Tailor-made Antibodies
and Tools for Life Science
Home | | | | | Technical Support

IBA1 antibody - HS-234 008

IBA1 is a marker for macrophages and microglia
Rabbit monoclonal recombinant IgG
Cat. No.: HS-234 008
Amount: 100 µl
Price: $425.00
Cat. No. HS-234 008 100 µl purified recombinant IgG, lyophilized. Albumin and azide were added for stabilization. For reconstitution add 100 µl H2O. Then aliquot and store at -20°C to -80°C until use.
Antibodies should be stored at +4°C when still lyophilized. Do not freeze!
Applications
 
WB: 1 : 500 (AP staining) gallery  
IP: not tested yet
ICC: 1 : 250 gallery  
IHC: 1 : 250 gallery  
IHC-P (FFPE): 1 : 500 gallery  

Western blot (WB); separation of proteins by PAGE and subsequent transfer to a membrane. Detection of target molecules is carried out with antibodies. Some antibodies require special sample preparation steps. For details, please refer to the “Remarks” section.

Immunoprecipitation (IP); Immunoisolation or pulldown of a target molecule using an antibody. For details and product specific hints, please refer to the ”Remarks” section.

Immunocytochemistry (ICC) on 4% PFA fixed cells. Immunoreactivity is usually revealed by fluorescence. Some antibodies require special fixation methods. For details, please refer to the “Remarks” section.

Immunohistochemistry (IHC) on 4% PFA perfusion fixed tissue with 24h PFA post fixation. Immunoreactivity is usually revealed by fluorescence or a chromogenic substrate. Some antibodies require special fixation methods or antigen retrieval steps. For details, please refer to the ”Remarks” section.

Immunohistochemistry (IHC-P) of formalin fixed, paraffin embedded (FFPE) tissue (some antibodies require special antigen retrieval steps, please refer to the ”Remarks” section). Immunoreactivity is usually revealed by fluorescence or a chromogenic substrate.

Clone Rb311H9
Subtype IgG1 (κ light chain)
Immunogen Synthetic peptide corresponding to residues near the carboxy terminus of rat IBA1 (UniProt Id: P55009)
Reactivity Reacts with: mouse (Q9EQW9), rat (P55009), human (P55008), monkey.
Other species not tested yet.
Remarks

This antibody is a chimeric antibody based on the monoclonal mouse antibody clone 311H9. The constant regions of the heavy and light chains have been replaced by rabbit specific sequences. Therefore, the antibody can be used with standard anti-rabbit secondary reagents. The antibody has been expressed in mammalian cells.

Data sheet Datasheet hs-234_008
Important information
This product belongs to the HistoSure product line of antibodies developed for and extensively tested in FFPE tissues.
For more information please visit our HistoSure brand website.
Cat. No.: HS-234 008
Amount: 100 µl
Price: $425.00

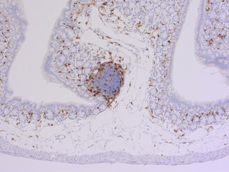
Staining of mouse colon section with rabbit monoclonal anti-IBA1

Background

Ionized calcium-binding adaptor molecule 1 (IBA1) or allograft inflammatory factor1 (AIF-1) is an EF hand calcium binding protein which is expressed by cells of the monocyte/macrophage lineage and by germ cells in the testis (1). In mice, IBA1/AIF-1 can be regarded a “pan-macrophage marker” because, except for alveolar macrophages, all subpopulations of macrophages express IBA1/AIF-1 (1). In human gliomas IBA1 defines a distinct subset of tumor-associated activated macrophages/microglial cells (2).
Microglia represent the resident macrophages in the nervous system and are the smallest of the glial cells with cell bodies of only 2-5 µm in diameter. In the CNS IBA1 upregulation is associated with neuroinflammatory response (3). 

Certificates

ISO 9001 2015 Quality Management System and Green Lab Platinum certification level for sustaining laboratory processes.

Newsletter

Sign up for our newsletter and get the latest updates and news.
 

Please provide a valid E-Mail-Address
Please provide a valid First name
Please provide a valid Last name