Galectin-3 antibody mouse specific - HS-477 017 K.O.

Galectin-3 is a β-galactoside-binding lectin involved in host defense
Rat monoclonal purified IgG
Cat. No.: HS-477 017
Amount: 100 µg
Price: $420.00
Cat. No. HS-477 017 100 µg purified IgG, lyophilized. Albumin and azide were added for stabilization. For reconstitution add 100 µl H2O to get a 1mg/ml solution in PBS. Then aliquot and store at -20°C to -80°C until use.
Antibodies should be stored at +4°C when still lyophilized. Do not freeze!
Applications
 
WB: 1 : 1000 (AP staining) gallery  
IP: not tested yet
ICC: not tested yet
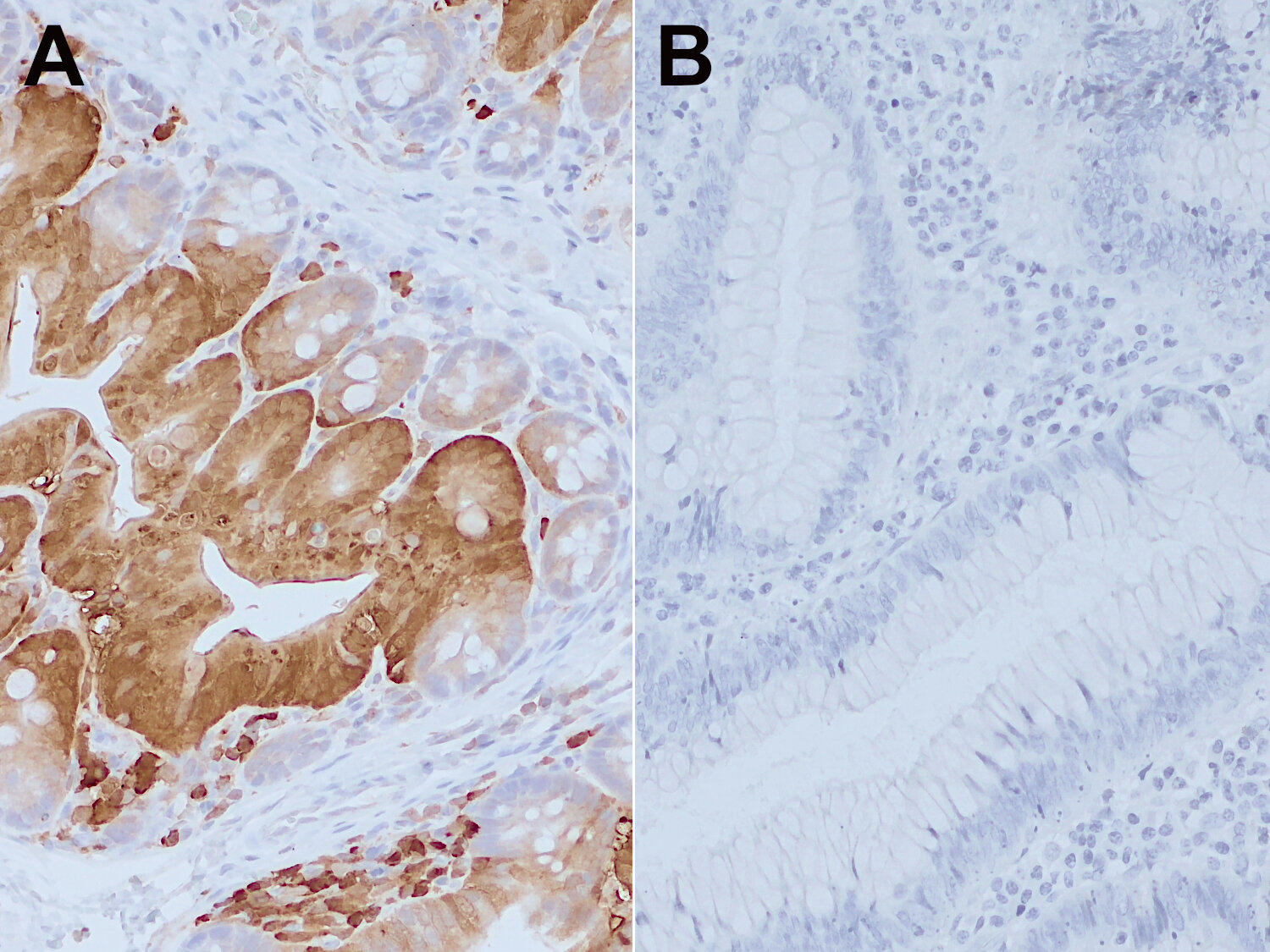
IHC: 1 : 500 gallery  
IHC-P (FFPE): 1 : 1000 gallery  
IHC-Fr: 1 : 500 (see remarks) gallery  

Western blot (WB); separation of proteins by PAGE and subsequent transfer to a membrane. Detection of target molecules is carried out with antibodies. Some antibodies require special sample preparation steps. For details, please refer to the “Remarks” section.

Immunoprecipitation (IP); Immunoisolation or pulldown of a target molecule using an antibody. For details and product specific hints, please refer to the ”Remarks” section.

Immunocytochemistry (ICC) on 4% PFA fixed cells. Immunoreactivity is usually revealed by fluorescence. Some antibodies require special fixation methods. For details, please refer to the “Remarks” section.

Immunohistochemistry (IHC) on 4% PFA perfusion fixed tissue with 24h PFA post fixation. Immunoreactivity is usually revealed by fluorescence or a chromogenic substrate. Some antibodies require special fixation methods or antigen retrieval steps. For details, please refer to the ”Remarks” section.

Immunohistochemistry (IHC-P) of formalin fixed, paraffin embedded (FFPE) tissue (some antibodies require special antigen retrieval steps, please refer to the ”Remarks” section). Immunoreactivity is usually revealed by fluorescence or a chromogenic substrate.

Immunohistochemistry on fresh frozen (IHC-Fr) cryo-tissue-sections. In contrast to standard PFA perfusion fixed tissues, fresh frozen cryo-tissue-sections can be variably postfixed with alcohols, acetone or PFA. Alcohol or acetone fixation is e.g. of advantage for antigens masked by PFA crosslinking. For recommended postfixation, please refer to the ”Remarks” section. Immunoreactivity is usually revealed by fluorescence or a chromogenic substrate.

Clone SY-17F7
Subtype IgG2a (κ light chain)
Immunogen Synthetic peptide corresponding to residues near the amino terminus of mouse Galectin-3 (UniProt Id: P16110)
Reactivity Reacts with: mouse (P16110).
No signal: human (P17931), rat.
Other species not tested yet.
Specificity K.O. validated
Remarks

IHC-Fr: 4% formaldehyde/PFA fixation is recommended.

Data sheet Datasheet hs-477_017
Cat. No.: HS-477 017
Amount: 100 µg
Price: $420.00

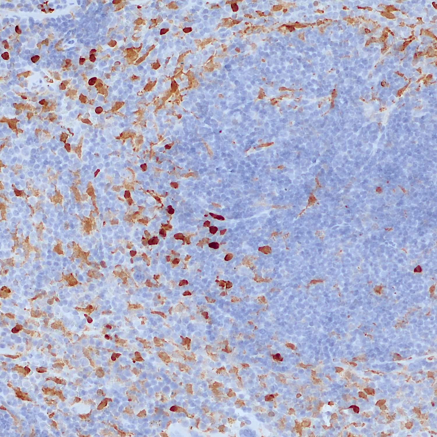
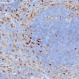
Galectin-3 is expressed in red pulp macrophages in the spleen

Background

Galectin-3 (Gal-3, Mac-2) is a β-galactoside binding protein that is predominantly located in the cytoplasm and shuttles into the nucleus. In addition, it is secreted to the cell surface and into biological fluids. Depending on its localization, it exerts pleiotropic biological functions like cell growth, cell differentiation, inflammation, fibrogenesis, migration, apoptosis, and host defense (1). It is also involved in cancer pathogenesis, proliferation, and spreading of metastasis (2). Galectin-3 is highly expressed in the covering epithelia of the digestive tract and the urinary system (3) and plays important roles in the organization of renal and intestinal cells. Furthermore, Galectin-3 has been identified in a variety of other cell types including fibroblasts, keratinocytes, granulocytes, dendritic cells, and macrophages (2). Galectin-3 is expressed by certain tissue-resident macrophages such as Kupffer cells in the liver, red pulp macrophages in the spleen, and alveolar macrophages in the lung (3). In the brain, Galectin-3 is abundant in activated microglia but not expressed in resting cells. Following brain injury, Galectin-3 triggers anti-inflammatory properties of microglia (4). In Alzheimer’s disease, Gal-3 expression is strictly associated with microglial cell activation around Aβ plaques. In stroke, Gal-3 was found to be expressed primarily in proinflammatory microglial cells (5). 

Certificates

ISO 9001 2015 Quality Management System and Green Lab Platinum certification level for sustaining laboratory processes.

Newsletter

Sign up for our newsletter and get the latest updates and news.
 

Please provide a valid E-Mail-Address
Please provide a valid First name
Please provide a valid Last name