Tailor-made Antibodies
and Tools for Life Science
Home | | | | | Technical Support

CD206 antibody - HS-488 005

CD206 is a marker of specific macrophage subsets
Guinea pig polyclonal purified antibody
Cat. No.: HS-488 005
Amount: 50 µg
Price: $420.00
Cat. No. HS-488 005 50 µg specific antibody, lyophilized. Affinity purified with the immunogen. Albumin and azide were added for stabilization. For reconstitution add 50 µl H2O to get a 1mg/ml solution in PBS. Then aliquot and store at -20°C to -80°C until use.
Antibodies should be stored at +4°C when still lyophilized. Do not freeze!
Applications
 
WB: 1 : 1000 (AP staining) gallery  
IP: not tested yet
ICC: not tested yet
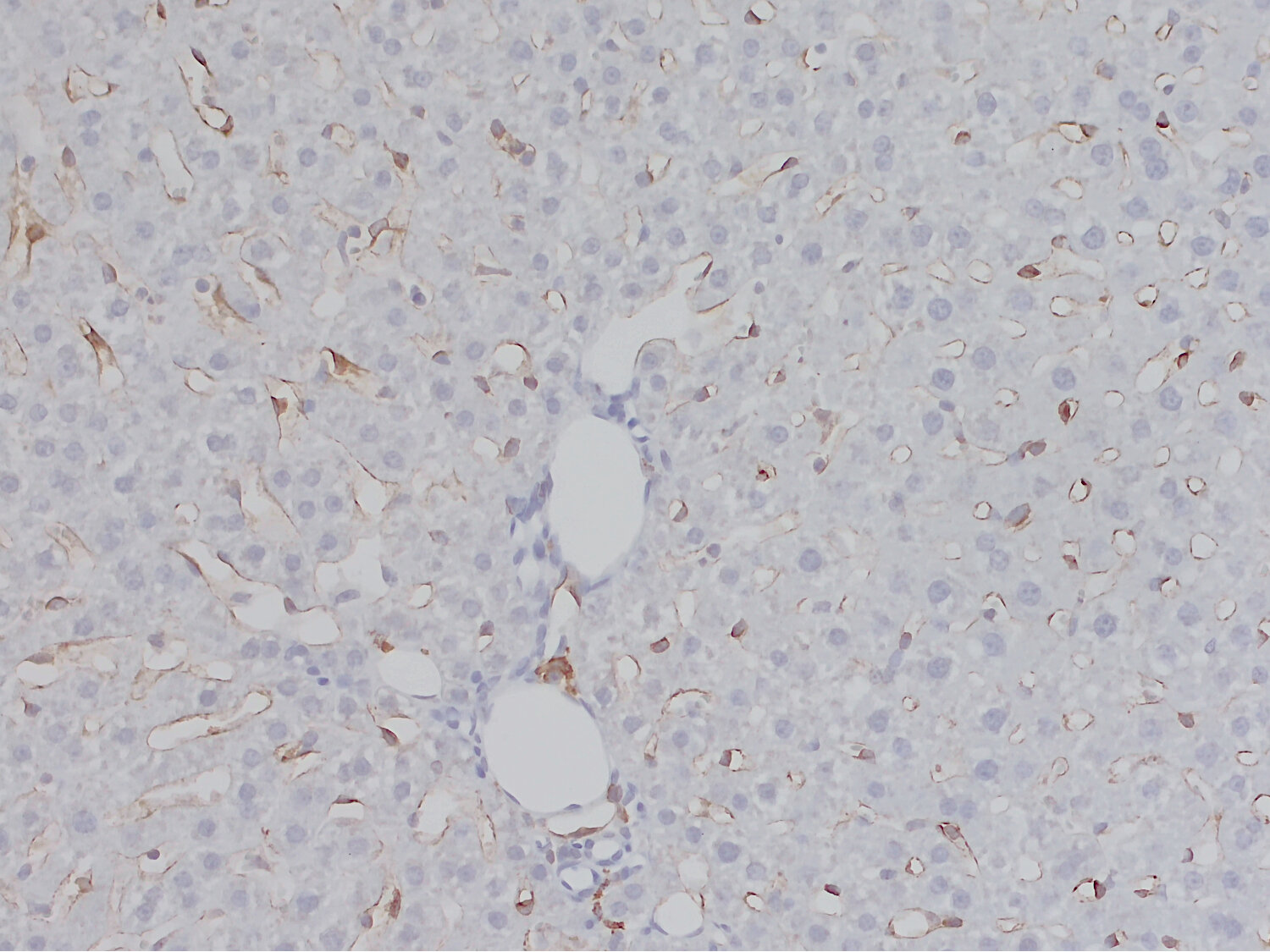
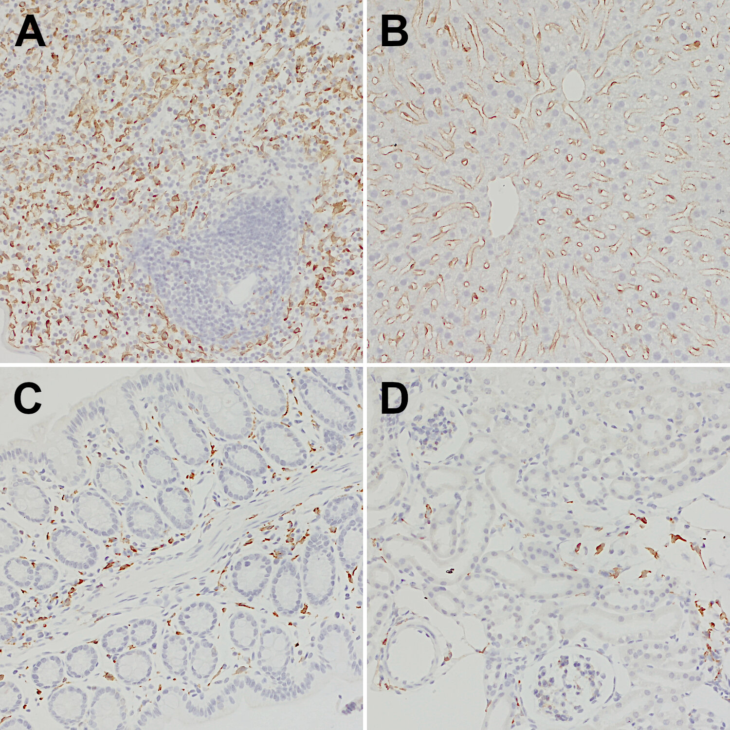
IHC: 1 : 1000 up to 1 : 2000 gallery  
IHC-P (FFPE): 1 : 1000 gallery  

Western blot (WB); separation of proteins by PAGE and subsequent transfer to a membrane. Detection of target molecules is carried out with antibodies. Some antibodies require special sample preparation steps. For details, please refer to the “Remarks” section.

Immunoprecipitation (IP); Immunoisolation or pulldown of a target molecule using an antibody. For details and product specific hints, please refer to the ”Remarks” section.

Immunocytochemistry (ICC) on 4% PFA fixed cells. Immunoreactivity is usually revealed by fluorescence. Some antibodies require special fixation methods. For details, please refer to the “Remarks” section.

Immunohistochemistry (IHC) on 4% PFA perfusion fixed tissue with 24h PFA post fixation. Immunoreactivity is usually revealed by fluorescence or a chromogenic substrate. Some antibodies require special fixation methods or antigen retrieval steps. For details, please refer to the ”Remarks” section.

Immunohistochemistry (IHC-P) of formalin fixed, paraffin embedded (FFPE) tissue (some antibodies require special antigen retrieval steps, please refer to the ”Remarks” section). Immunoreactivity is usually revealed by fluorescence or a chromogenic substrate.

Immunogen Synthetic peptide corresponding to residues near the carboxy terminus of mouse CD206 (UniProt Id: Q61830)
Reactivity Reacts with: mouse (Q61830), rat (D3ZD31).
No signal: human (P22897).
Other species not tested yet.
Data sheet Datasheet hs-488_005
Important information
This product belongs to the HistoSure product line of antibodies developed for and extensively tested in FFPE tissues.
For more information please visit our HistoSure brand website.
Cat. No.: HS-488 005
Amount: 50 µg
Price: $420.00

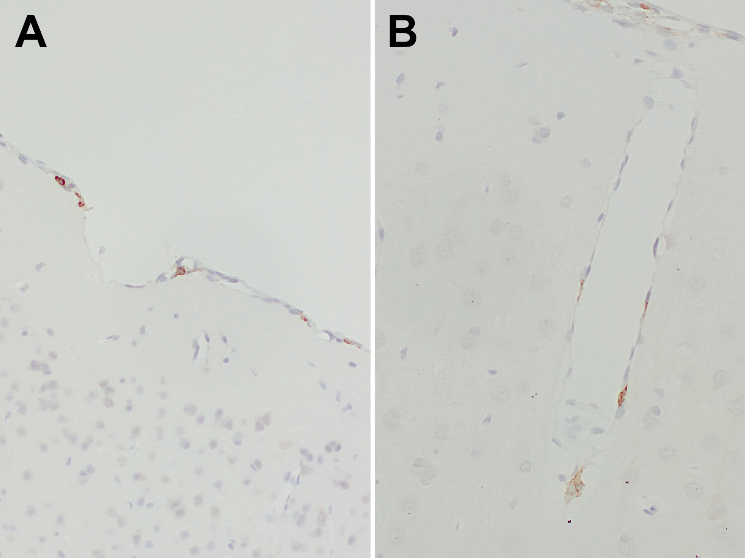
CD206-positive border-associated macrophages in the mouse brain

Background

CD206, also known as macrophage mannose receptor type C (MMR or MRC1), is a member of the C-type lectin (CLEC) family. CD206 is expressed by subpopulations of macrophages, immature dendritic cells, and liver sinusoidal endothelial cells. Its expression level is differentially regulated by cytokines (e.g., IL-10, IL-4, IL-13, and IFNγ), prostaglandins, LPS, and the transcription factor PPAR-γ (1). CD206 functions in endocytosis and phagocytosis (1) and high expression is found both on pro- and antitumor TAMs (tumor-associated macrophages) (2). In the brain, border-associated macrophages (BAMs) can be discriminated from microglia by the expression of CD206 and CD169 (3).

Certificates

ISO 9001 2015 Quality Management System and Green Lab Platinum certification level for sustaining laboratory processes.

Newsletter

Sign up for our newsletter and get the latest updates and news.
 

Please provide a valid E-Mail-Address
Please provide a valid First name
Please provide a valid Last name