Tailor-made Antibodies
and Tools for Life Science
Home | | | | | Technical Support

CD19 antibody mouse specific - HS-439 008

CD19 is a B-lymphocyte antigen
Rabbit monoclonal recombinant IgG
Cat. No.: HS-439 008
Amount: 50 µg
Price: $420.00
Cat. No. HS-439 008 50 µg purified recombinant IgG, lyophilized. Albumin and azide were added for stabilization. For reconstitution add 50 µl H2O to get a 1mg/ml solution in PBS. Then aliquot and store at -20°C to -80°C until use.
Antibodies should be stored at +4°C when still lyophilized. Do not freeze!
Applications
 
WB: not tested yet
IP: not tested yet
ICC: not tested yet
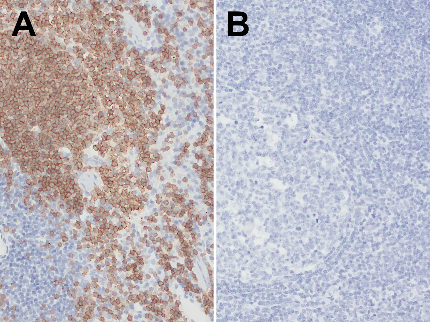
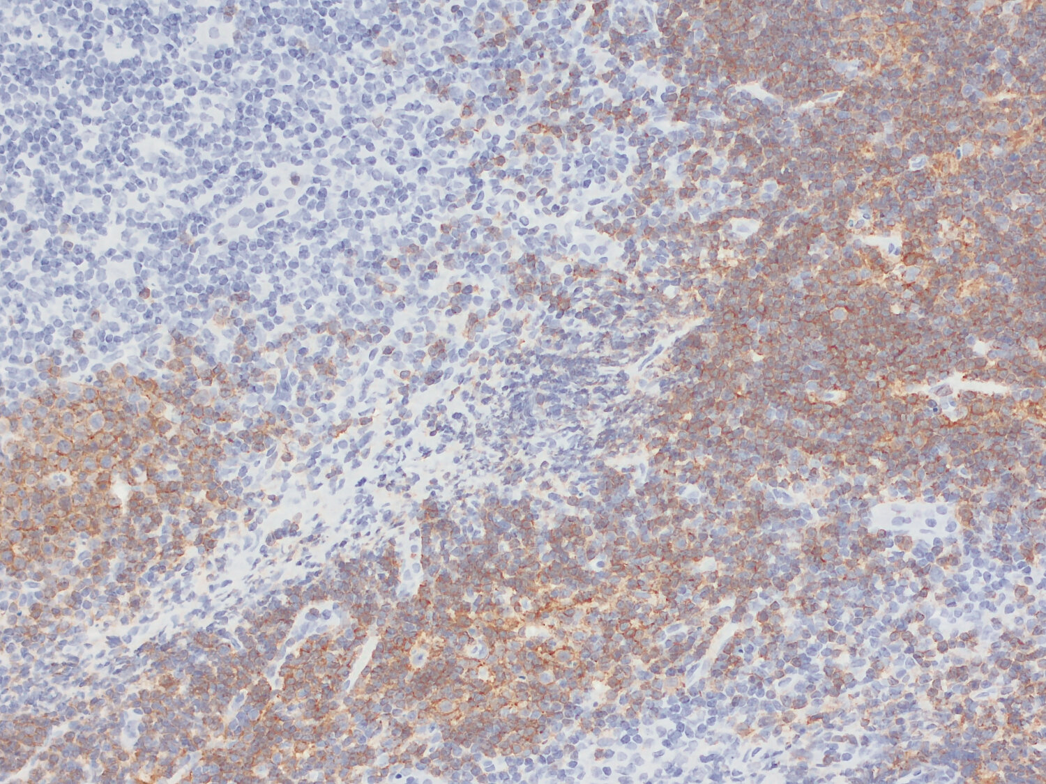
IHC: 1 : 5000 gallery  
IHC-P: 1 : 1000 up to 1 : 5000 (see remarks) gallery  
IHC-Fr: 1 : 5000 (see remarks) gallery  

Western blot (WB); separation of proteins by PAGE and subsequent transfer to a membrane. Detection of target molecules is carried out with antibodies. Some antibodies require special sample preparation steps. For details, please refer to the “Remarks” section.

Immunoprecipitation (IP); Immunoisolation or pulldown of a target molecule using an antibody. For details and product specific hints, please refer to the ”Remarks” section.

Immunocytochemistry (ICC) on 4% PFA fixed cells. Immunoreactivity is usually revealed by fluorescence. Some antibodies require special fixation methods. For details, please refer to the “Remarks” section.

Immunohistochemistry (IHC) on 4% PFA perfusion fixed tissue with 24h PFA post fixation. Immunoreactivity is usually revealed by fluorescence or a chromogenic substrate. Some antibodies require special fixation methods or antigen retrieval steps. For details, please refer to the ”Remarks” section.

Immunohistochemistry (IHC-P) of formalin fixed, paraffin embedded (FFPE) tissue (some antibodies require special antigen retrieval steps, please refer to the ”Remarks” section). Immunoreactivity is usually revealed by fluorescence or a chromogenic substrate.

Immunohistochemistry on fresh frozen (IHC-Fr) cryo-tissue-sections. In contrast to standard PFA perfusion fixed tissues, fresh frozen cryo-tissue-sections can be variably postfixed with alcohols, acetone or PFA. Alcohol or acetone fixation is e.g. of advantage for antigens masked by PFA crosslinking. For recommended postfixation, please refer to the ”Remarks” section. Immunoreactivity is usually revealed by fluorescence or a chromogenic substrate.

Clone Rb26D7
Subtype IgG1 (κ light chain)
Immunogen Synthetic peptide corresponding to residues near the carboxy terminus of mouse CD19 (UniProt Id: P25918)
Reactivity Reacts with: mouse (P25918).
No signal: human (P15391), rat.
Other species not tested yet.
Remarks

This antibody is a chimeric antibody based on the monoclonal rat antibody 26D7E5. The constant regions of the heavy and light chains have been replaced by rabbit specific sequences. The antibody can therefore be used with standard anti-rabbit secondary reagents. The antibody has been expressed in mammalian cells.
IHC-P: For chromogenic detection, an optimized AGR time of 30 minutes is recommended for best results.
For fluorescent detection, an optimized AGR time of 30 minutes is recommended for best results.
IHC-Fr: The following fixatives are possible: methanol, 4% formaldehyde/PFA, methanol-acetone, acetone.

Data sheet Datasheet hs-439_008
Important information
This product belongs to the HistoSure product line of antibodies developed for and extensively tested in FFPE tissues.
For more information please visit our HistoSure brand website.

References for CD19 - HS-439 008

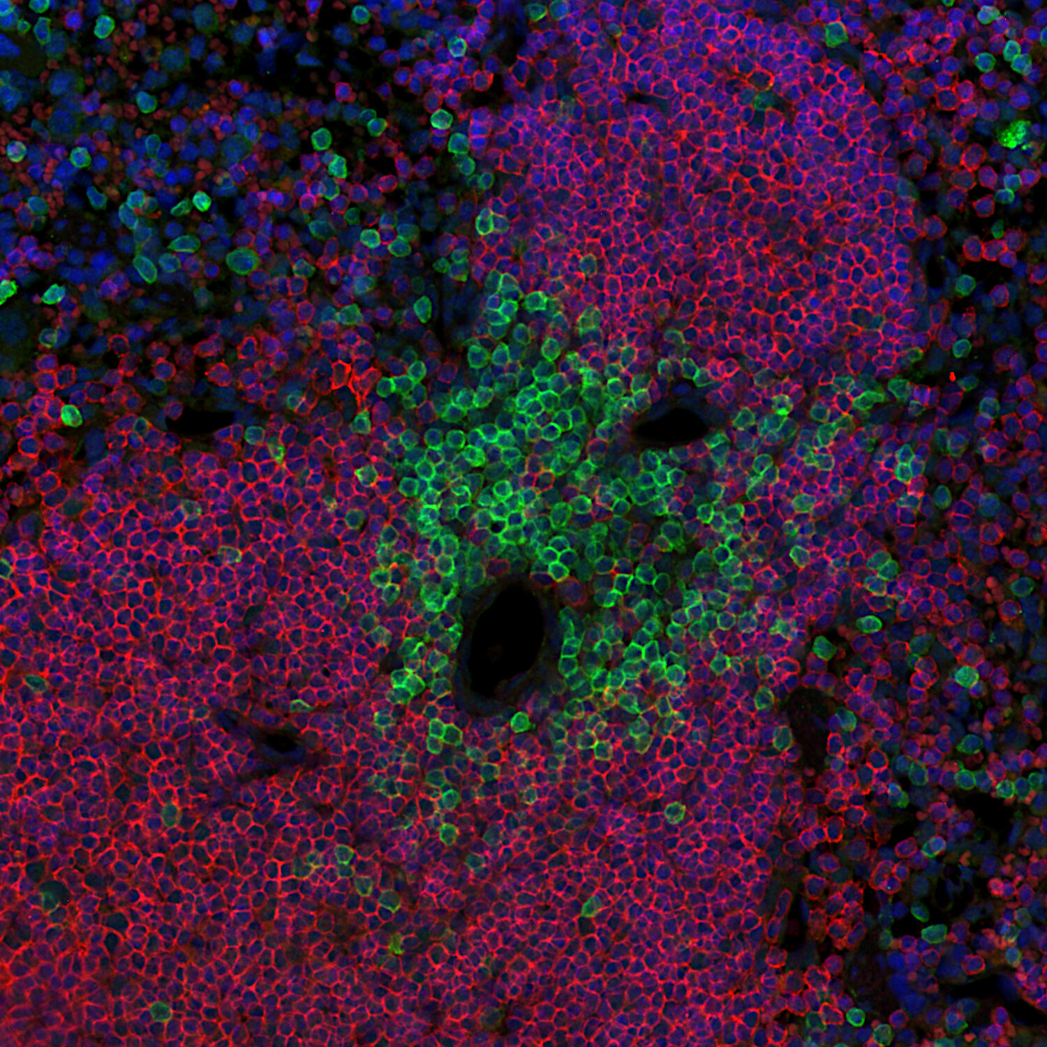
Local M1 Macrophage Reprogramming with Gluconic Acid-Coated Selenium Nanoparticles.
Liao ZX, Ou DL, Hsu CL, Lu LN, Wen CH, Lu L, Chiu CL, Yang PC, Tseng SJ
International journal of nanomedicine (2025) 20: 14439-14455. HS-439 008 IHC-P; tested species: mouse
Cat. No.: HS-439 008
Amount: 50 µg
Price: $420.00

Fluorescent double staining for CD19 (red) and CD3e (green) visualizes B-cell and T-cell populations in the mouse spleen

Local M1 Macrophage Reprogramming with Gluconic Acid-Coated Selenium Nanoparticles.
Liao ZX, Ou DL, Hsu CL, Lu LN, Wen CH, Lu L, Chiu CL, Yang PC, Tseng SJ
International journal of nanomedicine (2025) 20: 14439-14455. HS-439 008 IHC-P; tested species: mouse
Background

CD19 (Cluster of Differentiation 19) is a B cell-restricted signal-transduction molecule that plays an important role in the regulation of development, activation, and differentiation of B-lymphocytes. CD19 is considered as a biomarker for B-cells because of its continued expression from very early B cell development stages, being evident already on pro-B cells and on all later B cell stages, until plasma cell terminal differentiation, when its expression is lost. In complex with CD21 (complement receptor-2), CD81 and CD225 (Leu-13), CD19 functions as a dominant signaling receptor on the surface of mature B cells (1). CD19 is instrumental in B cell homeostasis and lowers the threshold of B cell receptor crosslinking necessary to effect B-cell activation and sustain proliferation upon antigen encounter (2). Dysregulated CD19 expression has been implicated in several autoimmune diseases and CD19 is expressed in most acute lymphoblastic leukemias (ALL), chronic lymphocytic leukemias (CLL) and other B cell lymphomas (3). Therefore, CD19 has gained attention as a potential target in the therapy of B-cell malignancies (4).

Certificates

ISO 9001 2015 Quality Management System and Green Lab Platinum certification level for sustaining laboratory processes.

Newsletter

Sign up for our newsletter and get the latest updates and news.
 

Please provide a valid E-Mail-Address
Please provide a valid First name
Please provide a valid Last name