Tailor-made Antibodies
and Tools for Life Science
Home | | | | | Technical Support

CD19 antibody human specific - HS-439 103

CD19 is a B-lymphocyte antigen
Rabbit polyclonal purified antibody
Cat. No.: HS-439 103
Amount: 50 µg
Price: $375.00
Cat. No. HS-439 103 50 µg specific antibody, lyophilized. Affinity purified with the immunogen. Albumin and azide were added for stabilization. For reconstitution add 50 µl H2O to get a 1mg/ml solution in PBS. Then aliquot and store at -20°C to -80°C until use.
Antibodies should be stored at +4°C when still lyophilized. Do not freeze!
Applications
 
WB: 1 : 1000 (AP staining) gallery  
IP: not tested yet
ICC: not tested yet
IHC: not tested yet
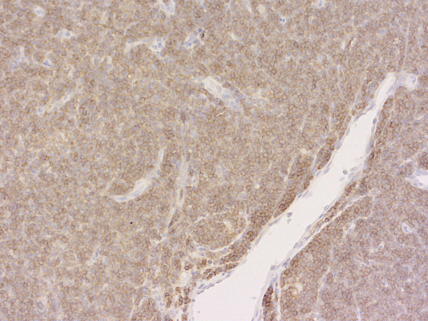
IHC-P: 1 : 400 gallery  

Western blot (WB); separation of proteins by PAGE and subsequent transfer to a membrane. Detection of target molecules is carried out with antibodies. Some antibodies require special sample preparation steps. For details, please refer to the “Remarks” section.

Immunoprecipitation (IP); Immunoisolation or pulldown of a target molecule using an antibody. For details and product specific hints, please refer to the ”Remarks” section.

Immunocytochemistry (ICC) on 4% PFA fixed cells. Immunoreactivity is usually revealed by fluorescence. Some antibodies require special fixation methods. For details, please refer to the “Remarks” section.

Immunohistochemistry (IHC) on 4% PFA perfusion fixed tissue with 24h PFA post fixation. Immunoreactivity is usually revealed by fluorescence or a chromogenic substrate. Some antibodies require special fixation methods or antigen retrieval steps. For details, please refer to the ”Remarks” section.

Immunohistochemistry (IHC-P) of formalin fixed, paraffin embedded (FFPE) tissue (some antibodies require special antigen retrieval steps, please refer to the ”Remarks” section). Immunoreactivity is usually revealed by fluorescence or a chromogenic substrate.

Immunogen Synthetic peptide corresponding to AA 536 to 556 from human CD19 (UniProt Id: P15391)
Reactivity Reacts with: human (P15391).
No signal: mouse (P25918).
Other species not tested yet.
Data sheet Datasheet hs-439_103
Important information
This product belongs to the HistoSure product line of antibodies developed for and extensively tested in FFPE tissues.
For more information please visit our HistoSure brand website.
Cat. No.: HS-439 103
Amount: 50 µg
Price: $375.00

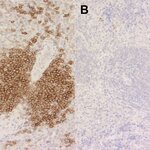
Immunohistochemical staining of B-cells in human spleen (left) but not in mouse spleen (right) using a human-specific anti-CD19 antibody.

Background

CD19 (Cluster of Differentiation 19) is a B cell-restricted signal-transduction molecule that plays an important role in the regulation of development, activation, and differentiation of B-lymphocytes. CD19 is considered as a biomarker for B-cells because of its continued expression from very early B cell development stages, being evident already on pro-B cells and on all later B cell stages, until plasma cell terminal differentiation, when its expression is lost. In complex with CD21 (complement receptor-2), CD81 and CD225 (Leu-13), CD19 functions as a dominant signaling receptor on the surface of mature B cells (1). CD19 is instrumental in B cell homeostasis and lowers the threshold of B cell receptor crosslinking necessary to effect B-cell activation and sustain proliferation upon antigen encounter (2). Dysregulated CD19 expression has been implicated in several autoimmune diseases and CD19 is expressed in most acute lymphoblastic leukemias (ALL), chronic lymphocytic leukemias (CLL) and other B cell lymphomas (3). Therefore, CD19 has gained attention as a potential target in the therapy of B-cell malignancies (4).

Certificates

ISO 9001 2015 Quality Management System and Green Lab Platinum certification level for sustaining laboratory processes.

Newsletter

Sign up for our newsletter and get the latest updates and news.
 

Please provide a valid E-Mail-Address
Please provide a valid First name
Please provide a valid Last name