|
|
The format of this antibody has been changed from µl to µg. The increased antibody amount allows a 20 fold
higher dilution, which significantly reduces the costs per immunostaining.
|
|
| Cat. No. HS-315 111-S |
50 µg purified IgG, lyophilized. Albumin and azide were added for stabilization. For reconstitution add 50 µl H2O to get a 1mg/ml solution in PBS. Then aliquot and store at -20°C to -80°C until use. Antibodies should be stored at +4°C when still lyophilized. Do not freeze! |
| Applications |
IP: not tested yet ICC: not tested yet IHC: not tested yet IHC-P: 1 : 400 up to 1 : 800 gallery |
| Clone | CAL2 |
| Subtype | IgG2a (λ light chain) |
| Immunogen | Recombinant protein corresponding to the neoepitope in human mutated calreticulin (UniProt Id: P27797) |
| Reactivity |
Reacts with: human (P27797). Other species not tested yet. |
| Specificity | Specific for the neoepitope in mutated Calreticulin. |
| Data sheet | hs-315_111-s.pdf |
Important information|
|
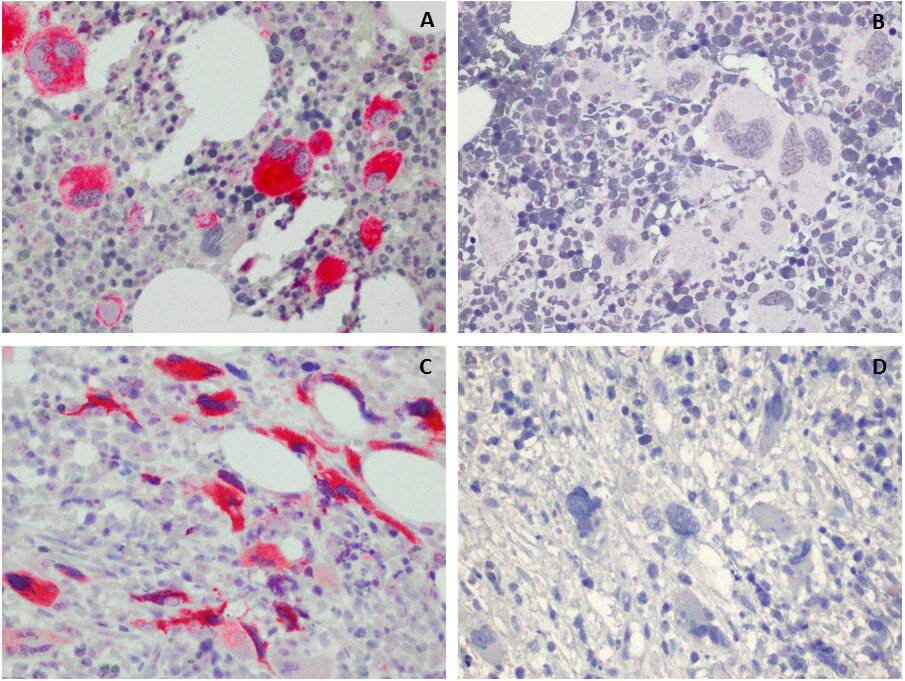
Calreticulin (CALR) mutations have been identified as a major driver in myeloproliferative neoplasms (MPNs). In contrast to JAK2 mutations that are mainly associated with polycythaemia vera (PV), CALR mutations are specifically associated with primary myelofibrosis (PMF) and essential thrombocythaemia (ET).
All known types of CALR mutations result in a novel C-terminus of the protein. This harbors a common epitope expressed in all kinds of CALR mutations. The CAL2 antibody is directed against this neoepitope. Therefore, it can be concluded that the CAL2 antibody is able to detect all CALR mutations.
It labels the megakaryocytes in myeloproliferative neoplasms (essential thrombocythaemia (ET) and primary myelofibrosis (PMF)) with CALR mutation and enables to distinguish them from polycythemia vera (PV), from CALR mutation negative ET and PMF and from reactive bone marrow.