Tailor-made Antibodies
and Tools for Life Science
Home | | | | | Technical Support

MafA antibody - HS-521 003

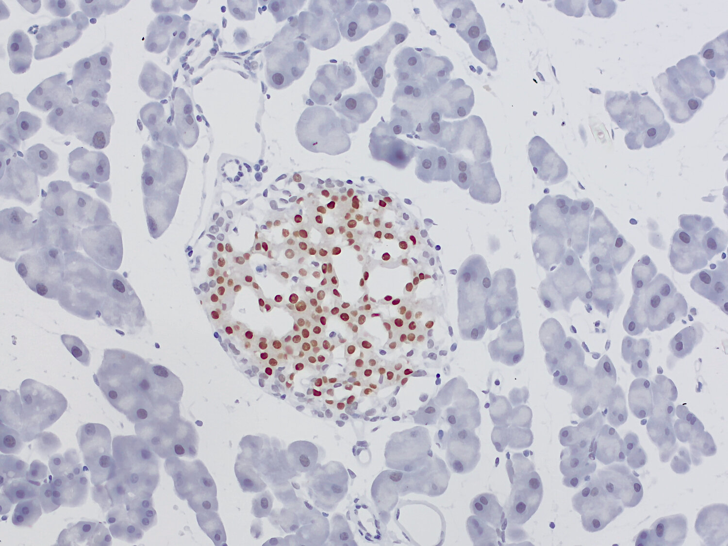
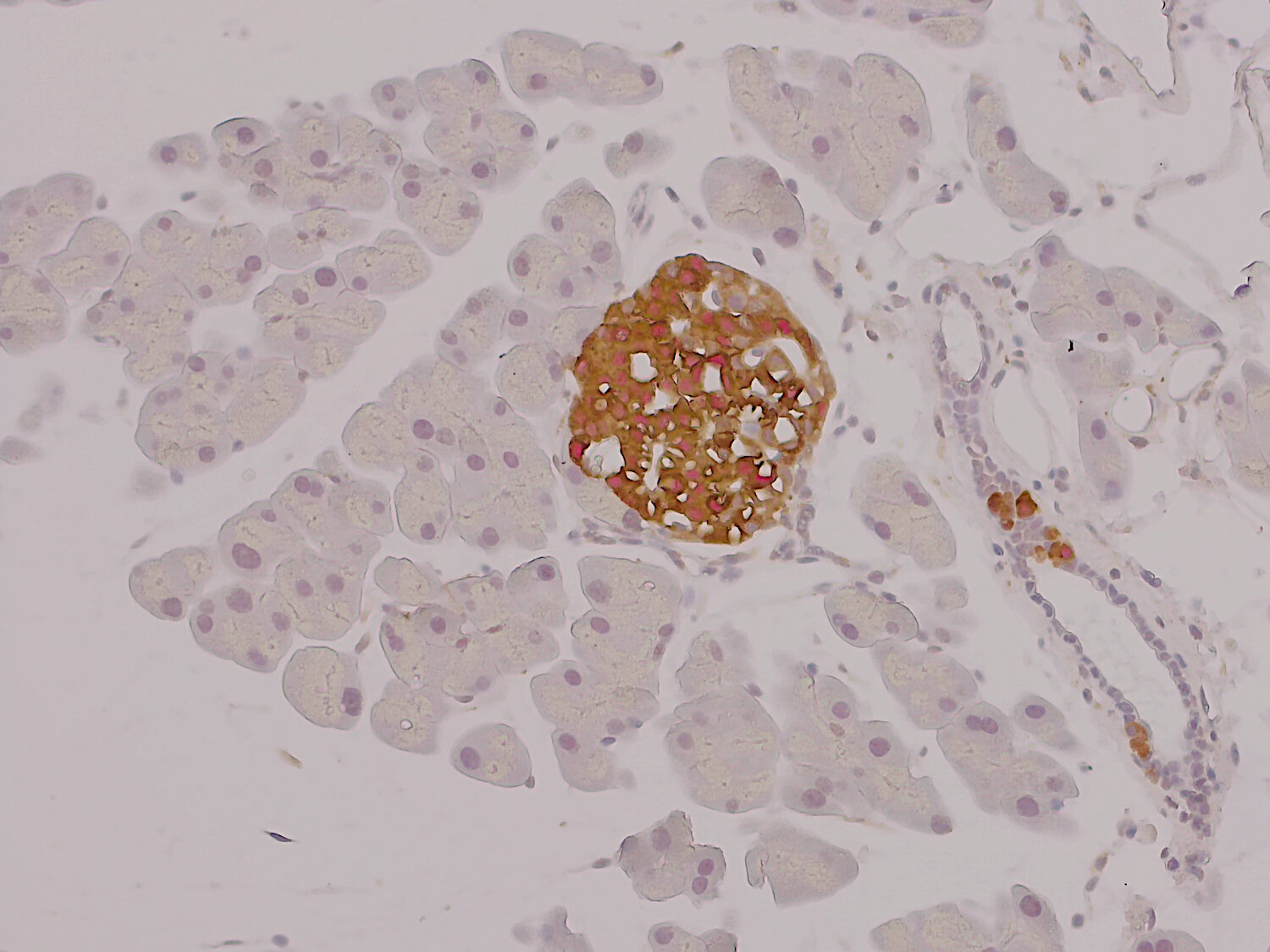
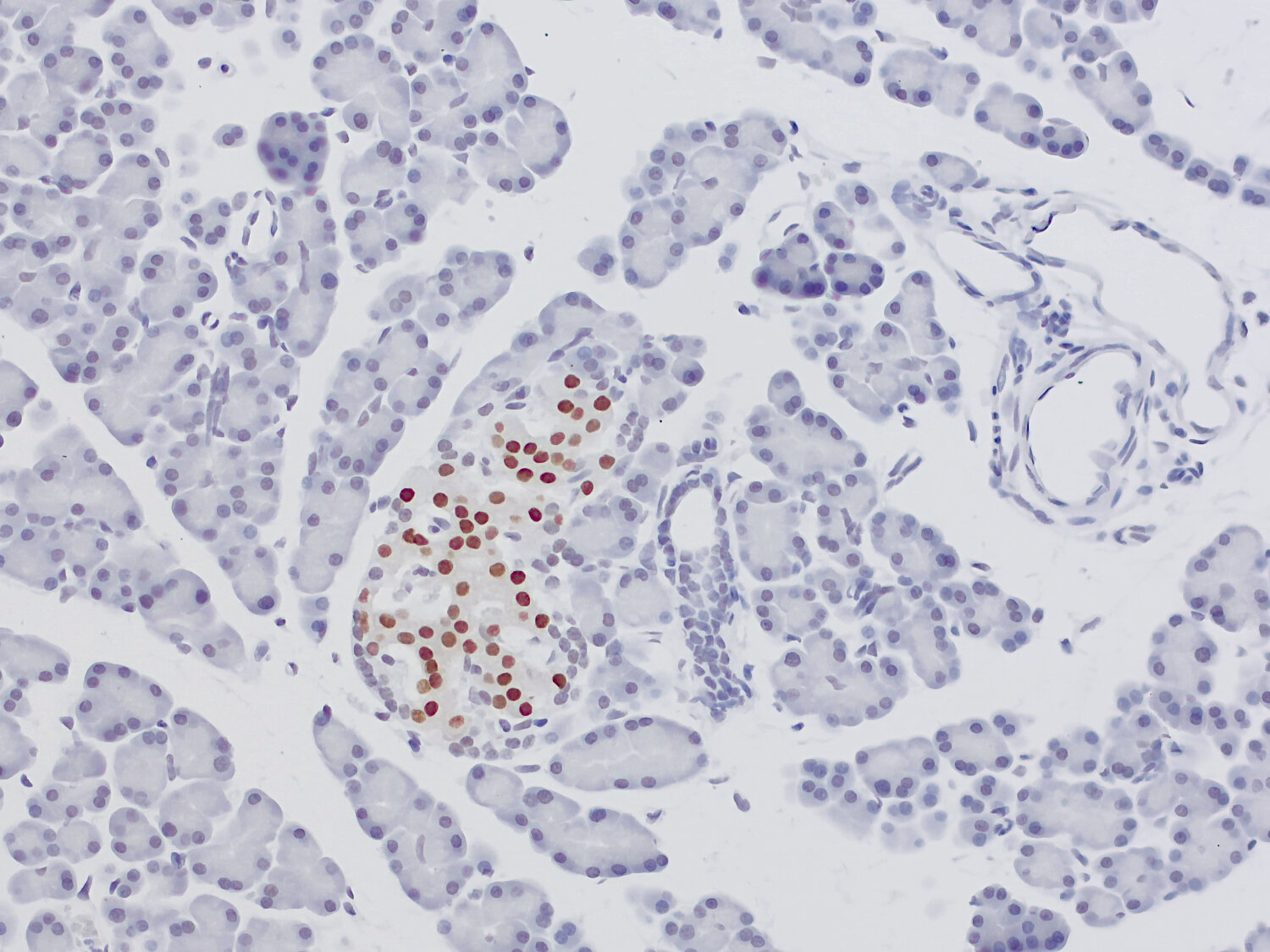
MafA is a transcription factor of the β-cells of the pancreatic islets
Rabbit polyclonal purified antibody
Cat. No.: HS-521 003
Amount: 50 µg
Price: $375.00
Cat. No. HS-521 003 50 µg specific antibody, lyophilized. Affinity purified with the immunogen. Albumin and azide were added for stabilization. For reconstitution add 50 µl H2O to get a 1mg/ml solution in PBS. Then aliquot and store at -20°C to -80°C until use.
Antibodies should be stored at +4°C when still lyophilized. Do not freeze!
Applications
 
WB: not tested yet
IP: not tested yet
IHC: 1 : 1000 gallery  
IHC-P: 1 : 2000 up to 1 : 4000 gallery  
ELISA: not tested yet

Western blot (WB); separation of proteins by PAGE and subsequent transfer to a membrane. Detection of target molecules is carried out with antibodies. Some antibodies require special sample preparation steps. For details, please refer to the “Remarks” section.

Immunoprecipitation (IP); Immunoisolation or pulldown of a target molecule using an antibody. For details and product specific hints, please refer to the ”Remarks” section.

Immunohistochemistry (IHC) on 4% PFA perfusion fixed tissue with 24h PFA post fixation. Immunoreactivity is usually revealed by fluorescence or a chromogenic substrate. Some antibodies require special fixation methods or antigen retrieval steps. For details, please refer to the ”Remarks” section.

Immunohistochemistry (IHC-P) of formalin fixed, paraffin embedded (FFPE) tissue (some antibodies require special antigen retrieval steps, please refer to the ”Remarks” section). Immunoreactivity is usually revealed by fluorescence or a chromogenic substrate.

Enzyme-linked immunosorbent assay (ELISA); a frequently employed method to quantify target-molecules in solution. The detection of some proteins requires special solubilization steps. For further information, please refer to the „Remarks“ section.

Immunogen Synthetic peptide corresponding to residues near the carboxy terminus of mouse MafA (UniProt Id: Q8CF90)
Reactivity Reacts with: mouse (Q8CF90), rat (D3ZNT6).
Other species not tested yet.
Data sheet Datasheet hs-521_003
Important information
This product belongs to the HistoSure product line of antibodies developed for and extensively tested in FFPE tissues.
For more information please visit our HistoSure brand website.
Cat. No.: HS-521 003
Amount: 50 µg
Price: $375.00

MafA expression (green) is restricted to the β-cells of synaptophysin1-positive islets of Langerhans in rat pancreas

Background

Maf (musculoaponeurotic fibrosarcoma) family proteins belong to the basic-leucine zipper family of transcription factors and are divided into large Maf and small Maf proteins depending on their molecular size. Four types of large Maf transcription factors have been identified in mice and humans: MafA, MafB, c-Maf and NRL (1). MafA is a β-cell-specific transcription factor in adult pancreatic islets and regulates glucose-stimulated insulin secretion (2). MafB, on the other hand, is specifically expressed in glucagon-expressing α-cells in the pancreas of adult mice. In the embryonic or neonatal pancreas, immature β-cells first express MafB, whereas MafA is expressed in mature β-cells and is essential for the maintenance of the mature phenotype (3). Several studies have shown, that the expression of MafA is impaired in β-cells of rodents and humans with diabetes (3). In addition to its role in the pancreas, MafA is also involved in the development of neuronal cells. For example, MafA is involved in the development of glutamatergic neurons in the olfactory bulb (4) and of dorsal root ganglia in the spinal cord (5).

Certificates

ISO 9001 2015 Quality Management System and Green Lab Platinum certification level for sustaining laboratory processes.

Newsletter

Sign up for our newsletter and get the latest updates and news.
 

Please provide a valid E-Mail-Address
Please provide a valid First name
Please provide a valid Last name