Tailor-made Antibodies
and Tools for Life Science
Home | | | | | Technical Support

Ig lambda light chain antibody - HS-349 117

Ig lambda light chain is a useful marker for the classification of B-cell lymphoma
Rat monoclonal purified IgG
Cat. No.: HS-349 117
Amount: 100 µg
Price: $420.00
Cat. No. HS-349 117 100 µg purified IgG, lyophilized. Azide was added before lyophilization. For reconstitution add 100 µl H2O to get a 1mg/ml solution in PBS. Then aliquot and store at -20°C to -80°C until use.
Antibodies should be stored at +4°C when still lyophilized. Do not freeze!
Applications
 
WB: 1 : 1000 (AP staining) gallery  
IP: not tested yet
ICC: not tested yet
IHC: not tested yet
IHC-P: 1 : 1000 up to 1 : 10000 gallery  

Western blot (WB); separation of proteins by PAGE and subsequent transfer to a membrane. Detection of target molecules is carried out with antibodies. Some antibodies require special sample preparation steps. For details, please refer to the “Remarks” section.

Immunoprecipitation (IP); Immunoisolation or pulldown of a target molecule using an antibody. For details and product specific hints, please refer to the ”Remarks” section.

Immunocytochemistry (ICC) on 4% PFA fixed cells. Immunoreactivity is usually revealed by fluorescence. Some antibodies require special fixation methods. For details, please refer to the “Remarks” section.

Immunohistochemistry (IHC) on 4% PFA perfusion fixed tissue with 24h PFA post fixation. Immunoreactivity is usually revealed by fluorescence or a chromogenic substrate. Some antibodies require special fixation methods or antigen retrieval steps. For details, please refer to the ”Remarks” section.

Immunohistochemistry (IHC-P) of formalin fixed, paraffin embedded (FFPE) tissue (some antibodies require special antigen retrieval steps, please refer to the ”Remarks” section). Immunoreactivity is usually revealed by fluorescence or a chromogenic substrate.

Clone 23A1
Subtype IgG2a
Immunogen Recombinant protein corresponding to AA 1 to 216 from human IgG λ light chain
Reactivity Reacts with: human.
Other species not tested yet.
Specificity Specific for λ-light chain of human immunoglobulins. No cross-reactivity to κ light chains.
Data sheet Datasheet hs-349_117
Important information
This product belongs to the HistoSure product line of antibodies developed for and extensively tested in FFPE tissues.
For more information please visit our HistoSure brand website.
Cat. No.: HS-349 117
Amount: 100 µg
Price: $420.00

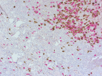
Human FFPE tonsil section stained with anti-kappa (red) and anti-lambda light chain (brown) antibodies

Background
Immunoglobulin (Ig) molecules consist of heavy chains and light chains of either lambda (λ) or kappa (κ) type, with κ light chains being the more common form. Immunoglobulines of the IgG, IgD and IgE type are composed of two heavy and two light chains. IgA occurs as dimeric and IgM as pentameric Ig complexes.

Certificates

ISO 9001 2015 Quality Management System and Green Lab Platinum certification level for sustaining laboratory processes.

Newsletter

Sign up for our newsletter and get the latest updates and news.
 

Please provide a valid E-Mail-Address
Please provide a valid First name
Please provide a valid Last name