Tailor-made Antibodies
and Tools for Life Science
Home | | | | | Technical Support

Ly6C antibody - HS-538 003

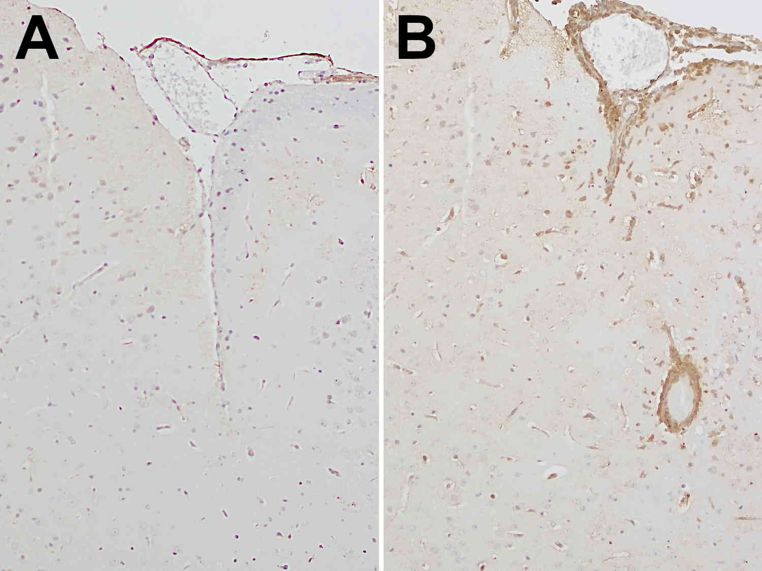
Ly6C is a marker of classically activated monocytes/macrophages
Rabbit polyclonal purified antibody
Cat. No.: HS-538 003
Amount: 50 µg
Price: $370.00
Cat. No. HS-538 003 50 µg specific antibody, lyophilized. Affinity purified with the immunogen. Albumin and azide were added for stabilization. For reconstitution add 50 µl H2O to get a 1mg/ml solution in PBS. Then aliquot and store at -20°C to -80°C until use.
Antibodies should be stored at +4°C when still lyophilized. Do not freeze!
Applications
 
WB: 1 : 2000 (AP staining) gallery  
IP: not tested yet
IHC: 1 : 500 (see remarks) gallery  
IHC-P: 1 : 200 up to 1 : 400 (see remarks) gallery  
ELISA: not tested yet

Western blot (WB); separation of proteins by PAGE and subsequent transfer to a membrane. Detection of target molecules is carried out with antibodies. Some antibodies require special sample preparation steps. For details, please refer to the “Remarks” section.

Immunoprecipitation (IP); Immunoisolation or pulldown of a target molecule using an antibody. For details and product specific hints, please refer to the ”Remarks” section.

Immunohistochemistry (IHC) on 4% PFA perfusion fixed tissue with 24h PFA post fixation. Immunoreactivity is usually revealed by fluorescence or a chromogenic substrate. Some antibodies require special fixation methods or antigen retrieval steps. For details, please refer to the ”Remarks” section.

Immunohistochemistry (IHC-P) of formalin fixed, paraffin embedded (FFPE) tissue (some antibodies require special antigen retrieval steps, please refer to the ”Remarks” section). Immunoreactivity is usually revealed by fluorescence or a chromogenic substrate.

Enzyme-linked immunosorbent assay (ELISA); a frequently employed method to quantify target-molecules in solution. The detection of some proteins requires special solubilization steps. For further information, please refer to the „Remarks“ section.

Immunogen Full-length recombinant mouse Lymphocyte antigen 6C1 protein (UniProt Id: P0CW02)
Reactivity Reacts with: mouse (P0CW02).
Other species not tested yet.
Specificity Specific for mouse Ly6C; no cross-reactivity with mouse Ly6G
Remarks

IHC: Antigen retrieval with citrate buffer pH 6 is tolerated.
IHC-P: For chromogenic detection, an optimized AGR time of 30 minutes is recommended for best results.

Data sheet Datasheet hs-538_003
Important information
This product belongs to the HistoSure product line of antibodies developed for and extensively tested in FFPE tissues.
For more information please visit our HistoSure brand website.
Cat. No.: HS-538 003
Amount: 50 µg
Price: $370.00

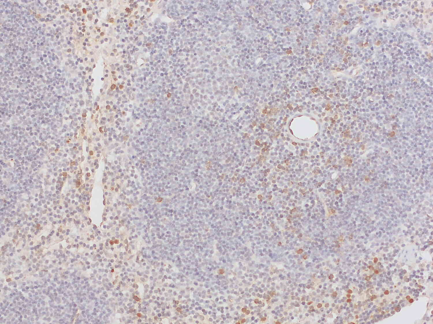
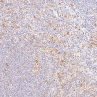
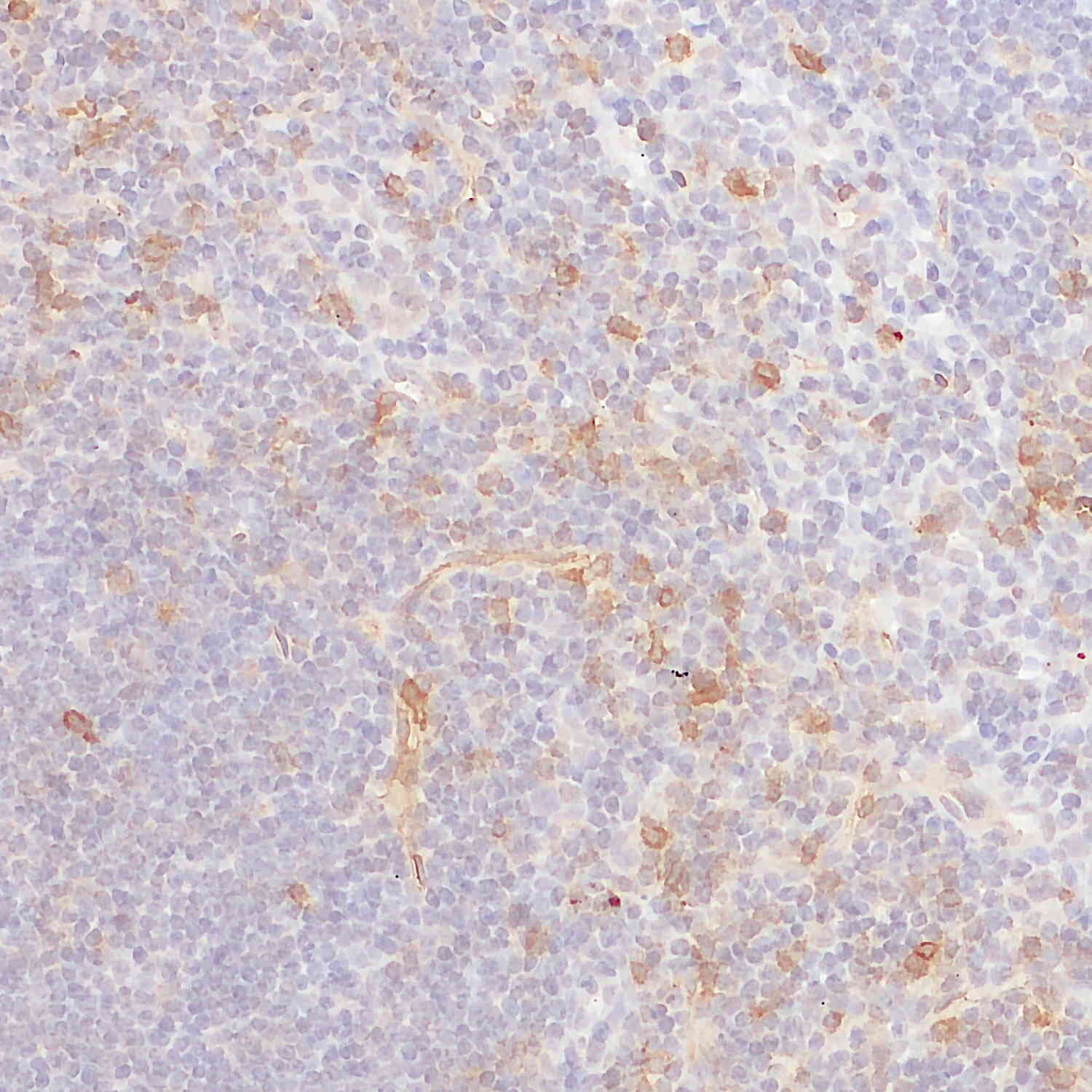
Ly6C staining on endothelial cells and immune cells in mouse lymph node

Background

Ly6C1 and Ly6C2 (Lymphocyte antigen 6 complex, locus C 1 and 2) are two highly homologous proteins, that are collectively known as Ly6C. Ly6C is a 14-kD glycosylphosphatidylinositol (GPI)-anchored protein that plays a crucial role in immune regulation and cell adhesion. It contains a single Cys-rich motif that generates the LU domain structure characteristic of the Ly6 family (1). Ly6C is commonly used as a monocyte/macrophage cell differentiation antigen. Ly6C high pro-inflammatory macrophages develop from recruited classical Ly6C high monocytes during inflammation and are then converted into Ly6C low macrophages, that are more involved in tissue repair and resolution of inflammation (2).
In the steady state, tissue-resident macrophages, such as microglia, Langerhans cells, and Kupffer cells, exhibit a F4/80highLy6Clow phenotype (2). Ly6C is primarily observed on monocytes, dendritic cells, and a subset of T cells (3,4). Ly6C is also expressed on brain vessel endothelial cells (5) and in the retinal vascular plexuses (6). 
In disease contexts, particularly in chronic inflammatory conditions, cancer, and autoimmune disorders, increased levels of Ly6C high monocytes have been linked to exacerbated inflammation and tissue damage (7).

Certificates

ISO 9001 2015 Quality Management System and Green Lab Platinum certification level for sustaining laboratory processes.

Newsletter

Sign up for our newsletter and get the latest updates and news.
 

Please provide a valid E-Mail-Address
Please provide a valid First name
Please provide a valid Last name