Tailor-made Antibodies
and Tools for Life Science
Home | | | | | Technical Support

FoxP3 antibody - HS-491 017

FoxP3 is a Treg cell lineage-specific transcription factor
Rat monoclonal purified IgG
Cat. No.: HS-491 017
Amount: 100 µg
Price: $420.00
Cat. No. HS-491 017 100 µg purified IgG, lyophilized. Albumin and azide were added for stabilization. For reconstitution add 100 µl H2O to get a 1mg/ml solution in PBS. Then aliquot and store at -20°C to -80°C until use.
Antibodies should be stored at +4°C when still lyophilized. Do not freeze!
Applications
 
WB: not tested yet
IP: not tested yet
ICC: not tested yet
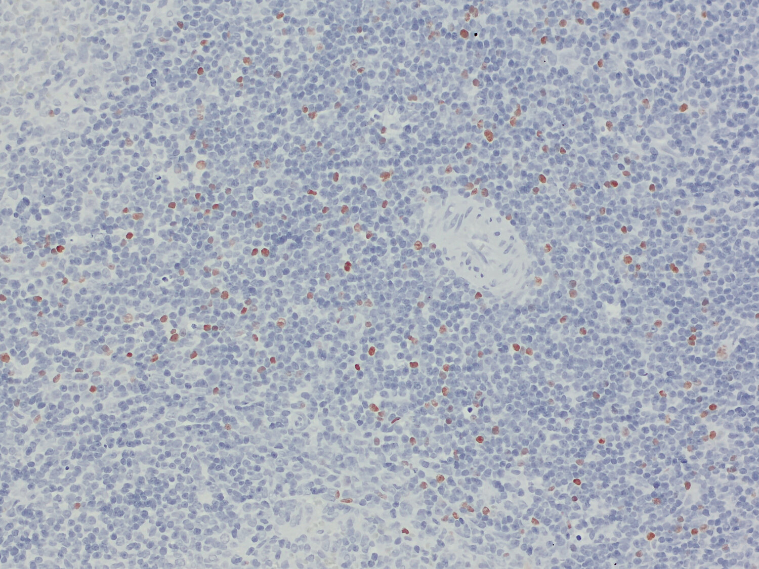
IHC: 1 : 500 (see remarks) gallery  
IHC-P: 1 : 200 up to 1 : 1000 gallery  
IHC-Fr: 1 : 500 (see remarks) gallery  

Western blot (WB); separation of proteins by PAGE and subsequent transfer to a membrane. Detection of target molecules is carried out with antibodies. Some antibodies require special sample preparation steps. For details, please refer to the “Remarks” section.

Immunoprecipitation (IP); Immunoisolation or pulldown of a target molecule using an antibody. For details and product specific hints, please refer to the ”Remarks” section.

Immunocytochemistry (ICC) on 4% PFA fixed cells. Immunoreactivity is usually revealed by fluorescence. Some antibodies require special fixation methods. For details, please refer to the “Remarks” section.

Immunohistochemistry (IHC) on 4% PFA perfusion fixed tissue with 24h PFA post fixation. Immunoreactivity is usually revealed by fluorescence or a chromogenic substrate. Some antibodies require special fixation methods or antigen retrieval steps. For details, please refer to the ”Remarks” section.

Immunohistochemistry (IHC-P) of formalin fixed, paraffin embedded (FFPE) tissue (some antibodies require special antigen retrieval steps, please refer to the ”Remarks” section). Immunoreactivity is usually revealed by fluorescence or a chromogenic substrate.

Immunohistochemistry on fresh frozen (IHC-Fr) cryo-tissue-sections. In contrast to standard PFA perfusion fixed tissues, fresh frozen cryo-tissue-sections can be variably postfixed with alcohols, acetone or PFA. Alcohol or acetone fixation is e.g. of advantage for antigens masked by PFA crosslinking. For recommended postfixation, please refer to the ”Remarks” section. Immunoreactivity is usually revealed by fluorescence or a chromogenic substrate.

Clone SY-60F6
Subtype IgG2a (κ light chain)
Immunogen Recombinant protein corresponding to residues near the central region of mouse FoxP3 (UniProt Id: Q99JB6)
Reactivity Reacts with: mouse (Q99JB6).
Weaker signal: rat.
No signal: human (Q9BZS1).
Other species not tested yet.
Remarks

IHC: Antigen retrieval with citrate buffer pH 6 is required.
IHC-Fr: The following fixatives are possible: methanol, 4% formaldehyde/PFA.

Data sheet Datasheet hs-491_017
Important information
This product belongs to the HistoSure product line of antibodies developed for and extensively tested in FFPE tissues.
For more information please visit our HistoSure brand website.
Cat. No.: HS-491 017
Amount: 100 µg
Price: $420.00

Detection of Foxp3+ CD4 regulatory T cells (red nucleus) in mouse spleen stained with anti-CD4 (green) and anti-CD8a (purple).

Background

The transcription factor FoxP3 belongs to the family of forkhead transcription factors and controls the differentiation and function of regulatory T-cells (Tregs) (1). Tregs develop either in the thymus (tTreg), where they represent only ~2-3% of developing CD4+ thymocytes, or in the periphery by conversion of conventional CD4+ T cells into peripherally induced Treg (pTreg) cells (2). Expression of FoxP3 is induced by strong and persistent T cell receptor (TCR) signaling. FoxP3 binds DNA as homodimer or heterodimer with Foxp1 and interacts with other downstream transcription factors of TCR signaling, e.g., AP-1 transcription factors, NF-κB or Runx1 (1). Increasing evidence suggests that FoxP3 is expressed not only in Tregs, but also in a variety of tumor cells. However, tumor-FoxP3 has an inconsistent functional role and acts either as a tumor-suppressor or as a tumor-promoting factor (3). Mutations in FoxP3 lead to the severe autoimmune phenomena observed in patients with immune dysregulation, polyendocrinopathy, enteropathy, X-linked syndrome (IPEX) and in scurfy mice (4).

Certificates

ISO 9001 2015 Quality Management System and Green Lab Platinum certification level for sustaining laboratory processes.

Newsletter

Sign up for our newsletter and get the latest updates and news.
 

Please provide a valid E-Mail-Address
Please provide a valid First name
Please provide a valid Last name