VGAT (SLC32A1) antibody cytoplasmic domain - 131 003 K.O.

VGAT or VIAAT is the GABA and glycine transporter in the membrane of synaptic vesicles
Rabbit polyclonal purified antibody
Cat. No.: 131 003
Amount: 50 µg
Price: $480.00
Cat. No. 131 003 50 µg specific antibody, lyophilized. Affinity purified with the immunogen. Albumin and azide were added for stabilization. For reconstitution add 50 µl H2O to get a 1mg/ml solution in PBS. Then aliquot and store at -20°C to -80°C until use.
Antibodies should be stored at +4°C when still lyophilized. Do not freeze!
Applications
 
WB: 1 : 1000 up to 1 : 5000 (AP staining) (see remarks) gallery  
IP: yes
ICC: 1 : 100 up to 1 : 1000 gallery  
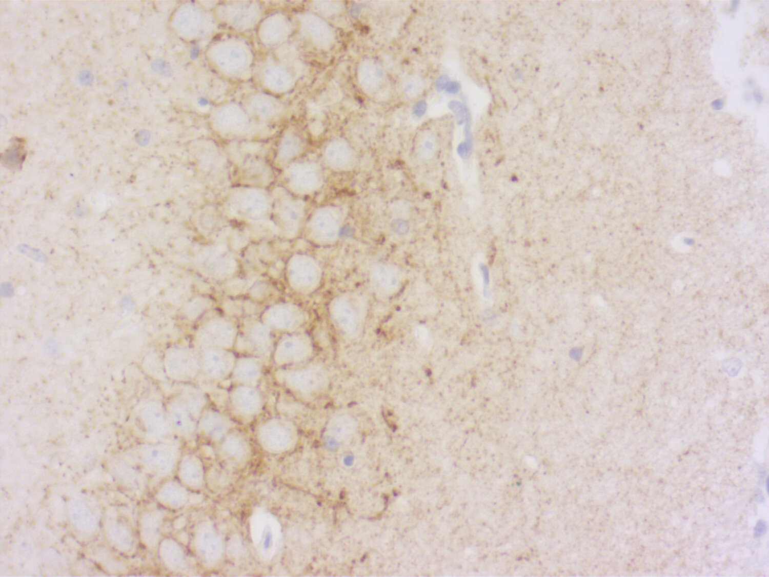
IHC: 1 : 500 up to 1 : 3000 gallery  
IHC-P (FFPE): 1 : 200 up to 1 : 500 gallery  
ExM: external data (see remarks) gallery  
EM: external data (see remarks)

Western blot (WB); separation of proteins by PAGE and subsequent transfer to a membrane. Detection of target molecules is carried out with antibodies. Some antibodies require special sample preparation steps. For details, please refer to the “Remarks” section.

Immunoprecipitation (IP); Immunoisolation or pulldown of a target molecule using an antibody. For details and product specific hints, please refer to the ”Remarks” section.

Immunocytochemistry (ICC) on 4% PFA fixed cells. Immunoreactivity is usually revealed by fluorescence. Some antibodies require special fixation methods. For details, please refer to the “Remarks” section.

Immunohistochemistry (IHC) on 4% PFA perfusion fixed tissue with 24h PFA post fixation. Immunoreactivity is usually revealed by fluorescence or a chromogenic substrate. Some antibodies require special fixation methods or antigen retrieval steps. For details, please refer to the ”Remarks” section.

Immunohistochemistry (IHC-P) of formalin fixed, paraffin embedded (FFPE) tissue (some antibodies require special antigen retrieval steps, please refer to the ”Remarks” section). Immunoreactivity is usually revealed by fluorescence or a chromogenic substrate.

Expansion Microscopy (ExM) is a sample preparation and imaging method which employs a dense interconnected web of swellable polymer within a biological specimen. A significantly higher effective resolution can be achieved with a standard microscope setup. For additional experimental details, please refer to the Remarks section.

Electron microscopy (EM) is a microscopy technique that detects the scatter of electrons through thin tissue sections. In Immuno-EM the antigen is usually revealed by colloidal gold conjugated secondary antibodies linking electron dense structures to antigen-bound primary antibodies.

Immunogen Synthetic peptide corresponding to residues near the amino terminus of rat VGAT (UniProt Id: O35458)
Reactivity Reacts with: human (Q9H598), rat (O35458), mouse (O35633), monkey.
Other species not tested yet.
Specificity K.O. validated PubMed: 19052203
Matching control protein/peptide 131-0P
Remarks

WB: To avoid protein aggregation, do not heat samples for SDS-PAGE.
ExM: This antibody has been successfully applied and published for this method by customers (see application-specific references).
EM: This antibody has been successfully applied and published for this method by customers (see application-specific references).

Data sheet Datasheet 131_003

References for VGAT - 131 003

Bazedoxifene reverses sexually dimorphic autistic-like abnormalities in biallelic MDGA1-mutant mice.
Kim S, Kim H, Pelayo JP, Alvarez S, Jang G, Kim J, Kim B, Hoelscher VM, Calleja-Pérez B, Jung H, Yang Y, et al.
EMBO molecular medicine (2026) : . 131 003 WB, ICC, IHC; tested species: mouse,rat
The TMEM132B-GABAA receptor complex controls alcohol actions in the brain.
Wang G, Peng S, Reyes Mendez M, Keramidas A, Castellano D, Wu K, Han W, Tian Q, Dong L, Li Y, Lu W, et al.
Cell (2024) 18723: 6649-6668.e35. 131 003 WB, ICC; tested species: mouse
GAP43 Located on Corticostriatal Terminals Restrains Novelty-Induced Hyperactivity in Mice.
Maroto IB, Costas-Insua C, Montero-Fernández C, Hermoso-López A, Lebouc M, Bajo-Grañeras R, Álvaro-Blázquez A, Blázquez C, Cannich A, Marsicano G, Martín R, et al.
The Journal of neuroscience : the official journal of the Society for Neuroscience (2024) 4439: . 131 003 WB; tested species: mouse
GABAergic neuronal lineage development determines clinically actionable targets in diffuse hemispheric glioma, H3G34-mutant.
Liu I, Alencastro Veiga Cruzeiro G, Bjerke L, Rogers RF, Grabovska Y, Beck A, Mackay A, Barron T, Hack OA, Quezada MA, Molinari V, et al.
Cancer cell (2024) : . 131 003 WB, ICC; tested species: human
Microglia mitochondrial complex I deficiency during development induces glial dysfunction and early lethality.
Mora-Romero B, Capelo-Carrasco N, Pérez-Moreno JJ, Alvarez-Vergara MI, Trujillo-Estrada L, Romero-Molina C, Martinez-Marquez E, Morano-Catalan N, Vizuete M, Lopez-Barneo J, Nieto-Gonzalez JL, et al.
Nature metabolism (2024) : . 131 003 WB; tested species: mouse
The CB1 receptor interacts with cereblon and drives cereblon deficiency-associated memory shortfalls.
Costas-Insua C, Hermoso-López A, Moreno E, Montero-Fernández C, Álvaro-Blázquez A, Maroto IB, Sánchez-Ruiz A, Diez-Alarcia R, Blázquez C, Morales P, Canela EI, et al.
EMBO molecular medicine (2024) : . 131 003 WB; tested species: mouse
Modeling the precise interaction of glioblastoma with human brain region-specific organoids.
Fan Q, Wang H, Gu T, Liu H, Deng P, Li B, Yang H, Mao Y, Shao Z
iScience (2024) 273: 109111. 131 003 WB; tested species: human
Glycine Receptor β-Targeting Autoantibodies Contribute to the Pathology of Autoimmune Diseases.
Wiessler AL, Talucci I, Piro I, Seefried S, Hörlin V, Baykan BB, Tüzün E, Schaefer N, Maric HM, Sommer C, Villmann C, et al.
Neurology(R) neuroimmunology & neuroinflammation (2024) 112: e200187. 131 003 WB; tested species: mouse
The complement inhibitor CD59 is required for GABAergic synaptic transmission in the dentate gyrus.
Wen L, Yang X, Wu Z, Fu S, Zhan Y, Chen Z, Bi D, Shen Y
Cell reports (2023) 424: 112349. 131 003 WB, IHC, FACS; tested species: mouse
Influence of bifenthrin exposure at different gestational stages on the neural development.
Xi C, Shi X, Wang Y, He J, Jiang S, Niu B, Chen Y, Zhao F, Cao Z
Ecotoxicology and environmental safety (2023) 263: 115365. 131 003 WB; tested species: mouse
Enriched environment attenuates hippocampal theta and gamma rhythms dysfunction in chronic cerebral hypoperfusion via improving imbalanced neural afferent levels.
Zheng J, Peng S, Cui L, Liu X, Li T, Zhao Z, Li Y, Hu Y, Zhang M, Xu L, Zhang J, et al.
Frontiers in cellular neuroscience (2023) 17: 985246. 131 003 WB, IHC; tested species: rat
Extracellular transglutaminase-2, nude or associated with astrocytic extracellular vesicles, modulates neuronal calcium homeostasis.
Tonoli E, Verduci I, Gabrielli M, Prada I, Forcaia G, Coveney C, Savoca MP, Boocock DJ, Sancini G, Mazzanti M, Verderio C, et al.
Progress in neurobiology (2022) : 102313. 131 003 WB; tested species: rat
Spinal Cord Neuronal Network Formation in a 3D Printed Reinforced Matrix-A Model System to Study Disease Mechanisms.
Fischhaber N, Faber J, Bakirci E, Dalton PD, Budday S, Villmann C, Schaefer N
Advanced healthcare materials (2021) 1019: e2100830. 131 003 WB, ICC; tested species: mouse
Environmental Enrichment Rescues Social Behavioral Deficits and Synaptic Abnormalities in Pten Haploinsufficient Mice.
Clipperton-Allen AE, Zhang A, Cohen OS, Page DT
Genes (2021) 129: . 131 003 WB; tested species: mouse
Tuning of glutamate, but not GABA, release by an intra-synaptic vesicles APP domain whose function can be modulated by β- or α-secretase cleavage.
Yao W, Tambini MD, Liu X, D'Adamio L
The Journal of neuroscience : the official journal of the Society for Neuroscience (2019) : . 131 003 WB; tested species: mouse
A triheptanoin-supplemented diet rescues hippocampal hyperexcitability and seizure susceptibility in FoxG1+/- mice.
Testa G, Mainardi M, Olimpico F, Pancrazi L, Cattaneo A, Caleo M, Costa M
Neuropharmacology (2019) : . 131 003 WB; tested species: mouse
Genetic Ablation of All Cerebellins Reveals Synapse Organizer Functions in Multiple Regions Throughout the Brain.
Seigneur E, Südhof TC
The Journal of neuroscience : the official journal of the Society for Neuroscience (2018) 3820: 4774-4790. 131 003 WB, IHC; tested species: mouse
Lrfn2-Mutant Mice Display Suppressed Synaptic Plasticity and Inhibitory Synapse Development and Abnormal Social Communication and Startle Response.
Li Y, Kim R, Cho YS, Song WS, Kim D, Kim K, Roh JD, Chung C, Park H, Yang E, Kim SJ, et al.
The Journal of neuroscience : the official journal of the Society for Neuroscience (2018) 3826: 5872-5887. 131 003 WB; tested species: mouse
Assembly of Excitatory Synapses in the Absence of Glutamatergic Neurotransmission.
Sando R, Bushong E, Zhu Y, Huang M, Considine C, Phan S, Ju S, Uytiepo M, Ellisman M, Maximov A
Neuron (2017) 942: 312-321.e3. 131 003 WB, IHC; tested species: mouse
IgSF21 promotes differentiation of inhibitory synapses via binding to neurexin2α.
Tanabe Y, Naito Y, Vasuta C, Lee AK, Soumounou Y, Linhoff MW, Takahashi H
Nature communications (2017) 81: 408. 131 003 WB, IHC
Activity-Dependent Bidirectional Regulation of GAD Expression in a Homeostatic Fashion Is Mediated by BDNF-Dependent and Independent Pathways.
Hanno-Iijima Y, Tanaka M, Iijima T
PloS one (2015) 108: e0134296. 131 003 WB
Cleavage of the vesicular GABA transporter under excitotoxic conditions is followed by accumulation of the truncated transporter in nonsynaptic sites.
Gomes JR, Lobo AC, Melo CV, Inácio AR, Takano J, Iwata N, Saido TC, de Almeida LP, Wieloch T, Duarte CB
The Journal of neuroscience : the official journal of the Society for Neuroscience (2011) 3112: 4622-35. 131 003 WB, ICC; tested species: rat
Unique luminal localization of VGAT-C terminus allows for selective labeling of active cortical GABAergic synapses.
Martens H, Weston MC, Boulland JL, Grønborg M, Grosche J, Kacza J, Hoffmann A, Matteoli M, Takamori S, Harkany T, Chaudhry FA, et al.
The Journal of neuroscience : the official journal of the Society for Neuroscience (2008) 2849: 13125-31. 131 003 WB, ICC, IHC; KO verified; tested species: rat
Vesicular localization and activity-dependent trafficking of presynaptic choline transporters.
Ferguson SM, Savchenko V, Apparsundaram S, Zwick M, Wright J, Heilman CJ, Yi H, Levey AI, Blakely RD
The Journal of neuroscience : the official journal of the Society for Neuroscience (2003) 2330: 9697-709. 131 003 WB; tested species: mouse
Bazedoxifene reverses sexually dimorphic autistic-like abnormalities in biallelic MDGA1-mutant mice.
Kim S, Kim H, Pelayo JP, Alvarez S, Jang G, Kim J, Kim B, Hoelscher VM, Calleja-Pérez B, Jung H, Yang Y, et al.
EMBO molecular medicine (2026) : . 131 003 WB, ICC, IHC; tested species: mouse,rat
The Neurexin1β Histidine-Rich Domain Is Involved in Excitatory Presynaptic Organization and Short-Term Plasticity.
Feller B, Inagaki M, Wang M, Sivak A, Chofflet N, Takahashi H
eNeuro (2026) 132: . 131 003 ICC; tested species: mouse
Network Activity Shapes Inhibitory Synaptic Development in the Mouse Hippocampus.
Johnson-Venkatesh EM, Umemori H
The Journal of neuroscience : the official journal of the Society for Neuroscience (2025) 4542: . 131 003 ICC, IHC; tested species: mouse
Gephyrin filaments represent the molecular basis of inhibitory postsynaptic densities.
Macha A, Liebsch F, Bruckisch EHW, Burdina N, von Stülpnagel I, Benting K, Gunkel M, Behrmann E, Schwarz G
Nature communications (2025) 161: 8293. 131 003 ICC; tested species: mouse
High-content image-based pooled screens reveal regulators of synaptogenesis.
Le A, Biederer T, Blainey PC
Cell reports (2025) 447: 115889. 131 003 ICC; tested species: human
DEPDC5 regulates the strength of excitatory synaptic transmission by interacting with ubiquitin-specific protease 46.
Cerullo MS, Canevari C, Marte A, Bacq A, De Fusco A, Maletic M, Baulac S, Benfenati F
Neurobiology of disease (2025) 212: 106985. 131 003 ICC; tested species: mouse
Disruption of the autism-associated Pcdh9 gene leads to transcriptional alterations, synapse overgrowth, and defective network activity in the CA1.
Miozzo F, Murru L, Maiellano G, di Iasio I, Zippo AG, Zambrano Avendano A, Metodieva VD, Riccardi S, D'Aliberti D, Spinelli S, Canu T, et al.
The Journal of neuroscience : the official journal of the Society for Neuroscience (2024) 4450: . 131 003 ICC; tested species: rat
MDGAs perform activity-dependent synapse type-specific suppression via distinct extracellular mechanisms.
Kim S, Jang G, Kim H, Lim D, Han KA, Um JW, Ko J
Proceedings of the National Academy of Sciences of the United States of America (2024) 12126: e2322978121. 131 003 ICC; tested species: mouse
TRPM2 and CaMKII Signaling Drives Excessive GABAergic Synaptic Inhibition Following Ischemia.
Burch AM, Garcia JD, O'Leary H, Haas A, Orfila JE, Tiemeier E, Chalmers N, Smith KR, Quillinan N, Herson PS
The Journal of neuroscience : the official journal of the Society for Neuroscience (2024) 4419: . 131 003 ICC, IHC; tested species: mouse
miRNA-mediated control of gephyrin synthesis drives sustained inhibitory synaptic plasticity.
Welle TM, Rajgor D, Kareemo DJ, Garcia JD, Zych SM, Wolfe SE, Gookin SE, Martinez TP, Dell'Acqua ML, Ford CP, Kennedy MJ, et al.
EMBO reports (2024) 2511: 5141-5168. 131 003 ICC; tested species: rat
The TMEM132B-GABAA receptor complex controls alcohol actions in the brain.
Wang G, Peng S, Reyes Mendez M, Keramidas A, Castellano D, Wu K, Han W, Tian Q, Dong L, Li Y, Lu W, et al.
Cell (2024) 18723: 6649-6668.e35. 131 003 WB, ICC; tested species: mouse
Dissection of signaling pathways regulating TrkB-dependent gephyrin clustering.
Wüstner LS, Beuter S, Kriebel M, Volkmer H
Frontiers in molecular neuroscience (2024) 17: 1480820. 131 003 ICC; tested species: rat
GABAergic neuronal lineage development determines clinically actionable targets in diffuse hemispheric glioma, H3G34-mutant.
Liu I, Alencastro Veiga Cruzeiro G, Bjerke L, Rogers RF, Grabovska Y, Beck A, Mackay A, Barron T, Hack OA, Quezada MA, Molinari V, et al.
Cancer cell (2024) : . 131 003 WB, ICC; tested species: human
Nr4a1 regulates cell-specific transcriptional programs in inhibitory GABAergic interneurons.
Huang M, Pieraut S, Cao J, de Souza Polli F, Roncace V, Shen G, Ramos-Medina C, Lee H, Maximov A
Neuron (2024) : . 131 003 ICC, IHC; tested species: mouse
Acute reorganization of postsynaptic GABAA receptors reveals the functional impact of molecular nanoarchitecture at inhibitory synapses.
Olah SS, Kareemo DJ, Buchta WC, Sinnen BL, Miller CN, Actor-Engel HS, Gookin SE, Winborn CS, Kleinjan MS, Crosby KC, Aoto J, et al.
Cell reports (2023) 4211: 113331. 131 003 ICC; tested species: rat
The human milk component myo-inositol promotes neuronal connectivity.
Paquette AF, Carbone BE, Vogel S, Israel E, Maria SD, Patil NP, Sah S, Chowdhury D, Kondratiuk I, Labhart B, Morrow AL, et al.
Proceedings of the National Academy of Sciences of the United States of America (2023) 12030: e2221413120. 131 003 ICC, IHC; tested species: rat
Distinct mechanisms drive sequential internalization and degradation of GABAARs during global ischemia and reperfusion injury.
Garcia JD, Wolfe SE, Stewart AR, Tiemeier E, Gookin SE, Guerrero MB, Quillinan N, Smith KR
iScience (2023) 2610: 108061. 131 003 ICC; tested species: rat
Presynapses contain distinct actin nanostructures.
Bingham D, Jakobs CE, Wernert F, Boroni-Rueda F, Jullien N, Schentarra EM, Friedl K, Da Costa Moura J, van Bommel DM, Caillol G, Ogawa Y, et al.
The Journal of cell biology (2023) 22210: . 131 003 ICC; tested species: rat
S-SCAM is essential for synapse formation.
Wittenmayer N, Petkova-Tuffy A, Borgmeyer M, Lee C, Becker J, Böning A, Kügler S, Rhee J, Viotti JS, Dresbach T
Frontiers in cellular neuroscience (2023) 17: 1182493. 131 003 ICC; tested species: rat
Different mechanisms of synapsin-induced vesicle clustering at inhibitory and excitatory synapses.
Song SH, Augustine GJ
Cell reports (2023) 428: 113004. 131 003 ICC; tested species: mouse
Differential Modes of Action of α1- and α1γ2-Autoantibodies Derived from Patients with GABAAR Encephalitis.
van Casteren ACM, Ackermann F, Rahman KA, Andrzejak E, Rosenmund C, Kreye J, Prüss H, Garner CC, Ichkova A
eNeuro (2022) 96: . 131 003 ICC; tested species: mouse
SLITRK1-mediated noradrenergic projection suppression in the neonatal prefrontal cortex.
Hatayama M, Katayama KI, Kawahara Y, Matsunaga H, Takashima N, Iwayama Y, Matsumoto Y, Nishi A, Yoshikawa T, Aruga J
Communications biology (2022) 51: 935. 131 003 ICC; tested species: mouse
Patient-derived anti-NMDAR antibody disinhibits cortical neuronal networks through dysfunction of inhibitory neuron output.
Andrzejak E, Rabinovitch E, Kreye J, Prüss H, Rosenmund C, Ziv NE, Garner CC, Ackermann F
The Journal of neuroscience : the official journal of the Society for Neuroscience (2022) : . 131 003 ICC; tested species: mouse
Spinal Cord Neuronal Network Formation in a 3D Printed Reinforced Matrix-A Model System to Study Disease Mechanisms.
Fischhaber N, Faber J, Bakirci E, Dalton PD, Budday S, Villmann C, Schaefer N
Advanced healthcare materials (2021) 1019: e2100830. 131 003 WB, ICC; tested species: mouse
Stepwise disassembly of GABAergic synapses during pathogenic excitotoxicity.
Garcia JD, Gookin SE, Crosby KC, Schwartz SL, Tiemeier E, Kennedy MJ, Dell'Acqua ML, Herson PS, Quillinan N, Smith KR
Cell reports (2021) 3712: 110142. 131 003 ICC; tested species: rat
Efficient Derivation of Excitatory and Inhibitory Neurons from Human Pluripotent Stem Cells Stably Expressing Direct Reprogramming Factors.
Song S, Ashok A, Williams D, Kaufman M, Duff K, Sproul A
Current protocols (2021) 16: e141. 131 003 ICC; tested species: human
Aβ1-16 controls synaptic vesicle pools at excitatory synapses via cholinergic modulation of synapsin phosphorylation.
Anni D, Weiss EM, Guhathakurta D, Akdas YE, Klueva J, Zeitler S, Andres-Alonso M, Huth T, Fejtova A
Cellular and molecular life sciences : CMLS (2021) : . 131 003 ICC; tested species: rat
Autism Spectrum Disorder Risk Factor Met Regulates the Organization of Inhibitory Synapses.
Jeckel P, Kriebel M, Volkmer H
Frontiers in molecular neuroscience (2021) 14: 659856. 131 003 ICC; tested species: rat
Neuroinflammation induces synaptic scaling through IL-1β-mediated activation of the transcriptional repressor REST/NRSF.
Buffolo F, Petrosino V, Albini M, Moschetta M, Carlini F, Floss T, Kerlero de Rosbo N, Cesca F, Rocchi A, Uccelli A, Benfenati F, et al.
Cell death & disease (2021) 122: 180. 131 003 ICC; tested species: mouse
Neuronal Autophagy Regulates Presynaptic Neurotransmission by Controlling the Axonal Endoplasmic Reticulum.
Kuijpers M, Kochlamazashvili G, Stumpf A, Puchkov D, Swaminathan A, Lucht MT, Krause E, Maritzen T, Schmitz D, Haucke V
Neuron (2021) 1092: 299-313.e9. 131 003 ICC; tested species: mouse
Plasmalogens regulate the AKT-ULK1 signaling pathway to control the position of the axon initial segment.
Ferreira da Silva T, Granadeiro LS, Bessa-Neto D, Luz LL, Safronov BV, Brites P
Progress in neurobiology (2021) 205: 102123. 131 003 ICC; tested species: mouse
An Autism-Associated Mutation Impairs Neuroligin-4 Glycosylation and Enhances Excitatory Synaptic Transmission in Human Neurons.
Cast T, Boesch D, Smyth K, Shaw A, Ghebrial M, Chanda S
The Journal of neuroscience : the official journal of the Society for Neuroscience (2020) : . 131 003 ICC; tested species: human
Opposite Control of Excitatory and Inhibitory Synapse Formation by Slitrk2 and Slitrk5 on Dopamine Neurons Modulates Hyperactivity Behavior.
Salesse C, Charest J, Doucet-Beaupré H, Castonguay AM, Labrecque S, De Koninck P, Lévesque M
Cell reports (2020) 307: 2374-2386.e5. 131 003 ICC; tested species: mouse
Interference With Complex IV as a Model of Age-Related Decline in Synaptic Connectivity.
Kriebel M, Ebel J, Battke F, Griesbach S, Volkmer H
Frontiers in molecular neuroscience (2020) 13: 43. 131 003 ICC; tested species: rat
Activated microglia cause metabolic disruptions in developmental cortical interneurons that persist in interneurons from individuals with schizophrenia.
Park GH, Noh H, Shao Z, Ni P, Qin Y, Liu D, Beaudreault CP, Park JS, Abani CP, Park JM, Le DT, et al.
Nature neuroscience (2020) 2311: 1352-1364. 131 003 ICC; tested species: human
Local miRNA-Dependent Translational Control of GABAAR Synthesis during Inhibitory Long-Term Potentiation.
Rajgor D, Purkey AM, Sanderson JL, Welle TM, Garcia JD, Dell'Acqua ML, Smith KR
Cell reports (2020) 3112: 107785. 131 003 ICC; tested species: rat
Dysregulation of BRD4 Function Underlies the Functional Abnormalities of MeCP2 Mutant Neurons.
Xiang Y, Tanaka Y, Patterson B, Hwang SM, Hysolli E, Cakir B, Kim KY, Wang W, Kang YJ, Clement EM, Zhong M, et al.
Molecular cell (2020) 791: 84-98.e9. 131 003 ICC; tested species: human
Neuroligin-4 Regulates Excitatory Synaptic Transmission in Human Neurons.
Marro SG, Chanda S, Yang N, Janas JA, Valperga G, Trotter J, Zhou B, Merrill S, Yousif I, Shelby H, Vogel H, et al.
Neuron (2019) 1034: 617-626.e6. 131 003 ICC; tested species: human
Autism and Schizophrenia-Associated CYFIP1 Regulates the Balance of Synaptic Excitation and Inhibition.
Davenport EC, Szulc BR, Drew J, Taylor J, Morgan T, Higgs NF, López-Doménech G, Kittler JT
Cell reports (2019) 268: 2037-2051.e6. 131 003 ICC, IHC; tested species: mouse
Nanoscale Subsynaptic Domains Underlie the Organization of the Inhibitory Synapse.
Crosby KC, Gookin SE, Garcia JD, Hahm KM, Dell'Acqua ML, Smith KR
Cell reports (2019) 2612: 3284-3297.e3. 131 003 ICC, IHC; tested species: rat
Modeling a Neurexin-3α Human Mutation in Mouse Neurons Identifies a Novel Role in the Regulation of Transsynaptic Signaling and Neurotransmitter Release at Excitatory Synapses.
Restrepo S, Langer NJ, Nelson KA, Aoto J
The Journal of neuroscience : the official journal of the Society for Neuroscience (2019) 3946: 9065-9082. 131 003 ICC; tested species: mouse
Carbonic anhydrase-related protein CA10 is an evolutionarily conserved pan-neurexin ligand.
Sterky FH, Trotter JH, Lee SJ, Recktenwald CV, Du X, Zhou B, Zhou P, Schwenk J, Fakler B, Südhof TC
Proceedings of the National Academy of Sciences of the United States of America (2017) 1147: E1253-E1262. 131 003 ICC
Primary Cilia Signaling Shapes the Development of Interneuronal Connectivity.
Guo J, Otis JM, Higginbotham H, Monckton C, Cheng J, Asokan A, Mykytyn K, Caspary T, Stuber GD, Anton ES
Developmental cell (2017) 423: 286-300.e4. 131 003 ICC, IHC; tested species: mouse
Aberrant neuronal activity-induced signaling and gene expression in a mouse model of RASopathy.
Altmüller F, Pothula S, Annamneedi A, Nakhaei-Rad S, Montenegro-Venegas C, Pina-Fernández E, Marini C, Santos M, Schanze D, Montag D, Ahmadian MR, et al.
PLoS genetics (2017) 133: e1006684. 131 003 ICC, IHC
Human autoantibodies to amphiphysin induce defective presynaptic vesicle dynamics and composition.
Werner C, Pauli M, Doose S, Weishaupt A, Haselmann H, Grünewald B, Sauer M, Heckmann M, Toyka KV, Asan E, Sommer C, et al.
Brain : a journal of neurology (2016) 139Pt 2: 365-79. 131 003 ICC; tested species: rat
ELKS controls the pool of readily releasable vesicles at excitatory synapses through its N-terminal coiled-coil domains.
Held RG, Liu C, Kaeser PS
eLife (2016) 5: . 131 003 ICC
Electrical Responses and Spontaneous Activity of Human iPS-Derived Neuronal Networks Characterized for 3-month Culture with 4096-Electrode Arrays.
Amin H, Maccione A, Marinaro F, Zordan S, Nieus T, Berdondini L
Frontiers in neuroscience (2016) 10: 121. 131 003 ICC; tested species: human
Radixin regulates synaptic GABAA receptor density and is essential for reversal learning and short-term memory.
Hausrat TJ, Muhia M, Gerrow K, Thomas P, Hirdes W, Tsukita S, Heisler FF, Herich L, Dubroqua S, Breiden P, Feldon J, et al.
Nature communications (2015) 6: 6872. 131 003 ICC
High abundance of BDNF within glutamatergic presynapses of cultured hippocampal neurons.
Andreska T, Aufmkolk S, Sauer M, Blum R
Frontiers in cellular neuroscience (2014) 8: 107. 131 003 ICC; tested species: mouse
Dlg5 regulates dendritic spine formation and synaptogenesis by controlling subcellular N-cadherin localization.
Wang SH, Celic I, Choi SY, Riccomagno M, Wang Q, Sun LO, Mitchell SP, Vasioukhin V, Huganir RL, Kolodkin AL
The Journal of neuroscience : the official journal of the Society for Neuroscience (2014) 3438: 12745-61. 131 003 ICC; tested species: mouse
BDNF enhances spontaneous and activity-dependent neurotransmitter release at excitatory terminals but not at inhibitory terminals in hippocampal neurons.
Shinoda Y, Ahmed S, Ramachandran B, Bharat V, Brockelt D, Altas B, Dean C
Frontiers in synaptic neuroscience (2014) 6: 27. 131 003 ICC; tested species: rat
Neuronal nitric oxide synthase-dependent S-nitrosylation of gephyrin regulates gephyrin clustering at GABAergic synapses.
Dejanovic B, Schwarz G
The Journal of neuroscience : the official journal of the Society for Neuroscience (2014) 3423: 7763-8. 131 003 ICC
Proteomic analysis of glycine receptor β subunit (GlyRβ)-interacting proteins: evidence for syndapin I regulating synaptic glycine receptors.
Del Pino I, Koch D, Schemm R, Qualmann B, Betz H, Paarmann I
The Journal of biological chemistry (2014) 28916: 11396-409. 131 003 ICC; tested species: rat
Reduced SNAP-25 alters short-term plasticity at developing glutamatergic synapses.
Antonucci F, Corradini I, Morini R, Fossati G, Menna E, Pozzi D, Pacioni S, Verderio C, Bacci A, Matteoli M
EMBO reports (2013) 147: 645-51. 131 003 ICC
Neural progenitors derived from human induced pluripotent stem cells survive and differentiate upon transplantation into a rat model of amyotrophic lateral sclerosis.
Popescu IR, Nicaise C, Liu S, Bisch G, Knippenberg S, Daubie V, Bohl D, Pochet R
Stem cells translational medicine (2013) 23: 167-74. 131 003 ICC; tested species: human
Specific trans-synaptic interaction with inhibitory interneuronal neurexin underlies differential ability of neuroligins to induce functional inhibitory synapses.
Futai K, Doty CD, Baek B, Ryu J, Sheng M
The Journal of neuroscience : the official journal of the Society for Neuroscience (2013) 338: 3612-23. 131 003 ICC; tested species: rat
Metabolic turnover of synaptic proteins: kinetics, interdependencies and implications for synaptic maintenance.
Cohen LD, Zuchman R, Sorokina O, Müller A, Dieterich DC, Armstrong JD, Ziv T, Ziv NE
PloS one (2013) 85: e63191. 131 003 ICC; tested species: rat
Neuronal profilin isoforms are addressed by different signalling pathways.
Murk K, Wittenmayer N, Michaelsen-Preusse K, Dresbach T, Schoenenberger CA, Korte M, Jockusch BM, Rothkegel M
PloS one (2012) 73: e34167. 131 003 ICC; tested species: mouse,rat
Postsynaptic TrkC and presynaptic PTPσ function as a bidirectional excitatory synaptic organizing complex.
Takahashi H, Arstikaitis P, Prasad T, Bartlett TE, Wang YT, Murphy TH, Craig AM
Neuron (2011) 692: 287-303. 131 003 ICC; tested species: rat
Cleavage of the vesicular GABA transporter under excitotoxic conditions is followed by accumulation of the truncated transporter in nonsynaptic sites.
Gomes JR, Lobo AC, Melo CV, Inácio AR, Takano J, Iwata N, Saido TC, de Almeida LP, Wieloch T, Duarte CB
The Journal of neuroscience : the official journal of the Society for Neuroscience (2011) 3112: 4622-35. 131 003 WB, ICC; tested species: rat
Calmodulin controls synaptic strength via presynaptic activation of calmodulin kinase II.
Pang ZP, Cao P, Xu W, Südhof TC
The Journal of neuroscience : the official journal of the Society for Neuroscience (2010) 3011: 4132-42. 131 003 ICC; tested species: mouse
Single particle tracking of alpha7 nicotinic AChR in hippocampal neurons reveals regulated confinement at glutamatergic and GABAergic perisynaptic sites.
Bürli T, Baer K, Ewers H, Sidler C, Fuhrer C, Fritschy JM
PloS one (2010) 57: e11507. 131 003 ICC; tested species: rat
Splice-specific roles of glycine receptor alpha3 in the hippocampus.
Eichler SA, Förstera B, Smolinsky B, Jüttner R, Lehmann TN, Fähling M, Schwarz G, Legendre P, Meier JC
The European journal of neuroscience (2009) 306: 1077-91. 131 003 ICC, IHC; tested species: mouse
Unique luminal localization of VGAT-C terminus allows for selective labeling of active cortical GABAergic synapses.
Martens H, Weston MC, Boulland JL, Grønborg M, Grosche J, Kacza J, Hoffmann A, Matteoli M, Takamori S, Harkany T, Chaudhry FA, et al.
The Journal of neuroscience : the official journal of the Society for Neuroscience (2008) 2849: 13125-31. 131 003 WB, ICC, IHC; KO verified; tested species: rat
Remodeling synaptic connections via engineered neuron-astrocyte interactions.
Kim SH, Won W, Kim GH, Kook YH, Son S, Choi S, Kang DY, Park MG, Choi YJ, Won SS, Shin J, et al.
Nature communications (2026) 171: . 131 003 IHC; tested species: mouse
Bazedoxifene reverses sexually dimorphic autistic-like abnormalities in biallelic MDGA1-mutant mice.
Kim S, Kim H, Pelayo JP, Alvarez S, Jang G, Kim J, Kim B, Hoelscher VM, Calleja-Pérez B, Jung H, Yang Y, et al.
EMBO molecular medicine (2026) : . 131 003 WB, ICC, IHC; tested species: mouse,rat
The axon initial segment-associated microglia regulate neuronal activity and visual perception.
Wang Y, Wang Q, Gao C, He S, Wei C, Song J, Liu X, Liu X, Feng S, Yao W, Wu W, et al.
Cell research (2026) : . 131 003 IHC; tested species: mouse
Network Activity Shapes Inhibitory Synaptic Development in the Mouse Hippocampus.
Johnson-Venkatesh EM, Umemori H
The Journal of neuroscience : the official journal of the Society for Neuroscience (2025) 4542: . 131 003 ICC, IHC; tested species: mouse
Parkinsonism disrupts cortical function by dysregulating oscillatory, network and synaptic activity of parvalbumin positive interneurons.
Minetti A, Montagni E, Meneghetti N, Macchi F, Coulomb É, Martello A, Tiberi A, Capsoni S, Mazzoni A, Allegra Mascaro AL, Spalletti C, et al.
NPJ Parkinson's disease (2025) 111: 194. 131 003 IHC; tested species: mouse
The NLRP3 inflammasome in microglia regulates repetitive behavior by modulating NMDA glutamate receptor functions.
Jung H, Kim B, Jang G, Kim H, Lee AR, Yoon SH, Lee KS, Hyun G, Kim Y, Ko J, Yu JW, et al.
Cell reports (2025) 445: 115656. 131 003 IHC; tested species: mouse
Partial normalization of hippocampal oscillatory activity during sleep in TgF344-AD rats coincides with increased cholinergic synapses at early-plaque stage of Alzheimer's disease.
Berg MVD, Heymans L, Toen D, Adhikari MA, Audekerke JV, Verschuuren M, Pintelon I, Vos WH, Linden AV, Verhoye M, Keliris GA, et al.
Acta neuropathologica communications (2025) 131: 96. 131 003 IHC; tested species: rat
Structural plasticity of pyramidal cell neurons measured after FLASH and conventional dose-rate irradiation.
Dickstein DL, Zhang R, Ru N, Vozenin MC, Perry BC, Wang J, Baulch JE, Acharya MM, Limoli CL
Brain structure & function (2025) 2302: 41. 131 003 IHC; tested species: mouse
ALS/FTD-linked TBK1 deficiency in microglia induces an aged-like microglial signature and drives social recognition deficits in mice.
Lenoel I, Ribon M, Lorenc F, Diebold A, Philibert CE, Robaldo D, Badsi M, Perronnet J, Lameth J, Berriat F, Misawa H, et al.
Nature communications (2025) 161: 7951. 131 003 IHC; tested species: mouse
Fetal rat neural progenitor cell transplantation after spinal cord injury improves motor recovery following optogenetic stimulation.
Sánchez-Martín MDM, Giraldo E, Alastrue-Agudo A, López-Mocholi E, Martín-Pérez S, Maninno L, Paniagua Soriano G, Fraga Sánchez AI, Monreal-Trigo J, Terrés-Haro JM, Vidal Beneyto Q, et al.
Molecular therapy : the journal of the American Society of Gene Therapy (2025) : . 131 003 IHC; tested species: rat
Autism-associated ARHGEF9 variants impair GABAergic synapses and ultrasonic communication by reducing gephyrin phosphorylation.
Jung H, Kim B, Jang G, Lee H, Kim Y, Kim H, Lee HJ, Kim D, Yang Y, Jeong WC, Kim S, et al.
Molecular psychiatry (2025) : . 131 003 IHC; tested species: mouse
Microglial TREM2 deficiency causes E/I imbalance and triggers ASD-like behaviors by altering potassium channel Kv1.3 activation.
Wang Y, Wang Q, Li R, Yu Y, Feng S, Wu W, Ren S
Neurobiology of disease (2025) 217: 107185. 131 003 IHC; tested species: mouse
Different Purkinje cell pathologies cause specific patterns of progressive gait ataxia in mice.
Jaarsma D, Birkisdóttir MB, van Vossen R, Oomen DWGD, Akhiyat O, Vermeij WP, Koekkoek SKE, De Zeeuw CI, Bosman LWJ
Neurobiology of disease (2024) 192: 106422. 131 003 IHC; tested species: mouse
The Role of Tenascin-C on the Structural Plasticity of Perineuronal Nets and Synaptic Expression in the Hippocampus of Male Mice.
Jakovljević A, Stamenković V, Poleksić J, Hamad MIK, Reiss G, Jakovcevski I, Andjus PR
Biomolecules (2024) 144: . 131 003 IHC; tested species: mouse
Nr4a1 regulates cell-specific transcriptional programs in inhibitory GABAergic interneurons.
Huang M, Pieraut S, Cao J, de Souza Polli F, Roncace V, Shen G, Ramos-Medina C, Lee H, Maximov A
Neuron (2024) : . 131 003 ICC, IHC; tested species: mouse
Investigating GABA Neuron-Specific Androgen Receptor Knockout in two Hyperandrogenic Models of PCOS.
Sucquart IE, Coyle C, Rodriguez Paris V, Prescott M, Glendining KA, Potapov K, Begg DP, Gilchrist RB, Walters KA, Campbell RE
Endocrinology (2024) 1657: . 131 003 IHC; tested species: mouse
Neuron type-specific proteomics reveals distinct Shank3 proteoforms in iSPNs and dSPNs lead to striatal synaptopathy in Shank3B-/- mice.
Wang YZ, Perez-Rosello T, Smukowski SN, Surmeier DJ, Savas JN
Molecular psychiatry (2024) 298: 2372-2388. 131 003 IHC; tested species: mouse
Protocol for in vivo analysis of pre- and post-synaptic protein function in mice.
Cramer TML, Abegg A, Tyagarajan SK
STAR protocols (2024) 52: 103117. 131 003 IHC; tested species: mouse
Acute kappa opioid receptor blocking disrupts the pro-cognitive effect of cannabidiol in neuropathic rats.
Boccella S, Fusco A, Ricciardi F, Morace AM, Bonsale R, Perrone M, Marabese I, De Gregorio D, Belardo C, Posa L, Rullo L, et al.
Neuropharmacology (2024) 266: 110265. 131 003 IHC; tested species: rat
TRPM2 and CaMKII Signaling Drives Excessive GABAergic Synaptic Inhibition Following Ischemia.
Burch AM, Garcia JD, O'Leary H, Haas A, Orfila JE, Tiemeier E, Chalmers N, Smith KR, Quillinan N, Herson PS
The Journal of neuroscience : the official journal of the Society for Neuroscience (2024) 4419: . 131 003 ICC, IHC; tested species: mouse
Inhibitory CCK+ basket synapse defects in mouse models of dystroglycanopathy.
Jahncke JN, Miller DS, Krush M, Schnell E, Wright KM
eLife (2024) 12: . 131 003 IHC; tested species: mouse
Human cortical interneurons optimized for grafting specifically integrate, abort seizures, and display prolonged efficacy without over-inhibition.
Zhu Q, Mishra A, Park JS, Liu D, Le DT, Gonzalez SZ, Anderson-Crannage M, Park JM, Park GH, Tarbay L, Daneshvar K, et al.
Neuron (2023) 1116: 807-823.e7. 131 003 IHC; tested species: mouse
Nova proteins direct synaptic integration of somatostatin interneurons through activity-dependent alternative splicing.
Ibrahim LA, Wamsley B, Alghamdi N, Yusuf N, Sevier E, Hairston A, Sherer M, Jaglin XH, Xu Q, Guo L, Khodadadi-Jamayran A, et al.
eLife (2023) 12: . 131 003 IHC; tested species: mouse
The human milk component myo-inositol promotes neuronal connectivity.
Paquette AF, Carbone BE, Vogel S, Israel E, Maria SD, Patil NP, Sah S, Chowdhury D, Kondratiuk I, Labhart B, Morrow AL, et al.
Proceedings of the National Academy of Sciences of the United States of America (2023) 12030: e2221413120. 131 003 ICC, IHC; tested species: rat
Early molecular layer interneuron hyperactivity triggers Purkinje neuron degeneration in SCA1.
Pilotto F, Douthwaite C, Diab R, Ye X, Al Qassab Z, Tietje C, Mounassir M, Odriozola A, Thapa A, Buijsen RAM, Lagache S, et al.
Neuron (2023) : . 131 003 IHC; tested species: mouse
The complement inhibitor CD59 is required for GABAergic synaptic transmission in the dentate gyrus.
Wen L, Yang X, Wu Z, Fu S, Zhan Y, Chen Z, Bi D, Shen Y
Cell reports (2023) 424: 112349. 131 003 WB, IHC, FACS; tested species: mouse
Enriched environment attenuates hippocampal theta and gamma rhythms dysfunction in chronic cerebral hypoperfusion via improving imbalanced neural afferent levels.
Zheng J, Peng S, Cui L, Liu X, Li T, Zhao Z, Li Y, Hu Y, Zhang M, Xu L, Zhang J, et al.
Frontiers in cellular neuroscience (2023) 17: 985246. 131 003 WB, IHC; tested species: rat
LPS induces microglial activation and GABAergic synaptic deficits in the hippocampus accompanied by prolonged cognitive impairment.
Jung H, Lee D, You H, Lee M, Kim H, Cheong E, Um JW
Scientific reports (2023) 131: 6547. 131 003 IHC; tested species: mouse
GABAergic-like dopamine synapses in the brain.
Kim HJ, Hwang B, Reva M, Lee J, Lee BE, Lee Y, Cho EJ, Jeong M, Lee SE, Myung K, Baik JH, et al.
Cell reports (2023) 4210: 113239. 131 003 IHC; tested species: mouse
GEARBOCS: An Adeno Associated Virus Tool for In Vivo Gene Editing in Astrocytes.
Bindu DS, Tan CX, Savage JT, Eroglu C
bioRxiv : the preprint server for biology (2023) : . 131 003 IHC; tested species: mouse
Chronic androgen excess in female mice does not impact luteinizing hormone pulse frequency or putative GABAergic inputs to GnRH neurons.
Coyle CS, Prescott M, Handelsman DJ, Walters KA, Campbell RE
Journal of neuroendocrinology (2022) 344: e13110. 131 003 IHC; tested species: mouse
Altered basal forebrain function during whole-brain network activity at pre- and early-plaque stages of Alzheimer's disease in TgF344-AD rats.
van den Berg M, Adhikari MH, Verschuuren M, Pintelon I, Vasilkovska T, Van Audekerke J, Missault S, Heymans L, Ponsaerts P, De Vos WH, Van der Linden A, et al.
Alzheimer's research & therapy (2022) 141: 148. 131 003 IHC; tested species: rat
LRRTM3 regulates activity-dependent synchronization of synapse properties in topographically connected hippocampal neural circuits.
Kim J, Park D, Seo NY, Yoon TH, Kim GH, Lee SH, Seo J, Um JW, Lee KJ, Ko J
Proceedings of the National Academy of Sciences of the United States of America (2022) 1193: . 131 003 IHC; tested species: mouse
The β2V287L nicotinic subunit linked to sleep-related epilepsy differently affects fast-spiking and regular spiking somatostatin-expressing neurons in murine prefrontal cortex.
Meneghini S, Modena D, Colombo G, Coatti A, Milani N, Madaschi L, Amadeo A, Becchetti A
Progress in neurobiology (2022) : 102279. 131 003 IHC; tested species: mouse
Kv3 channels contribute to the excitability of sub-populations of spinal cord neurons in lamina VII.
Mullen P, Pilati N, Large CH, Deuchars J, Deuchars S
eNeuro (2022) : . 131 003 IHC; tested species: mouse
Peculiar protrusions along tanycyte processes face diverse neural and nonneural cell types in the hypothalamic parenchyma.
Pasquettaz R, Kolotuev I, Rohrbach A, Gouelle C, Pellerin L, Langlet F
The Journal of comparative neurology (2021) 5293: 553-575. 131 003 IHC; tested species: mouse
Reprogramming reactive glia into interneurons reduces chronic seizure activity in a mouse model of mesial temporal lobe epilepsy.
Lentini C, d'Orange M, Marichal N, Trottmann MM, Vignoles R, Foucault L, Verrier C, Massera C, Raineteau O, Conzelmann KK, Rival-Gervier S, et al.
Cell stem cell (2021) : . 131 003 IHC; tested species: mouse
Dorsal and ventral mossy cells differ in their axonal projections throughout the dentate gyrus of the mouse hippocampus.
Botterill JJ, Gerencer KJ, Vinod KY, Alcantara-Gonzalez D, Scharfman HE
Hippocampus (2021) : . 131 003 IHC; tested species: mouse
Astrocytes phagocytose adult hippocampal synapses for circuit homeostasis.
Lee JH, Kim JY, Noh S, Lee H, Lee SY, Mun JY, Park H, Chung WS
Nature (2021) 5907847: 612-617. 131 003 IHC; tested species: mouse
Anoctamin 2-chloride channels reduce simple spike activity and mediate inhibition at elevated calcium concentration in cerebellar Purkinje cells.
Auer F, Franco Taveras E, Klein U, Kesenheimer C, Fleischhauer D, Möhrlen F, Frings S
PloS one (2021) 163: e0247801. 131 003 IHC; tested species: mouse
Noise Exposure Alters Glutamatergic and GABAergic Synaptic Connectivity in the Hippocampus and Its Relevance to Tinnitus.
Zhang L, Wu C, Martel DT, West M, Sutton MA, Shore SE
Neural plasticity (2021) 2021: 8833087. 131 003 IHC
IgSF11 homophilic adhesion proteins promote layer-specific synaptic assembly of the cortical interneuron subtype.
Hayano Y, Ishino Y, Hyun JH, Orozco CG, Steinecke A, Potts E, Oisi Y, Thomas CI, Guerrero-Given D, Kim E, Kwon HB, et al.
Science advances (2021) 729: . 131 003 IHC; tested species: mouse
Genetic dissection identifies Necdin as a driver gene in a mouse model of paternal 15q duplications.
Tamada K, Fukumoto K, Toya T, Nakai N, Awasthi JR, Tanaka S, Okabe S, Spitz F, Saitow F, Suzuki H, Takumi T, et al.
Nature communications (2021) 121: 4056. 131 003 IHC; tested species: mouse
Sensitive period for rescuing parvalbumin interneurons connectivity and social behavior deficits caused by TSC1 loss.
Amegandjin CA, Choudhury M, Jadhav V, Carriço JN, Quintal A, Berryer M, Snapyan M, Chattopadhyaya B, Saghatelyan A, Di Cristo G
Nature communications (2021) 121: 3653. 131 003 IHC; tested species: mouse
Long term effects of peripubertal stress on excitatory and inhibitory circuits in the prefrontal cortex of male and female mice.
Bueno-Fernandez C, Perez-Rando M, Alcaide J, Coviello S, Sandi C, Castillo-Gómez E, Nacher J
Neurobiology of stress (2021) 14: 100322. 131 003 IHC; tested species: mouse
Increased excitation-inhibition balance and loss of GABAergic synapses in the serine racemase knockout model of NMDA receptor hypofunction.
Jami SA, Cameron S, Wong JM, Daly ER, McAllister AK, Gray JA
Journal of neurophysiology (2021) 1261: 11-27. 131 003 IHC; tested species: mouse
Vulnerability of cholecystokinin-expressing GABAergic interneurons in the unilateral intrahippocampal kainate mouse model of temporal lobe epilepsy.
Kang YJ, Clement EM, Park IH, Greenfield LJ, Smith BN, Lee SH
Experimental neurology (2021) 342: 113724. 131 003 IHC; tested species: mouse
Prenatal interleukin 6 elevation increases glutamatergic synapse density and disrupts hippocampal connectivity in offspring.
Mirabella F, Desiato G, Mancinelli S, Fossati G, Rasile M, Morini R, Markicevic M, Grimm C, Amegandjin C, Termanini A, Peano C, et al.
Immunity (2021) 5411: 2611-2631.e8. 131 003 IHC; tested species: mouse
Morphological assessment of GABA and glutamate inputs to GnRH neurons in intact female mice using expansion microscopy.
Yeo SH, Herde MK, Herbison AE
Journal of neuroendocrinology (2021) 339: e13021. 131 003 IHC; tested species: mouse
Cerebellar developmental deficits underlie neurodegenerative disorder spinocerebellar ataxia type 23.
Smeets CJLM, Ma KY, Fisher SE, Verbeek DS
Brain pathology (Zurich, Switzerland) (2021) 312: 239-252. 131 003 IHC; tested species: mouse
Transient expression of a GABA receptor subunit during early development is critical for inhibitory synapse maturation and function.
Sinha R, Grimes WN, Wallin J, Ebbinghaus BN, Luu K, Cherry T, Rieke F, Rudolph U, Wong RO, Hoon M
Current biology : CB (2021) 3119: 4314-4326.e5. 131 003 IHC; tested species: mouse
Morphological evidence indicates a role for microglia in shaping the PCOS-like brain.
Sati A, Prescott M, Holland S, Jasoni CL, Desroziers E, Campbell RE
Journal of neuroendocrinology (2021) 338: e12999. 131 003 IHC; tested species: mouse
Axonal CB1 Receptors Mediate Inhibitory Bouton Formation via cAMP Increase and PKA.
Liang J, Kruijssen DLH, Verschuuren ACJ, Voesenek BJB, Benavides FFW, Sáez Gonzalez M, Ruiter M, Wierenga CJ
The Journal of neuroscience : the official journal of the Society for Neuroscience (2021) 4140: 8279-8296. 131 003 IHC; tested species: mouse
GABA bouton subpopulations in the human dentate gyrus are differentially altered in mesial temporal lobe epilepsy.
Alhourani A, Fish KN, Wozny TA, Sudhakar V, Hamilton RL, Richardson RM
Journal of neurophysiology (2020) 1231: 392-406. 131 003 IHC; tested species: human
ROCK/PKA inhibition rescues hippocampal hyperexcitability and GABAergic neuron alterations in Oligophrenin-1 Knock-out mouse model of X-linked intellectual disability.
Busti I, Allegra M, Spalletti C, Panzi C, Restani L, Billuart P, Caleo M
The Journal of neuroscience : the official journal of the Society for Neuroscience (2020) : . 131 003 IHC; tested species: mouse
The Ncoa7 locus regulates V-ATPase formation and function, neurodevelopment and behaviour.
Castroflorio E, den Hoed J, Svistunova D, Finelli MJ, Cebrian-Serrano A, Corrochano S, Bassett AR, Davies B, Oliver PL
Cellular and molecular life sciences : CMLS (2020) : . 131 003 IHC; tested species: mouse
Tau accumulation in astrocytes of the dentate gyrus induces neuronal dysfunction and memory deficits in Alzheimer's disease.
Richetin K, Steullet P, Pachoud M, Perbet R, Parietti E, Maheswaran M, Eddarkaoui S, Bégard S, Pythoud C, Rey M, Caillierez R, et al.
Nature neuroscience (2020) 2312: 1567-1579. 131 003 IHC; tested species: mouse
Tactile modulation of memory and anxiety requires dentate granule cells along the dorsoventral axis.
Wang C, Liu H, Li K, Wu ZZ, Wu C, Yu JY, Gong Q, Fang P, Wang XX, Duan SM, Wang H, et al.
Nature communications (2020) 111: 6045. 131 003 IHC; tested species: mouse
Different dendritic domains of the GnRH neuron underlie the pulse and surge modes of GnRH secretion in female mice.
Wang L, Guo W, Shen X, Yeo S, Long H, Wang Z, Lyu Q, Herbison AE, Kuang Y
eLife (2020) 9: . 131 003 IHC; tested species: mouse
Synaptic organisation and behaviour-dependent activity of mGluR8a-innervated GABAergic trilaminar cells projecting from the hippocampus to the subiculum.
Katona L, Hartwich K, Tomioka R, Somogyi J, Roberts JDB, Wagner K, Joshi A, Klausberger T, Rockland KS, Somogyi P
Brain structure & function (2020) 2252: 705-734. 131 003 IHC; tested species: mouse,rat
Acute knockdown of Depdc5 leads to synaptic defects in mTOR-related epileptogenesis.
De Fusco A, Cerullo MS, Marte A, Michetti C, Romei A, Castroflorio E, Baulac S, Benfenati F
Neurobiology of disease (2020) : 104822. 131 003 IHC; tested species: mouse
Loss of IQSEC3 Disrupts GABAergic Synapse Maintenance and Decreases Somatostatin Expression in the Hippocampus.
Kim S, Kim H, Park D, Kim J, Hong J, Kim JS, Jung H, Kim D, Cheong E, Ko J, Um JW, et al.
Cell reports (2020) 306: 1995-2005.e5. 131 003 IHC; tested species: mouse
Prenatal Testosterone Exposure Alters GABAergic Synaptic Inputs to GnRH and KNDy Neurons in a Sheep Model of Polycystic Ovarian Syndrome.
Porter DT, Moore AM, Cobern JA, Padmanabhan V, Goodman RL, Coolen LM, Lehman MN
Endocrinology (2019) 16011: 2529-2542. 131 003 IHC
Autism and Schizophrenia-Associated CYFIP1 Regulates the Balance of Synaptic Excitation and Inhibition.
Davenport EC, Szulc BR, Drew J, Taylor J, Morgan T, Higgs NF, López-Doménech G, Kittler JT
Cell reports (2019) 268: 2037-2051.e6. 131 003 ICC, IHC; tested species: mouse
Nanoscale Subsynaptic Domains Underlie the Organization of the Inhibitory Synapse.
Crosby KC, Gookin SE, Garcia JD, Hahm KM, Dell'Acqua ML, Smith KR
Cell reports (2019) 2612: 3284-3297.e3. 131 003 ICC, IHC; tested species: rat
Dysregulated protocadherin-pathway activity as an intrinsic defect in induced pluripotent stem cell-derived cortical interneurons from subjects with schizophrenia.
Shao Z, Noh H, Bin Kim W, Ni P, Nguyen C, Cote SE, Noyes E, Zhao J, Parsons T, Park JM, Zheng K, et al.
Nature neuroscience (2019) : . 131 003 IHC; tested species: human,mouse
Inputs from Sequentially Developed Parallel Fibers Are Required for Cerebellar Organization.
Park H, Kim T, Kim J, Yamamoto Y, Tanaka-Yamamoto K
Cell reports (2019) 2811: 2939-2954.e5. 131 003 IHC; tested species: mouse
Endocannabinoid Signaling Mediates Local Dendritic Coordination between Excitatory and Inhibitory Synapses.
Hu HY, Kruijssen DLH, Frias CP, Rózsa B, Hoogenraad CC, Wierenga CJ
Cell reports (2019) 273: 666-675.e5. 131 003 IHC; tested species: mouse
Deletion of PLCγ1 in GABAergic neurons increases seizure susceptibility in aged mice.
Kim HY, Yang YR, Hwang H, Lee HE, Jang HJ, Kim J, Yang E, Kim H, Rhim H, Suh PG, Kim JI, et al.
Scientific reports (2019) 91: 17761. 131 003 IHC; tested species: mouse
The influence of maternal androgen excess on the male reproductive axis.
Holland S, Prescott M, Pankhurst M, Campbell RE
Scientific reports (2019) 91: 18908. 131 003 IHC; tested species: mouse
Semaphorin4D Induces Inhibitory Synapse Formation by Rapid Stabilization of Presynaptic Boutons via MET Coactivation.
Frias CP, Liang J, Bresser T, Scheefhals L, van Kesteren M, van Dorland R, Hu HY, Bodzeta A, van Bergen En Henegouwen PMP, Hoogenraad CC, Wierenga CJ, et al.
The Journal of neuroscience : the official journal of the Society for Neuroscience (2019) 3922: 4221-4237. 131 003 IHC; tested species: mouse
Inositol polyphosphate multikinase mediates extinction of fear memory.
Park J, Longo F, Park SJ, Lee S, Bae M, Tyagi R, Han JH, Kim S, Santini E, Klann E, Snyder SH, et al.
Proceedings of the National Academy of Sciences of the United States of America (2019) : . 131 003 IHC; tested species: mouse
The basal interstitial nucleus (BIN) of the cerebellum provides diffuse ascending inhibitory input to the floccular granule cell layer.
Jaarsma D, Blot FGC, Wu B, Venkatesan S, Voogd J, Meijer D, Ruigrok TJH, Gao Z, Schonewille M, De Zeeuw CI
The Journal of comparative neurology (2018) : . 131 003 IHC; tested species: mouse
Rbfox1 Mediates Cell-type-Specific Splicing in Cortical Interneurons.
Wamsley B, Jaglin XH, Favuzzi E, Quattrocolo G, Nigro MJ, Yusuf N, Khodadadi-Jamayran A, Rudy B, Fishell G
Neuron (2018) : . 131 003 IHC; tested species: mouse
Integrity of Cajal-Retzius cells in the reeler-mouse hippocampus.
Anstötz M, Karsak M, Rune GM
Hippocampus (2018) : . 131 003 IHC; tested species: mouse
Ontogeny and reversal of brain circuit abnormalities in a preclinical model of PCOS.
Silva MS, Prescott M, Campbell RE
JCI insight (2018) 37: . 131 003 IHC; tested species: mouse
Mapping GABA and Glutamate inputs to gonadotropin-releasing hormone (GnRH) neurones in male and female mice.
Moore AM, Abbott G, Mair J, Prescott M, Campbell RE
Journal of neuroendocrinology (2018) : e12657. 131 003 IHC; tested species: mouse
Developmental pattern and structural factors of dendritic survival in cerebellar granule cells in vivo.
Dhar M, Hantman AW, Nishiyama H
Scientific reports (2018) 81: 17561. 131 003 IHC; tested species: mouse
Puncta of neuronal nitric oxide synthase (nNOS) mediate NMDA-receptor signalling in the auditory midbrain.
Olthof BM, Gartside SE, Rees A
The Journal of neuroscience : the official journal of the Society for Neuroscience (2018) : . 131 003 IHC
Genetic Ablation of All Cerebellins Reveals Synapse Organizer Functions in Multiple Regions Throughout the Brain.
Seigneur E, Südhof TC
The Journal of neuroscience : the official journal of the Society for Neuroscience (2018) 3820: 4774-4790. 131 003 WB, IHC; tested species: mouse
Ventromedial medulla inhibitory neuron inactivation induces REM sleep without atonia and REM sleep behavior disorder.
Valencia Garcia S, Brischoux F, Clément O, Libourel PA, Arthaud S, Lazarus M, Luppi PH, Fort P
Nature communications (2018) 91: 504. 131 003 IHC; tested species: rat
Cbln2 and Cbln4 are expressed in distinct medial habenula-interpeduncular projections and contribute to different behavioral outputs.
Seigneur E, Polepalli JS, Südhof TC
Proceedings of the National Academy of Sciences of the United States of America (2018) 11543: E10235-E10244. 131 003 IHC; tested species: mouse
NCAM Regulates Inhibition and Excitability in Layer 2/3 Pyramidal Cells of Anterior Cingulate Cortex.
Zhang X, Sullivan CS, Kratz MB, Kasten MR, Maness PF, Manis PB
Frontiers in neural circuits (2017) 11: 19. 131 003 IHC; tested species: mouse
Behavior-Dependent Activity and Synaptic Organization of Septo-hippocampal GABAergic Neurons Selectively Targeting the Hippocampal CA3 Area.
Joshi A, Salib M, Viney TJ, Dupret D, Somogyi P
Neuron (2017) 966: 1342-1357.e5. 131 003 IHC
Synaptotagmin 2 Is the Fast Ca2+ Sensor at a Central Inhibitory Synapse.
Chen C, Arai I, Satterfield R, Young SM, Jonas P
Cell reports (2017) 183: 723-736. 131 003 IHC
Aberrant neuronal activity-induced signaling and gene expression in a mouse model of RASopathy.
Altmüller F, Pothula S, Annamneedi A, Nakhaei-Rad S, Montenegro-Venegas C, Pina-Fernández E, Marini C, Santos M, Schanze D, Montag D, Ahmadian MR, et al.
PLoS genetics (2017) 133: e1006684. 131 003 ICC, IHC
Few, Activity-Dependent, and Ubiquitous VGLUT1/VGAT Terminals in Rat and Mouse Brain.
Fattorini G, Ciriachi C, Conti F
Frontiers in cellular neuroscience (2017) 11: 229. 131 003 IHC; tested species: mouse,rat
Disruption of a Structurally Important Extracellular Element in the Glycine Receptor Leads to Decreased Synaptic Integration and Signaling Resulting in Severe Startle Disease.
Schaefer N, Berger A, van Brederode J, Zheng F, Zhang Y, Leacock S, Littau L, Jablonka S, Malhotra S, Topf M, Winter F, et al.
The Journal of neuroscience : the official journal of the Society for Neuroscience (2017) 3733: 7948-7961. 131 003 IHC; tested species: mouse
Dystroglycan Maintains Inner Limiting Membrane Integrity to Coordinate Retinal Development.
Clements R, Turk R, Campbell KP, Wright KM
The Journal of neuroscience : the official journal of the Society for Neuroscience (2017) 3735: 8559-8574. 131 003 IHC; tested species: mouse
Primary Cilia Signaling Shapes the Development of Interneuronal Connectivity.
Guo J, Otis JM, Higginbotham H, Monckton C, Cheng J, Asokan A, Mykytyn K, Caspary T, Stuber GD, Anton ES
Developmental cell (2017) 423: 286-300.e4. 131 003 ICC, IHC; tested species: mouse
Differential role of GABAA receptors and neuroligin 2 for perisomatic GABAergic synapse formation in the hippocampus.
Panzanelli P, Früh S, Fritschy JM
Brain structure & function (2017) 2229: 4149-4161. 131 003 IHC; tested species: mouse
Assembly of Excitatory Synapses in the Absence of Glutamatergic Neurotransmission.
Sando R, Bushong E, Zhu Y, Huang M, Considine C, Phan S, Ju S, Uytiepo M, Ellisman M, Maximov A
Neuron (2017) 942: 312-321.e3. 131 003 WB, IHC; tested species: mouse
Autism-like behaviours and enhanced memory formation and synaptic plasticity in Lrfn2/SALM1-deficient mice.
Morimura N, Yasuda H, Yamaguchi K, Katayama KI, Hatayama M, Tomioka NH, Odagawa M, Kamiya A, Iwayama Y, Maekawa M, Nakamura K, et al.
Nature communications (2017) 8: 15800. 131 003 IHC; tested species: mouse
Unique versus Redundant Functions of Neuroligin Genes in Shaping Excitatory and Inhibitory Synapse Properties.
Chanda S, Hale WD, Zhang B, Wernig M, Südhof TC
The Journal of neuroscience : the official journal of the Society for Neuroscience (2017) 3729: 6816-6836. 131 003 IHC; tested species: mouse
IgSF21 promotes differentiation of inhibitory synapses via binding to neurexin2α.
Tanabe Y, Naito Y, Vasuta C, Lee AK, Soumounou Y, Linhoff MW, Takahashi H
Nature communications (2017) 81: 408. 131 003 WB, IHC
Forebrain-specific loss of synaptic GABAA receptors results in altered neuronal excitability and synaptic plasticity in mice.
O'Sullivan GA, Jedlicka P, Chen HX, Kalbouneh H, Ippolito A, Deller T, Nawrotzki RA, Kuhse J, Kalaidzidis YL, Kirsch J, Schwarzacher SW, et al.
Molecular and cellular neurosciences (2016) 72: 101-13. 131 003 IHC
Genetic Deletion of the Clathrin Adaptor GGA3 Reduces Anxiety and Alters GABAergic Transmission.
Walker KR, Modgil A, Albrecht D, Lomoio S, Haydon PG, Moss SJ, Tesco G
PloS one (2016) 115: e0155799. 131 003 IHC
Neuronal Dystroglycan Is Necessary for Formation and Maintenance of Functional CCK-Positive Basket Cell Terminals on Pyramidal Cells.
Früh S, Romanos J, Panzanelli P, Bürgisser D, Tyagarajan SK, Campbell KP, Santello M, Fritschy JM
The Journal of neuroscience : the official journal of the Society for Neuroscience (2016) 3640: 10296-10313. 131 003 IHC; tested species: mouse
Mechanisms of Functional Hypoconnectivity in the Medial Prefrontal Cortex of Mecp2 Null Mice.
Sceniak MP, Lang M, Enomoto AC, James Howell C, Hermes DJ, Katz DM
Cerebral cortex (New York, N.Y. : 1991) (2016) 265: 1938-1956. 131 003 IHC; tested species: mouse
A critical period for postnatal adaptive plasticity in a model of motor axon miswiring.
Helmbrecht MS, Soellner H, Castiblanco-Urbina MA, Winzeck S, Sundermeier J, Theis FJ, Fouad K, Huber AB
PloS one (2015) 104: e0123643. 131 003 IHC
Distinct sets of FGF receptors sculpt excitatory and inhibitory synaptogenesis.
Dabrowski A, Terauchi A, Strong C, Umemori H
Development (Cambridge, England) (2015) 14210: 1818-30. 131 003 IHC
Protracted brain development in a rodent model of extreme longevity.
Penz OK, Fuzik J, Kurek AB, Romanov R, Larson J, Park TJ, Harkany T, Keimpema E
Scientific reports (2015) 5: 11592. 131 003 IHC
Interneuron- and GABA(A) receptor-specific inhibitory synaptic plasticity in cerebellar Purkinje cells.
He Q, Duguid I, Clark B, Panzanelli P, Patel B, Thomas P, Fritschy JM, Smart TG
Nature communications (2015) 6: 7364. 131 003 IHC
Gestational and early postnatal hypothyroidism alters VGluT1 and VGAT bouton distribution in the neocortex and hippocampus, and behavior in rats.
Navarro D, Alvarado M, Navarrete F, Giner M, Obregon MJ, Manzanares J, Berbel P
Frontiers in neuroanatomy (2015) 9: 9. 131 003 IHC
In vivo clonal overexpression of neuroligin 3 and neuroligin 2 in neurons of the rat cerebral cortex: Differential effects on GABAergic synapses and neuronal migration.
Fekete CD, Chiou TT, Miralles CP, Harris RS, Fiondella CG, Loturco JJ, De Blas AL
The Journal of comparative neurology (2015) 5239: 1359-78. 131 003 IHC
Postsynaptic gephyrin clustering controls the development of adult-born granule cells in the olfactory bulb.
Deprez F, Pallotto M, Vogt F, Grabiec M, Virtanen MA, Tyagarajan SK, Panzanelli P, Fritschy JM
The Journal of comparative neurology (2015) 52313: 1998-2016. 131 003 IHC
A unique ion channel clustering domain on the axon initial segment of mammalian neurons.
King AN, Manning CF, Trimmer JS
The Journal of comparative neurology (2014) 52211: 2594-608. 131 003 IHC; tested species: rat
NDRG2 as a marker protein for brain astrocytes.
Flügge G, Araya-Callis C, Garea-Rodriguez E, Stadelmann-Nessler C, Fuchs E
Cell and tissue research (2014) 3571: 31-41. 131 003 IHC; tested species: rat
A protocol for concurrent high-quality immunohistochemical and biochemical analyses in adult mouse central nervous system.
Notter T, Panzanelli P, Pfister S, Mircsof D, Fritschy JM
The European journal of neuroscience (2014) 392: 165-75. 131 003 IHC
Dense and overlapping innervation of pyramidal neurons by chandelier cells.
Inan M, Blázquez-Llorca L, Merchán-Pérez A, Anderson SA, DeFelipe J, Yuste R
The Journal of neuroscience : the official journal of the Society for Neuroscience (2013) 335: 1907-14. 131 003 IHC; tested species: mouse
Cell type-specific inhibitory inputs to dendritic and somatic compartments of parvalbumin-expressing neocortical interneuron.
Hioki H, Okamoto S, Konno M, Kameda H, Sohn J, Kuramoto E, Fujiyama F, Kaneko T
The Journal of neuroscience : the official journal of the Society for Neuroscience (2013) 332: 544-55. 131 003 IHC
Organization of GABAergic synaptic circuits in the rat ventral tegmental area.
Ciccarelli A, Calza A, Panzanelli P, Concas A, Giustetto M, Sassoè-Pognetto M
PloS one (2012) 710: e46250. 131 003 IHC; tested species: rat
Distribution of gephyrin-immunoreactivity in the trigeminal motor nucleus: an immunohistochemical study in rats.
Li Z, Ge S, Zhang F, Zhang T, Mizuno N, Hioki H, Kaneko T, Gao G, Li J
Anatomical record (Hoboken, N.J. : 2007) (2012) 2954: 641-51. 131 003 IHC, EM; tested species: rat
Tail spasms in rat spinal cord injury: changes in interneuronal connectivity.
Kapitza S, Zörner B, Weinmann O, Bolliger M, Filli L, Dietz V, Schwab ME
Experimental neurology (2012) 2361: 179-89. 131 003 IHC; tested species: rat
A requirement for nuclear factor-kappaB in developmental and plasticity-associated synaptogenesis.
Boersma MC, Dresselhaus EC, De Biase LM, Mihalas AB, Bergles DE, Meffert MK
The Journal of neuroscience : the official journal of the Society for Neuroscience (2011) 3114: 5414-25. 131 003 IHC; tested species: mouse
Distinct mechanisms regulate GABAA receptor and gephyrin clustering at perisomatic and axo-axonic synapses on CA1 pyramidal cells.
Panzanelli P, Gunn BG, Schlatter MC, Benke D, Tyagarajan SK, Scheiffele P, Belelli D, Lambert JJ, Rudolph U, Fritschy JM
The Journal of physiology (2011) 589Pt 20: 4959-80. 131 003 IHC, EM; tested species: mouse
Mixed GABA-glycine synapses delineate a specific topography in the nucleus tractus solitarii of adult rat.
Dufour A, Tell F, Kessler JP, Baude A
The Journal of physiology (2010) 588Pt 7: 1097-115. 131 003 IHC; tested species: rat
Splice-specific roles of glycine receptor alpha3 in the hippocampus.
Eichler SA, Förstera B, Smolinsky B, Jüttner R, Lehmann TN, Fähling M, Schwarz G, Legendre P, Meier JC
The European journal of neuroscience (2009) 306: 1077-91. 131 003 ICC, IHC; tested species: mouse
Unique luminal localization of VGAT-C terminus allows for selective labeling of active cortical GABAergic synapses.
Martens H, Weston MC, Boulland JL, Grønborg M, Grosche J, Kacza J, Hoffmann A, Matteoli M, Takamori S, Harkany T, Chaudhry FA, et al.
The Journal of neuroscience : the official journal of the Society for Neuroscience (2008) 2849: 13125-31. 131 003 WB, ICC, IHC; KO verified; tested species: rat
Developmental maturation of synaptic and extrasynaptic GABAA receptors in mouse thalamic ventrobasal neurones.
Peden DR, Petitjean CM, Herd MB, Durakoglugil MS, Rosahl TW, Wafford K, Homanics GE, Belelli D, Fritschy JM, Lambert JJ
The Journal of physiology (2008) 5864: 965-87. 131 003 IHC; tested species: mouse
Ongoing epileptiform activity in the post-ischemic hippocampus is associated with a permanent shift of the excitatory-inhibitory synaptic balance in CA3 pyramidal neurons.
Epsztein J, Milh M, Bihi RI, Jorquera I, Ben-Ari Y, Represa A, Crépel V
The Journal of neuroscience : the official journal of the Society for Neuroscience (2006) 2626: 7082-92. 131 003 IHC; tested species: rat
Enhanced perisomatic inhibition and impaired long-term potentiation in the CA1 region of juvenile CHL1-deficient mice.
Nikonenko AG, Sun M, Lepsveridze E, Apostolova I, Petrova I, Irintchev A, Dityatev A, Schachner M
The European journal of neuroscience (2006) 237: 1839-52. 131 003 IHC; tested species: mouse
GABAergic excitation promotes neuronal differentiation in adult hippocampal progenitor cells.
Tozuka Y, Fukuda S, Namba T, Seki T, Hisatsune T
Neuron (2005) 476: 803-15. 131 003 IHC; tested species: mouse
nNOS-Expressing Neurons in the Ventral Tegmental Area and Substantia Nigra Pars Compacta.
Paul EJ, Kalk E, Tossell K, Irvine EE, Franks NP, Wisden W, Withers DJ, Leiper J, Ungless MA
eNeuro () 55: . 131 003 IHC; tested species: mouse
Loss of Mecp2 Causes Atypical Synaptic and Molecular Plasticity of Parvalbumin-Expressing Interneurons Reflecting Rett Syndrome-Like Sensorimotor Defects.
Morello N, Schina R, Pilotto F, Phillips M, Melani R, Plicato O, Pizzorusso T, Pozzo-Miller L, Giustetto M
eNeuro () 55: . 131 003 IHC; tested species: mouse
A hypothalamic dopamine locus for psychostimulant-induced hyperlocomotion in mice.
Korchynska S, Rebernik P, Pende M, Boi L, Alpár A, Tasan R, Becker K, Balueva K, Saghafi S, Wulff P, Horvath TL, et al.
Nature communications (2022) 131: 5944. 131 003 ExM, EM; tested species: mouse
A hypothalamic dopamine locus for psychostimulant-induced hyperlocomotion in mice.
Korchynska S, Rebernik P, Pende M, Boi L, Alpár A, Tasan R, Becker K, Balueva K, Saghafi S, Wulff P, Horvath TL, et al.
Nature communications (2022) 131: 5944. 131 003 ExM, EM; tested species: mouse
Distribution of gephyrin-immunoreactivity in the trigeminal motor nucleus: an immunohistochemical study in rats.
Li Z, Ge S, Zhang F, Zhang T, Mizuno N, Hioki H, Kaneko T, Gao G, Li J
Anatomical record (Hoboken, N.J. : 2007) (2012) 2954: 641-51. 131 003 IHC, EM; tested species: rat
Distinct mechanisms regulate GABAA receptor and gephyrin clustering at perisomatic and axo-axonic synapses on CA1 pyramidal cells.
Panzanelli P, Gunn BG, Schlatter MC, Benke D, Tyagarajan SK, Scheiffele P, Belelli D, Lambert JJ, Rudolph U, Fritschy JM
The Journal of physiology (2011) 589Pt 20: 4959-80. 131 003 IHC, EM; tested species: mouse
The complement inhibitor CD59 is required for GABAergic synaptic transmission in the dentate gyrus.
Wen L, Yang X, Wu Z, Fu S, Zhan Y, Chen Z, Bi D, Shen Y
Cell reports (2023) 424: 112349. 131 003 WB, IHC, FACS; tested species: mouse
Cat. No.: 131 003
Amount: 50 µg
Price: $480.00
Bazedoxifene reverses sexually dimorphic autistic-like abnormalities in biallelic MDGA1-mutant mice.
Kim S, Kim H, Pelayo JP, Alvarez S, Jang G, Kim J, Kim B, Hoelscher VM, Calleja-Pérez B, Jung H, Yang Y, et al.
EMBO molecular medicine (2026) : . 131 003 WB, ICC, IHC; tested species: mouse,rat
The TMEM132B-GABAA receptor complex controls alcohol actions in the brain.
Wang G, Peng S, Reyes Mendez M, Keramidas A, Castellano D, Wu K, Han W, Tian Q, Dong L, Li Y, Lu W, et al.
Cell (2024) 18723: 6649-6668.e35. 131 003 WB, ICC; tested species: mouse
GAP43 Located on Corticostriatal Terminals Restrains Novelty-Induced Hyperactivity in Mice.
Maroto IB, Costas-Insua C, Montero-Fernández C, Hermoso-López A, Lebouc M, Bajo-Grañeras R, Álvaro-Blázquez A, Blázquez C, Cannich A, Marsicano G, Martín R, et al.
The Journal of neuroscience : the official journal of the Society for Neuroscience (2024) 4439: . 131 003 WB; tested species: mouse
GABAergic neuronal lineage development determines clinically actionable targets in diffuse hemispheric glioma, H3G34-mutant.
Liu I, Alencastro Veiga Cruzeiro G, Bjerke L, Rogers RF, Grabovska Y, Beck A, Mackay A, Barron T, Hack OA, Quezada MA, Molinari V, et al.
Cancer cell (2024) : . 131 003 WB, ICC; tested species: human
Microglia mitochondrial complex I deficiency during development induces glial dysfunction and early lethality.
Mora-Romero B, Capelo-Carrasco N, Pérez-Moreno JJ, Alvarez-Vergara MI, Trujillo-Estrada L, Romero-Molina C, Martinez-Marquez E, Morano-Catalan N, Vizuete M, Lopez-Barneo J, Nieto-Gonzalez JL, et al.
Nature metabolism (2024) : . 131 003 WB; tested species: mouse
The CB1 receptor interacts with cereblon and drives cereblon deficiency-associated memory shortfalls.
Costas-Insua C, Hermoso-López A, Moreno E, Montero-Fernández C, Álvaro-Blázquez A, Maroto IB, Sánchez-Ruiz A, Diez-Alarcia R, Blázquez C, Morales P, Canela EI, et al.
EMBO molecular medicine (2024) : . 131 003 WB; tested species: mouse
Modeling the precise interaction of glioblastoma with human brain region-specific organoids.
Fan Q, Wang H, Gu T, Liu H, Deng P, Li B, Yang H, Mao Y, Shao Z
iScience (2024) 273: 109111. 131 003 WB; tested species: human
Glycine Receptor β-Targeting Autoantibodies Contribute to the Pathology of Autoimmune Diseases.
Wiessler AL, Talucci I, Piro I, Seefried S, Hörlin V, Baykan BB, Tüzün E, Schaefer N, Maric HM, Sommer C, Villmann C, et al.
Neurology(R) neuroimmunology & neuroinflammation (2024) 112: e200187. 131 003 WB; tested species: mouse
The complement inhibitor CD59 is required for GABAergic synaptic transmission in the dentate gyrus.
Wen L, Yang X, Wu Z, Fu S, Zhan Y, Chen Z, Bi D, Shen Y
Cell reports (2023) 424: 112349. 131 003 WB, IHC, FACS; tested species: mouse
Influence of bifenthrin exposure at different gestational stages on the neural development.
Xi C, Shi X, Wang Y, He J, Jiang S, Niu B, Chen Y, Zhao F, Cao Z
Ecotoxicology and environmental safety (2023) 263: 115365. 131 003 WB; tested species: mouse
Enriched environment attenuates hippocampal theta and gamma rhythms dysfunction in chronic cerebral hypoperfusion via improving imbalanced neural afferent levels.
Zheng J, Peng S, Cui L, Liu X, Li T, Zhao Z, Li Y, Hu Y, Zhang M, Xu L, Zhang J, et al.
Frontiers in cellular neuroscience (2023) 17: 985246. 131 003 WB, IHC; tested species: rat
Extracellular transglutaminase-2, nude or associated with astrocytic extracellular vesicles, modulates neuronal calcium homeostasis.
Tonoli E, Verduci I, Gabrielli M, Prada I, Forcaia G, Coveney C, Savoca MP, Boocock DJ, Sancini G, Mazzanti M, Verderio C, et al.
Progress in neurobiology (2022) : 102313. 131 003 WB; tested species: rat
Spinal Cord Neuronal Network Formation in a 3D Printed Reinforced Matrix-A Model System to Study Disease Mechanisms.
Fischhaber N, Faber J, Bakirci E, Dalton PD, Budday S, Villmann C, Schaefer N
Advanced healthcare materials (2021) 1019: e2100830. 131 003 WB, ICC; tested species: mouse
Environmental Enrichment Rescues Social Behavioral Deficits and Synaptic Abnormalities in Pten Haploinsufficient Mice.
Clipperton-Allen AE, Zhang A, Cohen OS, Page DT
Genes (2021) 129: . 131 003 WB; tested species: mouse
Tuning of glutamate, but not GABA, release by an intra-synaptic vesicles APP domain whose function can be modulated by β- or α-secretase cleavage.
Yao W, Tambini MD, Liu X, D'Adamio L
The Journal of neuroscience : the official journal of the Society for Neuroscience (2019) : . 131 003 WB; tested species: mouse
A triheptanoin-supplemented diet rescues hippocampal hyperexcitability and seizure susceptibility in FoxG1+/- mice.
Testa G, Mainardi M, Olimpico F, Pancrazi L, Cattaneo A, Caleo M, Costa M
Neuropharmacology (2019) : . 131 003 WB; tested species: mouse
Genetic Ablation of All Cerebellins Reveals Synapse Organizer Functions in Multiple Regions Throughout the Brain.
Seigneur E, Südhof TC
The Journal of neuroscience : the official journal of the Society for Neuroscience (2018) 3820: 4774-4790. 131 003 WB, IHC; tested species: mouse
Lrfn2-Mutant Mice Display Suppressed Synaptic Plasticity and Inhibitory Synapse Development and Abnormal Social Communication and Startle Response.
Li Y, Kim R, Cho YS, Song WS, Kim D, Kim K, Roh JD, Chung C, Park H, Yang E, Kim SJ, et al.
The Journal of neuroscience : the official journal of the Society for Neuroscience (2018) 3826: 5872-5887. 131 003 WB; tested species: mouse
Assembly of Excitatory Synapses in the Absence of Glutamatergic Neurotransmission.
Sando R, Bushong E, Zhu Y, Huang M, Considine C, Phan S, Ju S, Uytiepo M, Ellisman M, Maximov A
Neuron (2017) 942: 312-321.e3. 131 003 WB, IHC; tested species: mouse
IgSF21 promotes differentiation of inhibitory synapses via binding to neurexin2α.
Tanabe Y, Naito Y, Vasuta C, Lee AK, Soumounou Y, Linhoff MW, Takahashi H
Nature communications (2017) 81: 408. 131 003 WB, IHC
Activity-Dependent Bidirectional Regulation of GAD Expression in a Homeostatic Fashion Is Mediated by BDNF-Dependent and Independent Pathways.
Hanno-Iijima Y, Tanaka M, Iijima T
PloS one (2015) 108: e0134296. 131 003 WB
Cleavage of the vesicular GABA transporter under excitotoxic conditions is followed by accumulation of the truncated transporter in nonsynaptic sites.
Gomes JR, Lobo AC, Melo CV, Inácio AR, Takano J, Iwata N, Saido TC, de Almeida LP, Wieloch T, Duarte CB
The Journal of neuroscience : the official journal of the Society for Neuroscience (2011) 3112: 4622-35. 131 003 WB, ICC; tested species: rat
Unique luminal localization of VGAT-C terminus allows for selective labeling of active cortical GABAergic synapses.
Martens H, Weston MC, Boulland JL, Grønborg M, Grosche J, Kacza J, Hoffmann A, Matteoli M, Takamori S, Harkany T, Chaudhry FA, et al.
The Journal of neuroscience : the official journal of the Society for Neuroscience (2008) 2849: 13125-31. 131 003 WB, ICC, IHC; KO verified; tested species: rat
Vesicular localization and activity-dependent trafficking of presynaptic choline transporters.
Ferguson SM, Savchenko V, Apparsundaram S, Zwick M, Wright J, Heilman CJ, Yi H, Levey AI, Blakely RD
The Journal of neuroscience : the official journal of the Society for Neuroscience (2003) 2330: 9697-709. 131 003 WB; tested species: mouse
Bazedoxifene reverses sexually dimorphic autistic-like abnormalities in biallelic MDGA1-mutant mice.
Kim S, Kim H, Pelayo JP, Alvarez S, Jang G, Kim J, Kim B, Hoelscher VM, Calleja-Pérez B, Jung H, Yang Y, et al.
EMBO molecular medicine (2026) : . 131 003 WB, ICC, IHC; tested species: mouse,rat
The Neurexin1β Histidine-Rich Domain Is Involved in Excitatory Presynaptic Organization and Short-Term Plasticity.
Feller B, Inagaki M, Wang M, Sivak A, Chofflet N, Takahashi H
eNeuro (2026) 132: . 131 003 ICC; tested species: mouse
Network Activity Shapes Inhibitory Synaptic Development in the Mouse Hippocampus.
Johnson-Venkatesh EM, Umemori H
The Journal of neuroscience : the official journal of the Society for Neuroscience (2025) 4542: . 131 003 ICC, IHC; tested species: mouse
Gephyrin filaments represent the molecular basis of inhibitory postsynaptic densities.
Macha A, Liebsch F, Bruckisch EHW, Burdina N, von Stülpnagel I, Benting K, Gunkel M, Behrmann E, Schwarz G
Nature communications (2025) 161: 8293. 131 003 ICC; tested species: mouse
High-content image-based pooled screens reveal regulators of synaptogenesis.
Le A, Biederer T, Blainey PC
Cell reports (2025) 447: 115889. 131 003 ICC; tested species: human
DEPDC5 regulates the strength of excitatory synaptic transmission by interacting with ubiquitin-specific protease 46.
Cerullo MS, Canevari C, Marte A, Bacq A, De Fusco A, Maletic M, Baulac S, Benfenati F
Neurobiology of disease (2025) 212: 106985. 131 003 ICC; tested species: mouse
Disruption of the autism-associated Pcdh9 gene leads to transcriptional alterations, synapse overgrowth, and defective network activity in the CA1.
Miozzo F, Murru L, Maiellano G, di Iasio I, Zippo AG, Zambrano Avendano A, Metodieva VD, Riccardi S, D'Aliberti D, Spinelli S, Canu T, et al.
The Journal of neuroscience : the official journal of the Society for Neuroscience (2024) 4450: . 131 003 ICC; tested species: rat
MDGAs perform activity-dependent synapse type-specific suppression via distinct extracellular mechanisms.
Kim S, Jang G, Kim H, Lim D, Han KA, Um JW, Ko J
Proceedings of the National Academy of Sciences of the United States of America (2024) 12126: e2322978121. 131 003 ICC; tested species: mouse
TRPM2 and CaMKII Signaling Drives Excessive GABAergic Synaptic Inhibition Following Ischemia.
Burch AM, Garcia JD, O'Leary H, Haas A, Orfila JE, Tiemeier E, Chalmers N, Smith KR, Quillinan N, Herson PS
The Journal of neuroscience : the official journal of the Society for Neuroscience (2024) 4419: . 131 003 ICC, IHC; tested species: mouse
miRNA-mediated control of gephyrin synthesis drives sustained inhibitory synaptic plasticity.
Welle TM, Rajgor D, Kareemo DJ, Garcia JD, Zych SM, Wolfe SE, Gookin SE, Martinez TP, Dell'Acqua ML, Ford CP, Kennedy MJ, et al.
EMBO reports (2024) 2511: 5141-5168. 131 003 ICC; tested species: rat
The TMEM132B-GABAA receptor complex controls alcohol actions in the brain.
Wang G, Peng S, Reyes Mendez M, Keramidas A, Castellano D, Wu K, Han W, Tian Q, Dong L, Li Y, Lu W, et al.
Cell (2024) 18723: 6649-6668.e35. 131 003 WB, ICC; tested species: mouse
Dissection of signaling pathways regulating TrkB-dependent gephyrin clustering.
Wüstner LS, Beuter S, Kriebel M, Volkmer H
Frontiers in molecular neuroscience (2024) 17: 1480820. 131 003 ICC; tested species: rat
GABAergic neuronal lineage development determines clinically actionable targets in diffuse hemispheric glioma, H3G34-mutant.
Liu I, Alencastro Veiga Cruzeiro G, Bjerke L, Rogers RF, Grabovska Y, Beck A, Mackay A, Barron T, Hack OA, Quezada MA, Molinari V, et al.
Cancer cell (2024) : . 131 003 WB, ICC; tested species: human
Nr4a1 regulates cell-specific transcriptional programs in inhibitory GABAergic interneurons.
Huang M, Pieraut S, Cao J, de Souza Polli F, Roncace V, Shen G, Ramos-Medina C, Lee H, Maximov A
Neuron (2024) : . 131 003 ICC, IHC; tested species: mouse
Acute reorganization of postsynaptic GABAA receptors reveals the functional impact of molecular nanoarchitecture at inhibitory synapses.
Olah SS, Kareemo DJ, Buchta WC, Sinnen BL, Miller CN, Actor-Engel HS, Gookin SE, Winborn CS, Kleinjan MS, Crosby KC, Aoto J, et al.
Cell reports (2023) 4211: 113331. 131 003 ICC; tested species: rat
The human milk component myo-inositol promotes neuronal connectivity.
Paquette AF, Carbone BE, Vogel S, Israel E, Maria SD, Patil NP, Sah S, Chowdhury D, Kondratiuk I, Labhart B, Morrow AL, et al.
Proceedings of the National Academy of Sciences of the United States of America (2023) 12030: e2221413120. 131 003 ICC, IHC; tested species: rat
Distinct mechanisms drive sequential internalization and degradation of GABAARs during global ischemia and reperfusion injury.
Garcia JD, Wolfe SE, Stewart AR, Tiemeier E, Gookin SE, Guerrero MB, Quillinan N, Smith KR
iScience (2023) 2610: 108061. 131 003 ICC; tested species: rat
Presynapses contain distinct actin nanostructures.
Bingham D, Jakobs CE, Wernert F, Boroni-Rueda F, Jullien N, Schentarra EM, Friedl K, Da Costa Moura J, van Bommel DM, Caillol G, Ogawa Y, et al.
The Journal of cell biology (2023) 22210: . 131 003 ICC; tested species: rat
S-SCAM is essential for synapse formation.
Wittenmayer N, Petkova-Tuffy A, Borgmeyer M, Lee C, Becker J, Böning A, Kügler S, Rhee J, Viotti JS, Dresbach T
Frontiers in cellular neuroscience (2023) 17: 1182493. 131 003 ICC; tested species: rat
Different mechanisms of synapsin-induced vesicle clustering at inhibitory and excitatory synapses.
Song SH, Augustine GJ
Cell reports (2023) 428: 113004. 131 003 ICC; tested species: mouse
Differential Modes of Action of α1- and α1γ2-Autoantibodies Derived from Patients with GABAAR Encephalitis.
van Casteren ACM, Ackermann F, Rahman KA, Andrzejak E, Rosenmund C, Kreye J, Prüss H, Garner CC, Ichkova A
eNeuro (2022) 96: . 131 003 ICC; tested species: mouse
SLITRK1-mediated noradrenergic projection suppression in the neonatal prefrontal cortex.
Hatayama M, Katayama KI, Kawahara Y, Matsunaga H, Takashima N, Iwayama Y, Matsumoto Y, Nishi A, Yoshikawa T, Aruga J
Communications biology (2022) 51: 935. 131 003 ICC; tested species: mouse
Patient-derived anti-NMDAR antibody disinhibits cortical neuronal networks through dysfunction of inhibitory neuron output.
Andrzejak E, Rabinovitch E, Kreye J, Prüss H, Rosenmund C, Ziv NE, Garner CC, Ackermann F
The Journal of neuroscience : the official journal of the Society for Neuroscience (2022) : . 131 003 ICC; tested species: mouse
Spinal Cord Neuronal Network Formation in a 3D Printed Reinforced Matrix-A Model System to Study Disease Mechanisms.
Fischhaber N, Faber J, Bakirci E, Dalton PD, Budday S, Villmann C, Schaefer N
Advanced healthcare materials (2021) 1019: e2100830. 131 003 WB, ICC; tested species: mouse
Stepwise disassembly of GABAergic synapses during pathogenic excitotoxicity.
Garcia JD, Gookin SE, Crosby KC, Schwartz SL, Tiemeier E, Kennedy MJ, Dell'Acqua ML, Herson PS, Quillinan N, Smith KR
Cell reports (2021) 3712: 110142. 131 003 ICC; tested species: rat
Efficient Derivation of Excitatory and Inhibitory Neurons from Human Pluripotent Stem Cells Stably Expressing Direct Reprogramming Factors.
Song S, Ashok A, Williams D, Kaufman M, Duff K, Sproul A
Current protocols (2021) 16: e141. 131 003 ICC; tested species: human
Aβ1-16 controls synaptic vesicle pools at excitatory synapses via cholinergic modulation of synapsin phosphorylation.
Anni D, Weiss EM, Guhathakurta D, Akdas YE, Klueva J, Zeitler S, Andres-Alonso M, Huth T, Fejtova A
Cellular and molecular life sciences : CMLS (2021) : . 131 003 ICC; tested species: rat
Autism Spectrum Disorder Risk Factor Met Regulates the Organization of Inhibitory Synapses.
Jeckel P, Kriebel M, Volkmer H
Frontiers in molecular neuroscience (2021) 14: 659856. 131 003 ICC; tested species: rat
Neuroinflammation induces synaptic scaling through IL-1β-mediated activation of the transcriptional repressor REST/NRSF.
Buffolo F, Petrosino V, Albini M, Moschetta M, Carlini F, Floss T, Kerlero de Rosbo N, Cesca F, Rocchi A, Uccelli A, Benfenati F, et al.
Cell death & disease (2021) 122: 180. 131 003 ICC; tested species: mouse
Neuronal Autophagy Regulates Presynaptic Neurotransmission by Controlling the Axonal Endoplasmic Reticulum.
Kuijpers M, Kochlamazashvili G, Stumpf A, Puchkov D, Swaminathan A, Lucht MT, Krause E, Maritzen T, Schmitz D, Haucke V
Neuron (2021) 1092: 299-313.e9. 131 003 ICC; tested species: mouse
Plasmalogens regulate the AKT-ULK1 signaling pathway to control the position of the axon initial segment.
Ferreira da Silva T, Granadeiro LS, Bessa-Neto D, Luz LL, Safronov BV, Brites P
Progress in neurobiology (2021) 205: 102123. 131 003 ICC; tested species: mouse
An Autism-Associated Mutation Impairs Neuroligin-4 Glycosylation and Enhances Excitatory Synaptic Transmission in Human Neurons.
Cast T, Boesch D, Smyth K, Shaw A, Ghebrial M, Chanda S
The Journal of neuroscience : the official journal of the Society for Neuroscience (2020) : . 131 003 ICC; tested species: human
Opposite Control of Excitatory and Inhibitory Synapse Formation by Slitrk2 and Slitrk5 on Dopamine Neurons Modulates Hyperactivity Behavior.
Salesse C, Charest J, Doucet-Beaupré H, Castonguay AM, Labrecque S, De Koninck P, Lévesque M
Cell reports (2020) 307: 2374-2386.e5. 131 003 ICC; tested species: mouse
Interference With Complex IV as a Model of Age-Related Decline in Synaptic Connectivity.
Kriebel M, Ebel J, Battke F, Griesbach S, Volkmer H
Frontiers in molecular neuroscience (2020) 13: 43. 131 003 ICC; tested species: rat
Activated microglia cause metabolic disruptions in developmental cortical interneurons that persist in interneurons from individuals with schizophrenia.
Park GH, Noh H, Shao Z, Ni P, Qin Y, Liu D, Beaudreault CP, Park JS, Abani CP, Park JM, Le DT, et al.
Nature neuroscience (2020) 2311: 1352-1364. 131 003 ICC; tested species: human
Local miRNA-Dependent Translational Control of GABAAR Synthesis during Inhibitory Long-Term Potentiation.
Rajgor D, Purkey AM, Sanderson JL, Welle TM, Garcia JD, Dell'Acqua ML, Smith KR
Cell reports (2020) 3112: 107785. 131 003 ICC; tested species: rat
Dysregulation of BRD4 Function Underlies the Functional Abnormalities of MeCP2 Mutant Neurons.
Xiang Y, Tanaka Y, Patterson B, Hwang SM, Hysolli E, Cakir B, Kim KY, Wang W, Kang YJ, Clement EM, Zhong M, et al.
Molecular cell (2020) 791: 84-98.e9. 131 003 ICC; tested species: human
Neuroligin-4 Regulates Excitatory Synaptic Transmission in Human Neurons.
Marro SG, Chanda S, Yang N, Janas JA, Valperga G, Trotter J, Zhou B, Merrill S, Yousif I, Shelby H, Vogel H, et al.
Neuron (2019) 1034: 617-626.e6. 131 003 ICC; tested species: human
Autism and Schizophrenia-Associated CYFIP1 Regulates the Balance of Synaptic Excitation and Inhibition.
Davenport EC, Szulc BR, Drew J, Taylor J, Morgan T, Higgs NF, López-Doménech G, Kittler JT
Cell reports (2019) 268: 2037-2051.e6. 131 003 ICC, IHC; tested species: mouse
Nanoscale Subsynaptic Domains Underlie the Organization of the Inhibitory Synapse.
Crosby KC, Gookin SE, Garcia JD, Hahm KM, Dell'Acqua ML, Smith KR
Cell reports (2019) 2612: 3284-3297.e3. 131 003 ICC, IHC; tested species: rat
Modeling a Neurexin-3α Human Mutation in Mouse Neurons Identifies a Novel Role in the Regulation of Transsynaptic Signaling and Neurotransmitter Release at Excitatory Synapses.
Restrepo S, Langer NJ, Nelson KA, Aoto J
The Journal of neuroscience : the official journal of the Society for Neuroscience (2019) 3946: 9065-9082. 131 003 ICC; tested species: mouse
Carbonic anhydrase-related protein CA10 is an evolutionarily conserved pan-neurexin ligand.
Sterky FH, Trotter JH, Lee SJ, Recktenwald CV, Du X, Zhou B, Zhou P, Schwenk J, Fakler B, Südhof TC
Proceedings of the National Academy of Sciences of the United States of America (2017) 1147: E1253-E1262. 131 003 ICC
Primary Cilia Signaling Shapes the Development of Interneuronal Connectivity.
Guo J, Otis JM, Higginbotham H, Monckton C, Cheng J, Asokan A, Mykytyn K, Caspary T, Stuber GD, Anton ES
Developmental cell (2017) 423: 286-300.e4. 131 003 ICC, IHC; tested species: mouse
Aberrant neuronal activity-induced signaling and gene expression in a mouse model of RASopathy.
Altmüller F, Pothula S, Annamneedi A, Nakhaei-Rad S, Montenegro-Venegas C, Pina-Fernández E, Marini C, Santos M, Schanze D, Montag D, Ahmadian MR, et al.
PLoS genetics (2017) 133: e1006684. 131 003 ICC, IHC
Human autoantibodies to amphiphysin induce defective presynaptic vesicle dynamics and composition.
Werner C, Pauli M, Doose S, Weishaupt A, Haselmann H, Grünewald B, Sauer M, Heckmann M, Toyka KV, Asan E, Sommer C, et al.
Brain : a journal of neurology (2016) 139Pt 2: 365-79. 131 003 ICC; tested species: rat
ELKS controls the pool of readily releasable vesicles at excitatory synapses through its N-terminal coiled-coil domains.
Held RG, Liu C, Kaeser PS
eLife (2016) 5: . 131 003 ICC
Electrical Responses and Spontaneous Activity of Human iPS-Derived Neuronal Networks Characterized for 3-month Culture with 4096-Electrode Arrays.
Amin H, Maccione A, Marinaro F, Zordan S, Nieus T, Berdondini L
Frontiers in neuroscience (2016) 10: 121. 131 003 ICC; tested species: human
Radixin regulates synaptic GABAA receptor density and is essential for reversal learning and short-term memory.
Hausrat TJ, Muhia M, Gerrow K, Thomas P, Hirdes W, Tsukita S, Heisler FF, Herich L, Dubroqua S, Breiden P, Feldon J, et al.
Nature communications (2015) 6: 6872. 131 003 ICC
High abundance of BDNF within glutamatergic presynapses of cultured hippocampal neurons.
Andreska T, Aufmkolk S, Sauer M, Blum R
Frontiers in cellular neuroscience (2014) 8: 107. 131 003 ICC; tested species: mouse
Dlg5 regulates dendritic spine formation and synaptogenesis by controlling subcellular N-cadherin localization.
Wang SH, Celic I, Choi SY, Riccomagno M, Wang Q, Sun LO, Mitchell SP, Vasioukhin V, Huganir RL, Kolodkin AL
The Journal of neuroscience : the official journal of the Society for Neuroscience (2014) 3438: 12745-61. 131 003 ICC; tested species: mouse
BDNF enhances spontaneous and activity-dependent neurotransmitter release at excitatory terminals but not at inhibitory terminals in hippocampal neurons.
Shinoda Y, Ahmed S, Ramachandran B, Bharat V, Brockelt D, Altas B, Dean C
Frontiers in synaptic neuroscience (2014) 6: 27. 131 003 ICC; tested species: rat
Neuronal nitric oxide synthase-dependent S-nitrosylation of gephyrin regulates gephyrin clustering at GABAergic synapses.
Dejanovic B, Schwarz G
The Journal of neuroscience : the official journal of the Society for Neuroscience (2014) 3423: 7763-8. 131 003 ICC
Proteomic analysis of glycine receptor β subunit (GlyRβ)-interacting proteins: evidence for syndapin I regulating synaptic glycine receptors.
Del Pino I, Koch D, Schemm R, Qualmann B, Betz H, Paarmann I
The Journal of biological chemistry (2014) 28916: 11396-409. 131 003 ICC; tested species: rat
Reduced SNAP-25 alters short-term plasticity at developing glutamatergic synapses.
Antonucci F, Corradini I, Morini R, Fossati G, Menna E, Pozzi D, Pacioni S, Verderio C, Bacci A, Matteoli M
EMBO reports (2013) 147: 645-51. 131 003 ICC
Neural progenitors derived from human induced pluripotent stem cells survive and differentiate upon transplantation into a rat model of amyotrophic lateral sclerosis.
Popescu IR, Nicaise C, Liu S, Bisch G, Knippenberg S, Daubie V, Bohl D, Pochet R
Stem cells translational medicine (2013) 23: 167-74. 131 003 ICC; tested species: human
Specific trans-synaptic interaction with inhibitory interneuronal neurexin underlies differential ability of neuroligins to induce functional inhibitory synapses.
Futai K, Doty CD, Baek B, Ryu J, Sheng M
The Journal of neuroscience : the official journal of the Society for Neuroscience (2013) 338: 3612-23. 131 003 ICC; tested species: rat
Metabolic turnover of synaptic proteins: kinetics, interdependencies and implications for synaptic maintenance.
Cohen LD, Zuchman R, Sorokina O, Müller A, Dieterich DC, Armstrong JD, Ziv T, Ziv NE
PloS one (2013) 85: e63191. 131 003 ICC; tested species: rat
Neuronal profilin isoforms are addressed by different signalling pathways.
Murk K, Wittenmayer N, Michaelsen-Preusse K, Dresbach T, Schoenenberger CA, Korte M, Jockusch BM, Rothkegel M
PloS one (2012) 73: e34167. 131 003 ICC; tested species: mouse,rat
Postsynaptic TrkC and presynaptic PTPσ function as a bidirectional excitatory synaptic organizing complex.
Takahashi H, Arstikaitis P, Prasad T, Bartlett TE, Wang YT, Murphy TH, Craig AM
Neuron (2011) 692: 287-303. 131 003 ICC; tested species: rat
Cleavage of the vesicular GABA transporter under excitotoxic conditions is followed by accumulation of the truncated transporter in nonsynaptic sites.
Gomes JR, Lobo AC, Melo CV, Inácio AR, Takano J, Iwata N, Saido TC, de Almeida LP, Wieloch T, Duarte CB
The Journal of neuroscience : the official journal of the Society for Neuroscience (2011) 3112: 4622-35. 131 003 WB, ICC; tested species: rat
Calmodulin controls synaptic strength via presynaptic activation of calmodulin kinase II.
Pang ZP, Cao P, Xu W, Südhof TC
The Journal of neuroscience : the official journal of the Society for Neuroscience (2010) 3011: 4132-42. 131 003 ICC; tested species: mouse
Single particle tracking of alpha7 nicotinic AChR in hippocampal neurons reveals regulated confinement at glutamatergic and GABAergic perisynaptic sites.
Bürli T, Baer K, Ewers H, Sidler C, Fuhrer C, Fritschy JM
PloS one (2010) 57: e11507. 131 003 ICC; tested species: rat
Splice-specific roles of glycine receptor alpha3 in the hippocampus.
Eichler SA, Förstera B, Smolinsky B, Jüttner R, Lehmann TN, Fähling M, Schwarz G, Legendre P, Meier JC
The European journal of neuroscience (2009) 306: 1077-91. 131 003 ICC, IHC; tested species: mouse
Unique luminal localization of VGAT-C terminus allows for selective labeling of active cortical GABAergic synapses.
Martens H, Weston MC, Boulland JL, Grønborg M, Grosche J, Kacza J, Hoffmann A, Matteoli M, Takamori S, Harkany T, Chaudhry FA, et al.
The Journal of neuroscience : the official journal of the Society for Neuroscience (2008) 2849: 13125-31. 131 003 WB, ICC, IHC; KO verified; tested species: rat
Remodeling synaptic connections via engineered neuron-astrocyte interactions.
Kim SH, Won W, Kim GH, Kook YH, Son S, Choi S, Kang DY, Park MG, Choi YJ, Won SS, Shin J, et al.
Nature communications (2026) 171: . 131 003 IHC; tested species: mouse
Bazedoxifene reverses sexually dimorphic autistic-like abnormalities in biallelic MDGA1-mutant mice.
Kim S, Kim H, Pelayo JP, Alvarez S, Jang G, Kim J, Kim B, Hoelscher VM, Calleja-Pérez B, Jung H, Yang Y, et al.
EMBO molecular medicine (2026) : . 131 003 WB, ICC, IHC; tested species: mouse,rat
The axon initial segment-associated microglia regulate neuronal activity and visual perception.
Wang Y, Wang Q, Gao C, He S, Wei C, Song J, Liu X, Liu X, Feng S, Yao W, Wu W, et al.
Cell research (2026) : . 131 003 IHC; tested species: mouse
Network Activity Shapes Inhibitory Synaptic Development in the Mouse Hippocampus.
Johnson-Venkatesh EM, Umemori H
The Journal of neuroscience : the official journal of the Society for Neuroscience (2025) 4542: . 131 003 ICC, IHC; tested species: mouse
Parkinsonism disrupts cortical function by dysregulating oscillatory, network and synaptic activity of parvalbumin positive interneurons.
Minetti A, Montagni E, Meneghetti N, Macchi F, Coulomb É, Martello A, Tiberi A, Capsoni S, Mazzoni A, Allegra Mascaro AL, Spalletti C, et al.
NPJ Parkinson's disease (2025) 111: 194. 131 003 IHC; tested species: mouse
The NLRP3 inflammasome in microglia regulates repetitive behavior by modulating NMDA glutamate receptor functions.
Jung H, Kim B, Jang G, Kim H, Lee AR, Yoon SH, Lee KS, Hyun G, Kim Y, Ko J, Yu JW, et al.
Cell reports (2025) 445: 115656. 131 003 IHC; tested species: mouse
Partial normalization of hippocampal oscillatory activity during sleep in TgF344-AD rats coincides with increased cholinergic synapses at early-plaque stage of Alzheimer's disease.
Berg MVD, Heymans L, Toen D, Adhikari MA, Audekerke JV, Verschuuren M, Pintelon I, Vos WH, Linden AV, Verhoye M, Keliris GA, et al.
Acta neuropathologica communications (2025) 131: 96. 131 003 IHC; tested species: rat
Structural plasticity of pyramidal cell neurons measured after FLASH and conventional dose-rate irradiation.
Dickstein DL, Zhang R, Ru N, Vozenin MC, Perry BC, Wang J, Baulch JE, Acharya MM, Limoli CL
Brain structure & function (2025) 2302: 41. 131 003 IHC; tested species: mouse
ALS/FTD-linked TBK1 deficiency in microglia induces an aged-like microglial signature and drives social recognition deficits in mice.
Lenoel I, Ribon M, Lorenc F, Diebold A, Philibert CE, Robaldo D, Badsi M, Perronnet J, Lameth J, Berriat F, Misawa H, et al.
Nature communications (2025) 161: 7951. 131 003 IHC; tested species: mouse
Fetal rat neural progenitor cell transplantation after spinal cord injury improves motor recovery following optogenetic stimulation.
Sánchez-Martín MDM, Giraldo E, Alastrue-Agudo A, López-Mocholi E, Martín-Pérez S, Maninno L, Paniagua Soriano G, Fraga Sánchez AI, Monreal-Trigo J, Terrés-Haro JM, Vidal Beneyto Q, et al.
Molecular therapy : the journal of the American Society of Gene Therapy (2025) : . 131 003 IHC; tested species: rat
Autism-associated ARHGEF9 variants impair GABAergic synapses and ultrasonic communication by reducing gephyrin phosphorylation.
Jung H, Kim B, Jang G, Lee H, Kim Y, Kim H, Lee HJ, Kim D, Yang Y, Jeong WC, Kim S, et al.
Molecular psychiatry (2025) : . 131 003 IHC; tested species: mouse
Microglial TREM2 deficiency causes E/I imbalance and triggers ASD-like behaviors by altering potassium channel Kv1.3 activation.
Wang Y, Wang Q, Li R, Yu Y, Feng S, Wu W, Ren S
Neurobiology of disease (2025) 217: 107185. 131 003 IHC; tested species: mouse
Different Purkinje cell pathologies cause specific patterns of progressive gait ataxia in mice.
Jaarsma D, Birkisdóttir MB, van Vossen R, Oomen DWGD, Akhiyat O, Vermeij WP, Koekkoek SKE, De Zeeuw CI, Bosman LWJ
Neurobiology of disease (2024) 192: 106422. 131 003 IHC; tested species: mouse
The Role of Tenascin-C on the Structural Plasticity of Perineuronal Nets and Synaptic Expression in the Hippocampus of Male Mice.
Jakovljević A, Stamenković V, Poleksić J, Hamad MIK, Reiss G, Jakovcevski I, Andjus PR
Biomolecules (2024) 144: . 131 003 IHC; tested species: mouse
Nr4a1 regulates cell-specific transcriptional programs in inhibitory GABAergic interneurons.
Huang M, Pieraut S, Cao J, de Souza Polli F, Roncace V, Shen G, Ramos-Medina C, Lee H, Maximov A
Neuron (2024) : . 131 003 ICC, IHC; tested species: mouse
Investigating GABA Neuron-Specific Androgen Receptor Knockout in two Hyperandrogenic Models of PCOS.
Sucquart IE, Coyle C, Rodriguez Paris V, Prescott M, Glendining KA, Potapov K, Begg DP, Gilchrist RB, Walters KA, Campbell RE
Endocrinology (2024) 1657: . 131 003 IHC; tested species: mouse
Neuron type-specific proteomics reveals distinct Shank3 proteoforms in iSPNs and dSPNs lead to striatal synaptopathy in Shank3B-/- mice.
Wang YZ, Perez-Rosello T, Smukowski SN, Surmeier DJ, Savas JN
Molecular psychiatry (2024) 298: 2372-2388. 131 003 IHC; tested species: mouse
Protocol for in vivo analysis of pre- and post-synaptic protein function in mice.
Cramer TML, Abegg A, Tyagarajan SK
STAR protocols (2024) 52: 103117. 131 003 IHC; tested species: mouse
Acute kappa opioid receptor blocking disrupts the pro-cognitive effect of cannabidiol in neuropathic rats.
Boccella S, Fusco A, Ricciardi F, Morace AM, Bonsale R, Perrone M, Marabese I, De Gregorio D, Belardo C, Posa L, Rullo L, et al.
Neuropharmacology (2024) 266: 110265. 131 003 IHC; tested species: rat
TRPM2 and CaMKII Signaling Drives Excessive GABAergic Synaptic Inhibition Following Ischemia.
Burch AM, Garcia JD, O'Leary H, Haas A, Orfila JE, Tiemeier E, Chalmers N, Smith KR, Quillinan N, Herson PS
The Journal of neuroscience : the official journal of the Society for Neuroscience (2024) 4419: . 131 003 ICC, IHC; tested species: mouse
Inhibitory CCK+ basket synapse defects in mouse models of dystroglycanopathy.
Jahncke JN, Miller DS, Krush M, Schnell E, Wright KM
eLife (2024) 12: . 131 003 IHC; tested species: mouse
Human cortical interneurons optimized for grafting specifically integrate, abort seizures, and display prolonged efficacy without over-inhibition.
Zhu Q, Mishra A, Park JS, Liu D, Le DT, Gonzalez SZ, Anderson-Crannage M, Park JM, Park GH, Tarbay L, Daneshvar K, et al.
Neuron (2023) 1116: 807-823.e7. 131 003 IHC; tested species: mouse
Nova proteins direct synaptic integration of somatostatin interneurons through activity-dependent alternative splicing.
Ibrahim LA, Wamsley B, Alghamdi N, Yusuf N, Sevier E, Hairston A, Sherer M, Jaglin XH, Xu Q, Guo L, Khodadadi-Jamayran A, et al.
eLife (2023) 12: . 131 003 IHC; tested species: mouse
The human milk component myo-inositol promotes neuronal connectivity.
Paquette AF, Carbone BE, Vogel S, Israel E, Maria SD, Patil NP, Sah S, Chowdhury D, Kondratiuk I, Labhart B, Morrow AL, et al.
Proceedings of the National Academy of Sciences of the United States of America (2023) 12030: e2221413120. 131 003 ICC, IHC; tested species: rat
Early molecular layer interneuron hyperactivity triggers Purkinje neuron degeneration in SCA1.
Pilotto F, Douthwaite C, Diab R, Ye X, Al Qassab Z, Tietje C, Mounassir M, Odriozola A, Thapa A, Buijsen RAM, Lagache S, et al.
Neuron (2023) : . 131 003 IHC; tested species: mouse
The complement inhibitor CD59 is required for GABAergic synaptic transmission in the dentate gyrus.
Wen L, Yang X, Wu Z, Fu S, Zhan Y, Chen Z, Bi D, Shen Y
Cell reports (2023) 424: 112349. 131 003 WB, IHC, FACS; tested species: mouse
Enriched environment attenuates hippocampal theta and gamma rhythms dysfunction in chronic cerebral hypoperfusion via improving imbalanced neural afferent levels.
Zheng J, Peng S, Cui L, Liu X, Li T, Zhao Z, Li Y, Hu Y, Zhang M, Xu L, Zhang J, et al.
Frontiers in cellular neuroscience (2023) 17: 985246. 131 003 WB, IHC; tested species: rat
LPS induces microglial activation and GABAergic synaptic deficits in the hippocampus accompanied by prolonged cognitive impairment.
Jung H, Lee D, You H, Lee M, Kim H, Cheong E, Um JW
Scientific reports (2023) 131: 6547. 131 003 IHC; tested species: mouse
GABAergic-like dopamine synapses in the brain.
Kim HJ, Hwang B, Reva M, Lee J, Lee BE, Lee Y, Cho EJ, Jeong M, Lee SE, Myung K, Baik JH, et al.
Cell reports (2023) 4210: 113239. 131 003 IHC; tested species: mouse
GEARBOCS: An Adeno Associated Virus Tool for In Vivo Gene Editing in Astrocytes.
Bindu DS, Tan CX, Savage JT, Eroglu C
bioRxiv : the preprint server for biology (2023) : . 131 003 IHC; tested species: mouse
Chronic androgen excess in female mice does not impact luteinizing hormone pulse frequency or putative GABAergic inputs to GnRH neurons.
Coyle CS, Prescott M, Handelsman DJ, Walters KA, Campbell RE
Journal of neuroendocrinology (2022) 344: e13110. 131 003 IHC; tested species: mouse
Altered basal forebrain function during whole-brain network activity at pre- and early-plaque stages of Alzheimer's disease in TgF344-AD rats.
van den Berg M, Adhikari MH, Verschuuren M, Pintelon I, Vasilkovska T, Van Audekerke J, Missault S, Heymans L, Ponsaerts P, De Vos WH, Van der Linden A, et al.
Alzheimer's research & therapy (2022) 141: 148. 131 003 IHC; tested species: rat
LRRTM3 regulates activity-dependent synchronization of synapse properties in topographically connected hippocampal neural circuits.
Kim J, Park D, Seo NY, Yoon TH, Kim GH, Lee SH, Seo J, Um JW, Lee KJ, Ko J
Proceedings of the National Academy of Sciences of the United States of America (2022) 1193: . 131 003 IHC; tested species: mouse
The β2V287L nicotinic subunit linked to sleep-related epilepsy differently affects fast-spiking and regular spiking somatostatin-expressing neurons in murine prefrontal cortex.
Meneghini S, Modena D, Colombo G, Coatti A, Milani N, Madaschi L, Amadeo A, Becchetti A
Progress in neurobiology (2022) : 102279. 131 003 IHC; tested species: mouse
Kv3 channels contribute to the excitability of sub-populations of spinal cord neurons in lamina VII.
Mullen P, Pilati N, Large CH, Deuchars J, Deuchars S
eNeuro (2022) : . 131 003 IHC; tested species: mouse
Peculiar protrusions along tanycyte processes face diverse neural and nonneural cell types in the hypothalamic parenchyma.
Pasquettaz R, Kolotuev I, Rohrbach A, Gouelle C, Pellerin L, Langlet F
The Journal of comparative neurology (2021) 5293: 553-575. 131 003 IHC; tested species: mouse
Reprogramming reactive glia into interneurons reduces chronic seizure activity in a mouse model of mesial temporal lobe epilepsy.
Lentini C, d'Orange M, Marichal N, Trottmann MM, Vignoles R, Foucault L, Verrier C, Massera C, Raineteau O, Conzelmann KK, Rival-Gervier S, et al.
Cell stem cell (2021) : . 131 003 IHC; tested species: mouse
Dorsal and ventral mossy cells differ in their axonal projections throughout the dentate gyrus of the mouse hippocampus.
Botterill JJ, Gerencer KJ, Vinod KY, Alcantara-Gonzalez D, Scharfman HE
Hippocampus (2021) : . 131 003 IHC; tested species: mouse
Astrocytes phagocytose adult hippocampal synapses for circuit homeostasis.
Lee JH, Kim JY, Noh S, Lee H, Lee SY, Mun JY, Park H, Chung WS
Nature (2021) 5907847: 612-617. 131 003 IHC; tested species: mouse
Anoctamin 2-chloride channels reduce simple spike activity and mediate inhibition at elevated calcium concentration in cerebellar Purkinje cells.
Auer F, Franco Taveras E, Klein U, Kesenheimer C, Fleischhauer D, Möhrlen F, Frings S
PloS one (2021) 163: e0247801. 131 003 IHC; tested species: mouse
Noise Exposure Alters Glutamatergic and GABAergic Synaptic Connectivity in the Hippocampus and Its Relevance to Tinnitus.
Zhang L, Wu C, Martel DT, West M, Sutton MA, Shore SE
Neural plasticity (2021) 2021: 8833087. 131 003 IHC
IgSF11 homophilic adhesion proteins promote layer-specific synaptic assembly of the cortical interneuron subtype.
Hayano Y, Ishino Y, Hyun JH, Orozco CG, Steinecke A, Potts E, Oisi Y, Thomas CI, Guerrero-Given D, Kim E, Kwon HB, et al.
Science advances (2021) 729: . 131 003 IHC; tested species: mouse
Genetic dissection identifies Necdin as a driver gene in a mouse model of paternal 15q duplications.
Tamada K, Fukumoto K, Toya T, Nakai N, Awasthi JR, Tanaka S, Okabe S, Spitz F, Saitow F, Suzuki H, Takumi T, et al.
Nature communications (2021) 121: 4056. 131 003 IHC; tested species: mouse
Sensitive period for rescuing parvalbumin interneurons connectivity and social behavior deficits caused by TSC1 loss.
Amegandjin CA, Choudhury M, Jadhav V, Carriço JN, Quintal A, Berryer M, Snapyan M, Chattopadhyaya B, Saghatelyan A, Di Cristo G
Nature communications (2021) 121: 3653. 131 003 IHC; tested species: mouse
Long term effects of peripubertal stress on excitatory and inhibitory circuits in the prefrontal cortex of male and female mice.
Bueno-Fernandez C, Perez-Rando M, Alcaide J, Coviello S, Sandi C, Castillo-Gómez E, Nacher J
Neurobiology of stress (2021) 14: 100322. 131 003 IHC; tested species: mouse
Increased excitation-inhibition balance and loss of GABAergic synapses in the serine racemase knockout model of NMDA receptor hypofunction.
Jami SA, Cameron S, Wong JM, Daly ER, McAllister AK, Gray JA
Journal of neurophysiology (2021) 1261: 11-27. 131 003 IHC; tested species: mouse
Vulnerability of cholecystokinin-expressing GABAergic interneurons in the unilateral intrahippocampal kainate mouse model of temporal lobe epilepsy.
Kang YJ, Clement EM, Park IH, Greenfield LJ, Smith BN, Lee SH
Experimental neurology (2021) 342: 113724. 131 003 IHC; tested species: mouse
Prenatal interleukin 6 elevation increases glutamatergic synapse density and disrupts hippocampal connectivity in offspring.
Mirabella F, Desiato G, Mancinelli S, Fossati G, Rasile M, Morini R, Markicevic M, Grimm C, Amegandjin C, Termanini A, Peano C, et al.
Immunity (2021) 5411: 2611-2631.e8. 131 003 IHC; tested species: mouse
Morphological assessment of GABA and glutamate inputs to GnRH neurons in intact female mice using expansion microscopy.
Yeo SH, Herde MK, Herbison AE
Journal of neuroendocrinology (2021) 339: e13021. 131 003 IHC; tested species: mouse
Cerebellar developmental deficits underlie neurodegenerative disorder spinocerebellar ataxia type 23.
Smeets CJLM, Ma KY, Fisher SE, Verbeek DS
Brain pathology (Zurich, Switzerland) (2021) 312: 239-252. 131 003 IHC; tested species: mouse
Transient expression of a GABA receptor subunit during early development is critical for inhibitory synapse maturation and function.
Sinha R, Grimes WN, Wallin J, Ebbinghaus BN, Luu K, Cherry T, Rieke F, Rudolph U, Wong RO, Hoon M
Current biology : CB (2021) 3119: 4314-4326.e5. 131 003 IHC; tested species: mouse
Morphological evidence indicates a role for microglia in shaping the PCOS-like brain.
Sati A, Prescott M, Holland S, Jasoni CL, Desroziers E, Campbell RE
Journal of neuroendocrinology (2021) 338: e12999. 131 003 IHC; tested species: mouse
Axonal CB1 Receptors Mediate Inhibitory Bouton Formation via cAMP Increase and PKA.
Liang J, Kruijssen DLH, Verschuuren ACJ, Voesenek BJB, Benavides FFW, Sáez Gonzalez M, Ruiter M, Wierenga CJ
The Journal of neuroscience : the official journal of the Society for Neuroscience (2021) 4140: 8279-8296. 131 003 IHC; tested species: mouse
GABA bouton subpopulations in the human dentate gyrus are differentially altered in mesial temporal lobe epilepsy.
Alhourani A, Fish KN, Wozny TA, Sudhakar V, Hamilton RL, Richardson RM
Journal of neurophysiology (2020) 1231: 392-406. 131 003 IHC; tested species: human
ROCK/PKA inhibition rescues hippocampal hyperexcitability and GABAergic neuron alterations in Oligophrenin-1 Knock-out mouse model of X-linked intellectual disability.
Busti I, Allegra M, Spalletti C, Panzi C, Restani L, Billuart P, Caleo M
The Journal of neuroscience : the official journal of the Society for Neuroscience (2020) : . 131 003 IHC; tested species: mouse
The Ncoa7 locus regulates V-ATPase formation and function, neurodevelopment and behaviour.
Castroflorio E, den Hoed J, Svistunova D, Finelli MJ, Cebrian-Serrano A, Corrochano S, Bassett AR, Davies B, Oliver PL
Cellular and molecular life sciences : CMLS (2020) : . 131 003 IHC; tested species: mouse
Tau accumulation in astrocytes of the dentate gyrus induces neuronal dysfunction and memory deficits in Alzheimer's disease.
Richetin K, Steullet P, Pachoud M, Perbet R, Parietti E, Maheswaran M, Eddarkaoui S, Bégard S, Pythoud C, Rey M, Caillierez R, et al.
Nature neuroscience (2020) 2312: 1567-1579. 131 003 IHC; tested species: mouse
Tactile modulation of memory and anxiety requires dentate granule cells along the dorsoventral axis.
Wang C, Liu H, Li K, Wu ZZ, Wu C, Yu JY, Gong Q, Fang P, Wang XX, Duan SM, Wang H, et al.
Nature communications (2020) 111: 6045. 131 003 IHC; tested species: mouse
Different dendritic domains of the GnRH neuron underlie the pulse and surge modes of GnRH secretion in female mice.
Wang L, Guo W, Shen X, Yeo S, Long H, Wang Z, Lyu Q, Herbison AE, Kuang Y
eLife (2020) 9: . 131 003 IHC; tested species: mouse
Synaptic organisation and behaviour-dependent activity of mGluR8a-innervated GABAergic trilaminar cells projecting from the hippocampus to the subiculum.
Katona L, Hartwich K, Tomioka R, Somogyi J, Roberts JDB, Wagner K, Joshi A, Klausberger T, Rockland KS, Somogyi P
Brain structure & function (2020) 2252: 705-734. 131 003 IHC; tested species: mouse,rat
Acute knockdown of Depdc5 leads to synaptic defects in mTOR-related epileptogenesis.
De Fusco A, Cerullo MS, Marte A, Michetti C, Romei A, Castroflorio E, Baulac S, Benfenati F
Neurobiology of disease (2020) : 104822. 131 003 IHC; tested species: mouse
Loss of IQSEC3 Disrupts GABAergic Synapse Maintenance and Decreases Somatostatin Expression in the Hippocampus.
Kim S, Kim H, Park D, Kim J, Hong J, Kim JS, Jung H, Kim D, Cheong E, Ko J, Um JW, et al.
Cell reports (2020) 306: 1995-2005.e5. 131 003 IHC; tested species: mouse
Prenatal Testosterone Exposure Alters GABAergic Synaptic Inputs to GnRH and KNDy Neurons in a Sheep Model of Polycystic Ovarian Syndrome.
Porter DT, Moore AM, Cobern JA, Padmanabhan V, Goodman RL, Coolen LM, Lehman MN
Endocrinology (2019) 16011: 2529-2542. 131 003 IHC
Autism and Schizophrenia-Associated CYFIP1 Regulates the Balance of Synaptic Excitation and Inhibition.
Davenport EC, Szulc BR, Drew J, Taylor J, Morgan T, Higgs NF, López-Doménech G, Kittler JT
Cell reports (2019) 268: 2037-2051.e6. 131 003 ICC, IHC; tested species: mouse
Nanoscale Subsynaptic Domains Underlie the Organization of the Inhibitory Synapse.
Crosby KC, Gookin SE, Garcia JD, Hahm KM, Dell'Acqua ML, Smith KR
Cell reports (2019) 2612: 3284-3297.e3. 131 003 ICC, IHC; tested species: rat
Dysregulated protocadherin-pathway activity as an intrinsic defect in induced pluripotent stem cell-derived cortical interneurons from subjects with schizophrenia.
Shao Z, Noh H, Bin Kim W, Ni P, Nguyen C, Cote SE, Noyes E, Zhao J, Parsons T, Park JM, Zheng K, et al.
Nature neuroscience (2019) : . 131 003 IHC; tested species: human,mouse
Inputs from Sequentially Developed Parallel Fibers Are Required for Cerebellar Organization.
Park H, Kim T, Kim J, Yamamoto Y, Tanaka-Yamamoto K
Cell reports (2019) 2811: 2939-2954.e5. 131 003 IHC; tested species: mouse
Endocannabinoid Signaling Mediates Local Dendritic Coordination between Excitatory and Inhibitory Synapses.
Hu HY, Kruijssen DLH, Frias CP, Rózsa B, Hoogenraad CC, Wierenga CJ
Cell reports (2019) 273: 666-675.e5. 131 003 IHC; tested species: mouse
Deletion of PLCγ1 in GABAergic neurons increases seizure susceptibility in aged mice.
Kim HY, Yang YR, Hwang H, Lee HE, Jang HJ, Kim J, Yang E, Kim H, Rhim H, Suh PG, Kim JI, et al.
Scientific reports (2019) 91: 17761. 131 003 IHC; tested species: mouse
The influence of maternal androgen excess on the male reproductive axis.
Holland S, Prescott M, Pankhurst M, Campbell RE
Scientific reports (2019) 91: 18908. 131 003 IHC; tested species: mouse
Semaphorin4D Induces Inhibitory Synapse Formation by Rapid Stabilization of Presynaptic Boutons via MET Coactivation.
Frias CP, Liang J, Bresser T, Scheefhals L, van Kesteren M, van Dorland R, Hu HY, Bodzeta A, van Bergen En Henegouwen PMP, Hoogenraad CC, Wierenga CJ, et al.
The Journal of neuroscience : the official journal of the Society for Neuroscience (2019) 3922: 4221-4237. 131 003 IHC; tested species: mouse
Inositol polyphosphate multikinase mediates extinction of fear memory.
Park J, Longo F, Park SJ, Lee S, Bae M, Tyagi R, Han JH, Kim S, Santini E, Klann E, Snyder SH, et al.
Proceedings of the National Academy of Sciences of the United States of America (2019) : . 131 003 IHC; tested species: mouse
The basal interstitial nucleus (BIN) of the cerebellum provides diffuse ascending inhibitory input to the floccular granule cell layer.
Jaarsma D, Blot FGC, Wu B, Venkatesan S, Voogd J, Meijer D, Ruigrok TJH, Gao Z, Schonewille M, De Zeeuw CI
The Journal of comparative neurology (2018) : . 131 003 IHC; tested species: mouse
Rbfox1 Mediates Cell-type-Specific Splicing in Cortical Interneurons.
Wamsley B, Jaglin XH, Favuzzi E, Quattrocolo G, Nigro MJ, Yusuf N, Khodadadi-Jamayran A, Rudy B, Fishell G
Neuron (2018) : . 131 003 IHC; tested species: mouse
Integrity of Cajal-Retzius cells in the reeler-mouse hippocampus.
Anstötz M, Karsak M, Rune GM
Hippocampus (2018) : . 131 003 IHC; tested species: mouse
Ontogeny and reversal of brain circuit abnormalities in a preclinical model of PCOS.
Silva MS, Prescott M, Campbell RE
JCI insight (2018) 37: . 131 003 IHC; tested species: mouse
Mapping GABA and Glutamate inputs to gonadotropin-releasing hormone (GnRH) neurones in male and female mice.
Moore AM, Abbott G, Mair J, Prescott M, Campbell RE
Journal of neuroendocrinology (2018) : e12657. 131 003 IHC; tested species: mouse
Developmental pattern and structural factors of dendritic survival in cerebellar granule cells in vivo.
Dhar M, Hantman AW, Nishiyama H
Scientific reports (2018) 81: 17561. 131 003 IHC; tested species: mouse
Puncta of neuronal nitric oxide synthase (nNOS) mediate NMDA-receptor signalling in the auditory midbrain.
Olthof BM, Gartside SE, Rees A
The Journal of neuroscience : the official journal of the Society for Neuroscience (2018) : . 131 003 IHC
Genetic Ablation of All Cerebellins Reveals Synapse Organizer Functions in Multiple Regions Throughout the Brain.
Seigneur E, Südhof TC
The Journal of neuroscience : the official journal of the Society for Neuroscience (2018) 3820: 4774-4790. 131 003 WB, IHC; tested species: mouse
Ventromedial medulla inhibitory neuron inactivation induces REM sleep without atonia and REM sleep behavior disorder.
Valencia Garcia S, Brischoux F, Clément O, Libourel PA, Arthaud S, Lazarus M, Luppi PH, Fort P
Nature communications (2018) 91: 504. 131 003 IHC; tested species: rat
Cbln2 and Cbln4 are expressed in distinct medial habenula-interpeduncular projections and contribute to different behavioral outputs.
Seigneur E, Polepalli JS, Südhof TC
Proceedings of the National Academy of Sciences of the United States of America (2018) 11543: E10235-E10244. 131 003 IHC; tested species: mouse
NCAM Regulates Inhibition and Excitability in Layer 2/3 Pyramidal Cells of Anterior Cingulate Cortex.
Zhang X, Sullivan CS, Kratz MB, Kasten MR, Maness PF, Manis PB
Frontiers in neural circuits (2017) 11: 19. 131 003 IHC; tested species: mouse
Behavior-Dependent Activity and Synaptic Organization of Septo-hippocampal GABAergic Neurons Selectively Targeting the Hippocampal CA3 Area.
Joshi A, Salib M, Viney TJ, Dupret D, Somogyi P
Neuron (2017) 966: 1342-1357.e5. 131 003 IHC
Synaptotagmin 2 Is the Fast Ca2+ Sensor at a Central Inhibitory Synapse.
Chen C, Arai I, Satterfield R, Young SM, Jonas P
Cell reports (2017) 183: 723-736. 131 003 IHC
Aberrant neuronal activity-induced signaling and gene expression in a mouse model of RASopathy.
Altmüller F, Pothula S, Annamneedi A, Nakhaei-Rad S, Montenegro-Venegas C, Pina-Fernández E, Marini C, Santos M, Schanze D, Montag D, Ahmadian MR, et al.
PLoS genetics (2017) 133: e1006684. 131 003 ICC, IHC
Few, Activity-Dependent, and Ubiquitous VGLUT1/VGAT Terminals in Rat and Mouse Brain.
Fattorini G, Ciriachi C, Conti F
Frontiers in cellular neuroscience (2017) 11: 229. 131 003 IHC; tested species: mouse,rat
Disruption of a Structurally Important Extracellular Element in the Glycine Receptor Leads to Decreased Synaptic Integration and Signaling Resulting in Severe Startle Disease.
Schaefer N, Berger A, van Brederode J, Zheng F, Zhang Y, Leacock S, Littau L, Jablonka S, Malhotra S, Topf M, Winter F, et al.
The Journal of neuroscience : the official journal of the Society for Neuroscience (2017) 3733: 7948-7961. 131 003 IHC; tested species: mouse
Dystroglycan Maintains Inner Limiting Membrane Integrity to Coordinate Retinal Development.
Clements R, Turk R, Campbell KP, Wright KM
The Journal of neuroscience : the official journal of the Society for Neuroscience (2017) 3735: 8559-8574. 131 003 IHC; tested species: mouse
Primary Cilia Signaling Shapes the Development of Interneuronal Connectivity.
Guo J, Otis JM, Higginbotham H, Monckton C, Cheng J, Asokan A, Mykytyn K, Caspary T, Stuber GD, Anton ES
Developmental cell (2017) 423: 286-300.e4. 131 003 ICC, IHC; tested species: mouse
Differential role of GABAA receptors and neuroligin 2 for perisomatic GABAergic synapse formation in the hippocampus.
Panzanelli P, Früh S, Fritschy JM
Brain structure & function (2017) 2229: 4149-4161. 131 003 IHC; tested species: mouse
Assembly of Excitatory Synapses in the Absence of Glutamatergic Neurotransmission.
Sando R, Bushong E, Zhu Y, Huang M, Considine C, Phan S, Ju S, Uytiepo M, Ellisman M, Maximov A
Neuron (2017) 942: 312-321.e3. 131 003 WB, IHC; tested species: mouse
Autism-like behaviours and enhanced memory formation and synaptic plasticity in Lrfn2/SALM1-deficient mice.
Morimura N, Yasuda H, Yamaguchi K, Katayama KI, Hatayama M, Tomioka NH, Odagawa M, Kamiya A, Iwayama Y, Maekawa M, Nakamura K, et al.
Nature communications (2017) 8: 15800. 131 003 IHC; tested species: mouse
Unique versus Redundant Functions of Neuroligin Genes in Shaping Excitatory and Inhibitory Synapse Properties.
Chanda S, Hale WD, Zhang B, Wernig M, Südhof TC
The Journal of neuroscience : the official journal of the Society for Neuroscience (2017) 3729: 6816-6836. 131 003 IHC; tested species: mouse
IgSF21 promotes differentiation of inhibitory synapses via binding to neurexin2α.
Tanabe Y, Naito Y, Vasuta C, Lee AK, Soumounou Y, Linhoff MW, Takahashi H
Nature communications (2017) 81: 408. 131 003 WB, IHC
Forebrain-specific loss of synaptic GABAA receptors results in altered neuronal excitability and synaptic plasticity in mice.
O'Sullivan GA, Jedlicka P, Chen HX, Kalbouneh H, Ippolito A, Deller T, Nawrotzki RA, Kuhse J, Kalaidzidis YL, Kirsch J, Schwarzacher SW, et al.
Molecular and cellular neurosciences (2016) 72: 101-13. 131 003 IHC
Genetic Deletion of the Clathrin Adaptor GGA3 Reduces Anxiety and Alters GABAergic Transmission.
Walker KR, Modgil A, Albrecht D, Lomoio S, Haydon PG, Moss SJ, Tesco G
PloS one (2016) 115: e0155799. 131 003 IHC
Neuronal Dystroglycan Is Necessary for Formation and Maintenance of Functional CCK-Positive Basket Cell Terminals on Pyramidal Cells.
Früh S, Romanos J, Panzanelli P, Bürgisser D, Tyagarajan SK, Campbell KP, Santello M, Fritschy JM
The Journal of neuroscience : the official journal of the Society for Neuroscience (2016) 3640: 10296-10313. 131 003 IHC; tested species: mouse
Mechanisms of Functional Hypoconnectivity in the Medial Prefrontal Cortex of Mecp2 Null Mice.
Sceniak MP, Lang M, Enomoto AC, James Howell C, Hermes DJ, Katz DM
Cerebral cortex (New York, N.Y. : 1991) (2016) 265: 1938-1956. 131 003 IHC; tested species: mouse
A critical period for postnatal adaptive plasticity in a model of motor axon miswiring.
Helmbrecht MS, Soellner H, Castiblanco-Urbina MA, Winzeck S, Sundermeier J, Theis FJ, Fouad K, Huber AB
PloS one (2015) 104: e0123643. 131 003 IHC
Distinct sets of FGF receptors sculpt excitatory and inhibitory synaptogenesis.
Dabrowski A, Terauchi A, Strong C, Umemori H
Development (Cambridge, England) (2015) 14210: 1818-30. 131 003 IHC
Protracted brain development in a rodent model of extreme longevity.
Penz OK, Fuzik J, Kurek AB, Romanov R, Larson J, Park TJ, Harkany T, Keimpema E
Scientific reports (2015) 5: 11592. 131 003 IHC
Interneuron- and GABA(A) receptor-specific inhibitory synaptic plasticity in cerebellar Purkinje cells.
He Q, Duguid I, Clark B, Panzanelli P, Patel B, Thomas P, Fritschy JM, Smart TG
Nature communications (2015) 6: 7364. 131 003 IHC
Gestational and early postnatal hypothyroidism alters VGluT1 and VGAT bouton distribution in the neocortex and hippocampus, and behavior in rats.
Navarro D, Alvarado M, Navarrete F, Giner M, Obregon MJ, Manzanares J, Berbel P
Frontiers in neuroanatomy (2015) 9: 9. 131 003 IHC
In vivo clonal overexpression of neuroligin 3 and neuroligin 2 in neurons of the rat cerebral cortex: Differential effects on GABAergic synapses and neuronal migration.
Fekete CD, Chiou TT, Miralles CP, Harris RS, Fiondella CG, Loturco JJ, De Blas AL
The Journal of comparative neurology (2015) 5239: 1359-78. 131 003 IHC
Postsynaptic gephyrin clustering controls the development of adult-born granule cells in the olfactory bulb.
Deprez F, Pallotto M, Vogt F, Grabiec M, Virtanen MA, Tyagarajan SK, Panzanelli P, Fritschy JM
The Journal of comparative neurology (2015) 52313: 1998-2016. 131 003 IHC
A unique ion channel clustering domain on the axon initial segment of mammalian neurons.
King AN, Manning CF, Trimmer JS
The Journal of comparative neurology (2014) 52211: 2594-608. 131 003 IHC; tested species: rat
NDRG2 as a marker protein for brain astrocytes.
Flügge G, Araya-Callis C, Garea-Rodriguez E, Stadelmann-Nessler C, Fuchs E
Cell and tissue research (2014) 3571: 31-41. 131 003 IHC; tested species: rat
A protocol for concurrent high-quality immunohistochemical and biochemical analyses in adult mouse central nervous system.
Notter T, Panzanelli P, Pfister S, Mircsof D, Fritschy JM
The European journal of neuroscience (2014) 392: 165-75. 131 003 IHC
Dense and overlapping innervation of pyramidal neurons by chandelier cells.
Inan M, Blázquez-Llorca L, Merchán-Pérez A, Anderson SA, DeFelipe J, Yuste R
The Journal of neuroscience : the official journal of the Society for Neuroscience (2013) 335: 1907-14. 131 003 IHC; tested species: mouse
Cell type-specific inhibitory inputs to dendritic and somatic compartments of parvalbumin-expressing neocortical interneuron.
Hioki H, Okamoto S, Konno M, Kameda H, Sohn J, Kuramoto E, Fujiyama F, Kaneko T
The Journal of neuroscience : the official journal of the Society for Neuroscience (2013) 332: 544-55. 131 003 IHC
Organization of GABAergic synaptic circuits in the rat ventral tegmental area.
Ciccarelli A, Calza A, Panzanelli P, Concas A, Giustetto M, Sassoè-Pognetto M
PloS one (2012) 710: e46250. 131 003 IHC; tested species: rat
Distribution of gephyrin-immunoreactivity in the trigeminal motor nucleus: an immunohistochemical study in rats.
Li Z, Ge S, Zhang F, Zhang T, Mizuno N, Hioki H, Kaneko T, Gao G, Li J
Anatomical record (Hoboken, N.J. : 2007) (2012) 2954: 641-51. 131 003 IHC, EM; tested species: rat
Tail spasms in rat spinal cord injury: changes in interneuronal connectivity.
Kapitza S, Zörner B, Weinmann O, Bolliger M, Filli L, Dietz V, Schwab ME
Experimental neurology (2012) 2361: 179-89. 131 003 IHC; tested species: rat
A requirement for nuclear factor-kappaB in developmental and plasticity-associated synaptogenesis.
Boersma MC, Dresselhaus EC, De Biase LM, Mihalas AB, Bergles DE, Meffert MK
The Journal of neuroscience : the official journal of the Society for Neuroscience (2011) 3114: 5414-25. 131 003 IHC; tested species: mouse
Distinct mechanisms regulate GABAA receptor and gephyrin clustering at perisomatic and axo-axonic synapses on CA1 pyramidal cells.
Panzanelli P, Gunn BG, Schlatter MC, Benke D, Tyagarajan SK, Scheiffele P, Belelli D, Lambert JJ, Rudolph U, Fritschy JM
The Journal of physiology (2011) 589Pt 20: 4959-80. 131 003 IHC, EM; tested species: mouse
Mixed GABA-glycine synapses delineate a specific topography in the nucleus tractus solitarii of adult rat.
Dufour A, Tell F, Kessler JP, Baude A
The Journal of physiology (2010) 588Pt 7: 1097-115. 131 003 IHC; tested species: rat
Splice-specific roles of glycine receptor alpha3 in the hippocampus.
Eichler SA, Förstera B, Smolinsky B, Jüttner R, Lehmann TN, Fähling M, Schwarz G, Legendre P, Meier JC
The European journal of neuroscience (2009) 306: 1077-91. 131 003 ICC, IHC; tested species: mouse
Unique luminal localization of VGAT-C terminus allows for selective labeling of active cortical GABAergic synapses.
Martens H, Weston MC, Boulland JL, Grønborg M, Grosche J, Kacza J, Hoffmann A, Matteoli M, Takamori S, Harkany T, Chaudhry FA, et al.
The Journal of neuroscience : the official journal of the Society for Neuroscience (2008) 2849: 13125-31. 131 003 WB, ICC, IHC; KO verified; tested species: rat
Developmental maturation of synaptic and extrasynaptic GABAA receptors in mouse thalamic ventrobasal neurones.
Peden DR, Petitjean CM, Herd MB, Durakoglugil MS, Rosahl TW, Wafford K, Homanics GE, Belelli D, Fritschy JM, Lambert JJ
The Journal of physiology (2008) 5864: 965-87. 131 003 IHC; tested species: mouse
Ongoing epileptiform activity in the post-ischemic hippocampus is associated with a permanent shift of the excitatory-inhibitory synaptic balance in CA3 pyramidal neurons.
Epsztein J, Milh M, Bihi RI, Jorquera I, Ben-Ari Y, Represa A, Crépel V
The Journal of neuroscience : the official journal of the Society for Neuroscience (2006) 2626: 7082-92. 131 003 IHC; tested species: rat
Enhanced perisomatic inhibition and impaired long-term potentiation in the CA1 region of juvenile CHL1-deficient mice.
Nikonenko AG, Sun M, Lepsveridze E, Apostolova I, Petrova I, Irintchev A, Dityatev A, Schachner M
The European journal of neuroscience (2006) 237: 1839-52. 131 003 IHC; tested species: mouse
GABAergic excitation promotes neuronal differentiation in adult hippocampal progenitor cells.
Tozuka Y, Fukuda S, Namba T, Seki T, Hisatsune T
Neuron (2005) 476: 803-15. 131 003 IHC; tested species: mouse
nNOS-Expressing Neurons in the Ventral Tegmental Area and Substantia Nigra Pars Compacta.
Paul EJ, Kalk E, Tossell K, Irvine EE, Franks NP, Wisden W, Withers DJ, Leiper J, Ungless MA
eNeuro () 55: . 131 003 IHC; tested species: mouse
Loss of Mecp2 Causes Atypical Synaptic and Molecular Plasticity of Parvalbumin-Expressing Interneurons Reflecting Rett Syndrome-Like Sensorimotor Defects.
Morello N, Schina R, Pilotto F, Phillips M, Melani R, Plicato O, Pizzorusso T, Pozzo-Miller L, Giustetto M
eNeuro () 55: . 131 003 IHC; tested species: mouse
A hypothalamic dopamine locus for psychostimulant-induced hyperlocomotion in mice.
Korchynska S, Rebernik P, Pende M, Boi L, Alpár A, Tasan R, Becker K, Balueva K, Saghafi S, Wulff P, Horvath TL, et al.
Nature communications (2022) 131: 5944. 131 003 ExM, EM; tested species: mouse
A hypothalamic dopamine locus for psychostimulant-induced hyperlocomotion in mice.
Korchynska S, Rebernik P, Pende M, Boi L, Alpár A, Tasan R, Becker K, Balueva K, Saghafi S, Wulff P, Horvath TL, et al.
Nature communications (2022) 131: 5944. 131 003 ExM, EM; tested species: mouse
Distribution of gephyrin-immunoreactivity in the trigeminal motor nucleus: an immunohistochemical study in rats.
Li Z, Ge S, Zhang F, Zhang T, Mizuno N, Hioki H, Kaneko T, Gao G, Li J
Anatomical record (Hoboken, N.J. : 2007) (2012) 2954: 641-51. 131 003 IHC, EM; tested species: rat
Distinct mechanisms regulate GABAA receptor and gephyrin clustering at perisomatic and axo-axonic synapses on CA1 pyramidal cells.
Panzanelli P, Gunn BG, Schlatter MC, Benke D, Tyagarajan SK, Scheiffele P, Belelli D, Lambert JJ, Rudolph U, Fritschy JM
The Journal of physiology (2011) 589Pt 20: 4959-80. 131 003 IHC, EM; tested species: mouse
The complement inhibitor CD59 is required for GABAergic synaptic transmission in the dentate gyrus.
Wen L, Yang X, Wu Z, Fu S, Zhan Y, Chen Z, Bi D, Shen Y
Cell reports (2023) 424: 112349. 131 003 WB, IHC, FACS; tested species: mouse
Background
The vesicular GABA transporter VGAT is responsible for uptake and storage of GABA and glycine by synaptic vesicles in the central nervous system. For this reason it is frequently referred to as the vesicular inhibitory aminoacid transporter VIAAT. It is different from the plasma membrane transporters in that it is driven by a proton electrochemical gradient across the vesicle membrane. So far, only one isoform is known. VGAT is currently the best marker for inhibitory nerve terminals.

Certificates

ISO 9001 2015 Quality Management System and Green Lab Platinum certification level for sustaining laboratory processes.

Newsletter

Sign up for our newsletter and get the latest updates and news.
 

Please provide a valid E-Mail-Address
Please provide a valid First name
Please provide a valid Last name