Tailor-made Antibodies
and Tools for Life Science
Home | | | | | Technical Support

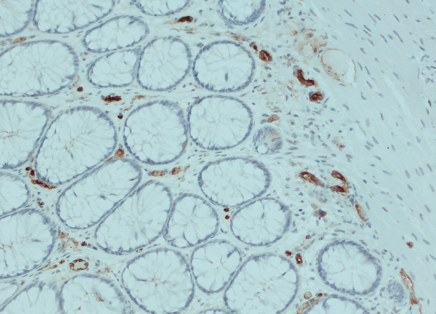
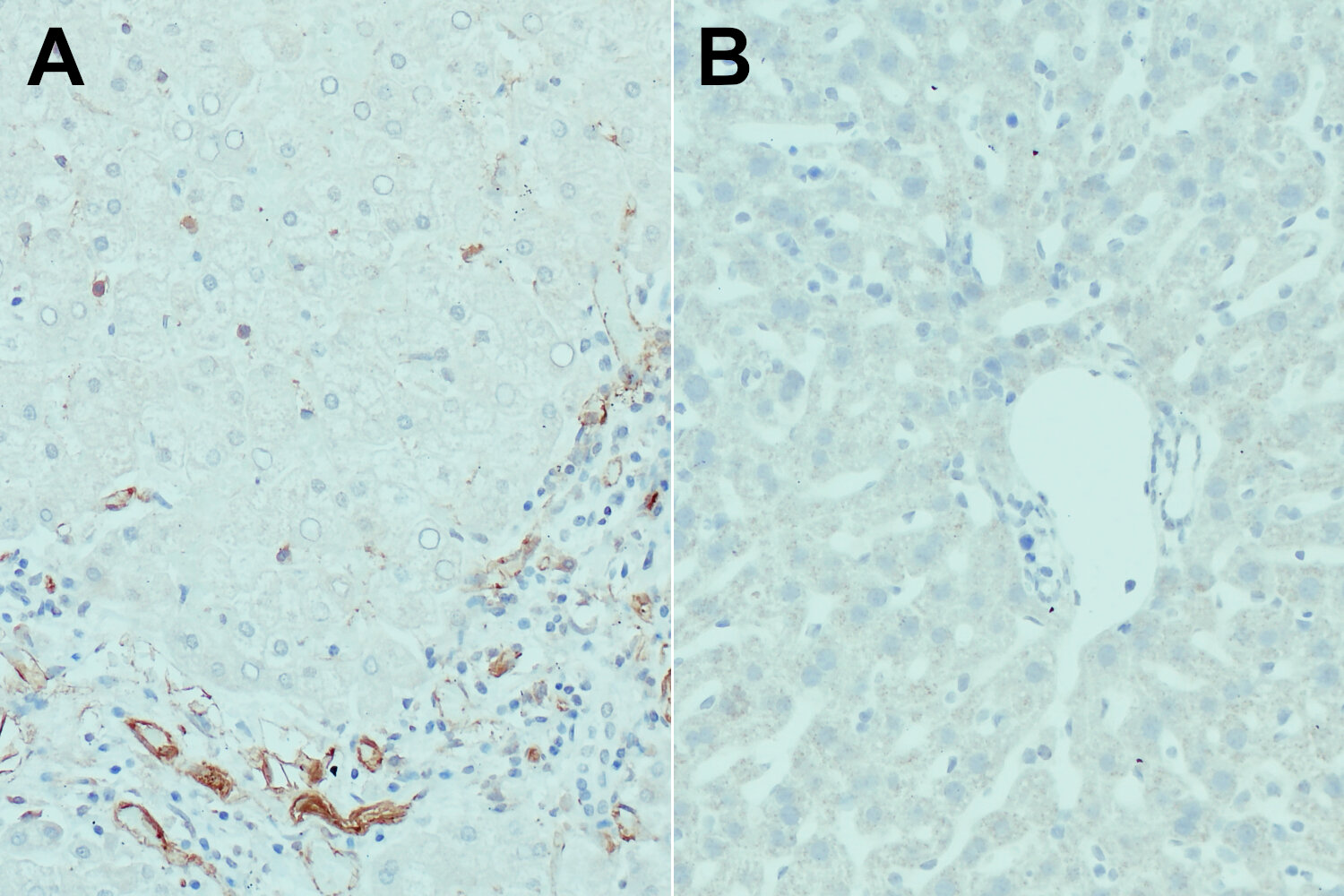
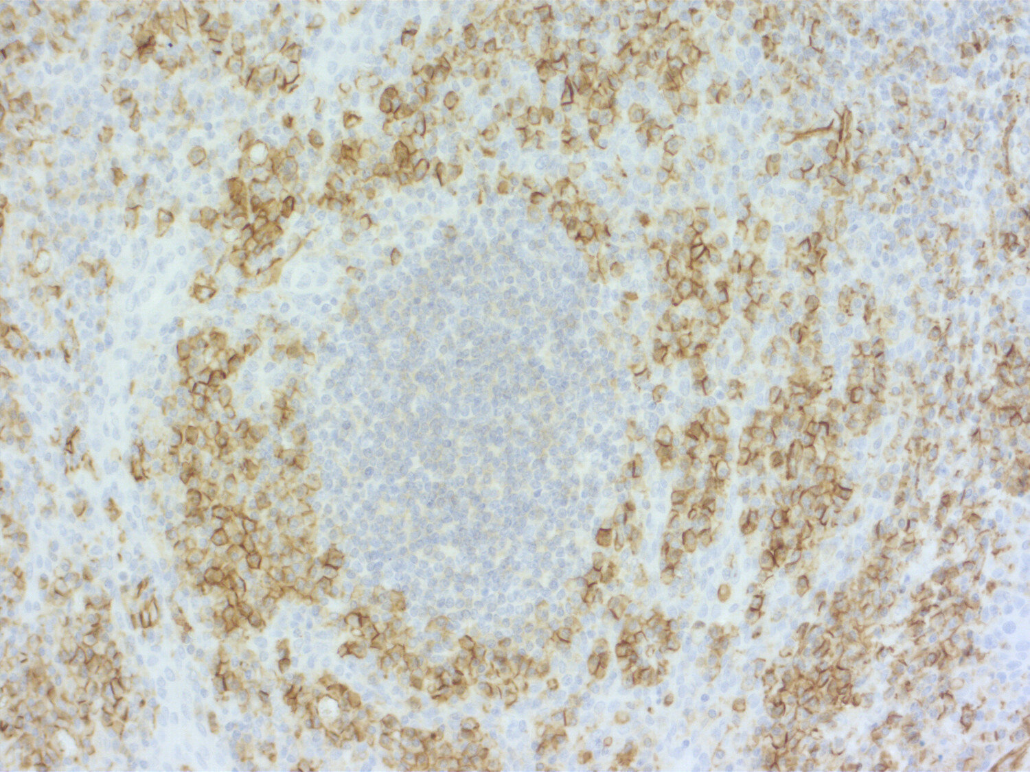
CD31 antibody human specific - HS-351 004

CD31 is an endothelial cell marker
Guinea pig polyclonal antiserum
Cat. No.: HS-351 004
Amount: 100 µl
Price: $355.00
Cat. No. HS-351 004 100 µl antiserum, lyophilized. For reconstitution add 100 µl H2O, then aliquot and store at -20°C until use.
Antibodies should be stored at +4°C when still lyophilized. Do not freeze!
Applications
 
WB: 1 : 1000 (AP staining) gallery  
IP: not tested yet
ICC: 1 : 500 gallery  
IHC: 1 : 500 (see remarks) gallery  
IHC-P (FFPE): 1 : 200 up to 1 : 500 gallery  
iDISCO: external data (see remarks)

Western blot (WB); separation of proteins by PAGE and subsequent transfer to a membrane. Detection of target molecules is carried out with antibodies. Some antibodies require special sample preparation steps. For details, please refer to the “Remarks” section.

Immunoprecipitation (IP); Immunoisolation or pulldown of a target molecule using an antibody. For details and product specific hints, please refer to the ”Remarks” section.

Immunocytochemistry (ICC) on 4% PFA fixed cells. Immunoreactivity is usually revealed by fluorescence. Some antibodies require special fixation methods. For details, please refer to the “Remarks” section.

Immunohistochemistry (IHC) on 4% PFA perfusion fixed tissue with 24h PFA post fixation. Immunoreactivity is usually revealed by fluorescence or a chromogenic substrate. Some antibodies require special fixation methods or antigen retrieval steps. For details, please refer to the ”Remarks” section.

Immunohistochemistry (IHC-P) of formalin fixed, paraffin embedded (FFPE) tissue (some antibodies require special antigen retrieval steps, please refer to the ”Remarks” section). Immunoreactivity is usually revealed by fluorescence or a chromogenic substrate.

iDISCO is a fast and cost-effective sample preparation method for clearing, immunolabeling and volume imaging of large biological samples. The clearing is carried out by benzyl-ether treatment. For additional experimental details, please refer to the „Remarks“ section or visit https://idisco.info.

Immunogen Recombinant protein corresponding to AA 26 to 601 from human CD31 (UniProt Id: P16284)
Reactivity Reacts with: human (P16284), pig.
No signal: mouse (Q08481).
Other species not tested yet.
Remarks

IHC: Antigen retrieval with citrate buffer pH 6 is required.
iDISCO: This antibody has been successfully applied and published for this method by customers (see application-specific references).

Data sheet Datasheet hs-351_004
Important information
This product belongs to the HistoSure product line of antibodies developed for and extensively tested in FFPE tissues.
For more information please visit our HistoSure brand website.

References for CD31 - HS-351 004

Vascular Development of Fetal and Postnatal Neocortex of the Pig, the European Wild Boar Sus scrofa.
Sobierajski E, Czubay K, Beemelmans C, Beemelmans C, Meschkat M, Uhlenkamp D, Meyer G, Wahle P
The Journal of comparative neurology (2024) 53212: e70011. HS-351 004 WB, IHC; tested species: pig
KRAS-dependent glycolytic reprogramming of endothelial cells in sporadic arteriovenous malformations.
Wu R, Khosraviani N, Mansur A, Boudreau E, Largoza GE, Park S, Gustafson D, Raju S, Ching C, Klip A, Wälchli T, et al.
EMBO molecular medicine (2026) : . HS-351 004 IHC; tested species: human
Vascular Development of Fetal and Postnatal Neocortex of the Pig, the European Wild Boar Sus scrofa.
Sobierajski E, Czubay K, Beemelmans C, Beemelmans C, Meschkat M, Uhlenkamp D, Meyer G, Wahle P
The Journal of comparative neurology (2024) 53212: e70011. HS-351 004 WB, IHC; tested species: pig
Fibrinogen Induces Microglia-Mediated Spine Elimination and Cognitive Impairment in an Alzheimer's Disease Model.
Merlini M, Rafalski VA, Rios Coronado PE, Gill TM, Ellisman M, Muthukumar G, Subramanian KS, Ryu JK, Syme CA, Davalos D, Seeley WW, et al.
Neuron (2019) : . HS-351 004 IHC, iDISCO; tested species: human
Role of A Novel Angiogenesis FKBPL-CD44 Pathway in Preeclampsia Risk Stratification and Mesenchymal Stem Cell Treatment.
Todd N, McNally R, Alqudah A, Jerotic D, Suvakov S, Obradovic D, Hoch D, Hombrebueno JR, Campos GL, Watson CJ, Gojnic-Dugalic M, et al.
The Journal of clinical endocrinology and metabolism (2021) 1061: 26-41. HS-351 004 IHC-P (FFPE); tested species: human
CD8+ T cells target cerebrovasculature in children with cerebral malaria.
Riggle BA, Manglani M, Maric D, Johnson KR, Lee MH, Lopes Abath Neto O, Taylor TE, Seydel KB, Nath A, Miller LH, McGavern DB, et al.
The Journal of clinical investigation (2019) : . HS-351 004 IHC-P (FFPE); tested species: human
Fibrinogen Induces Microglia-Mediated Spine Elimination and Cognitive Impairment in an Alzheimer's Disease Model.
Merlini M, Rafalski VA, Rios Coronado PE, Gill TM, Ellisman M, Muthukumar G, Subramanian KS, Ryu JK, Syme CA, Davalos D, Seeley WW, et al.
Neuron (2019) : . HS-351 004 IHC, iDISCO; tested species: human
Cat. No.: HS-351 004
Amount: 100 µl
Price: $355.00

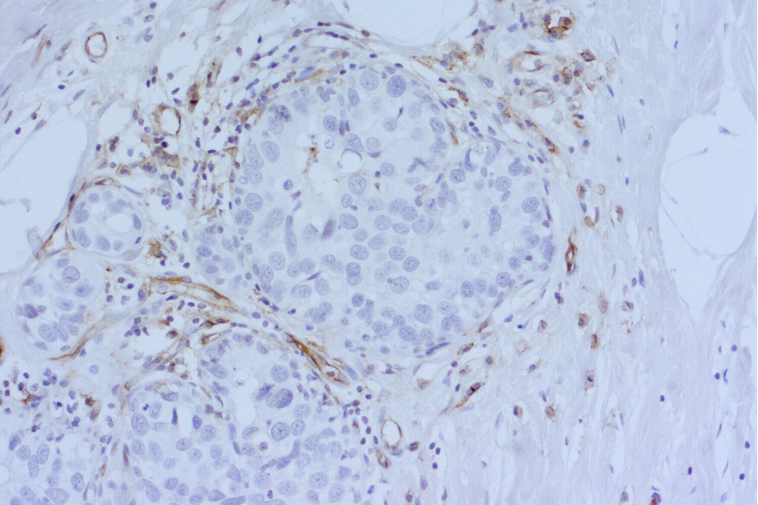
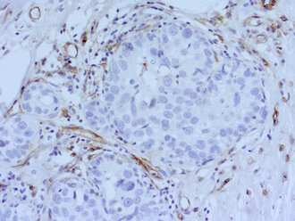
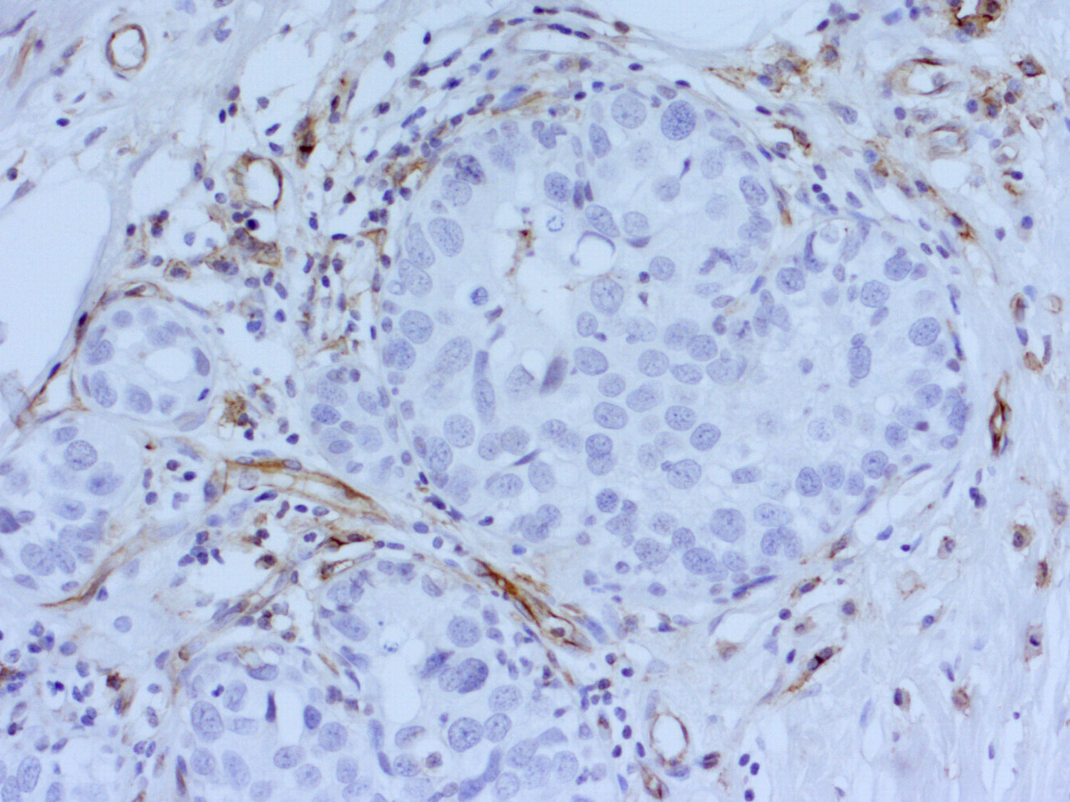
Visualization of blood vessels in a human invasive ductal breast cancer section using anti-CD31 antibody.

Vascular Development of Fetal and Postnatal Neocortex of the Pig, the European Wild Boar Sus scrofa.
Sobierajski E, Czubay K, Beemelmans C, Beemelmans C, Meschkat M, Uhlenkamp D, Meyer G, Wahle P
The Journal of comparative neurology (2024) 53212: e70011. HS-351 004 WB, IHC; tested species: pig
KRAS-dependent glycolytic reprogramming of endothelial cells in sporadic arteriovenous malformations.
Wu R, Khosraviani N, Mansur A, Boudreau E, Largoza GE, Park S, Gustafson D, Raju S, Ching C, Klip A, Wälchli T, et al.
EMBO molecular medicine (2026) : . HS-351 004 IHC; tested species: human
Vascular Development of Fetal and Postnatal Neocortex of the Pig, the European Wild Boar Sus scrofa.
Sobierajski E, Czubay K, Beemelmans C, Beemelmans C, Meschkat M, Uhlenkamp D, Meyer G, Wahle P
The Journal of comparative neurology (2024) 53212: e70011. HS-351 004 WB, IHC; tested species: pig
Fibrinogen Induces Microglia-Mediated Spine Elimination and Cognitive Impairment in an Alzheimer's Disease Model.
Merlini M, Rafalski VA, Rios Coronado PE, Gill TM, Ellisman M, Muthukumar G, Subramanian KS, Ryu JK, Syme CA, Davalos D, Seeley WW, et al.
Neuron (2019) : . HS-351 004 IHC, iDISCO; tested species: human
Role of A Novel Angiogenesis FKBPL-CD44 Pathway in Preeclampsia Risk Stratification and Mesenchymal Stem Cell Treatment.
Todd N, McNally R, Alqudah A, Jerotic D, Suvakov S, Obradovic D, Hoch D, Hombrebueno JR, Campos GL, Watson CJ, Gojnic-Dugalic M, et al.
The Journal of clinical endocrinology and metabolism (2021) 1061: 26-41. HS-351 004 IHC-P (FFPE); tested species: human
CD8+ T cells target cerebrovasculature in children with cerebral malaria.
Riggle BA, Manglani M, Maric D, Johnson KR, Lee MH, Lopes Abath Neto O, Taylor TE, Seydel KB, Nath A, Miller LH, McGavern DB, et al.
The Journal of clinical investigation (2019) : . HS-351 004 IHC-P (FFPE); tested species: human
Fibrinogen Induces Microglia-Mediated Spine Elimination and Cognitive Impairment in an Alzheimer's Disease Model.
Merlini M, Rafalski VA, Rios Coronado PE, Gill TM, Ellisman M, Muthukumar G, Subramanian KS, Ryu JK, Syme CA, Davalos D, Seeley WW, et al.
Neuron (2019) : . HS-351 004 IHC, iDISCO; tested species: human
Background

CD31 or platelet/endothelial cell adhesion molecule-1 (PECAM-1) is a cell adhesion molecule that contains a single trans-membrane domain and 6 Ig-like C2-type (immunoglobulin-like) domains (1). It is expressed on the surface of leukocytes and platelets and is primarily concentrated at endothelial cell-cell junctions (2). CD31 plays a role in several important biological processes, such as vascular development, maintenance of vascular endothelial barrier function and leukocyte emigration at inflammatory sites. In addition, CD31 promotes cancer metastasis by inducing epithelial-mesenchymal transition (3).

Certificates

ISO 9001 2015 Quality Management System and Green Lab Platinum certification level for sustaining laboratory processes.

Newsletter

Sign up for our newsletter and get the latest updates and news.
 

Please provide a valid E-Mail-Address
Please provide a valid First name
Please provide a valid Last name