Tailor-made Antibodies
and Tools for Life Science
Home | | | | | Technical Support

MEF2A antibody - HS-507 003

MEF2A is a transcriptional activator which binds specifically to the MEF2 element
Rabbit polyclonal purified antibody
Cat. No.: HS-507 003
Amount: 50 µg
Price: $375.00
Cat. No. HS-507 003 50 µg specific antibody, lyophilized. Affinity purified with the immunogen. Albumin and azide were added for stabilization. For reconstitution add 50 µl H2O to get a 1mg/ml solution in PBS. Then aliquot and store at -20°C to -80°C until use.
Antibodies should be stored at +4°C when still lyophilized. Do not freeze!
Applications
 
WB: 1 : 1000 (AP staining) gallery  
IP: not tested yet
ICC: 1 : 500 gallery  
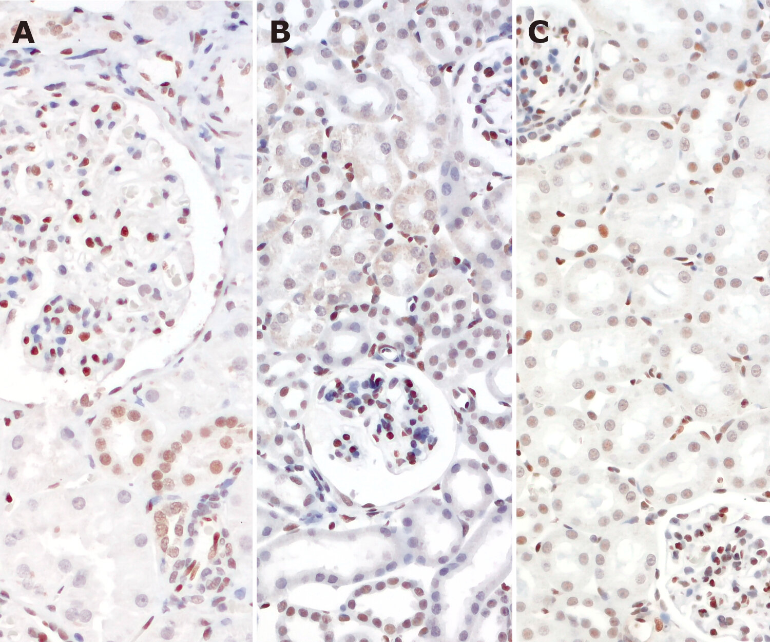
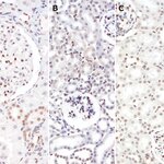
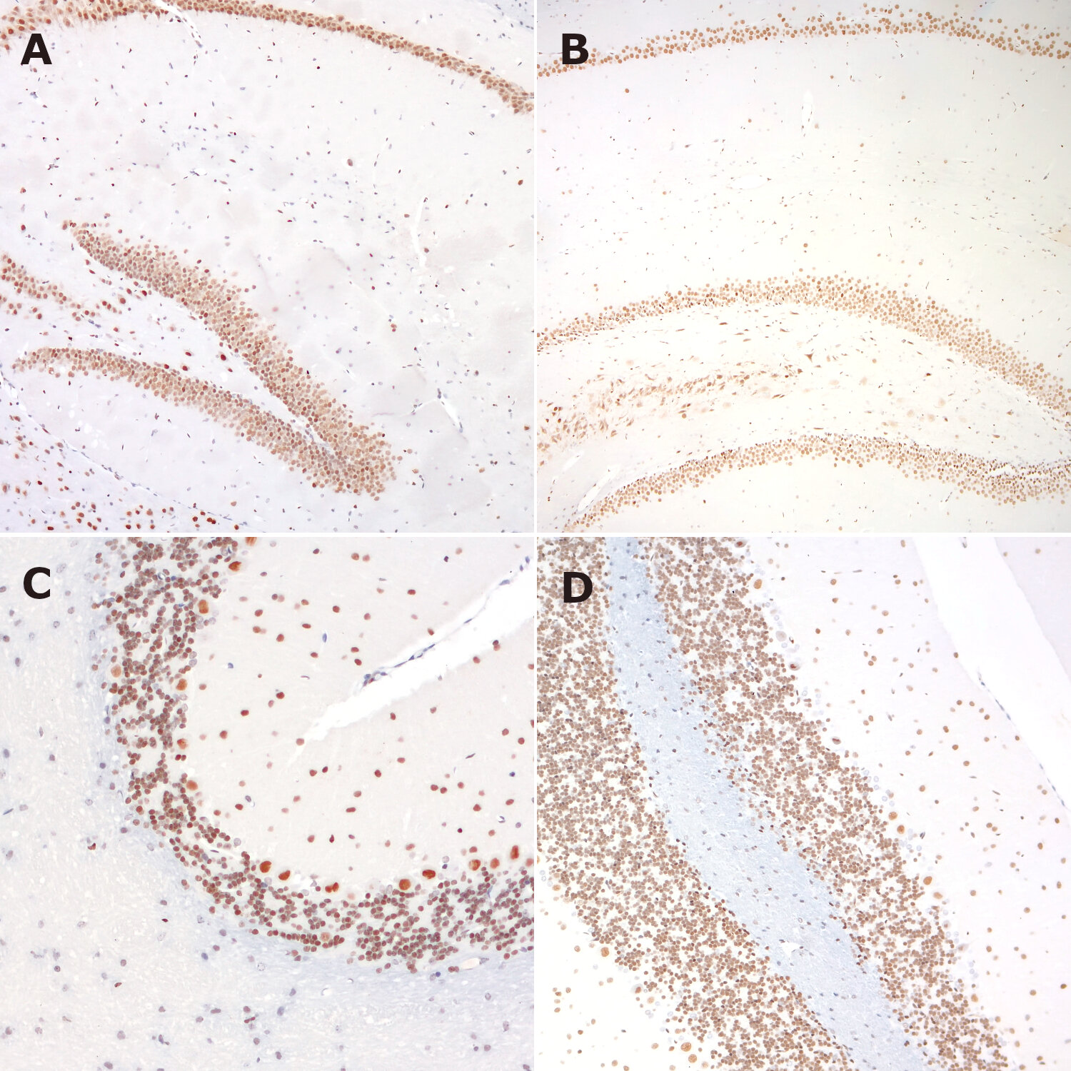
IHC: 1 : 500 (see remarks) gallery  
IHC-P: 1 : 4000 gallery  

Western blot (WB); separation of proteins by PAGE and subsequent transfer to a membrane. Detection of target molecules is carried out with antibodies. Some antibodies require special sample preparation steps. For details, please refer to the “Remarks” section.

Immunoprecipitation (IP); Immunoisolation or pulldown of a target molecule using an antibody. For details and product specific hints, please refer to the ”Remarks” section.

Immunocytochemistry (ICC) on 4% PFA fixed cells. Immunoreactivity is usually revealed by fluorescence. Some antibodies require special fixation methods. For details, please refer to the “Remarks” section.

Immunohistochemistry (IHC) on 4% PFA perfusion fixed tissue with 24h PFA post fixation. Immunoreactivity is usually revealed by fluorescence or a chromogenic substrate. Some antibodies require special fixation methods or antigen retrieval steps. For details, please refer to the ”Remarks” section.

Immunohistochemistry (IHC-P) of formalin fixed, paraffin embedded (FFPE) tissue (some antibodies require special antigen retrieval steps, please refer to the ”Remarks” section). Immunoreactivity is usually revealed by fluorescence or a chromogenic substrate.

Immunogen Recombinant protein corresponding to residues near the central region of human MEF2A (UniProt Id: Q02078)
Reactivity Reacts with: human (Q02078), mouse (Q60929), rat (Q2MJT0).
Other species not tested yet.
Remarks

IHC: Antigen retrieval with citrate buffer pH 6 is required for immunohistochemical staining in mouse muscle section.

Data sheet Datasheet hs-507_003
Important information
This product belongs to the HistoSure product line of antibodies developed for and extensively tested in FFPE tissues.
For more information please visit our HistoSure brand website.
Cat. No.: HS-507 003
Amount: 50 µg
Price: $375.00

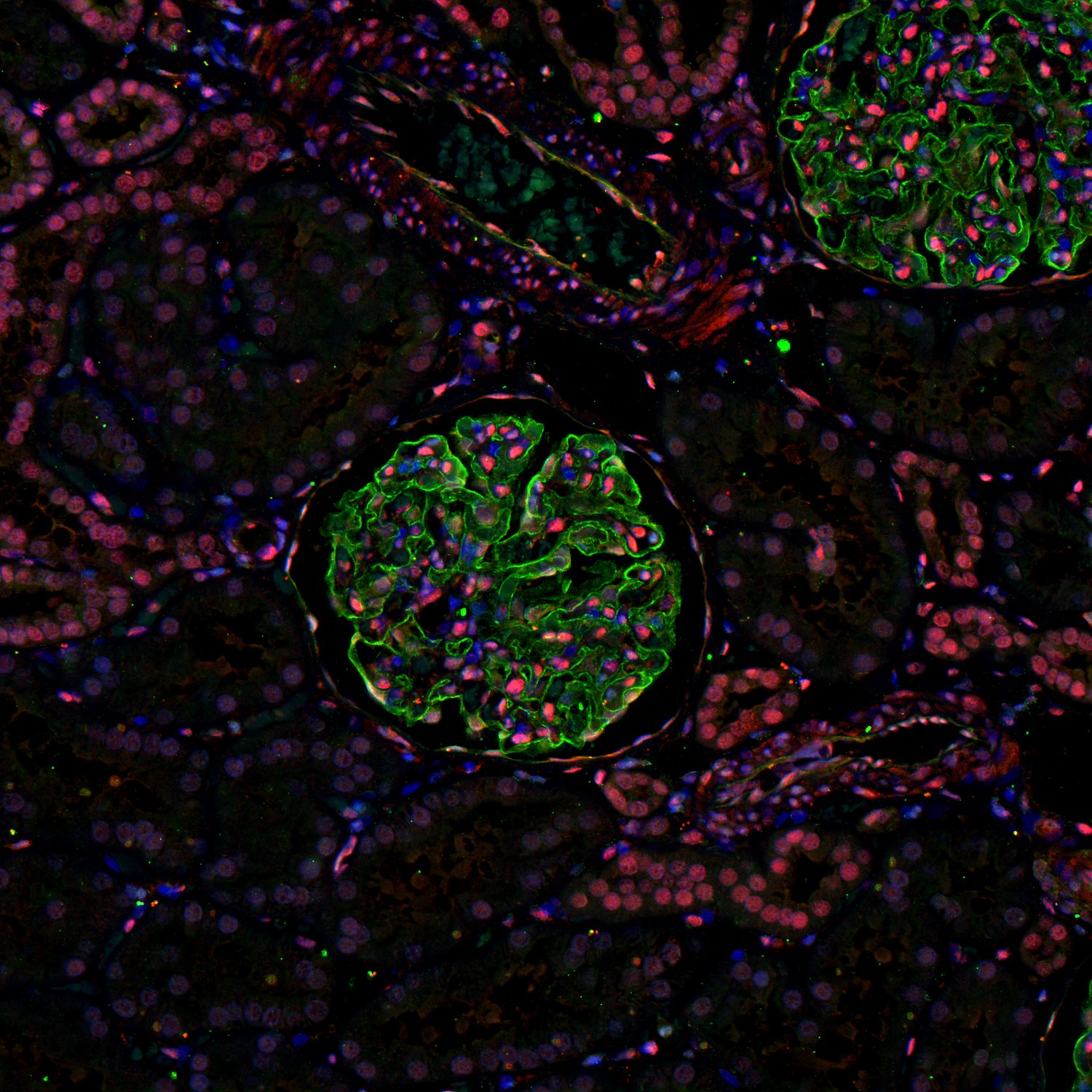
Staining of human kidney with rabbit anti-MEF2A (red) and Synaptopodin (green)

Background

MEF2A is a member of the MEF2 (myocyte enhancer factor 2) family of transcription factors. The MEF2 family includes three other members, MEF2B, -C and -D. MEF2A is ubiquitously expressed but has an alternatively spliced isoform that is restricted to skeletal muscle, heart and brain due to the inclusion of an exon encoding the peptide SEEEELEL (residues 289-296) (1). The activity of MEF2A can be regulated by phosphorylation/dephosphorylation, which affects its DNA-binding affinity and interaction with transcriptional co-activators and co-repressors. MEF2A is also susceptible to protease cleavage by caspases (2). In neuronal cells, MEF2A plays a role in neurodevelopment and synaptic plasticity. It contributes to the formation and maintenance of neural circuits, ultimately impacting cognitive functions and behavior. MEF2A also has an important role in the immune system. It contributes significantly to the development of T-cells and the immune response. MEF2A is a non-redundant regulator of the inflammatory epigenome of macrophages and, more specifically, of PGE2-sensitive enhancers (3). Defects in MEF2A may be a cause of an autosomal dominant form of coronary artery disease (CAD) with myocardial infarction (ADCAD1) [MIM:608320] (4). MEF2A protein is also regulated in a model of chronic kidney disease using cadmium as a toxic treatment in human proximal tubule cells (HK-2) (5).

Certificates

ISO 9001 2015 Quality Management System and Green Lab Platinum certification level for sustaining laboratory processes.

Newsletter

Sign up for our newsletter and get the latest updates and news.
 

Please provide a valid E-Mail-Address
Please provide a valid First name
Please provide a valid Last name