Tailor-made Antibodies
and Tools for Life Science
Home | | | | | Technical Support

CD31 antibody mouse specific - HS-351 117

CD31 is an endothelial cell marker
Rat monoclonal purified IgG
Cat. No.: HS-351 117
Amount: 100 µg
Price: $420.00
Cat. No. HS-351 117 100 µg purified IgG, lyophilized. Albumin and azide were added for stabilization. For reconstitution add 100 µl H2O to get a 1mg/ml solution in PBS. Then aliquot and store at -20°C to -80°C until use.
Antibodies should be stored at +4°C when still lyophilized. Do not freeze!
Applications
 
WB: 1 : 1000 (AP staining) gallery  
IP: not tested yet
ICC: not tested yet
IHC: 1 : 500 (see remarks) gallery  
IHC-P: 1 : 1000 gallery  
IHC-Fr: 1 : 500 (see remarks) gallery  

Western blot (WB); separation of proteins by PAGE and subsequent transfer to a membrane. Detection of target molecules is carried out with antibodies. Some antibodies require special sample preparation steps. For details, please refer to the “Remarks” section.

Immunoprecipitation (IP); Immunoisolation or pulldown of a target molecule using an antibody. For details and product specific hints, please refer to the ”Remarks” section.

Immunocytochemistry (ICC) on 4% PFA fixed cells. Immunoreactivity is usually revealed by fluorescence. Some antibodies require special fixation methods. For details, please refer to the “Remarks” section.

Immunohistochemistry (IHC) on 4% PFA perfusion fixed tissue with 24h PFA post fixation. Immunoreactivity is usually revealed by fluorescence or a chromogenic substrate. Some antibodies require special fixation methods or antigen retrieval steps. For details, please refer to the ”Remarks” section.

Immunohistochemistry (IHC-P) of formalin fixed, paraffin embedded (FFPE) tissue (some antibodies require special antigen retrieval steps, please refer to the ”Remarks” section). Immunoreactivity is usually revealed by fluorescence or a chromogenic substrate.

Immunohistochemistry on fresh frozen (IHC-Fr) cryo-tissue-sections. In contrast to standard PFA perfusion fixed tissues, fresh frozen cryo-tissue-sections can be variably postfixed with alcohols, acetone or PFA. Alcohol or acetone fixation is e.g. of advantage for antigens masked by PFA crosslinking. For recommended postfixation, please refer to the ”Remarks” section. Immunoreactivity is usually revealed by fluorescence or a chromogenic substrate.

Clone SY-53A2
Subtype IgG2a (κ light chain)
Immunogen Synthetic peptide corresponding to residues surrounding AA 680 of mouse CD31 (UniProt Id: Q08481)
Reactivity Reacts with: mouse (Q08481), rat (Q3SWT0).
No signal: human (P16284).
Other species not tested yet.
Remarks

IHC: Antigen retrieval with citrate buffer pH 6 can be applied to improve the signal to noise ratio.
IHC-Fr: 4% formaldehyde/PFA fixation is recommended.

Data sheet Datasheet hs-351_117
Important information
This product belongs to the HistoSure product line of antibodies developed for and extensively tested in FFPE tissues.
For more information please visit our HistoSure brand website.

References for CD31 - HS-351 117

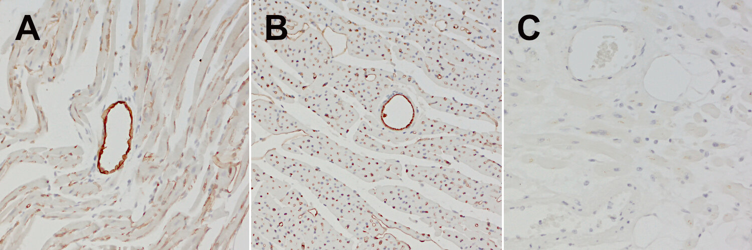
Expression of endogenous epitope-tagged GPR4 in the mouse brain.
Gonye EC, Dagli AV, Kumar NN, Clements RT, Xu W, Bayliss DA
eNeuro (2024) 113: . HS-351 117 IHC; tested species: mouse
Cat. No.: HS-351 117
Amount: 100 µg
Price: $420.00

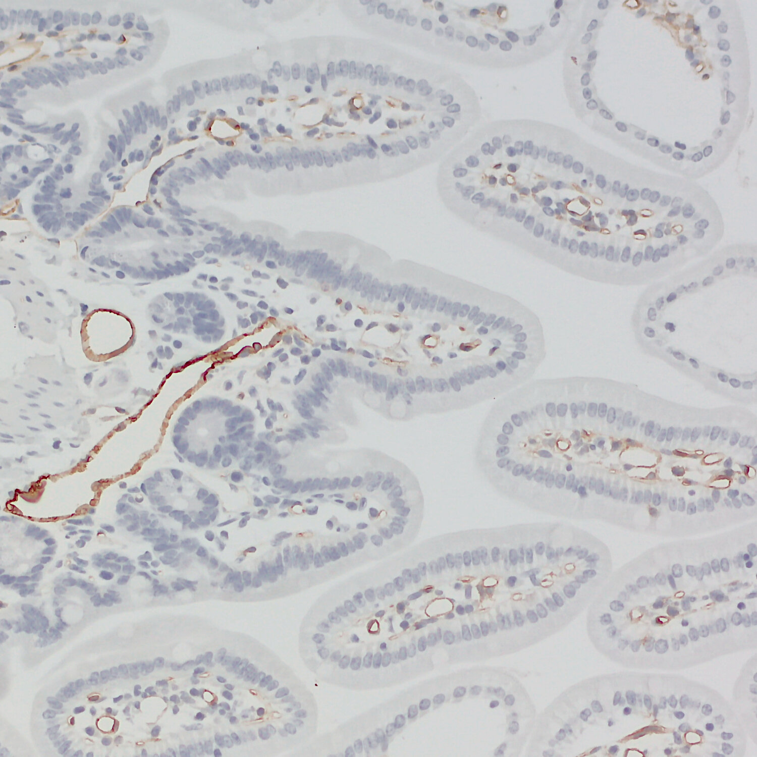
CD31 visualizes blood vessels in mouse small intestine

Expression of endogenous epitope-tagged GPR4 in the mouse brain.
Gonye EC, Dagli AV, Kumar NN, Clements RT, Xu W, Bayliss DA
eNeuro (2024) 113: . HS-351 117 IHC; tested species: mouse
Background

CD31 or platelet/endothelial cell adhesion molecule-1 (PECAM-1) is a cell adhesion molecule that contains a single trans-membrane domain and 6 Ig-like C2-type (immunoglobulin-like) domains (1). It is expressed on the surface of leukocytes and platelets and is primarily concentrated at endothelial cell-cell junctions (2). CD31 plays a role in several important biological processes, such as vascular development, maintenance of vascular endothelial barrier function and leukocyte emigration at inflammatory sites. In addition, CD31 promotes cancer metastasis by inducing epithelial-mesenchymal transition (3).

Certificates

ISO 9001 2015 Quality Management System and Green Lab Platinum certification level for sustaining laboratory processes.

Newsletter

Sign up for our newsletter and get the latest updates and news.
 

Please provide a valid E-Mail-Address
Please provide a valid First name
Please provide a valid Last name