Tailor-made Antibodies
and Tools for Life Science
Home | | | | | Technical Support

CD8a antibody mouse specific - HS-361 003

CD8a is a T-cell surface glycoprotein
Rabbit polyclonal purified antibody
Cat. No.: HS-361 003
Amount: 200 µl
Price: $380.00
Cat. No. HS-361 003 200 µl specific antibody, lyophilized. Affinity purified with the immunogen. Azide was added before lyophilization. For reconstitution add 200 µl H2O. Then aliquot and store at -20°C to -80°C until use.
Antibodies should be stored at +4°C when still lyophilized. Do not freeze!
Applications
 
WB: 1 : 1000 (AP staining) gallery  
IP: not tested yet
ICC: not tested yet
IHC: 1 : 100 (see remarks) gallery  
IHC-P (FFPE): 1 : 100 gallery  
IHC-Fr: 1 : 100 (see remarks) gallery  

Western blot (WB); separation of proteins by PAGE and subsequent transfer to a membrane. Detection of target molecules is carried out with antibodies. Some antibodies require special sample preparation steps. For details, please refer to the “Remarks” section.

Immunoprecipitation (IP); Immunoisolation or pulldown of a target molecule using an antibody. For details and product specific hints, please refer to the ”Remarks” section.

Immunocytochemistry (ICC) on 4% PFA fixed cells. Immunoreactivity is usually revealed by fluorescence. Some antibodies require special fixation methods. For details, please refer to the “Remarks” section.

Immunohistochemistry (IHC) on 4% PFA perfusion fixed tissue with 24h PFA post fixation. Immunoreactivity is usually revealed by fluorescence or a chromogenic substrate. Some antibodies require special fixation methods or antigen retrieval steps. For details, please refer to the ”Remarks” section.

Immunohistochemistry (IHC-P) of formalin fixed, paraffin embedded (FFPE) tissue (some antibodies require special antigen retrieval steps, please refer to the ”Remarks” section). Immunoreactivity is usually revealed by fluorescence or a chromogenic substrate.

Immunohistochemistry on fresh frozen (IHC-Fr) cryo-tissue-sections. In contrast to standard PFA perfusion fixed tissues, fresh frozen cryo-tissue-sections can be variably postfixed with alcohols, acetone or PFA. Alcohol or acetone fixation is e.g. of advantage for antigens masked by PFA crosslinking. For recommended postfixation, please refer to the ”Remarks” section. Immunoreactivity is usually revealed by fluorescence or a chromogenic substrate.

Immunogen Synthetic peptide corresponding to AA 230 to 247 from mouse CD8a (UniProt Id: P01731)
Reactivity Reacts with: mouse (P01731).
Weaker signal: rat.
No signal: human.
Other species not tested yet.
Remarks

IHC: Antigen retrieval with citrate buffer pH 6 is required.
IHC-Fr: Methanol fixation is recommended.

Data sheet Datasheet hs-361_003
Important information
This product belongs to the HistoSure product line of antibodies developed for and extensively tested in FFPE tissues.
For more information please visit our HistoSure brand website.

References for CD8a - HS-361 003

MS-20 enhances the gut microbiota-associated antitumor effects of anti-PD1 antibody.
Lee PJ, Hung CM, Yang AJ, Hou CY, Chou HW, Chang YC, Chu WC, Huang WY, Kuo WC, Yang CC, Lin KI, et al.
Gut microbes (2024) 161: 2380061. HS-361 003 IHC; tested species: mouse
Common germline variants of the human APOE gene modulate melanoma progression and survival.
Ostendorf BN, Bilanovic J, Adaku N, Tafreshian KN, Tavora B, Vaughan RD, Tavazoie SF
Nature medicine (2020) : . HS-361 003 IHC; tested species: mouse
RAS/MEK/PI3K pathway inhibition augments response to CD40 agonism by targeting CD11b+ Bregs thereby overcoming melanoma PD1-resistance.
Yan C, Luo W, Yang J, Yang J, Chen SC, Bergdorf K, Hu Q, Weiss VL, Johnson DB, Liu Q, Richmond A, et al.
Nature communications (2026) 171: 162. HS-361 003 IHC-P (FFPE); tested species: mouse
Nanostructured lipid carriers based mRNA vaccine leads to a T cell-inflamed tumour microenvironment favourable for improving PD-1/PD-L1 blocking therapy and long-term immunity in a cold tumour model.
Fournier C, Mercey-Ressejac M, Derangère V, Al Kadi A, Rageot D, Charrat C, Leroy A, Vollaire J, Josserand V, Escudé M, Escaich S, et al.
EBioMedicine (2025) 112: 105543. HS-361 003 IHC-P (FFPE); tested species: mouse
CDK4/6 inhibitors synergize with radiotherapy to prime the tumor microenvironment and enhance the antitumor effect of anti-PD-L1 immunotherapy in triple-negative breast cancer.
Yang WC, Wei MF, Shen YC, Huang CS, Kuo SH
Journal of biomedical science (2025) 321: 79. HS-361 003 IHC-P (FFPE); tested species: mouse
Genetically Engineered and Implantable Mouse Brain Tumor Models: Characterization by Immunohistochemistry and Flow Cytometry.
Mirji A, Singh G, Mujeeb AA, McClellan BL, Li Y, Perez M, Castro MG
Current protocols (2025) 51: e70080. HS-361 003 IHC-P (FFPE); tested species: mouse
Cancer cell-derived IL-1β reverses chemo-immunotherapy resistance in non-small cell lung cancer.
Perrichet A, Lecuelle J, Limagne E, Thiefin M, Bellio H, Jacob P, Aucagne R, Aznague A, Russo P, Gaucher F, Roussot N, et al.
Nature communications (2025) 161: 10244. HS-361 003 IHC-P (FFPE); tested species: mouse
Glutaminase inhibition impairs CD8 T cell activation in STK11-/Lkb1-deficient lung cancer.
Best SA, Gubser PM, Sethumadhavan S, Kersbergen A, Negrón Abril YL, Goldford J, Sellers K, Abeysekera W, Garnham AL, McDonald JA, Weeden CE, et al.
Cell metabolism (2022) : . HS-361 003 IHC-P (FFPE); tested species: mouse
WEE1 inhibition enhances the antitumor immune response to PD-L1 blockade by the concomitant activation of STING and STAT1 pathways in SCLC.
Taniguchi H, Caeser R, Chavan SS, Zhan YA, Chow A, Manoj P, Uddin F, Kitai H, Qu R, Hayatt O, Shah NS, et al.
Cell reports (2022) 397: 110814. HS-361 003 IHC-P (FFPE); tested species: mouse
Genomic control of inflammation in experimental atopic dermatitis.
Liu Y, Zienkiewicz J, Qiao H, Gibson-Corley KN, Boyd KL, Veach RA, Hawiger J
Scientific reports (2022) 121: 18891. HS-361 003 IHC-P (FFPE); tested species: mouse
MEK inhibition overcomes chemoimmunotherapy resistance by inducing CXCL10 in cancer cells.
Limagne E, Nuttin L, Thibaudin M, Jacquin E, Aucagne R, Bon M, Revy S, Barnestein R, Ballot E, Truntzer C, Derangère V, et al.
Cancer cell (2022) 402: 136-152.e12. HS-361 003 IHC-P (FFPE); tested species: mouse
Follicular helper-T cells restore CD8+-dependent antitumor immunity and anti-PD-L1/PD-1 efficacy.
Niogret J, Berger H, Rebe C, Mary R, Ballot E, Truntzer C, Thibaudin M, Derangère V, Hibos C, Hampe L, Rageot D, et al.
Journal for immunotherapy of cancer (2021) 96: . HS-361 003 IHC-P (FFPE); tested species: mouse
Loss of Setd4 delays radiation-induced thymic lymphoma in mice.
Feng X, Lu H, Yue J, Schneider N, Liu J, Denzin LK, Chan CS, De S, Shen Z
DNA repair (2020) 86: 102754. HS-361 003 IHC-P (FFPE); tested species: mouse
Glioma escape signature and clonal development under immune pressure.
Maire CL, Mohme M, Bockmayr M, Fita KD, Riecken K, Börnigen D, Alawi M, Failla AV, Kolbe K, Zapf S, Holz M, et al.
The Journal of clinical investigation (2020) : . HS-361 003 IHC-P (FFPE); tested species: mouse
Therapeutic Targeting of Stat3 Using Lipopolyplex Nanoparticle-Formulated siRNA in a Syngeneic Orthotopic Mouse Glioma Model.
Linder B, Weirauch U, Ewe A, Uhmann A, Seifert V, Mittelbronn M, Harter PN, Aigner A, Kögel D
Cancers (2019) 113: . HS-361 003 IHC-P (FFPE); tested species: mouse
Immunosuppressive Myeloid Cells' Blockade in the Glioma Microenvironment Enhances the Efficacy of Immune-Stimulatory Gene Therapy.
Kamran N, Kadiyala P, Saxena M, Candolfi M, Li Y, Moreno-Ayala MA, Raja N, Shah D, Lowenstein PR, Castro MG
Molecular therapy : the journal of the American Society of Gene Therapy (2017) 251: 232-248. HS-361 003 IHC-P (FFPE)
PD-1 Blockade Prevents the Development and Progression of Carcinogen-Induced Oral Premalignant Lesions.
Wang J, Xie T, Wang B, William WN, Heymach JV, El-Naggar AK, Myers JN, Caulin C
Cancer prevention research (Philadelphia, Pa.) (2017) 1012: 684-693. HS-361 003 IHC-P (FFPE)
Cat. No.: HS-361 003
Amount: 200 µl
Price: $380.00

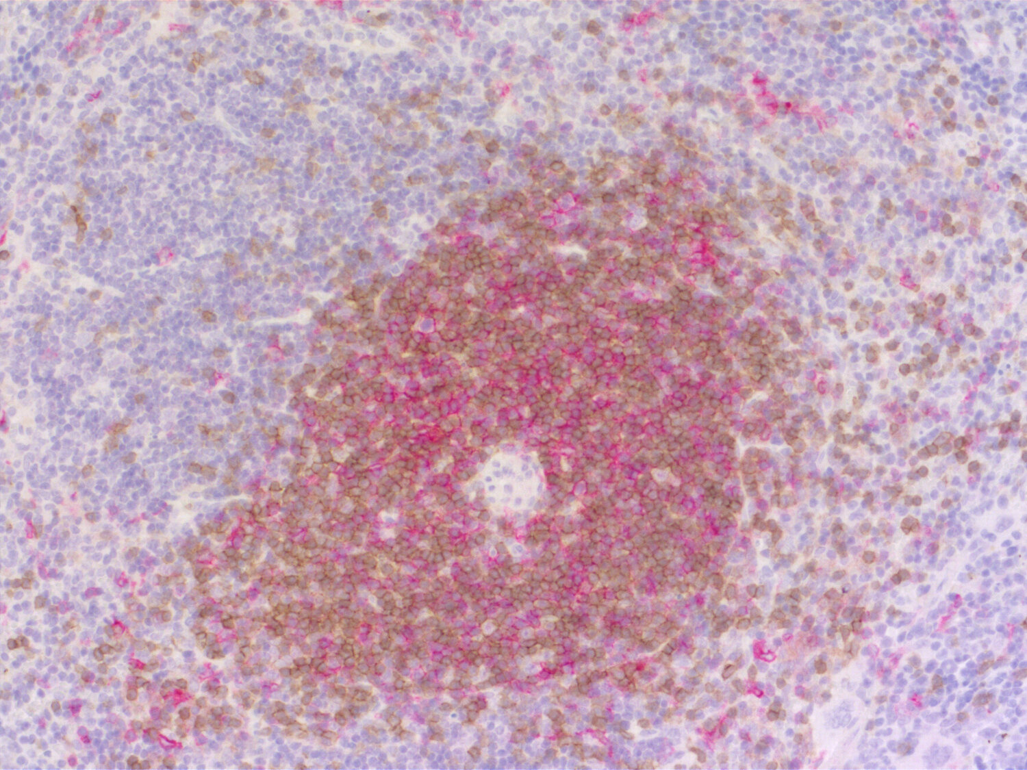
CD8 positive T-cells in FFPE mouse spleen section

MS-20 enhances the gut microbiota-associated antitumor effects of anti-PD1 antibody.
Lee PJ, Hung CM, Yang AJ, Hou CY, Chou HW, Chang YC, Chu WC, Huang WY, Kuo WC, Yang CC, Lin KI, et al.
Gut microbes (2024) 161: 2380061. HS-361 003 IHC; tested species: mouse
Common germline variants of the human APOE gene modulate melanoma progression and survival.
Ostendorf BN, Bilanovic J, Adaku N, Tafreshian KN, Tavora B, Vaughan RD, Tavazoie SF
Nature medicine (2020) : . HS-361 003 IHC; tested species: mouse
RAS/MEK/PI3K pathway inhibition augments response to CD40 agonism by targeting CD11b+ Bregs thereby overcoming melanoma PD1-resistance.
Yan C, Luo W, Yang J, Yang J, Chen SC, Bergdorf K, Hu Q, Weiss VL, Johnson DB, Liu Q, Richmond A, et al.
Nature communications (2026) 171: 162. HS-361 003 IHC-P (FFPE); tested species: mouse
Nanostructured lipid carriers based mRNA vaccine leads to a T cell-inflamed tumour microenvironment favourable for improving PD-1/PD-L1 blocking therapy and long-term immunity in a cold tumour model.
Fournier C, Mercey-Ressejac M, Derangère V, Al Kadi A, Rageot D, Charrat C, Leroy A, Vollaire J, Josserand V, Escudé M, Escaich S, et al.
EBioMedicine (2025) 112: 105543. HS-361 003 IHC-P (FFPE); tested species: mouse
CDK4/6 inhibitors synergize with radiotherapy to prime the tumor microenvironment and enhance the antitumor effect of anti-PD-L1 immunotherapy in triple-negative breast cancer.
Yang WC, Wei MF, Shen YC, Huang CS, Kuo SH
Journal of biomedical science (2025) 321: 79. HS-361 003 IHC-P (FFPE); tested species: mouse
Genetically Engineered and Implantable Mouse Brain Tumor Models: Characterization by Immunohistochemistry and Flow Cytometry.
Mirji A, Singh G, Mujeeb AA, McClellan BL, Li Y, Perez M, Castro MG
Current protocols (2025) 51: e70080. HS-361 003 IHC-P (FFPE); tested species: mouse
Cancer cell-derived IL-1β reverses chemo-immunotherapy resistance in non-small cell lung cancer.
Perrichet A, Lecuelle J, Limagne E, Thiefin M, Bellio H, Jacob P, Aucagne R, Aznague A, Russo P, Gaucher F, Roussot N, et al.
Nature communications (2025) 161: 10244. HS-361 003 IHC-P (FFPE); tested species: mouse
Glutaminase inhibition impairs CD8 T cell activation in STK11-/Lkb1-deficient lung cancer.
Best SA, Gubser PM, Sethumadhavan S, Kersbergen A, Negrón Abril YL, Goldford J, Sellers K, Abeysekera W, Garnham AL, McDonald JA, Weeden CE, et al.
Cell metabolism (2022) : . HS-361 003 IHC-P (FFPE); tested species: mouse
WEE1 inhibition enhances the antitumor immune response to PD-L1 blockade by the concomitant activation of STING and STAT1 pathways in SCLC.
Taniguchi H, Caeser R, Chavan SS, Zhan YA, Chow A, Manoj P, Uddin F, Kitai H, Qu R, Hayatt O, Shah NS, et al.
Cell reports (2022) 397: 110814. HS-361 003 IHC-P (FFPE); tested species: mouse
Genomic control of inflammation in experimental atopic dermatitis.
Liu Y, Zienkiewicz J, Qiao H, Gibson-Corley KN, Boyd KL, Veach RA, Hawiger J
Scientific reports (2022) 121: 18891. HS-361 003 IHC-P (FFPE); tested species: mouse
MEK inhibition overcomes chemoimmunotherapy resistance by inducing CXCL10 in cancer cells.
Limagne E, Nuttin L, Thibaudin M, Jacquin E, Aucagne R, Bon M, Revy S, Barnestein R, Ballot E, Truntzer C, Derangère V, et al.
Cancer cell (2022) 402: 136-152.e12. HS-361 003 IHC-P (FFPE); tested species: mouse
Follicular helper-T cells restore CD8+-dependent antitumor immunity and anti-PD-L1/PD-1 efficacy.
Niogret J, Berger H, Rebe C, Mary R, Ballot E, Truntzer C, Thibaudin M, Derangère V, Hibos C, Hampe L, Rageot D, et al.
Journal for immunotherapy of cancer (2021) 96: . HS-361 003 IHC-P (FFPE); tested species: mouse
Loss of Setd4 delays radiation-induced thymic lymphoma in mice.
Feng X, Lu H, Yue J, Schneider N, Liu J, Denzin LK, Chan CS, De S, Shen Z
DNA repair (2020) 86: 102754. HS-361 003 IHC-P (FFPE); tested species: mouse
Glioma escape signature and clonal development under immune pressure.
Maire CL, Mohme M, Bockmayr M, Fita KD, Riecken K, Börnigen D, Alawi M, Failla AV, Kolbe K, Zapf S, Holz M, et al.
The Journal of clinical investigation (2020) : . HS-361 003 IHC-P (FFPE); tested species: mouse
Therapeutic Targeting of Stat3 Using Lipopolyplex Nanoparticle-Formulated siRNA in a Syngeneic Orthotopic Mouse Glioma Model.
Linder B, Weirauch U, Ewe A, Uhmann A, Seifert V, Mittelbronn M, Harter PN, Aigner A, Kögel D
Cancers (2019) 113: . HS-361 003 IHC-P (FFPE); tested species: mouse
Immunosuppressive Myeloid Cells' Blockade in the Glioma Microenvironment Enhances the Efficacy of Immune-Stimulatory Gene Therapy.
Kamran N, Kadiyala P, Saxena M, Candolfi M, Li Y, Moreno-Ayala MA, Raja N, Shah D, Lowenstein PR, Castro MG
Molecular therapy : the journal of the American Society of Gene Therapy (2017) 251: 232-248. HS-361 003 IHC-P (FFPE)
PD-1 Blockade Prevents the Development and Progression of Carcinogen-Induced Oral Premalignant Lesions.
Wang J, Xie T, Wang B, William WN, Heymach JV, El-Naggar AK, Myers JN, Caulin C
Cancer prevention research (Philadelphia, Pa.) (2017) 1012: 684-693. HS-361 003 IHC-P (FFPE)
Background

CD 8 is a heterodimeric T-cell surface glycoprotein that consists of a CD 8a (alpha) and beta chain. It identifies cytotoxic/suppressor T-cells that interact with MHC class I bearing targets. CD 8 is thought to play a role in the process of T-cell mediated killing. CD 8 alpha chains binds to class I MHC molecules alpha-3 domains.

Certificates

ISO 9001 2015 Quality Management System and Green Lab Platinum certification level for sustaining laboratory processes.

Newsletter

Sign up for our newsletter and get the latest updates and news.
 

Please provide a valid E-Mail-Address
Please provide a valid First name
Please provide a valid Last name