Tailor-made Antibodies
and Tools for Life Science
Home | | | | | Technical Support

T-bet (TBX21) antibody mouse specific - HS-487 008

T-bet is a transcription factor expressed by several lymphocyte lineages
Rabbit monoclonal recombinant IgG
Cat. No.: HS-487 008
Amount: 50 µg
Price: $420.00
Cat. No. HS-487 008 50 µg purified recombinant IgG, lyophilized. Albumin and azide were added for stabilization. For reconstitution add 50 µl H2O to get a 1mg/ml solution in PBS. Then aliquot and store at -20°C to -80°C until use.
Antibodies should be stored at +4°C when still lyophilized. Do not freeze!
Applications
 
WB: not tested yet
IP: not tested yet
ICC: not tested yet
IHC: not tested yet
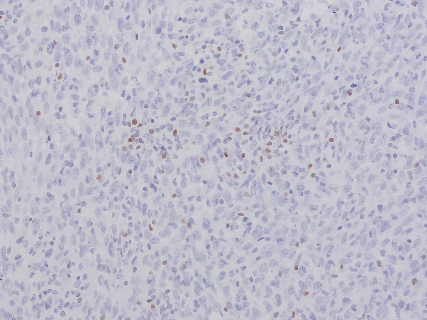
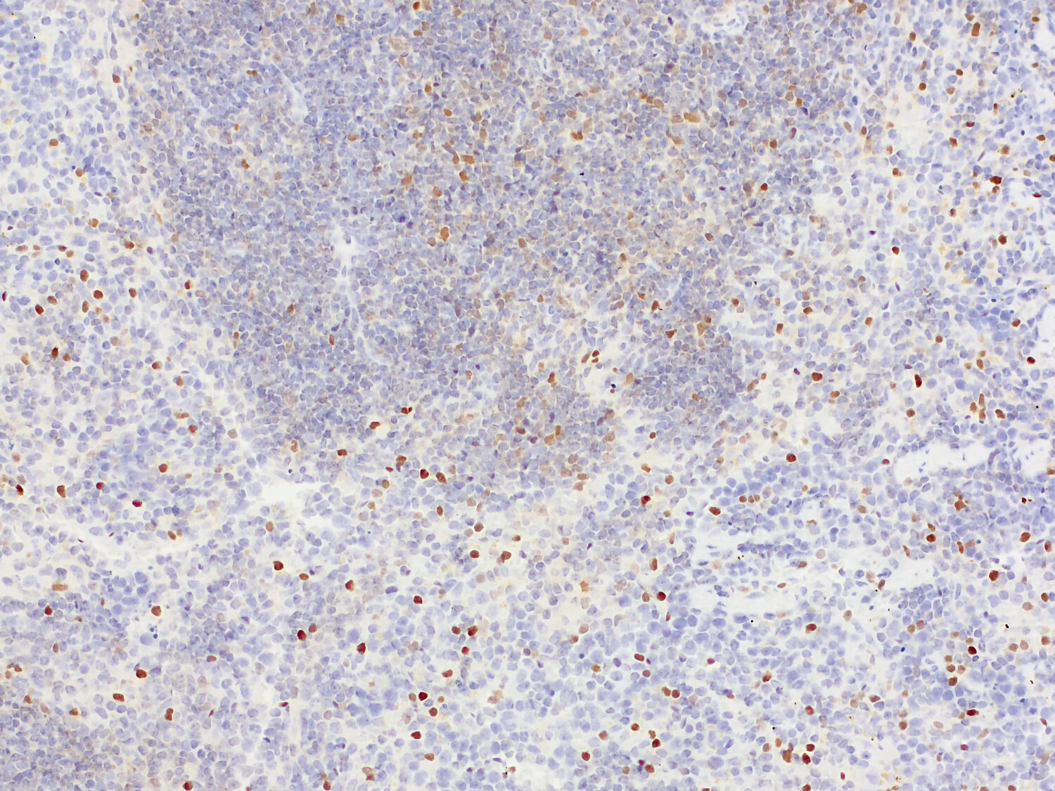
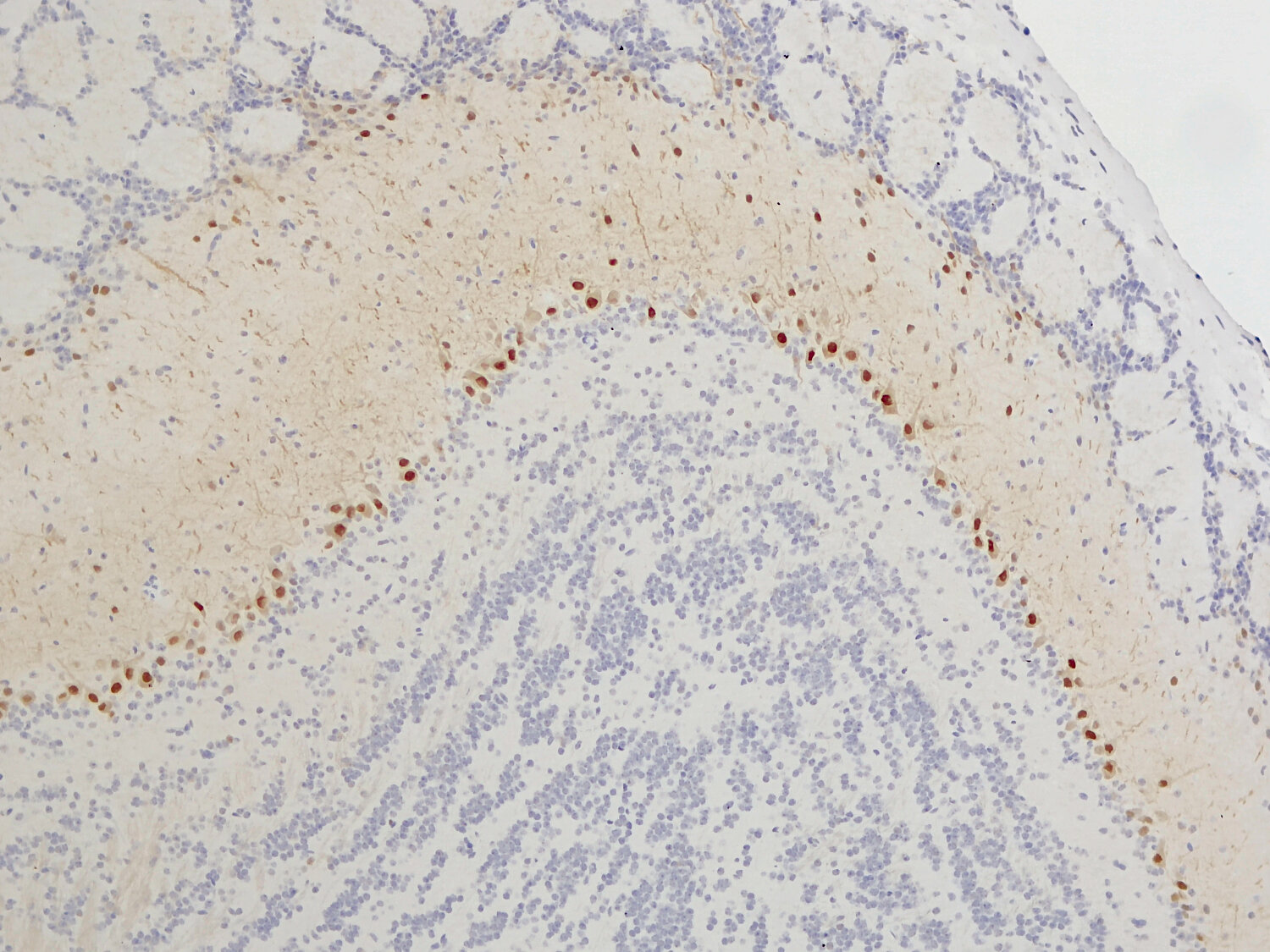
IHC-P (FFPE): 1 : 200 (see remarks) gallery  

Western blot (WB); separation of proteins by PAGE and subsequent transfer to a membrane. Detection of target molecules is carried out with antibodies. Some antibodies require special sample preparation steps. For details, please refer to the “Remarks” section.

Immunoprecipitation (IP); Immunoisolation or pulldown of a target molecule using an antibody. For details and product specific hints, please refer to the ”Remarks” section.

Immunocytochemistry (ICC) on 4% PFA fixed cells. Immunoreactivity is usually revealed by fluorescence. Some antibodies require special fixation methods. For details, please refer to the “Remarks” section.

Immunohistochemistry (IHC) on 4% PFA perfusion fixed tissue with 24h PFA post fixation. Immunoreactivity is usually revealed by fluorescence or a chromogenic substrate. Some antibodies require special fixation methods or antigen retrieval steps. For details, please refer to the ”Remarks” section.

Immunohistochemistry (IHC-P) of formalin fixed, paraffin embedded (FFPE) tissue (some antibodies require special antigen retrieval steps, please refer to the ”Remarks” section). Immunoreactivity is usually revealed by fluorescence or a chromogenic substrate.

Clone Rb87E12
Subtype IgG1 (κ light chain)
Immunogen Synthetic peptide corresponding to residues surrounding AA 470 of mouse T-bet (UniProt Id: Q9JKD8)
Reactivity Reacts with: mouse (Q9JKD8).
No signal: human (Q9UL17), rat.
Other species not tested yet.
Remarks

This antibody is a chimeric antibody based on the monoclonal rat antibody clone SY-87E12. The constant regions of the heavy and light chains have been replaced by rabbit specific sequences. Therefore, the antibody can be used with standard anti-rabbit secondary reagents. The antibody has been expressed in mammalian cells.
IHC-P (FFPE): Antigen retrieval with Tris-EDTA buffer pH 9 is recommended for chromogenic detection.
For chromogenic detection, an optimized AGR time of 20 minutes is recommended for best results.
Antigen retrieval with Tris-EDTA buffer pH 9 is recommended for fluorescent detection.
For fluorescent detection, an optimized AGR time of 20 minutes is recommended for best results.
The antibody shows some unspecific staining in mouse cerebellum.

Data sheet Datasheet hs-487_008
Important information
This product belongs to the HistoSure product line of antibodies developed for and extensively tested in FFPE tissues.
For more information please visit our HistoSure brand website.
Cat. No.: HS-487 008
Amount: 50 µg
Price: $420.00

Nuclear T-bet/Tbx-21 expression (red) is detected in CD4-positive T cells (green) in a Toxoplasma (T.) gondii infected mouse liver section

Background

T-bet (also known as Tbx21) belongs to the T-box subfamily Tbr1, and is an important transcription factor for the immune system. T-bet is a potent transactivator of the IFNγ gene and its expression correlates with IFNγ expression in Th1 cells, NK cells, and B cells (1). In CD4 T cells, Th1 and Th2 lineage commitment is regulated by opposing actions of T-bet and GATA-3 (2). T-bet promotes CD4 Th1 differentiation and represses alternative cell fates like Th2, or Th17, whereas GATA-3 is the lineage determining transcription factor for Th2 cells (2). CD8+ T cells require T-bet expression to differentiate into effector cells (3). In NK cells, T-bet expression is required for NK cell maturation (4).

Certificates

ISO 9001 2015 Quality Management System and Green Lab Platinum certification level for sustaining laboratory processes.

Newsletter

Sign up for our newsletter and get the latest updates and news.
 

Please provide a valid E-Mail-Address
Please provide a valid First name
Please provide a valid Last name