Tailor-made Antibodies
and Tools for Life Science
Home | | | | | Technical Support

DPP4 (CD26) antibody - HS-539 004

DPP4/CD26 is a transmembrane glycoprotein involved in metabolic and immune regulation
Guinea pig polyclonal antiserum
Cat. No.: HS-539 004
Amount: 100 µl
Price: $355.00
Cat. No. HS-539 004 100 µl antiserum, lyophilized. For reconstitution add 100 µl H2O, then aliquot and store at -20°C until use.
Antibodies should be stored at +4°C when still lyophilized. Do not freeze!
Applications
 
WB: 1 : 1000 (AP staining) gallery  
IP: not tested yet
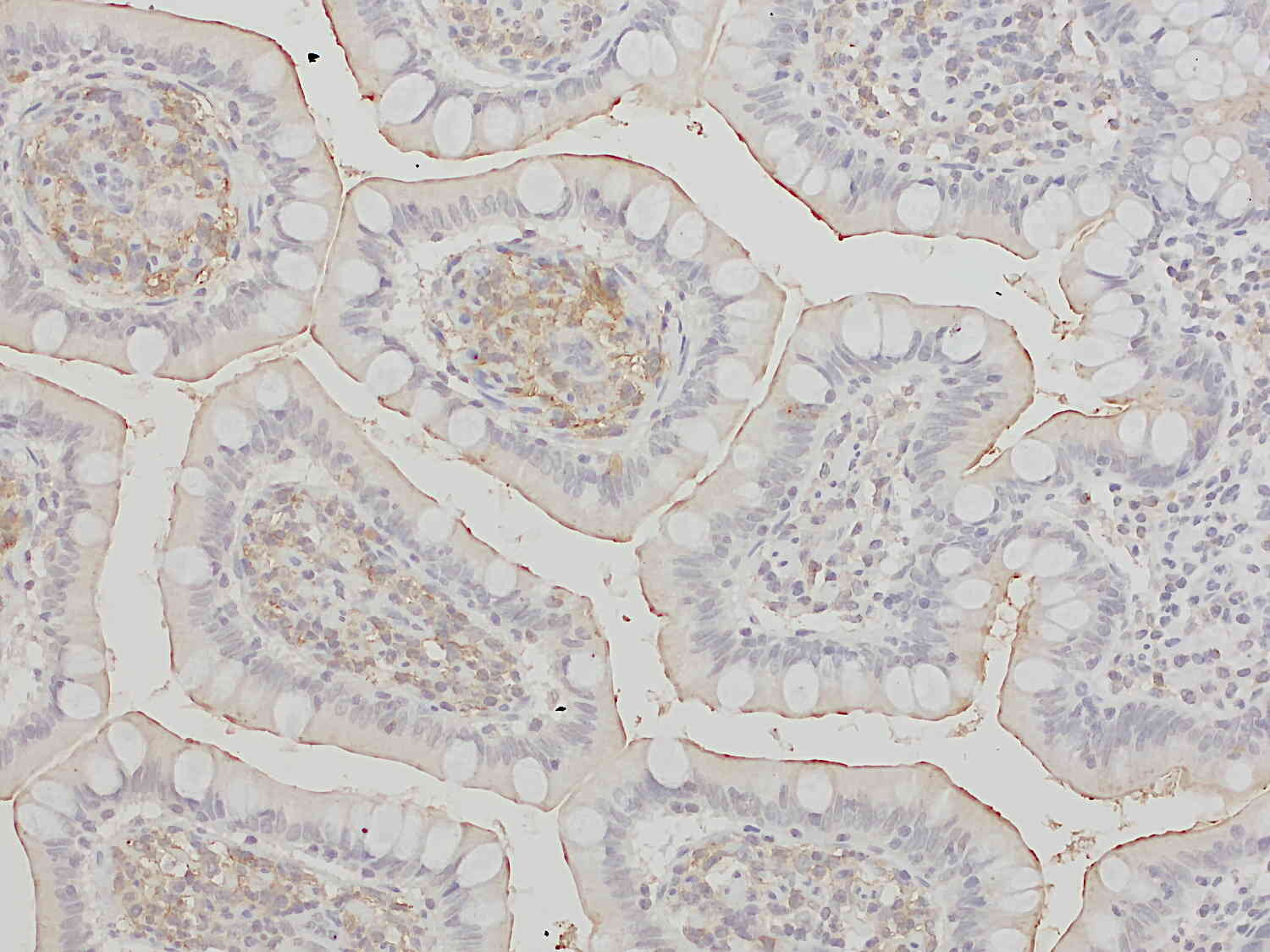
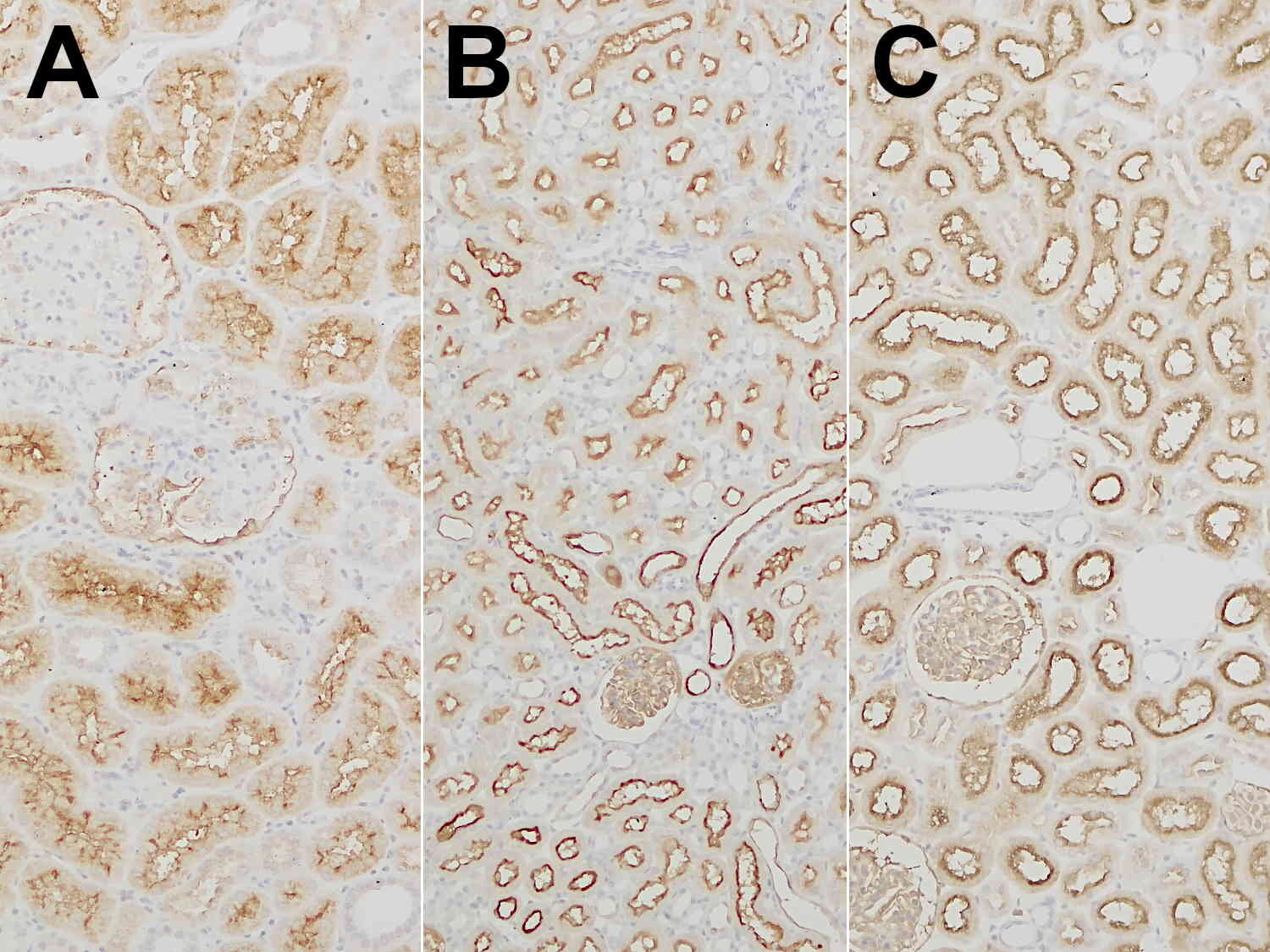
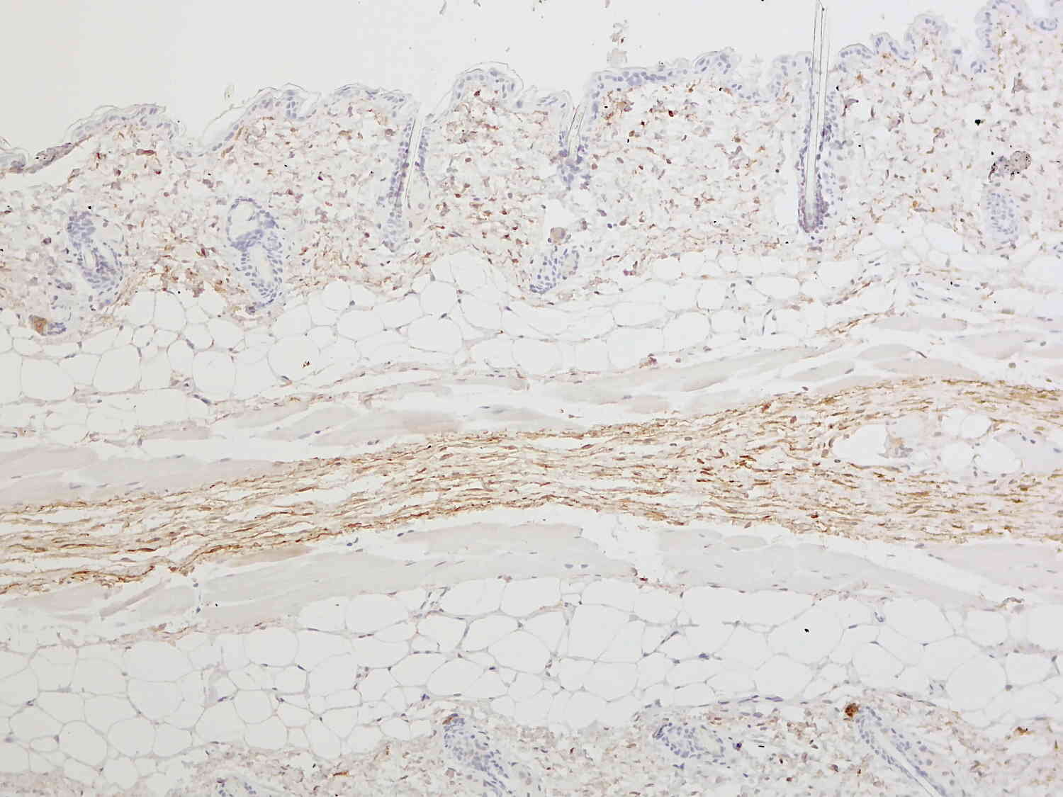
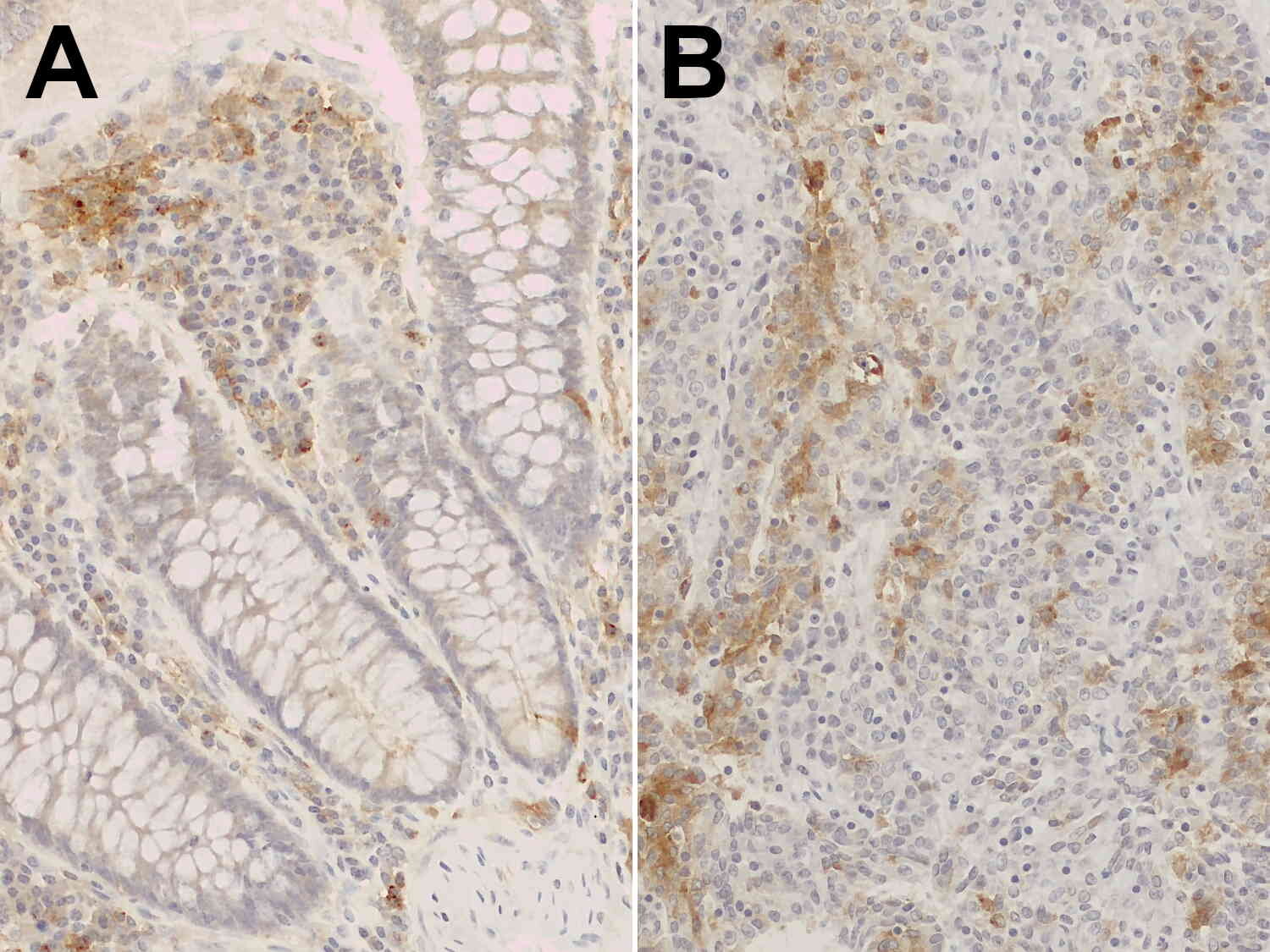
IHC: 1 : 500 (see remarks) gallery  
IHC-P: 1 : 500 gallery  
ELISA: not tested yet

Western blot (WB); separation of proteins by PAGE and subsequent transfer to a membrane. Detection of target molecules is carried out with antibodies. Some antibodies require special sample preparation steps. For details, please refer to the “Remarks” section.

Immunoprecipitation (IP); Immunoisolation or pulldown of a target molecule using an antibody. For details and product specific hints, please refer to the ”Remarks” section.

Immunohistochemistry (IHC) on 4% PFA perfusion fixed tissue with 24h PFA post fixation. Immunoreactivity is usually revealed by fluorescence or a chromogenic substrate. Some antibodies require special fixation methods or antigen retrieval steps. For details, please refer to the ”Remarks” section.

Immunohistochemistry (IHC-P) of formalin fixed, paraffin embedded (FFPE) tissue (some antibodies require special antigen retrieval steps, please refer to the ”Remarks” section). Immunoreactivity is usually revealed by fluorescence or a chromogenic substrate.

Enzyme-linked immunosorbent assay (ELISA); a frequently employed method to quantify target-molecules in solution. The detection of some proteins requires special solubilization steps. For further information, please refer to the „Remarks“ section.

Immunogen Synthetic peptide corresponding to residues surrounding AA 500 of mouse DPP4 (UniProt Id: P28843)
Reactivity Reacts with: mouse (P28843), human (P27487), rat (P14740 ).
Other species not tested yet.
Remarks

IHC: Antigen retrieval with citrate buffer pH 6 is required.

Data sheet Datasheet hs-539_004
Important information
This product belongs to the HistoSure product line of antibodies developed for and extensively tested in FFPE tissues.
For more information please visit our HistoSure brand website.
Cat. No.: HS-539 004
Amount: 100 µl
Price: $355.00

DPP4/CD26 (red) acts as a marker for proximal tubules

Background

Dipeptidyl peptidase-4 (DPP4), also known as cluster of differentiation 26 (CD26), is a multifunctional type II transmembrane glycoprotein with enzymatic and non-enzymatic roles in metabolism, immune regulation, tissue remodeling, and cancer. DPP4/CD26 is widely expressed on epithelial, endothelial, stromal, and immune cells and exists both as a membrane-bound protein and a soluble circulating form, enabling broad systemic effects (1–3). Through its proteolytic activity, DPP4/CD26 cleaves incretin hormones, chemokines, neuropeptides, and cytokines, thereby regulating glucose homeostasis, immune cell trafficking, and inflammatory signaling (3,4). Accordingly, DPP4 inhibitors are widely used in the treatment of type 2 diabetes mellitus (5). Beyond its metabolic function, accumulating evidence implicates DPP4 in the pathogenesis of cardiovascular disease, organ fibrosis, and infectious diseases (2,3,4). DPP4 also plays a complex and context-dependent role in cancer biology. Its expression is dysregulated across multiple malignancies, where it may function as either a tumor-promoting or tumor-suppressive factor depending on cellular and microenvironmental context (6). In colorectal cancer, DPP4 marks a subpopulation of cancer stem cells with high metastatic potential. Notably, experimental evidence demonstrates that anti-DPP4 antibody therapy suppresses epithelial-mesenchymal transition and metastasis (7). 

Certificates

ISO 9001 2015 Quality Management System and Green Lab Platinum certification level for sustaining laboratory processes.

Newsletter

Sign up for our newsletter and get the latest updates and news.
 

Please provide a valid E-Mail-Address
Please provide a valid First name
Please provide a valid Last name