Tailor-made Antibodies
and Tools for Life Science
Home | | | | | Technical Support

Arg-1 antibody - HS-500 023

Arginase-1 is a microglia M2 type marker
Rabbit polyclonal purified antibody
Cat. No.: HS-500 023
Amount: 50 µg
Price: $375.00
Cat. No. HS-500 023 50 µg specific antibody, lyophilized. Affinity purified with the immunogen. Albumin and azide were added for stabilization. For reconstitution add 50 µl H2O to get a 1mg/ml solution in PBS. Then aliquot and store at -20°C to -80°C until use.
Antibodies should be stored at +4°C when still lyophilized. Do not freeze!
Applications
 
WB: 1 : 1000 (AP staining) gallery  
IP: not tested yet
ICC: not tested yet
IHC: not tested yet
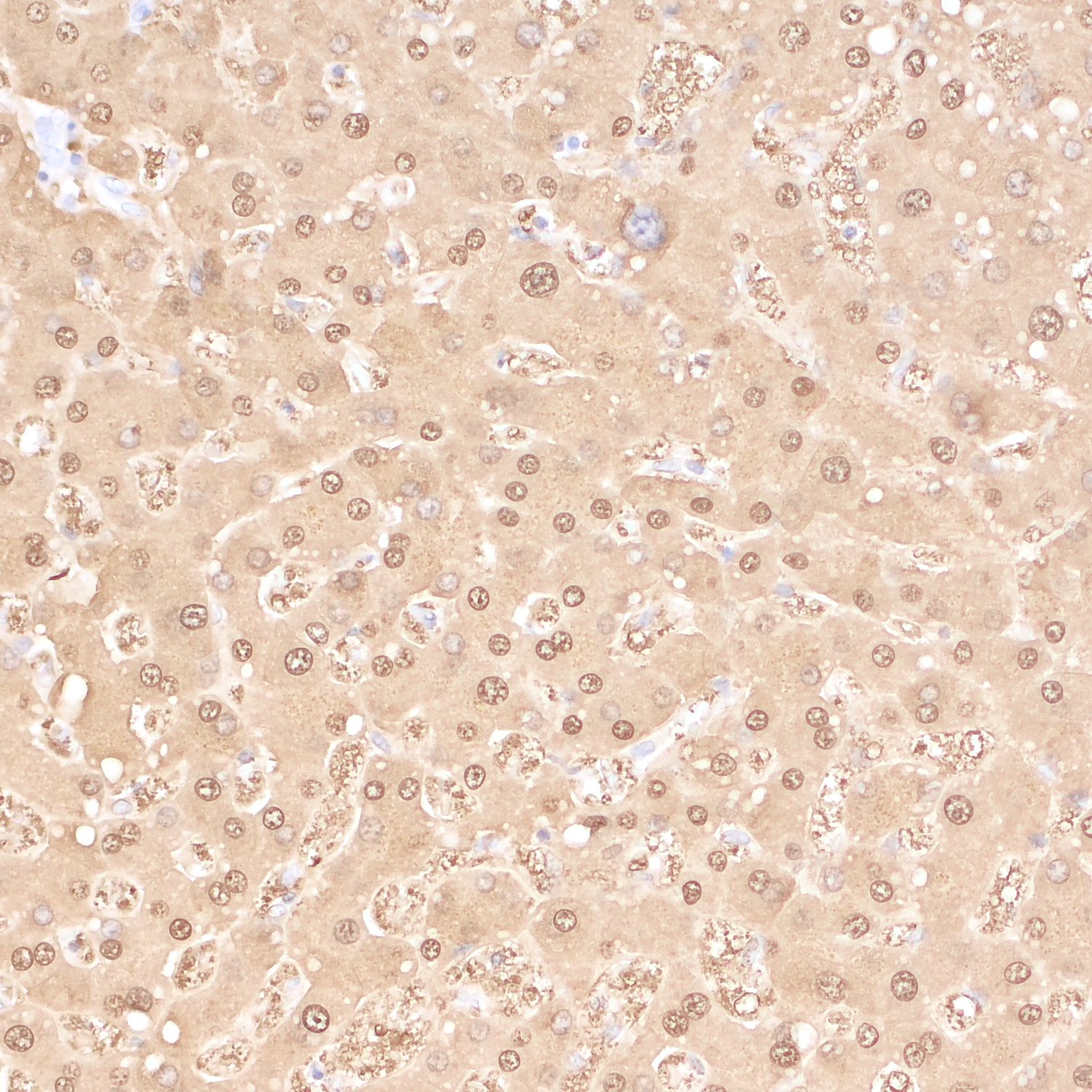
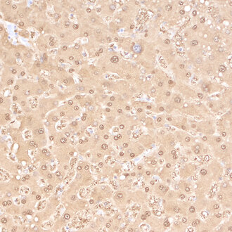
IHC-P: 1 : 500 gallery  

Western blot (WB); separation of proteins by PAGE and subsequent transfer to a membrane. Detection of target molecules is carried out with antibodies. Some antibodies require special sample preparation steps. For details, please refer to the “Remarks” section.

Immunoprecipitation (IP); Immunoisolation or pulldown of a target molecule using an antibody. For details and product specific hints, please refer to the ”Remarks” section.

Immunocytochemistry (ICC) on 4% PFA fixed cells. Immunoreactivity is usually revealed by fluorescence. Some antibodies require special fixation methods. For details, please refer to the “Remarks” section.

Immunohistochemistry (IHC) on 4% PFA perfusion fixed tissue with 24h PFA post fixation. Immunoreactivity is usually revealed by fluorescence or a chromogenic substrate. Some antibodies require special fixation methods or antigen retrieval steps. For details, please refer to the ”Remarks” section.

Immunohistochemistry (IHC-P) of formalin fixed, paraffin embedded (FFPE) tissue (some antibodies require special antigen retrieval steps, please refer to the ”Remarks” section). Immunoreactivity is usually revealed by fluorescence or a chromogenic substrate.

Immunogen Synthetic peptide corresponding to residues near the carboxy terminus of human Arg1 (UniProt Id: P05089)
Reactivity Reacts with: human (P05089).
Weaker signal: mouse (Q61176), rat (P07824).
Other species not tested yet.
Data sheet Datasheet hs-500_023
Important information
This product belongs to the HistoSure product line of antibodies developed for and extensively tested in FFPE tissues.
For more information please visit our HistoSure brand website.
Cat. No.: HS-500 023
Amount: 50 µg
Price: $375.00

Staining of human liver section with rabbit anti-human Arg1

Background

Arginase-1 (Arg-1) is a cytosolic protein primarily known for its role in the urea cycle within the liver. It has gained increasing attention in the field of immunology due to its significant influence on immune responses and various disease states. Arg-1 converts arginine to urea and ornithine in the last step of the urea cycle in the liver. Arg-1 is expressed in myeloid cells, including macrophages and neutrophils. Its function in the urea pathway plays a crucial role in regulating the production of nitric oxide (NO), a key signaling molecule involved in various immune processes. Arg-1 competes with inducible nitric oxide synthase (iNOS) for arginine, and its activity can skew the immune response towards a more anti-inflammatory or "M2" phenotype in macrophages by limiting NO production (1). Dysregulation of Arg-1 in microglia has been associated with neurodegenerative diseases, such as Alzheimer's and Parkinson's disease (2). An inherited deficiency of this enzyme leads to argininemia, an autosomal recessive disorder characterized by hyperammonemia (3).

Certificates

ISO 9001 2015 Quality Management System and Green Lab Platinum certification level for sustaining laboratory processes.

Newsletter

Sign up for our newsletter and get the latest updates and news.
 

Please provide a valid E-Mail-Address
Please provide a valid First name
Please provide a valid Last name