Tailor-made Antibodies
and Tools for Life Science
Home | | | | | Technical Support

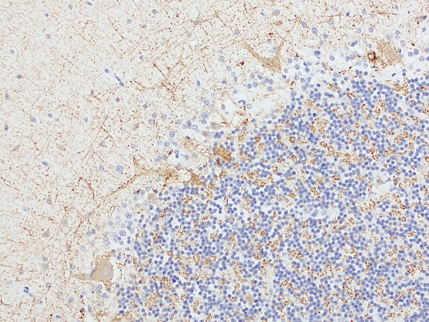
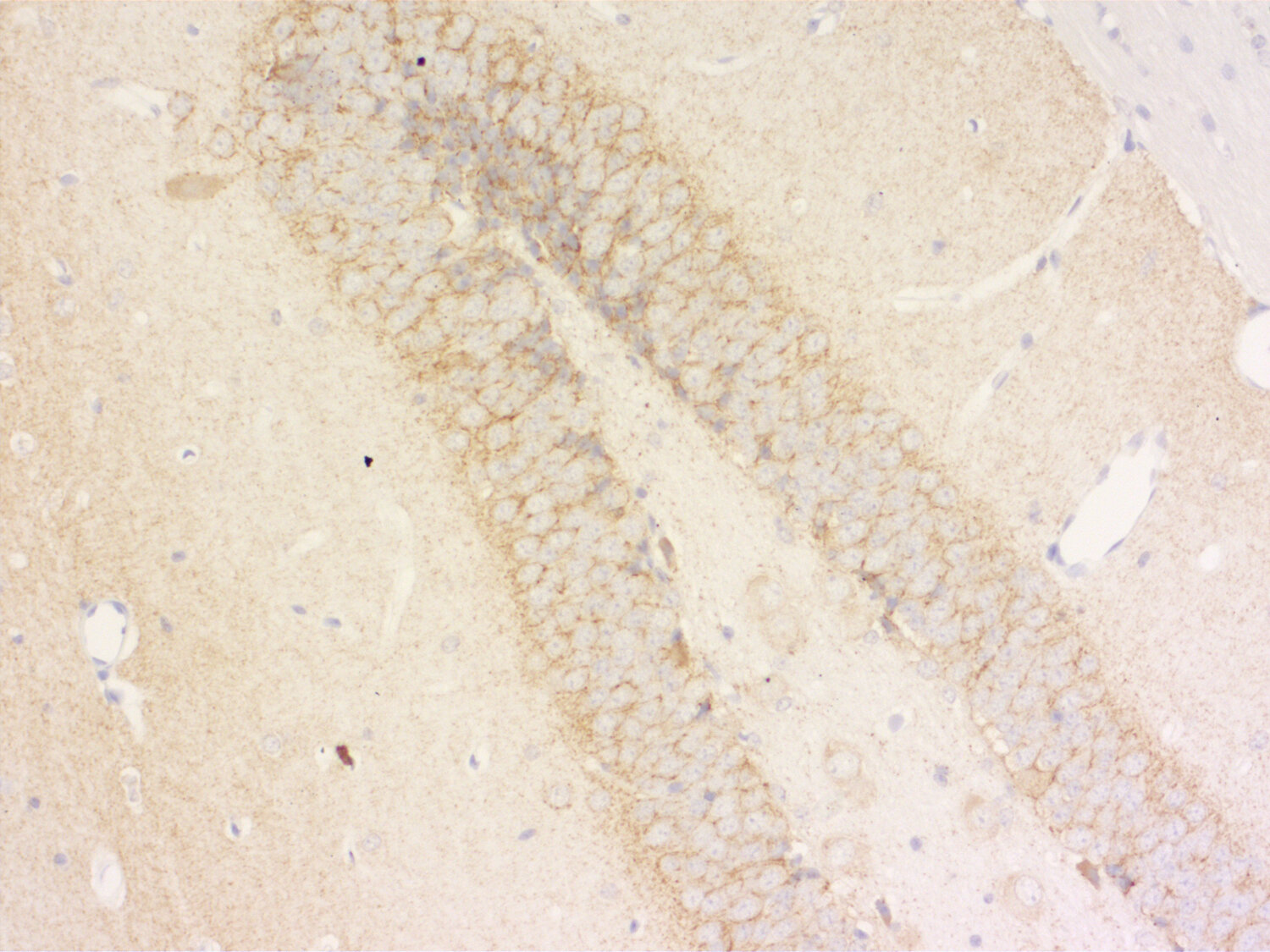
VGAT (SLC32A1) antibody cytoplasmic domain - 131 308 K.O.

VGAT or VIAAT is the GABA and glycine transporter in the membrane of synaptic vesicles
Guinea pig monoclonal recombinant IgG
Cat. No.: 131 308
Amount: 50 µg
Price: $425.00
Cat. No. 131 308 50 µg purified recombinant IgG, lyophilized. Albumin and azide were added for stabilization. For reconstitution add 50 µl H2O to get a 1mg/ml solution in TBS. Then aliquot and store at -20°C to -80°C until use.
Antibodies should be stored at +4°C when still lyophilized. Do not freeze!
Applications
 
WB: 1 : 1000 (AP staining) (see remarks) gallery  
ICC: 1 : 500 gallery  
IHC: 1 : 500 gallery  
IHC-P (FFPE): 1 : 400 gallery  

Western blot (WB); separation of proteins by PAGE and subsequent transfer to a membrane. Detection of target molecules is carried out with antibodies. Some antibodies require special sample preparation steps. For details, please refer to the “Remarks” section.

Immunocytochemistry (ICC) on 4% PFA fixed cells. Immunoreactivity is usually revealed by fluorescence. Some antibodies require special fixation methods. For details, please refer to the “Remarks” section.

Immunohistochemistry (IHC) on 4% PFA perfusion fixed tissue with 24h PFA post fixation. Immunoreactivity is usually revealed by fluorescence or a chromogenic substrate. Some antibodies require special fixation methods or antigen retrieval steps. For details, please refer to the ”Remarks” section.

Immunohistochemistry (IHC-P) of formalin fixed, paraffin embedded (FFPE) tissue (some antibodies require special antigen retrieval steps, please refer to the ”Remarks” section). Immunoreactivity is usually revealed by fluorescence or a chromogenic substrate.

Clone Gp117G4
Subtype IgG2 (κ light chain)
Immunogen Synthetic peptide corresponding to residues near the amino terminus of rat VGAT (UniProt Id: O35458)
Reactivity Reacts with: human (Q9H598), rat (O35458), mouse (O35633), Guinea pig, ape.
Other species not tested yet.
Specificity K.O. validated
Matching control protein/peptide 131-0P
Remarks

This antibody is a chimeric antibody based on the well known monoclonal mouse antibody 117G4. The constant regions of the heavy and light chains have been replaced by Guinea pig specific sequences. Therefore, the antibody can be used with standard anti-Guinea pig secondary reagents. The antibody has been expressed in mammalian cells.
WB: To avoid protein aggregation, do not heat samples for SDS-PAGE.

Data sheet Datasheet 131_308

References for VGAT - 131 308

MAD2B promotes podocyte injury through regulating Numb-dependent Notch 1 pathway in diabetic nephropathy.
Li MR, Lei CT, Tang H, Yin XJ, Hao Z, Qiu Y, Xie YR, Zeng JY, Su H, Zhang C
International journal of biological sciences (2022) 185: 1896-1911. 131 308 ICC; tested species: rat
The synaptic scaffold protein MPP2 interacts with GABAA receptors at the periphery of the postsynaptic density of glutamatergic synapses.
Schmerl B, Gimber N, Kuropka B, Stumpf A, Rentsch J, Kunde SA, von Sivers J, Ewers H, Schmitz D, Freund C, Schmoranzer J, et al.
PLoS biology (2022) 203: e3001503. 131 308 ICC; tested species: rat
The Alzheimer susceptibility gene BIN1 induces isoform-dependent neurotoxicity through early endosome defects.
Lambert E, Saha O, Soares Landeira B, Melo de Farias AR, Hermant X, Carrier A, Pelletier A, Gadaut J, Davoine L, Dupont C, Amouyel P, et al.
Acta neuropathologica communications (2022) 101: 4. 131 308 ICC, IHC; tested species: rat
A DARPin-based molecular toolset to probe gephyrin and inhibitory synapse biology.
Campbell BFN, Dittmann A, Dreier B, Plückthun A, Tyagarajan SK
eLife (2022) 11: . 131 308 ICC, IHC; tested species: rat
Spinal Cord Neuronal Network Formation in a 3D Printed Reinforced Matrix-A Model System to Study Disease Mechanisms.
Fischhaber N, Faber J, Bakirci E, Dalton PD, Budday S, Villmann C, Schaefer N
Advanced healthcare materials (2021) 1019: e2100830. 131 308 ICC; tested species: mouse
Repetitive concussions promote microglia-mediated engulfment of presynaptic excitatory input associated with cognitive dysfunction.
Chahin M, Mutschler J, Dzhuleva SP, Dieterle C, Jimenez LR, Bhattarai SR, Van Steenbergen V, Bareyre FM
Communications biology (2025) 81: 335. 131 308 IHC; tested species: mouse
Astrocyte specification in the mouse septum is shaped by both developmental origin and local signals.
Xie Y, Reid CM, Turrero Garcίa M, Dale-Huang F, Granados AA, Lu Y, Li J, Hanson SM, Mancia Leon WR, Liu J, Adam M, et al.
Nature neuroscience (2025) 288: 1676-1687. 131 308 IHC; tested species: mouse
Anatomy of superior olivary complex and lateral lemniscus in Etruscan shrew.
Zacher AC, Felmy F
Scientific reports (2024) 141: 14734. 131 308 IHC
Facial neuromuscular junctions and brainstem nuclei are the target of tetanus neurotoxin in cephalic tetanus.
Fabris F, Varani S, Tonellato M, Matak I, Šoštarić P, Meglić P, Caleo M, Megighian A, Rossetto O, Montecucco C, Pirazzini M, et al.
JCI insight (2023) 811: . 131 308 IHC; tested species: mouse,rat
The Alzheimer susceptibility gene BIN1 induces isoform-dependent neurotoxicity through early endosome defects.
Lambert E, Saha O, Soares Landeira B, Melo de Farias AR, Hermant X, Carrier A, Pelletier A, Gadaut J, Davoine L, Dupont C, Amouyel P, et al.
Acta neuropathologica communications (2022) 101: 4. 131 308 ICC, IHC; tested species: rat
A DARPin-based molecular toolset to probe gephyrin and inhibitory synapse biology.
Campbell BFN, Dittmann A, Dreier B, Plückthun A, Tyagarajan SK
eLife (2022) 11: . 131 308 ICC, IHC; tested species: rat
Cat. No.: 131 308
Amount: 50 µg
Price: $425.00
MAD2B promotes podocyte injury through regulating Numb-dependent Notch 1 pathway in diabetic nephropathy.
Li MR, Lei CT, Tang H, Yin XJ, Hao Z, Qiu Y, Xie YR, Zeng JY, Su H, Zhang C
International journal of biological sciences (2022) 185: 1896-1911. 131 308 ICC; tested species: rat
The synaptic scaffold protein MPP2 interacts with GABAA receptors at the periphery of the postsynaptic density of glutamatergic synapses.
Schmerl B, Gimber N, Kuropka B, Stumpf A, Rentsch J, Kunde SA, von Sivers J, Ewers H, Schmitz D, Freund C, Schmoranzer J, et al.
PLoS biology (2022) 203: e3001503. 131 308 ICC; tested species: rat
The Alzheimer susceptibility gene BIN1 induces isoform-dependent neurotoxicity through early endosome defects.
Lambert E, Saha O, Soares Landeira B, Melo de Farias AR, Hermant X, Carrier A, Pelletier A, Gadaut J, Davoine L, Dupont C, Amouyel P, et al.
Acta neuropathologica communications (2022) 101: 4. 131 308 ICC, IHC; tested species: rat
A DARPin-based molecular toolset to probe gephyrin and inhibitory synapse biology.
Campbell BFN, Dittmann A, Dreier B, Plückthun A, Tyagarajan SK
eLife (2022) 11: . 131 308 ICC, IHC; tested species: rat
Spinal Cord Neuronal Network Formation in a 3D Printed Reinforced Matrix-A Model System to Study Disease Mechanisms.
Fischhaber N, Faber J, Bakirci E, Dalton PD, Budday S, Villmann C, Schaefer N
Advanced healthcare materials (2021) 1019: e2100830. 131 308 ICC; tested species: mouse
Repetitive concussions promote microglia-mediated engulfment of presynaptic excitatory input associated with cognitive dysfunction.
Chahin M, Mutschler J, Dzhuleva SP, Dieterle C, Jimenez LR, Bhattarai SR, Van Steenbergen V, Bareyre FM
Communications biology (2025) 81: 335. 131 308 IHC; tested species: mouse
Astrocyte specification in the mouse septum is shaped by both developmental origin and local signals.
Xie Y, Reid CM, Turrero Garcίa M, Dale-Huang F, Granados AA, Lu Y, Li J, Hanson SM, Mancia Leon WR, Liu J, Adam M, et al.
Nature neuroscience (2025) 288: 1676-1687. 131 308 IHC; tested species: mouse
Anatomy of superior olivary complex and lateral lemniscus in Etruscan shrew.
Zacher AC, Felmy F
Scientific reports (2024) 141: 14734. 131 308 IHC
Facial neuromuscular junctions and brainstem nuclei are the target of tetanus neurotoxin in cephalic tetanus.
Fabris F, Varani S, Tonellato M, Matak I, Šoštarić P, Meglić P, Caleo M, Megighian A, Rossetto O, Montecucco C, Pirazzini M, et al.
JCI insight (2023) 811: . 131 308 IHC; tested species: mouse,rat
The Alzheimer susceptibility gene BIN1 induces isoform-dependent neurotoxicity through early endosome defects.
Lambert E, Saha O, Soares Landeira B, Melo de Farias AR, Hermant X, Carrier A, Pelletier A, Gadaut J, Davoine L, Dupont C, Amouyel P, et al.
Acta neuropathologica communications (2022) 101: 4. 131 308 ICC, IHC; tested species: rat
A DARPin-based molecular toolset to probe gephyrin and inhibitory synapse biology.
Campbell BFN, Dittmann A, Dreier B, Plückthun A, Tyagarajan SK
eLife (2022) 11: . 131 308 ICC, IHC; tested species: rat
Background
The vesicular GABA transporter VGAT is responsible for uptake and storage of GABA and glycine by synaptic vesicles in the central nervous system. For this reason it is frequently referred to as the vesicular inhibitory aminoacid transporter VIAAT. It is different from the plasma membrane transporters in that it is driven by a proton electrochemical gradient across the vesicle membrane. So far, only one isoform is known. VGAT is currently the best marker for inhibitory nerve terminals.

Certificates

ISO 9001 2015 Quality Management System and Green Lab Platinum certification level for sustaining laboratory processes.

Newsletter

Sign up for our newsletter and get the latest updates and news.
 

Please provide a valid E-Mail-Address
Please provide a valid First name
Please provide a valid Last name