Tailor-made Antibodies
and Tools for Life Science
Home | | | | | Technical Support

Ki67 antibody human specific - HS-398 002

Ki67 is a marker protein for proliferating cells
Rabbit polyclonal antiserum
Cat. No.: HS-398 002
Amount: 200 µl
Price: $355.00
Cat. No. HS-398 002 200 µl antiserum, lyophilized. For reconstitution add 200 µl H2O, then aliquot and store at -20°C until use.
Antibodies should be stored at +4°C when still lyophilized. Do not freeze!
Applications
 
WB: not tested yet
IP: not tested yet
ICC: not tested yet
IHC: not tested yet
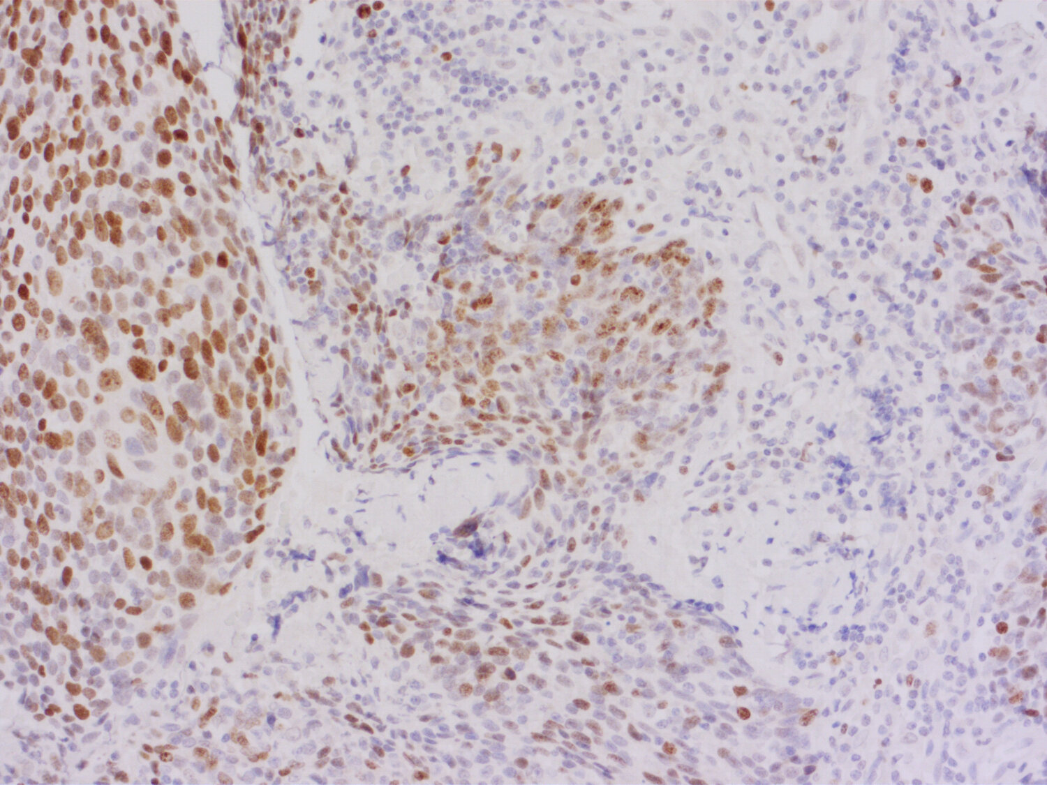
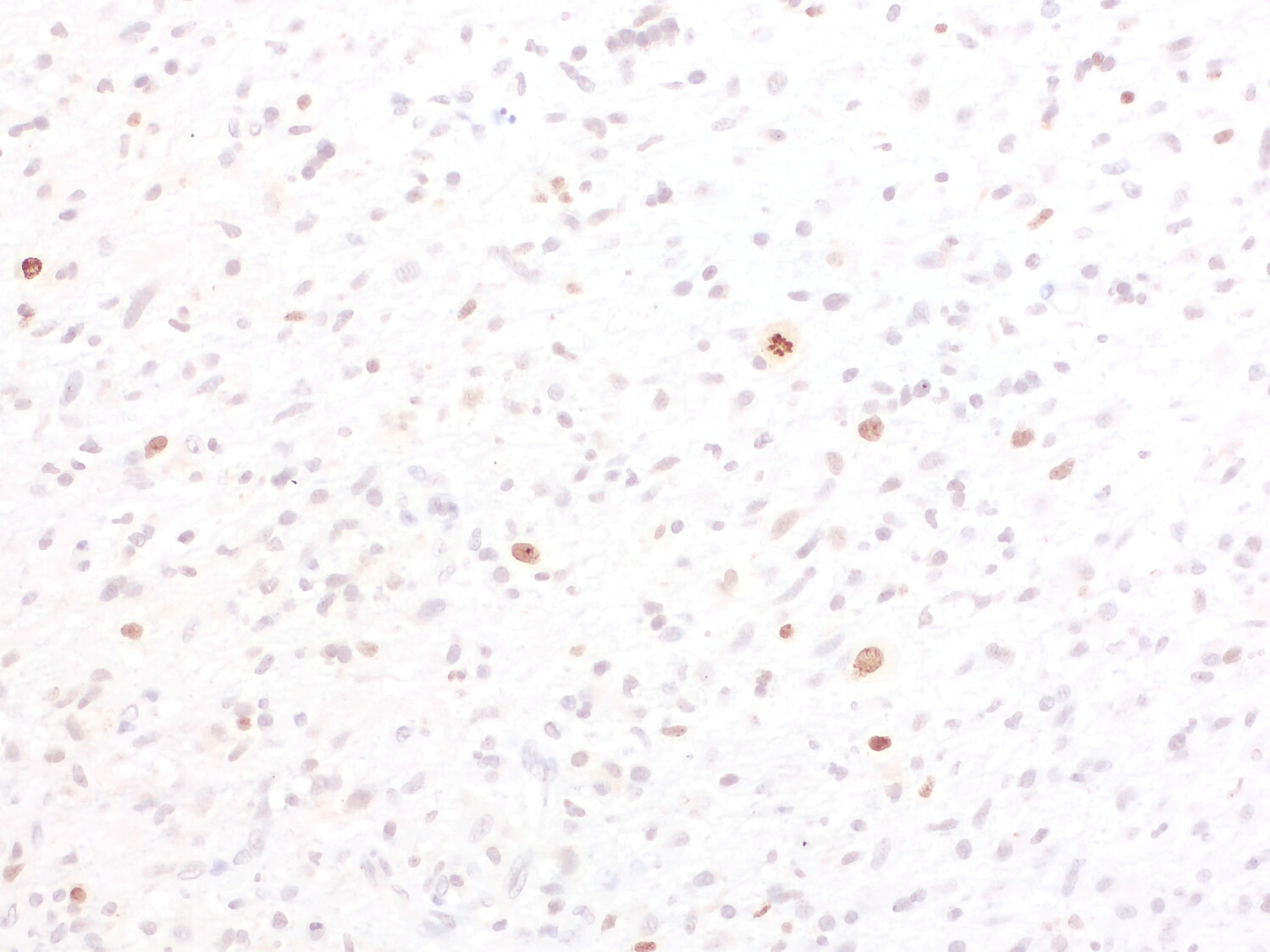
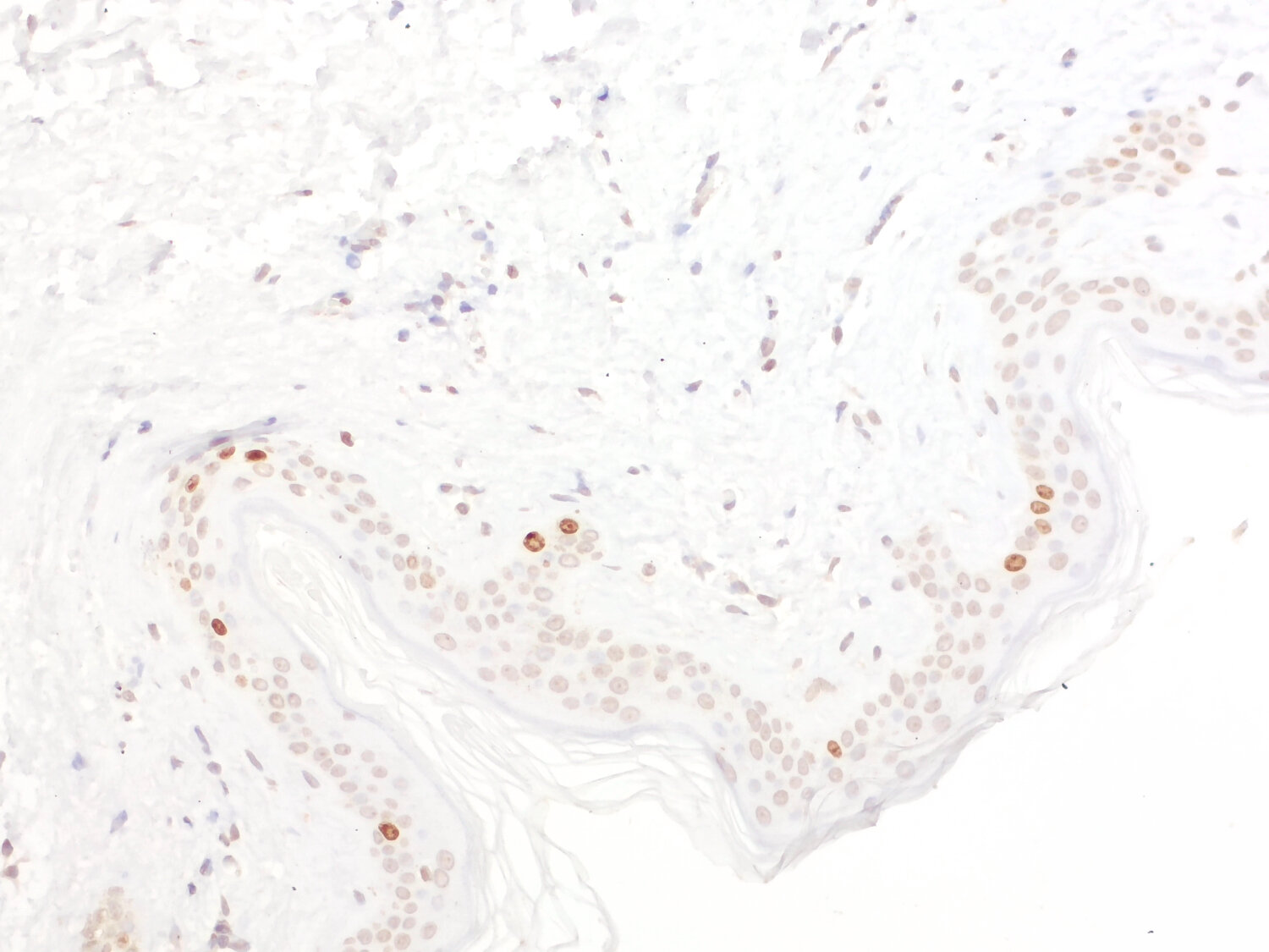
IHC-P (FFPE): 1 : 2000 gallery  

Western blot (WB); separation of proteins by PAGE and subsequent transfer to a membrane. Detection of target molecules is carried out with antibodies. Some antibodies require special sample preparation steps. For details, please refer to the “Remarks” section.

Immunoprecipitation (IP); Immunoisolation or pulldown of a target molecule using an antibody. For details and product specific hints, please refer to the ”Remarks” section.

Immunocytochemistry (ICC) on 4% PFA fixed cells. Immunoreactivity is usually revealed by fluorescence. Some antibodies require special fixation methods. For details, please refer to the “Remarks” section.

Immunohistochemistry (IHC) on 4% PFA perfusion fixed tissue with 24h PFA post fixation. Immunoreactivity is usually revealed by fluorescence or a chromogenic substrate. Some antibodies require special fixation methods or antigen retrieval steps. For details, please refer to the ”Remarks” section.

Immunohistochemistry (IHC-P) of formalin fixed, paraffin embedded (FFPE) tissue (some antibodies require special antigen retrieval steps, please refer to the ”Remarks” section). Immunoreactivity is usually revealed by fluorescence or a chromogenic substrate.

Immunogen Synthetic peptide corresponding to AA 1251 to 1271 from human Ki67 (UniProt Id: P46013)
Reactivity Reacts with: human (P46013).
No signal: mouse (E9PVX6), rat (D4A0Y6).
Other species not tested yet.
Data sheet Datasheet hs-398_002
Important information
This product belongs to the HistoSure product line of antibodies developed for and extensively tested in FFPE tissues.
For more information please visit our HistoSure brand website.
Cat. No.: HS-398 002
Amount: 200 µl
Price: $355.00

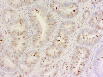
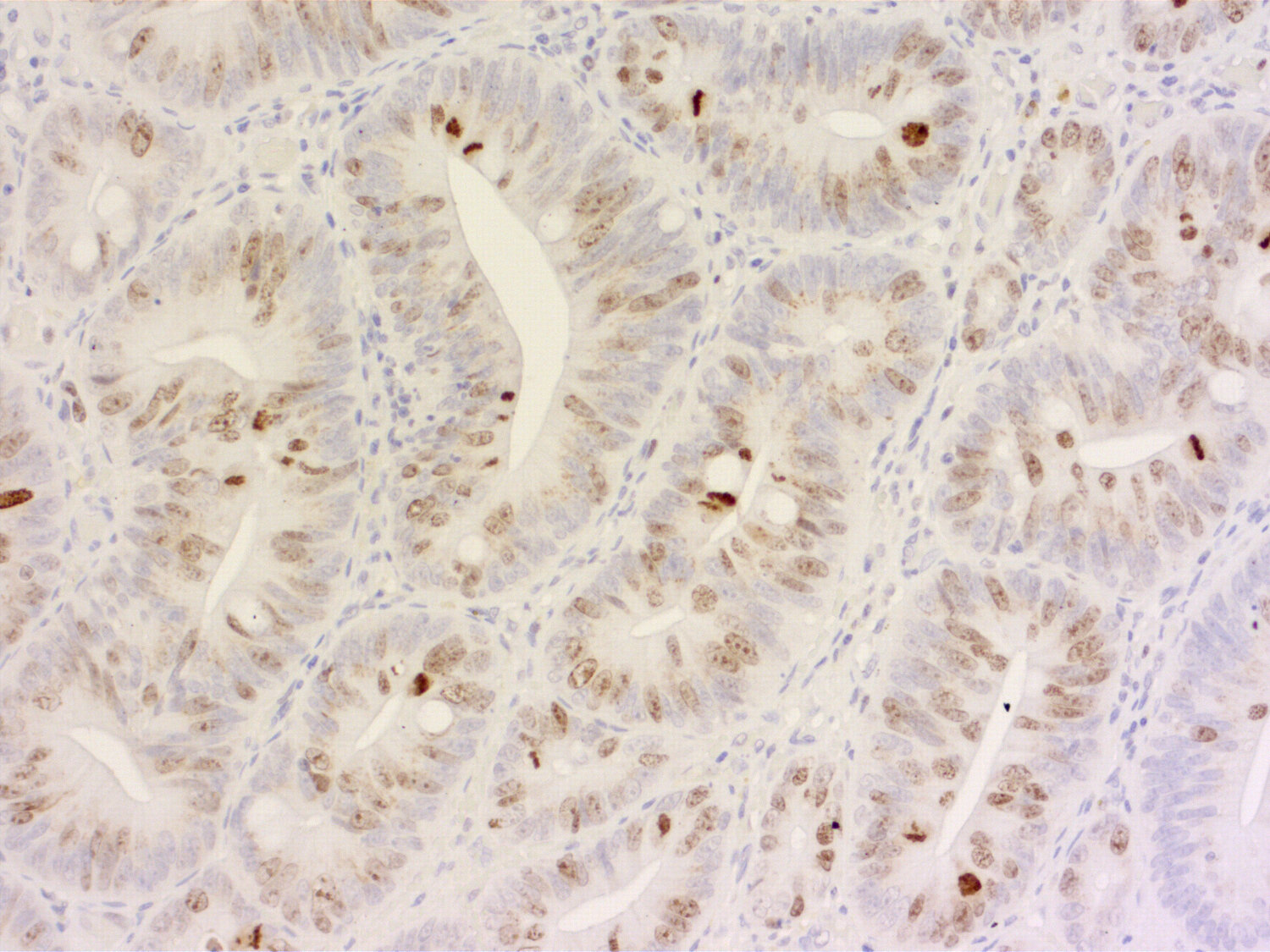
Detection of proliferation antigen Ki-67 in human colon cancer 

Background

Expression of the nuclear protein Ki 67 is strictly associated with cell proliferation and preferentially expressed during the late G1, S, G2 and M phases of the cell cycle. Resting cells (G0 phase) lack Ki 67 expression .
Immunohistochemical detection of Ki 67 is a simple and reproducible method to determine the tumour proliferative index and is a predictive and prognostic biomarker in certain types of human cancer, such as breast cancer, gastric cancer or prostate cancer. Moreover, higher Ki 67 scores may be associated with increased tumor sensitivity to radiation therapy and chemotherapy.
In preclinical and clinical studies Ki 67 expression is used as a pharmacodynamic biomarker. Absence of a decrease in Ki 67 early in treatment might be predictive of therapeutic failure.

Certificates

ISO 9001 2015 Quality Management System and Green Lab Platinum certification level for sustaining laboratory processes.

Newsletter

Sign up for our newsletter and get the latest updates and news.
 

Please provide a valid E-Mail-Address
Please provide a valid First name
Please provide a valid Last name