Tailor-made Antibodies
and Tools for Life Science
Home | | | | | Technical Support

CD55 antibody mouse specific - HS-515 003

CD55 is a complement regulatory protein
Rabbit polyclonal purified antibody
Cat. No.: HS-515 003
Amount: 50 µg
Price: $375.00
Cat. No. HS-515 003 50 µg specific antibody, lyophilized. Affinity purified with the immunogen. Albumin and azide were added for stabilization. For reconstitution add 50 µl H2O to get a 1mg/ml solution in PBS. Then aliquot and store at -20°C to -80°C until use.
Antibodies should be stored at +4°C when still lyophilized. Do not freeze!
Applications
 
WB: 1 : 1000 (AP staining) gallery  
IP: not tested yet
ICC: not tested yet
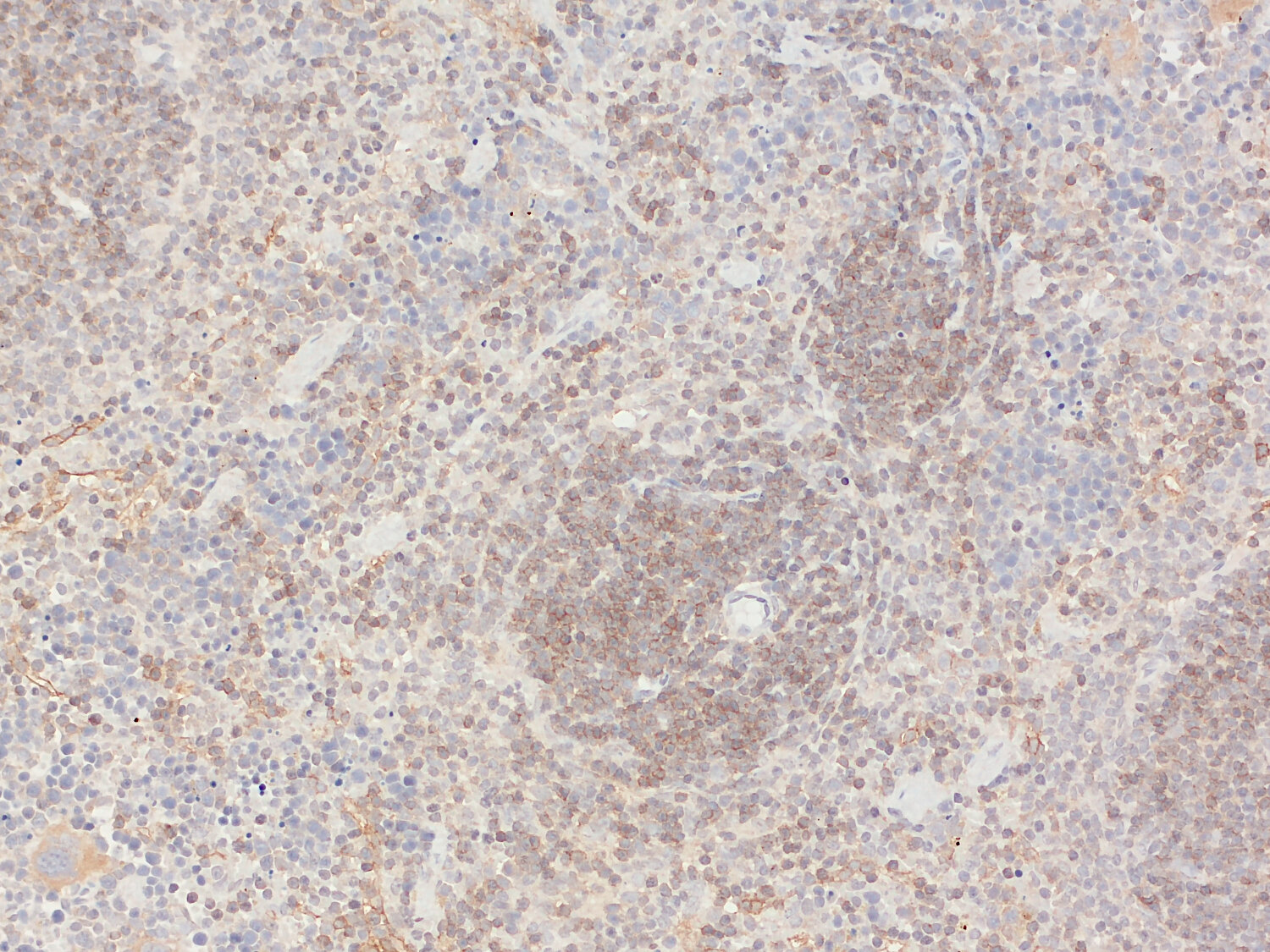
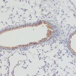
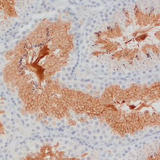
IHC: 1 : 500 gallery  
IHC-P (FFPE): 1 : 500 up to 1 : 1250 gallery  

Western blot (WB); separation of proteins by PAGE and subsequent transfer to a membrane. Detection of target molecules is carried out with antibodies. Some antibodies require special sample preparation steps. For details, please refer to the “Remarks” section.

Immunoprecipitation (IP); Immunoisolation or pulldown of a target molecule using an antibody. For details and product specific hints, please refer to the ”Remarks” section.

Immunocytochemistry (ICC) on 4% PFA fixed cells. Immunoreactivity is usually revealed by fluorescence. Some antibodies require special fixation methods. For details, please refer to the “Remarks” section.

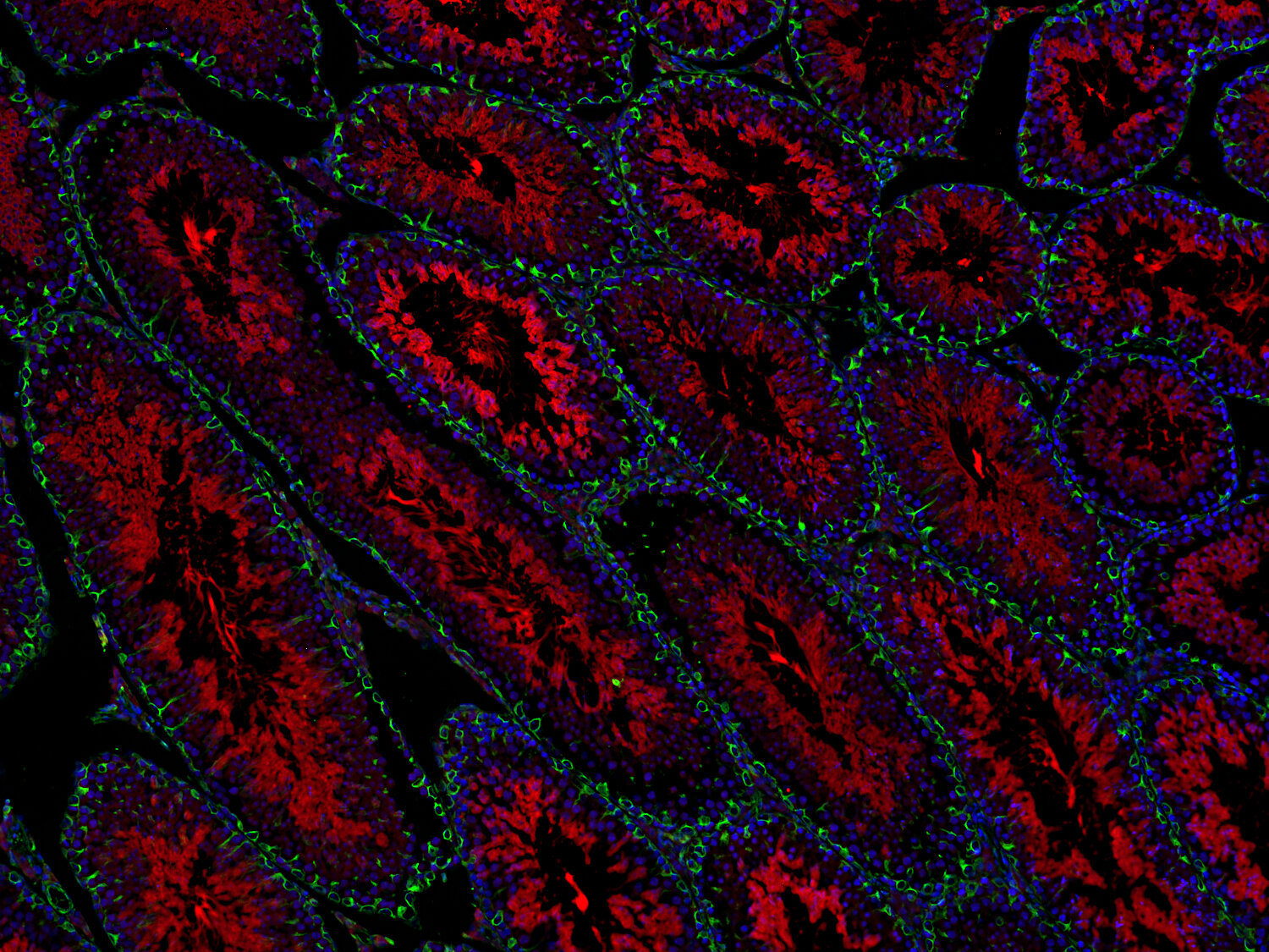
Immunohistochemistry (IHC) on 4% PFA perfusion fixed tissue with 24h PFA post fixation. Immunoreactivity is usually revealed by fluorescence or a chromogenic substrate. Some antibodies require special fixation methods or antigen retrieval steps. For details, please refer to the ”Remarks” section.

Immunohistochemistry (IHC-P) of formalin fixed, paraffin embedded (FFPE) tissue (some antibodies require special antigen retrieval steps, please refer to the ”Remarks” section). Immunoreactivity is usually revealed by fluorescence or a chromogenic substrate.

Immunogen Synthetic peptide corresponding to residues surrounding AA 315 of mouse CD55 (UniProt Id: Q61475)
Reactivity Reacts with: mouse (Q61475).
No signal: rat, human.
Other species not tested yet.
Data sheet Datasheet hs-515_003
Important information
This product belongs to the HistoSure product line of antibodies developed for and extensively tested in FFPE tissues.
For more information please visit our HistoSure brand website.
Cat. No.: HS-515 003
Amount: 50 µg
Price: $375.00

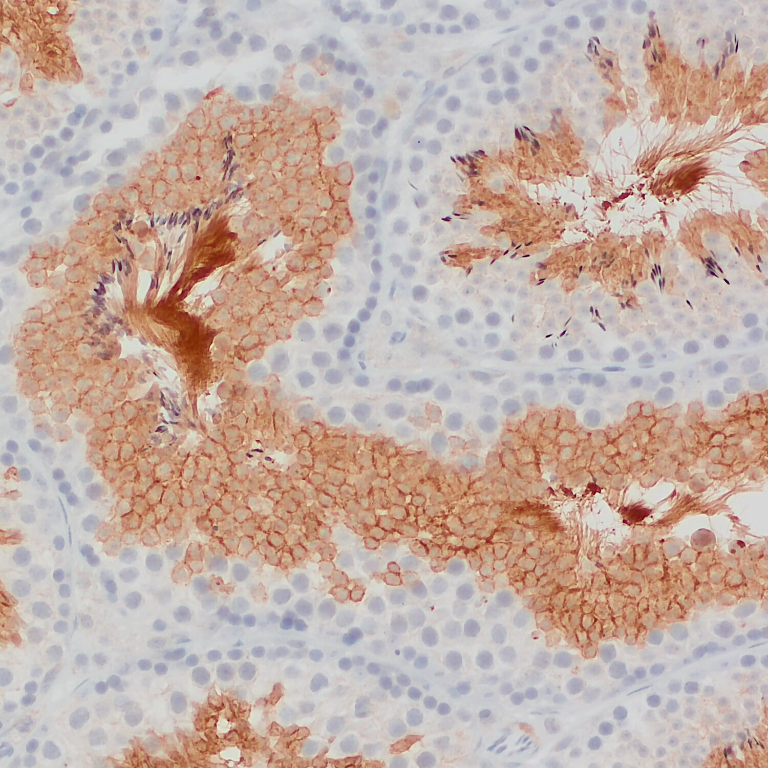
CD55 staining of maturing spermiogenic cells in a mouse testis

Background

CD55, also known as Complement Decay-Accelerating Factor or DAF, is a glycosylphosphatidylinositol (GPI)-linked membrane inhibitor of the complement system (1). While humans and other mammalian species have only one DAF gene, the mouse has two separate, highly homologous DAF genes in its genome. One gene encodes a GPI-anchored DAF protein that is similar to human DAF (GPI-DAF), and the other gene encodes a molecule that is incorporated into the membrane via a transmembrane domain (TM-DAF) (2). TM-DAF gene expression is restricted to the testis (2,3) whereas the GPI-DAF molecule is found on leukocytes, erythrocytes and serum-exposed stromal cells. CD55 acts as a complement inhibitor via inactivation of C3 convertases, splitting them into their individual proteins and preventing their assembly (4). In addition, CD55 is a binding partner for CD97 (also known as ADGRE5), which is widely expressed in monocytes, granulocytes, lymphocytes, macrophages, dendritic cells and smooth muscle cells and also in a variety of tumors (4). CD55 is particularly upregulated during inflammatory conditions to prevent tissue damage. Its expression is associated with several diseases, including cancer, malaria, protein-losing enteropathy, paroxysmal nocturnal hemoglobinuria, multiple sclerosis and rheumatoid arthritis (4).

Certificates

ISO 9001 2015 Quality Management System and Green Lab Platinum certification level for sustaining laboratory processes.

Newsletter

Sign up for our newsletter and get the latest updates and news.
 

Please provide a valid E-Mail-Address
Please provide a valid First name
Please provide a valid Last name