Tailor-made Antibodies
and Tools for Life Science
Home | | | | | Technical Support

VCAM1 antibody mouse specific - HS-470 004

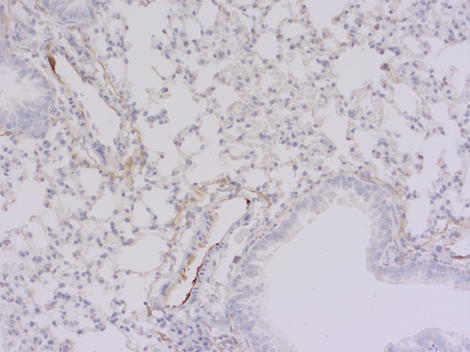
VCAM1 is expressed by cytokine activated endothelium
Guinea pig polyclonal antiserum
Cat. No.: HS-470 004
Amount: 100 µl
Price: $355.00
Cat. No. HS-470 004 100 µl antiserum, lyophilized. For reconstitution add 100 µl H2O, then aliquot and store at -20°C until use.
Antibodies should be stored at +4°C when still lyophilized. Do not freeze!
Applications
 
WB: 1 : 1000 (AP staining) gallery  
IP: not tested yet
ICC: not tested yet
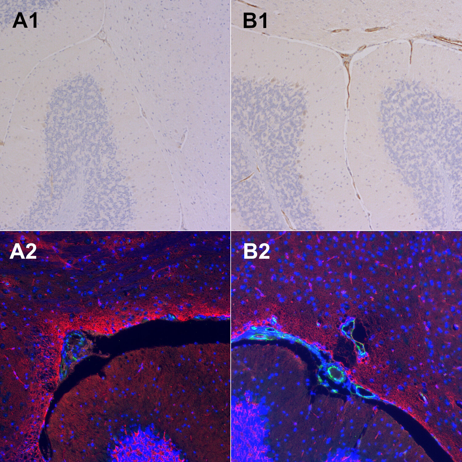
IHC: 1 : 500 (see remarks) gallery  
IHC-P: 1 : 500 up to 1 : 750 gallery  

Western blot (WB); separation of proteins by PAGE and subsequent transfer to a membrane. Detection of target molecules is carried out with antibodies. Some antibodies require special sample preparation steps. For details, please refer to the “Remarks” section.

Immunoprecipitation (IP); Immunoisolation or pulldown of a target molecule using an antibody. For details and product specific hints, please refer to the ”Remarks” section.

Immunocytochemistry (ICC) on 4% PFA fixed cells. Immunoreactivity is usually revealed by fluorescence. Some antibodies require special fixation methods. For details, please refer to the “Remarks” section.

Immunohistochemistry (IHC) on 4% PFA perfusion fixed tissue with 24h PFA post fixation. Immunoreactivity is usually revealed by fluorescence or a chromogenic substrate. Some antibodies require special fixation methods or antigen retrieval steps. For details, please refer to the ”Remarks” section.

Immunohistochemistry (IHC-P) of formalin fixed, paraffin embedded (FFPE) tissue (some antibodies require special antigen retrieval steps, please refer to the ”Remarks” section). Immunoreactivity is usually revealed by fluorescence or a chromogenic substrate.

Immunogen Synthetic peptide corresponding to AA 108 to 128 from mouse Vcam1 (UniProt Id: Q3UPN1)
Reactivity Reacts with: mouse (Q3UPN1), rat (P29534).
No signal: human (P19320).
Other species not tested yet.
Remarks

IHC: Antigen retrieval with citrate buffer pH 6 is required.

Data sheet Datasheet hs-470_004
Important information
This product belongs to the HistoSure product line of antibodies developed for and extensively tested in FFPE tissues.
For more information please visit our HistoSure brand website.
Cat. No.: HS-470 004
Amount: 100 µl
Price: $355.00

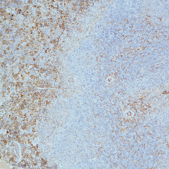
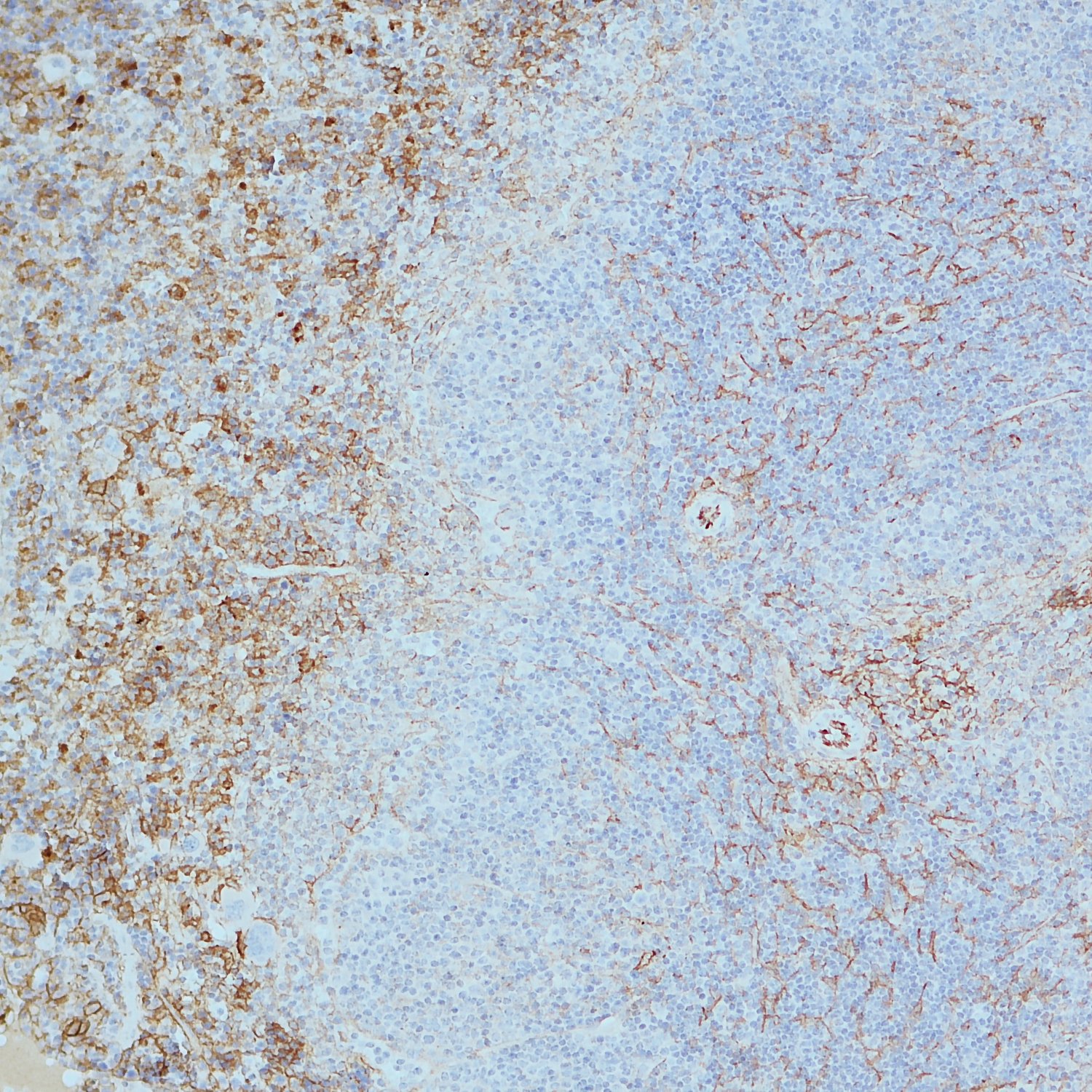
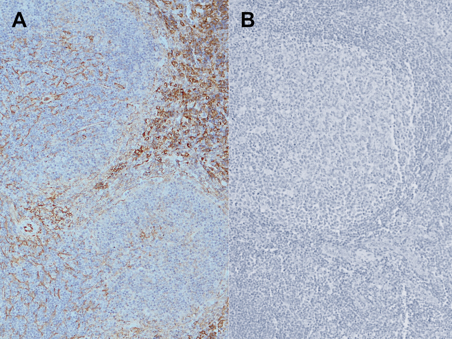
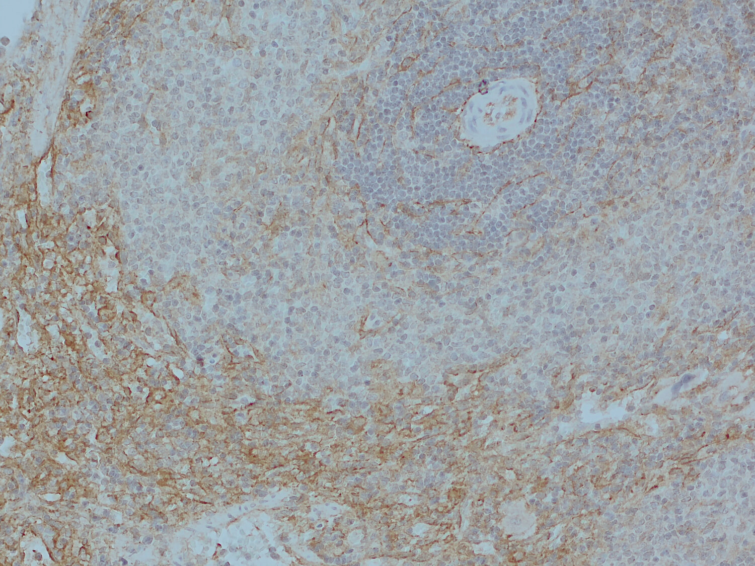
Immunohistochemical analysis of paraffin-embedded mouse spleen using VCAM-1 (mouse and rat specific)

Background

Vascular cell adhesion molecule 1 (VCAM1 or CD106) is an endothelial adhesion molecule of the Ig gene superfamily, that regulates leukocyte migration from the blood into tissues (1). Expression of VCAM1 is induced on endothelial cells during inflammatory diseases in response to a number of inflammatory stimuli, including TNFα, lipopolysaccharide or high levels of reactive oxygen species (2). VCAM1 expression in hematopoietic cells is restricted to cells confined to tissues e.g., red pulp macrophages and follicular dendritic cells in the spleen, whereas circulating cells are virtually devoid of VCAM1 (3). VCAM1 has been found to be implicated in various immunological disorders, including rheumatoid arthritis, transplant rejection and cancer and is therefore a potential therapeutic target (4).

Certificates

ISO 9001 2015 Quality Management System and Green Lab Platinum certification level for sustaining laboratory processes.

Newsletter

Sign up for our newsletter and get the latest updates and news.
 

Please provide a valid E-Mail-Address
Please provide a valid First name
Please provide a valid Last name