Tailor-made Antibodies
and Tools for Life Science
Home | | | | | Technical Support

Ly6G antibody - HS-528 003

Ly6G expression is limited to neutrophils and granulocytic MDSCs
Rabbit polyclonal purified antibody
Cat. No.: HS-528 003
Amount: 50 µg
Price: $375.00
Cat. No. HS-528 003 50 µg specific antibody, lyophilized. Affinity purified with the immunogen. Albumin and azide were added for stabilization. For reconstitution add 50 µl H2O to get a 1mg/ml solution in PBS. Then aliquot and store at -20°C to -80°C until use.
Antibodies should be stored at +4°C when still lyophilized. Do not freeze!
Applications
 
WB: 1 : 1000 (AP staining) gallery  
IP: not tested yet
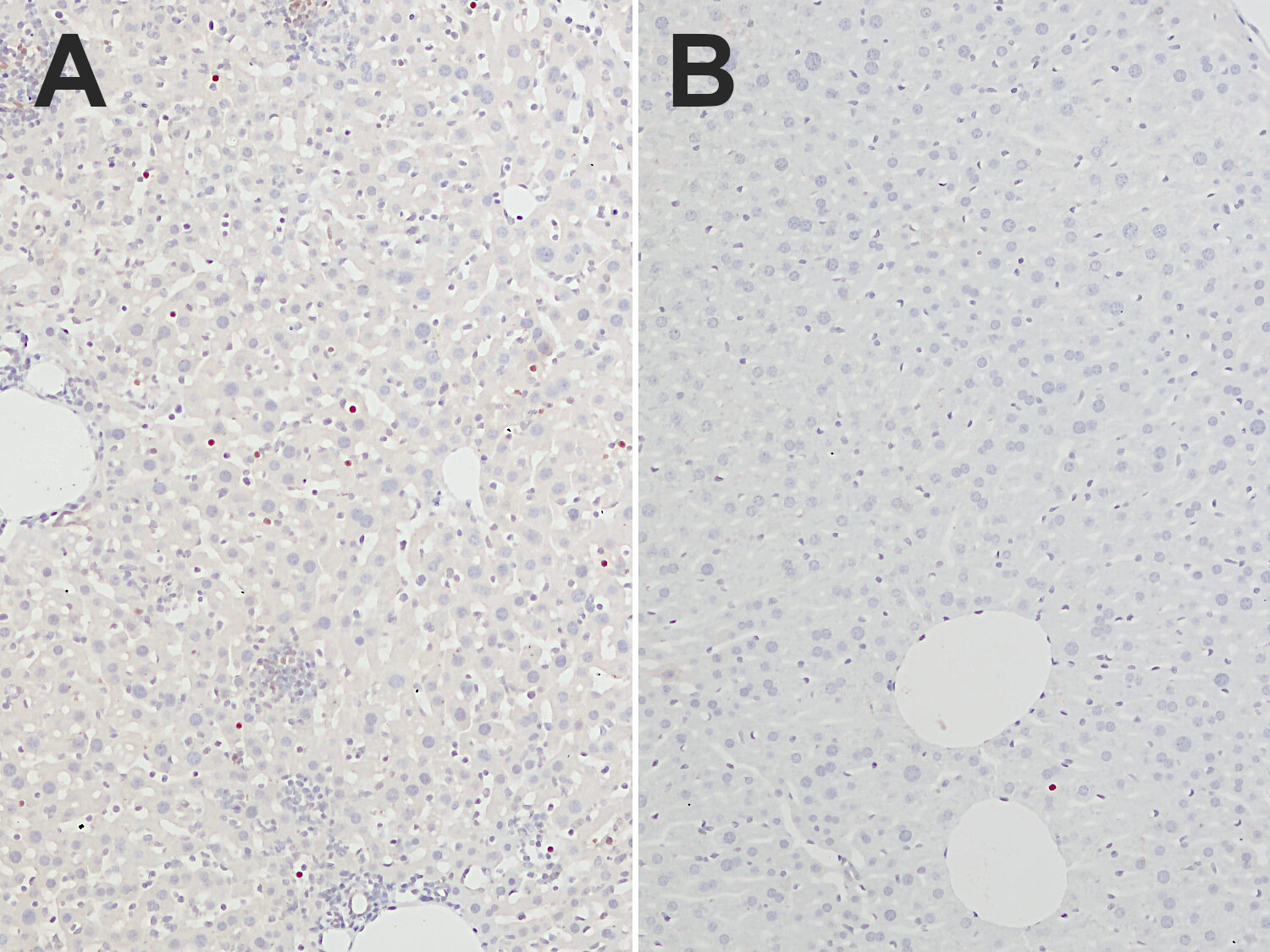
IHC: 1 : 500 (see remarks) gallery  
IHC-P (FFPE): 1 : 500 up to 1 : 2000 gallery  
ELISA: not tested yet

Western blot (WB); separation of proteins by PAGE and subsequent transfer to a membrane. Detection of target molecules is carried out with antibodies. Some antibodies require special sample preparation steps. For details, please refer to the “Remarks” section.

Immunoprecipitation (IP); Immunoisolation or pulldown of a target molecule using an antibody. For details and product specific hints, please refer to the ”Remarks” section.

Immunohistochemistry (IHC) on 4% PFA perfusion fixed tissue with 24h PFA post fixation. Immunoreactivity is usually revealed by fluorescence or a chromogenic substrate. Some antibodies require special fixation methods or antigen retrieval steps. For details, please refer to the ”Remarks” section.

Immunohistochemistry (IHC-P) of formalin fixed, paraffin embedded (FFPE) tissue (some antibodies require special antigen retrieval steps, please refer to the ”Remarks” section). Immunoreactivity is usually revealed by fluorescence or a chromogenic substrate.

Enzyme-linked immunosorbent assay (ELISA); a frequently employed method to quantify target-molecules in solution. The detection of some proteins requires special solubilization steps. For further information, please refer to the „Remarks“ section.

Immunogen Recombinant protein corresponding to residues near the amino terminus of mouse Ly6G (UniProt Id: P35461)
Reactivity Reacts with: mouse (P35461).
Other species not tested yet.
Specificity Specific for mouse Ly6G; no cross-reactivity with mouse Ly6C
Remarks

IHC: Antigen retrieval with citrate buffer pH 6 is required.

Data sheet Datasheet hs-528_003
Important information
This product belongs to the HistoSure product line of antibodies developed for and extensively tested in FFPE tissues.
For more information please visit our HistoSure brand website.
Cat. No.: HS-528 003
Amount: 50 µg
Price: $375.00

Immunohistochemical staining of mouse spleen using anti-Ly6G (red) and anti-CD11b (green) highlights Ly6G+ CD11b+ neutrophils

Background

Ly6G is a member of the lymphocyte antigen 6 (Ly6) family, characterized by a conserved LU domain and lineage-specific expression on the surface of leukocytes (1). In mice, Ly6G is a small (~ 25 kD) protein that is anchored to the cell membrane via a C-terminal GPI anchor and serves as a functional homolog of human CD177 (1,2). Unlike Ly6C, which is expressed on a broader range of myeloid cells, Ly6G expression is largely restricted to neutrophils and granulocytic myeloid derived suppressor cells (MDSCs) in mice. Based on the differential expression of Ly6G and Ly6C, murine MDSCs can be subdivided into granulocytic/neutrophilic CD11b+ Gr-1+ Ly6G+ MDSCs, which express low levels of Ly6C and CD11b+ Gr-1+ Ly6C+ monocytic MDSCs, which express low levels of Ly6G (2). Ly6G is believed to play an important role in promoting neutrophil migration to sites of infection, thereby contributing to an effective immune response (3).

Certificates

ISO 9001 2015 Quality Management System and Green Lab Platinum certification level for sustaining laboratory processes.

Newsletter

Sign up for our newsletter and get the latest updates and news.
 

Please provide a valid E-Mail-Address
Please provide a valid First name
Please provide a valid Last name