Tailor-made Antibodies
and Tools for Life Science
Home | | | | | Technical Support

CD45 antibody human specific - HS-427 117

CD45 is a large abundant leukocyte-specific cell surface glycoprotein
Rat monoclonal purified IgG
Cat. No.: HS-427 117
Amount: 100 µg
Price: $420.00
Cat. No. HS-427 117 100 µg purified IgG, lyophilized. Albumin and azide were added for stabilization. For reconstitution add 100 µl H2O to get a 1mg/ml solution in PBS. Then aliquot and store at -20°C to -80°C until use.
Antibodies should be stored at +4°C when still lyophilized. Do not freeze!
Applications
 
WB: not recommended
IP: not tested yet
ICC: not tested yet
IHC: not tested yet
IHC-P: 1 : 100 gallery  

Western blot (WB); separation of proteins by PAGE and subsequent transfer to a membrane. Detection of target molecules is carried out with antibodies. Some antibodies require special sample preparation steps. For details, please refer to the “Remarks” section.

Immunoprecipitation (IP); Immunoisolation or pulldown of a target molecule using an antibody. For details and product specific hints, please refer to the ”Remarks” section.

Immunocytochemistry (ICC) on 4% PFA fixed cells. Immunoreactivity is usually revealed by fluorescence. Some antibodies require special fixation methods. For details, please refer to the “Remarks” section.

Immunohistochemistry (IHC) on 4% PFA perfusion fixed tissue with 24h PFA post fixation. Immunoreactivity is usually revealed by fluorescence or a chromogenic substrate. Some antibodies require special fixation methods or antigen retrieval steps. For details, please refer to the ”Remarks” section.

Immunohistochemistry (IHC-P) of formalin fixed, paraffin embedded (FFPE) tissue (some antibodies require special antigen retrieval steps, please refer to the ”Remarks” section). Immunoreactivity is usually revealed by fluorescence or a chromogenic substrate.

Clone SY-65C7C1
Subtype IgG2a (κ light chain)
Immunogen Synthetic peptide corresponding to residues near the carboxy terminus of human CD45 (UniProt Id: P08575)
Reactivity Reacts with: human (P08575).
No signal: mouse.
Other species not tested yet.
Data sheet Datasheet hs-427_117
Important information
This product belongs to the HistoSure product line of antibodies developed for and extensively tested in FFPE tissues.
For more information please visit our HistoSure brand website.
Cat. No.: HS-427 117
Amount: 100 µg
Price: $420.00

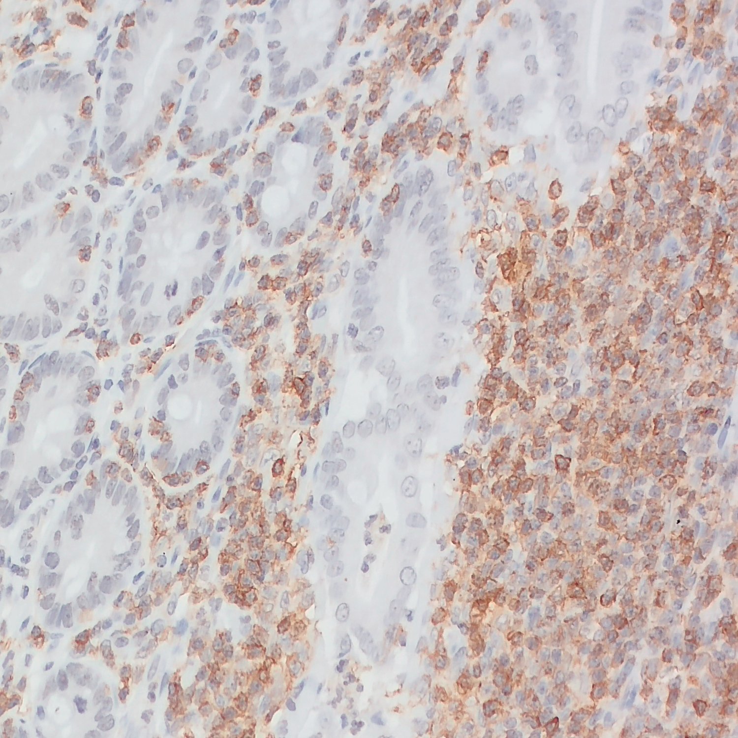
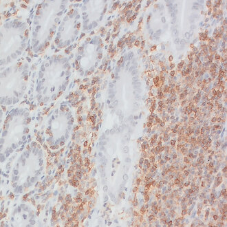
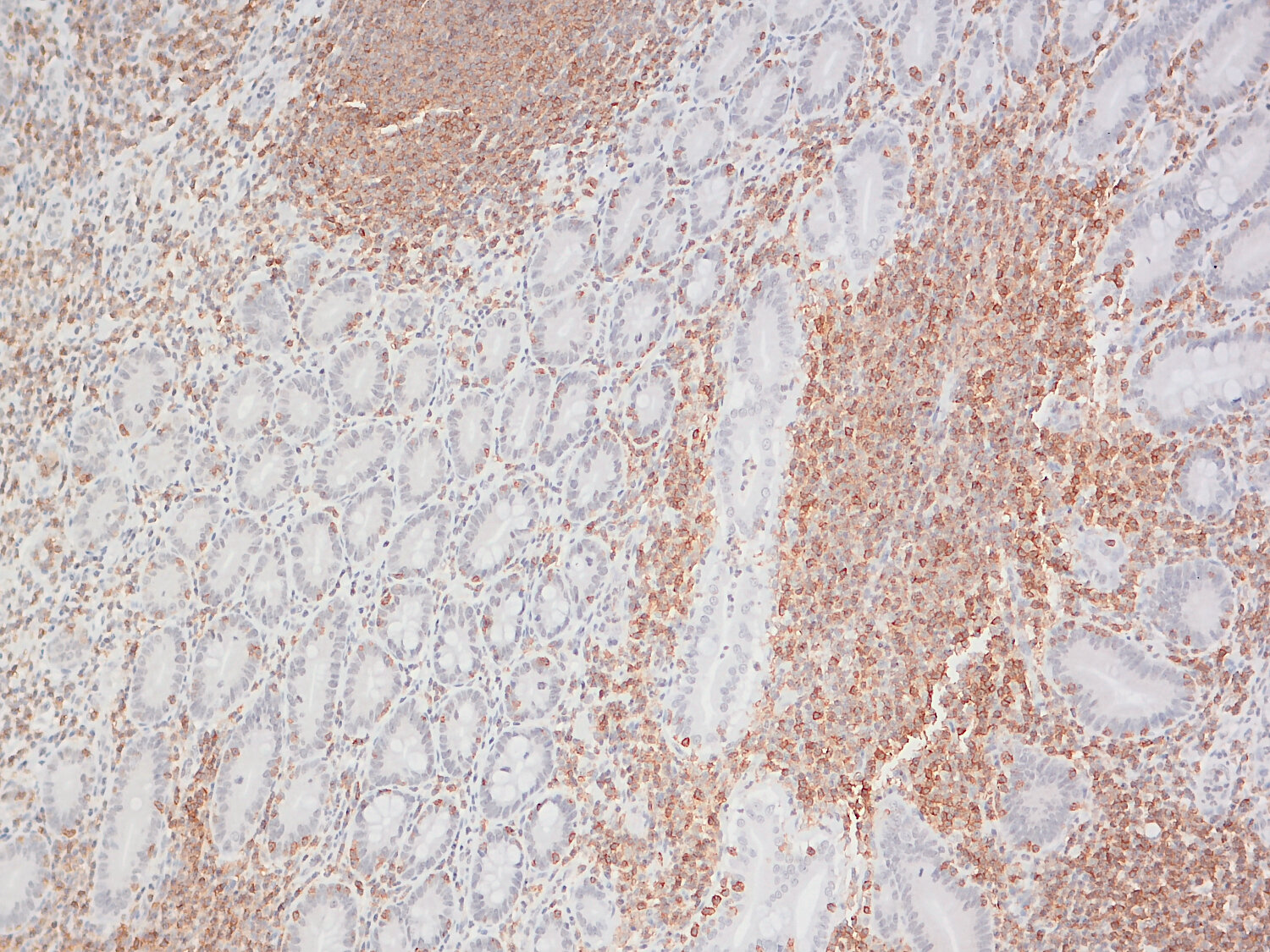
Detection of lymphocytes in human small intestine with rat monoclonal anti-human CD45.

Background

CD45, also designated as Leukocyte Common Antigen (LCA) or protein tyrosine phosphatase receptor type C (PTPRC), is a type I transmembrane protein expressed on all nucleated cells of the hematopoietic system, except mature erythrocytes and platelets (1). Several isoforms of CD45 have been identified which are generated by differential splicing of exons 4, 5, and 6, thereby generating the CD45RA, RB and RC isoforms, respectively (2). Expression of the isoforms differs according to cell type and functional status. The CD45RABC (B220) long isoform is almost exclusively expressed on B cells (3). Naïve human T cells express the high molecular weight isoform CD45RA. Activation of T cells and differentiation to memory T cells is accompanied by exon exclusion for production of the short isoform CD45RO (3). CD45 has been shown to be an essential regulator of T- and B-cell antigen receptor signaling. Thus, CD45-deficient humans and mice develop a severe-combined immunodeficiency (SCID) phenotype (4). In macrophages, CD45 plays a central role in their adhesion, morphology and motility (5).

Certificates

ISO 9001 2015 Quality Management System and Green Lab Platinum certification level for sustaining laboratory processes.

Newsletter

Sign up for our newsletter and get the latest updates and news.
 

Please provide a valid E-Mail-Address
Please provide a valid First name
Please provide a valid Last name