Tailor-made Antibodies
and Tools for Life Science
Home | | | | | Technical Support

Lamin B1 antibody human specific - HS-404 013

LaminB1 is a nuclear lamina protein
Rabbit polyclonal purified antibody
Cat. No.: HS-404 013
Amount: 200 µl
Price: $375.00
Cat. No. HS-404 013 200 µl specific antibody, lyophilized. Affinity purified with the immunogen. Albumin and azide were added for stabilization. For reconstitution add 200 µl H2O. Then aliquot and store at -20°C to -80°C until use.
Antibodies should be stored at +4°C when still lyophilized. Do not freeze!
Applications
 
WB: 1 : 1000 (AP staining) gallery  
IP: not tested yet
ICC: 1 : 100 gallery  
IHC: 1 : 100 (see remarks) gallery  
IHC-P: 1 : 100 gallery  

Western blot (WB); separation of proteins by PAGE and subsequent transfer to a membrane. Detection of target molecules is carried out with antibodies. Some antibodies require special sample preparation steps. For details, please refer to the “Remarks” section.

Immunoprecipitation (IP); Immunoisolation or pulldown of a target molecule using an antibody. For details and product specific hints, please refer to the ”Remarks” section.

Immunocytochemistry (ICC) on 4% PFA fixed cells. Immunoreactivity is usually revealed by fluorescence. Some antibodies require special fixation methods. For details, please refer to the “Remarks” section.

Immunohistochemistry (IHC) on 4% PFA perfusion fixed tissue with 24h PFA post fixation. Immunoreactivity is usually revealed by fluorescence or a chromogenic substrate. Some antibodies require special fixation methods or antigen retrieval steps. For details, please refer to the ”Remarks” section.

Immunohistochemistry (IHC-P) of formalin fixed, paraffin embedded (FFPE) tissue (some antibodies require special antigen retrieval steps, please refer to the ”Remarks” section). Immunoreactivity is usually revealed by fluorescence or a chromogenic substrate.

Immunogen Synthetic peptide corresponding to AA 8 to 19 from human LaminB1 (UniProt Id: P20700)
Reactivity Reacts with: human (P20700), pig.
No signal: mouse (P14733), rat (P70615).
Other species not tested yet.
Remarks

IHC: Antigen retrieval with citrate buffer pH 6 is required.

Data sheet Datasheet hs-404_013
Important information
This product belongs to the HistoSure product line of antibodies developed for and extensively tested in FFPE tissues.
For more information please visit our HistoSure brand website.

References for Lamin B1 - HS-404 013

Mesenchymal stem cells derived from human induced pluripotent stem cells improve the engraftment of myogenic cells by secreting urokinase-type plasminogen activator receptor (uPAR).
Elhussieny A, Nogami K, Sakai-Takemura F, Maruyama Y, Takemura N, Soliman WT, Takeda S, Miyagoe-Suzuki Y
Stem cell research & therapy (2021) 121: 532. HS-404 013 IHC; tested species: human
LZTR1 deficiency exerts high metastatic potential by enhancing sensitivity to EMT induction and controlling KLHL12-mediated collagen secretion.
Abe T, Kanno SI, Niihori T, Terao M, Takada S, Aoki Y
Cell death & disease (2023) 148: 556. HS-404 013 IHC-P; tested species: human
Surgical implantation of human adipose derived stem cells attenuates experimentally induced hepatic fibrosis in rats.
Nomura M, George J, Hashizume C, Saito T, Ueda Y, Ishigaki Y, Tsuchishima M, Tsutsumi M
Molecular medicine (Cambridge, Mass.) (2022) 281: 143. HS-404 013 IHC-P; tested species: human
Cat. No.: HS-404 013
Amount: 200 µl
Price: $375.00

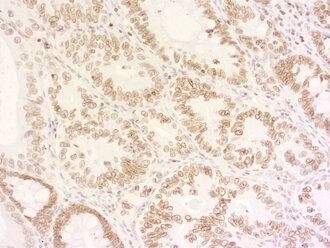
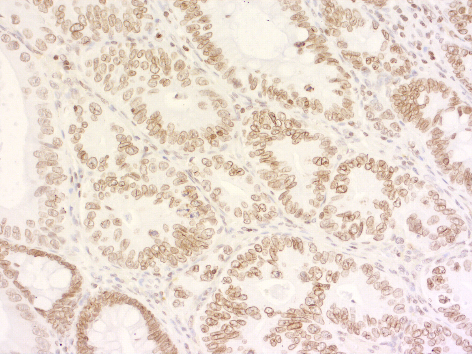
Detection of nuclear Lamin B1 in human colon cancer

Mesenchymal stem cells derived from human induced pluripotent stem cells improve the engraftment of myogenic cells by secreting urokinase-type plasminogen activator receptor (uPAR).
Elhussieny A, Nogami K, Sakai-Takemura F, Maruyama Y, Takemura N, Soliman WT, Takeda S, Miyagoe-Suzuki Y
Stem cell research & therapy (2021) 121: 532. HS-404 013 IHC; tested species: human
LZTR1 deficiency exerts high metastatic potential by enhancing sensitivity to EMT induction and controlling KLHL12-mediated collagen secretion.
Abe T, Kanno SI, Niihori T, Terao M, Takada S, Aoki Y
Cell death & disease (2023) 148: 556. HS-404 013 IHC-P; tested species: human
Surgical implantation of human adipose derived stem cells attenuates experimentally induced hepatic fibrosis in rats.
Nomura M, George J, Hashizume C, Saito T, Ueda Y, Ishigaki Y, Tsuchishima M, Tsutsumi M
Molecular medicine (Cambridge, Mass.) (2022) 281: 143. HS-404 013 IHC-P; tested species: human
Background

Lamin B1 (LMNB1) is an intermediate filament-type protein of the nuclear lamina and is ubiquitously expressed throughout development. It plays important roles in many cellular processes like the distribution of heterochromatin and the regulation of gene expression and splicing. The maintenance of LMNB1 protein levels is required for DNA replication and repair and thus mutations in B-type lamins are usually lethal.
Duplication of the LMNB1 gene causes adult-onset autosomal-dominant leukodystrophy (ADLD), a rare neurological disorder in which overexpression of LMNB1 causes progressive central nervous system demyelination. Improper Lamin B1 expression is often present in tumor cells and decreased levels are observed for example in colon cancer, breast cancer and B-cell malignancies. Lamin B1 loss is also a senescence-associated biomarker and distinguishes senescent from proliferating cells in pre-neoplastic lesions or marks senescent cells in various age-related pathologies.

 

Certificates

ISO 9001 2015 Quality Management System and Green Lab Platinum certification level for sustaining laboratory processes.

Newsletter

Sign up for our newsletter and get the latest updates and news.
 

Please provide a valid E-Mail-Address
Please provide a valid First name
Please provide a valid Last name