Tailor-made Antibodies
and Tools for Life Science
Home | | | | | Technical Support

VGLUT1 (SLC17A7) antibody - 135 011 K.O.

VGluT1 is a glutamate transporter in the membrane of synaptic vesicles
Mouse monoclonal purified IgG
Cat. No.: 135 011
Amount: 100 µg
Price: $425.00
Cat. No. 135 011 100 µg purified IgG, lyophilized. Albumin and azide were added for stabilization. For reconstitution add 100 µl H2O to get a 1mg/ml solution in PBS. Then aliquot and store at -20°C to -80°C until use.
Antibodies should be stored at +4°C when still lyophilized. Do not freeze!
Applications
 
WB: 1 : 1000 up to 1 : 5000 (AP staining) (see remarks) gallery  
IP: yes
ICC: 1 : 500 up to 1 : 1000 (see remarks) gallery  
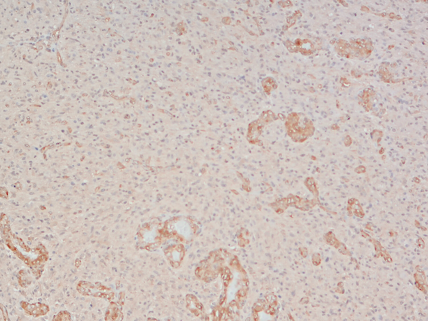
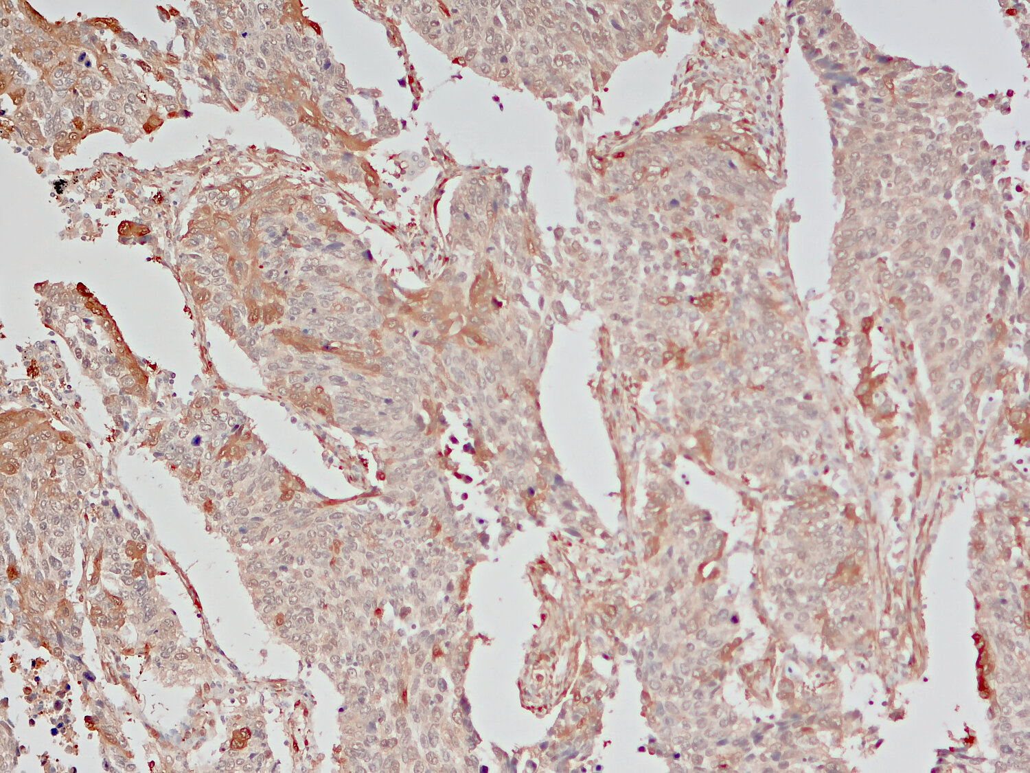
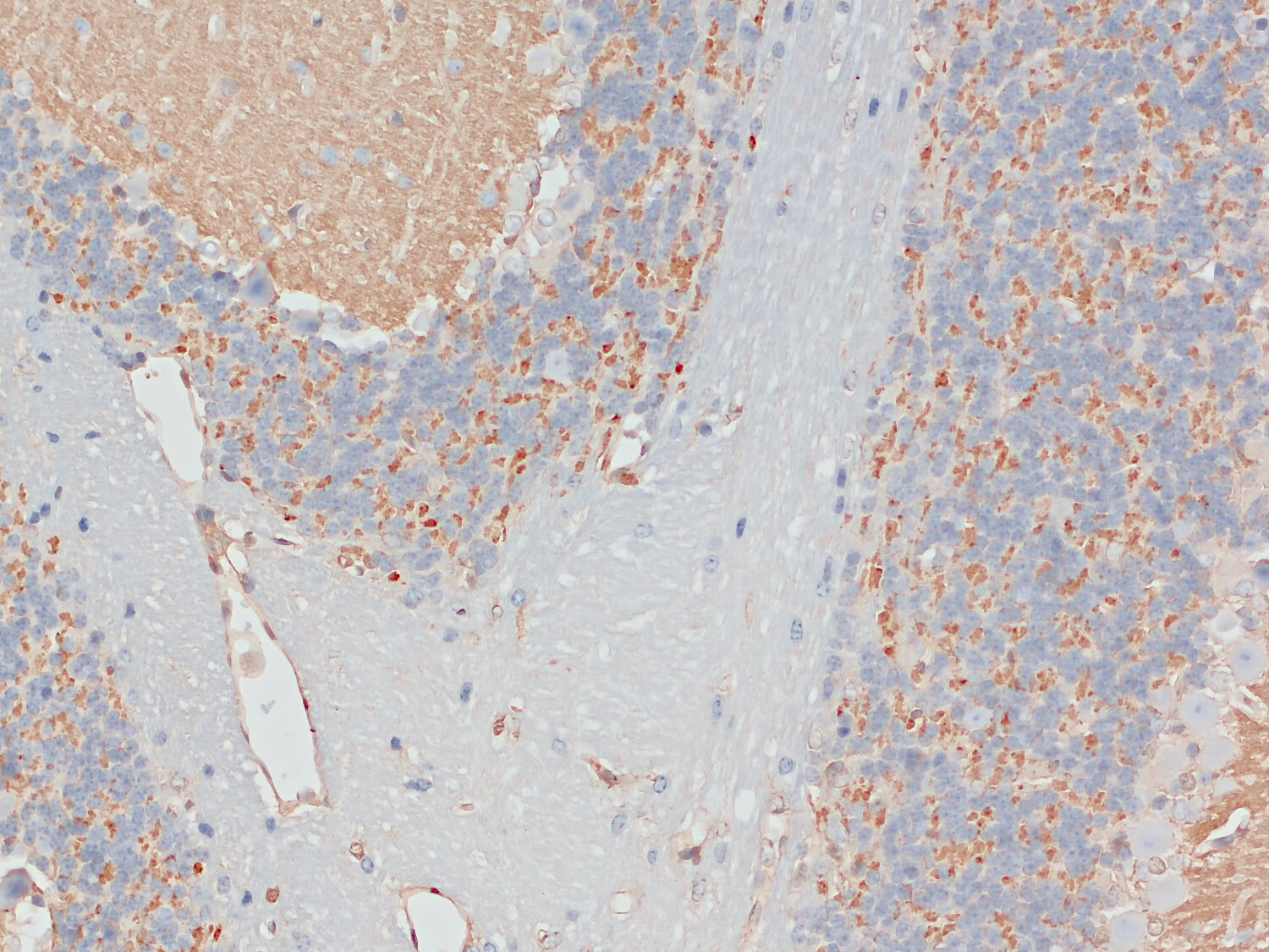
IHC: 1 : 500 up to 1 : 1000 gallery  
IHC-P (FFPE): 1 : 1000 (see remarks) gallery  

Western blot (WB); separation of proteins by PAGE and subsequent transfer to a membrane. Detection of target molecules is carried out with antibodies. Some antibodies require special sample preparation steps. For details, please refer to the “Remarks” section.

Immunoprecipitation (IP); Immunoisolation or pulldown of a target molecule using an antibody. For details and product specific hints, please refer to the ”Remarks” section.

Immunocytochemistry (ICC) on 4% PFA fixed cells. Immunoreactivity is usually revealed by fluorescence. Some antibodies require special fixation methods. For details, please refer to the “Remarks” section.

Immunohistochemistry (IHC) on 4% PFA perfusion fixed tissue with 24h PFA post fixation. Immunoreactivity is usually revealed by fluorescence or a chromogenic substrate. Some antibodies require special fixation methods or antigen retrieval steps. For details, please refer to the ”Remarks” section.

Immunohistochemistry (IHC-P) of formalin fixed, paraffin embedded (FFPE) tissue (some antibodies require special antigen retrieval steps, please refer to the ”Remarks” section). Immunoreactivity is usually revealed by fluorescence or a chromogenic substrate.

Clone 68B7
Subtype IgG1 (κ light chain)
Immunogen Synthetic peptide corresponding to residues near the carboxy terminus of rat VGLUT 1 (UniProt Id: Q62634)
Reactivity Reacts with: rat (Q62634), mouse (Q3TXX4), human (Q9P2U7).
Other species not tested yet.
Specificity K.O. validated
Matching control protein/peptide 135-0P
Remarks

WB: To avoid protein aggregation, do not heat samples for SDS-PAGE.
This antibody is highly recommended for Western blot experiments.
ICC: The following fixatives are possible: 4% formaldehyde/PFA, acetone.
IHC-P (FFPE): Antibody shows unspecific detection of endothelial cells.

Data sheet Datasheet 135_011

References for VGLUT1 - 135 011

The impact of exogenous Oxytocin on visual cortex plasticity across different stages of visual development.
Sun Y, Wang X, Chen Y, Luan Z, Hao R
Scientific reports (2025) 151: 12137. 135 011 WB, IHC; tested species: mouse
Vitamin D Regulates Olfactory Function via Dual Transcriptional and mTOR-Dependent Translational Control of Synaptic Proteins.
Ren P, Cao R, Ye X, Pang W, Bi Q, Huang M, Zhou Q, Ye D, Xiang W, Xiao L
Advanced science (Weinheim, Baden-Wurttemberg, Germany) (2025) : e07181. 135 011 WB; tested species: mouse
Meningeal lymphatics-microglia axis regulates synaptic physiology.
Kim K, Abramishvili D, Du S, Papadopoulos Z, Cao J, Herz J, Smirnov I, Thomas JL, Colonna M, Kipnis J
Cell (2025) 18810: 2705-2719.e23. 135 011 WB; tested species: mouse
Monitoring of activity-driven trafficking of endogenous synaptic proteins through proximity labeling.
Pascual-Caro C, de Juan-Sanz J
PLoS biology (2024) 2210: e3002860. 135 011 WB; tested species: rat
VPS13A knockdown impairs corticostriatal synaptic plasticity and locomotor behavior in a new mouse model of chorea-acanthocytosis.
García-García E, Ramón-Lainez A, Conde-Berriozabal S, Del Toro D, Escaramis G, Giralt A, Masana M, Alberch J, Rodríguez MJ
Neurobiology of disease (2023) 187: 106292. 135 011 WB; tested species: mouse
Enriched environment attenuates hippocampal theta and gamma rhythms dysfunction in chronic cerebral hypoperfusion via improving imbalanced neural afferent levels.
Zheng J, Peng S, Cui L, Liu X, Li T, Zhao Z, Li Y, Hu Y, Zhang M, Xu L, Zhang J, et al.
Frontiers in cellular neuroscience (2023) 17: 985246. 135 011 WB; tested species: rat
Colocalization of different neurotransmitter transporters on synaptic vesicles is sparse except for VGLUT1 and ZnT3.
Upmanyu N, Jin J, Emde HV, Ganzella M, Bösche L, Malviya VN, Zhuleku E, Politi AZ, Ninov M, Silbern I, Leutenegger M, et al.
Neuron (2022) : . 135 011 WB, UPTAKE; tested species: rat
Maternal stress and vulnerability to depression: coping and maternal care strategies and its consequences on adolescent offspring.
Alves RL, Portugal CC, Lopes IM, Oliveira P, Alves CJ, Barbosa F, Summavielle T, Magalhães A
Translational psychiatry (2022) 121: 463. 135 011 WB; tested species: mouse
CUL3 Deficiency Causes Social Deficits and Anxiety-like Behaviors by Impairing Excitation-Inhibition Balance through the Promotion of Cap-Dependent Translation.
Dong Z, Chen W, Chen C, Wang H, Cui W, Tan Z, Robinson H, Gao N, Luo B, Zhang L, Zhao K, et al.
Neuron (2020) 1053: 475-490.e6. 135 011 WB; tested species: mouse
Distinct insulin granule subpopulations implicated in the secretory pathology of diabetes types 1 and 2.
Kreutzberger AJB, Kiessling V, Doyle CA, Schenk N, Upchurch CM, Elmer-Dixon M, Ward AE, Preobraschenski J, Hussein SS, Tomaka W, Seelheim P, et al.
eLife (2020) 9: . 135 011 WB; tested species: rat
Synaptic zinc contributes to motor and cognitive deficits in 6-hydroxydopamine mouse models of Parkinson's disease.
Sikora J, Kieffer BL, Paoletti P, Ouagazzal AM
Neurobiology of disease (2019) 134: 104681. 135 011 WB; tested species: mouse
Functional synapses between neurons and small cell lung cancer.
Sakthivelu V, Schmitt A, Odenthal F, Ndoci K, Touet M, Shaib AH, Chihab A, Wani GA, Nieper P, Hartmann GG, Pintelon I, et al.
Nature (2025) 6468087: 1243-1253. 135 011 ICC; tested species: mouse
Real-time visualization of structural dynamics of synapses in live cells in vivo.
Son S, Nagahama K, Lee J, Jung K, Kwak C, Kim J, Noh YW, Kim E, Lee S, Kwon HB, Heo WD, et al.
Nature methods (2024) : . 135 011 ICC; tested species: rat
Hydroxynorketamine, but not ketamine, acts via α7 nicotinic acetylcholine receptor to control presynaptic function and gene expression.
Guhathakurta D, Petrušková A, Akdaş EY, Perelló-Amorós B, Frischknecht R, Anni D, Weiss EM, Walter M, Fejtová A
Translational psychiatry (2024) 141: 47. 135 011 ICC; tested species: mouse
Time-dependent homeostatic mechanisms underlie brain-derived neurotrophic factor action on neural circuitry.
O'Neill KM, Anderson ED, Mukherjee S, Gandu S, McEwan SA, Omelchenko A, Rodriguez AR, Losert W, Meaney DF, Babadi B, Firestein BL, et al.
Communications biology (2023) 61: 1278. 135 011 ICC; tested species: rat
Bisphenol-A impairs synaptic formation and function by RGS4-mediated regulation of BDNF signaling in the cerebral cortex.
Hyun SA, Ko MY, Jang S, Lee BS, Rho J, Kim KK, Kim WY, Ka M
Disease models & mechanisms (2022) 157: . 135 011 ICC; tested species: mouse
Long-Term Cultures of Spinal Cord Interneurons.
Vargova I, Kriska J, Kwok JCF, Fawcett JW, Jendelova P
Frontiers in cellular neuroscience (2022) 16: 827628. 135 011 ICC; tested species: mouse
Pharmacological reversal of synaptic and network pathology in human MECP2-KO neurons and cortical organoids.
Trujillo CA, Adams JW, Negraes PD, Carromeu C, Tejwani L, Acab A, Tsuda B, Thomas CA, Sodhi N, Fichter KM, Romero S, et al.
EMBO molecular medicine (2021) 131: e12523. 135 011 ICC; tested species: human
Postnatal expression profiles of atypical cadherin FAT1 suggest its role in autism.
Frei JA, Brandenburg C, Nestor JE, Hodzic DM, Plachez C, McNeill H, Dykxhoorn DM, Nestor MW, Blatt GJ, Lin YC
Biology open (2021) : . 135 011 ICC; tested species: mouse
Endogenous β-neurexins on axons and within synapses show regulated dynamic behavior.
Klatt O, Repetto D, Brockhaus J, Reissner C, El Khallouqi A, Rohlmann A, Heine M, Missler M
Cell reports (2021) 3511: 109266. 135 011 ICC; tested species: mouse
Premature termination codon readthrough upregulates progranulin expression and improves lysosomal function in preclinical models of GRN deficiency.
Frew J, Baradaran-Heravi A, Balgi AD, Wu X, Yan TD, Arns S, Shidmoossavee FS, Tan J, Jaquith JB, Jansen-West KR, Lynn FC, et al.
Molecular neurodegeneration (2020) 151: 21. 135 011 ICC; tested species: human
Altered fast synaptic transmission in a mouse model of DNM1-associated developmental epileptic encephalopathy.
McCabe MP, Shore AN, Frankel WN, Weston MC
eNeuro (2020) : . 135 011 ICC; tested species: mouse
Neurocalcin Delta Knockout Impairs Adult Neurogenesis Whereas Half Reduction Is Not Pathological.
Upadhyay A, Hosseinibarkooie S, Schneider S, Kaczmarek A, Torres-Benito L, Mendoza-Ferreira N, Overhoff M, Rombo R, Grysko V, Kye MJ, Kononenko NL, et al.
Frontiers in molecular neuroscience (2019) 12: 19. 135 011 ICC; tested species: mouse
Setd5 haploinsufficiency alters neuronal network connectivity and leads to autistic-like behaviors in mice.
Moore SM, Seidman JS, Ellegood J, Gao R, Savchenko A, Troutman TD, Abe Y, Stender J, Lee D, Wang S, Voytek B, et al.
Translational psychiatry (2019) 91: 24. 135 011 ICC; tested species: mouse
Ablation of Unilateral Hippocampal GABAergic Neurons: A Novel Mouse Model of Mesial Temporal Lobe Epilepsy With Hippocampal Sclerosis.
Tang T, Xu J, Fu B, Geng C, Li Y, Qi Y, Hou C, He J, Wang Y, Luo Y, Zhao G, et al.
CNS neuroscience & therapeutics (2026) 322: e70772. 135 011 IHC; tested species: mouse
The impact of exogenous Oxytocin on visual cortex plasticity across different stages of visual development.
Sun Y, Wang X, Chen Y, Luan Z, Hao R
Scientific reports (2025) 151: 12137. 135 011 WB, IHC; tested species: mouse
The Influence of Changes in Microglia Development on the Plasticity of the Developing Visual Cortex Circuit in Juvenile Mice.
Wang X, Li K, Guo L, Liu X, Guo Y, Zhang W
Investigative ophthalmology & visual science (2025) 664: 45. 135 011 IHC; tested species: mouse
Selectively vulnerable deep cortical layer 5/6 fast-spiking interneurons in Alzheimer's disease models in vivo.
Papanikolaou A, Graykowski D, Lee BI, Yang M, Ellingford R, Zünkler J, Bond SA, Rowland JM, Rajani RM, Harris SS, Sharp DJ, et al.
Neuron (2025) : . 135 011 IHC; tested species: mouse
Low-dose cannabidiol treatment prevents chronic stress-induced phenotypes and is associated with multiple synaptic changes across various brain regions.
Borràs-Pernas S, Sancho-Balsells A, Patterer L, Wang M, Del Toro D, Alberch J, Schibano D, Espel J, Heybeck M, Scheidel B, Giralt A, et al.
Neuropharmacology (2025) 277: 110526. 135 011 IHC; tested species: mouse
FUT8 Regulates Cerebellar Neurogenesis and Development Through Maintaining the Level of Neural Cell Adhesion Molecule Cntn2.
Wei K, Zhang J, Qu W, Zhu J, Zhu Q, Yi W, Zou C, Ma D, Li X
Molecular neurobiology (2025) 625: 5679-5694. 135 011 IHC; tested species: mouse
Environmental enrichment highlights mitochondrial inner membrane function as a therapeutic target for sepsis-associated encephalopathy.
Wang SX, Yin XY, Jian JX, Ji MH, Yang JJ, Shen JC
Brain research (2025) 1864: 149790. 135 011 IHC; tested species: mouse
Neuroimmune Microenvironment Reprogramming via Immuno-piezoelectric Transducers for Synergistic Stem Cell Therapy in Traumatic Brain Injury.
Liang L, Li X, Hu K, Cai P, Wang J, Yu J, Wang S, Zhao Y, Xu C, Li S, Liu H, et al.
Advanced materials (Deerfield Beach, Fla.) (2025) : e12810. 135 011 IHC; tested species: rat
Decreased excitatory and increased inhibitory transmission in the hippocampal CA1 drive neuroinflammation-induced cognitive impairments in mice.
Wu XM, Shi CN, Liu K, Hu XY, He QL, Yao H, Fan D, Ma DQ, Yang JJ, Shen JC, Ji MH, et al.
Brain, behavior, and immunity (2025) 128: 416-428. 135 011 IHC; tested species: mouse
Oxytocin ameliorates cognitive impairments by attenuating excitation/inhibition imbalance of neurotransmitters acting on parvalbumin interneurons in a mouse model of sepsis-associated encephalopathy.
Li RQ, Zeng QT, Ji MH, Zhang Y, Mao MJ, Feng SW, Duan ML, Zhou ZQ
Journal of biomedical research (2024) : 1-14. 135 011 IHC; tested species: mouse
α-Synuclein aggregation decreases cortico-amygdala connectivity and impairs social behavior in mice.
Zhou W, Daniels S, Singh V, Menard M, Escobar Galvis ML, Chu HY
Neurobiology of disease (2024) 202: 106702. 135 011 IHC; tested species: mouse
HMGB1 mediates synaptic loss and cognitive impairment in an animal model of sepsis-associated encephalopathy.
Yin XY, Tang XH, Wang SX, Zhao YC, Jia M, Yang JJ, Ji MH, Shen JC
Journal of neuroinflammation (2023) 201: 69. 135 011 IHC; tested species: mouse
Interleukin-4 receptor signaling modulates neuronal network activity.
Hanuscheck N, Thalman C, Domingues M, Schmaul S, Muthuraman M, Hetsch F, Ecker M, Endle H, Oshaghi M, Martino G, Kuhlmann T, et al.
The Journal of experimental medicine (2022) 2196: . 135 011 IHC; tested species: mouse
Analyzing schizophrenia-related phenotypes in mice caused by autoantibodies against NRXN1α in schizophrenia.
Shiwaku H, Katayama S, Gao M, Kondo K, Nakano Y, Motokawa Y, Toyoda S, Yoshida F, Hori H, Kubota T, Ishikawa K, et al.
Brain, behavior, and immunity (2023) 111: 32-45. 135 011 IHC-P (FFPE); tested species: mouse
Spatial proteomics in neurons at single-protein resolution.
Unterauer EM, Shetab Boushehri S, Jevdokimenko K, Masullo LA, Ganji M, Sograte-Idrissi S, Kowalewski R, Strauss S, Reinhardt SCM, Perovic A, Marr C, et al.
Cell (2024) 1877: 1785-1800.e16. 135 011 DNA-PAINT; tested species: rat
Colocalization of different neurotransmitter transporters on synaptic vesicles is sparse except for VGLUT1 and ZnT3.
Upmanyu N, Jin J, Emde HV, Ganzella M, Bösche L, Malviya VN, Zhuleku E, Politi AZ, Ninov M, Silbern I, Leutenegger M, et al.
Neuron (2022) : . 135 011 WB, UPTAKE; tested species: rat
Cat. No.: 135 011
Amount: 100 µg
Price: $425.00
The impact of exogenous Oxytocin on visual cortex plasticity across different stages of visual development.
Sun Y, Wang X, Chen Y, Luan Z, Hao R
Scientific reports (2025) 151: 12137. 135 011 WB, IHC; tested species: mouse
Vitamin D Regulates Olfactory Function via Dual Transcriptional and mTOR-Dependent Translational Control of Synaptic Proteins.
Ren P, Cao R, Ye X, Pang W, Bi Q, Huang M, Zhou Q, Ye D, Xiang W, Xiao L
Advanced science (Weinheim, Baden-Wurttemberg, Germany) (2025) : e07181. 135 011 WB; tested species: mouse
Meningeal lymphatics-microglia axis regulates synaptic physiology.
Kim K, Abramishvili D, Du S, Papadopoulos Z, Cao J, Herz J, Smirnov I, Thomas JL, Colonna M, Kipnis J
Cell (2025) 18810: 2705-2719.e23. 135 011 WB; tested species: mouse
Monitoring of activity-driven trafficking of endogenous synaptic proteins through proximity labeling.
Pascual-Caro C, de Juan-Sanz J
PLoS biology (2024) 2210: e3002860. 135 011 WB; tested species: rat
VPS13A knockdown impairs corticostriatal synaptic plasticity and locomotor behavior in a new mouse model of chorea-acanthocytosis.
García-García E, Ramón-Lainez A, Conde-Berriozabal S, Del Toro D, Escaramis G, Giralt A, Masana M, Alberch J, Rodríguez MJ
Neurobiology of disease (2023) 187: 106292. 135 011 WB; tested species: mouse
Enriched environment attenuates hippocampal theta and gamma rhythms dysfunction in chronic cerebral hypoperfusion via improving imbalanced neural afferent levels.
Zheng J, Peng S, Cui L, Liu X, Li T, Zhao Z, Li Y, Hu Y, Zhang M, Xu L, Zhang J, et al.
Frontiers in cellular neuroscience (2023) 17: 985246. 135 011 WB; tested species: rat
Colocalization of different neurotransmitter transporters on synaptic vesicles is sparse except for VGLUT1 and ZnT3.
Upmanyu N, Jin J, Emde HV, Ganzella M, Bösche L, Malviya VN, Zhuleku E, Politi AZ, Ninov M, Silbern I, Leutenegger M, et al.
Neuron (2022) : . 135 011 WB, UPTAKE; tested species: rat
Maternal stress and vulnerability to depression: coping and maternal care strategies and its consequences on adolescent offspring.
Alves RL, Portugal CC, Lopes IM, Oliveira P, Alves CJ, Barbosa F, Summavielle T, Magalhães A
Translational psychiatry (2022) 121: 463. 135 011 WB; tested species: mouse
CUL3 Deficiency Causes Social Deficits and Anxiety-like Behaviors by Impairing Excitation-Inhibition Balance through the Promotion of Cap-Dependent Translation.
Dong Z, Chen W, Chen C, Wang H, Cui W, Tan Z, Robinson H, Gao N, Luo B, Zhang L, Zhao K, et al.
Neuron (2020) 1053: 475-490.e6. 135 011 WB; tested species: mouse
Distinct insulin granule subpopulations implicated in the secretory pathology of diabetes types 1 and 2.
Kreutzberger AJB, Kiessling V, Doyle CA, Schenk N, Upchurch CM, Elmer-Dixon M, Ward AE, Preobraschenski J, Hussein SS, Tomaka W, Seelheim P, et al.
eLife (2020) 9: . 135 011 WB; tested species: rat
Synaptic zinc contributes to motor and cognitive deficits in 6-hydroxydopamine mouse models of Parkinson's disease.
Sikora J, Kieffer BL, Paoletti P, Ouagazzal AM
Neurobiology of disease (2019) 134: 104681. 135 011 WB; tested species: mouse
Functional synapses between neurons and small cell lung cancer.
Sakthivelu V, Schmitt A, Odenthal F, Ndoci K, Touet M, Shaib AH, Chihab A, Wani GA, Nieper P, Hartmann GG, Pintelon I, et al.
Nature (2025) 6468087: 1243-1253. 135 011 ICC; tested species: mouse
Real-time visualization of structural dynamics of synapses in live cells in vivo.
Son S, Nagahama K, Lee J, Jung K, Kwak C, Kim J, Noh YW, Kim E, Lee S, Kwon HB, Heo WD, et al.
Nature methods (2024) : . 135 011 ICC; tested species: rat
Hydroxynorketamine, but not ketamine, acts via α7 nicotinic acetylcholine receptor to control presynaptic function and gene expression.
Guhathakurta D, Petrušková A, Akdaş EY, Perelló-Amorós B, Frischknecht R, Anni D, Weiss EM, Walter M, Fejtová A
Translational psychiatry (2024) 141: 47. 135 011 ICC; tested species: mouse
Time-dependent homeostatic mechanisms underlie brain-derived neurotrophic factor action on neural circuitry.
O'Neill KM, Anderson ED, Mukherjee S, Gandu S, McEwan SA, Omelchenko A, Rodriguez AR, Losert W, Meaney DF, Babadi B, Firestein BL, et al.
Communications biology (2023) 61: 1278. 135 011 ICC; tested species: rat
Bisphenol-A impairs synaptic formation and function by RGS4-mediated regulation of BDNF signaling in the cerebral cortex.
Hyun SA, Ko MY, Jang S, Lee BS, Rho J, Kim KK, Kim WY, Ka M
Disease models & mechanisms (2022) 157: . 135 011 ICC; tested species: mouse
Long-Term Cultures of Spinal Cord Interneurons.
Vargova I, Kriska J, Kwok JCF, Fawcett JW, Jendelova P
Frontiers in cellular neuroscience (2022) 16: 827628. 135 011 ICC; tested species: mouse
Pharmacological reversal of synaptic and network pathology in human MECP2-KO neurons and cortical organoids.
Trujillo CA, Adams JW, Negraes PD, Carromeu C, Tejwani L, Acab A, Tsuda B, Thomas CA, Sodhi N, Fichter KM, Romero S, et al.
EMBO molecular medicine (2021) 131: e12523. 135 011 ICC; tested species: human
Postnatal expression profiles of atypical cadherin FAT1 suggest its role in autism.
Frei JA, Brandenburg C, Nestor JE, Hodzic DM, Plachez C, McNeill H, Dykxhoorn DM, Nestor MW, Blatt GJ, Lin YC
Biology open (2021) : . 135 011 ICC; tested species: mouse
Endogenous β-neurexins on axons and within synapses show regulated dynamic behavior.
Klatt O, Repetto D, Brockhaus J, Reissner C, El Khallouqi A, Rohlmann A, Heine M, Missler M
Cell reports (2021) 3511: 109266. 135 011 ICC; tested species: mouse
Premature termination codon readthrough upregulates progranulin expression and improves lysosomal function in preclinical models of GRN deficiency.
Frew J, Baradaran-Heravi A, Balgi AD, Wu X, Yan TD, Arns S, Shidmoossavee FS, Tan J, Jaquith JB, Jansen-West KR, Lynn FC, et al.
Molecular neurodegeneration (2020) 151: 21. 135 011 ICC; tested species: human
Altered fast synaptic transmission in a mouse model of DNM1-associated developmental epileptic encephalopathy.
McCabe MP, Shore AN, Frankel WN, Weston MC
eNeuro (2020) : . 135 011 ICC; tested species: mouse
Neurocalcin Delta Knockout Impairs Adult Neurogenesis Whereas Half Reduction Is Not Pathological.
Upadhyay A, Hosseinibarkooie S, Schneider S, Kaczmarek A, Torres-Benito L, Mendoza-Ferreira N, Overhoff M, Rombo R, Grysko V, Kye MJ, Kononenko NL, et al.
Frontiers in molecular neuroscience (2019) 12: 19. 135 011 ICC; tested species: mouse
Setd5 haploinsufficiency alters neuronal network connectivity and leads to autistic-like behaviors in mice.
Moore SM, Seidman JS, Ellegood J, Gao R, Savchenko A, Troutman TD, Abe Y, Stender J, Lee D, Wang S, Voytek B, et al.
Translational psychiatry (2019) 91: 24. 135 011 ICC; tested species: mouse
Ablation of Unilateral Hippocampal GABAergic Neurons: A Novel Mouse Model of Mesial Temporal Lobe Epilepsy With Hippocampal Sclerosis.
Tang T, Xu J, Fu B, Geng C, Li Y, Qi Y, Hou C, He J, Wang Y, Luo Y, Zhao G, et al.
CNS neuroscience & therapeutics (2026) 322: e70772. 135 011 IHC; tested species: mouse
The impact of exogenous Oxytocin on visual cortex plasticity across different stages of visual development.
Sun Y, Wang X, Chen Y, Luan Z, Hao R
Scientific reports (2025) 151: 12137. 135 011 WB, IHC; tested species: mouse
The Influence of Changes in Microglia Development on the Plasticity of the Developing Visual Cortex Circuit in Juvenile Mice.
Wang X, Li K, Guo L, Liu X, Guo Y, Zhang W
Investigative ophthalmology & visual science (2025) 664: 45. 135 011 IHC; tested species: mouse
Selectively vulnerable deep cortical layer 5/6 fast-spiking interneurons in Alzheimer's disease models in vivo.
Papanikolaou A, Graykowski D, Lee BI, Yang M, Ellingford R, Zünkler J, Bond SA, Rowland JM, Rajani RM, Harris SS, Sharp DJ, et al.
Neuron (2025) : . 135 011 IHC; tested species: mouse
Low-dose cannabidiol treatment prevents chronic stress-induced phenotypes and is associated with multiple synaptic changes across various brain regions.
Borràs-Pernas S, Sancho-Balsells A, Patterer L, Wang M, Del Toro D, Alberch J, Schibano D, Espel J, Heybeck M, Scheidel B, Giralt A, et al.
Neuropharmacology (2025) 277: 110526. 135 011 IHC; tested species: mouse
FUT8 Regulates Cerebellar Neurogenesis and Development Through Maintaining the Level of Neural Cell Adhesion Molecule Cntn2.
Wei K, Zhang J, Qu W, Zhu J, Zhu Q, Yi W, Zou C, Ma D, Li X
Molecular neurobiology (2025) 625: 5679-5694. 135 011 IHC; tested species: mouse
Environmental enrichment highlights mitochondrial inner membrane function as a therapeutic target for sepsis-associated encephalopathy.
Wang SX, Yin XY, Jian JX, Ji MH, Yang JJ, Shen JC
Brain research (2025) 1864: 149790. 135 011 IHC; tested species: mouse
Neuroimmune Microenvironment Reprogramming via Immuno-piezoelectric Transducers for Synergistic Stem Cell Therapy in Traumatic Brain Injury.
Liang L, Li X, Hu K, Cai P, Wang J, Yu J, Wang S, Zhao Y, Xu C, Li S, Liu H, et al.
Advanced materials (Deerfield Beach, Fla.) (2025) : e12810. 135 011 IHC; tested species: rat
Decreased excitatory and increased inhibitory transmission in the hippocampal CA1 drive neuroinflammation-induced cognitive impairments in mice.
Wu XM, Shi CN, Liu K, Hu XY, He QL, Yao H, Fan D, Ma DQ, Yang JJ, Shen JC, Ji MH, et al.
Brain, behavior, and immunity (2025) 128: 416-428. 135 011 IHC; tested species: mouse
Oxytocin ameliorates cognitive impairments by attenuating excitation/inhibition imbalance of neurotransmitters acting on parvalbumin interneurons in a mouse model of sepsis-associated encephalopathy.
Li RQ, Zeng QT, Ji MH, Zhang Y, Mao MJ, Feng SW, Duan ML, Zhou ZQ
Journal of biomedical research (2024) : 1-14. 135 011 IHC; tested species: mouse
α-Synuclein aggregation decreases cortico-amygdala connectivity and impairs social behavior in mice.
Zhou W, Daniels S, Singh V, Menard M, Escobar Galvis ML, Chu HY
Neurobiology of disease (2024) 202: 106702. 135 011 IHC; tested species: mouse
HMGB1 mediates synaptic loss and cognitive impairment in an animal model of sepsis-associated encephalopathy.
Yin XY, Tang XH, Wang SX, Zhao YC, Jia M, Yang JJ, Ji MH, Shen JC
Journal of neuroinflammation (2023) 201: 69. 135 011 IHC; tested species: mouse
Interleukin-4 receptor signaling modulates neuronal network activity.
Hanuscheck N, Thalman C, Domingues M, Schmaul S, Muthuraman M, Hetsch F, Ecker M, Endle H, Oshaghi M, Martino G, Kuhlmann T, et al.
The Journal of experimental medicine (2022) 2196: . 135 011 IHC; tested species: mouse
Analyzing schizophrenia-related phenotypes in mice caused by autoantibodies against NRXN1α in schizophrenia.
Shiwaku H, Katayama S, Gao M, Kondo K, Nakano Y, Motokawa Y, Toyoda S, Yoshida F, Hori H, Kubota T, Ishikawa K, et al.
Brain, behavior, and immunity (2023) 111: 32-45. 135 011 IHC-P (FFPE); tested species: mouse
Spatial proteomics in neurons at single-protein resolution.
Unterauer EM, Shetab Boushehri S, Jevdokimenko K, Masullo LA, Ganji M, Sograte-Idrissi S, Kowalewski R, Strauss S, Reinhardt SCM, Perovic A, Marr C, et al.
Cell (2024) 1877: 1785-1800.e16. 135 011 DNA-PAINT; tested species: rat
Colocalization of different neurotransmitter transporters on synaptic vesicles is sparse except for VGLUT1 and ZnT3.
Upmanyu N, Jin J, Emde HV, Ganzella M, Bösche L, Malviya VN, Zhuleku E, Politi AZ, Ninov M, Silbern I, Leutenegger M, et al.
Neuron (2022) : . 135 011 WB, UPTAKE; tested species: rat
Background

The vesicular glutamate transporter 1 VGLUT1, also referred to as BNPI and SLC17A7, was originally identified as a brain specific phosphate transporter. Like the related VGLUT2, VGLUT1 is both necessary and sufficient for uptake and storage of glutamate and thus comprises the sole determinant for a glutamatergic phenotype. Both VGLUTs are different from the plasma membrane transporters in that they are driven by a proton electrochemical gradient across the vesicle membrane.
VGLUT1 and VGLUT2 show complementary expression patterns. Together, they are currently the best markers for glutamatergic nerve terminals and glutamatergic synapses.

Certificates

ISO 9001 2015 Quality Management System and Green Lab Platinum certification level for sustaining laboratory processes.

Newsletter

Sign up for our newsletter and get the latest updates and news.
 

Please provide a valid E-Mail-Address
Please provide a valid First name
Please provide a valid Last name