, Fan D, Ma DQ, Yang JJ, Shen JC, Ji MH, et al.
Brain, behavior, and immunity (2025) 128: 416-428. 135 302 IHC; tested species: mouse
Pathogenic UNC13A variants cause a neurodevelopmental syndrome by impairing synaptic function.
Asadollahi R, Ahmad A, Boonsawat P, Shahanoor Hinzen J, Lohse M, Bouazza-Arostegui B, Sun S, Utesch T, Sommer JD, Ilic D, Padmanarayana M, et al.
Nature genetics (2025) 5711: 2691-2704. 135 302 IHC; tested species: mouse
miR-199a functions downstream of MeCP2 in neurons of MECP2 duplication syndrome models.
Akaba Y, Takahashi S, Adachi S, Nishimura M, Suzuki K, Nakashima H, Nakashima K, Kira R, Chong PF, Sakai Y, Hayashi Y, et al.
iScience (2025) 2811: 113789. 135 302 IHC; tested species: mouse
PKCγ-mediated Phosphorylation of Mtss1 Regulates the Dendritic Outgrowth and Spine Development of Cerebellar Purkinje Cells.
Torrents-Solé P, Sziber Z, Shimobayashi E, Kapfhammer JP
Molecular neurobiology (2025) 631: 168. 135 302 IHC; tested species: mouse
Creation of a novel CRISPR-generated allele to express HA epitope-tagged C1QL1 and improved methods for its detection at synapses.
Cheung HW, Schouw AD, Altunay ZM, Maddox JW, Kresic LC, McAllister BC, Caro K, Alam S, Huang A, Pijewski RS, Lee A, et al.
FEBS letters (2024) : . 135 302 IHC; tested species: mouse
4'-fluorocannabidiol associated with capsazepine restrains L-DOPA-induced dyskinesia in hemiparkinsonian mice: Contribution of anti-inflammatory and anti-glutamatergic mechanisms.
Dos Santos Pereira M, Dias de Abreu GH, Vanderlei LCA, Raisman-Vozari R, Guimarães FS, Lu HC, Michel PP, Del Bel E
Neuropharmacology (2024) 251: 109926. 135 302 IHC; tested species: mouse
Synaptic mechanisms for associative learning in the cerebellar nuclei.
Broersen R, Albergaria C, Carulli D, Carey MR, Canto CB, De Zeeuw CI
Nature communications (2023) 141: 7459. 135 302 IHC; tested species: mouse
Mutations in the transcriptional regulator MeCP2 severely impact key cellular and molecular signatures of human astrocytes during maturation.
Sun J, Osenberg S, Irwin A, Ma LH, Lee N, Xiang Y, Li F, Wan YW, Park IH, Maletic-Savatic M, Ballas N, et al.
Cell reports (2023) 421: 111942. 135 302 ICC, IHC; tested species: human
Reduced inhibitory and excitatory input onto parvalbumin interneurons mediated by perineuronal net might contribute to cognitive impairments in a mouse model of sepsis-associated encephalopathy.
Zhang L, Gao YZ, Zhao CJ, Xia JY, Yang JJ, Ji MH
Neuropharmacology (2023) 225: 109382. 135 302 IHC; tested species: mouse
Glutamatergic cerebellar neurons differentially contribute to the acquisition of motor and social behaviors.
van der Heijden ME, Rey Hipolito AG, Kim LH, Kizek DJ, Perez RM, Lin T, Sillitoe RV
Nature communications (2023) 141: 2771. 135 302 IHC; tested species: mouse
Loss of the parkinsonism-associated protein FBXO7 in glutamatergic forebrain neurons in mice leads to abnormal motor behavior and synaptic defects.
Wang J, Joseph S, Vingill S, Dere E, Tatenhorst L, Ronnenberg A, Lingor P, Preisinger C, Ehrenreich H, Schulz JB, Stegmüller J, et al.
Journal of neurochemistry (2023) : . 135 302 IHC; tested species: mouse
Heterogeneous complement and microglia activation mediates stress-induced synapse loss.
Soteros BM, Tillmon H, Wollet M, General J, Chin H, Lee JB, Carreno FR, Morilak DA, Kim JH, Sia GM
bioRxiv : the preprint server for biology (2023) : . 135 302 IHC; tested species: mouse
Trem2 expression in microglia is required to maintain normal neuronal bioenergetics during development.
Tagliatti E, Desiato G, Mancinelli S, Bizzotto M, Gagliani MC, Faggiani E, Hernández-Soto R, Cugurra A, Poliseno P, Miotto M, Argüello RJ, et al.
Immunity (2023) : . 135 302 IHC; tested species: mouse
Phospholipid scramblase Xkr8 is required for developmental axon pruning via phosphatidylserine exposure.
Neniskyte U, Kuliesiute U, Vadisiute A, Jevdokimenko K, Coletta L, Deivasigamani S, Pamedytyte D, Daugelaviciene N, Dabkeviciene D, Perlas E, Bali A, et al.
The EMBO journal (2023) 4214: e111790. 135 302 IHC; tested species: mouse
Synaptic circuits involving gastrin-releasing peptide receptor-expressing neurons in the dorsal horn of the mouse spinal cord.
Quillet R, Gutierrez-Mecinas M, Polgár E, Dickie AC, Boyle KA, Watanabe M, Todd AJ
Frontiers in molecular neuroscience (2023) 16: 1294994. 135 302 IHC; tested species: mouse
Massive Loss of Proprioceptive Ia Synapses in Rat Spinal Motoneurons after Nerve Crush Injuries in the Postnatal Period.
Arbat-Plana A, Bolívar S, Navarro X, Udina E, Alvarez FJ
eNeuro (2023) 102: . 135 302 IHC; tested species: rat
Spatiotemporal transcriptome atlas reveals the regional specification of the developing human brain.
Li Y, Li Z, Wang C, Yang M, He Z, Wang F, Zhang Y, Li R, Gong Y, Wang B, Fan B, et al.
Cell (2023) 18626: 5892-5909.e22. 135 302 IHC; tested species: human,mouse
Glutamatergic transmission and receptor expression in the synucleinopathy h-α-synL62 mouse model: Effects of hydromethylthionine.
Schwab K, Chasapopoulou Z, Frahm S, Magbagbeolu M, Cranston A, Harrington CR, Wischik CM, Theuring F, Riedel G
Cellular signalling (2022) 97: 110386. 135 302 IHC; tested species: mouse
When the front fails, the rear wins. Cerebellar correlates of prefrontal dysfunction in cocaine-induced memory in male rats.
Guarque-Chabrera J, Gil-Miravet I, Olucha-Bordonau F, Melchor-Eixea I, Miquel M
Progress in neuro-psychopharmacology & biological psychiatry (2022) 112: 110429. 135 302 IHC; tested species: rat
The neurons that restore walking after paralysis.
Kathe C, Skinnider MA, Hutson TH, Regazzi N, Gautier M, Demesmaeker R, Komi S, Ceto S, James ND, Cho N, Baud L, et al.
Nature (2022) 6117936: 540-547. 135 302 IHC; tested species: mouse
mTORC2 inhibition improves morphological effects of PTEN loss, but does not correct synaptic dysfunction or prevent seizures.
Cullen ER, Tariq K, Shore AN, Luikart BW, Weston MC
The Journal of neuroscience : the official journal of the Society for Neuroscience (2022) : . 135 302 IHC; tested species: mouse
CBP/p300 activation promotes axon growth, sprouting, and synaptic plasticity in chronic experimental spinal cord injury with severe disability.
Müller F, De Virgiliis F, Kong G, Zhou L, Serger E, Chadwick J, Sanchez-Vassopoulos A, Singh AK, Eswaramoorthy M, Kundu TK, Di Giovanni S, et al.
PLoS biology (2022) 209: e3001310. 135 302 IHC; tested species: mouse
Defective lipid signalling caused by mutations in PIK3C2B underlies focal epilepsy.
Gozzelino L, Kochlamazashvili G, Baldassari S, Mackintosh AI, Licchetta L, Iovino E, Liu YC, Bennett CA, Bennett MF, Damiano JA, Zsurka G, et al.
Brain : a journal of neurology (2022) 1457: 2313-2331. 135 302 WB, IHC; tested species: mouse
Concerted type I interferon signaling in microglia and neural cells promotes memory impairment associated with amyloid β plaques.
Roy ER, Chiu G, Li S, Propson NE, Kanchi R, Wang B, Coarfa C, Zheng H, Cao W
Immunity (2022) 555: 879-894.e6. 135 302 IHC; tested species: mouse
Alpha-Synuclein is Involved in DYT1 Dystonia Striatal Synaptic Dysfunction.
Ponterio G, Faustini G, El Atiallah I, Sciamanna G, Meringolo M, Tassone A, Imbriani P, Cerri S, Martella G, Bonsi P, Bellucci A, et al.
Movement disorders : official journal of the Movement Disorder Society (2022) : . 135 302 IHC; tested species: mouse
Differential vulnerability of adult neurogenic niches to dosage of the neurodevelopmental-disorder linked gene Foxg1.
Schäffner I, Wittmann MT, Vogel T, Lie DC
Molecular psychiatry (2022) : . 135 302 IHC; tested species: mouse
Oligophrenin-1 moderates behavioral responses to stress by regulating parvalbumin interneuron activity in the medial prefrontal cortex.
Wang M, Gallo NB, Tai Y, Li B, Van Aelst L
Neuron (2021) 10910: 1636-1656.e8. 135 302 IHC; tested species: mouse
Integrating pheromonal and spatial information in the amygdalo-hippocampal network.
Villafranca-Faus M, Vila-Martín ME, Esteve D, Merino E, Teruel-Sanchis A, Cervera-Ferri A, Martínez-Ricós J, Lloret A, Lanuza E, Teruel-Martí V
Nature communications (2021) 121: 5286. 135 302 IHC; tested species: mouse
Role of trace amine‑associated receptor 1 in the medial prefrontal cortex in chronic social stress-induced cognitive deficits in mice.
Zhang Y, Li JT, Wang H, Niu WP, Zhang CC, Zhang Y, Wang XD, Si TM, Su YA
Pharmacological research (2021) 167: 105571. 135 302 IHC; tested species: mouse
Characterizing the Retinal Phenotype of the Thy1-h[A30P]α-syn Mouse Model of Parkinson's Disease.
Veys L, Devroye J, Lefevere E, Cools L, Vandenabeele M, De Groef L
Frontiers in neuroscience (2021) 15: 726476. 135 302 IHC; tested species: mouse
Total Number and Ratio of GABAergic Neuron Types in the Mouse Lateral and Basal Amygdala.
Vereczki VK, Müller K, Krizsán É, Máté Z, Fekete Z, Rovira-Esteban L, Veres JM, Erdélyi F, Hájos N
The Journal of neuroscience : the official journal of the Society for Neuroscience (2021) 4121: 4575-4595. 135 302 IHC; tested species: mouse
Maturation of Purkinje cell firing properties relies on neurogenesis of excitatory neurons.
van der Heijden ME, Lackey EP, Perez R, Ișleyen FS, Brown AM, Donofrio SG, Lin T, Zoghbi HY, Sillitoe RV
eLife (2021) 10: . 135 302 IHC; tested species: mouse
Beneficial effects of dietary supplementation with green tea catechins and cocoa flavanols on aging-related regressive changes in the mouse neuromuscular system.
Gras S, Blasco A, Mòdol-Caballero G, Tarabal O, Casanovas A, Piedrafita L, Barranco A, Das T, Rueda R, Pereira SL, Navarro X, et al.
Aging (2021) 1314: 18051-18093. 135 302 IHC; tested species: mouse
Human spinal GABA neurons alleviate spasticity and improve locomotion in rats with spinal cord injury.
Gong C, Zheng X, Guo F, Wang Y, Zhang S, Chen J, Sun X, Shah SZA, Zheng Y, Li X, Yin Y, et al.
Cell reports (2021) 3412: 108889. 135 302 IHC; tested species: rat
Deleting Mecp2 from the cerebellum rather than its neuronal subtypes causes a delay in motor learning in mice.
Achilly NP, He LJ, Kim OA, Ohmae S, Wojaczynski GJ, Lin T, Sillitoe RV, Medina JF, Zoghbi HY
eLife (2021) 10: . 135 302 IHC; tested species: mouse
LKB1 coordinates neurite remodeling to drive synapse layer emergence in the outer retina.
Burger CA, Alevy J, Casasent AK, Jiang D, Albrecht NE, Liang JH, Hirano AA, Brecha N, Samuel MA
eLife (2020) 9: . 135 302 IHC; tested species: mouse
The mouse olfactory peduncle 4: Development of synapses, perineuronal nets, and capillaries.
Collins LN, Brunjes PC
The Journal of comparative neurology (2020) 5284: 637-649. 135 302 IHC; tested species: mouse
C1q Regulates Horizontal Cell Neurite Confinement in the Outer Retina.
Burger CA, Jiang D, Li F, Samuel MA
Frontiers in neural circuits (2020) 14: 583391. 135 302 IHC; tested species: mouse
Context-Specific Striatal Astrocyte Molecular Responses Are Phenotypically Exploitable.
Yu X, Nagai J, Marti-Solano M, Soto JS, Coppola G, Babu MM, Khakh BS
Neuron (2020) : . 135 302 IHC; tested species: mouse
A complement-microglial axis driving inhibitory synapse related protein loss might contribute to systemic inflammation-induced cognitive impairment.
Li SM, Li B, Zhang L, Zhang GF, Sun J, Ji MH, Yang JJ
International immunopharmacology (2020) 87: 106814. 135 302 WB, IHC; tested species: mouse
A High-Resolution Method for Quantitative Molecular Analysis of Functionally Characterized Individual Synapses.
Holderith N, Heredi J, Kis V, Nusser Z
Cell reports (2020) 324: 107968. 135 302 IHC; tested species: rat
Motoneuron deafferentation and gliosis occur in association with neuromuscular regressive changes during ageing in mice.
Blasco A, Gras S, Mòdol-Caballero G, Tarabal O, Casanovas A, Piedrafita L, Barranco A, Das T, Pereira SL, Navarro X, Rueda R, et al.
Journal of cachexia, sarcopenia and muscle (2020) : . 135 302 IHC; tested species: mouse
Induction of BDNF expression in layer II/III and layer V neurons of the motor cortex is essential for motor learning.
Andreska T, Rauskolb S, Scheffler N, Lüningschrör P, Sasi M, Signoret-Genest J, Behringer M, Blum R, Sauer M, Tovote P, Sendtner M, et al.
The Journal of neuroscience : the official journal of the Society for Neuroscience (2020) : . 135 302 IHC; tested species: mouse
Hyperactivity with Disrupted Attention by Activation of an Astrocyte Synaptogenic Cue.
Nagai J, Rajbhandari AK, Gangwani MR, Hachisuka A, Coppola G, Masmanidis SC, Fanselow MS, Khakh BS
Cell (2019) : . 135 302 IHC; tested species: mouse
Development of cone photoreceptors and their synapses in the human and monkey fovea.
Hendrickson A, Zhang C
The Journal of comparative neurology (2019) 5271: 38-51. 135 302 IHC; tested species: human,monkey
Regional differences in mitral cell development in mouse olfactory bulb.
Nguyen UP, Imamura F
The Journal of comparative neurology (2019) : . 135 302 IHC; tested species: mouse
Region-Restrict Astrocytes Exhibit Heterogeneous Susceptibility to Neuronal Reprogramming.
Hu X, Qin S, Huang X, Yuan Y, Tan Z, Gu Y, Cheng X, Wang D, Lian XF, He C, Su Z, et al.
Stem cell reports (2019) : . 135 302 IHC; tested species: mouse
Amot and Yap1 regulate neuronal dendritic tree complexity and locomotor coordination in mice.
Rojek KO, Krzemień J, Doleżyczek H, Boguszewski PM, Kaczmarek L, Konopka W, Rylski M, Jaworski J, Holmgren L, Prószyński TJ
PLoS biology (2019) 175: e3000253. 135 302 IHC; tested species: mouse
Early-life stress alters sleep structure and the excitatory-inhibitory balance in the nucleus accumbens in aged mice.
Wang T, Wang HL, Liu R, Wang H, Zhang Y, Sun YX, Su YA, Si TM, Li JT
Chinese medical journal (2019) 13213: 1582-1590. 135 302 IHC; tested species: mouse
Characterization of perinatally born glutamatergic neurons of the mouse olfactory bulb based on NeuroD6 expression reveals their resistance to sensory deprivation.
Angelova A, Platel JC, Béclin C, Cremer H, Coré N
The Journal of comparative neurology (2019) 5277: 1245-1260. 135 302 IHC; tested species: mouse
Reflex regulation of breathing by the paratrigeminal nucleus via multiple bulbar circuits.
Driessen AK, Farrell MJ, Dutschmann M, Stanic D, McGovern AE, Mazzone SB
Brain structure & function (2018) : . 135 302 IHC
Neurochemical fingerprinting of amygdalostriatal and intra-amygdaloid projections: a tracing-immunofluorescence study in the rat.
Wouterlood FG, van Oort S, Bloemhard L, Flierman NA, Spijkerman J, Wright CI, Beliën JAM, Groenewegen HJ
Journal of chemical neuroanatomy (2018) : . 135 302 IHC; tested species: rat
UBA1/GARS-dependent pathways drive sensory-motor connectivity defects in spinal muscular atrophy.
Shorrock HK, van der Hoorn D, Boyd PJ, Llavero Hurtado M, Lamont DJ, Wirth B, Sleigh JN, Schiavo G, Wishart TM, Groen EJN, Gillingwater TH, et al.
Brain : a journal of neurology (2018) : . 135 302 IHC; tested species: mouse
Ablation of the presynaptic organizer Bassoon in excitatory neurons retards dentate gyrus maturation and enhances learning performance.
Annamneedi A, Caliskan G, Müller S, Montag D, Budinger E, Angenstein F, Fejtova A, Tischmeyer W, Gundelfinger ED, Stork O
Brain structure & function (2018) : . 135 302 IHC; tested species: mouse
Hypothalamic CNTF volume transmission shapes cortical noradrenergic excitability upon acute stress.
Alpár A, Zahola P, Hanics J, Hevesi Z, Korchynska S, Benevento M, Pifl C, Zachar G, Perugini J, Severi I, Leitgeb P, et al.
The EMBO journal (2018) : . 135 302 IHC; tested species: mouse
Formation and Maintenance of Functional Spines in the Absence of Presynaptic Glutamate Release.
Sigler A, Oh WC, Imig C, Altas B, Kawabe H, Cooper BH, Kwon HB, Rhee JS, Brose N
Neuron (2017) 942: 304-311.e4. 135 302 IHC; tested species: mouse
Initial elevations in glutamate and dopamine neurotransmission decline with age, as does exploratory behavior, in LRRK2 G2019S knock-in mice.
Volta M, Beccano-Kelly DA, Paschall SA, Cataldi S, MacIsaac SE, Kuhlmann N, Kadgien CA, Tatarnikov I, Fox J, Khinda J, Mitchell E, et al.
eLife (2017) 6: . 135 302 IHC; tested species: mouse
Autism-like behaviours and enhanced memory formation and synaptic plasticity in Lrfn2/SALM1-deficient mice.
Morimura N, Yasuda H, Yamaguchi K, Katayama KI, Hatayama M, Tomioka NH, Odagawa M, Kamiya A, Iwayama Y, Maekawa M, Nakamura K, et al.
Nature communications (2017) 8: 15800. 135 302 IHC; tested species: mouse
Peripheral and central anatomical organization of cutaneous afferent subtypes in a rat nociceptive intersegmental spinal reflex.
Lee HJ, White JM, Chung J, Tansey KE
The Journal of comparative neurology (2017) 5259: 2216-2234. 135 302 IHC; tested species: rat
Mobile zinc increases rapidly in the retina after optic nerve injury and regulates ganglion cell survival and optic nerve regeneration.
Li Y, Andereggen L, Yuki K, Omura K, Yin Y, Gilbert HY, Erdogan B, Asdourian MS, Shrock C, de Lima S, Apfel UP, et al.
Proceedings of the National Academy of Sciences of the United States of America (2017) 1142: E209-E218. 135 302 IHC; tested species: mouse
Top2b is involved in the formation of outer segment and synapse during late-stage photoreceptor differentiation by controlling key genes of photoreceptor transcriptional regulatory network.
Li Y, Hao H, Swerdel MR, Cho HY, Lee KB, Hart RP, Lyu YL, Cai L
Journal of neuroscience research (2017) 9510: 1951-1964. 135 302 IHC; tested species: mouse
Local corticotropin releasing hormone (CRH) signals to its receptor CRHR1 during postnatal development of the mouse olfactory bulb.
Garcia I, Bhullar PK, Tepe B, Ortiz-Guzman J, Huang L, Herman AM, Chaboub L, Deneen B, Justice NJ, Arenkiel BR
Brain structure & function (2016) 2211: 1-20. 135 302 IHC
LAMP5 Fine-Tunes GABAergic Synaptic Transmission in Defined Circuits of the Mouse Brain.
Tiveron MC, Beurrier C, Céni C, Andriambao N, Combes A, Koehl M, Maurice N, Gatti E, Abrous DN, Kerkerian-Le Goff L, Pierre P, et al.
PloS one (2016) 116: e0157052. 135 302 IHC
Verification of the Cross Immunoreactivity of A60, a Mouse Monoclonal Antibody against Neuronal Nuclear Protein.
Mao S, Xiong G, Zhang L, Dong H, Liu B, Cohen NA, Cohen AS
Frontiers in neuroanatomy (2016) 10: 54. 135 302 IHC
Cerebellar synaptogenesis is compromised in mouse models of DYT1 dystonia.
Vanni V, Puglisi F, Bonsi P, Ponterio G, Maltese M, Pisani A, Mandolesi G
Experimental neurology (2015) 271: 457-67. 135 302 WB, ICC, IHC; tested species: mouse
NDRG2 as a marker protein for brain astrocytes.
Flügge G, Araya-Callis C, Garea-Rodriguez E, Stadelmann-Nessler C, Fuchs E
Cell and tissue research (2014) 3571: 31-41. 135 302 IHC; tested species: rat
Distribution of SNAP25, VAMP1 and VAMP2 in mature and developing deep cerebellar nuclei after estrogen administration.
Manca P, Mameli O, Caria MA, Torrejón-Escribano B, Blasi J
Neuroscience (2014) 266: 102-15. 135 302 WB, IHC
Regulation of glutamate release by heteromeric nicotinic receptors in layer V of the secondary motor region (Fr2) in the dorsomedial shoulder of prefrontal cortex in mouse.
Aracri P, Amadeo A, Pasini ME, Fascio U, Becchetti A
Synapse (New York, N.Y.) (2013) 676: 338-57. 135 302 WB, IHC; tested species: mouse
Immunocytochemical evidence of the localization of the Crumbs homologue 3 protein (CRB3) in the developing and mature mouse retina.
Herranz-Martín S, Jimeno D, Paniagua AE, Velasco A, Lara JM, Aijón J, Lillo C
PloS one (2012) 711: e50511. 135 302 IHC; tested species: mouse
Neuronal and glial differentiation during lizard (Gallotia galloti) visual system ontogeny.
Romero-Alemán MM, Monzón-Mayor M, Santos E, Lang DM, Yanes C
The Journal of comparative neurology (2012) 52010: 2163-84. 135 302 WB, IHC
Parasagittal compartmentation of cerebellar mossy fibers as revealed by the patterned expression of vesicular glutamate transporters VGLUT1 and VGLUT2.
Gebre SA, Reeber SL, Sillitoe RV
Brain structure & function (2012) 2172: 165-80. 135 302 IHC; tested species: mouse
Neuronal MHC class I molecules are involved in excitatory synaptic transmission at the hippocampal mossy fiber synapses of marmoset monkeys.
Ribic A, Zhang M, Schlumbohm C, Mätz-Rensing K, Uchanska-Ziegler B, Flügge G, Zhang W, Walter L, Fuchs E
Cellular and molecular neurobiology (2010) 306: 827-39. 135 302 IHC
GluRdelta2 expression in the mature cerebellum of hotfoot mice promotes parallel fiber synaptogenesis and axonal competition.
Mandolesi G, Autuori E, Cesa R, Premoselli F, Cesare P, Strata P
PloS one (2009) 44: e5243. 135 302 IHC
GABAergic terminals are required for postsynaptic clustering of dystrophin but not of GABA(A) receptors and gephyrin.
Brünig I, Suter A, Knuesel I, Lüscher B, Fritschy JM
The Journal of neuroscience : the official journal of the Society for Neuroscience (2002) 2212: 4805-13. 135 302 IHC; tested species: rat
APOE genotype determines cell-type-specific pathological landscape of Alzheimer's disease.
Li Z, Martens YA, Ren Y, Jin Y, Sekiya H, Doss SV, Kouri N, Castanedes-Casey M, Christensen TA, Miller Nevalainen LB, Takegami N, et al.
Neuron (2025) 1139: 1380-1397.e7. 135 302 IHC-P (FFPE); tested species: human
In vivo cerebellar circuit function is disrupted in an mdx mouse model of Duchenne muscular dystrophy.
Stay TL, Miterko LN, Arancillo M, Lin T, Sillitoe RV
Disease models & mechanisms (2019) : . 135 302 IHC-P (FFPE); tested species: mouse
The functional microscopic neuroanatomy of the human subthalamic nucleus.
Alkemade A, de Hollander G, Miletic S, Keuken MC, Balesar R, de Boer O, Swaab DF, Forstmann BU
Brain structure & function (2019) 2249: 3213-3227. 135 302 IHC-P (FFPE); tested species: human
Alpha-Synuclein transgenic mice, h-α-SynL62, display α-Syn aggregation and a dopaminergic phenotype reminiscent of Parkinson's disease.
Frahm S, Melis V, Horsley D, Rickard JE, Riedel G, Fadda P, Scherma M, Harrington CR, Wischik CM, Theuring F, Schwab K, et al.
Behavioural brain research (2018) 339: 153-168. 135 302 IHC-P (FFPE); tested species: mouse
Hippocampal distribution of vesicular glutamate transporter 1 in patients with temporal lobe epilepsy.
van der Hel WS, Verlinde SA, Meijer DH, de Wit M, Rensen MG, van Gassen KL, van Rijen PC, van Veelen CW, de Graan PN
Epilepsia (2009) 507: 1717-28. 135 302 IHC-P (FFPE); tested species: human
RIM-BP2 regulates Ca2+ channel abundance and neurotransmitter release at hippocampal mossy fiber terminals.
Miyano R, Sakamoto H, Hirose K, Sakaba T
eLife (2024) 12: . 135 302 IHC-Fr; tested species: mouse
Light-microscopy-based connectomic reconstruction of mammalian brain tissue.
Tavakoli MR, Lyudchik J, Januszewski M, Vistunou V, Agudelo Dueñas N, Vorlaufer J, Sommer C, Kreuzinger C, Oliveira B, Cenameri A, Novarino G, et al.
Nature (2025) 6428067: 398-410. 135 302 ExM; tested species: mouse
Intact corticostriatal function in aged system xc- - deficient mice.
De Pauw L, Villers A, Moore C, Lara O, Vanonckelen O, Verbruggen L, Sato H, Bentea E, Arckens L, Ris L, Ates G, et al.
Translational psychiatry (2025) 151: 471. 135 302 EM; tested species: mouse
Transplantation of neurons derived from human iPS cells cultured on collagen matrix into guinea-pig cochleae.
Ishikawa M, Ohnishi H, Skerleva D, Sakamoto T, Yamamoto N, Hotta A, Ito J, Nakagawa T
Journal of tissue engineering and regenerative medicine (2017) 116: 1766-1778. 135 302
Background

The vesicular glutamate transporter 1 VGLUT1, also referred to as BNPI and SLC17A7, was originally identified as a brain specific phosphate transporter. Like the related VGLUT2, VGLUT1 is both necessary and sufficient for uptake and storage of glutamate and thus comprises the sole determinant for a glutamatergic phenotype. Both VGLUTs are different from the plasma membrane transporters in that they are driven by a proton electrochemical gradient across the vesicle membrane.
VGLUT1 and VGLUT2 show complementary expression patterns. Together, they are currently the best markers for glutamatergic nerve terminals and glutamatergic synapses.

Certificates

ISO 9001 2015 Quality Management System and Green Lab Platinum certification level for sustaining laboratory processes.

Newsletter

Sign up for our newsletter and get the latest updates and news.
 

Please provide a valid E-Mail-Address
Please provide a valid First name
Please provide a valid Last name